Evaluation of Sperm Retrieval Efficiency and Extender Impact in Cryopreserved Canine Epididymal Semen
Simple Summary
Abstract
1. Introduction
2. Materials and Methods
2.1. Ethical Approval and Reagents
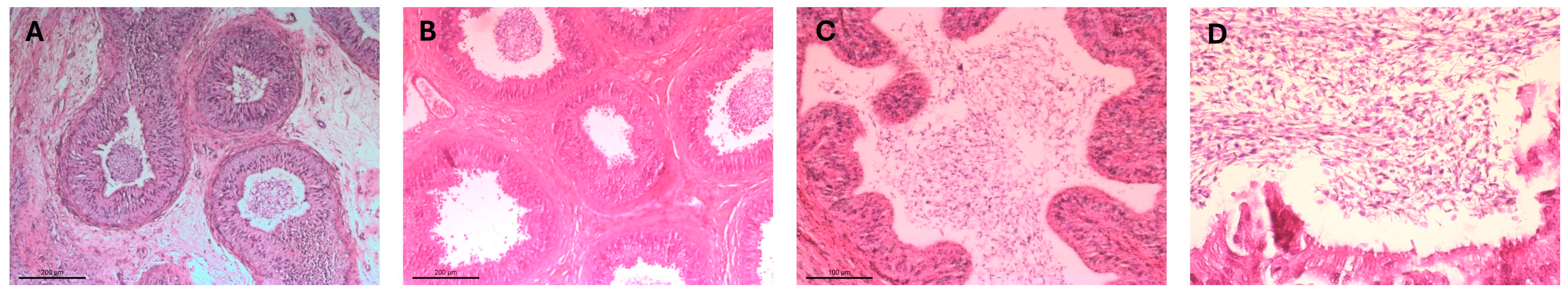
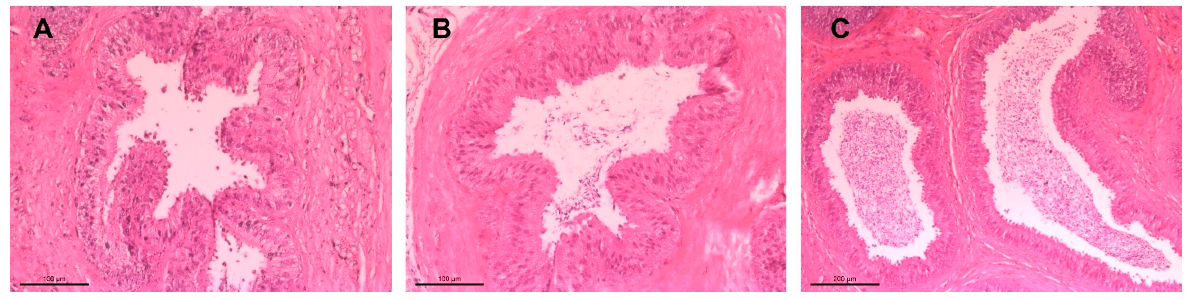
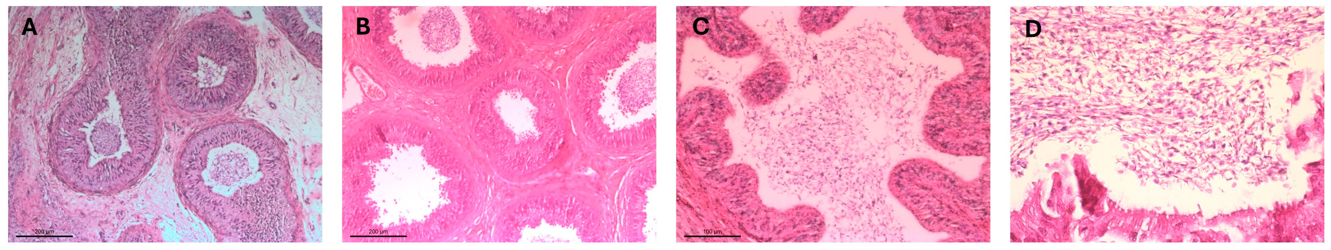
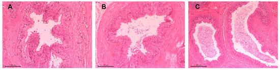
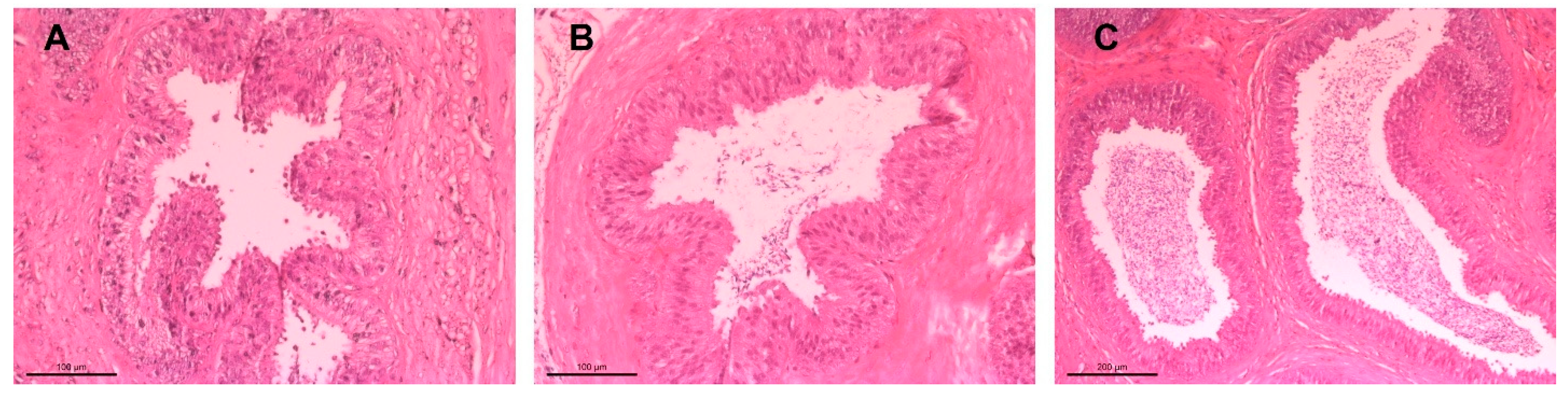
2.2. Epididymal Sperm Collection and Experimental Design
2.3. Preparation of Dilutions and Cryopreservation of Semen Samples
2.3.1. Uppsala Diluent
2.3.2. Tris Diluent
2.3.3. The Optixcell® Diluent
2.3.4. Cryopreservation of Semen Samples
2.4. Examination of Epididymal Sperm Before Freezing Process
2.5. Analysis of Epididymal Sperm After Freezing and Thawing
2.6. Statistical Analysis
3. Results
4. Discussion
5. Conclusions
Author Contributions
Funding
Institutional Review Board Statement
Informed Consent Statement
Data Availability Statement
Acknowledgments
Conflicts of Interest
References
- Ali Hassan, H.; Banchi, P.; Domain, G.; El Khoury, R.; Chaaya, R.; Wydooghe, E.; Smits, K.; Van Soom, A. A comparative study of canine epididymal sperm collection techniques and cryopreservation. Front. Vet. Sci. 2023, 10, 1181054. [Google Scholar] [CrossRef]
- Hoffmann, B.; Schuler, G. Semen collection, preservation and artificial insemination in the dog. In Proceedings of the World Small Animal Veterinary Association (WSAVA) World Congress Proceedings, Rhodes, Greece, 6–9 October 2004. [Google Scholar]
- Varesi, S.; Vernocchi, V.; Faustini, M.; Luvoni, G.C. Quality of canine spermatozoa retrieved by percutaneous epididymal sperm aspiration. J. Small Anim. Pract. 2013, 54, 87–91. [Google Scholar] [CrossRef]
- Varesi, S.; Vernocchi, V.; Faustini, M.; Luvoni, G.C. Morphological and acrosomal changes of canine spermatozoa during epididymal transit. Acta Vet. Scand. 2013, 55, 17. [Google Scholar] [CrossRef] [PubMed]
- Varesi, S.; Vernocchi, V.; Morselli, M.G.; Luvoni, G.C. DNA integrity of fresh and frozen canine epididymal spermatozoa. Reprod. Biol. 2014, 14, 257–261. [Google Scholar] [CrossRef] [PubMed]
- Podico, G.; Canisso, I.F. Retrograde flushing followed by slicing float-up as an approach to optimize epididymal sperm recovery for the purpose of cryopreservation in equids. Animals 2022, 12, 1802. [Google Scholar] [CrossRef]
