Qualitative and Quantitative Evaluation of a Deep Learning-Based Reconstruction for Accelerated Cardiac Cine Imaging
Abstract
1. Introduction
2. Methods
2.1. Deep Learning Model and Reconstruction Pipeline
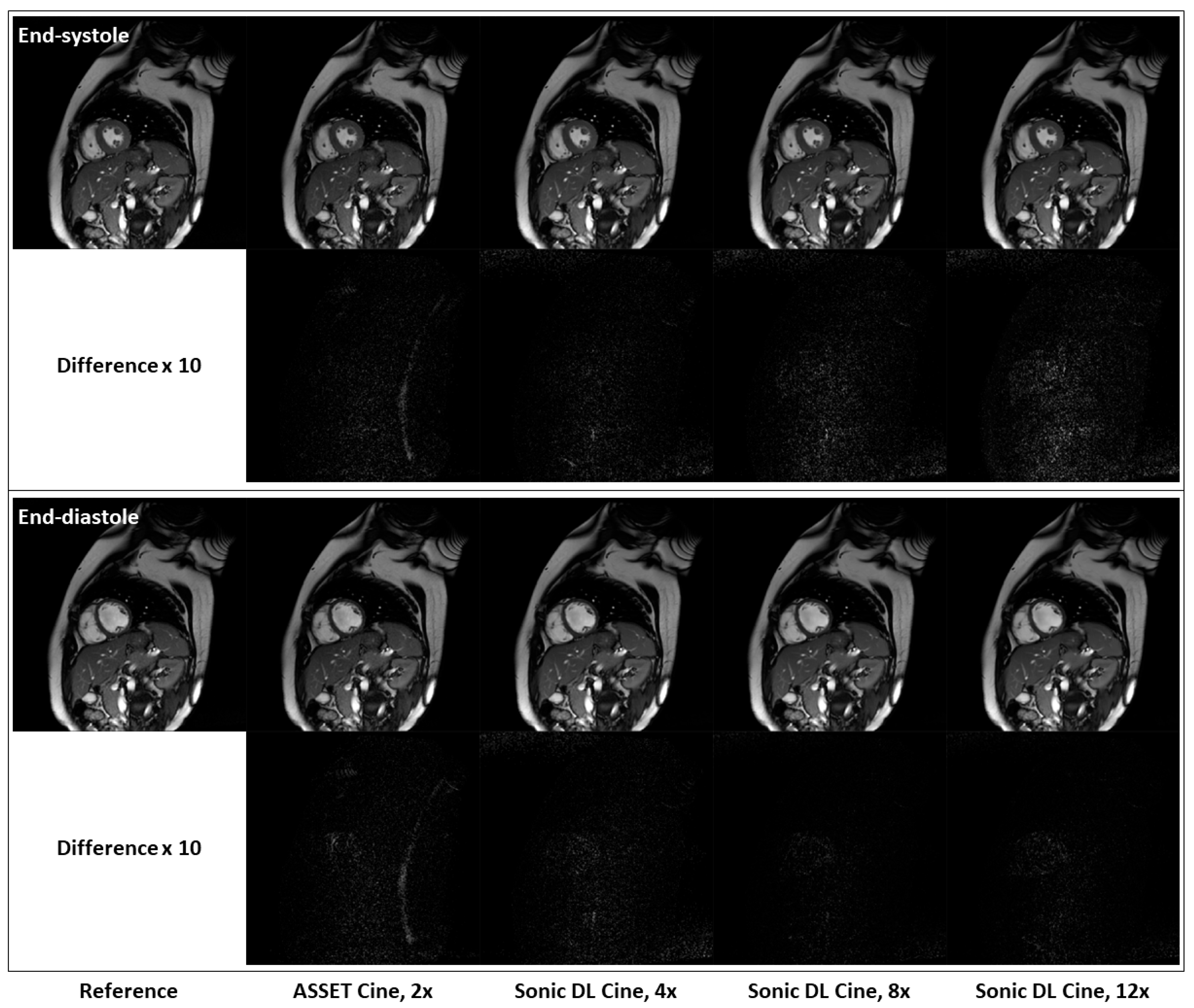
2.2. Evaluation with Digital Phantom
2.3. Evaluation with Healthy Volunteers
2.4. Quantification of Cardiac Functions
2.5. Statistical Analysis
3. Results
4. Discussion
4.1. Retrospective vs. Prospective Evaluation
4.2. Potential Clinical Utilization of Sonic DL Cine
4.3. Limitations and Future Work
5. Conclusions
Author Contributions
Funding
Institutional Review Board Statement
Informed Consent Statement
Data Availability Statement
Conflicts of Interest
References
- Kramer, C.M.; Barkhausen, J.; Bucciarelli-Ducci, C.; Flamm, S.D.; Kim, R.J.; Nagel, E. Standardized Cardiovascular Magnetic Resonance Imaging (CMR) Protocols: 2020 Update. J. Cardiovasc. Magn. Reson. 2020, 22, 17. [Google Scholar] [CrossRef] [PubMed]
- Raman, S.V.; Markl, M.; Patel, A.R.; Bryant, J.; Allen, B.D.; Plein, S.; Seiberlich, N. 30-Minute CMR for Common Clinical Indications: A Society for Cardiovascular Magnetic Resonance White Paper. J. Cardiovasc. Magn. Reson. 2022, 24, 13. [Google Scholar] [CrossRef] [PubMed]
- Grothues, F.; Smith, G.C.; Moon, J.C.C.; Bellenger, N.G.; Collins, P.; Klein, H.U.; Pennell, D.J. Comparison of Interstudy Reproducibility of Cardiovascular Magnetic Resonance with Two-Dimensional Echocardiography in Normal Subjects and in Patients with Heart Failure or Left Ventricular Hypertrophy. Am. J. Cardiol. 2002, 90, 29–34. [Google Scholar] [CrossRef] [PubMed]
- Suinesiaputra, A.; Bluemke, D.A.; Cowan, B.R.; Friedrich, M.G.; Kramer, C.M.; Kwong, R.; Plein, S.; Schulz-Menger, J.; Westenberg, J.J.M.; Young, A.A.; et al. Quantification of LV Function and Mass by Cardiovascular Magnetic Resonance: Multi-Center Variability and Consensus Contours. J. Cardiovasc. Magn. Reson. 2015, 17, 63. [Google Scholar] [CrossRef] [PubMed]
- Carr, J.C.; Simonetti, O.; Bundy, J.; Li, D.; Pereles, S.; Finn, J.P. Cine MR Angiography of the Heart with Segmented True Fast Imaging with Steady-State Precession. Radiology 2001, 219, 828–834. [Google Scholar] [CrossRef]
- Scheffler, K.; Lehnhardt, S. Principles and Applications of Balanced SSFP Techniques. Eur. Radiol. 2003, 13, 2409–2418. [Google Scholar] [CrossRef]
