Evaluation of Cardiac Biomarkers in Lambs with White Muscle Disease
Simple Summary
Abstract
1. Introduction
2. Materials and Methods
2.1. Study Design
2.2. Ethics Statement
2.3. Animals
2.4. Criteria for Inclusion and Exclusion
2.5. Clinical Assessment
2.6. Blood Sampling
2.7. Selenium and Vitamin E Analysis
2.8. Complete Blood Count Analysis
2.9. Analysis of Biochemical Parameters and Glutathione Peroxidase Activity
2.10. Analyses of NT-Probnp, cTnI, and Galectin-3
2.11. Histopathological Examination
2.12. Statistical Analyses
3. Results
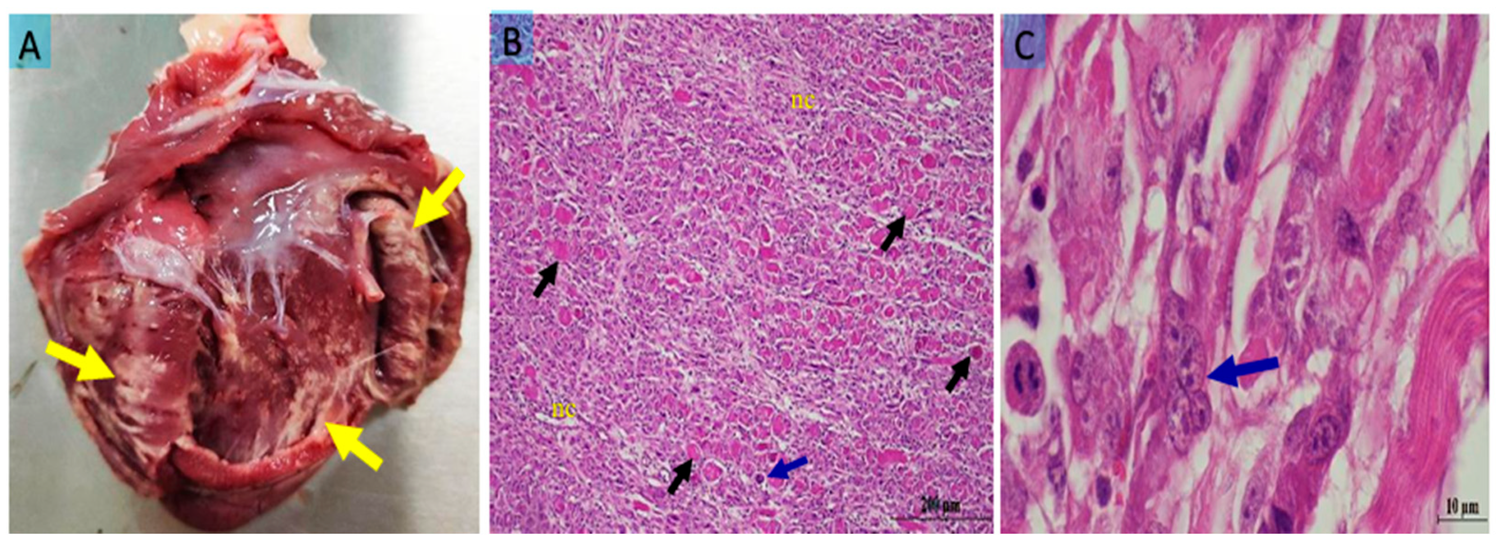
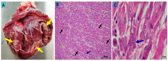
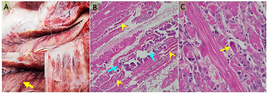
3.1. Macroscopic Findings
3.2. Microscopic Findings
3.3. Selenium and Vitamin E Levels
3.4. Complete Blood Count Findings
3.5. Biochemical Findings
3.6. Findings of Cardiac Biomarkers
4. Discussion
5. Conclusions
Author Contributions
Funding
Institutional Review Board Statement
Informed Consent Statement
Data Availability Statement
Acknowledgments
Conflicts of Interest
Abbreviations
| WMD | White muscle disease |
| Gal-3 | Galectin-3 |
| cTnI | Cardiac troponin I |
| NT-proBNP | N-terminal pro-B type natriuretic peptide |
| CK-MB | Creatine kinase myocardial band |
| aWMD | Confirmed cases of severe acute white muscle disease in lambs |
| sWMD | Presumed cases of subacute white muscle disease in lambs |
| Se | Selenium |
Appendix A
| cTnI | CK-MB | Gal-3 | NT-proBNP | CK | LDH | AST | |
|---|---|---|---|---|---|---|---|
| cTnI | 1000 | ||||||
| CK-MB | 0.819 ** | 1000 | |||||
| Gal-3 | −0.180 | −0.383 | 1.000 | ||||
| NT-proBNP | −0.154 | −0.551 ** | 0.324 * | 1.000 | |||
| CK | 0.629 ** | 0.420 * | −0.003 | −0.205 | 1.000 | ||
| LDH | 0.889 * | 0.803 ** | −0.421 * | −0.364 | 0.567 ** | 1.000 | |
| AST | 0.732 ** | 0.489 * | −0.033 | 0.191 | 0.611 ** | 0.562 ** | 1.000 |
Appendix B

References
- Keleş, İ.; Dede, S.; Keleş, H.; Değer, Y.; Altuğ, N. Studies on some antioxidant vitamin concentrations in lambs with stiff-lamb disease. YYÜ Vet. Fak. Derg. 2000, 11, 79–82. [Google Scholar]
- Altuğ, N.; Ağaoğlu, Z.T.; Yüksek, N.; Kaya, A.; Keleş, İ. Adenosine deaminase in the diagnosis of white muscle diseases in lambs. Med. Wet. 2006, 62, 1007–1010. [Google Scholar]
- Beytut, E.; Karataş, F.; Beytut, E. Lambs with white muscle disease and selenium content of soil and meadow hay in the region of Kars, Turkey. Vet. J. 2002, 163, 214–217. [Google Scholar] [CrossRef] [PubMed]
