This is an early access version, the complete PDF, HTML, and XML versions will be available soon.
Open AccessReview
Biochemical and Hepatic Determinants of Reproductive Failure in Reptiles: A Review of Dystocia Pathophysiology and Management
by
Margot Morel
Margot Morel
Dr Margot Morel is a French veterinarian with a passion for exotic and wildlife medicine. She from a [...]
Dr Margot Morel is a French veterinarian with a passion for exotic and wildlife medicine. She graduated from the International English Program of the University of Veterinary Medicine in Budapest and completed a post-graduate internship in Exotic and Wildlife Medicine at Great Western Exotics (GWE) in the United Kingdom, where she gained extensive experience in advanced diagnostics, anaesthesia, emergency care, and the medical and surgical management of reptiles, birds, small mammals and wildlife. She is currently completing the RCVS CertAVP in Zoological Medicine. Dr Morel works at the Broadway Veterinary Group in Kent, where she established and now leads the exotic animal department, implementing species-specific clinical protocols, structured hospitalisation systems, and staff training for safe handling and anaesthesia. She also provides general small animal care alongside her exotic caseload. In addition, she works casually for the RSPCA (wildlife centers) offering veterinary support for wildlife casualties, and welfare assessments. She also provides clinical services to zoological collections and wildlife rescue centres. Dr Morel is an active scientific author with publications primarily focused on exotic animal medicine and wildlife health. She has a particular interest in elephant biology, welfare, and conservation, and hopes to contribute future research to support this species.
1,*
,
Michaela Gumpenberger
Michaela Gumpenberger 2
,
Hermann Kempf
Hermann Kempf 3,
Sarah Green
Sarah Green 1,
Remco A. Nederlof
Remco A. Nederlof 4
and
Jaco Bakker
Jaco Bakker 5
1
Broadway Veterinary Group, Unit 1 the Links, Herne CT6 7FE, UK
2
Clinical Department for Companion Animals and Horses, Diagnostic Imaging, University of Veterinary Medicine Vienna, Veterinärplatz 1, 1210 Vienna, Austria
3
Tieraerztliche Praxis fur Exoten, 86167 Augsburg, Germany
4
Independent Researcher, 2861 XZ Bergambacht, The Netherlands