- Chandler, A.G.; Pinder, R.J.; Netsch, T.; Schnabel, J.A.; Hawkes, D.J.; Hill, D.L.; Razavi, R. Correction of Misaligned Slices in Multi-Slice Cardiovascular Magnetic Resonance Using Slice-to-Volume Registration. J. Cardiovasc. Magn. Reson. 2008, 10, 13. [Google Scholar] [CrossRef]
- Barth, M.; Breuer, F.; Koopmans, P.J.; Norris, D.G.; Poser, B.A. Simultaneous Multislice (SMS) Imaging Techniques. Magn. Reson. Med. 2016, 75, 63–81. [Google Scholar] [CrossRef]
- Price, A.N.; Cordero-Grande, L.; Malik, S.J.; Hajnal, J.V. Simultaneous Multislice Imaging of the Heart Using Multiband Balanced SSFP with Blipped-CAIPI. Magn. Reson. Med. 2020, 83, 2185–2196. [Google Scholar] [CrossRef]
- Stäb, D.; Speier, P. Gradient-Controlled Local Larmor Adjustment (GC-LOLA) for Simultaneous Multislice bSSFP Imaging with Improved Banding Behavior. Magn. Reson. Med. 2019, 81, 129–139. [Google Scholar] [CrossRef]
- Kim, D.; Coll-Font, J.; Lobos, R.A.; Stäb, D.; Pang, J.; Foster, A.; Garrett, T.; Bi, X.; Speier, P.; Haldar, J.P.; et al. Single Breath-Hold CINE Imaging with Combined Simultaneous Multislice and Region-Optimized Virtual Coils. Magn. Reson. Med. 2023, 90, 222–230. [Google Scholar] [CrossRef] [PubMed]
- Lustig, M.; Donoho, D.; Pauly, J.M. Sparse MRI: The Application of Compressed Sensing for Rapid MR Imaging. Magn. Reson. Med. 2007, 58, 1182–1195. [Google Scholar] [CrossRef] [PubMed]
- Kido, T.; Kido, T.; Nakamura, M.; Watanabe, K.; Schmidt, M.; Forman, C.; Mochizuki, T. Compressed Sensing Real-Time Cine Cardiovascular Magnetic Resonance: Accurate Assessment of Left Ventricular Function in a Single-Breath-Hold. J. Cardiovasc. Magn. Reson. 2016, 18, 50. [Google Scholar] [CrossRef] [PubMed]
- Vermersch, M.; Longère, B.; Coisne, A.; Schmidt, M.; Forman, C.; Monnet, A.; Pagniez, J.; Silvestri, V.; Simeone, A.; Cheasty, E.; et al. Compressed Sensing Real-Time Cine Imaging for Assessment of Ventricular Function, Volumes and Mass in Clinical Practice. Eur. Radiol. 2020, 30, 609–619. [Google Scholar] [CrossRef]
- Vincenti, G.; Monney, P.; Chaptinel, J.; Rutz, T.; Coppo, S.; Zenge, M.O.; Schmidt, M.; Nadar, M.S.; Piccini, D.; Chèvre, P.; et al. Compressed Sensing Single–Breath-Hold CMR for Fast Quantification of LV Function, Volumes, and Mass. JACC Cardiovasc. Imaging 2014, 7, 882–892. [Google Scholar] [CrossRef]