- Yüksek, N.; Başbuğan, Y. Kuzularda beyaz kas hastalığı. Türkiye Klin. J. Vet. Sci. Intern. Med. Spec. Top. 2015, 1, 32–35. [Google Scholar]
- Ataollahi, F.; Mohri, M.; Seifi, H.A.; Pingguan-Murphy, B.; Wan Abas, W.A.B.; Osman, N.A.A. Evaluation of copper concentration in subclinical cases of white muscle disease and its relationship with cardiac troponin I. PLoS ONE 2013, 8, e56163. [Google Scholar] [CrossRef]
- Osame, S.; Ohtani, T.; Ichijo, S. Studies on serum tocopherol and selenium levels and blood glutathione peroxidase activities in lambs with white muscle disease. Nippon Juigaku Zasshi 1990, 52, 705–710. [Google Scholar] [CrossRef]
- Cooper, B.; Valentıne, B.A. Muscle and tendon. In Jubb, Kennedy and Palmer’s Pathology of Domestic Animals, 6th ed.; Maxie, G., Ed.; Editorial Saunders Ltd. Elsevier: Philadelphia, PA, USA, 2016; pp. 214–218. [Google Scholar]
- Akcakavak, G.; Karatas, O.; Tural Cifci, A.; Dagar, O.; Dogan, O.; Tuzcu, M. Determination of local expressions of IGF-1, LC3B and NF-kB in white muscle disease in lambs by immunohistochemical method. J. Adv. VetBio Sci. Tech. 2024, 9, 79–86. [Google Scholar] [CrossRef]
- de Lima, G.V.; Ferreira, F.D.S. N-terminal-pro brain natriuretic peptides in dogs and cats: A technical and clinical review. Vet. World 2017, 10, 1072–1082. [Google Scholar] [CrossRef]
- Oyama, M.A.; Boswood, A.; Connolly, D.J.; Ettinger, S.J.; Fox, P.R.; Gordon, S.G.; Rush, J.E.; Sisson, D.D.; Stepien, R.L.; Wess, G.; et al. Clinical usefulness of an assay for measurement of circulating N-terminal pro-B-type natriuretic peptide concentration in dogs and cats with heart disease. J. Am. Vet. Med. Assoc. 2013, 243, 71–82. [Google Scholar] [CrossRef]
- Cao, Z.; Jia, Y.; Zhu, B. BNP and NT-proBNP as diagnostic biomarkers for cardiac dysfunction in both clinical and forensic medicine. Int. J. Mol. Sci. 2019, 20, 1820. [Google Scholar] [CrossRef]
- Boswood, A. Biomarkers in cardiovascular disease: Beyond natriuretic peptides. J. Vet. Cardiol. 2009, 11, S23–S32. [Google Scholar] [CrossRef] [PubMed]
- Haßdenteufel, E.; Kresken, J.G.; Henrich, E.; Hildebrandt, N.; Schneider, C.; Stosic, A.; Schneider, M. NT-proBNP as a diagnostic marker in dogs with dyspnea and in asymptomatic dogs with heart murmur. Tierarztl. Prax. Ausg. K Kleintiere Heimtiere 2012, 40, 171–179. [Google Scholar] [PubMed]