- Natali, I. Sperm preparation techniques for artificial insemination—Comparison of sperm washing, swim up, and density gradient centrifugation methods. In Artificial Insemination in Farm Animals; Manafi, M., Ed.; InTech: Rijeka, Croatia, 2011. [Google Scholar]
- Yu, I.; Leibo, S.P. Recovery of motile, membrane-intact spermatozoa from canine epididymides stored for 8 days at 4 °C. Theriogenology 2002, 57, 1179–1190. [Google Scholar] [CrossRef]
- Yu, I.; Songsasen, N.; Godke, R.A.; Leibo, S.P. Differences among dogs in response of their spermatozoa to cryopreservation using various cooling and warming rates. Cryobiology 2002, 44, 62–78. [Google Scholar] [CrossRef] [PubMed]
- Hishinuma, M.; Sekine, J. Evaluation of membrane integrity of canine epididymal spermatozoa by short hypoosmotic swelling test with UltraPure water. J. Vet. Med. Sci. 2003, 65, 817–820. [Google Scholar] [CrossRef]
- Hishinuma, M.; Sekine, J. Influence of theophylline supplementation on oocyte penetration of canine epididymal spermatozoa. J. Vet. Med. Sci. 2004, 66, 1417–1419. [Google Scholar] [CrossRef]
- Hishinuma, M.; Sekine, J. Separation of canine epididymal spermatozoa by Percoll gradient centrifugation. Theriogenology 2004, 61, 365–372. [Google Scholar] [CrossRef]
- Stilley, K.; Pope, C.E.; Leibo, S.P.; Denniston, R.S.; Godke, R.A. Survival of canine epididymal sperm stored at 4 °C in the testicles. Theriogenology 2000, 53, 489. [Google Scholar]
- Marks, S.L.; Dupuis, J.; Mickelsen, W.D.; Memon, M.A.; Platz, C.C. Conception by use of postmortem epididymal semen extraction in a dog. J. Am. Vet. Med. Assoc. 1994, 204, 1639–1640. [Google Scholar] [CrossRef]
- Kunc, H.P.; Amrhein, V.; Naguib, M. Seasonal variation in dawn song characteristics in the common nightingale. Anim. Behav. 2005, 70, 1265–1271. [Google Scholar] [CrossRef]
- Ponglowhapan, S.; Chatdarong, K. Effects of Equex STM Paste on the quality of frozen-thawed epididymal dog spermatozoa. Theriogenology 2008, 69, 666–672. [Google Scholar] [CrossRef]
- Ponglowhapan, S.; Chatdarong, K.; Sirivaidyapong, S.; Lohachit, C. Freezing of epididymal spermatozoa from dogs after cool storage for 2 or 4 days. Theriogenology 2006, 66, 1633–1636. [Google Scholar] [CrossRef] [PubMed]