- Naresh, N.K.; Malone, L.; Fujiwara, T.; Smith, S.; Lu, Q.; Twite, M.D.; DiMaria, M.V.; Fonseca, B.M.; Browne, L.P.; Barker, A.J. Use of Compressed Sensing to Reduce Scan Time and Breath-Holding for Cardiac Cine Balanced Steady-State Free Precession Magnetic Resonance Imaging in Children and Young Adults. Pediatr. Radiol. 2021, 51, 1192–1201. [Google Scholar] [CrossRef]
- Sandino, C.M.; Lai, P.; Vasanawala, S.S.; Cheng, J.Y. Accelerating Cardiac Cine MRI Using a Deep Learning-Based ESPIRiT Reconstruction. Magn. Reson. Med. 2021, 85, 152–167. [Google Scholar] [CrossRef]
- Schlemper, J.; Caballero, J.; Hajnal, J.V.; Price, A.N.; Rueckert, D. A Deep Cascade of Convolutional Neural Networks for Dynamic MR Image Reconstruction. IEEE Trans. Med. Imaging 2018, 37, 491–503. [Google Scholar] [CrossRef]
- Qin, C.; Schlemper, J.; Caballero, J.; Price, A.N.; Hajnal, J.V.; Rueckert, D. Convolutional Recurrent Neural Networks for Dynamic MR Image Reconstruction. IEEE Trans. Med. Imaging 2019, 38, 280–290. [Google Scholar] [CrossRef]
- Zucker, E.J.; Sandino, C.M.; Kino, A.; Lai, P.; Vasanawala, S.S. Free-Breathing Accelerated Cardiac MRI Using Deep Learning: Validation in Children and Young Adults. Radiology 2021, 300, 539–548. [Google Scholar] [CrossRef]
- Pednekar, A.; Kocaoglu, M.; Wang, H.; Tanimoto, A.; Tkach, J.A.; Lang, S.; Taylor, M.D. Accelerated Cine Cardiac MRI Using Deep Learning-Based Reconstruction: A Systematic Evaluation. J. Magn. Reson. Imaging 2024, 60, 640–650. [Google Scholar] [CrossRef] [PubMed]
- Qin, C.; Duan, J.; Hammernik, K.; Schlemper, J.; Küstner, T.; Botnar, R.; Prieto, C.; Price, A.N.; Hajnal, J.V.; Rueckert, D. Complementary Time-Frequency Domain Networks for Dynamic Parallel MR Image Reconstruction. Magn. Reson. Med. 2021, 86, 3274–3291. [Google Scholar] [CrossRef] [PubMed]
- Qin, C.; Schlemper, J.; Duan, J.; Seegoolam, G.; Price, A.; Hajnal, J.; Rueckert, D. K-t NEXT: Dynamic MR Image Reconstruction Exploiting Spatio-Temporal Correlations. In Proceedings of the Medical Image Computing and Computer Assisted Intervention—MICCAI, Shenzhen, China, 13–17 October 2019; Volume 11765, pp. 505–513. [Google Scholar] [CrossRef]
- Yoon, J.-H.; Kim, P.; Yang, Y.-J.; Park, J.; Choi, B.W.; Ahn, C.-B. Biases in the Assessment of Left Ventricular Function by Compressed Sensing Cardiovascular Cine MRI. Investig. Magn. Reson. Imaging 2019, 23, 114–124. [Google Scholar] [CrossRef]
- Sandino, C.M.; Cheng, J.Y.; Chen, F.; Mardani, M.; Pauly, J.M.; Vasanawala, S.S. Compressed Sensing: From Research to Clinical Practice with Deep Neural Networks. IEEE Signal Process. Mag. 2020, 37, 111–127. [Google Scholar] [CrossRef]