- Anjos, D.S.; Cintra, C.A.; Rocha, J.R.; Junior, D.P. Cardiac biomarkers—An ally in the prognosis of heart disorders in small animals. Rev. Investig. Med. Vet. 2015, 14, 38–45. [Google Scholar]
- Charles, C.J.; Elliott, J.M.; Nicholls, M.G.; Rademaker, M.T.; Richards, A.M. Natriuretic peptides maintain sodium homoeostasis during chronic volume loading post-myocardial infarction in sheep. Clin. Sci. 2003, 104, 429–436. [Google Scholar] [CrossRef]
- Değirmençay, Ş. Diagnostic value of serum H-FABP and NT-proBNP levels in determining cardiac damage in cattle with bovine respiratory disease complex. Kafkas Univ. Vet. Fak. Derg. 2023, 29, 71–77. [Google Scholar] [CrossRef]
- Hara, A.; Niwa, M.; Noguchi, K.; Kanayama, T.; Niwa, A.; Matsuo, M.; Hatano, Y.; Tomita, H. Galectin-3 as a next-generation biomarker for detecting early stage of various diseases. Biomolecules 2020, 10, 389. [Google Scholar] [CrossRef]
- Besler, C.; Lang, D.; Urban, D.; Rommel, K.P.; von Roeder, M.; Fengler, K.; Blazek, S.; Kandolf, R.; Klingel, K.; Thiele, H.; et al. Plasma and cardiac galectin-3 in patients with heart failure reflects both inflammation and fibrosis: Implications for its use as a biomarker. Circ. Heart Fail. 2017, 10, e003804. [Google Scholar] [CrossRef]
- Woerde, D.J.; Palm, C.A.; Reagan, K.L.; Culp, W.T. Evaluation of serum galectin-3 concentrations in healthy cats and in cats with ureteral obstruction. J. Feline Med. Surg. 2025, 27, 1–6. [Google Scholar] [CrossRef]
- Bouffette, S.; Botez, I.; De Ceuninck, F. Targeting galectin-3 in inflammatory and fibrotic diseases. Trends Pharmacol. Sci. 2023, 44, 519–531. [Google Scholar] [CrossRef]
- Ou, S.M.; Tsai, M.T.; Chen, H.Y.; Li, F.A.; Tseng, W.C.; Lee, K.H.; Chang, F.P.; Lin, Y.P.; Yang, R.B.; Tarng, D.C. Identification of galectin-3 as potential biomarkers for renal fibrosis by rna-sequencing and clinicopathologic findings of kidney biopsy. Front. Med. 2021, 8, 748225. [Google Scholar] [CrossRef]
- Lee, G.W.; Kang, M.H.; Ro, W.B.; Song, D.W.; Park, H.M. Circulating galectin-3 evaluation in dogs with cardiac and non-cardiac diseases. Front. Vet. Sci. 2021, 8, 741210. [Google Scholar] [CrossRef] [PubMed]
- Stack, J.P.; Fries, R.C.; Kruckman, L.; Kadotani, S.; Wallace, G. Galectin-3 as a novel biomarker in cats with hypertrophic cardiomyopathy. J. Vet. Cardiol. 2023, 48, 54–62. [Google Scholar] [CrossRef] [PubMed]
- Yavuz, O. The Pathological investigations on nutritional myopaty causeing lamb deaths in neonatal period. J. Bahri Dagdas Anim. Res. 2017, 6, 1–8. [Google Scholar]