5
Animal Science Department, Biomedical Primate Research Centre, 2288 GJ Rijswijk, The Netherlands
*
Author to whom correspondence should be addressed.
Vet. Sci. 2026, 13(1), 30; https://doi.org/10.3390/vetsci13010030 (registering DOI)
Submission received: 30 November 2025
/
Revised: 23 December 2025
/
Accepted: 25 December 2025
/
Published: 27 December 2025
Simple Summary
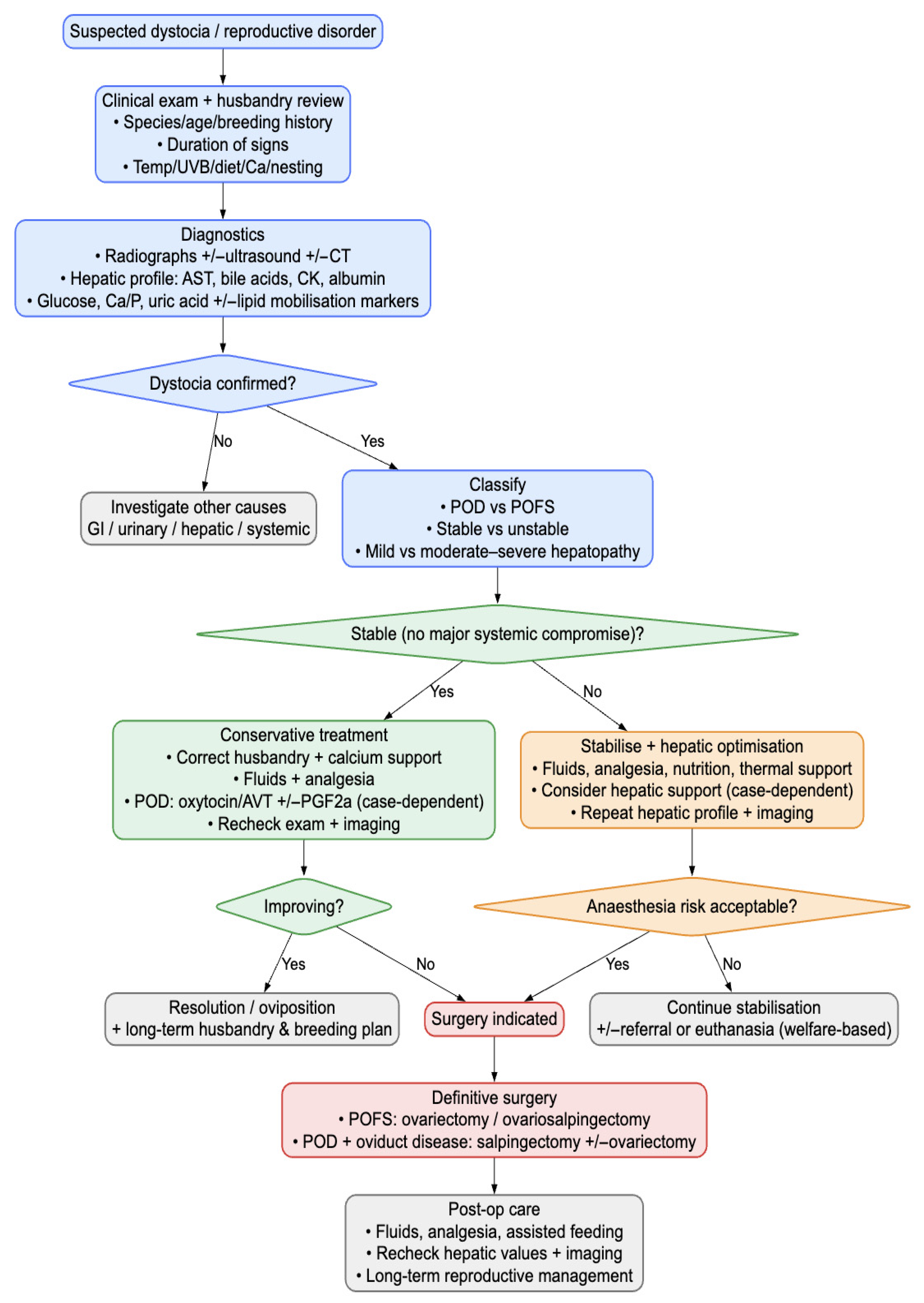
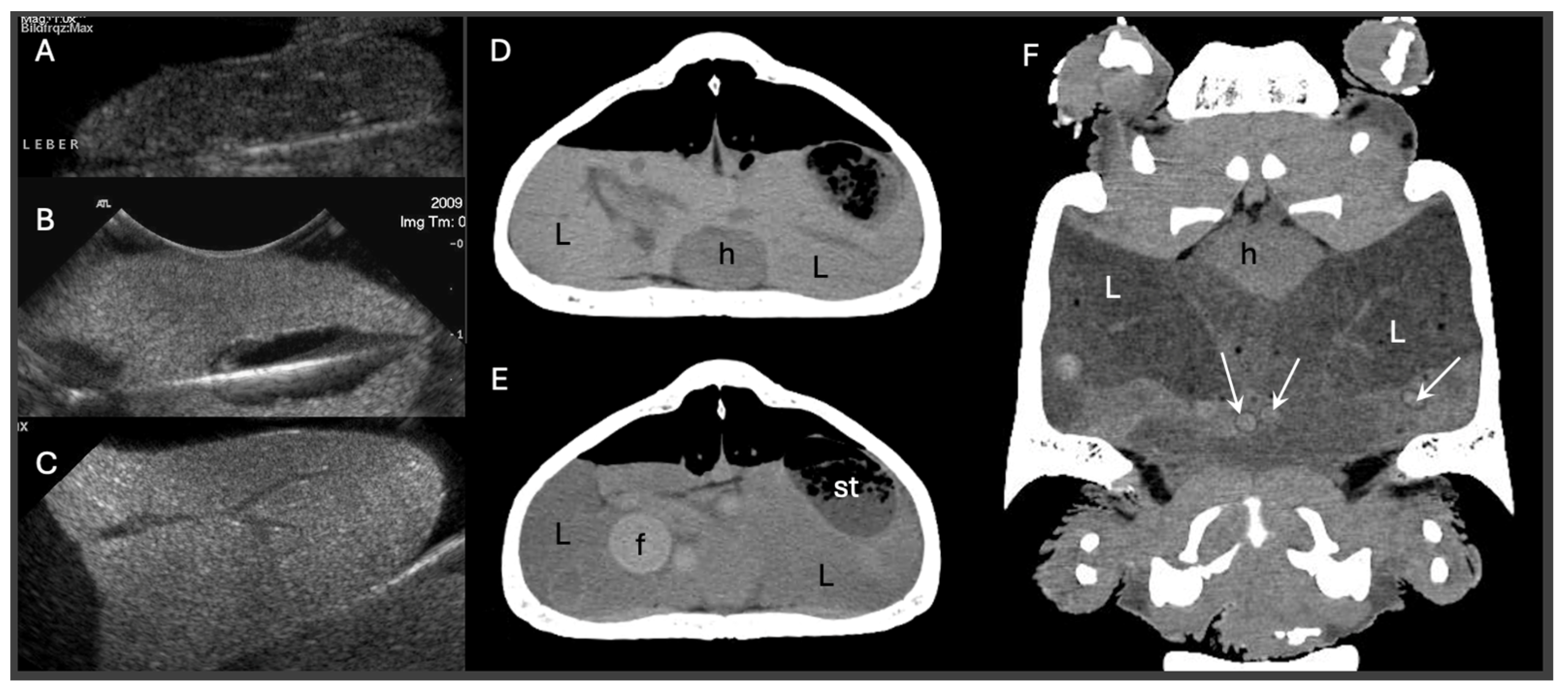
Dystocia, or egg-binding, is a common reproductive emergency in reptiles, often arising from multifactorial systemic and environmental causes. This review focuses on the biochemical and hepatic determinants contributing to dystocia across major reptilian taxa, including lizards, snakes, and chelonians. Prolonged vitellogenesis, hepatic lipidosis, and metabolic disturbances such as hypocalcemia or elevated bile acids may impair oviductal contractility and egg passage, increasing the risk of reproductive failure. The pathophysiology of dystocia is examined with particular emphasis on liver function and its role in reproductive hormone metabolism, nutrient allocation, and systemic homeostasis. Diagnostic strategies, ranging from radiography and ultrasonography to plasma biochemistry, are evaluated for their relevance in assessing reproductive status and perioperative risk. Management options, including medical interventions (e.g., oxytocin protocols, supportive therapy) and surgical techniques (e.g., ovocentesis, coeliotomy, ovariosalpingectomy), are reviewed with consideration of anesthetic safety in metabolically compromised patients. This review aims to inform clinical decision-making by integrating diagnostic and therapeutic approaches with a strong emphasis on hepatic function and biochemical indicators, thereby improving outcomes in the veterinary management of reproductive failure in reptiles.
Abstract
Dystocia represents a multifactorial and clinically significant reproductive disorder affecting a broad spectrum of reptilian species. Commonly resulting from prolonged vitellogenesis, endocrine disruption, or hepatic lipidosis, dystocia is often exacerbated by suboptimal husbandry or concurrent disease. This review critically evaluates the etiology, diagnostic