Incidental Findings in Computed Tomography Examination of the Head in Rabbits and Guinea Pigs
Abstract
Simple Summary
Abstract
1. Introduction
2. Materials and Methods
Statistical Analysis
3. Results
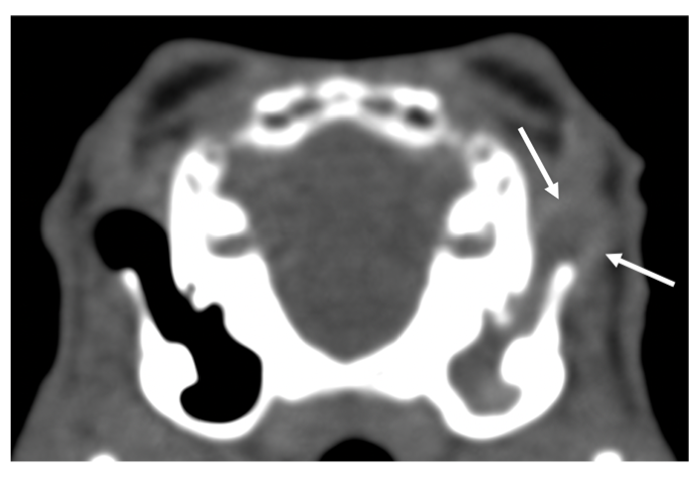
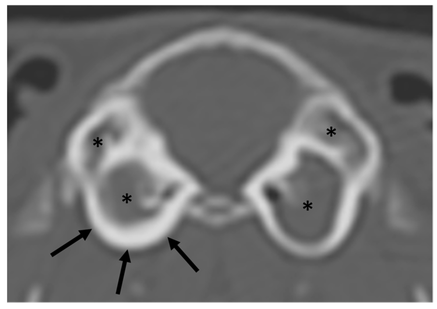
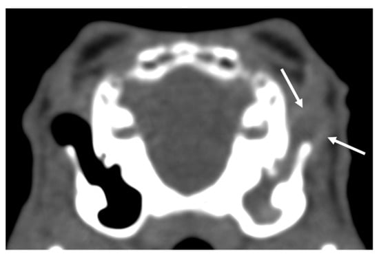
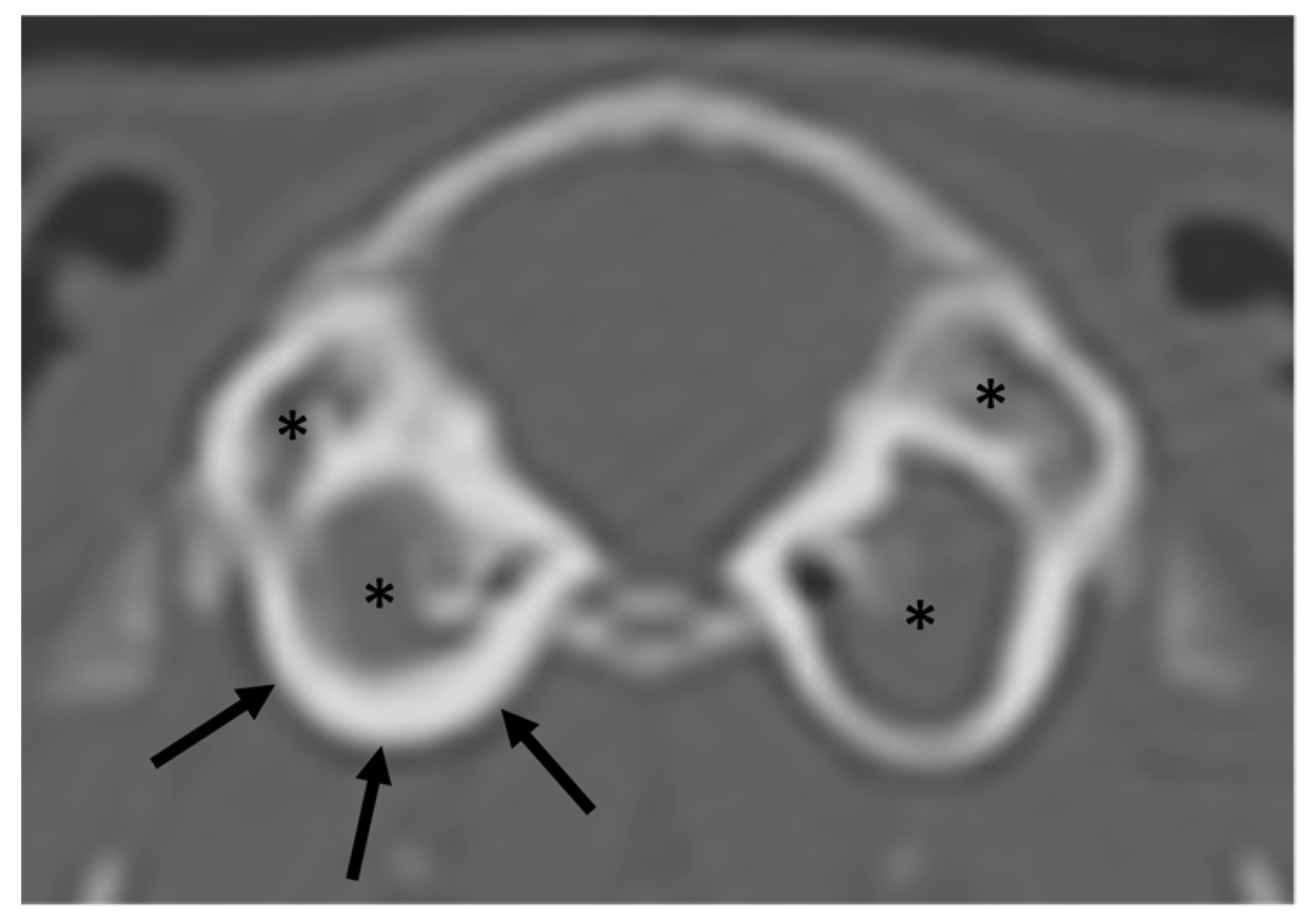
3.1. Rabbits
3.2. Guinea Pigs
4. Discussion
5. Conclusions
Supplementary Materials
Author Contributions
Funding
Institutional Review Board Statement
Informed Consent Statement
Data Availability Statement
Conflicts of Interest
References
- Meredith, A. Guinea pigs: Common things are common. Vet. Rec. 2015, 177, 198–199. [Google Scholar] [CrossRef] [PubMed]
- Mee, G.; Tipton, E.; Oxley, J.A.; Westgarth, C. Owner demographic factors are associated with suitable pet rabbit housing provision in the United Kingdom. Vet. Rec. 2022, 190, e1736. [Google Scholar] [CrossRef] [PubMed]
- Bohmer, C.; Bohmer, E. Shape Variation in the Craniomandibular System and Prevalence of Dental Problems in Domestic Rabbits: A Case Study in Evolutionary Veterinary Science. Vet. Sci. 2017, 4, 5. [Google Scholar] [CrossRef] [PubMed]
- Minarikova, A.; Hauptman, K.; Jeklova, E.; Knotek, Z.; Jekl, V. Diseases in pet guinea pigs: A retrospective study in 1000 animals. Vet. Rec. 2015, 177, 200. [Google Scholar] [CrossRef] [PubMed]
- Jekl, V.; Hauptman, K.; Knotek, Z. Quantitative and qualitative assessments of intraoral lesions in 180 small herbivorous mammals. Vet. Rec. 2008, 162, 442–449. [Google Scholar] [CrossRef]
- Schweda, M.C.; Hassan, J.; Bohler, A.; Tichy, A.; Reiter, A.M.; Kunzel, F. The role of computed tomography in the assessment of dental disease in 66 guinea pigs. Vet. Rec. 2014, 175, 538. [Google Scholar] [CrossRef]
- Capello, V.; Cauduro, A. Application of computed tomography for diagnosis of dental disease in the rabbit, guinea pig, and chinchilla. J. Exot. Pet. Med. 2008, 17, 93–101. [Google Scholar] [CrossRef]
- Artiles, C.A.; Sanchez-Migallon Guzman, D.; Beaufrere, H.; Phillips, K.L. Computed tomographic findings of dental disease in domestic rabbits (Oryctolagus cuniculus): 100 cases (2009–2017). J. Am. Vet. Med. Assoc. 2020, 257, 313–327. [Google Scholar] [CrossRef]
- de Matos, R.; Ruby, J.; Van Hatten, R.A.; Thompson, M. Computed tomographic features of clinical and subclinical middle ear disease in domestic rabbits (Oryctolagus cuniculus): 88 cases (2007–2014). J. Am. Vet. Med. Assoc. 2015, 246, 336–343. [Google Scholar] [CrossRef]