- Kozat, S.; Altug, N.; Yuksek, N.; Ozkan, C. Evaluation of the levels of homocysteine, troponin I, and nitric oxide in lambs with subclinical white muscle disease. Kafkas Univ. Vet. Fak. Derg. 2011, 17, 441–444. [Google Scholar] [CrossRef]
- Faul, F.; Erdfelder, E.; Buchner, A.; Lang, A.G. Statistical power analyses using G * Power 3.1: Tests for correlation and regression analyses. Behav. Res. Methods 2009, 41, 1149–1160. [Google Scholar] [CrossRef]
- Tunca, R.; Erdoğan, H.M.; Sözmen, M.; Çitil, M.; Devrim, A.K.; Erginsoy, S.; Uzlu, E. Evaluation of cardiac troponin I and inducible nitric oxide synthase expressions in lambs with white muscle disease. Turk. J. Vet. Anim. Sci. 2009, 33, 53–59. [Google Scholar] [CrossRef]
- Gunes, V.; Ozcan, K.; Citil, M.; Onmaz, A.C.; Erdogan, H.M. Detection of myocardial degeneration with point-of-care cardiac troponin assays and histopathology in lambs with white muscle disease. Vet. J. 2010, 184, 376–378. [Google Scholar] [CrossRef]
- Yildirim, S.; Ozkan, C.; Huyut, Z.; Çınar, A. Detection of Se, Vit. E, Vit. A, MDA, 8-OHdG, and CoQ10 levels and histopathological changes in heart tissue in sheep with white muscle disease. Biol. Trace Elem. Res. 2019, 188, 419–423. [Google Scholar] [CrossRef]
- Arcuri, G.; Valente, C.; Romito, G.; Bonsembiante, F.; Mazzoldi, C.; Contiero, B.; Poser, H.; Guglielmini, C. Evaluation of galectin-3 in dogs with atrial fibrillation. Animals 2024, 14, 2547. [Google Scholar] [CrossRef]
- Reesink, H.L.; Nixon, A.J.; Su, J.; Liu, S.; Sutton, R.M.; Mann, S.; Watts, A.E.; Peterson, R.P. Galectins-1 and-3 ıncrease in equine post-traumatic osteoarthritis. Front. Vet. Sci. 2018, 5, 288. [Google Scholar] [CrossRef]
- Başbuğan, Y.; Yüksek, N.; Altuğ, N.; Ceylan, E.; Yörük, I.H.; Ağaoğlu, Z.T. The diagnostic significance of serum troponin levels lambs with white muscle disease. TJVR 2018, 2, 5–11. [Google Scholar]
- Hashmi, S.; Al-Salam, S. Galectin-3 is expressed in the myocardium very early post-myocardial infarction. Cardiovasc. Pathol. 2015, 24, 213–223. [Google Scholar] [CrossRef]
- Yu, L.; Ruifrok, W.P.; Meissner, M.; Bos, E.M.; van Goor, H.; Sanjabi, B.; van der Harst, P.; Pitt, B.; Goldstein, I.J.; Koerts, J.A.; et al. Genetic and pharmacological inhibition of galectin-3 prevents cardiac remodeling by interfering with myocardial fibrogenesis. Circ. Heart Fail. 2013, 6, 107–117. [Google Scholar] [CrossRef] [PubMed]
