Isolation and Characterization of Vancomycin-Resistant Enterococcus faecium from Cattle: Antimicrobial Resistance, Virulence Genes, and Pathogenicity
Simple Summary
Abstract
1. Introduction
2. Materials and Methods
2.1. Sample Collection and Isolation and Identification of E. faecium
2.2. Antimicrobial Susceptibility Testing
2.3. Virulence Gene Detection
2.4. Animal Pathogenicity Assay
2.5. Statistical Analysis
3. Results
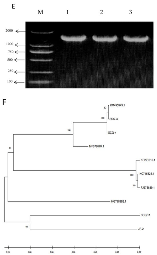
3.1. Isolation and Identification Pathogenic Strains of E. faecium
3.2. Antimicrobial Susceptibility Testing of Isolates
3.3. Virulence Gene Detection in Vancomycin-Resistant Isolate SCQ11
3.4. Pathogenicity Assessment of Vancomycin-Resistant Isolate SCQ11
4. Discussion
5. Conclusions
Author Contributions
Funding
Institutional Review Board Statement
Informed Consent Statement
Data Availability Statement
Conflicts of Interest
Correction Statement
Abbreviations
| 16S rRNA | 16S Ribosomal Ribonucleic Acid |
| ace | Adhesin to Collagen of Enterococcus |
| agg | Aggregation Substance |
| AMR | Antimicrobial Resistance |
| asa1 | Aggregation Substance Gene |
| asal | Aggregation Substance Associated Lipoprotein |
| ATCC | American Type Culture Collection |
| BHI | Brain Heart Infusion |
| cbh | Cell-Binding Homolog |
| cyl | Cytolysin Gene |
| CFU/kg | Colony-Forming Units per Kilogram |
| CLSI | Clinical and Laboratory Standards Institute |
| esp | Enterococcal Surface Protein Gene |
| E. faecium | Enterococcus faecium |
| gelE | Gelatinase Gene |
| H&E | Hematoxylin and Eosin |
| hyl | Hyaluronidase |
| hyp | Hypothetical Protein (unknown function) |
| MAG | Mannose Agar Gel Test |
| MDR | Multidrug-Resistant |
| nuc | Nuclease |
| NCBI | National Center for Biotechnology Information |
| PBS | Phosphate-Buffered Saline |
| PMG | Phenol-Mannitol Gel Test |
| PCR | Polymerase Chain Reaction |
| psaA | Pneumococcal Surface Adhesin A |
| SCQ3, SCQ4, SCQ11 | Strain Codes for E. faecium Isolates |
| scm | Surface Protein (Collagen-binding Adhesin) |
| sprE | Serine Protease |
| srtA | Sortase A (anchors surface proteins to cell wall) |
| TMZ | Tryptone-Mannitol-Zinc Test |
| UV | Ultraviolet |
References
- Aziz, F.; Khan, M.N.; Ahmed, S.; Andrews, S.C. Draft Genome Sequence of Enterococcus faecium SP15, a Potential Probiotic Strain Isolated from Spring Water. BMC Res. Notes 2019, 12, 99. [Google Scholar] [CrossRef]
- Klare, I.; Konstabel, C.; Badstübner, D.; Werner, G.; Witte, W. Occurrence and Spread of Antibiotic Resistances in Enterococcus faecium. Int. J. Food Microbiol. 2003, 88, 269–290. [Google Scholar] [CrossRef]
- Torres, C.; Alonso, C.A.; Ruiz-Ripa, L.; León-Sampedro, R.; Del Campo, R.; Coque, T.M. Antimicrobial Resistance in Enterococcus spp. of Animal Origin. Microbiol. Spectr. 2018, 6, ARBA-0032-2018. [Google Scholar] [CrossRef]
- Xuan, H.; Yao, X.; Pan, R.; Gao, Y.; Wei, J.; Shao, D.; Liu, K.; Li, Z.; Qiu, Y.; Ma, Z.; et al. Antimicrobial Resistance in Enterococcus faecium and Enterococcus faecalis Isolates of Swine Origin from Eighteen Provinces in China. J. Vet. Med. Sci. 2021, 83, 1952–1958. [Google Scholar] [CrossRef]