- Nöthling, J.O.; Shuttleworth, R. The effect of straw size, freezing rate and thawing rate upon post-thaw quality of dog semen. Theriogenology 2005, 63, 1469–1480. [Google Scholar] [CrossRef] [PubMed]
- Mota Filho, A.C.; Silva, H.V.; Nunes, T.G.; de Souza, M.B.; de Freitas, L.A.; de Araújo, A.A.; da Silva, L.D. Cryopreservation of canine epididymal sperm using ACP-106c and Tris. Cryobiology 2014, 69, 17–21. [Google Scholar] [CrossRef]
- Hori, T.; Atago, T.; Kobayashi, M.; Kawakami, E. Influence of different methods of collection from the canine epididymides on post-thaw caudal epididymal sperm quality. J. Vet. Med. Sci. 2015, 77, 625–630. [Google Scholar] [CrossRef] [PubMed][Green Version]
- Batista, M.; Vilar, J.; Rosario, I.; Terradas, E. Influence of different anesthetic protocols on sperm quality of fresh, chilled (4 °C), and frozen-thawed epididymal sperm samples in domestic dogs. Reprod. Domest. Anim. 2016, 51, 758–765. [Google Scholar] [CrossRef]
- Kawakami, E.; Morita, Y.; Hori, T.; Tsutsui, T. Lectin-binding characteristics and capacitation of canine epididymal spermatozoa. J. Vet. Med. Sci. 2002, 64, 543–549. [Google Scholar] [CrossRef][Green Version]
- Hori, T.; Ichikawa, M.; Kawakami, E.; Tsutsui, T. Artificial insemination of frozen epididymal sperm in beagle dogs. J. Vet. Med. Sci. 2004, 66, 37–41. [Google Scholar] [CrossRef][Green Version]
- Klinc, P.; Majdic, G.; Sterbenc, N.; Cebulj-Kadunc, N.; Butinar, J.; Kosec, M. Establishment of a pregnancy following intravaginal insemination with epididymal semen from a dog castrated due to benign prostatic hyperplasia. Reprod. Domest. Anim. 2005, 40, 559–561. [Google Scholar] [CrossRef]
- Martins, M.I.; Padilha, L.C.; Souza, F.F.; Lopes, M.D. Fertilizing capacity of frozen epididymal sperm collected from dogs. Reprod. Domest. Anim. 2009, 44 (Suppl. S2), 342–344. [Google Scholar] [CrossRef] [PubMed]
- Martins, M.; Justino, R.C.; Sant’anna, M.C.; Trautwein, L.G.; Souza, F.F. Comparison of two different extenders for cryopreservation of epididymal dog sperm. Reprod. Domest. Anim. 2012, 47 (Suppl. S6), 293–294. [Google Scholar] [CrossRef] [PubMed]
- Hori, T.; Hagiuda, K.; Endo, S.; Hayama, A.; Kawakami, E.; Tsutsui, T. Unilateral intrauterine insemination with cryopreserved caudal epididymal sperm recovered from refrigerated canine epididymides. J. Vet. Med. Sci. 2005, 67, 1141–1147. [Google Scholar] [CrossRef][Green Version]
