Radiotherapy Advances in Pediatric Neuro-Oncology
Abstract
1. Introduction
2. Role of RT in Pediatric Neuro-Oncology
3. Advances in Treatment Planning
4. Advances in RT Delivery
4.1. Advanced Photon RT Techniques
4.2. Particle Therapy
4.3. Stereotactic Approaches
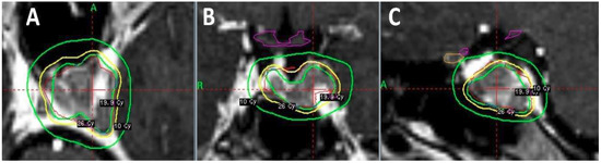
4.4. Improving Image Guidance
5. Clinical Efforts—Refining Target Volumes
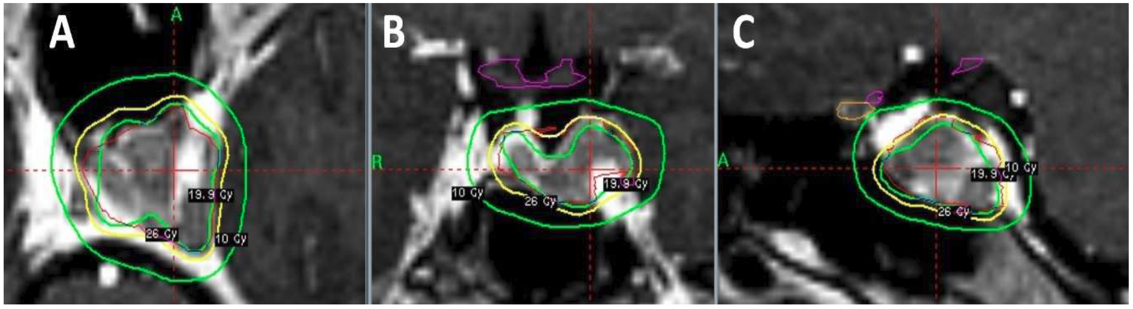
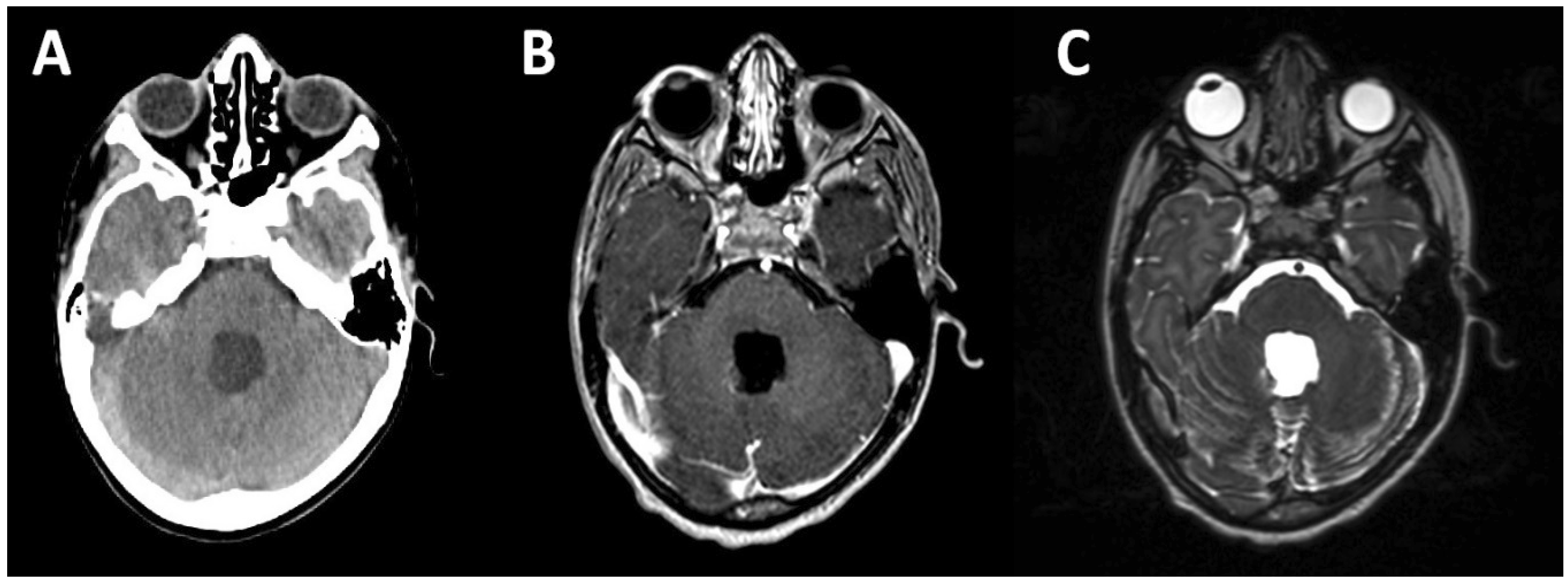
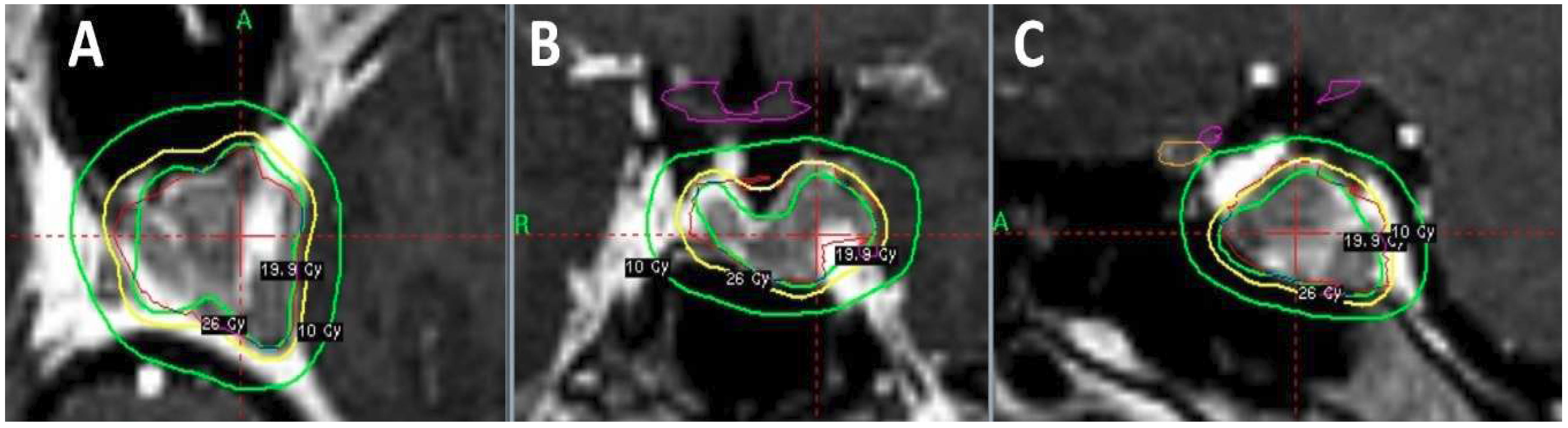
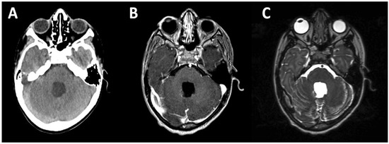
5.1. Shrinking Field Sizes
5.2. Optimizing Dose
6. Conclusions
Author Contributions
Funding
Conflicts of Interest
References
- Ward, E.; DeSantis, C.; Robbins, A.; Kohler, B.; Jemal, A. Childhood and adolescent cancer statistics, 2014. CA A Cancer J. Clin. 2014, 64, 83–103. [Google Scholar] [CrossRef] [PubMed]
- Governale, L.S. Minimally invasive pediatric neurosurgery. Pediatr. Neurol. 2015, 52, 389–397. [Google Scholar] [CrossRef] [PubMed]
- Zebian, B.; Vergani, F.; Lavrador, J.P.; Mukherjee, S.; Kitchen, W.J.; Stagno, V.; Chamilos, C.; Pettorini, B.; Mallucci, C. Recent technological advances in pediatric brain tumor surgery. CNS Oncol. 2017, 6, 71–82. [Google Scholar] [CrossRef] [PubMed]
- Choudhri, A.F.; Siddiqui, A.; Klimo, P., Jr.; Boop, F.A. Intraoperative MRI in pediatric brain tumors. Pediatr. Radiol. 2015, 45 (Suppl. 3), S397–S405. [Google Scholar] [CrossRef] [PubMed]
- Choudhri, A.F.; Siddiqui, A.; Klimo, P., Jr. Pediatric Cerebellar Tumors: Emerging Imaging Techniques and Advances in Understanding of Genetic Features. Magn. Reson. Imaging Clin. N. Am. 2016, 24, 811–821. [Google Scholar] [CrossRef] [PubMed]
- Murphy, E.S.; Chao, S.T.; Angelov, L.; Vogelbaum, M.A.; Barnett, G.; Jung, E.; Recinos, V.R.; Mohammadi, A.; Suh, J.H. Radiosurgery for Pediatric Brain Tumors. Pediatr. Blood Cancer 2016, 63, 398–405. [Google Scholar] [CrossRef] [PubMed]
- Eaton, B.R.; Yock, T. The use of proton therapy in the treatment of benign or low-grade pediatric brain tumors. Cancer J. 2014, 20, 403–408. [Google Scholar] [CrossRef] [PubMed]
- Gajjar, A.; Pfister, S.M.; Taylor, M.D.; Gilbertson, R.J. Molecular insights into pediatric brain tumors have the potential to transform therapy. Clin. Cancer Res. Off. J. Am. Assoc. Cancer Res. 2014, 20, 5630–5640. [Google Scholar] [CrossRef] [PubMed]
- Kieran, M.W. Targeting BRAF in pediatric brain tumors. Am. Soc. Clin. Oncol. Educ. Book 2014. [Google Scholar] [CrossRef] [PubMed]
- Watson, G.A.; Kadota, R.P.; Wisoff, J.H. Multidisciplinary management of pediatric low-grade gliomas. Semin. Radiat. Oncol. 2001, 11, 152–162. [Google Scholar] [CrossRef] [PubMed]
- Paulino, A.C. Current multimodality management of medulloblastoma. Curr. Prob. Cancer 2002, 26, 317–356. [Google Scholar] [CrossRef]
- McGovern, S.L.; Grosshans, D.; Mahajan, A. Embryonal brain tumors. Cancer J. 2014, 20, 397–402. [Google Scholar] [CrossRef] [PubMed]
- Just, M.; Rosler, H.P.; Higer, H.P.; Kutzner, J.; Thelen, M. MRI-assisted radiation therapy planning of brain tumors--clinical experiences in 17 patients. Magn. Reson. Imaging 1991, 9, 173–177. [Google Scholar] [CrossRef]
- Ten Haken, R.K.; Thornton, A.F., Jr.; Sandler, H.M.; LaVigne, M.L.; Quint, D.J.; Fraass, B.A.; Kessler, M.L.; McShan, D.L. A quantitative assessment of the addition of MRI to CT-based, 3-D treatment planning of brain tumors. Radiother. Oncol. J. Eur. Soc. Ther. Radiol. Oncol. 1992, 25, 121–133. [Google Scholar] [CrossRef]
- Thornton, A.F., Jr.; Sandler, H.M.; Ten Haken, R.K.; McShan, D.L.; Fraass, B.A.; La Vigne, M.L.; Yanke, B.R. The clinical utility of magnetic resonance imaging in 3-dimensional treatment planning of brain neoplasms. Int. J. Radiat. Oncol. Biol. Phys. 1992, 24, 767–775. [Google Scholar] [CrossRef]
- Devic, S. MRI simulation for radiotherapy treatment planning. Med. Phys. 2012, 39, 6701–6711. [Google Scholar] [CrossRef] [PubMed]
- Brock, K.K. Results of a multi-institution deformable registration accuracy study (MIDRAS). Int. J. Radiat. Oncol. Biol. Phys. 2010, 76, 583–596. [Google Scholar] [CrossRef] [PubMed]
