Chronic Heat Stress Induces Oxidative Stress and Induces Inflammatory Injury in Broiler Spleen via TLRs/MyD88/NF-κB Signaling Pathway in Broilers
Abstract
Simple Summary
Abstract
1. Introduction
2. Materials and Methods
2.1. Animals and Treatment Design
2.2. Sample Collection
2.3. Determination of Productive Performance and Organ Index
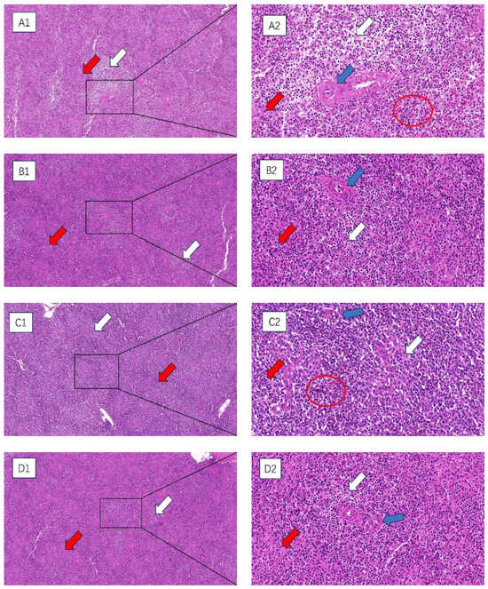
2.4. Pathological Analysis
2.5. Serum Antioxidant Capacity and Corticosterone Detection
2.6. Quantitative Real-Time Polymerase Chain Reaction Assay
2.7. Statistical Analysis
3. Results
3.1. Determination of Productive Performance and Organ Index
3.2. Histopathologic Analysis of the Spleen
3.3. Analysis of Serum Indicators
3.4. Expression of Related Genes in Spleen
4. Discussion
5. Conclusions
Author Contributions
Funding
Institutional Review Board Statement
Informed Consent Statement
Data Availability Statement
Acknowledgments
Conflicts of Interest
References
- Zhao, Y.; Liu, Y.; Lv, Y.; Shao, Q. Hazardous mechanism of heat stress in poultry and its countermeasures. Contemp. Anim. Husb. 2022, 101–102. [Google Scholar]
- Takenaka, M.; Yabuta, A.; Takahashi, Y.; Takakura, Y. Interleukin-4-carrying small extracellular vesicles with a high potential as anti-inflammatory therapeutics based on modulation of macrophage function. Biomaterials 2021, 278, 121160. [Google Scholar] [CrossRef] [PubMed]
- Wang, X. Environmental stress and livestock health. J. Anim. Husb. Vet. Med. 1989, 43–46+48. [Google Scholar]
- Peacock, B.N.; Scheiderer, D.J.; Kellermann, G.H. Biomolecular aspects of depression: A retrospective analysis. Compr. Psychiatry 2017, 73, 168–180. [Google Scholar] [CrossRef] [PubMed]
- Li, Y.; Zhou, J.; Zhang, Y.; Tan, L.; Liao, M.; Ding, B.; Yang, S. Effects of L-arginine and α-ketoglutarate on liver function in heat-stressed broilers. Feed Ind. 2016, 37, 6–11. [Google Scholar] [CrossRef]
- Gao, Y.-Y.; Li, H.; Jiang, Y.-F.; Lei, J.-M.; Pan, Y.-F.; Ma, Q.-M.; Huang, J.-W. Effects of CLA on the immune function of laying hens under hyperthermia stress model Ⅰ Changes of cellular and humoral immunity indexes. J. Northwest Agric. For. Univ 2006, 21–26. [Google Scholar]
- Maibam, U.; Hooda, O.; Sharma, P.; Upadhyay, R.; Mohanty, A. Differential level of oxidative stress markers in skin tissue of zebu and crossbreed cattle during thermal stress. Livest. Sci. 2018, 207, 45–50. [Google Scholar] [CrossRef]
- Chen, X.; Liu, W.; Li, H.; Zhang, J.; Hu, C.; Liu, X. The adverse effect of heat stress and potential nutritional interventions. Food Funct. 2022, 13, 9195–9207. [Google Scholar] [CrossRef]
- Shehata, A.M.; Saadeldin, I.M.; Tukur, H.A.; Habashy, W.S. Modulation of Heat-Shock Proteins Mediates Chicken Cell Survival against Thermal Stress. Animals 2020, 10, 2407. [Google Scholar] [CrossRef]
