Validation of Recombinant Type I Interferon Antiviral Activity Against Porcine Epidemic Diarrhea Virus In Vitro and In Vivo
Simple Summary
Abstract
1. Introduction
2. Materials and Methods
2.1. Cell Culture and Virus Inoculation
2.2. Preparation of Recombinant poIFN-α
2.3. Anti-VSV Activity Assay for poIFN-α Protein
2.4. Western Blot
2.5. In Vitro Evaluation of the Effect of poIFN-α on PEDV Replication
2.6. In Vivo Evaluation of the Effect of poIFN-α on PEDV Replication
2.6.1. Animal Experiment Design
2.6.2. Clinical Evaluation
2.6.3. Histopathological Examination and Immunohistochemistry
2.6.4. Detection of Viral Loads
2.7. Statistical Analyses
3. Results
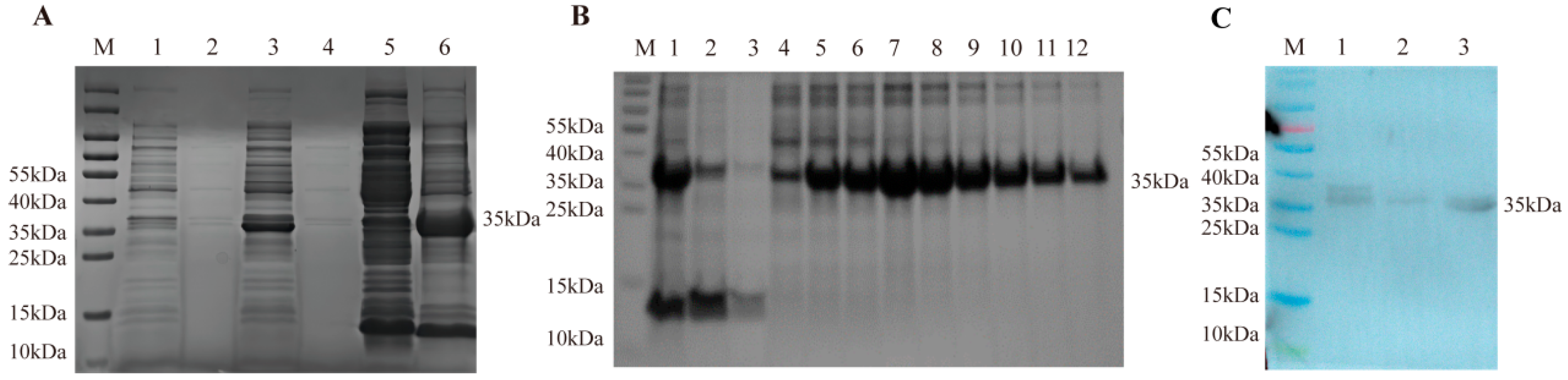
3.1. Prokaryotic Expression of Recombinant PoIFN-α
3.2. In Vitro Protective Effect of poIFN-α
3.3. In Vitro Therapeutic Effect of poIFN-α
3.4. PoIFN-α Improves the Growth Performance of PEDV-Infected Piglets
3.5. PoIFN-α Reduces the Incidence of Diarrhea in Piglets
3.6. The Antiviral Activity of poIFN-α in PEDV-Infected Piglets
3.7. The Effect of poIFN-α on Intestinal Damage in PEDV-Infected Piglets
4. Discussion
5. Conclusions
Supplementary Materials
Author Contributions
Funding
Institutional Review Board Statement
Informed Consent Statement
Data Availability Statement
Acknowledgments
Conflicts of Interest
References
- Fang, J.; Zhang, Q.; Xi, Y.; Lang, L.; Wang, K.; Li, S. Analysis of the Differential Expression and Antiviral Activity of Porcine Interferon-α In Vitro. Int. J. Pept. Res. Ther. 2023, 29, 42. [Google Scholar] [CrossRef] [PubMed]
- Raftery, N.; Stevenson, N.J. Advances in anti-viral immune defence: Revealing the importance of the IFN JAK/STAT pathway. Cell. Mol. Life Sci. 2017, 74, 2525–2535. [Google Scholar] [CrossRef] [PubMed]
- Wielockx, B.; Rodriguez, D.; Mirtschink, P. Rewiring interferon fate: A bidirectional strategy for immune homeostasis. Signal Transduct. Target. Ther. 2025, 10, 297. [Google Scholar] [CrossRef] [PubMed]
- Castro, L.S.; Lobo, G.S.; Pereira, P.; Freire, M.G.; Neves, M.C.; Pedro, A.Q. Interferon-Based Biopharmaceuticals: Overview on the Production, Purification, and Formulation. Vaccines 2021, 9, 328. [Google Scholar] [CrossRef]
- Raghuvanshi, V.; Yadav, P.; Ali, S. Interferon production by Viral, Bacterial & Yeast system: A comparative overview in 2023. Int. Immunopharmacol. 2023, 120, 110340. [Google Scholar] [CrossRef]
- Jhuti, D.; Rawat, A.; Guo, C.M.; Wilson, L.A.; Mills, E.J.; Forrest, J.I. Interferon Treatments for SARS-CoV-2: Challenges and Opportunities. Infect. Dis. Ther. 2022, 11, 953–972. [Google Scholar] [CrossRef]
- Lokugamage, K.G.; Hage, A.; de Vries, M.; Valero-Jimenez, A.M.; Schindewolf, C.; Dittmann, M.; Rajsbaum, R.; Menachery, V.D.; Williams, B.R.G. Type I Interferon Susceptibility Distinguishes SARS-CoV-2 from SARS-CoV. J. Virol. 2020, 94. [Google Scholar] [CrossRef]
- Shi, D.; Chen, K.; Lu, X.; Cheng, L.; Weng, T.; Liu, F.; Wu, N.; Li, L.; Yao, H. Recombinant human interferon-α1b inhibits SARS-CoV-2 better than interferon-α2b in vitro. Virol. Sin. 2022, 37, 295–298. [Google Scholar] [CrossRef]
- Noor, A.U.; Du, Z.; Song, C.; Lu, H.; Zhou, X.; Liu, X.; Zhang, X.; Sun, H. Gene Cloning, Tissue Expression Profiles and Antiviral Activities of Interferon-β from Two Chinese Miniature Pig Breeds. Vet. Sci. 2022, 9, 190. [Google Scholar] [CrossRef]