- Wu, X.; Dibiase, S.J.; Gullapalli, R.; Yu, C.X. Deformable image registration for the use of magnetic resonance spectroscopy in prostate treatment planning. Int. J. Radiat. Oncol. Biol. Phys. 2004, 58, 1577–1583. [Google Scholar] [CrossRef] [PubMed]
- Weber, D.C.; Wang, H.; Albrecht, S.; Ozsahin, M.; Tkachuk, E.; Rouzaud, M.; Nouet, P.; Dipasquale, G. Open low-field magnetic resonance imaging for target definition, dose calculations and set-up verification during three-dimensional CRT for glioblastoma multiforme. Clin. Oncol. (R. Coll. Radiol.) 2008, 20, 157–167. [Google Scholar] [CrossRef] [PubMed]
- Rai, R.; Kumar, S.; Batumalai, V.; Elwadia, D.; Ohanessian, L.; Juresic, E.; Cassapi, L.; Vinod, S.K.; Holloway, L.; Keall, P.J.; et al. The integration of MRI in radiation therapy: Collaboration of radiographers and radiation therapists. J. Med. Radiat. Sci. 2017, 64, 61–68. [Google Scholar] [CrossRef] [PubMed]
- Metcalfe, P.; Liney, G.P.; Holloway, L.; Walker, A.; Barton, M.; Delaney, G.P.; Vinod, S.; Tome, W. The potential for an enhanced role for MRI in radiation-therapy treatment planning. Technol. Cancer Res. Treat. 2013, 12, 429–446. [Google Scholar] [CrossRef] [PubMed]
- Matsufuji, N.; Tomura, H.; Futami, Y.; Yamashita, H.; Higashi, A.; Minohara, S.; Endo, M.; Kanai, T. Relationship between CT number and electron density, scatter angle and nuclear reaction for hadron-therapy treatment planning. Phys. Med. Biol. 1998, 43, 3261–3275. [Google Scholar] [CrossRef] [PubMed]
- Scheffler, K.; Lehnhardt, S. Principles and applications of balanced SSFP techniques. European radiology 2003, 13, 2409–2418. [Google Scholar] [CrossRef] [PubMed]
- Haase, A.; Frahm, J.; Matthaei, D.; Hanicke, W.; Merboldt, K.D. FLASH imaging: Rapid NMR imaging using low flip-angle pulses. 1986. J. Magn. Reson. 2011, 213, 533–541. [Google Scholar] [CrossRef] [PubMed]
- Brenner, D.J.; Hall, E.J. Computed tomography--an increasing source of radiation exposure. N. Engl. J. Med. 2007, 357, 2277–2284. [Google Scholar] [CrossRef] [PubMed]
- Liney, G.P.; Moerland, M.A. Magnetic resonance imaging acquisition techniques for radiotherapy planning. Semin. Radiat. Oncol. 2014, 24, 160–168. [Google Scholar] [CrossRef] [PubMed]
- Mazzara, G.P.; Velthuizen, R.P.; Pearlman, J.L.; Greenberg, H.M.; Wagner, H. Brain tumor target volume determination for radiation treatment planning through automated MRI segmentation. Int. J. Radiat. Oncol. Biol. Phys. 2004, 59, 300–312. [Google Scholar] [CrossRef] [PubMed]
- Schad, L.R.; Bluml, S.; Hawighorst, H.; Wenz, F.; Lorenz, W.J. Radiosurgical treatment planning of brain metastases based on a fast, three-dimensional MR imaging technique. Magn. Reson. Imaging 1994, 12, 811–819. [Google Scholar] [CrossRef]
- Mardor, Y.; Pfeffer, R.; Spiegelmann, R.; Roth, Y.; Maier, S.E.; Nissim, O.; Berger, R.; Glicksman, A.; Baram, J.; Orenstein, A.; et al. Early detection of response to radiation therapy in patients with brain malignancies using conventional and high b-value diffusion-weighted magnetic resonance imaging. J. Clin. Oncol. 2003, 21, 1094–1100. [Google Scholar] [CrossRef] [PubMed]
- Hamstra, D.A.; Galban, C.J.; Meyer, C.R.; Johnson, T.D.; Sundgren, P.C.; Tsien, C.; Lawrence, T.S.; Junck, L.; Ross, D.J.; Rehemtulla, A.; et al. Functional diffusion map as an early imaging biomarker for high-grade glioma: Correlation with conventional radiologic response and overall survival. J. Clin. Oncol. 2008, 26, 3387–3394. [Google Scholar] [CrossRef] [PubMed]
- Goldman, M.; Boxerman, J.L.; Rogg, J.M.; Noren, G. Utility of apparent diffusion coefficient in predicting the outcome of Gamma Knife-treated brain metastases prior to changes in tumor volume: A preliminary study. J. Neurosurg. 2006, 105, 175–182. [Google Scholar] [PubMed]
- Hoskin, P.J.; Carnell, D.M.; Taylor, N.J.; Smith, R.E.; Stirling, J.J.; Daley, F.M.; Saunders, M.I.; Bentzen, S.M.; Collins, D.J.; d’Arcy, J.A.; et al. Hypoxia in Prostate Cancer: Correlation of BOLD-MRI With Pimonidazole Immunohistochemistry—Initial Observations. Int. J. Radiat. Oncol. Biol. Phys. 2007, 68, 1065–1071. [Google Scholar] [CrossRef] [PubMed]
- Payne, G.S.; Leach, M.O. Applications of magnetic resonance spectroscopy in radiotherapy treatment planning. Br. J. Radiol. 2006, 79, S16–S26. [Google Scholar] [CrossRef] [PubMed]