- Lai, P.; Brau, A. Improving Cardiac Cine MRI on 3T Using 2D K-t Accelerated Auto-Calibrating Parallel Imaging. J. Cardiovasc. Magn. Reson. 2014, 16, W3. [Google Scholar] [CrossRef]
- Wissmann, L.; Santelli, C.; Segars, W.P.; Kozerke, S. MRXCAT: Realistic Numerical Phantoms for Cardiovascular Magnetic Resonance. J. Cardiovasc. Magn. Reson. 2014, 16, 63. [Google Scholar] [CrossRef]
- Eyre, K.; Rafiee, M.J.; Leo, M.; Ma, J.; Hillier, E.; Amini, N.; Pressacco, J.; Janich, M.A.; Zhu, X.; Friedrich, M.G.; et al. Clinical Utility of a Rapid Two-Dimensional Balanced Steady-State Free Precession Sequence with Deep Learning Reconstruction. J. Cardiovasc. Magn. Reson. 2024, 26, 101069. [Google Scholar] [CrossRef]
- Koechli, M.; Callaghan, F.M.; Burkhardt, B.E.U.; Lohézic, M.; Zhu, X.; Rücker, B.; Buechel, E.R.V.; Kellenberger, C.J.; Geiger, J. Accelerated Cardiac Magnetic Resonance Imaging Using Deep Learning for Volumetric Assessment in Children. Pediatr. Radiol. 2024, 54, 1674–1685. [Google Scholar] [CrossRef]
- Orii, M.; Sone, M.; Osaki, T.; Kikuchi, K.; Sugawara, T.; Zhu, X.; Janich, M.A.; Nozaki, A.; Yoshioka, K. Reliability of Respiratory-Gated Real-Time Two-Dimensional Cine Incorporating Deep Learning Reconstruction for the Assessment of Ventricular Function in an Adult Population. Int. J. Cardiovasc. Imaging 2023, 39, 1001–1011. [Google Scholar] [CrossRef]
- Monteuuis, D.; Bouzerar, R.; Dantoing, C.; Poujol, J.; Bohbot, Y.; Renard, C. Prospective Comparison of Free-Breathing Accelerated Cine Deep Learning Reconstruction Versus Standard Breath-Hold Cardiac MRI Sequences in Patients with Ischemic Heart Disease. AJR Am. J. Roentgenol. 2024, 222, e2330272. [Google Scholar] [CrossRef]
- Klemenz, A.-C.; Reichardt, L.; Gorodezky, M.; Manzke, M.; Zhu, X.; Dalmer, A.; Lorbeer, R.; Lang, C.I.; Weber, M.-A.; Meinel, F.G. Accelerated Cardiac MRI with Deep Learning–Based Image Reconstruction for Cine Imaging. Radiol. Cardiothorac. Imaging 2024, 6, e230419. [Google Scholar] [CrossRef] [PubMed]
- Zhu, X.; Kaushik, S.; Chan, F.; Atkins, M.; Nagpal, P.; Busse, R.; Janich, M.A. Evaluation of Image Quality and Global Cardiac Function for Deep Learning Accelerated Cardiac Cine. In Proceedings of the Scientific Annual Meeting of the ISMRM, Toronto, ON, Canada, 3–8 June 2023; Available online: https://archive.ismrm.org/2023/5139.html (accessed on 19 May 2023).