- Zaheer, R.; Cook, S.R.; Barbieri, R.; Goji, N.; Cameron, A.; Petkau, A.; Polo, R.O.; Tymensen, L.; Stamm, C.; Song, J.; et al. Surveillance of Enterococcus spp. Reveals Distinct Species and Antimicrobial Resistance Diversity across a One-Health Continuum. Sci. Rep. 2020, 10, 3937. [Google Scholar] [CrossRef] [PubMed]
- Im, E.J.; Lee, H.H.-Y.; Kim, M.; Kim, M.-K. Evaluation of Enterococcal Probiotic Usage and Review of Potential Health Benefits, Safety, and Risk of Antibiotic-Resistant Strain Emergence. Antibiotics 2023, 12, 1327. [Google Scholar] [CrossRef]
- Krawczyk, B.; Wityk, P.; Gałęcka, M.; Michalik, M. The Many Faces of Enterococcus spp.—Commensal, Probiotic and Opportunistic Pathogen. Microorganisms 2021, 9, 1900. [Google Scholar] [CrossRef] [PubMed]
- Ferchichi, M.; Sebei, K.; Boukerb, A.M.; Karray-Bouraoui, N.; Chevalier, S.; Feuilloley, M.G.J.; Connil, N.; Zommiti, M. Enterococcus spp.: Is It A Bad Choice A Good Use—A Conundrum Solve? Microorganisms 2021, 9, 2222. [Google Scholar] [CrossRef] [PubMed]
- Seputiene, V.; Bogdaite, A.; Ruzauskas, M.; Suziedeliene, E. Antibiotic Resistance Genes and Virulence Factors in Enterococcus faecium and Enterococcus faecalis from Diseased Farm Animals: Pigs, Cattle and Poultry. Pol. J. Vet. Sci. 2012, 15, 431–438. [Google Scholar]
- Huang, C.; Moradi, S.; Sholeh, M.; Tabaei, F.M.; Lai, T.; Tan, B.; Meng, J.; Azizian, K. Global Trends in Antimicrobial Resistance of Enterococcus faecium: A Systematic Review and Meta-Analysis of Clinical Isolates. Front. Pharmacol. 2025, 16, 1505674. [Google Scholar] [CrossRef]
- Markwart, R.; Willrich, N.; Haller, S.; Noll, I.; Koppe, U.; Werner, G.; Eckmanns, T.; Reuss, A. The Rise in Vancomycin-Resistant Enterococcus faecium in Germany: Data from the German Antimicrobial Resistance Surveillance (ARS). Antimicrob. Resist. Infect. Control 2019, 8, 147. [Google Scholar] [CrossRef]
- Arredondo-Alonso, S.; Top, J.; McNally, A.; Puranen, S.; Pesonen, M.; Pensar, J.; Marttinen, P.; Braat, J.C.; Rogers, M.R.C.; Van Schaik, W.; et al. Plasmids Shaped the Recent Emergence of the Major Nosocomial Pathogen Enterococcus faecium. mBio 2020, 11, e03284-19. [Google Scholar] [CrossRef]
- García-Solache, M.; Rice, L.B. The Enterococcus: A Model of Adaptability to Its Environment. Clin. Microbiol. Rev. 2019, 32, e00058-18. [Google Scholar] [CrossRef]
- Guzman Prieto, A.M.; Van Schaik, W.; Rogers, M.R.C.; Coque, T.M.; Baquero, F.; Corander, J.; Willems, R.J.L. Global Emergence and Dissemination of Enterococci as Nosocomial Pathogens: Attack of the Clones? Front. Microbiol. 2016, 7, 788. [Google Scholar] [CrossRef]
- Wei, Y.; Palacios Araya, D.; Palmer, K.L. Enterococcus faecium: Evolution, Adaptation, Pathogenesis and Emerging Therapeutics. Nat. Rev. Microbiol. 2024, 22, 705–721. [Google Scholar] [CrossRef]
- Wagner, T.; Joshi, B.; Janice, J.; Askarian, F.; Škalko-Basnet, N.; Hagestad, O.C.; Mekhlif, A.; Wai, S.N.; Hegstad, K.; Johannessen, M. Enterococcus faecium Produces Membrane Vesicles Containing Virulence Factors and Antimicrobial Resistance Related Proteins. J. Proteom. 2018, 187, 28–38. [Google Scholar] [CrossRef] [PubMed]
- Arias, C.A.; Murray, B.E. The Rise of the Enterococcus: Beyond Vancomycin Resistance. Nat. Rev. Microbiol. 2012, 10, 266–278. [Google Scholar] [CrossRef] [PubMed]
- Cattoir, V.; Giard, J.-C. Antibiotic Resistance in Enterococcus faecium Clinical Isolates. Expert Rev. Anti Infect. Ther. 2014, 12, 239–248. [Google Scholar] [CrossRef]