- Chang, J.; Thakur, S.; Perera, G.; Kowalski, A.; Huang, W.; Karimi, S.; Hunt, M.; Koutcher, J.; Fuks, Z.; Amols, H.; et al. Image-fusion of MR spectroscopic images for treatment planning of gliomas. Med. Phys. 2006, 33, 32–40. [Google Scholar] [CrossRef] [PubMed]
- Hermanto, U.; Frija, E.K.; Lii, M.J.; Chang, E.L.; Mahajan, A.; Woo, S.Y. Intensity-modulated radiotherapy (IMRT) and conventional three-dimensional conformal radiotherapy for high-grade gliomas: Does IMRT increase the integral dose to normal brain? Int. J. Radiat. Oncol. Biol. Phys. 2007, 67, 1135–1144. [Google Scholar] [CrossRef] [PubMed]
- Beltran, C.; Naik, M.; Merchant, T.E. Dosimetric effect of setup motion and target volume margin reduction in pediatric ependymoma. Radiother. Oncol. J. Eur. Soc. Ther. Radiol. Oncol. 2010, 96, 216–222. [Google Scholar] [CrossRef] [PubMed]
- Huang, E.; Teh, B.S.; Strother, D.R.; Davis, Q.G.; Chiu, J.K.; Lu, H.H.; Carpenter, L.S.; Mai, W.Y.; Chintagumpala, M.M.; South, M.; et al. Intensity-modulated radiation therapy for pediatric medulloblastoma: Early report on the reduction of ototoxicity. Int. J. Radiat. Oncol. Biol. Phys. 2002, 52, 599–605. [Google Scholar] [CrossRef]
- Paulino, A.C.; Mazloom, A.; Terashima, K.; Su, J.; Adesina, A.M.; Okcu, M.F.; Teh, B.S.; Chintagumpala, M. Intensity-modulated radiotherapy (IMRT) in pediatric low-grade glioma. Cancer 2013, 119, 2654–2659. [Google Scholar] [CrossRef] [PubMed]
- Polkinghorn, W.R.; Dunkel, I.J.; Souweidane, M.M.; Khakoo, Y.; Lyden, D.C.; Gilheeney, S.W.; Becher, O.J.; Budnick, A.S.; Wolden, S.L. Disease control and ototoxicity using intensity-modulated radiation therapy tumor-bed boost for medulloblastoma. Int. J. Radiat. Oncol. Biol. Phys. 2011, 81, e15–e20. [Google Scholar] [CrossRef] [PubMed]
- Greenfield, B.J.; Okcu, M.F.; Baxter, P.A.; Chintagumpala, M.; Teh, B.S.; Dauser, R.C.; Su, J.; Desai, S.S.; Paulino, A.C. Long-term disease control and toxicity outcomes following surgery and intensity modulated radiation therapy (IMRT) in pediatric craniopharyngioma. Radiother. Oncol. J. Eur. Soc. Ther. Radiol. Oncol. 2015, 114, 224–229. [Google Scholar] [CrossRef] [PubMed]
- Nanda, R.H.; Ganju, R.G.; Schreibmann, E.; Chen, Z.; Zhang, C.; Jegadeesh, N.; Cassidy, R.; Deng, C.; Eaton, B.R.; Esiashvili, N. Correlation of Acute and Late Brainstem Toxicities With Dose-Volume Data for Pediatric Patients With Posterior Fossa Malignancies. Int. J. Radiat. Oncol. Biol. Phys. 2017, 98, 360–366. [Google Scholar] [CrossRef] [PubMed]
- Jain, N.; Krull, K.R.; Brouwers, P.; Chintagumpala, M.M.; Woo, S.Y. Neuropsychological outcome following intensity-modulated radiation therapy for pediatric medulloblastoma. Pediatr. Blood Cancer 2008, 51, 275–279. [Google Scholar] [CrossRef] [PubMed]
- Otto, K. Volumetric modulated arc therapy: IMRT in a single gantry arc. Med. Phys. 2008, 35, 310–317. [Google Scholar] [CrossRef] [PubMed]
- Fogliata, A.; Clivio, A.; Nicolini, G.; Vanetti, E.; Cozzi, L. Intensity modulation with photons for benign intracranial tumours: A planning comparison of volumetric single arc, helical arc and fixed gantry techniques. Radiother. Oncol. J. Eur. Soc. Ther. Radiol. Oncol. 2008, 89, 254–262. [Google Scholar] [CrossRef] [PubMed]
- Wagner, D.; Christiansen, H.; Wolff, H.; Vorwerk, H. Radiotherapy of malignant gliomas: Comparison of volumetric single arc technique (RapidArc), dynamic intensity-modulated technique and 3D conformal technique. Radiother. Oncol. J. Eur. Soc. Ther. Radiol. Oncol. 2009, 93, 593–596. [Google Scholar] [CrossRef] [PubMed]
- Bush, K.; Townson, R.; Zavgorodni, S. Monte Carlo simulation of RapidArc radiotherapy delivery. Phys. Med. Biol. 2008, 53, N359–N370. [Google Scholar] [CrossRef] [PubMed]
- Beltran, C.; Gray, J.; Merchant, T.E. Intensity-modulated arc therapy for pediatric posterior fossa tumors. Int. J. Radiat. Oncol. Biol. Phys. 2012, 82, e299–e304. [Google Scholar] [CrossRef] [PubMed]
- Shaffer, R.; Nichol, A.M.; Vollans, E.; Fong, M.; Nakano, S.; Moiseenko, V.; Schmuland, M.; Ma, R.; McKenzie, M.; Otto, K. A comparison of volumetric modulated arc therapy and conventional intensity-modulated radiotherapy for frontal and temporal high-grade gliomas. Int. J. Radiat. Oncol. Biol. Phys. 2010, 76, 1177–1184. [Google Scholar] [CrossRef] [PubMed]
