Expanded Brain CT Dataset for the Development of AI Systems for Intracranial Hemorrhage Detection and Classification
Abstract
1. Summary
2. Data Description
3. Methods
3.1. Data Collection and Verification Process
- With pathology: a presence of ICH description in the text report
- Without pathology: an absence of ICH description in the text report.
3.1.1. Classification Criteria
- With pathology:
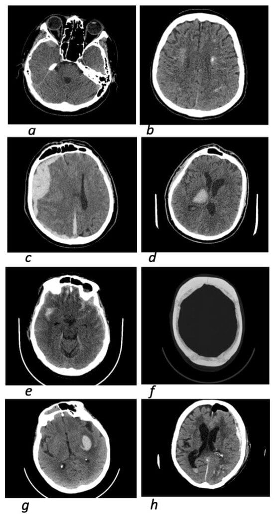
- Intracerebral hemorrhage (ICH): a CT study reveals a hyperdense area (from +45–50 to 90 HU) of any location and shape, heterogeneous or homogeneous inside the brain tissue, which can rupture into the intraventricular spaces (intraventricular hemorrhage);
- Subarachnoid hemorrhage (SAH): in CT scans, hyperdense areas (from +45–50 to 90 HU) of various shapes and sizes are found in the subarachnoid spaces and cisterns of the brain;
- Subdural hemorrhage (SDH): on CT images, crescent-shaped hyperdense areas (from +45–50 to 90 HU), homogeneous or heterogeneous in structure, are detected in the subdural space, or crescent-shaped isodense ones (~35–40 HU), corresponding to the subacute stage of SDK;
- Epidural hemorrhage (EDH): a CT study reveals biconvex (lenticular) hyperdense areas (from +45–50 to 90 H units) in the epidural space, often heterogeneous in structure [24].
- Without pathology: hyperdense areas (from +45–50 to 90 HU) are not detected either inside the brain tissues or in the meningeal spaces on CT scans.
3.1.2. Inclusion Criteria
- −
- Patient’s age is at least 18 years;
- −
- Availability of a radiology report of the study with conclusion in the information system;
- −
- Presence of the desired sign of pathology in the images—for selecting studies of the “presence of pathology” class.
3.1.3. Noninclusion Criteria
- −
- Patient’s age is less than 18 years;
- −
- Absence of a radiology report of the study with conclusion in the information system,
- −
- Inability to reliably determine (by verification) whether the changes on CT scans are signs of hemorrhage.
3.1.4. Exclusion Criteria
- −
- A presence of image artifacts that could potentially complicate the AI service operation (dynamic artifacts, bone and/or metal artifacts, artifacts from detector malfunction);
- −
- For studies using contrast enhancement—the absence of a series of CT images from native phase in the information system.
3.2. Population Parameters and Anonymization
4. Conclusions
Supplementary Materials
Author Contributions
Funding
Institutional Review Board Statement
Informed Consent Statement
Data Availability Statement
Conflicts of Interest
References
- Yu, N.; Yu, H.; Li, H.; Ma, N.; Hu, C.; Wang, J. A Robust Deep Learning Segmentation Method for Hematoma Volumetric Detection in Intracerebral Hemorrhage. Stroke 2022, 53, 167–176. [Google Scholar] [CrossRef]
- Dyer, T.; Chawda, S.; Alkilani, R.; Morgan, T.N.; Hughes, M.; Rasalingham, S. Validation of an artificial intelligence solution for acute triage and rule-out normal of non-contrast CT head scans. Neuroradiology 2022, 64, 735–743. [Google Scholar] [CrossRef]
- Schmitt, N.; Mokli, Y.; Weyland, C.S.; Gerry, S.; Herweh, C.; Ringleb, P.A.; Nagel, S. Automated detection and segmentation of intracranial hemorrhage suspect hyperdensities in non-contrast-enhanced CT scans of acute stroke patients. Eur. Radiol. 2022, 32, 2246–2254. [Google Scholar] [CrossRef]
- Daugaard Jørgensen, M.; Antulov, R.; Hess, S.; Lysdahlgaard, S. Convolutional neural network performance compared to radiologists in detecting intracranial hemorrhage from brain computed tomography: A systematic review and meta-analysis. Eur. J. Radiol. 2022, 146, 110073. [Google Scholar] [CrossRef] [PubMed]
- Zhou, Q.; Zhu, W.; Li, F.; Yuan, M.; Zheng, L.; Liu, X. Transfer Learning of the ResNet-18 and DenseNet-121 Model Used to Diagnose Intracranial Hemorrhage in CT Scanning. Curr. Pharm. Des. 2022, 28, 287–295. [Google Scholar] [CrossRef]
- Kau, T.; Ziurlys, M.; Taschwer, M.; Kloss-Brandstätter, A.; Grabner, G.; Deutschmann, H. FDA-approved deep learning software application versus radiologists with different levels of expertise: Detection of intracranial hemorrhage in a retrospective single-center study. Neuroradiology 2022, 64, 981–990. [Google Scholar] [CrossRef] [PubMed]