- Lin, F.; Zhang, H.; Li, L.; Yang, Y.; Zou, X.; Chen, J.; Tang, X. PEDV: Insights and Advances into Types, Function, Structure, and Receptor Recognition. Viruses 2022, 14, 1744. [Google Scholar] [CrossRef]
- Rao, H.; Su, W.; Zhang, X.; Wang, Y.; Li, T.; Li, J.; Zeng, X.; Li, P. Hypericum japonicum extract inhibited porcine epidemic diarrhea virus in vitro and in vivo. Front. Pharmacol. 2023, 14, 1112610. [Google Scholar] [CrossRef]
- Lei, J.; Miao, Y.; Bi, W.; Xiang, C.; Li, W.; Zhang, R.; Li, Q.; Yang, Z. Porcine Epidemic Diarrhea Virus: Etiology, Epidemiology, Antigenicity, and Control Strategies in China. Animals 2024, 14, 294. [Google Scholar] [CrossRef]
- Zhuang, L.; Zhao, Y.; Shen, J.; Sun, L.; Hao, P.; Yang, J.; Zhang, Y.; Shen, Q. Advances in porcine epidemic diarrhea virus research: Genome, epidemiology, vaccines, and detection methods. Discov. Nano 2025, 20, 48. [Google Scholar] [CrossRef] [PubMed]
- Jung, K.; Saif, L.J.; Wang, Q. Porcine epidemic diarrhea virus (PEDV): An update on etiology, transmission, pathogenesis, and prevention and control. Virus Res. 2020, 286, 198045. [Google Scholar] [CrossRef]
- Sun, Y.; Wang, L.; Ma, K.; Shen, M.; Liu, J.; Zhang, Y.; Sun, L. Antiviral Activity of 1-Deoxynojirimycin Extracts of Mulberry Leaves Against Porcine Epidemic Diarrhea Virus. Animals 2025, 15, 1207. [Google Scholar] [CrossRef]
- Zhang, E.; Wang, J.; Li, Y.; Huang, L.; Wang, Y.; Yang, Q. Comparison of oral and nasal immunization with inactivated porcine epidemic diarrhea virus on intestinal immunity in piglets. Exp. Ther. Med. 2020, 20, 1596–1606. [Google Scholar] [CrossRef]
- Yang, S.; Cao, Q.; Yan, K.; Wang, C.; Song, X.; Bian, X.; Li, S.; Cheng, Z.; Zhang, X.; Wang, Y.; et al. Preparation and functional identification of various porcine cytokines. Cytokine 2025, 188, 156880. [Google Scholar] [CrossRef]
- Yang, M.; Xie, D.; Ji, W.; Zhu, S.J.; Zhou, Y. Oral Delivery of Lactococcus lactis Expressing Full-Length S Protein via Alginate–Chitosan Capsules Induces Immune Protection Against PEDV Infection in Mice. Vaccines 2025, 13, 421. [Google Scholar] [CrossRef]
- Park, J.-E. Porcine Epidemic Diarrhea: Insights and Progress on Vaccines. Vaccines 2024, 12, 212. [Google Scholar] [CrossRef] [PubMed]
- Yao, X.; Qiao, W.-T.; Zhang, Y.-Q.; Lu, W.-H.; Wang, Z.-W.; Li, H.-X.; Li, J.-L. A new PEDV strain CH/HLJJS/2022 can challenge current detection methods and vaccines. Virol. J. 2023, 20, 13. [Google Scholar] [CrossRef] [PubMed]
- Li, W.; Hangalapura, B.N.; van den Elzen, P.; van den Born, E.; van Kuppeveld, F.J.M.; Rottier, P.J.M.; Bosch, B.-J. Safety and efficacy of live attenuated PEDV vaccines for neonatal protection. npj Vaccines 2025, 10, 131. [Google Scholar] [CrossRef] [PubMed]
- Diamond, M.S.; Bessière, P.; Wasniewski, M.; Picard-Meyer, E.; Servat, A.; Figueroa, T.; Foret-Lucas, C.; Coggon, A.; Lesellier, S.; Boué, F.; et al. Intranasal type I interferon treatment is beneficial only when administered before clinical signs onset in the SARS-CoV-2 hamster model. PLoS Pathog. 2021, 17, e1009427. [Google Scholar] [CrossRef]