- Mohan, R.; Grosshans, D. Proton therapy—Present and future. Pediatr. Blood Cancer 2017, 109, 26–44. [Google Scholar] [CrossRef] [PubMed]
- Ladra, M.M.; MacDonald, S.M.; Terezakis, S.A. Proton therapy for central nervous system tumors in children. Pediatr. Blood Cancer 2018, 65, e27046. [Google Scholar] [CrossRef] [PubMed]
- Chhabra, A.; Mahajan, A. Treatment of common pediatric CNS malignancies with proton therapy. Chin. Clin. Oncol. 2016, 5, 49. [Google Scholar] [CrossRef] [PubMed]
- Jimenez, R.B.; Sethi, R.; Depauw, N.; Pulsifer, M.B.; Adams, J.; McBride, S.M.; Ebb, D.; Fullerton, B.C.; Tarbell, N.J.; Yock, T.I.; et al. Proton radiation therapy for pediatric medulloblastoma and supratentorial primitive neuroectodermal tumors: Outcomes for very young children treated with upfront chemotherapy. Int. J. Radiat. Oncol. Biol. Phys. 2013, 87, 120–126. [Google Scholar] [CrossRef] [PubMed]
- St Clair, W.H.; Adams, J.A.; Bues, M.; Fullerton, B.C.; La Shell, S.; Kooy, H.M.; Loeffler, J.S.; Tarbell, N.J. Advantage of protons compared to conventional X-ray or IMRT in the treatment of a pediatric patient with medulloblastoma. Int. J. Radiat. Oncol. Biol. Phys. 2004, 58, 727–734. [Google Scholar] [CrossRef]
- Boehling, N.S.; Grosshans, D.R.; Bluett, J.B.; Palmer, M.T.; Song, X.; Amos, R.A.; Sahoo, N.; Meyer, J.J.; Mahajan, A.; Woo, S.Y. Dosimetric comparison of three-dimensional conformal proton radiotherapy, intensity-modulated proton therapy, and intensity-modulated radiotherapy for treatment of pediatric craniopharyngiomas. Int. J. Radiat. Oncol. Biol. Phys. 2012, 82, 643–652. [Google Scholar] [CrossRef] [PubMed]
- Beltran, C.; Roca, M.; Merchant, T.E. On the benefits and risks of proton therapy in pediatric craniopharyngioma. Int. J. Radiat. Oncol. Biol. Phys. 2012, 82, e281–287. [Google Scholar] [CrossRef] [PubMed]
- MacDonald, S.M.; Safai, S.; Trofimov, A.; Wolfgang, J.; Fullerton, B.; Yeap, B.Y.; Bortfeld, T.; Tarbell, N.J.; Yock, T. Proton radiotherapy for childhood ependymoma: Initial clinical outcomes and dose comparisons. Int. J. Radiat. Oncol. Biol. Phys. 2008, 71, 979–986. [Google Scholar] [CrossRef] [PubMed]
- Brower, J.V.; Gans, S.; Hartsell, W.F.; Goldman, S.; Fangusaro, J.R.; Patel, N.; Lulla, R.R.; Smiley, N.P.; Chang, J.H.; Gondi, V. Proton therapy and helical tomotherapy result in reduced dose deposition to the pancreas in the setting of cranio-spinal irradiation for medulloblastoma: Implications for reduced risk of diabetes mellitus in long-term survivors. Acta Oncol. 2015, 54, 563–566. [Google Scholar] [CrossRef] [PubMed]
- Eaton, B.R.; Esiashvili, N.; Kim, S.; Patterson, B.; Weyman, E.A.; Thornton, L.T.; Mazewski, C.; MacDonald, T.J.; Ebb, D.; MacDonald, S.M.; et al. Endocrine outcomes with proton and photon radiotherapy for standard risk medulloblastoma. Neuro-Oncology 2016, 18, 881–887. [Google Scholar] [CrossRef] [PubMed]
- Wolden, S.L. Protons for craniospinal radiation: Are clinical data important? Int. J. Radiat. Oncol. Biol. Phys. 2013, 87, 231–232. [Google Scholar] [CrossRef] [PubMed]
- Johnstone, P.A.; McMullen, K.P.; Buchsbaum, J.C.; Douglas, J.G.; Helft, P. Pediatric CSI: Are protons the only ethical approach? Int. J. Radiat. Oncol. Biol. Phys. 2013, 87, 228–230. [Google Scholar] [CrossRef] [PubMed]
- Ladra, M.M.; Szymonifka, J.D.; Mahajan, A.; Friedmann, A.M.; Yong Yeap, B.; Goebel, C.P.; MacDonald, S.M.; Grosshans, D.R.; Rodriguez-Galindo, C.; Marcus, K.J.; et al. Preliminary results of a phase II trial of proton radiotherapy for pediatric rhabdomyosarcoma. J. Clin. Oncol. 2014, 32, 3762–3770. [Google Scholar] [CrossRef] [PubMed]
- Bishop, A.J.; Greenfield, B.; Mahajan, A.; Paulino, A.C.; Okcu, M.F.; Allen, P.K.; Chintagumpala, M.; Kahalley, L.S.; McAleer, M.F.; McGovern, S.L.; et al. Proton beam therapy versus conformal photon radiation therapy for childhood craniopharyngioma: Multi-institutional analysis of outcomes, cyst dynamics, and toxicity. Int. J. Radiat. Oncol. Biol. Phys. 2014, 90, 354–361. [Google Scholar] [CrossRef] [PubMed]