- Ding, M. Effects of Seaweed Sulfate Polysaccharide on Stress-Induced Inflammatory Response of Chicken Spleen. Master’s Thesis, Henan Agricultural University, Zhengzhou, China, 2023. [Google Scholar]
- Beutler, B. The Toll-like receptors: Analysis by forward genetic methods. Immunogenetics 2005, 57, 385–392. [Google Scholar] [CrossRef]
- Werling, D.; Jungi, T.W. TOLL-like receptors linking innate and adaptive immune response. Veter-Immunol. Immunopathol. 2003, 91, 1–12. [Google Scholar] [CrossRef] [PubMed]
- Ma, Y.; Guo, H.; Chang, X. Key transcription factors mediating macrophage polarization and their correlation with TLRs signaling. Chin. J. Immunol. 2020, 36, 509–514. [Google Scholar]
- Lu, Y.-C.; Yeh, W.-C.; Ohashi, P.S. LPS/TLR4 signal transduction pathway. Cytokine 2008, 42, 145–151. [Google Scholar] [CrossRef] [PubMed]
- Cheng, X.; Yang, Y.-L.; Yang, H.; Wang, Y.-H.; Du, G.-H. Kaempferol alleviates LPS-induced neuroinflammation and BBB dysfunction in mice via inhibiting HMGB1 release and down-regulating TLR4/MyD88 pathway. Int. Immunopharmacol. 2018, 56, 29–35. [Google Scholar] [CrossRef]
- Bao, L.; Cui, L.-H. Advances in TLR4/MyD88/NF-κB signaling pathway. J. Gastroenterol. Hepatol. 2019, 28, 568–572. [Google Scholar]
- Saikh, K.U. MyD88 and beyond: A perspective on MyD88-targeted therapeutic approach for modulation of host immunity. Immunol. Res. 2021, 69, 117–128. [Google Scholar] [CrossRef]
- Medzhitov, R.; Preston-Hurlburt, P.; Kopp, E.; Stadlen, A.; Chen, C.; Ghosh, S.; Janeway, C.A., Jr. MyD88 is an adaptor protein in the hToll/IL-1 receptor family signaling pathways. Mol. Cell 1998, 2, 253–258. [Google Scholar] [CrossRef] [PubMed]
- Burns, K.; Martinon, F.; Esslinger, C.; Pahl, H.; Schneider, P.; Bodmer, J.-L.; Di Marco, F.; French, L.; Tschopp, J. MyD88, an adapter protein involved in Interleukin-1 signaling. J. Biol. Chem. 1998, 273, 12203–12209. [Google Scholar] [CrossRef]
- Keestra, A.M.; de Zoete, M.R.; Bouwman, L.I.; Vaezirad, M.M.; van Putten, J.P.M. Unique features of chicken Toll-like receptors. Dev. Comp. Immunol. 2013, 41, 316–323. [Google Scholar] [CrossRef]
- Xie, L.; Jiang, F.-C.; Zhang, L.-M.; He, W.-T.; Liu, J.-H.; Li, M.-Q.; Zhang, X.; Xing, S.; Guo, H.; Zhou, P. Targeting of MyD88 Homodimerization by Novel Synthetic Inhibitor TJ-M2010-5 in Preventing Colitis-Associated Colorectal Cancer. JNCI J. Natl. Cancer Inst. 2016, 108, djv364. [Google Scholar] [CrossRef]
- Mao, Y.; Kong, X.; Liang, Z.; Yang, C.; Wang, S.; Fan, H.; Ning, C.; Xiao, W.; Wu, Y.; Wu, J.; et al. Viola yedoensis Makino alleviates heat stress-induced inflammation, oxidative stress, and cell apoptosis in the spleen and thymus of broilers. J. Ethnopharmacol. 2024, 319, 117350. [Google Scholar] [CrossRef] [PubMed]
- Sen, R.; Baltimore, D. Multiple nuclear factors interact with the immunoglobulin enhancer sequences. Cell 1986, 46, 705–716. [Google Scholar] [CrossRef] [PubMed]