- Alfaer, N.M.; Aljohani, H.M.; Abdel-Khalek, S.; Alghamdi, A.S.; Mansour, R.F. Fusion-Based Deep Learning with Nature-Inspired Algorithm for Intracerebral Haemorrhage Diagnosis. J. Healthc. Eng. 2022, 2022, 4409336. [Google Scholar] [CrossRef]
- Hopkins, B.S.; Murthy, N.K.; Texakalidis, P.; Karras, C.L.; Mansell, M.; Jahromi, B.S.; Potts, M.B.; Dahdaleh, N.S. Mass Deployment of Deep Neural Network: Real-Time Proof of Concept with Screening of Intracranial Hemorrhage Using an Open Data Set. Neurosurgery 2022, 90, 383–389. [Google Scholar] [CrossRef] [PubMed]
- Alis, D.; Alis, C.; Yergin, M.; Topel, C.; Asmakutlu, O.; Bagcilar, O.; Senli, Y.D.; Ustundag, A.; Salt, V.; Dogan, S.N.; et al. A joint convolutional-recurrent neural network with an attention mechanism for detecting intracranial hemorrhage on noncontrast head CT. Sci. Rep. 2022, 12, 2084. [Google Scholar] [CrossRef]
- Abrigo, J.M.; Ko, K.L.; Chen, Q.; Lai, B.M.H.; Cheung, T.C.Y.; Chu, W.C.W.; Yu, S.C.H. Artificial intelligence for detection of intracranial haemorrhage on head computed tomography scans: Diagnostic accuracy in Hong Kong. Hong Kong Med. J. 2023, 29, 112–120. [Google Scholar] [CrossRef]
- Dash, S.; Shakyawar, S.; Sharma, M.; Kaushik, S. Big data in healthcare: Management, analysis and future prospects. J. Big Data 2019, 6, 1–25. [Google Scholar] [CrossRef]
- Yu, A. Vasiliev and others. In Computer Vision in Diagnostic Radiology: The First Stage of the Moscow Experiment: Monograph, 2nd ed.; revised and expanded; Publishing Solutions: Moscow, Russia, 2023; 376p. [Google Scholar]
- Aggarwal, R.; Sounderajah, V.; Martin, G.; Ting, D.S.W.; Karthikesalingam, A.; King, D.; Ashrafian, H.; Darzi, A. Diagnostic accuracy of deep learning in medical imaging: A systematic review and meta-analysis. NPJ Digit. Med. 2021, 4, 65. [Google Scholar] [CrossRef] [PubMed]
- Morozov, S.P.; Gavrilov, A.V.; Arkhipov, I.V. The influence of artificial intelligence technologies on a duration of the provision of a computed tomography report of patients with COVID-19 in inpatient healthcare. Prev. Med. 2022, 25, 14–22. [Google Scholar]
- Chilamkurthy, S.; Ghosh, R.; Tanamala, S.; Biviji, M.; Campeau, N.G.; Venugopal, V.K.; Mahajan, V.; Rao, P.; Warier, P. Deep learning algorithms for detection of critical findings in head CT scans: A retrospective study. Lancet 2018, 392, 2388–2396. [Google Scholar] [CrossRef] [PubMed]
- Flanders, A.E.; Prevedello, L.M.; Shih, G.; Halabi, S.S.; Kalpathy-Cramer, J.; Ball, R.; Mongan, J.T.; Stein, A.; Kitamura, F.C.; Lungren, M.P.; et al. Construction of a Machine Learning Dataset through Collaboration: The RSNA 2019 Brain CT Hemorrhage Challenge. Radiol. Artif. Intell 2020, 2, e190211. [Google Scholar] [CrossRef] [PubMed]
- Pavlov, N.A.; Andreychenko, A.E.; Vladzymyrskyy, A.V.; Revazyan, A.A.; Kirpichev, Y.S.; Morozov, S.P. Reference medical datasets (MosMedData) for independent external evaluation of algorithms based on artificial intelligence in diagnostics. Digit. Diagn. 2021, 2, 49–66. [Google Scholar] [CrossRef]
- Khoruzhaya, A.N.; Kozlov, D.V.; Arzamasov Yu, M.; Kremneva, E.I. Text analysis of radiologists’ reports with signs of intracranial hemorrhage on brain CT using a decision tree algorithm. Mod. Technol. Med. 2022, 14, 34–42. [Google Scholar]
- Lin, Y.; Lin, G.; Peng, M.T.; Kuo, C.T.; Wan, Y.L.; Cherng, W.J. The Role of Artificial Intelligence in Coronary Calcium Scoring in Standard Cardiac Computed Tomography and Chest Computed Tomography with Different Reconstruction Kernels. J. Thorac. Imaging 2023, 10-1097. [Google Scholar] [CrossRef]
- Ye, Q.; Gao, Y.; Ding, W.; Niu, Z.; Wang, C.; Jiang, Y.; Wang, M.; Fang, E.F.; Menpes-Smith, W.; Xia, J.; et al. Robust weakly supervised learning for COVID-19 recognition using multi-center CT images. Appl. Soft Comput. 2022, 116, 108291. [Google Scholar] [CrossRef]
- Vapnik, V. Principles of risk minimization for learning theory. Adv. Neural Inf. Process. Syst. 1991, 4, 831–838. [Google Scholar]
- Omigbodun, A.O.; Noo, F.; McNitt-Gray, M.; Hsu, W.; Hsieh, S.S. The effects of physics-based data augmentation on the generalizability of deep neural networks: Demonstration on nodule false-positive reduction. Med. Phys. 2019, 46, 4563–4574. [Google Scholar] [CrossRef] [PubMed]
- Certificate of State Registration of Computer Programme No. 2022681196. 386-420.