- McGovern, S.L.; Okcu, M.F.; Munsell, M.F.; Kumbalasseriyil, N.; Grosshans, D.R.; McAleer, M.F.; Chintagumpala, M.; Khatua, S.; Mahajan, A. Outcomes and acute toxicities of proton therapy for pediatric atypical teratoid/rhabdoid tumor of the central nervous system. Int. J. Radiat. Oncol. Biol. Phys. 2014, 90, 1143–1152. [Google Scholar] [CrossRef] [PubMed]
- Sethi, R.V.; Giantsoudi, D.; Raiford, M.; Malhi, I.; Niemierko, A.; Rapalino, O.; Caruso, P.; Yock, T.I.; Tarbell, N.J.; Paganetti, H.; et al. Patterns of failure after proton therapy in medulloblastoma; linear energy transfer distributions and relative biological effectiveness associations for relapses. Int. J. Radiat. Oncol. Biol. Phys. 2014, 88, 655–663. [Google Scholar] [CrossRef] [PubMed]
- Sato, M.; Gunther, J.R.; Mahajan, A.; Jo, E.; Paulino, A.C.; Adesina, A.M.; Jones, J.Y.; Ketonen, L.M.; Su, J.M.; Okcu, M.F.; et al. Progression-free survival of children with localized ependymoma treated with intensity-modulated radiation therapy or proton-beam radiation therapy. Cancer 2017, 123, 2570–2578. [Google Scholar] [CrossRef] [PubMed]
- Gunther, J.R.; Sato, M.; Chintagumpala, M.; Ketonen, L.; Jones, J.Y.; Allen, P.K.; Paulino, A.C.; Okcu, M.F.; Su, J.M.; Weinberg, J.; et al. Imaging Changes in Pediatric Intracranial Ependymoma Patients Treated With Proton Beam Radiation Therapy Compared to Intensity Modulated Radiation Therapy. Int. J. Radiat. Oncol. Biol. Phys. 2015, 93, 54–63. [Google Scholar] [CrossRef] [PubMed]
- Sethi, R.V.; Shih, H.A.; Yeap, B.Y.; Mouw, K.W.; Petersen, R.; Kim, D.Y.; Munzenrider, J.E.; Grabowski, E.; Rodriguez-Galindo, C.; Yock, T.I.; et al. Second nonocular tumors among survivors of retinoblastoma treated with contemporary photon and proton radiotherapy. Cancer 2014, 120, 126–133. [Google Scholar] [CrossRef] [PubMed]
- Chung, C.S.; Yock, T.I.; Nelson, K.; Xu, Y.; Keating, N.L.; Tarbell, N.J. Incidence of second malignancies among patients treated with proton versus photon radiation. Int. J. Radiat. Oncol. Biol. Phys. 2013, 87, 46–52. [Google Scholar] [CrossRef] [PubMed]
- Geng, C.; Moteabbed, M.; Xie, Y.; Schuemann, J.; Yock, T.; Paganetti, H. Assessing the radiation-induced second cancer risk in proton therapy for pediatric brain tumors: The impact of employing a patient-specific aperture in pencil beam scanning. Phys. Med. Biol. 2016, 61, 12–22. [Google Scholar] [CrossRef] [PubMed]
- Brenner, D.J.; Hall, E.J. Secondary neutrons in clinical proton radiotherapy: A charged issue. Radiother. Oncol. J. Eur. Soc. Ther. Radiol. Oncol. 2008, 86, 165–170. [Google Scholar] [CrossRef] [PubMed]
- Moteabbed, M.; Yock, T.I.; Paganetti, H. The risk of radiation-induced second cancers in the high to medium dose region: A comparison between passive and scanned proton therapy, IMRT and VMAT for pediatric patients with brain tumors. Phys. Med. Biol. 2014, 59, 2883–2899. [Google Scholar] [CrossRef] [PubMed]
- Lomax, A. Intensity modulation methods for proton radiotherapy. Phys. Med. Biol. 1999, 44, 185–205. [Google Scholar] [CrossRef] [PubMed]
- Lomax, A.J.; Boehringer, T.; Coray, A.; Egger, E.; Goitein, G.; Grossmann, M.; Juelke, P.; Lin, S.; Pedroni, E.; Rohrer, B.; et al. Intensity modulated proton therapy: A clinical example. Med. Phy. 2001, 28, 317–324. [Google Scholar] [CrossRef] [PubMed]
- Frank, S.J.; Cox, J.D.; Gillin, M.; Mohan, R.; Garden, A.S.; Rosenthal, D.I.; Gunn, G.B.; Weber, R.S.; Kies, M.S.; Lewin, J.S.; et al. Multifield optimization intensity modulated proton therapy for head and neck tumors: A translation to practice. Int. J. Radiat. Oncol. Biol. Phys. 2014, 89, 846–853. [Google Scholar] [CrossRef] [PubMed]
- Holliday, E.B.; Kocak-Uzel, E.; Feng, L.; Thaker, N.G.; Blanchard, P.; Rosenthal, D.I.; Gunn, G.B.; Garden, A.S.; Frank, S.J. Dosimetric advantages of intensity-modulated proton therapy for oropharyngeal cancer compared with intensity-modulated radiation: A case-matched control analysis. Med. Dosim. 2016, 41, 189–194. [Google Scholar] [CrossRef] [PubMed]
- Sio, T.T.; Lin, H.K.; Shi, Q.; Gunn, G.B.; Cleeland, C.S.; Lee, J.J.; Hernandez, M.; Blanchard, P.; Thaker, N.G.; Phan, J.; et al. Intensity Modulated Proton Therapy Versus Intensity Modulated Photon Radiation Therapy for Oropharyngeal Cancer: First Comparative Results of Patient-Reported Outcomes. Int. J. Radiat. Oncol. Biol. Phys. 2016, 95, 1107–1114. [Google Scholar] [CrossRef] [PubMed]