- Hori, T.; Hagiuda, K.; Kawakami, E.; Tsutsui, T. Unilateral intrauterine insemination with prostatic fluid-sensitized frozen caudal epididymal sperm in beagle dogs. Theriogenology 2005, 63, 1573–1583. [Google Scholar] [CrossRef]
- Hori, T.; Matsuda, Y.; Kobayashi, M.; Kawakami, E.; Tsutsui, T. Comparison of fertility on intrauterine insemination between cryopreserved ejaculated and cauda epididymal sperm in dogs. J. Vet. Med. Sci. 2011, 73, 1685–1688. [Google Scholar] [CrossRef][Green Version]
- Hori, T.; Uehara, Y.; Kawakami, E.; Tsutsui, T. Influence of the time between removal and cooling on post-thaw caudal epididymal sperm quality. J. Vet. Med. Sci. 2009, 71, 811–815. [Google Scholar] [CrossRef]
- Nöthling, J.O.; Gerber, D.; Colenbrander, B.; Dijkstra, M.; Bakker, T.; de Cramer, K. The effect of homologous prostatic fluid on motility and morphology of dog epididymal spermatozoa extended and frozen in Biladyl with Equex STM paste or Andromed. Theriogenology 2007, 67, 264–275. [Google Scholar] [CrossRef][Green Version]
- Linde Forsberg, C. Regulations and recommendations for international shipment of chilled and frozen canine semen. In Recent Advances in Small Animal Reproduction; International Veterinary Information Service; Concannon, P., England, G., Verstegen, J., III, Linde Forsberg, C., Eds.; International Veterinary Information Service (www.ivis.org): Ithaka, NY, USA, 2014. [Google Scholar]
- Hoffmann, B. Samenbeurteilung. In Andrologie—Physiologie und Biotechnologie der Männlichen Fortpflanzung; Hoffmann, B., Ed.; Publisher Lehmanns Media: Berlin, Germany, 2003; pp. 19–28, 47–50. [Google Scholar]
- Hewitt, D.A.; Leahy, R.; Sheldon, I.M.; England, G.C. Cryopreservation of epididymal dog sperm. Anim. Reprod. Sci. 2001, 67, 101–111. [Google Scholar] [CrossRef] [PubMed]
- Bateman, H.L.; Hay, M.A.; Mastromonaco, G.F.; Ryckman, D.P.; Goodrowe, K.L. Characterization of canine epididymal spermatozoa. Theriogenology 2000, 53, 486. [Google Scholar]
- Angrimani, D.S.; Lucio, C.F.; Veiga, G.A.; Silva, L.C.; Regazzi, F.M.; Nichi, M.; Vannucchi, C.I. Sperm maturation in dogs: Sperm profile and enzymatic antioxidant status in ejaculated and epididymal spermatozoa. Andrologia 2014, 46, 814–819. [Google Scholar] [CrossRef] [PubMed]