- Caspanello, T.; Masucci, M.; Iannelli, D.; Iannelli, N.M.; De Majo, M. Prevalence and Features of Incidental Findings in Veterinary Computed Tomography: A Single-Center Six-Years’ Experience. Animals 2023, 13, 591. [Google Scholar] [CrossRef]
- Lamb, C.R.; David, F.H. Advanced imaging: Use and misuse. J. Feline Med. Surg. 2012, 14, 483–497. [Google Scholar] [CrossRef]
- Shanaman, M.; Seiler, G.; Holt, D.E. Prevalence of clinical and subclinical middle ear disease in cats undergoing computed tomographic scans of the head. Vet. Radiol. Ultrasound 2012, 53, 76–79. [Google Scholar] [CrossRef] [PubMed]
- Baum, J.I.; Boston, S.E.; Case, J.B. Prevalence of adrenal gland masses as incidental findings during abdominal computed tomography in dogs: 270 cases (2013–2014). J. Am. Vet. Med. Assoc. 2016, 249, 1165–1169. [Google Scholar] [CrossRef] [PubMed]
- Bertolini, G.; Drigo, M.; Angeloni, L.; Caldin, M. Incidental and Nonincidental Canine Thyroid Tumors Assessed by Multidetector Row Computed Tomography: A Single-Centre Cross Sectional Study in 4520 Dogs. Vet. Radiol. Ultrasound 2017, 58, 304–314. [Google Scholar] [CrossRef] [PubMed]
- Heng, H.G.; Lim, C.K.; Fulkerson, C.V.; Fulkerson, C.M.; Weng, H.Y. Anal sacculiths may be an incidental finding in dogs. Vet. Radiol. Ultrasound 2021, 62, 175–180. [Google Scholar] [CrossRef]
- Chitty, A.; Raftery, A. Ear and Sinus surgery. In BSAVA Manual of Rabbit Surgery, Dentistry and Imaging; BSAVA British Small Animal Veterinary Association: Gloucester, UK, 2013. [Google Scholar]
- Thompson, R.J.; Wojcik, S.M.; Grant, W.D.; Ko, P.Y. Incidental Findings on CT Scans in the Emergency Department. Emerg. Med. Int. 2011, 2011, 624847. [Google Scholar] [CrossRef]
- Richardson, J.; Longo, M.; Liuti, T.; Eatwell, K. Computed tomographic grading of middle ear disease in domestic rabbits (Oryctolagus cuniculi). Vet. Rec. 2019, 184, 679. [Google Scholar] [CrossRef]
- Mahdy, M.A.A. Correlation between computed tomography, magnetic resonance imaging and cross-sectional anatomy of the head of the guinea pig (Cavia porcellus, Linnaeus 1758). Anat. Histol. Embryol. 2022, 51, 51–61. [Google Scholar] [CrossRef]
- Capello, V. Diagnostic Imaging of Dental Disease in Pet Rabbits and Rodents. Vet. Clin. North. Am. Exot. Anim. Pract. 2016, 19, 757–782. [Google Scholar] [CrossRef]
- Friling, L.; Nyman, H.T.; Johnson, V. Asymmetric nasal mucosal thickening in healthy dogs consistent with the nasal cycle as demonstrated by MRI and CT. Vet. Radiol. Ultrasound 2014, 55, 159–165. [Google Scholar] [CrossRef]