- Lee, T.; Pang, S.; Abraham, S.; Coombs, G.W. Antimicrobial-Resistant CC17 Enterococcus faecium: The Past, the Present and the Future. J. Glob. Antimicrob. Resist. 2019, 16, 36–47. [Google Scholar] [CrossRef]
- Yim, J.; Smith, J.R.; Rybak, M.J. Role of Combination Antimicrobial Therapy for Vancomycin-Resistant Enterococcus faecium Infections: Review of the Current Evidence. Pharmacother. J. Hum. Pharmacol. Drug Ther. 2017, 37, 579–592. [Google Scholar] [CrossRef]
- Gao, W.; Howden, B.P.; Stinear, T.P. Evolution of Virulence in Enterococcus faecium, a Hospital-Adapted Opportunistic Pathogen. Curr. Opin. Microbiol. 2018, 41, 76–82. [Google Scholar] [CrossRef]
- Zhou, X.; Willems, R.J.L.; Friedrich, A.W.; Rossen, J.W.A.; Bathoorn, E. Enterococcus faecium: From Microbiological Insights to Practical Recommendations for Infection Control and Diagnostics. Antimicrob. Resist. Infect. Control 2020, 9, 130. [Google Scholar] [CrossRef] [PubMed]
- Gouliouris, T.; Coll, F.; Ludden, C.; Blane, B.; Raven, K.E.; Naydenova, P.; Crawley, C.; Török, M.E.; Enoch, D.A.; Brown, N.M.; et al. Quantifying Acquisition and Transmission of Enterococcus faecium Using Genomic Surveillance. Nat. Microbiol. 2020, 6, 103–111. [Google Scholar] [CrossRef] [PubMed]
- Cebeci, T. Species Prevalence, Virulence Genes, and Antibiotic Resistance of Enterococci from Food-Producing Animals at a Slaughterhouse in Turkey. Sci. Rep. 2024, 14, 13191. [Google Scholar] [CrossRef]
- Messele, Y.; Hasoon, M.; Trott, D.; Veltman, T.; McMeniman, J.; Kidd, S.; Low, W.; Petrovski, K. Longitudinal Analysis of Antimicrobial Resistance among Enterococcus Species Isolated from Australian Beef Cattle Faeces at Feedlot Entry and Exit. Animals 2022, 12, 2690. [Google Scholar] [CrossRef]
- Ocejo, M.; Mugica, M.; Oporto, B.; Lavín, J.L.; Hurtado, A. Whole-Genome Long-Read Sequencing to Unveil Enterococcus Antimicrobial Resistance in Dairy Cattle Farms Exposed a Widespread Occurrence of Enterococcus lactis. Microbiol. Spectr. 2024, 12, e03672-23. [Google Scholar] [CrossRef]
- Beukers, A.G.; Zaheer, R.; Goji, N.; Amoako, K.K.; Chaves, A.V.; Ward, M.P.; McAllister, T.A. Comparative Genomics of Enterococcus spp. Isolated from Bovine Feces. BMC Microbiol. 2017, 17, 52. [Google Scholar] [CrossRef] [PubMed]
- Brotto, A.L.C.; Silva, S.V.; Silva, R.L.S.; Antoniazzi, F.B.; Stievano, J.M.; Nakaghi, A.C.H.; Barberato-Filho, S.; Silva, M.T.; Bergamaschi, C.C. Prevalence of antimicrobial-resistant Enterococcus faecium in commercial cattle: A systematic review and meta-analysis. Ars Vet. 2022, 38, 57. [Google Scholar] [CrossRef]
- Makarov, D.A.; Ivanova, O.E.; Pomazkova, A.V.; Egoreva, M.A.; Prasolova, O.V.; Lenev, S.V.; Gergel, M.A.; Bukova, N.K.; Karabanov, S.Y. Antimicrobial Resistance of Commensal Enterococcus faecalis and Enterococcus faecium from Food-Producing Animals in Russia. Vet. World 2022, 15, 611–621. [Google Scholar] [CrossRef]
- Messele, Y.E.; Trott, D.J.; Hasoon, M.F.; Veltman, T.; McMeniman, J.P.; Kidd, S.P.; Petrovski, K.R.; Low, W.Y. Phylogeny, Virulence, and Antimicrobial Resistance Gene Profiles of Enterococcus faecium Isolated from Australian Feedlot Cattle and Their Significance to Public and Environmental Health. Antibiotics 2023, 12, 1122. [Google Scholar] [CrossRef]