- Korochkina, E.; Johannisson, A.; Goodla, L.; Morrell, J.M.; Axnér, E. Effect of prostatic fluid on the quality of fresh and frozen-thawed canine epididymal spermatozoa. Theriogenology 2014, 82, 1206–1211. [Google Scholar] [CrossRef]
- Prapaiwan, N.; Tharasanit, T.; Punjachaipornpol, S.; Yamtang, D.; Roongsitthichai, A.; Moonarmart, W.; Kaeoket, K.; Manee-in, S. Low-density lipoprotein improves motility and plasma membrane integrity of cryopreserved canine epididymal spermatozoa. Asian-Australas. J. Anim. Sci. 2016, 29, 646–651. [Google Scholar] [CrossRef]
- Günzel-Apel, A.-R.; Terhaer, P.; Waberski, D. Hodendimensionen und Ejakulatbeschaffenheit fertiler Rüden unterschiedlicher Körpergewichte. Kleintierpraxis 1994, 39, 483–486. [Google Scholar]
- Wehrend, A.; Bostedt, H. Untersuchungsmethoden bei männlichen Kleintieren. In Klinische Labordiagnostik in der Tiermedizin; Moritz, A., Ed.; Schattauer Verlag: Stuttgart, Germany, 2014; pp. 498–527. [Google Scholar]
- Tittarelli, C.; Savignone, C.A.; Arnaudín, E.; Stornelli, M.C.; Stornelli, M.A.; de la Sota, R.L. Effect of storage media and storage time on survival of spermatozoa recovered from canine and feline epididymides. Theriogenology 2006, 66, 1637–1640. [Google Scholar] [CrossRef]
- Li, Z.; Lin, Q.; Liu, R.; Xiao, W.; Liu, W. Protective effects of ascorbate and catalase on human spermatozoa during cryopreservation. J. Androl. 2010, 31, 437–444. [Google Scholar] [CrossRef]
- Michael, A.; Alexopoulos, C.; Pontiki, E.; Hadjipavlou-Litina, D.; Saratsis, P.; Boscos, C. Effect of antioxidant supplementation on semen quality and reactive oxygen species of frozen-thawed canine spermatozoa. Theriogenology 2007, 68, 204–212. [Google Scholar] [CrossRef] [PubMed]




| Parameter | 10 min (Mean ± SD) | 30 min (Mean ± SD) | 10 min/30 min (Min–Max) |
|---|---|---|---|
| Total Motility (%) | 70.0 ± 19.8 | 65.8 ± 18.0 * | 35.0–93.3/29.9–86.7 |
| Progressive Motility (%) | 64.2 ± 20.9 | 60.0 ± 18.0 | 29.3–89.7/25.7–79.9 |
| Rapid Progressive (%) | 26.1 ± 11.9 | 26.0 ± 10.2 ** | 8.0–4.7/9.6–42.2 |
| Circular Motion (%) | 22 ± 12 | 18.0 ± 7.0 | 1.0–1.8/5.0–4.1 |
| Slow Motility (%) | 15.6 ± 8.2 | 15.0 ± 8.3 | 3.0–3.3/4.0–33.0 |
| Local Motility (%) | 6.8 ± 5.5 | 6.0 ± 1.9 * | 6.0–25.0/3.9–10.9 |
| Immotile (%) | 30.0 ± 1.9 | 34.2 ± 18.0 | 6.7–65.0/13.3–70.1 |