- Zimmerman, T.E.; Giddens, W.E., Jr.; DiGiacomo, R.F.; Ladiges, W.C. Soft tissue mineralization in rabbits fed a diet containing excess vitamin D. Lab. Anim. Sci. 1990, 40, 212–215. [Google Scholar]
- Harcourt-Brown, F. Radiographic signs of renal disease in rabbits. Vet. Rec. 2007, 160, 787–794. [Google Scholar] [CrossRef] [PubMed]
- Maurer, K.J.; Marini, R.P.; Fox, J.G.; Rogers, A.B. Polycystic kidney syndrome in New Zealand White rabbits resembling human polycystic kidney disease. Kidney Int. 2004, 65, 482–489. [Google Scholar] [CrossRef] [PubMed][Green Version]
- Donnelly, T.M.; Brown, C.; Donnelly, T.M. Heterotopic bone in the eyes of a guinea pig: Osseous choristoma of the ciliary body. Lab. Anim. 2002, 31, 23–25. [Google Scholar] [CrossRef]
- Brooks, D.E.; McCracken, M.D.; Collins, B.R. Heterotopic bone formation in the ciliary body of an aged guinea pig. Lab. Anim. Sci. 1990, 40, 88–90. [Google Scholar] [PubMed]
- Williams, D.; Sullivan, A. Ocular disease in the guinea pig (Cavia porcellus): A survey of 1000 animals. Vet. Ophthalmol. 2010, 13, 54–62. [Google Scholar] [CrossRef]
- Riggs, G.G.; Cissell, D.D.; Arzi, B.; Hatcher, D.C.; Kass, P.H.; Zhen, A.; Verstraete, F.J. Clinical Application of Cone Beam Computed Tomography of the Rabbit Head: Part 2-Dental Disease. Front. Vet. Sci. 2017, 4, 5. [Google Scholar] [CrossRef]




| Rabbits (60) | Guinea Pigs (65) | ||
|---|---|---|---|
| Only indication for the CT examination (n) | Additional indications for the CT examination (n) | Only indication for the CT examination (n) | Additional indications for the CT examination (n) |
| Dental pathology (16) | Otitis (3) Swelling (2) Nasal discharge (1) Nasal discharge and otitis (1) Anorexia (1) | Dental pathology (16) | Swelling (6) Anorexia (2) Weight loss (1) Neurological symptoms and anorexia (1) |
| Anorexia (3) | Ocular discharge (1) | Anorexia (6) | Swelling (2) Weight loss (1) |
| Swelling (9) | Nasal discharge (1) | Swelling (17) | |
| Nasal discharge (5) | Otitis (1) Ocular discharge (1) | Nasal discharge (2) | Weight loss (1) |
| Otitis (3) | Nasal discharge (1) | Otitis (2) | |
| Neurological symptoms (3) | Neurological symptoms (3) | ||
| Exophthalmos (2) | Exophthalmos (2) | ||
| Ocular discharge (1) | Weight loss (1) | ||
| Others | Apathy (3) Fractured mandibula (1) Blood in endotracheal tube (1) | Others: | Stridor (1) Swallowing problems (1) |
| Anatomical Region | CT Abnormalities Detected | |||
|---|---|---|---|---|
| Nasal cavities | Increased attenuation/rhinitis (11/10) | Space-occupying lesion (0/0) | Loss of conchae (1/0) | |
