A Review of Intermittent Poisoning to Mitigate Toxic Plant-Induced Disease in Livestock
Simple Summary
Abstract
1. Introduction
2. Locoweeds
3. Lupines
4. Other Plants That Might Be Managed Using Intermittent Exposures
4.1. Thiaminase-Containing Plants
4.2. Calcinogenic Glycoside-Containing Plants
5. Toxic Plants That Cause Acute Damage Unlikely to Benefit with Intermittent Exposure
5.1. Myotoxic Trematone-Containing Plants
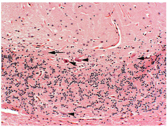
5.2. Neurotoxic Plants
5.3. Hepatotoxic Plants
6. Conclusions
Author Contributions
Funding
Data Availability Statement
Conflicts of Interest
References
- Nielsen, D.B. Economic impact of poisonous plants on the rangeland livestock industry. J. Anim. Sci. 1988, 66, 2330–2333. [Google Scholar] [CrossRef]
- Mitich, L.W. Poison-Hemlock (Conium maculatum L.). Weed Technol. 2017, 12, 194–197. [Google Scholar] [CrossRef]
- Gomez-Gomez, R.; Chaves-Sanchez, E.; Gonzales-Lutz, M.I. Crotalaria spectabilis Roth as a cover crop in coffee (Coffea arabica) and weed control. Agrono. Costarri. 2022, 46, 85–100. [Google Scholar]
- Tautges, N.E.; Burke, I.C.; Borrellii, K.; Fuerst, E.P. Competitive ability of rotational crops with weeds in dryland organic wheat production systems. Renew Agricul. Food Sys. 2016, 32, 57–68. [Google Scholar] [CrossRef]
- Piggin, C.M. Control of Echium plantagineum L. with 2,4-D and grazing Management. Weed Res. 1979, 19, 17–23. [Google Scholar] [CrossRef]
- Stegelmeier, B.L.; Panter, K.E. Poisonous plant and plant toxins that are likey to contaminate hay and other prepared feeds in the western United States. Rangelands 2012, 34, 2–11. [Google Scholar] [CrossRef]
- Van Kampen, K.R.; James, L.F. Sequential development of the lesions in locoweed poisoning. Clin. Toxicol. 1972, 5, 575–580. [Google Scholar] [CrossRef] [PubMed]
- Stegelmeier, B.L.; James, L.F.; Panter, K.E.; Ralphs, M.H.; Gardner, D.R. The pathogenesis and toxicokinetics of locoweed (Astragalus and Oxytropis spp.) poisoning in livestock. J. Nat. Toxins 1999, 8, 35–45. [Google Scholar] [PubMed]
- Stegelmeier, B.L.; James, L.F.; Panter, K.E.; Molyneux, R.J.; Gardner, D.R.; Lee, S.T.; Ralphs, M.H.; Pfister, J.A. The Clinical and Morphological Changes of Intermittent Locoweed (Oxytropis sericea) Poisoning in Sheep. In Poisonous Plants and Related Toxins; Acamovic, T., Stewart, C.S., Pennycott, T.W., Eds.; CABI Publishing: Wallingford, UK, 2004; pp. 431–435. [Google Scholar]
- Stegelmeier, B.L.; James, L.F.; Panter, K.E.; Molyneux, R.J.; Gardner, D.R.; Lee, S.T.; Ralphs, M.H.; Pfister, J.A. Dose response of sheep poisoned with locoweed (Oxytropis sericea). J. Vet. Diagn. Investig. 1999, 11, 448–456. [Google Scholar] [CrossRef]
- Stegelmeier, B.L.; Davis, T.Z.; Welch, K.D.; Green, B.T.; Garner, D.R.; Lee, S.T.; Ralphs, M.H.; Pfister, J.A.; Cook, D.; Panter, K.E. The Comparative Pathology of Locoweed Poisoning in Horses and Other Livestock. In Poisoning by Plants, Mycotoxins and Related Toxins; Riet-Correa, F., Ed.; CABI: Oxfordshire, UK, 2011; pp. 309–310. [Google Scholar]
- Stegelmeier, B.L.; Molyneux, R.J.; James, L.F. The lesions of locoweed (Astragalus mollissimus), swainsonine, and castanospermine in rats. Vet. Pathol. 1995, 32, 289–298. [Google Scholar] [CrossRef]