- Wang, D.; Wu, Y.; Duan, L.; Wang, Y.; Ma, Y. Progress of β-endorphin through IκB kinase and its mediated NF-κB signaling pathway in osteoarthritis. Inn. Mong. Med. J. 2021, 53, 1480–1483+1486. [Google Scholar] [CrossRef]
- Jimi, E.; Huang, F.; Nakatomi, C. NF-κB Signaling Regulates Physiological and Pathological Chondrogenesis. Int. J. Mol. Sci. 2019, 20, 6275. [Google Scholar] [CrossRef] [PubMed]
- Blackwell, T.S.; Christman, J.W. The role of nuclear factor- κ B in cytokine gene regulation. Am. J. Respir. Cell Mol. Biol. 1997, 17, 3–9. [Google Scholar] [CrossRef] [PubMed]
- Hawiger, J. Innate immunity and inflammation: A transcriptional paradigm. Immunol. Res. 2001, 23, 99–110. [Google Scholar] [CrossRef] [PubMed]
- Qi, D.; Xu, A. Effect of omeprazole on immune function of thymus and spleen in mice. Anhui Med. 2015, 19, 1665–1667. [Google Scholar]
- Chen, Y.; Cheng, Y.; Wen, C.; Zhou, Y. Protective effects of dietary mannan oligosaccharide on heat stress-induced hepatic damage in broilers. Environ. Sci. Pollut. Res. Int. 2020, 27, 29000–29008. [Google Scholar] [CrossRef]
- Cesta, M.F. Normal structure, function, and histology of the spleen. Toxicol. Pathol. 2006, 34, 455–465. [Google Scholar] [CrossRef]
- Park, J.; Yang, Y.; Yang, S. Progress in the study of the regulatory mechanism of tea polyphenols on heat stress in poultry. Anhui Agric. Sci. 2016, 44, 123–124. [Google Scholar] [CrossRef]
- Zhang, B.; Ye, M.; Pan, Z.; An, L.; Zhao, Z.; Liu, W. Effects of heat stress on broiler performance. Poult. Sci. 2019, 50–54. [Google Scholar]
- He, S.; Zhao, S.; Li, J.; Che, C.; Dai, S.; Liu, D. Effects of betaine on growth performance, duodenal digestive enzyme activity and cecum microbiota of heat-stressed broilers. J. Anim. Nutr. 2014, 26, 3731–3739. [Google Scholar]
- Zhong, G.; Shao, D.; Hu, Y.; Shi, S.; Song, Z.; Tong, H. Effects of continuous heat stress on growth performance, organ index, serum biochemical indexes and antioxidant function in yellow feather broilers. J. Anim. Nutr. 2018, 30, 4425–4432. [Google Scholar]
- Liu, S.; Ning, Z.; Tan, X.; Wang, S. Effects of experimental heat stress on immune organs of broiler chicks. Chin. J. Vet. Sci. 2003, 281–283. [Google Scholar] [CrossRef]
- Bao, H.; Gao, X.; Chen, J.; Tian, J.; Chang, L.; Xiao, P.; Du, F.; Wang, H.; Geng, X.; She, R. Effects of antimicrobial peptides on growth performance and immune organs of heat-stressed broilers. Chin. Vet. Sci. 2013, 43, 623–628. [Google Scholar] [CrossRef]
- Cui, Y.; Zheng, S.-X.; Hu, Y.-F.; Peng, Y.-X. Histological structure of immune organs in chicks after heat stress. J. Hebei Agric. Univ. 2004, 93–96. [Google Scholar]