| Nasolacrimal duct | Enlargement (3/0) | Wall thickening (0/0) | Wall lysis (1/0) | Presence of gas (0/4) |
| Bulla tympanica | Increased attenuation (11/34) | Enlargement (0/0) | Thickening of the wall (6/16) | Lysis or irregularities of the wall (2/0) |
| Internal ear | Deformation (0/0) | Lysis (0/0) | ||
| External ear | Increased attenuation (23/1) | Displacement (0/0) | Aural diverticulosis (9/0) | |
| Retrobulbar space | Increased attenuation, loss of fat tissue (2/0) | Space-occupying lesion (1/0) | ||
| Eye | Exophthalmos (1/0) | Deformation (0/0) | Lens luxation (0/0) | Others: mineralization (0/26) |
| Maxilla/mandibula | Minor lesions (6/4) | Major lesions associated with tooth (0/0) | Aggressive bone lesions not associated with tooth (0/0) | Fracture (1/0) |
| TMJ * | Luxation (0/0) | Fracture (0/0) | Deformation (0/5) | Lysis (0/0) |
| Soft tissues | Diffuse swelling (1/1) | Solid space occupying lesion (0/0) | Cavernous space occupying lesion (0/1) | Mineralization (11/0) |
Disclaimer/Publisher’s Note: The statements, opinions and data contained in all publications are solely those of the individual author(s) and contributor(s) and not of MDPI and/or the editor(s). MDPI and/or the editor(s) disclaim responsibility for any injury to people or property resulting from any ideas, methods, instructions or products referred to in the content. |
© 2023 by the authors. Licensee MDPI, Basel, Switzerland. This article is an open access article distributed under the terms and conditions of the Creative Commons Attribution (CC BY) license (https://creativecommons.org/licenses/by/4.0/).
Share and Cite
Del Chicca, F.; Puccinelli, C.; Petrini, D.; Citi, S. Incidental Findings in Computed Tomography Examination of the Head in Rabbits and Guinea Pigs. Vet. Sci. 2023, 10, 504. https://doi.org/10.3390/vetsci10080504
Del Chicca F, Puccinelli C, Petrini D, Citi S. Incidental Findings in Computed Tomography Examination of the Head in Rabbits and Guinea Pigs. Veterinary Sciences. 2023; 10(8):504. https://doi.org/10.3390/vetsci10080504
Chicago/Turabian StyleDel Chicca, Francesca, Caterina Puccinelli, Daniele Petrini, and Simonetta Citi. 2023. "Incidental Findings in Computed Tomography Examination of the Head in Rabbits and Guinea Pigs" Veterinary Sciences 10, no. 8: 504. https://doi.org/10.3390/vetsci10080504
APA StyleDel Chicca, F., Puccinelli, C., Petrini, D., & Citi, S. (2023). Incidental Findings in Computed Tomography Examination of the Head in Rabbits and Guinea Pigs. Veterinary Sciences, 10(8), 504. https://doi.org/10.3390/vetsci10080504

