Extracorporal Ovary Bioreactor System with Oxygen Supply and Drug Delivery Option
Abstract
1. Introduction
2. Materials and Methods
2.1. Ovary Bioreactor
2.2. Ovary Preparation, Cultivation, and Analysis
3. Results
3.1. Ovary Bioreactor
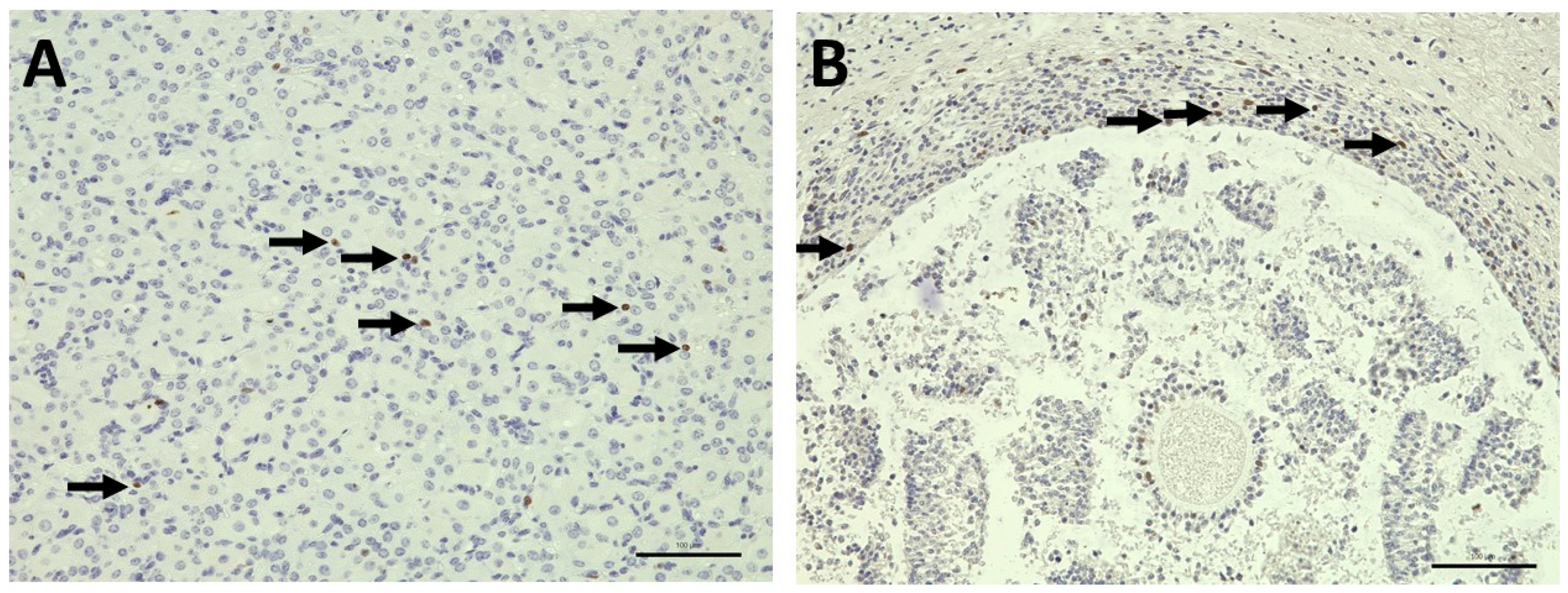
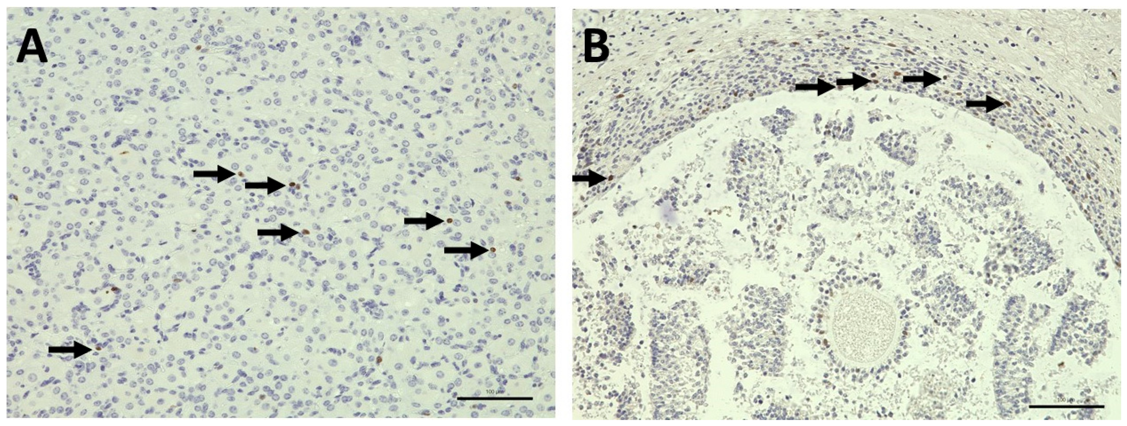
3.2. Ovary Cultivation and Analysis
4. Discussion and Conclusions
Author Contributions
Funding
Institutional Review Board Statement
Informed Consent Statement
Data Availability Statement
Acknowledgments
Conflicts of Interest
References
- Oktay, K.; Harvey, B.E.; Partridge, A.H.; Quinn, G.P.; Reinecke, J.; Taylor, H.S.; Wallace, W.H.; Wang, E.T.; Loren, A.W. Fertility Preservation in Patients with Cancer: ASCO Clinical Practice Guideline Update. J. Clin. Oncol. 2018, 36, 1994–2001. [Google Scholar] [CrossRef]
- Letourneau, J.M.; Ebbel, E.E.; Katz, P.P.; Katz, A.; Ai, W.Z.; Chien, A.J.; Melisko, M.E.; Cedars, M.I.; Rosen, M.P. Pretreatment fertility counseling and fertility preservation improve quality of life in reproductive age women with cancer. Cancer 2012, 118, 1710–1717. [Google Scholar] [CrossRef]
- Meirow, D.; Nugent, D. The effects of radiotherapy and chemotherapy on female reproduction. Hum. Reprod. Update 2001, 7, 535–543. [Google Scholar] [CrossRef] [PubMed]
- Loren, A.W.; Mangu, P.B.; Beck, L.N.; Brennan, L.; Magdalinski, A.J.; Partridge, A.H.; Quinn, G.; Wallace, W.H.; Oktay, K. Fertility preservation for patients with cancer: American Society of Clinical Oncology clinical practice guideline update. J. Clin. Oncol. 2013, 31, 2500–2510. [Google Scholar] [CrossRef] [PubMed]
- Dolmans, M.-M.; Marinescu, C.; Saussoy, P.; van Langendonckt, A.; Amorim, C.; Donnez, J. Reimplantation of cryopreserved ovarian tissue from patients with acute lymphoblastic leukemia is potentially unsafe. Blood 2010, 116, 2908–2914. [Google Scholar] [CrossRef]
- Dolmans, M.-M.; Luyckx, V.; Donnez, J.; Andersen, C.Y.; Greve, T. Risk of transferring malignant cells with transplanted frozen-thawed ovarian tissue. Fertil. Steril. 2013, 99, 1514–1522. [Google Scholar] [CrossRef] [PubMed]
- Soares, M.; Saussoy, P.; Maskens, M.; Reul, H.; Amorim, C.A.; Donnez, J.; Dolmans, M.-M. Eliminating malignant cells from cryopreserved ovarian tissue is possible in leukaemia patients. Br. J. Haematol. 2017, 178, 231–239. [Google Scholar] [CrossRef]