- Haas-Kogan, D.; Indelicato, D.; Paganetti, H.; Esiashvili, N.; Mahajan, A.; Yock, T.; Flampouri, S.; MacDonald, S.; Fouladi, M.; Stephen, K.; et al. National Cancer Institute Workshop on Proton Therapy for Children: Considerations Regarding Brainstem Injury. Int. J. Radiat. Oncol. Biol. Phys. 2018, 101, 152–168. [Google Scholar] [CrossRef] [PubMed]
- Ebner, D.K.; Kamada, T. The Emerging Role of Carbon-Ion Radiotherapy. Front. Oncol. 2016, 6, 140. [Google Scholar] [CrossRef] [PubMed]
- Mohamad, O.; Imai, R.; Kamada, T.; Nitta, Y.; Araki, N. Carbon ion radiotherapy for inoperable pediatric osteosarcoma. Oncotarget 2018, 9, 22976–22985. [Google Scholar] [CrossRef] [PubMed]
- Blattmann, C.; Oertel, S.; Schulz-Ertner, D.; Rieken, S.; Haufe, S.; Ewerbeck, V.; Unterberg, A.; Karapanagiotou-Schenkel, I.; Combs, S.E.; Nikoghosyan, A.; et al. Non-randomized therapy trial to determine the safety and efficacy of heavy ion radiotherapy in patients with non-resectable osteosarcoma. BMC Cancer 2010, 10, 96. [Google Scholar] [CrossRef] [PubMed]
- Combs, S.E.; Nikoghosyan, A.; Jaekel, O.; Karger, C.P.; Haberer, T.; Munter, M.W.; Huber, P.E.; Debus, J.; Schulz-Ertner, D. Carbon ion radiotherapy for pediatric patients and young adults treated for tumors of the skull base. Cancer 2009, 115, 1348–1355. [Google Scholar] [CrossRef] [PubMed]
- Aggarwal, R.; Yeung, D.; Kumar, P.; Muhlbauer, M.; Kun, L.E. Efficacy and feasibility of stereotactic radiosurgery in the primary management of unfavorable pediatric ependymoma. Radiother. Oncol. J. Eur. Soc. Ther. Radiol. Oncol. 1997, 43, 269–273. [Google Scholar] [CrossRef]
- Hodgson, D.C.; Goumnerova, L.C.; Loeffler, J.S.; Dutton, S.; Black, P.M.; Alexander, E., 3rd; Xu, R.; Kooy, H.; Silver, B.; Tarbell, N.J. Radiosurgery in the management of pediatric brain tumors. Int. J. Radiat. Oncol. Biol. Phys. 2001, 50, 929–935. [Google Scholar] [CrossRef]
- Marcus, K.J.; Goumnerova, L.; Billett, A.L.; Lavally, B.; Scott, R.M.; Bishop, K.; Xu, R.; Young Poussaint, T.; Kieran, M.; Kooy, H.; et al. Stereotactic radiotherapy for localized low-grade gliomas in children: Final results of a prospective trial. Int. J. Radiat. Oncol. Biol. Phys. 2005, 61, 374–379. [Google Scholar] [CrossRef] [PubMed]
- Weintraub, D.; Yen, C.P.; Xu, Z.; Savage, J.; Williams, B.; Sheehan, J. Gamma knife surgery of pediatric gliomas. J. Neurosurg. Pediatr. 2012, 10, 471–477. [Google Scholar] [CrossRef] [PubMed]
- Barcia, J.A.; Barcia-Salorio, J.L.; Ferrer, C.; Ferrer, E.; Algas, R.; Hernandez, G. Stereotactic radiosurgery of deeply seated low grade gliomas. Acta Neurochir. Suppl. 1994, 62, 58–61. [Google Scholar] [PubMed]
- Abe, M.; Tokumaru, S.; Tabuchi, K.; Kida, Y.; Takagi, M.; Imamura, J. Stereotactic radiation therapy with chemotherapy in the management of recurrent medulloblastomas. Pediatr. Neurosurg. 2006, 42, 81–88. [Google Scholar] [CrossRef] [PubMed]
- Patrice, S.J.; Tarbell, N.J.; Goumnerova, L.C.; Shrieve, D.C.; Black, P.M.; Loeffler, J.S. Results of radiosurgery in the management of recurrent and residual medulloblastoma. Pediatr. Neurosurg. 1995, 22, 197–203. [Google Scholar] [CrossRef] [PubMed]
- Barua, K.K.; Ehara, K.; Kohmura, E.; Tamaki, N. Treatment of recurrent craniopharyngiomas. Kobe J. Med. Sci. 2003, 49, 123–132. [Google Scholar] [PubMed]
- Jeon, C.; Kim, S.; Shin, H.J.; Nam, D.H.; Lee, J.I.; Park, K.; Kim, J.H.; Jeon, B.; Kong, D.S. The therapeutic efficacy of fractionated radiotherapy and gamma-knife radiosurgery for craniopharyngiomas. J. Clin. Neurosci. 2011, 18, 1621–1625. [Google Scholar] [CrossRef] [PubMed]
- Niranjan, A.; Kano, H.; Mathieu, D.; Kondziolka, D.; Flickinger, J.C.; Lunsford, L.D. Radiosurgery for craniopharyngioma. Int. J. Radiat. Oncol. Biol. Phys. 2010, 78, 64–71. [Google Scholar] [CrossRef] [PubMed]
- Xu, Z.; Yen, C.P.; Schlesinger, D.; Sheehan, J. Outcomes of Gamma Knife surgery for craniopharyngiomas. J. Neuro-Oncol. 2011, 104, 305–313. [Google Scholar] [CrossRef] [PubMed]
- Foy, A.B.; Wetjen, N.; Pollock, B.E. Stereotactic radiosurgery for pediatric arteriovenous malformations. Neurosurg. Clin. N. Am. 2010, 21, 457–461. [Google Scholar] [CrossRef] [PubMed]
