Partial Sequence Analysis of Commercial Peste des Petits Ruminants Vaccines Produced in Africa
Abstract
Simple Summary
Abstract
1. Introduction
2. Materials and Methods
2.1. PPR Vaccine Samples
2.2. Viral Genome Extraction
2.3. Reverse Transcription Polymerase Chain Reaction (RT-PCR) and Nucleotide Sequences Analysis
2.4. Sequence Analysis with Published Sequence or in Genbank of PPR Vaccine Nigeria 75/1
3. Results
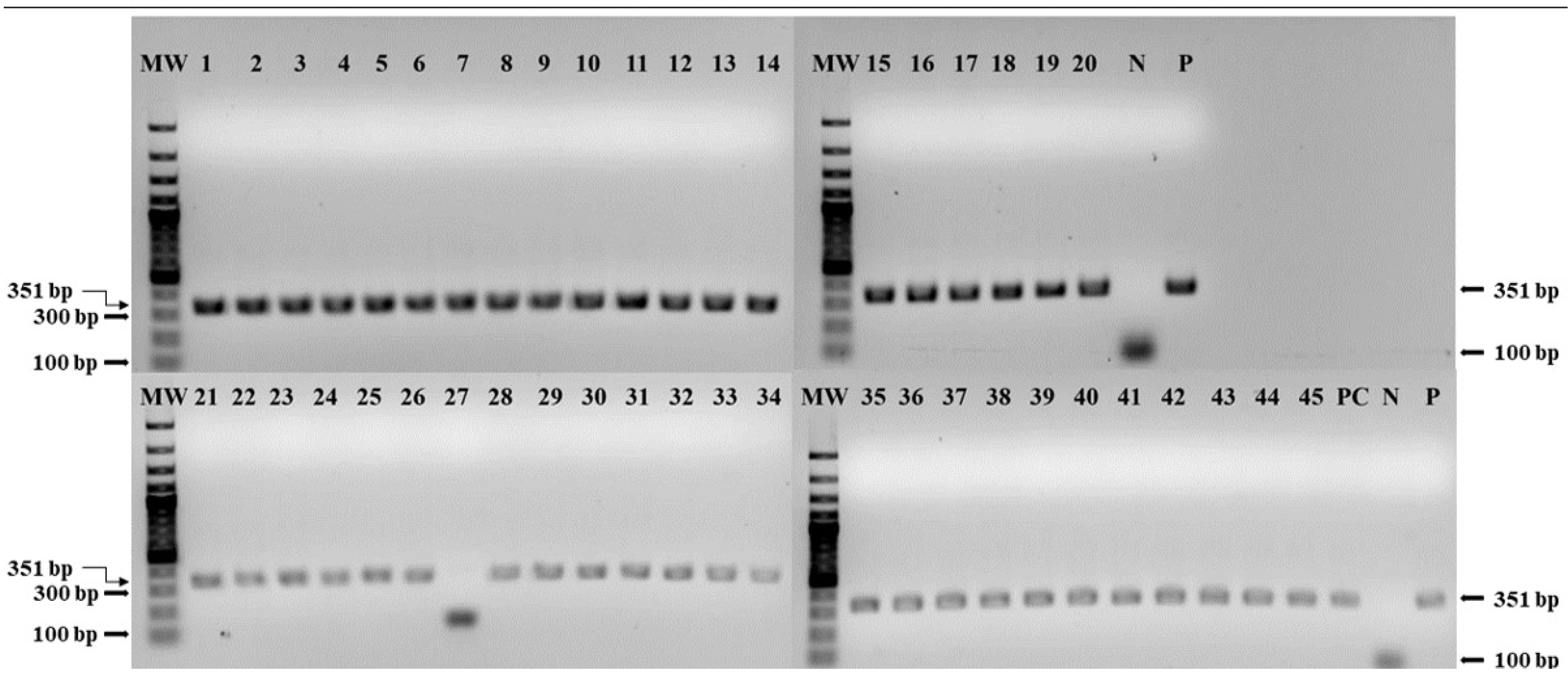
3.1. Detection and Identification of the PPRV N Gene Using PCR
3.2. Sequencing and Data Analysis
4. Discussion
Author Contributions
Funding
Institutional Review Board Statement
Informed Consent Statement
Data Availability Statement
Acknowledgments
Conflicts of Interest
References
- Aguilar, X.F.; Fine, A.E.; Pruvot, M.; Njeumi, F.; Walzer, C.; Kock, R.; Shiilegdamba, E. PPR virus threatens wildlife conservation. Science 2018, 363, 165–166. [Google Scholar] [CrossRef]
- Baron, M.D.; Diallo, A.; Lancelot, R.; Libeau, G. Peste des Petits Ruminants Virus. Adv. Virus Res. 2016, 95, 1–42. [Google Scholar]
- Hoffmann, B.; Wiesner, H.; Maltzan, J.; Mustefa, R.; Eschbaumer, M.; Arif, F.A.; Beer, M. Fatalities in wild goats in Kurdistan associated with peste des petits ruminants virus. Transbound. Emerg. Dis. 2012, 59, 173–176. [Google Scholar] [CrossRef]
- Gargadennec, L.; Lalanne, A. La Peste des Petits Ruminants. Bull. Serv. Zoo. A. O. F. 1942, 5, 15–21. [Google Scholar]
- Available online: https://www.woah.org/en/disease/peste-des-petits-ruminants/#ui-id-2 (accessed on 20 June 2024).