- Resetkova, N.; Hayashi, M.; Kolp, L.A.; Christianson, M.S. Fertility Preservation for Prepubertal Girls: Update and Current Challenges. Curr. Obstet. Gynecol. Rep. 2013, 2, 218–225. [Google Scholar] [CrossRef]
- Martinovich, P.N. The development in vitro of the mammalian gonad. Ovary and ovogenesis. Proc. R. Soc. Lond. Ser. B 1938, 125, 232–249. [Google Scholar] [CrossRef]
- Gomes, J.E.; Correia, S.C.; Gouveia-Oliveira, A.; Cidado, A.J.; Plancha, C.E. Three-dimensional environments preserve extracellular matrix compartments of ovarian follicles and increase FSH-dependent growth. Mol. Reprod. Dev. 1999, 54, 163–172. [Google Scholar] [CrossRef]
- Pangas, S.A.; Saudye, H.; Shea, L.D.; Woodruff, T.K. Novel approach for the three-dimensional culture of granulosa cell-oocyte complexes. Tissue Eng. 2003, 9, 1013–1021. [Google Scholar] [CrossRef]
- Laronda, M.M.; Rutz, A.L.; Xiao, S.; Whelan, K.A.; Duncan, F.E.; Roth, E.W.; Woodruff, T.K.; Shah, R.N. A bioprosthetic ovary created using 3D printed microporous scaffolds restores ovarian function in sterilized mice. Nat. Commun. 2017, 8, 15261. [Google Scholar] [CrossRef]
- Alkali, I.M.; Colombo, M.; Luciano, A.M.; Nizanski, W.; Ali Hassan, H.; Dziegiel, P.; Luvoni, G.C. Culture of vitrified bovine ovarian tissue on agarose gel inserts maintains follicle integrity. Reproduction 2023, 166, 299–310. [Google Scholar] [CrossRef]
- West, E.R.; Shea, L.D.; Woodruff, T.K. Engineering the follicle microenvironment. Semin. Reprod. Med. 2007, 25, 287–299. [Google Scholar] [CrossRef]
- Shea, L.D.; Woodruff, T.K.; Shikanov, A. Bioengineering the ovarian follicle microenvironment. Annu. Rev. Biomed. Eng. 2014, 16, 29–52. [Google Scholar] [CrossRef] [PubMed]
- Di Berardino, C.; Peserico, A.; Camerano Spelta Rapini, C.; Liverani, L.; Capacchietti, G.; Russo, V.; Berardinelli, P.; Unalan, I.; Damian-Buda, A.-I.; Boccaccini, A.R.; et al. Bioengineered 3D ovarian model for long-term multiple development of preantral follicle: Bridging the gap for poly(ε-caprolactone) (PCL)-based scaffold reproductive applications. Reprod. Biol. Endocrinol. 2024, 22, 95. [Google Scholar] [CrossRef] [PubMed]
- Felder, S.; Masasa, H.; Orenbuch, A.; Levaot, N.; Shachar Goldenberg, M.; Cohen, S. Reconstruction of the ovary microenvironment utilizing macroporous scaffold with affinity-bound growth factors. Biomaterials 2019, 205, 11–22. [Google Scholar] [CrossRef] [PubMed]