- Chauhan, S.S.; Rashamol, V.P.; Bagath, M.; Sejian, V.; Dunshea, F.R. Impacts of heat stress on immune responses and oxidative stress in farm animals and nutritional strategies for amelioration. Int. J. Biometeorol. 2021, 65, 1231–1244. [Google Scholar] [CrossRef] [PubMed]
- Wu, J.; Yin, X.; Fan, S.; Qian, Y.; Qu, L. Effects of bisphenol A on oxidative damage and germ cell apoptosis in mouse testicular tissue. J. Toxicol. 2020, 34, 321–324+329. [Google Scholar] [CrossRef]
- Huang, W.; Cao, Z.; Yao, Q.; Ji, Q.; Zhang, J.; Li, Y. Mitochondrial damage are involved in Aflatoxin B1-induced testicular damage and spermatogenesis disorder in mice. Sci. Total. Environ. 2020, 701, 135077. [Google Scholar] [CrossRef]
- Hu, H.; Bai, X.; Xu, K.; Zhang, C.; Chen, L. Effect of phloretin on growth performance, serum biochemical parameters and antioxidant profile in heat-stressed broilers. Poult. Sci. 2021, 100, 101217. [Google Scholar] [CrossRef]
- Li, C.; Wang, Y.; Li, L.; Han, Z.; Mao, S.; Wang, G. Betaine protects against heat exposure–induced oxidative stress and apoptosis in bovine mammary epithelial cells via regulation of ROS production. Cell Stress Chaperones 2019, 24, 453–460. [Google Scholar] [CrossRef] [PubMed]
- Wei, L.; Li, Y.; Chang, Q.; Guo, G.; Lan, R. Effects of chitosan oligosaccharides on intestinal oxidative stress and inflammation response in heat stressed rats. Exp. Anim. 2021, 70, 45–53. [Google Scholar] [CrossRef] [PubMed]
- Yang, M.; Kuang, M.; Wang, G.; Ali, I.; Tang, Y.; Yang, C.; Li, Y.; Li, L. Choline attenuates heat stress-induced oxidative injury and apoptosis in bovine mammary epithelial cells by modulating PERK/Nrf-2 signaling pathway. Mol. Immunol. 2021, 135, 388–397. [Google Scholar] [CrossRef] [PubMed]
- Liu, J.; Zhao, H.; Wang, Y.; Shao, Y.; Zhang, L.; Xing, M. Impacts of simultaneous exposure to arsenic (III) and copper (II) on inflammatory response, immune homeostasis, and heat shock response in chicken thymus. Int. Immunopharmacol. 2018, 64, 60–68. [Google Scholar] [CrossRef] [PubMed]
- Duan, X.; Gao, S.; Li, J.; Wu, L.; Zhang, Y.; Li, W.; Zhao, L.; Chen, J.; Yang, S.; Sun, G.; et al. Acute arsenic exposure induces inflammatory responses and CD4+ T cell subpopulations differentiation in spleen and thymus with the involvement of MAPK, NF-kB, and Nrf2. Mol. Immunol. 2017, 81, 160–172. [Google Scholar] [CrossRef] [PubMed]
- Chirmule, N.; Kalyanaraman, V.S.; Lederman, S.; Oyaizu, N.; Yagura, H.; Yellin, M.J.; Chess, L.; Pahwa, S. HIV-gp 160-induced T cell-dependent B cell differentiation. Role of T cell-B cell activation molecule and IL-6. J. Immunol. 1993, 150, 2478–2486. [Google Scholar] [CrossRef] [PubMed]
- Guo, S.W. Effects of Aqueous Extract of Artemisia Annua on Growth Performance and Immune and Antioxidant Functions of Broiler Chicks. Master’s Thesis, Inner Mongolia Agricultural University, Hohhot, China, 2020. [Google Scholar]