- Zaidi, S.-Z.; Zaheer, R.; Poulin-Laprade, D.; Scott, A.; Rehman, M.A.; Diarra, M.; Topp, E.; Domselaar, G.V.; Zovoilis, A.; McAllister, T.A. Comparative Genomic Analysis of Enterococci across Sectors of the One Health Continuum. Microorganisms 2023, 11, 727. [Google Scholar] [CrossRef]
- Cinthi, M.; Coccitto, S.N.; Simoni, S.; Vignaroli, C.; Brenciani, A.; Giovanetti, E. An Enterococcus faecium Isolated from Bovine Feces in Italy Shares optrA- and poxtA-Carrying Plasmids with Enterococci from Switzerland. Microb. Drug Resist. 2023, 29, 438–442. [Google Scholar] [CrossRef]
- Lopes, J.; De Lencastre, H.; Conceição, T. Genomic Analysis of Enterococcus faecium from Non-Clinical Settings: Antimicrobial Resistance, Virulence, and Clonal Population in Livestock and the Urban Environment. Front. Microbiol. 2024, 15, 1466990. [Google Scholar] [CrossRef]
- Nurrahmat, A.M.I.; Susetya, H.; Putri, K. Antibiogram Profile of Enterococcus faecalis and Enterococcus faecium in Chicken Meat from Supermarkets in Sleman District, Indonesia. Vet. World 2025, 18, 491–499. [Google Scholar] [CrossRef]
- Ryu, H.; Henson, M.; Elk, M.; Toledo-Hernandez, C.; Griffith, J.; Blackwood, D.; Noble, R.; Gourmelon, M.; Glassmeyer, S.; Santo Domingo, J.W. Development of Quantitative PCR Assays Targeting the 16S rRNA Genes of Enterococcus spp. and Their Application to the Identification of Enterococcus Species in Environmental Samples. Appl. Environ. Microbiol. 2013, 79, 196–204. [Google Scholar] [CrossRef] [PubMed]
- Clinical & Laboratory Standards Institute. M100-Performance Standards for Antimicrobial Susceptibility Testing, 28th ed.; Clinical & Laboratory Standards Institute: Wayne, PA, USA, 2018; Available online: https://fda.report/Standards/37761 (accessed on 1 August 2025).
- Qiaoyun, X.; Mengzhi, W.; Yongjiu, H.; Yuhong, L. Effects of Enterococcus faecium Preparation on Serum Biochemical, Antioxidant, and Immune Indices in Mid-Lactation Dairy Cows. Feed Ind. 2018, 39, 22–29. [Google Scholar]
- Fengqin, W.; Haitao, X.; Baocheng, H.; Xiaoyong, X.; Shijun, B.; Yonghao, H. Isolation, Identification, and Biological Characterization of Enterococcus faecium from Sheep. Chin. J. Vet. Med. Herb. Med. 2020, 39, 13–16. [Google Scholar]
- Tiantian, B.; Xuefeng, G. Characteristics of Enterococcus faecium and Research Progress on Its Application in Livestock Production. China Anim. Husb. J. 2021, 57, 16–20. [Google Scholar]
- Pengjuan, G. Isolation and Identification of Enterococcus faecium Phage IME-EFm5 and Study on the Key Functional Sites of Its Endolysin. Ph.D. Thesis, Jilin University, Changchun, China, 2016. [Google Scholar]
- Radford-Smith, D.E.; Anthony, D.C. Vancomycin-Resistant, E. faecium: Addressing Global and Clinical Challenges. Antibiotics 2025, 14, 522. [Google Scholar] [CrossRef]
- Economou, V.; Gousia, P. Agriculture and Food Animals as a Source of Antimicrobial-Resistant Bacteria. Infect. Drug Resist. 2015, 8, 49–61. [Google Scholar] [CrossRef]
- Ghosh, S.; LaPara, T.M. The Effects of Subtherapeutic Antibiotic Use in Farm Animals on the Proliferation and Persistence of Antibiotic Resistance among Soil Bacteria. ISME J. 2007, 1, 191–203. [Google Scholar] [CrossRef]
