Spinal Cord Medulloepithelioma in a Cat
Abstract
Simple Summary
Abstract
1. Introduction
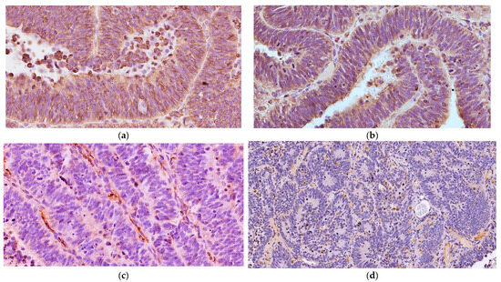
2. Case Description
3. Discussion
4. Conclusions
Author Contributions
Funding
Institutional Review Board Statement
Informed Consent Statement
Data Availability Statement
Acknowledgments
Conflicts of Interest
References
- Leiva, M.; Felici, F.; Carvalho, A.; Ramis, A.; Peña, T. Benign intraocular teratoid medulloepithelioma causing glaucoma in an 11-year-old Arabian mare. Vet. Ophthalmol. 2013, 16, 297–302. [Google Scholar] [CrossRef] [PubMed]
- Monk, C.S.; Craft, W.F.; Abbott, J.R.; Farina, L.L.; Reuss, S.M.; Czerwinski, S.L.; Brooks, D.E.; Plummer, C.E. Clinical behavior of intraocular teratoid medulloepithelioma in two-related Quarter Horses. Vet. Ophthalmol. 2017, 20, 551–559. [Google Scholar] [CrossRef] [PubMed]
- Nascimento, D.L.D.; Carvalho, G.D.; Nonato, I.d.A.; Salgado, B.S.; Instituto Federal do Espírito Santo—IFES Campus Piúma/ES. A case of metastatic non-teratoid ocular medulloepithelioma in an adult horse. Braz. J. Vet. Pathol. 2021, 14, 102–106. [Google Scholar] [CrossRef]
- Silva, M.O.; Coelho, L.C.T.; Vidal, A.P.; Teixeira, C.A.; Ribeiro, G.H.S.; de Melo, N.C.; Fantini, P. Non-teratoid ocular medulloepithelioma in an adult horse. Ciênc. Rural. 2021, 51, e20200001. [Google Scholar] [CrossRef]
- Lahav, M.; Albert, D.M.; Kircher, C.H.; Percy, D.H. Malignant teratoid medulloepithelioma in a dog. Vet. Pathol. 1976, 13, 11–16. [Google Scholar] [CrossRef] [PubMed]
- Langloss, J.M.; Zimmerman, L.E.; Krehibiel, J.D. Malignant intraocular teratoid medulloepithelioma in three dogs. Vet. Pathol. 1976, 13, 343–352. [Google Scholar] [CrossRef] [PubMed]
- Wilcock, B.P.; Williams, M.M. Malignant intraocular medulloepithelioma in a dog. J. Am. Anim. Hosp. Assoc. 1980, 16, 617–619. [Google Scholar]
- Aleksandersen, M.; Bjerkås, E.; Heiene, R.; Heegaard, S. Malignant teratoid medulloepithelioma with brain and kidney involvement in a dog. Vet. Ophthalmol. 2004, 7, 407–411. [Google Scholar] [CrossRef]
- Regan, D.P.; Dubielzig, R.R.; Zeiss, C.J.; Charles, B.; Hoy, S.S.; Ehrhart, E.J. Primary primitive neuroectodermal tumors of the retina and ciliary body in dogs. Vet. Ophthalmol. 2013, 16, 87–93. [Google Scholar] [CrossRef]
- Jelínek, F.; Mirejovský, P.; Vozková, D.; Hron, P. Medulloepithelioma in a cat. Cesk Patol. 1996, 32, 75–77. [Google Scholar]
- Salih, A.; Moore, D.; Giannikaki, S.; Scurrell, E. Malignant ocular teratoid medulloepithelioma in two cats. J. Comp. Pathol. 2023, 1, 10–12. [Google Scholar] [CrossRef] [PubMed]
- Hendrix, D.V.; Bochsler, P.N.; Saladino, B.; Cawrse, M.A.; Thomas, J. Malignant teratoid medulloepithelioma in a llama. Vet. Pathol. 2000, 37, 680–683. [Google Scholar] [CrossRef] [PubMed]
- Schoeniger, S.; Donner, L.R.; Van Alstine, W.G. Malignant nonteratoid ocular medulloepithelioma in a llama (Llama glama). J. Vet. Diagn. Investig. 2006, 18, 499–503. [Google Scholar] [CrossRef] [PubMed]
- Schmidt, R.E.; Becker, L.L.; McElroy, J.M. Malignant intraocular medulloepithelioma in two cockatiels. J. Am. Vet. Med. Assoc. 1986, 189, 1105–1106. [Google Scholar] [PubMed]
- Bras, I.D.; Gemensky-Metzler, A.J.; Kusewitt, D.F.; Colitz, C.M.; Wilkie, D.A. Immunohistochemical characterization of a malignant intraocular teratoid medulloepithelioma in a cockatiel. Vet. Ophthalmol. 2005, 8, 59–65. [Google Scholar] [CrossRef] [PubMed]