- Lomas-Neira, J.; Perl, M.; Venet, F.; Chung, C.-S.; Ayala, A. The role and source of tumor necrosis factor-α in hemorrhage-induced priming for septic lung injury. Shock 2012, 37, 611–620. [Google Scholar] [CrossRef] [PubMed]
- Gao, J.; Shi, L.Z.; Zhao, H.; Chen, J.; Xiong, L.; He, Q.; Chen, T.; Roszik, J.; Bernatchez, C.; Woodman, S.E.; et al. Loss of IFN-γ Pathway Genes in Tumor Cells as a Mechanism of Resistance to Anti-CTLA-4 Therapy. Cell 2016, 167, 397–404.e9. [Google Scholar] [CrossRef]
- Yang, Q.; Wang, Z.; Cui, Y.; Sun, R.Y.; Liang, W.W.; Wang, L.J.; Wang, W.Y.; Lv, Q.; Hu, J. Effects of Taurine on Bowel Inflammatory Factor of Small Intestinal Mucosa Impaired by Heat Stress in Broilers. Adv. Exp. Med. Biol. 2019, 1155, 1049–1056. [Google Scholar] [CrossRef]
- Jin, X.; Wang, L.; Wu, H.-S.; Zhang, L.; Wang, C.-Y.; Tian, Y.; Zhang, J.-H. N-acetylcysteine inhibits activation of toll-like receptor 2 and 4 gene expression in the liver and lung after partial hepatic ischemia-reperfusion injury in mice. Hepatobiliary Pancreat Dis. Int. 2007, 6, 284–289. [Google Scholar]
- Ma, D.; Zhang, M.; Feng, J. Dietary Peppermint Extract Inhibits Chronic Heat Stress-Induced Activation of Innate Immunity and Inflammatory Response in the Spleen of Broiler Chickens. Animals 2024, 14, 1157. [Google Scholar] [CrossRef] [PubMed]
- Asea, A.; Kraeft, S.-K.; Kurt-Jones, E.A.; Stevenson, M.A.; Chen, L.B.; Finberg, R.W.; Koo, G.C.; Calderwood, S.K. HSP70 stimulates cytokine production through a CD14-dependant pathway, demonstrating its dual role as a chaperone and cytokine. Nat. Med. 2000, 6, 435–442. [Google Scholar] [CrossRef] [PubMed]
- Akira, S.; Uematsu, S.; Takeuchi, O. Pathogen recognition and innate immunity. Cell 2006, 124, 783–801. [Google Scholar] [CrossRef] [PubMed]
- Kawai, T.; Akira, S. The role of pattern-recognition receptors in innate immunity: Update on Toll-like receptors. Nat. Immunol. 2010, 11, 373–384. [Google Scholar] [CrossRef] [PubMed]





| Nutritional Indicators (%) | Day of Age | |
|---|---|---|
| 0–21 Days of Age | 21–42 Days of Age | |
| Padding≤ | 14 | 14 |
| Crude protein≥ | 21.5 | 21 |
| Crude fiber≤ | 2 | 5 |
| Crude ash≤ | 7 | 8 |
| Calcium | 0.7–1.4 | 0.7–1.4 |
| Total phosphorus≥ | 0.5 | 0.5 |
| Salt | 0.3–0.8 | 0.3–0.8 |
| Methionine | 0.3–0.8 | 0.3–0.8 |
| Gene | Sequences (5′-3′) |
|---|---|
| β-actin F | CCGCTCTATGAAGGCTACGC |
| β-actin R | CTCTCGGCTGTGGTGGTGAA |
| TLR2 F | GGTGGCCAGAAAGCTACATC |
| TLR2 R | GGGTGCAGATCAAGGACACT |
| TLR4 F | CCAAACACCACCCTGGACTT |
| TLR4 R | CCATGGAAGGCTGCTAGACC |
| MYD88 F | GAGGGATGATCCGTATGGGC |
| MYD88 R | ACACGTTCCTGGCAAGACAT |
| NF-κB F | ACACCACTGGATATGGCAGC |
| NF-κB R | TCTTGCTTGGATCAGGCGTT |
| TRIF F | CCCAGTGTCTGTCTCTGCTG |
| TRIF R | GTTGTGTAGTGCTGGCCTGA |
| IL-4 F | TGCTTACAGCTCTCAGTGCC |
| IL-4 R | TCTTGACGCAGGAAACCTCTC |