- Başbuğan, Y.; Ağaoğlu, Z.; Yüksek, N. An investigation on serum troponin concentration in healthy ruminants. Kafkas Univ. Vet. Fak. Derg. 2010, 16, 641–645. [Google Scholar] [CrossRef]
- Ataollahi, F.; Mohri, M.; Seifi, H. Diagnostic value of cardiac troponin I (cTnI), creatine kinase (CK), and aspartate aminotransferase (AST) in selenium deficiency in lambs. Rev. Med. Vet. 2013, 164, 207–211. [Google Scholar]
- Sugen, B.; Güneş, V. Beyaz kas hastalıklı kuzularda kalp kası hasarının teşhisinde kardiyak troponin kit analizleri ve serum enzim aktivitelerinin önemi. Sağ. Bilim. Derg. 2008, 17, 144–149. [Google Scholar]
- Çakıroğlu, D.; Meral, Y.; Bakırel, U.; Kazancı, D. Cardiac troponin levels in dogs with dilate cardiomyopathy. Kafkas Univ. Vet. Fak. Derg. 2009, 15, 13–17. [Google Scholar] [CrossRef]
- Abutarbush, S.M.; Radostits, O.M. Congenital nutritional muscular dystrophy in a beef calf cattle. Can. Vet. J. 2003, 44, 738–739. [Google Scholar]
- Hetland, O.; Dickstein, K. Cardiac markers in the early hours of acute myocardial infarction: Clinical performance of creatine kinase, creatine kinase MB isoenzyme (activity and mass concentration), creatine kinase MM and MB subform ratios, myoglobin and cardiac troponin T. Scand. J. Clin. Lab. Investig. 1996, 56, 701–713. [Google Scholar] [CrossRef]
- Cabaniss, C.D. Creatine kinase. In Clinical Methods: The History, Physical, and Laboratory Examinations, 3rd ed.; Walker, H.K., Hall, W.D., Hurst, J.W., Eds.; Butterworths: Boston, MA, USA, 1990; pp. 224–227. [Google Scholar]
- del Rey, J.M.; Madrid, A.H.; Valiño, J.M.; Rubí, J.; Mercader, J.; Moro, C.; Ripoll, E. Cardiac troponin I and minor cardiac damage: Biochemical markers in a clinical model of myocardial lesions. Clin. Chem. 1998, 44, 2270–2276. [Google Scholar] [CrossRef]
- Gunes, V.; Erdogan, H.M.; Citil, M.; Ozcan, K. Assay of cardiac troponins in the diagnosis of myocardial degeneration due to foot and mouth disease in a calf. Vet. Rec. 2005, 156, 714–715. [Google Scholar] [CrossRef] [PubMed]
- Gulbahar, M.Y.; Davis, W.C.; Guvenc, T.; Yarim, M.; Parlak, U.; Kabak, Y.B. Myocarditis associated with foot-and-mouth disease virus type O in lambs. Vet. Pathol. 2007, 44, 589–599. [Google Scholar] [CrossRef] [PubMed]
- Kurapati, R.; Soos, M.P. CPK-MB. Available online: https://www.ncbi.nlm.nih.gov/books/NBK557591//?utm_source=chatgpt.com (accessed on 18 June 2025).