- Brust, J.C. Current Diagnosis and Treatment in Neurology; McGraw-Hill Medica: New York, NY, USA, 2006; pp. 386–420. [Google Scholar]
- Aryanto, K.Y.E.; Oudkerk, M.; van Ooijen, P.M.A. Free DICOM de-identification tools in clinical research: Functioning and safety of patient privacy. Eur. Radiol. 2015, 25, 3685–3695. [Google Scholar] [CrossRef] [PubMed]



| Label Name | Number of Classes | Class Names | Class Distribution |
|---|---|---|---|
| Signs of ICH 1 | 2 | Presence/absence | 400/400 |
| Signs of epidural hemorrhage | 2 | Presence/absence | 100/700 |
| Signs of subarachnoid hemorrhage | 2 | Presence/absence | 112/688 |
| Signs of subdural hemorrhage | 2 | Presence/absence | 155/645 |
| Signs of intracerebral hemorrhage | 2 | Presence/absence | 191/609 |
| Signs of multiple hemorrhages | 2 | one/two or more | 265/535 |
| Signs of a skull fracture | 2 | Presence/absence | 124/676 |
| Signs of combined pathologies | 2 | Presence/absence | 23/777 |
| Signs of a break in the cerebrospinal fluid spaces | 2 | Presence/absence | 89/711 |
| Radiology text report | Not applicable | Presence/absence | Not applicable |
| Label Name | Number of Classes | Class Names |
|---|---|---|
| Convolution Kernel | 28 | B, BONE, BONEPLUS, D, FC08, FC09, FC21, FC23, FC26, FC30, FC3 5, FC62, FC64, FC68, FC81, H31s, H70h, J30s, J37s, J40s, J45s, J80s, SOFT, STANDARD, Sharp, UB, YA, YB |
| Slice Thickness | 11 | 0.500, 0.625, 0.750, 0.900, 1.000, 1.250, 1.500, 2.000, 2.500, 3.000, 5.000 |
| Manufacturer | 5 | GE Medical Systems, Mobius Imaging, Philips, Siemens, Toshiba |
| kiloVolt Peak | 6 | 80, 100, 120, 130, 135, 140 |
| X-ray Tube Current (mA) | 216 | 25–450 |
Disclaimer/Publisher’s Note: The statements, opinions and data contained in all publications are solely those of the individual author(s) and contributor(s) and not of MDPI and/or the editor(s). MDPI and/or the editor(s) disclaim responsibility for any injury to people or property resulting from any ideas, methods, instructions or products referred to in the content. |
© 2024 by the authors. Licensee MDPI, Basel, Switzerland. This article is an open access article distributed under the terms and conditions of the Creative Commons Attribution (CC BY) license (https://creativecommons.org/licenses/by/4.0/).
Share and Cite
Khoruzhaya, A.N.; Bobrovskaya, T.M.; Kozlov, D.V.; Kuligovskiy, D.; Novik, V.P.; Arzamasov, K.M.; Kremneva, E.I. Expanded Brain CT Dataset for the Development of AI Systems for Intracranial Hemorrhage Detection and Classification. Data 2024, 9, 30. https://doi.org/10.3390/data9020030
Khoruzhaya AN, Bobrovskaya TM, Kozlov DV, Kuligovskiy D, Novik VP, Arzamasov KM, Kremneva EI. Expanded Brain CT Dataset for the Development of AI Systems for Intracranial Hemorrhage Detection and Classification. Data. 2024; 9(2):30. https://doi.org/10.3390/data9020030
Chicago/Turabian StyleKhoruzhaya, Anna N., Tatiana M. Bobrovskaya, Dmitriy V. Kozlov, Dmitriy Kuligovskiy, Vladimir P. Novik, Kirill M. Arzamasov, and Elena I. Kremneva. 2024. "Expanded Brain CT Dataset for the Development of AI Systems for Intracranial Hemorrhage Detection and Classification" Data 9, no. 2: 30. https://doi.org/10.3390/data9020030
APA StyleKhoruzhaya, A. N., Bobrovskaya, T. M., Kozlov, D. V., Kuligovskiy, D., Novik, V. P., Arzamasov, K. M., & Kremneva, E. I. (2024). Expanded Brain CT Dataset for the Development of AI Systems for Intracranial Hemorrhage Detection and Classification. Data, 9(2), 30. https://doi.org/10.3390/data9020030