| IL-6 F | CTCGTCCGGAACAACCTCAA |
| IL-6 R | TCAGGCATTTCTCCTCGTCG |
| TNF-α F | CAGATGGGAAGGGAATGAAC |
| TNF-α R | AGAGCATCAACGCAAAAGGG |
| IFN-γ F | GCTGACGGTGGACCTATTATTGTAGAG |
| IFN-γ R | TTCTTCACGCCATCAGGAAGGTTG |
| HSP70-1 F | TGTGGCCTTCACCGATACAG |
| HSP70-1 R | TGGGGTCATCATACTTGCGG |
| Production Performance | Group | p-Value | |
|---|---|---|---|
| HS | Control | ||
| Weight at 21 days of age (g) | 942.40 ± 37.26 | 939.60 ± 43.59 | 0.916 |
| Weight at 42 days of age (g) | 2377.60 ± 37.27 | 2682.80 ± 27.35 | <0.01 |
| ADG (g) | 68.82 ± 1.75 | 83.01 ± 1.45 | <0.01 |
| ADFI (g) | 122.50 ± 2.69 | 138.10 ± 2.45 | <0.01 |
| F/G | 1.79 ± 0.49 | 1.66 ± 0.30 | <0.01 |
| Items | Group | p-Value | |
|---|---|---|---|
| HS | Control | ||
| Thymus index | 2.465 ± 0.11 | 2.563 ± 0.68 | 0.014 |
| Spleen index | 1.237 ± 0.09 | 1.286 ± 0.31 | <0.01 |
| Fasciola index | 0.648± 0.011 | 0.708 ± 0.016 | <0.01 |
Disclaimer/Publisher’s Note: The statements, opinions and data contained in all publications are solely those of the individual author(s) and contributor(s) and not of MDPI and/or the editor(s). MDPI and/or the editor(s) disclaim responsibility for any injury to people or property resulting from any ideas, methods, instructions or products referred to in the content. |
© 2024 by the authors. Licensee MDPI, Basel, Switzerland. This article is an open access article distributed under the terms and conditions of the Creative Commons Attribution (CC BY) license (https://creativecommons.org/licenses/by/4.0/).
Share and Cite
Chen, H.; Wang, F.; Wu, X.; Yuan, S.; Dong, H.; Zhou, C.; Feng, S.; Zhao, Z.; Si, L. Chronic Heat Stress Induces Oxidative Stress and Induces Inflammatory Injury in Broiler Spleen via TLRs/MyD88/NF-κB Signaling Pathway in Broilers. Vet. Sci. 2024, 11, 293. https://doi.org/10.3390/vetsci11070293
Chen H, Wang F, Wu X, Yuan S, Dong H, Zhou C, Feng S, Zhao Z, Si L. Chronic Heat Stress Induces Oxidative Stress and Induces Inflammatory Injury in Broiler Spleen via TLRs/MyD88/NF-κB Signaling Pathway in Broilers. Veterinary Sciences. 2024; 11(7):293. https://doi.org/10.3390/vetsci11070293
Chicago/Turabian StyleChen, Haoxiang, Feiyao Wang, Xingyue Wu, Songchen Yuan, Huili Dong, Chenyang Zhou, Siliang Feng, Zhanqin Zhao, and Lifang Si. 2024. "Chronic Heat Stress Induces Oxidative Stress and Induces Inflammatory Injury in Broiler Spleen via TLRs/MyD88/NF-κB Signaling Pathway in Broilers" Veterinary Sciences 11, no. 7: 293. https://doi.org/10.3390/vetsci11070293
APA StyleChen, H., Wang, F., Wu, X., Yuan, S., Dong, H., Zhou, C., Feng, S., Zhao, Z., & Si, L. (2024). Chronic Heat Stress Induces Oxidative Stress and Induces Inflammatory Injury in Broiler Spleen via TLRs/MyD88/NF-κB Signaling Pathway in Broilers. Veterinary Sciences, 11(7), 293. https://doi.org/10.3390/vetsci11070293