- Hegstad, K.; Mikalsen, T.; Coque, T.M.; Werner, G.; Sundsfjord, A. Mobile Genetic Elements and Their Contribution to the Emergence of Antimicrobial Resistant Enterococcus faecalis and Enterococcus faecium. Clin. Microbiol. Infect. 2010, 16, 541–554. [Google Scholar] [CrossRef]
- Ahmad, N.; Joji, R.M.; Shahid, M. Evolution and Implementation of One Health to Control the Dissemination of Antibiotic-Resistant Bacteria and Resistance Genes: A Review. Front. Cell. Infect. Microbiol. 2023, 12, 1065796. [Google Scholar] [CrossRef]
- Hibbard, R.; Mendelson, M.; Page, S.W.; Ferreira, J.P.; Pulcini, C.; Paul, M.C.; Faverjon, C. Antimicrobial Stewardship: A Definition with a One Health Perspective. Npj Antimicrob. Resist. 2024, 2, 15. [Google Scholar] [CrossRef] [PubMed]
- McCubbin, K.D.; Barkema, H.W.; Babujee, A.; Forseille, J.; Naum, K.; Buote, P.; Dalton, D.; Checkley, S.L.; Lehman, K.; Morris, T.; et al. One Health and Antimicrobial Stewardship: Where to Go from Here? Can. Vet. J. 2022, 63, 198–200. [Google Scholar]
- Musoke, D.; Kitutu, F.E.; Mugisha, L.; Amir, S.; Brandish, C.; Ikhile, D.; Kajumbula, H.; Kizito, I.M.; Lubega, G.B.; Niyongabo, F.; et al. A One Health Approach to Strengthening Antimicrobial Stewardship in Wakiso District, Uganda. Antibiotics 2020, 9, 764. [Google Scholar] [CrossRef] [PubMed]
- Mannu, L.; Paba, A.; Daga, E.; Comunian, R.; Zanetti, S.; Duprè, I.; Sechi, L.A. Comparison of the Incidence of Virulence Determinants and Antibiotic Resistance between Enterococcus faecium Strains of Dairy, Animal and Clinical Origin. Int. J. Food Microbiol. 2003, 88, 291–304. [Google Scholar] [CrossRef]
- Ribeiro, T.; Oliveira, M.; Fraqueza, M.J.; Lauková, A.; Elias, M.; Tenreiro, R.; Barreto, A.S.; Semedo-Lemsaddek, T. Antibiotic resistance and virulence factors among Enterococci isolated from chouriço, a traditional Portuguese dry fermented sausage. J. Food Prot. 2013, 74, 465–469. [Google Scholar] [CrossRef]
- Bin-Asif, H.; Ali, S.A. The Genus Enterococcus and Its Associated Virulent Factors. In Microorganisms; IntechOpen: London, UK, 2019. [Google Scholar]
- Jiahui, W.; Dan, J.; Hehai, L.; Aihong, L.; Guiquan, G.; Jianxun, L.; Hong, Y.; Youquan, L. Detection of Virulence Genes and Antimicrobial Resistance in Enterococcus faecium. Chin. Vet. Sci. 2020, 50, 1428–1432. [Google Scholar]




| Gene(s) | Primer Sequence (5′-3′) | Size (bp) |
|---|---|---|
| psaA | CTATTTTGCAGCAAGTGATG | 540 |
| CGCATAGTAACTATCACCATCTTG | ||
| hyp | TAGCGAATAAAACAGTCACC | 380 |
| AACTTGTGCTTGTCGAGAAA | ||
| asal | CCAGCCAACTATGGCGGAATC | 529 |
| CCTGTCGCAAGATCGACTGTA | ||
| sprE | CGTTCCTGCCGAAAGTC | 570 |
| GATTGGGGAACCAGATTGA | ||
| nuc | GTGTAAAAGAAGTTACTGAAAATGTTACTC | 332 |
| GCGTTTTTTGTAGTAATGTTCCATCTACG | ||
| Cbh | CTCATAGGATCCATCACCAACATCAC | 580 |
| TGGCTGGAATTCACTTTTCAGGCTAT | ||
| SrtA | TTGGAATCTAGAAATAACACCTTCTTGCAAGATACCTTTC | 876 |
| TTTTTTCTGCAGTGGGCGCATATTTTCCCTCCTTTTAATG | ||
| hyl | ACAGAAGAGCTGCAGGAAATG | 276 |
| GACTGACGTCCAAGTTTCCAA | ||
| scm | GTTTACTAGTCCTAGTTGC | 1015 |
| TCTGTACTGTCGCTTGTGTC | ||
| ace | GGAATGACCGAGAACGATGGC | 616 |
| GCTTGATGTTGGCCTCCTTCCG | ||
| Agg | CACGTAATTCTTGCCCACCA | 520 |
| CAAGCATTATTGGCAGCGTT |
| Biochemical Test | Result | Biochemical Test | Result | Biochemical Test | Result |
|---|---|---|---|---|---|