| Concentration (10⁶/mL) | 292 ± 175 | 233 ± 162 ** | 6.0–26.5/7.0–73.0 |
| HOS Test (%) | 71.2 ± 17.2 | 66.0 ± 18.0 | 40.0–92.0/38.03–92.0 |
| Live-Dead Staining (%) | 71.0 ± 17.0 | 66.2 ± 18.0 | 40.0–92/38.0–92.0 |
| Incubation Time | ||||||
|---|---|---|---|---|---|---|
| 10 Min. | 30 Min. | |||||
| Parameters | Uppsala | Optixcell | Tris | Uppsala | Optixcell | Tris |
| Host Test (%) | 18.2 ± 12.4 | 15.6 ± 9.3 | 10.3 ± 8.6 | 17.8 ± 7.6 | 13.4 ± 5.8 | 41.5 ± 8.6 |
| Live/Dead (%) | 20.9 ± 14.1 | 15.5 ± 9.3 | 9.4 ± 12.0 | 20.1 ± 10.5 | 10.3 ± 5.3 * | 8.3 ± 6.9 |
| Pathomorphology (%) | 53.6 ± 9.7 | 39.4 ± 11.5 | 48.3 ± 9.4 | 43.8 ± 9.9 * | 41.5 ± 8.6 | 7.8 ± 9.9 |
| Uppsala-Diluent | Tris-Diluent | Optixcell®-Diluent | ||||||||||
|---|---|---|---|---|---|---|---|---|---|---|---|---|
| 0 Min. | 10 Min. | 30 Min. | 60 Min. | 0 Min. | 10 Min. | 30 Min. | 60 Min. | 0 Min. | 10 Min. | 30 Min. | 60 Min. | |
| TM (%) | 19.0 ± 4.6 | 17.9 ± 5.2 | 12.8 ± 13.3 | 8.6 ± 1.5 * | 5.1 ± 4.8 | 5.6 ± 5.7 | 4.5 ± 4.5 | 3.5 ± 2.8 | 14.1 ± 8.8 | 13.6 ± 8.5 | 8.3 ± 4.2 | 5.3 ± 1.6 ** |
| PM (%) | 13.2 ± 4.1 | 11.8 ± 4.5 | 8.2 ± 9.4 | 5.4 ± 2.4 * | 3.0 ± 3.5 | 3.3 ± 3.7 | 2.4 ± 2.7 | 1.7 ± 1.5 | 8.9 ± 6.7 | 8.1 ± 6.0 | 3.9 ± 2.2 | 2.1 ± 0.9 * |
| RM (%) | 3.6 ± 3.2 | 3.6 ± 5.2 | 3.2 ± 1.4 | 2.3 ± 1.9 | 0.9 ± 1.3 | 0.7 ± 1.1 | 0.5 ± 0.6 | 0.3 ± 0.3 | 2.4 ± 12.1 | 2.2 ± 1.8 | 0.8 ± 0.5 | 0.4 ± 0.2 |
| CM (%) | 3.5 ± 1.3 | 3.5 ± 1.3 | 2.3 ± 1.2 | 1.4 ± 1.1 | 0.2 ± 0.3 | 0.2 ± 0.2 | 0.1 ± 0.2 | 0.1 ± 0.2 | 2.0 ± 2.0 | 1.2 ± 1.3 | 0.3 ± 0.3 | 0.1 ± 0.1 |
| SM (%) | 7.6 ± 2.5 | 7.2 ± 2.7 | 4.1 ± 1.4 | 2.3 ± 1.2 * | 2.0 ± 1.9 | 2.4 ± 2.4 | 1.8 ± 1.9 | 1.3 ± 1.0 | 4.6 ± 3.0 | 4.7 ± 3.2 | 2.8 ± 1.5 | 1.3 ± 0.4 * |
| LM (%) | 5.7 ± 3.5 | 5.2 ± 3.5 | 4.4 ± 1.4 | 3.1 ± 1.1 | 2.1 ± 1.3 | 2.3 ± 2.1 | 2.1 ± 1.9 | 1.8 ± 1.4 | 5.2 ± 2.3 | 5.5 ± 2.6 | 4.4 ± 2.0 | 3.2 ± 0.9 |
| Uppsala-Diluent | Tris-Diluent | Optixcell®-Diluent | ||||||||||
|---|---|---|---|---|---|---|---|---|---|---|---|---|
| 0 Min. | 10 Min. | 30 Min. | 60 Min. | 0 Min. | 10 Min. | 30 Min. | 60 Min. | 0 Min. | 10 Min. | 30 Min. | 60 Min. | |
| TM (%) | 15.3 ± 9.7 | 15.7 ± 8.2 | 8.8 ± 5.1 | 5.4 ± 4.2 * | 4.3 ± 4.8 | 5.1 ± 4.6 | 3.4 ± 2.0 | 2.9 ± 1.3 | 9.21 ± 4.3 | 10.4 ± 6.7 | 7.4 ± 3.6 | 5.5 ± 2.4 * |