- Hong, J.C.; Salama, J.K. The expanding role of stereotactic body radiation therapy in oligometastatic solid tumors: What do we know and where are we going? Cancer Treat. Rev. 2017, 52, 22–32. [Google Scholar] [CrossRef] [PubMed]
- Kim, H.; Rajagopalan, M.S.; Beriwal, S.; Huq, M.S.; Smith, K.J. Cost-effectiveness analysis of single fraction of stereotactic body radiation therapy compared with single fraction of external beam radiation therapy for palliation of vertebral bone metastases. Int. J. Radiat. Oncol. Biol. Phys. 2015, 91, 556–563. [Google Scholar] [CrossRef] [PubMed]
- Rao, A.D.; Rashid, A.S.; Chen, Q.; Villar, R.C.; Kobyzeva, D.; Nilsson, K.; Dieckmann, K.; Nechesnyuk, A.; Ermoian, R.; Alcorn, S.; et al. Reirradiation for Recurrent Pediatric Central Nervous System Malignancies: A Multi-institutional Review. Int. J. Radiat. Oncol. Biol. Phys. 2017, 99, 634–641. [Google Scholar] [CrossRef] [PubMed]
- Massimino, M.; Miceli, R.; Giangaspero, F.; Boschetti, L.; Modena, P.; Antonelli, M.; Ferroli, P.; Bertin, D.; Pecori, E.; Valentini, L.; et al. Final results of the second prospective AIEOP protocol for pediatric intracranial ependymoma. Neuro-Oncology 2016, 18, 1451–1460. [Google Scholar] [CrossRef] [PubMed]
- Alcorn, S.R.; Chen, M.J.; Claude, L.; Dieckmann, K.; Ermoian, R.P.; Ford, E.C.; Malet, C.; MacDonald, S.M.; Nechesnyuk, A.V.; Nilsson, K.; et al. Practice patterns of photon and proton pediatric image guided radiation treatment: Results from an International Pediatric Research consortium. Pract. Radiat. Oncol. 2014, 4, 336–341. [Google Scholar] [CrossRef] [PubMed]
- Hess, C.B.; Thompson, H.M.; Benedict, S.H.; Seibert, J.A.; Wong, K.; Vaughan, A.T.; Chen, A.M. Exposure Risks Among Children Undergoing Radiation Therapy: Considerations in the Era of Image Guided Radiation Therapy. Int. J. Radiat. Oncol. Biol. Phys. 2016, 94, 978–992. [Google Scholar] [CrossRef] [PubMed]
- Beltran, C.; Krasin, M.J.; Merchant, T.E. Inter- and intrafractional positional uncertainties in pediatric radiotherapy patients with brain and head and neck tumors. Int. J. Radiat. Oncol. Biol. Phys. 2011, 79, 1266–1274. [Google Scholar] [CrossRef] [PubMed]
- Murphy, M.J.; Balter, J.; Balter, S.; BenComo, J.A., Jr.; Das, I.J.; Jiang, S.B.; Ma, C.M.; Olivera, G.H.; Rodebaugh, R.F.; Ruchala, K.J.; et al. The management of imaging dose during image-guided radiotherapy: Report of the AAPM Task Group 75. Med. Phys. 2007, 34, 4041–4063. [Google Scholar] [CrossRef] [PubMed]
- Kornguth, D.; Mahajan, A.; Frija, E.; Chang, E.; Pelloski, C.; Woo, S. 2091: Shape Variability of Craniopharyngioma as Measured on CT-on-Rails During Radiotherapy Treatment. Int. J. Radiat. Oncol. Biol. Phys. 2006, 66, S259–S260. [Google Scholar] [CrossRef]
- Winkfield, K.M.; Linsenmeier, C.; Yock, T.I.; Grant, P.E.; Yeap, B.Y.; Butler, W.E.; Tarbell, N.J. Surveillance of Craniopharyngioma Cyst Growth in Children Treated With Proton Radiotherapy. Int. J. Radiat. Oncol. Biol. Phys. 2009, 73, 716–721. [Google Scholar] [CrossRef] [PubMed]
- Beltran, C.; Naik, M.; Merchant, T.E. Dosimetric effect of target expansion and setup uncertainty during radiation therapy in pediatric craniopharyngioma. Radiother. Oncol. J. Eur. Soc. Ther. Radiol. Oncol. 2010, 97, 399–403. [Google Scholar] [CrossRef] [PubMed]
- Fukunaga-Johnson, N.; Lee, J.H.; Sandler, H.M.; Robertson, P.; McNeil, E.; Goldwein, J.W. Patterns of failure following treatment for medulloblastoma: Is it necessary to treat the entire posterior fossa? Int. J. Radiat. Oncol. Biol. Phys. 1998, 42, 143–146. [Google Scholar] [CrossRef]
- Wolden, S.L.; Dunkel, I.J.; Souweidane, M.M.; Happersett, L.; Khakoo, Y.; Schupak, K.; Lyden, D.; Leibel, S.A. Patterns of failure using a conformal radiation therapy tumor bed boost for medulloblastoma. J. Clin. Oncol. 2003, 21, 3079–3083. [Google Scholar] [CrossRef] [PubMed]
- Michalski, J.M.; Janss, A.; Vezina, G.; Gajjar, A.; Pollack, I.; Merchant, T.E.; FitzGerald, T.J.; Booth, T.; Tarbell, N.J.; Li, Y.; et al. Results of COG ACNS0331: A Phase III Trial of Involved-Field Radiotherapy (IFRT) and Low Dose Craniospinal Irradiation (LD-CSI) with Chemotherapy in Average-Risk Medulloblastoma: A Report from the Children’s Oncology Group. Int. J. Radiat. Oncol. Biol. Phys. 2016, 96, 937–938. [Google Scholar] [CrossRef]