- Vegunta, A.; Starekova, J.; Thottakara, T.; Siembida, J.; Grist, T.M.; Schiebler, M.; Reeder, S.; Bluemke, D.A.; Nagpal, P. Accelerated Deep-Learning Reconstructed Cine Balanced Steady-State Free Precession Cine Imaging: Potential for Workflow Improvement. J. Cardiovasc. Magn. Reson. 2025, 27, 101590. [Google Scholar] [CrossRef]
- Orii, M.; Sugawara, M.; Sugawara, T.; Yoshioka, K. Reliability of Post-Contrast Deep Learning-Based Highly Accelerated Cardiac Cine MRI for the Assessment of Ventricular Function. Magn. Reson. Imaging 2025, 117, 110313. [Google Scholar] [CrossRef] [PubMed]










| MR Parameter | Value |
|---|---|
| XRES | 192–200 |
| YRES | 192–224 |
| TE/TR [ms] | Min Full/3.0–4.5 |
| FOV [cm] | 36–40 |
| BW [Hz] | 90–125 |
| Slice thickness [mm] | 8 |
| Acceleration Factor | PSNR | SSIM | RMSE | MAE |
|---|---|---|---|---|
| 4 | 46.65 | 0.95 | 0.0047 | 0.0037 |
| 8 | 45.48 | 0.94 | 0.0053 | 0.0042 |
| 12 | 44.76 | 0.94 | 0.0058 | 0.0045 |
| Fully Sampled | Sonic DL Cine, 4× | Sonic DL Cine, 8× | Sonic DL Cine, 12× | |
|---|---|---|---|---|
| LVESV [mL] | 51.53 ± 14.24 | 51.68 ± 14.26 (p = 0.41) | 52.11 ± 14.36 (p = 0.07) | 52.68 ± 14.98 (p = 0.02) |
| LVEDV [mL] | 143.98 ± 18.32 | 143.21 ± 17.43 (p = 0.13) | 143.17 ± 17.21 (p = 0.31) | 142.52 ± 17.20 (p = 0.18) |
| LVEF [%] | 64.65 ± 6.25 | 64.37 ± 6.34 (p = 0.19) | 64.04 ± 6.67 (p = 0.08) | 63.51 ± 6.96 (p = 0.03) |
| RVESV [mL] | 73.42 ± 29.18 | 74.27 ± 29.62 (p = 0.16) | 73.93 ± 29.34 (p = 0.61) | 74.41 ± 29.37 (p = 0.56) |
| RVEDV [mL] | 172.16 ± 45.50 | 171.95 ± 45.93 (p = 0.41) | 170.06 ± 44.63 (p = 0.07) | 169.94 ± 45.23 (p = 0.01) |
| RVEF [%] | 58.47 ± 7.44 | 57.95 ± 7.29 (p = 0.23) | 57.73 ± 7.50 (p = 0.27) | 57.39 ± 7.33 (p = 0.32) |
Disclaimer/Publisher’s Note: The statements, opinions and data contained in all publications are solely those of the individual author(s) and contributor(s) and not of MDPI and/or the editor(s). MDPI and/or the editor(s) disclaim responsibility for any injury to people or property resulting from any ideas, methods, instructions or products referred to in the content. |
© 2025 by the authors. Licensee MDPI, Basel, Switzerland. This article is an open access article distributed under the terms and conditions of the Creative Commons Attribution (CC BY) license (https://creativecommons.org/licenses/by/4.0/).
Share and Cite
Ma, J.; Zhu, X.; Kaushik, S.; Ali, E.; Li, L.; Manickam, K.; Li, K.; Janich, M.A. Qualitative and Quantitative Evaluation of a Deep Learning-Based Reconstruction for Accelerated Cardiac Cine Imaging. Bioengineering 2025, 12, 231. https://doi.org/10.3390/bioengineering12030231
Ma J, Zhu X, Kaushik S, Ali E, Li L, Manickam K, Li K, Janich MA. Qualitative and Quantitative Evaluation of a Deep Learning-Based Reconstruction for Accelerated Cardiac Cine Imaging. Bioengineering. 2025; 12(3):231. https://doi.org/10.3390/bioengineering12030231
Chicago/Turabian StyleMa, Junjie, Xucheng Zhu, Suryanarayanan Kaushik, Eman Ali, Liangliang Li, Kavitha Manickam, Ke Li, and Martin A. Janich. 2025. "Qualitative and Quantitative Evaluation of a Deep Learning-Based Reconstruction for Accelerated Cardiac Cine Imaging" Bioengineering 12, no. 3: 231. https://doi.org/10.3390/bioengineering12030231
APA StyleMa, J., Zhu, X., Kaushik, S., Ali, E., Li, L., Manickam, K., Li, K., & Janich, M. A. (2025). Qualitative and Quantitative Evaluation of a Deep Learning-Based Reconstruction for Accelerated Cardiac Cine Imaging. Bioengineering, 12(3), 231. https://doi.org/10.3390/bioengineering12030231