| PM (%) | 10.3 ± 7.5 | 10.6 ± 6.4 | 5.5 ± 4.0 | 3.0 ± 2.3 * | 2.6 ± 3.8 | 3.2 ± 4.1 | 1.7 ± 1.5 | 1.4 ± 1.0 | 4.8 ± 3.0 | 5.5 ± 4.7 | 3.1 ± 2.3 | 2.2 ± 1.3 * |
| RM (%) | 2.7 ± 2.5 | 3.0 ± 1.9 | 1.3 ± 1.0 | 0.7 ± 0.7 | 0.6 ± 1.2 | 0.9 ± 1.5 | 0.4 ± 0.6 | 0.4 ± 0.5 | 1.1 ± 0.8 | 1.4 ± 1.3 | 0.7 ± 0.6 | 0.4 ± 0.4 |
| CM (%) | 1.7 ± 1.9 | 1.5 ± 1.4 | 0.5 ± 0.4 | 0.4 ± 0.6 | 0.3 ± 0.6 | 0.3 ± 0.5 | 0.2 ± 0.2 | 0.2 ± 0.3 | 1.0 ± 0.9 | 0.7 ± 0.8 | 0.3 ± 0.4 | 0.1 ± 0.1 * |
| SM (%) | 5.9 ± 3.4 | 6.2 ± 3.7 | 3.6 ± 2.8 | 1.9 ± 1.6 * | 1.8 ± 2.0 | 2.1 ± 2.1 | 1.2 ± 0.7 | 0.9 ± 0.3 | 2.7 ± 1.4 | 3.4 ± 2.7 | 2.1 ± 1.4 | 1.7 ± 0.9 * |
| LM (%) | 5.0 ± 2.7 | 5.0 ± 2.1 | 3.3 ± 1.4 | 2.5 ± 1.5 * | 1.7 ± 1.0 | 1.9 ± 0.8 | 1.7 ± 0.6 | 1.5 ± 0.4 | 4.5 ± 1.4 | 4.8 ± 2.2 | 4.2 ± 1.6 | 3.3 ± 1.3 |
Disclaimer/Publisher’s Note: The statements, opinions and data contained in all publications are solely those of the individual author(s) and contributor(s) and not of MDPI and/or the editor(s). MDPI and/or the editor(s) disclaim responsibility for any injury to people or property resulting from any ideas, methods, instructions or products referred to in the content. |
© 2025 by the authors. Licensee MDPI, Basel, Switzerland. This article is an open access article distributed under the terms and conditions of the Creative Commons Attribution (CC BY) license (https://creativecommons.org/licenses/by/4.0/).
Share and Cite
Bernklau, E.; Wehrend, A.; Farshad, A. Evaluation of Sperm Retrieval Efficiency and Extender Impact in Cryopreserved Canine Epididymal Semen. Vet. Sci. 2025, 12, 840. https://doi.org/10.3390/vetsci12090840
Bernklau E, Wehrend A, Farshad A. Evaluation of Sperm Retrieval Efficiency and Extender Impact in Cryopreserved Canine Epididymal Semen. Veterinary Sciences. 2025; 12(9):840. https://doi.org/10.3390/vetsci12090840
Chicago/Turabian StyleBernklau, Elisabeth, Axel Wehrend, and Abbas Farshad. 2025. "Evaluation of Sperm Retrieval Efficiency and Extender Impact in Cryopreserved Canine Epididymal Semen" Veterinary Sciences 12, no. 9: 840. https://doi.org/10.3390/vetsci12090840
APA StyleBernklau, E., Wehrend, A., & Farshad, A. (2025). Evaluation of Sperm Retrieval Efficiency and Extender Impact in Cryopreserved Canine Epididymal Semen. Veterinary Sciences, 12(9), 840. https://doi.org/10.3390/vetsci12090840