- Lahav, M.; Albert, D.M. Medulloepithelioma of the ciliary body in the goldfish (Carassius auratus). Vet. Pathol. 1978, 15, 208–212. [Google Scholar] [CrossRef] [PubMed]
- Rodriguez-Ramos Fernandez, J.; Dubielzig, R.R. Ocular and eyelid neoplasia in birds: 15 cases (1982–2011). Vet. Ophthalmol. 2015, 18, 113–118. [Google Scholar] [CrossRef]
- Leal de Araújo, J.; Arruda, A.C.A.M.; Santos, N.T.A.; Dias, G.F.; Nery, T.F.; Del Piero, F.; Ploeg, R.; Porter, B.F.; Langohr, I.M. Ocular teratoid medulloepithelioma in a northern red-shouldered macaw: Case report and literature review. J. Vet. Diagn. Investig. 2021, 33, 600–604. [Google Scholar] [CrossRef] [PubMed]
- Co, C.; Brakel, K.; Pinard, C.L.; Foster, R.A. Intraocular neuroectodermal embryonal tumor in two rabbits. Vet. Ophthalmol. 2023, 26, 250–255. [Google Scholar] [CrossRef]
- Luttgen, P.J.; Braund, K.G.; Brawner, W.R.; Vandevelde, M. A retrospective study of twenty-nine spinal tumours in the dog and cat. J. Small Anim. Pract. 1980, 21, 213–226. [Google Scholar] [CrossRef]
- Machotka, S.V.; Lord, P.L.; Whitney, G.D.; White, J. Medulloepithelioma in the spinal cord of a dog. Proc. Am. Coll. Vet. Pathol. 1983, 34, 191. [Google Scholar]
- Kennedy, F.A.; Indrieri, R.J.; Koestner, A. Spinal cord medulloepithelioma in a dog. J. Am. Vet. Med. Assoc. 1984, 185, 902–904. [Google Scholar] [PubMed]
- Molloy, P.T.; Yachnis, A.T.; Rorke, L.B. Central nervous system medulloepithelioma: A series of eight cases including two arising in the pons. J. Neurosurg. 1996, 84, 430–436. [Google Scholar] [CrossRef]
- Moftakhar, P.; Fan, X.; Hurvitz, C.H.; Black, K.L.; Danielpour, M. Long-term survival in a child with a central nervous system medulloepithelioma. J. Neurosurg. Pediatr. 2008, 2, 339–345. [Google Scholar] [CrossRef] [PubMed]
- Korshunov, A.; Sturm, D.; Ryzhova, M.; Hovestadt, V.; Gessi, M.; Jones, D.T.W.; Remke, M.; Northcott, P.; Perry, A.; Picard, D.; et al. Embryonal tumor with abundant neuropil and true rosettes (ETANTR), ependymoblastoma, and medulloepithelioma share molecular similarity and comprise a single clinicopathological entity. Acta Neuropathol. 2014, 128, 279–289. [Google Scholar] [CrossRef]
- Rehman, O.; Narang, S.; Nayyar, S.; Aggarwal, P. Unusual case of intraocular medulloepithelioma in an adult male. Rom. J. Ophthalmol. 2021, 65, 296–299. [Google Scholar] [CrossRef]
- Takei, H.; Florez, L.; Moroz, K.; Bhattacharjee, M.B. Medulloepithelioma: Two unusual locations. Pathol. Int. 2007, 57, 91–95. [Google Scholar] [CrossRef] [PubMed]
- Nakamura, K.; Matsuda, K.I.; Kabasawa, T.; Meguro, T.; Kurose, A.; Sonoda, Y. A surgical case of pediatric spinal medulloepithelioma. Childs Nerv. Syst. 2022, 38, 473–477. [Google Scholar] [CrossRef] [PubMed]
- Bailey, D.; Mau, C.; Toepke, C.; Finch, E.; Rizk, E. Extracranial medulloepithelioma: A review of the literature. Childs Nerv. Syst. 2022, 38, 1259–1266. [Google Scholar] [CrossRef]
- Nakamura, Y.; Becker, L.E.; Mancer, K.; Gillespie, R. Peripheral medulloepithelioma. Acta Neuropathol. 1982, 57, 137–142. [Google Scholar] [CrossRef]
- Al-Salam, S.; Algawi, K.; Alashari, M. Malignant non-teratoid medulloepithelioma of the ciliary body with retinoblastic differentiation: A case report and review of literature. Neuropathology 2008, 28, 551–556. [Google Scholar] [CrossRef] [PubMed]