- Mihaescu, G.; Chifiriuc, M.C.; Filip, R.; Bleotu, C.; Ditu, L.M.; Constantin, M.; Cristian, R.-E.; Grigore, R.; Bertesteanu, S.V.; Bertesteanu, G.; et al. Role of interferons in the antiviral battle: From virus-host crosstalk to prophylactic and therapeutic potential in SARS-CoV-2 infection. Front. Immunol. 2024, 14, 1273604. [Google Scholar] [CrossRef] [PubMed]
- Uyangaa, E.; Patil, A.M.; Eo, S.K. Prophylactic and Therapeutic Modulation of Innate and Adaptive Immunity Against Mucosal Infection of Herpes Simplex Virus. Immune Netw. 2014, 14, 187–200. [Google Scholar] [CrossRef]
- Norton, E.B.; Clements, J.D.; Voss, T.G.; Cárdenas-Freytag, L. Prophylactic Administration of Bacterially Derived Immunomodulators Improves the Outcome of Influenza Virus Infection in a Murine Model. J. Virol. 2010, 84, 2983–2995. [Google Scholar] [CrossRef]
- Song, Z.; Deng, C.; Chen, Q.; Zhao, S.; Li, P.; Wu, T.; Hou, Y.; Yi, D. Protective effects and mechanisms of ellagic acid on intestinal injury in piglets infected with porcine epidemic diarrhea virus. Front. Immunol. 2024, 15, 1323866. [Google Scholar] [CrossRef] [PubMed]
- Ship , J.A.; Fox, P.C.; Michalek, J.E.; Cummins, M.J.; Richards, A.B. Treatment of primary Sjögren's syndrome with low-dose natural human interferon-alpha administered by the oral mucosal route: A phase II clinical trial. IFN Protocol Study Group. J. Interferon Cytokine Res. 1999, 19, 943–951. [Google Scholar] [CrossRef]







| Primers | Sequence (5′-3′) | Amplification Size (bp) |
|---|---|---|
| IFN-F | GCGGATCCGTGCGACCTGCCACAGACTC | 509 |
| IFN-R | GCAAGCTTTCATTCTTTCTTACGCAGACG |
Disclaimer/Publisher’s Note: The statements, opinions and data contained in all publications are solely those of the individual author(s) and contributor(s) and not of MDPI and/or the editor(s). MDPI and/or the editor(s) disclaim responsibility for any injury to people or property resulting from any ideas, methods, instructions or products referred to in the content. |
© 2026 by the authors. Licensee MDPI, Basel, Switzerland. This article is an open access article distributed under the terms and conditions of the Creative Commons Attribution (CC BY) license.
Share and Cite
Du, L.; Zhang, R.; Wang, S.; Han, S.; Zhang, S.; Meng, F.; Fang, Z.; Wang, X.; Zhao, R.; Dai, R.; et al. Validation of Recombinant Type I Interferon Antiviral Activity Against Porcine Epidemic Diarrhea Virus In Vitro and In Vivo. Vet. Sci. 2026, 13, 249. https://doi.org/10.3390/vetsci13030249
Du L, Zhang R, Wang S, Han S, Zhang S, Meng F, Fang Z, Wang X, Zhao R, Dai R, et al. Validation of Recombinant Type I Interferon Antiviral Activity Against Porcine Epidemic Diarrhea Virus In Vitro and In Vivo. Veterinary Sciences. 2026; 13(3):249. https://doi.org/10.3390/vetsci13030249
Chicago/Turabian StyleDu, Luyu, Ruili Zhang, Shuyang Wang, Shanshan Han, Shuyu Zhang, Fanliang Meng, Zheng Fang, Xinyuan Wang, Rui Zhao, Ronglian Dai, and et al. 2026. "Validation of Recombinant Type I Interferon Antiviral Activity Against Porcine Epidemic Diarrhea Virus In Vitro and In Vivo" Veterinary Sciences 13, no. 3: 249. https://doi.org/10.3390/vetsci13030249
APA StyleDu, L., Zhang, R., Wang, S., Han, S., Zhang, S., Meng, F., Fang, Z., Wang, X., Zhao, R., Dai, R., Qin, L., Lyu, C., & Wang, G. (2026). Validation of Recombinant Type I Interferon Antiviral Activity Against Porcine Epidemic Diarrhea Virus In Vitro and In Vivo. Veterinary Sciences, 13(3), 249. https://doi.org/10.3390/vetsci13030249