- Libeau, G.; Diallo, A.; Parida, S. Evolutionary genetics underlying the spread of peste des petits ruminants virus. Anim. Front. 2014, 4, 14–20. [Google Scholar] [CrossRef]
- Jones, B.A.; Rich, K.M.; Mariner, J.C.; Anderson, J.; Jeggo, M.; Thevasagayam, S.; Cai, Y.; Peters, A.R.; Roeder, P. The economic impact of eradicating peste des petits ruminants: A benefit-cost analysis. PLoS ONE 2016, 11, e0149982. [Google Scholar] [CrossRef]
- Food Agriculture Organisation of United Nations (FAO); World Organization for Animal Health-OIE. International Conference for the Control and Eradication of PPR, Abidjan Cote d’Ivoire. The Global Strategy for the Control and Eradication of PPR. 2015. Available online: https://www.woah.org/app/uploads/2021/03/ppr-global-strategy-avecannexes-2015-03-28.pdf (accessed on 11 December 2023).
- The International Committee on Taxonomy of Viruses (ICTV). Available online: https://ictv.global/report/chapter/paramyxoviridae/paramyxoviridae/morbillivirus (accessed on 27 July 2024).
- The WOAH PPR Reference Laboratories Network. Available online: https://www.ppr-labs-oie-network.org/news/change-of-species-name-for-pprv (accessed on 27 July 2024).
- Dundon, W.G.; Diallo, A.; Cattoli, G. Peste des petits ruminants in Africa: A review of currently available molecular epidemiological data. Arch. Virol. 2020, 165, 2147–2163. [Google Scholar] [CrossRef]
- Elhaig, M.M.; Selim, A.; Mandour, A.S.; Schulz, C.; Hoffmann, B. Prevalence and Molecular Characterisation of Peste Des Petits Ruminants Virus from Ismailia and Suez, Northeastern Egypt, 2014–2016. Small Rumin. Res. 2018, 169, 94–98. [Google Scholar] [CrossRef]
- Ashraf, W.; Unger, H.; Haris, S.; Mobeen, A.; Farooq, M.; Asif, M.; Khan, Q.M. Genetic Detection of Peste Des Petits Ruminants Virus under Field Conditions: A Step Forward towards Disease Eradication. BMC Vet. Res. 2017, 13, 34. [Google Scholar] [CrossRef]
- Banyard, A.C.; Parida, S.; Batten, C.; Oura, C.; Kwiatek, O.; Libeau, G. Global distribution of peste des petits ruminants virus and prospects for improved diagnosis and control. J. Gen. Virol. 2010, 91, 2885–2897. [Google Scholar] [CrossRef]
- Diallo, A.; Barrett, T.; Barbon, M.; Meyer, G.; Lefèvre, P.C. Cloning of nucleocapsid protein gene of the peste des petits ruminants virus: Relationship to other morbilliviruses. J. Gen. Virol. 1994, 75, 233–237. [Google Scholar] [CrossRef]
- Diallo, A.; Taylor, W.P.; Lefèvre, P.C.; Provost, A. Atténuation d’une souche du virus de la PPR. Candidat pour un vaccin homologue vivant. Rev. Elev. Méd. Vét. Pays trop. 1989, 42, 311–319. [Google Scholar] [CrossRef]
- Sreenivasa, B.; Dhar, P.; Singh, R.; Bandyopadhyay, S. Evaluation of an indigenously developed homologous live-attenuated cell culture vaccine against peste des petits ruminants infection of small ruminants. In Proceedings of the XXth Annual Conference of Indian Association of Veterinary Microbiologists, Immunologists and Specialists in Infectious Diseases and National Symposium on Trends in Vaccinology for Animal Diseases, Pantnagar, India, 14 October 2000; Volume 14. [Google Scholar]
- Eloiflin, R.J.; Boyer, M.; Kwiatek, O.; Guendouz, S.; Loire, E.; Servan de Almeida, R.; Libeau, G.; Bataille, A. Evolution of Attenuation and Risk of Reversal in Peste des Petits Ruminants Vaccine Strain Nigeria 75/1. Viruses 2019, 11, 724. [Google Scholar] [CrossRef]
- Available online: https://www.woah.org/fileadmin/Home/eng/Health_standards/tahm/3.08.09_PPR.pdf (accessed on 24 June 2024).