- Korshunov, A.; Jakobiec, F.A.; Eberhart, C.G.; Hovestadt, V.; Capper, D.; Jones, D.T.; Sturm, D.; Stagner, A.M.; Edward, D.P.; Eagle, R.C.; et al. Comparative integrated molecular analysis of intraocular medulloepitheliomas and central nervous system embryonal tumors with multilayered rosettes confirms that they are distinct nosologic entities. Neuropathology 2015, 35, 538–544. [Google Scholar] [CrossRef] [PubMed]
- Higgings, R.J.; Bollen, A.W.; Dickinson, P.J.; Sisó-Llonch, S. Tumors of the Nervous System. In Tumors in Domestic Animals, 5th ed.; Meuten, D.J., Ed.; Wiley-Blackwell: Ames, IA, USA, 2016; p. 862. [Google Scholar] [CrossRef]
- Brewer, D.M.; Cerda-Gonzalez, S.; Dewey, C.W.; Diep, A.N.; Van Horne, K.; McDonough, S.P. Spinal cord nephroblastoma in dogs: 11 cases (1985–2007). J. Am. Vet. Med. Assoc. 2011, 238, 618–624. [Google Scholar] [CrossRef]
- Itoi, T.; Kutara, K.; Mitsui, I.; Akashi, N.; Kanda, T.; Sugimoto, K.; Shimizu, Y.; Yamazoe, K. Magnetic resonance imaging findings of the primitive neuroectodermal tumour in lumbosacral spinal cord in a cat. Vet. Med. Sci. 2023, 9, 2399–2403. [Google Scholar] [CrossRef]
- Foiani, G.; Mandara, M.T.; Carminato, A.; Melchiotti, E.; Corrò, M.; Vascellari, M. Case report: Infratentorial embryonal tumor with abundant neuropil and true rosettes (ETANTR) in an 8-month-old Maine Coon. Front. Vet. Sci. 2022, 9, 961056. [Google Scholar] [CrossRef] [PubMed]
- Paulus, W.; Kleihues, P. Genetic profiling of CNS tumors extends histological classification. Acta Neuropathol. 2010, 120, 269–270. [Google Scholar] [CrossRef]
- de Kock, L.; Priest, J.R.; Foulkes, W.D.; Alexandrescu, S. An update on the central nervous system manifestations of DICER1 syndrome. Acta Neuropathol. 2020, 139, 689–701. [Google Scholar] [CrossRef]
- Sheriff, I.H.N.; Karaa, E.K.; Chowdhury, T.; Scheimberg, I.; Duncan, C.; Reddy, M.A.; Sagoo, M.S. Systemic adjuvant chemotherapy for advanced malignant ocular medulloepithelioma. Eye 2023, 37, 947–952. [Google Scholar] [CrossRef]




Disclaimer/Publisher’s Note: The statements, opinions and data contained in all publications are solely those of the individual author(s) and contributor(s) and not of MDPI and/or the editor(s). MDPI and/or the editor(s) disclaim responsibility for any injury to people or property resulting from any ideas, methods, instructions or products referred to in the content. |
© 2024 by the authors. Licensee MDPI, Basel, Switzerland. This article is an open access article distributed under the terms and conditions of the Creative Commons Attribution (CC BY) license (https://creativecommons.org/licenses/by/4.0/).
Share and Cite
Aytaş, Ç.; Gilardini, R.; Beghelli, A.; Barili, P.A.; Ori, M.; Cantile, C. Spinal Cord Medulloepithelioma in a Cat. Vet. Sci. 2024, 11, 177. https://doi.org/10.3390/vetsci11040177
Aytaş Ç, Gilardini R, Beghelli A, Barili PA, Ori M, Cantile C. Spinal Cord Medulloepithelioma in a Cat. Veterinary Sciences. 2024; 11(4):177. https://doi.org/10.3390/vetsci11040177
Chicago/Turabian StyleAytaş, Çağla, Raffaele Gilardini, Annalisa Beghelli, Paolo Andrea Barili, Melissa Ori, and Carlo Cantile. 2024. "Spinal Cord Medulloepithelioma in a Cat" Veterinary Sciences 11, no. 4: 177. https://doi.org/10.3390/vetsci11040177
APA StyleAytaş, Ç., Gilardini, R., Beghelli, A., Barili, P. A., Ori, M., & Cantile, C. (2024). Spinal Cord Medulloepithelioma in a Cat. Veterinary Sciences, 11(4), 177. https://doi.org/10.3390/vetsci11040177