criteria, and therapeutic interventions associated with this condition. Emphasis is placed on the interplay between metabolic exhaustion and hepatic compromise, which may lower the threshold for surgical intervention. The efficacy and limitations of oxytocin-based protocols are discussed in the context of hormonal receptor variability and response attenuation. Advanced diagnostic modalities, including ultrasonography, radiography/CT, and biochemical profiling, are reviewed for their utility in case stratification. Finally, surgical management options are considered for cases refractory to medical treatment, with attention paid to timing, anesthetic risk, and post-operative care. Collectively, this synthesis aims to inform evidence-based clinical decision-making and promote improved standards of care in reptile reproductive medicine.
Share and Cite
MDPI and ACS Style
Morel, M.; Gumpenberger, M.; Kempf, H.; Green, S.; Nederlof, R.A.; Bakker, J.
Biochemical and Hepatic Determinants of Reproductive Failure in Reptiles: A Review of Dystocia Pathophysiology and Management. Vet. Sci. 2026, 13, 30.
https://doi.org/10.3390/vetsci13010030
AMA Style
Morel M, Gumpenberger M, Kempf H, Green S, Nederlof RA, Bakker J.
Biochemical and Hepatic Determinants of Reproductive Failure in Reptiles: A Review of Dystocia Pathophysiology and Management. Veterinary Sciences. 2026; 13(1):30.
https://doi.org/10.3390/vetsci13010030
Chicago/Turabian Style
Morel, Margot, Michaela Gumpenberger, Hermann Kempf, Sarah Green, Remco A. Nederlof, and Jaco Bakker.
2026. "Biochemical and Hepatic Determinants of Reproductive Failure in Reptiles: A Review of Dystocia Pathophysiology and Management" Veterinary Sciences 13, no. 1: 30.
https://doi.org/10.3390/vetsci13010030
APA Style
Morel, M., Gumpenberger, M., Kempf, H., Green, S., Nederlof, R. A., & Bakker, J.
(2026). Biochemical and Hepatic Determinants of Reproductive Failure in Reptiles: A Review of Dystocia Pathophysiology and Management. Veterinary Sciences, 13(1), 30.
https://doi.org/10.3390/vetsci13010030
Note that from the first issue of 2016, this journal uses article numbers instead of page numbers. See further details
here.
Article Metrics
Article metric data becomes available approximately 24 hours after publication online.