| Sorbitol | − | PMG | − | Hydrogen sulfide | − |
| Fructose | + | Sucrose | + | Methyl Red (MR) | − |
| Phosphate Glucose Peptone Water | − | N-acetylglucosamine | + | Indole (Peptone Water) | − |
| Melibiose | + | DPP | + | Raffinose | + |
| Nitrate | − | Ornithine | + | Lysine | + |
| Urea | + | Mannitol | + | Gluconate | − |
| Xylose | + | Arginine | + | Adonitol | − |
| Trehalose | + | Esculin | + | Citrate | − |
| Maltose | + | MAG | − | TMZ | + |
| Mannitol | + | Amino acid utilization | + | Phenylalanine | − |
| Lactose | + | — | — | — | — |
| Antibiotic | SCQ3 | AR | SCQ4 | AR | SCQ11 | AR |
|---|---|---|---|---|---|---|
| Azithromycin | 15 | S | 17 | S | 10 | I |
| Streptomycin | 0 | R | 0 | R | 0 | R |
| Roxithromycin | 17 | S | 18 | S | 0 | R |
| Vancomycin | 17 | S | 20 | S | 0 | R |
| Kanamycin | 0 | R | 0 | R | 0 | R |
| Gentamicin | 0 | R | 0 | R | 0 | R |
| Tetracycline | 10 | I | 10 | I | 0 | R |
| Enrofloxacin | 10 | I | 17 | S | 0 | R |
| Ciprofloxacin | 0 | R | 0 | R | 0 | R |
| Nitrofurantoin | 18 | S | 20 | S | 16 | S |
| Cefotaxime sodium | 0 | R | 0 | R | 0 | R |
| Oxacillin | 0 | R | 0 | R | 0 | R |
| Chloramphenicol | 17 | S | 19 | S | 0 | R |
| Sulfadiazine | 0 | R | 0 | R | 0 | R |
Disclaimer/Publisher’s Note: The statements, opinions and data contained in all publications are solely those of the individual author(s) and contributor(s) and not of MDPI and/or the editor(s). MDPI and/or the editor(s) disclaim responsibility for any injury to people or property resulting from any ideas, methods, instructions or products referred to in the content. |
© 2025 by the authors. Licensee MDPI, Basel, Switzerland. This article is an open access article distributed under the terms and conditions of the Creative Commons Attribution (CC BY) license (https://creativecommons.org/licenses/by/4.0/).
Share and Cite
Cao, M.; Cao, F.; Wang, C.; Yan, X.; Dong, F.; Zhang, S.; Abousaad, S.; Yang, L.; Abouzeid, A.M.; Wang, Y.; et al. Isolation and Characterization of Vancomycin-Resistant Enterococcus faecium from Cattle: Antimicrobial Resistance, Virulence Genes, and Pathogenicity. Vet. Sci. 2025, 12, 880. https://doi.org/10.3390/vetsci12090880
Cao M, Cao F, Wang C, Yan X, Dong F, Zhang S, Abousaad S, Yang L, Abouzeid AM, Wang Y, et al. Isolation and Characterization of Vancomycin-Resistant Enterococcus faecium from Cattle: Antimicrobial Resistance, Virulence Genes, and Pathogenicity. Veterinary Sciences. 2025; 12(9):880. https://doi.org/10.3390/vetsci12090880
Chicago/Turabian StyleCao, Mengyuan, Fang Cao, Chenyu Wang, Xueqi Yan, Feng Dong, Shilei Zhang, Shaymaa Abousaad, Lin Yang, Ayman M. Abouzeid, Yongjie Wang, and et al. 2025. "Isolation and Characterization of Vancomycin-Resistant Enterococcus faecium from Cattle: Antimicrobial Resistance, Virulence Genes, and Pathogenicity" Veterinary Sciences 12, no. 9: 880. https://doi.org/10.3390/vetsci12090880
APA StyleCao, M., Cao, F., Wang, C., Yan, X., Dong, F., Zhang, S., Abousaad, S., Yang, L., Abouzeid, A. M., Wang, Y., & Qi, Y. (2025). Isolation and Characterization of Vancomycin-Resistant Enterococcus faecium from Cattle: Antimicrobial Resistance, Virulence Genes, and Pathogenicity. Veterinary Sciences, 12(9), 880. https://doi.org/10.3390/vetsci12090880