- Aktas, M.S.; Ozkanlar, Y.; Oruc, E.; Sozdutmaz, I.; Kirbas, A. Myocarditis associated with foot-and-mouth disease in suckling calves. Vet. Arh. 2015, 85, 273–282. [Google Scholar]
- Kilinç, Ö.O.; Göz, Y.; Yüksek, N.; Başbuğan, Y.; Yilmaz, A.B.; Ataş, A.D. Determination of serum cardiac biomarkers and plasma D-dimer levels in anemic sheep with babesiosis. Turk. J. Vet. Anim. Sci. 2015, 39, 606–610. [Google Scholar] [CrossRef]
- Kirbas, A.; Baydar, E.; Kandemır, F.M.; Dorman, E.; Kizil, O.; Yildirim, B.A. Evaluation of serum cardiac troponin I concentration in sheep with acute ruminal lactic acidosis. Vet. Arh. 2014, 84, 355–364. [Google Scholar]
- de Souza, L.M.; de Mendonça, C.L.; de Assis, R.N.; Oliveira Filho, E.F.; Gonçalves, D.N.A.; Souto, R.J.C.; Soares, P.C.; Afonso, J.A.B. Cardiac biomarkers troponin I and CK-MB in ewes affected by pregnancy toxemia. Small Rumin. Res. 2019, 177, 97–102. [Google Scholar] [CrossRef]
- Bakirel, U.; Gunes, S. Value of cardiac markers in dogs with chronic mitral valve disease. Acta Vet. Beogr. 2009, 59, 223–229. [Google Scholar] [CrossRef]
- Güneş, V.; Uyanık, F.; Eren, M.; Kibar, M.; Aslan, Ö.; Onmaz, A.C. The rapid analyses of cardiac troponins in dogs with dilated cardiomyopathy, distemper or parvoviral infection. Kafkas Univ. Vet. Fak. Derg. 2014, 20, 921–927. [Google Scholar] [CrossRef]
- Gunes, V.; Atalan, G.; Citil, M.; Erdogan, H.M. Use of cardiac troponin kits for the qualitative determination of myocardial cell damage due to traumatic reticuloperitonitis in cattle. Vet. Rec. 2008, 162, 514–517. [Google Scholar] [CrossRef]
- Sekin, S.; Voyvoda, H.; Bildik, A.; Yur, F. The importance of serum creatine kinase (CK), aspartate aminotransferase (AST) and lactate dehydrogenase (LDH) activities in diagnosis and prognosis of subclinical and clinical white muscle disease in lambs. Turk. J. Vet. Anim. Sci. 1996, 20, 225–230. [Google Scholar] [CrossRef]
- Or, M.E.; Dodurka, H.T.; Kayar, A. The diagnostic importance of erythrocyte glutathione peroxidase (GSH-Px) activity and some serum parameters in lambs with white muscle disease. Turk. J. Vet. Anim. Sci. 2003, 27, 1–6. [Google Scholar]
- Peek, S.F.; Apple, F.S.; Murakami, M.A.; Crump, P.M.; Semrad, S.D. Cardiac isoenzymes in healthy Holstein calves and calves with experimentally induced endotoxemia. Can. J. Vet. Res. 2008, 72, 356–361. [Google Scholar]
- Wu, A.H.; Apple, F.S.; Gibler, W.B.; Jesse, R.L.; Warshaw, M.M.; Valdes, R., Jr. National Academy of Clinical Biochemistry Standards of Laboratory Practice: Recommendations for the use of cardiac markers in coronary artery diseases. Clin. Chem. 1999, 45, 1104–1121. [Google Scholar] [CrossRef]



| Parameters | aWMD (n = 10) | sWMD (n = 20) | Control (n = 20) | p Values |
|---|---|---|---|---|
| T (°C) | 39.7 ± 1.01 a | 38.3 ± 0.32 b | 39.0 ± 0.28 ab | <0.001 |
| HR (beats/min) | 235.0 ± 29.50 a | 140.2 ± 42.75 b | 125.2 ± 19.76 a | <0.001 |
| RR (breaths/min) | 95.40 ± 52.41 a | 35.33 ± 8.17 ab | 35.4 ± 3.04 b | 0.01 |
| Parameters | Mean | Lower and Upper 95% CI of Mean | Median | 25th–75th Percentile | Min–Max |
|---|---|---|---|---|---|