- Stegelmeier, B.L.; Gardner, D.R.; James, L.F.; Molyneux, R.J. Pyrrole detection and the pathologic progression of Cynoglossum officinale (houndstongue) poisoning in horses. J. Vet. Diagn. Investig. 1996, 8, 81–90. [Google Scholar] [CrossRef] [PubMed]
- James, L.F.; von Kampen, K.R.; Staker, G.R. Locoweed (Astragalus lentiginosus) poisoning in cattle and horses. J. Am. Vet. Med. Assoc. 1969, 155, 525–530. [Google Scholar] [PubMed]
- Green, B.T.; Welch, K.D.; Panter, K.E.; Lee, S.T. Plant toxins that affect nicotinic acetylcholine receptors: A review. Chem. Res. Toxicol. 2013, 26, 1127–1282. [Google Scholar] [CrossRef] [PubMed]
- Panter, K.E.; James, L.F.; Gardner, D.R. Lupines, poison-hemlock and Nicotiana spp: Toxicity and teratogenicity in livestock. J. Nat. Toxins 1999, 8, 117–134. [Google Scholar] [PubMed]
- Binns, W.; James, L.F. A congenital deformity in calves, similar to “crooked calf disease” has been experimentally produced by feeding heifers lupine and lead. Proc. West. Sect. Am. Soc. Anim. Prod. 1961, 12, 1–3. [Google Scholar]
- Welch, K.D.; Lee, S.T.; Panter, K.E.; Stegelmeier, B.L.; Stonecipher, C.A.; Cook, D. Lupine-induced crooked calf syndrome: Mitigation through intermittent grazing management of cattle. Transl. Ani. Sci. 2024, 8, txae079. [Google Scholar] [CrossRef]
- Welch, K.D.; Panter, K.E.; Lee, S.T.; Gardner, D.R. The effect of intermittent dosing of Nicotiana glauca on teratogenesis in goats. Toxicon 2015, 93, 119–124. [Google Scholar] [CrossRef]
- Dickie, C.W.; Berryman, J.R. Polioencephalomalacia and photosensitization associated with Kochia scoparia consumption in range cattle. J. Am. Vet. Med. Assoc. 1979, 175, 463–465. [Google Scholar]
- Dickie, C.W.; James, L.F. Kochia scoparia poisoning in cattle. J. Am. Vet. Med. Assoc. 1983, 183, 765–768. [Google Scholar]
- O’Toole, D.; Raisbeck, M.; Case, J.C. Selenium-induced “blind staggers” and related myths. A commentary on the extent of historical livestock losses attributed to selenosis on western US rangelands. Vet. Pathol. 1996, 116, 104–116. [Google Scholar] [CrossRef]
- Niles, G.A.; Morgan, S.E.; Edwards, W.C. The relationship between sulfur, thiamine and polioencephalomalicia—A review. Am. Assoc. Bov. Pract. 2002, 36, 93–99. [Google Scholar] [CrossRef]
- Konishi, T.; Ichijo, S. Experimentally induced equine bracken poisoning by thermostable antithiamine factor (SF factor) extracted from dried bracken. J. Jpn Vet. Med. 1984, 37, 730–734. [Google Scholar]
- Barr, A.C.; Reagar, J.C. Toxic Plants: What the Horse Practitioner Needs to Know. In Veterinary Clinics of North America: Equine Practice; Tuner, A.S., Ed.; W.B. Sanders: Philadelphia, PA, USA, 2001; pp. 529–546. [Google Scholar]
- Henderson, J.A. The antithiamine action of Equisetum. Am. J. Vet. Res. 1952, 120, 375–378. [Google Scholar]
- Machado, M.; Castro, M.B.; Gimeno, E.J.; Barros, S.S.; Riet-Correa, F. Enzootic calcinosis in ruminants: A review. Toxicon 2020, 187, 1–9. [Google Scholar] [CrossRef] [PubMed]