- Couacy-Hymann, E.; Roger, F.; Hurard, C.; Guillou, J.P.; Libeau, G.; Diallo, A. Rapid and Sensitive Detection of Peste Des Petits Ruminants Virus by a Polymerase Chain Reaction Assay. J. Virol. Methods 2002, 100, 17–25. [Google Scholar] [CrossRef]
- Madeira, F.; Park, Y.M.; Lee, J.; Buso, N.; Gur, T.; Madhusoodanan, N.; Basutkar, P.; Tivey, A.R.N.; Potter, S.C.; Finn, R.D.; et al. The EMBL-EBI search and sequence analysis tools APIs in 2019. Nucleic Acids Res. 2019, 47, W636–W641. [Google Scholar] [CrossRef]




| S/N | Manufacturer | Production Date |
|---|---|---|
| 1 | NVI | 11/2019 |
| 2 | NVI | 04/2020 |
| 3 | NVI | 08/2020 |
| 4 | NVI | 01/2021 |
| 5 | NVI | 05/2021 |
| 6 | NVI | 08/2021 |
| 7 | NVI | 01/2022 |
| 8 | NVI | 04/2022 |
| 9 | NVI | 05/2022 |
| 10 | NVI | 12/2022 |
| 11 | KEVEVAPI | 12/2019 |
| 12 | KEVEVAPI | 12/2019 |
| 13 | LANAVET | 12/2019 |
| 14 | LANAVET | 02/2020 |
| 15 | LANAVET | 07/2020 |
| 16 | LANAVET | 06/2021 |
| 17 | LANAVET | 07/2021 |
| 18 | LANAVET | 10/2021 |
| 19 | LANAVET | 03/2022 |
| 20 | LANAVET | 07/2022 |
| 21 | MCI | 07/2020 |
| 22 | MCI | 09/2020 |
| 23 | MCI | 03/2021 |
| 24 | MCI | 09/2021 |
| 25 | ISRA | 02/2020 |
| 26 | ISRA | 05/2020 |
| 27 | ISRA | 06/2020 |
| 28 | ISRA | 10/2021 |
| 29 | ISRA | 05/2022 |
| 30 | ISRA | 11/2022 |
| 31 | LCV | 01/2020 |
| 32 | LCV | 02/2021 |
| 33 | LCV | 03/2021 |
| 34 | LCV | 05/2021 |
| 35 | LCV | 03/2022 |
| 36 | LCV | 05/2022 |
| 37 | LCV | 07/2022 |
| 38 | BVI | 10/2017 |
| 39 | BVI | 12/2018 |
| 40 | BVI | 02/2022 |
| 41 | HESTER Tanzania | 09/2021 |
| 42 | HESTER Tanzania | 03/2022 |
| 43 | NVRI | 05/2022 |
| 44 | NAPHL | 08/2022 |
| 45 | AU-PANVAC (Master seed, Vero 78) | 05/2007 |
| 46 | AU-PANVAC PPR Vaccine Positive Control (PC) | 01/2022 |
Disclaimer/Publisher’s Note: The statements, opinions and data contained in all publications are solely those of the individual author(s) and contributor(s) and not of MDPI and/or the editor(s). MDPI and/or the editor(s) disclaim responsibility for any injury to people or property resulting from any ideas, methods, instructions or products referred to in the content. |
© 2024 by the authors. Licensee MDPI, Basel, Switzerland. This article is an open access article distributed under the terms and conditions of the Creative Commons Attribution (CC BY) license (https://creativecommons.org/licenses/by/4.0/).
Share and Cite
Barry, B.; Tessema, Y.; Gelaw, H.; Boukary, C.R.M.; Dieu, B.J.d.; Gelagay, M.A.; Chitsungo, E.; Sanga, R.R.; Oladosu, G.A.; Nwankpa, N.; et al. Partial Sequence Analysis of Commercial Peste des Petits Ruminants Vaccines Produced in Africa. Vet. Sci. 2024, 11, 500. https://doi.org/10.3390/vetsci11100500
Barry B, Tessema Y, Gelaw H, Boukary CRM, Dieu BJd, Gelagay MA, Chitsungo E, Sanga RR, Oladosu GA, Nwankpa N, et al. Partial Sequence Analysis of Commercial Peste des Petits Ruminants Vaccines Produced in Africa. Veterinary Sciences. 2024; 11(10):500. https://doi.org/10.3390/vetsci11100500
Chicago/Turabian StyleBarry, Boubacar, Yebechaye Tessema, Hassen Gelaw, Cisse Rahamatou Moustapha Boukary, Baziki Jean de Dieu, Melesse Ayelet Gelagay, Ethel Chitsungo, Richard Rayson Sanga, Gbolahanmi Akinola Oladosu, Nick Nwankpa, and et al. 2024. "Partial Sequence Analysis of Commercial Peste des Petits Ruminants Vaccines Produced in Africa" Veterinary Sciences 11, no. 10: 500. https://doi.org/10.3390/vetsci11100500
APA StyleBarry, B., Tessema, Y., Gelaw, H., Boukary, C. R. M., Dieu, B. J. d., Gelagay, M. A., Chitsungo, E., Sanga, R. R., Oladosu, G. A., Nwankpa, N., & Bodjo, S. C. (2024). Partial Sequence Analysis of Commercial Peste des Petits Ruminants Vaccines Produced in Africa. Veterinary Sciences, 11(10), 500. https://doi.org/10.3390/vetsci11100500