| Gal-3 (ng/mL) | 3.28 ± 0.71 | 2.94–3.61 | 3.28 | 2.79–3.60 | 2.14–5.22 |
| NT-proBNP (ng/mL) | 2.55 ± 0.52 | 2.31–2.79 | 2.61 | 2.18–3.00 | 1.63–3.33 |
| Parameters | aWMD (n = 10) | sWMD (n = 20) | Control (n = 20) | p Values |
|---|---|---|---|---|
| cTnI (ng/mL) | 1.89 ± 0.05 a | 0.80 ± 0.04 b | 0.14 ± 0.02 c | <0.001 |
| Gal-3 (ng/mL) | 2.99 ± 0.44 | 3.07 ± 0.42 | 3.28 ± 0.71 | 0.350 |
| NT-proBNP (ng/mL) | 2.15 ± 0.32 | 2.64 ± 0.55 | 2.55 ± 0.52 | 0.055 |
| CK-MB (U/L) | 204.30 ± 85.20 a | 73.14 ± 29.84 b | 24.67 ± 8.96 b | <0.001 |
| Marker | AUC | 95% Cl | SE | p Values | |
|---|---|---|---|---|---|
| cTnI (ng/mL) | 1.000 | 1.000 to 1.000 | 0.000 | <0.001 | |
| CK-MB (U/L) | 0.951 | 0.867 to 1.000 | 0.043 | 0.001 | |
| AST (U/L) | 0.994 | 0.975 to 1.000 | 0.010 | <0.001 | |
| LDH (U/L) | 1.000 | 1.000 to 1.000 | 0.000 | <0.001 | |
| CK (U/L) | 0.920 | 0.815 to 0.100 | 0.053 | <0.001 | |
| Sensitivity analysis | |||||
| Marker | Cut-off value | Sensitivity % (95% CI) | Specificity % (95% CI) | Max. Youden’s Index | |
| cTnI (ng/mL) | 0.18 | 100 (88.65–100.0) | 95 (76.39–99.74) | 0.95 | |
| CK-MB (U/L) | 55.0 | 88.24 (65.66–97.91) | 100.0 (60.97–100) | 0.88 | |
| AST (U/L) | 97.0 | 100 (78.47–100.0) | 91.67 (64.61–99.57) | 0.92 | |
| LDH (U/L) | 900 | 100 (83.18–100) | 83.33 (43.65–99.15) | 0.83 | |
| CK (U/L) | 485 | 72.22 (49.13–57.50) | 88.89 (56.50–99.43) | 0.61 | |
Disclaimer/Publisher’s Note: The statements, opinions and data contained in all publications are solely those of the individual author(s) and contributor(s) and not of MDPI and/or the editor(s). MDPI and/or the editor(s) disclaim responsibility for any injury to people or property resulting from any ideas, methods, instructions or products referred to in the content. |
© 2025 by the authors. Licensee MDPI, Basel, Switzerland. This article is an open access article distributed under the terms and conditions of the Creative Commons Attribution (CC BY) license (https://creativecommons.org/licenses/by/4.0/).
Share and Cite
Ekinci, G.; Eren, M.; Yağlı, K.; Bendeş, C.; Ekebaş, G.; Tüfekçi, E.; Güzel, S.; Çakır Bayram, L.; Onmaz, A.C.; Güneş, V.; et al. Evaluation of Cardiac Biomarkers in Lambs with White Muscle Disease. Vet. Sci. 2025, 12, 774. https://doi.org/10.3390/vetsci12080774
Ekinci G, Eren M, Yağlı K, Bendeş C, Ekebaş G, Tüfekçi E, Güzel S, Çakır Bayram L, Onmaz AC, Güneş V, et al. Evaluation of Cardiac Biomarkers in Lambs with White Muscle Disease. Veterinary Sciences. 2025; 12(8):774. https://doi.org/10.3390/vetsci12080774
Chicago/Turabian StyleEkinci, Gencay, Murat Eren, Kübra Yağlı, Celil Bendeş, Görkem Ekebaş, Emre Tüfekçi, Sefa Güzel, Latife Çakır Bayram, Ali Cesur Onmaz, Vehbi Güneş, and et al. 2025. "Evaluation of Cardiac Biomarkers in Lambs with White Muscle Disease" Veterinary Sciences 12, no. 8: 774. https://doi.org/10.3390/vetsci12080774
APA StyleEkinci, G., Eren, M., Yağlı, K., Bendeş, C., Ekebaş, G., Tüfekçi, E., Güzel, S., Çakır Bayram, L., Onmaz, A. C., Güneş, V., Çitil, M., & Keleş, İ. (2025). Evaluation of Cardiac Biomarkers in Lambs with White Muscle Disease. Veterinary Sciences, 12(8), 774. https://doi.org/10.3390/vetsci12080774