- Stegelmeier, B.L.; Davis, T.Z.; Hall, J.O. Experimental rayless goldenrod (Isocoma pluriflora) toxicosis in goats. J. Vet. Diagn. Investig. 2010, 22, 570–577. [Google Scholar] [CrossRef] [PubMed]
- Davis, T.Z.; Stegelmeier, B.L.; Lee, S.T.; Green, B.T.; Hall, J.O. Experimental rayless goldenrod (Isocoma pluriflora) toxicosis in horses. Toxicon 2013, 73, 88–95. [Google Scholar] [CrossRef]
- Bonner, W.A.; DeGraw, J.I.; Bowen, D.M.; Shah, V.R. Toxic constituents of white snakeroot. Tetrahedron Lett. 1961, 12, 417–420. [Google Scholar] [CrossRef]
- Rogers, R.J.; Giboson, J.; Reichmann, K.G. The toxicity of Cassia occidentalis for cattle. Aust. Vet. J. 1979, 55, 403–453. [Google Scholar] [CrossRef] [PubMed]
- Baker, D.C.; Keeler, R.F. Thermopsis montana-induced myopathy in calves. J. Am. Vet. Med. Assoc. 1989, 194, 1269–1272. [Google Scholar] [PubMed]
- Pfister, J.A.; Provenza, F.D.; Manners, G.D.; Gardner, D.R.; Ralphs, M.H. Tall larkspur ingestion: Can cattle regulate intake below toxic levels. J. Chem. Ecol. 1997, 23, 759–777. [Google Scholar] [CrossRef]
- Stonecipher, C.A.; Green, B.T.; Welch, K.D.; Gardner, D.R.; Fritz, S.A.; Cook, D.; Pfister, J.A. Mineral-salt supplement to ameliorate larkspur poisoning in cattle. J. Anim. Sci. 2022, 100, skac133. [Google Scholar] [CrossRef]
- Knoop, K.; Frahm, J.; Kersten, S.; Kluess, J.; Meyer, U.; von Soosten, D.; Beineke, A.; Saltzmann, J.; Danicke, S. Short-term exposure of dairy cows to pyrrolizidine alkaloids from tansy ragwort (Jacobaea vulgaris Gaertn.): Effects on organs and indicators of energy metabolism. Arch. Anim. Nutr. 2024, 78, 109–124. [Google Scholar] [CrossRef]










Disclaimer/Publisher’s Note: The statements, opinions and data contained in all publications are solely those of the individual author(s) and contributor(s) and not of MDPI and/or the editor(s). MDPI and/or the editor(s) disclaim responsibility for any injury to people or property resulting from any ideas, methods, instructions or products referred to in the content. |
© 2024 by the authors. Licensee MDPI, Basel, Switzerland. This article is an open access article distributed under the terms and conditions of the Creative Commons Attribution (CC BY) license (https://creativecommons.org/licenses/by/4.0/).
Share and Cite
Stegelmeier, B.L.; David, T.Z.; Panter, K.E.; Welch, K.D.; Knoppel, E.L. A Review of Intermittent Poisoning to Mitigate Toxic Plant-Induced Disease in Livestock. Vet. Sci. 2025, 12, 13. https://doi.org/10.3390/vetsci12010013
Stegelmeier BL, David TZ, Panter KE, Welch KD, Knoppel EL. A Review of Intermittent Poisoning to Mitigate Toxic Plant-Induced Disease in Livestock. Veterinary Sciences. 2025; 12(1):13. https://doi.org/10.3390/vetsci12010013
Chicago/Turabian StyleStegelmeier, Bryan L., T. Zane David, Kip E. Panter, Kevin D. Welch, and Edward L. Knoppel. 2025. "A Review of Intermittent Poisoning to Mitigate Toxic Plant-Induced Disease in Livestock" Veterinary Sciences 12, no. 1: 13. https://doi.org/10.3390/vetsci12010013
APA StyleStegelmeier, B. L., David, T. Z., Panter, K. E., Welch, K. D., & Knoppel, E. L. (2025). A Review of Intermittent Poisoning to Mitigate Toxic Plant-Induced Disease in Livestock. Veterinary Sciences, 12(1), 13. https://doi.org/10.3390/vetsci12010013