- Alapetite, C.; Brisse, H.; Patte, C.; Raquin, M.A.; Gaboriaud, G.; Carrie, C.; Habrand, J.L.; Thiesse, P.; Cuilliere, J.C.; Bernier, V.; et al. Pattern of relapse and outcome of non-metastatic germinoma patients treated with chemotherapy and limited field radiation: The SFOP experience. Neuro-Oncology 2010, 12, 1318–1325. [Google Scholar] [PubMed]
- Calaminus, G.; Kortmann, R.; Worch, J.; Nicholson, J.C.; Alapetite, C.; Garre, M.L.; Patte, C.; Ricardi, U.; Saran, F.; Frappaz, D. SIOP CNS GCT 96: Final report of outcome of a prospective, multinational nonrandomized trial for children and adults with intracranial germinoma, comparing craniospinal irradiation alone with chemotherapy followed by focal primary site irradiation for patients with localized disease. Neuro-Oncology 2013, 15, 788–796. [Google Scholar] [PubMed]
- Rogers, S.J.; Mosleh-Shirazi, M.A.; Saran, F.H. Radiotherapy of localised intracranial germinoma: Time to sever historical ties? Lancet Oncol. 2005, 6, 509–519. [Google Scholar] [CrossRef]
- Khatua, S.; Fangusaro, J.; Dhall, G.; Boyett, J.; Wu, S.; Bartels, U. GC-17THE CHILDREN’S ONCOLOGY GROUP (COG) CURRENT TREATMENT APPROACH FOR CHILDREN WITH NEWLY DIAGNOSED CENTRAL NERVOUS SYSTEM (CNS) LOCALIZED GERMINOMA (ACNS1123 STRATUM 2). Neuro-Oncology 2016, 18, iii45–iii46. [Google Scholar] [CrossRef]
- Goldman, S.; Bouffet, E.; Fisher, P.G.; Allen, J.C.; Robertson, P.L.; Chuba, P.J.; Donahue, B.; Kretschmar, C.S.; Zhou, T.; Buxton, A.B.; et al. Phase II Trial Assessing the Ability of Neoadjuvant Chemotherapy With or Without Second-Look Surgery to Eliminate Measurable Disease for Nongerminomatous Germ Cell Tumors: A Children’s Oncology Group Study. J. Clin. Oncol. 2015, 33, 2464–2471. [Google Scholar] [CrossRef] [PubMed]
- Cahlon, O.; Dunkel, I.; Gilheeney, S.; Khakoo, Y.; Souweidane, M.; De Braganca, K.; Kramer, K.; Wolden, S. Craniospinal Radiation Therapy May Not Be Necessary for Localized Nongerminomatous Germ Cell Tumors (NGGCT). Int. J. Radiat. Oncol. Biol. Phys. 2014, 90, S723–S724. [Google Scholar] [CrossRef]
- Packer, R.J.; Goldwein, J.; Nicholson, H.S.; Vezina, L.G.; Allen, J.C.; Ris, M.D.; Muraszko, K.; Rorke, L.B.; Wara, W.M.; Cohen, B.H.; et al. Treatment of children with medulloblastomas with reduced-dose craniospinal radiation therapy and adjuvant chemotherapy: A Children’s Cancer Group Study. J. Clin. Oncol. 1999, 17, 2127–2136. [Google Scholar] [CrossRef] [PubMed]
- Goldwein, J.W.; Radcliffe, J.; Johnson, J.; Moshang, T.; Packer, R.J.; Sutton, L.N.; Rorke, L.B.; D’Angio, G.J. Updated results of a pilot study of low dose craniospinal irradiation plus chemotherapy for children under five with cerebellar primitive neuroectodermal tumors (medulloblastoma). Int. J. Radiat. Oncol. Biol. Phys. 1996, 34, 899–904. [Google Scholar] [CrossRef]
- Ramaswamy, V.; Remke, M.; Bouffet, E.; Bailey, S.; Clifford, S.C.; Doz, F.; Kool, M.; Dufour, C.; Vassal, G.; Milde, T.; et al. Risk stratification of childhood medulloblastoma in the molecular era: The current consensus. Acta Neuropathol. 2016, 131, 821–831. [Google Scholar] [CrossRef] [PubMed]



© 2018 by the authors. Licensee MDPI, Basel, Switzerland. This article is an open access article distributed under the terms and conditions of the Creative Commons Attribution (CC BY) license (http://creativecommons.org/licenses/by/4.0/).
Share and Cite
Ludmir, E.B.; Grosshans, D.R.; Woodhouse, K.D. Radiotherapy Advances in Pediatric Neuro-Oncology. Bioengineering 2018, 5, 97. https://doi.org/10.3390/bioengineering5040097
Ludmir EB, Grosshans DR, Woodhouse KD. Radiotherapy Advances in Pediatric Neuro-Oncology. Bioengineering. 2018; 5(4):97. https://doi.org/10.3390/bioengineering5040097
Chicago/Turabian StyleLudmir, Ethan B., David R. Grosshans, and Kristina D. Woodhouse. 2018. "Radiotherapy Advances in Pediatric Neuro-Oncology" Bioengineering 5, no. 4: 97. https://doi.org/10.3390/bioengineering5040097
APA StyleLudmir, E. B., Grosshans, D. R., & Woodhouse, K. D. (2018). Radiotherapy Advances in Pediatric Neuro-Oncology. Bioengineering, 5(4), 97. https://doi.org/10.3390/bioengineering5040097