- Mastrorocco, A.; Cacopardo, L.; Lamanna, D.; Temerario, L.; Brunetti, G.; Carluccio, A.; Robbe, D.; Dell’Aquila, M.E. Bioengineering Approaches to Improve In Vitro Performance of Prepubertal Lamb Oocytes. Cells 2021, 10, 1458. [Google Scholar] [CrossRef]
- Mastrorocco, A.; Cacopardo, L.; Martino, N.A.; Fanelli, D.; Camillo, F.; Ciani, E.; Roelen, B.A.J.; Ahluwalia, A.; Dell’Aquila, M.E. One-step automated bioprinting-based method for cumulus-oocyte complex microencapsulation for 3D in vitro maturation. PLoS ONE 2020, 15, e0238812. [Google Scholar] [CrossRef]
- Colombo, M.; Morselli, M.G.; Tavares, M.R.; Apparicio, M.; Luvoni, G.C. Developmental Competence of Domestic Cat Vitrified Oocytes in 3D Enriched Culture Conditions. Animals 2019, 9, 329. [Google Scholar] [CrossRef]
- Colombo, M.; Morselli, M.G.; Apparicio, M.; Luvoni, G.C. Granulosa cells in three-dimensional culture: A follicle-like structure for domestic cat vitrified oocytes. Reprod. Domest. Anim. 2020, 55 (Suppl. 2), 74–80. [Google Scholar] [CrossRef]
- Colombo, M.; Alkali, I.M.; Prochowska, S.; Luvoni, G.C. Fighting Like Cats and Dogs: Challenges in Domestic Carnivore Oocyte Development and Promises of Innovative Culture Systems. Animals 2021, 11, 2135. [Google Scholar] [CrossRef]
- Alkali, I.M.; Colombo, M.; Luvoni, G.C. Melatonin reduces oxidative stress and improves follicular morphology in feline (Felis catus) vitrified ovarian tissue. Theriogenology 2024, 224, 58–67. [Google Scholar] [CrossRef]
- Combelles, C.M.H.; Fissore, R.A.; Albertini, D.F.; Racowsky, C. In vitro maturation of human oocytes and cumulus cells using a co-culture three-dimensional collagen gel system. Hum. Reprod. 2005, 20, 1349–1358. [Google Scholar] [CrossRef]
- Morimoto, Y.; Oku, Y.; Sonoda, M.; Haruki, A.; Ito, K.; Hashimoto, S.; Fukuda, A. High oxygen atmosphere improves human follicle development in organ cultures of ovarian cortical tissues in vitro. Hum. Reprod. 2007, 22, 3170–3177. [Google Scholar] [CrossRef] [PubMed][Green Version]
- Talevi, R.; Sudhakaran, S.; Barbato, V.; Merolla, A.; Braun, S.; Di Nardo, M.; Costanzo, V.; Ferraro, R.; Iannantuoni, N.; Catapano, G.; et al. Is oxygen availability a limiting factor for in vitro folliculogenesis? PLoS ONE 2018, 13, e0192501. [Google Scholar] [CrossRef] [PubMed]
- Barbato, V.; Genovese, V.; de Gregorio, V.; Di Nardo, M.; Travaglione, A.; de Napoli, L.; Fragomeni, G.; Zanetti, E.M.; Adiga, S.K.; Mondrone, G.; et al. Dynamic in vitro culture of bovine and human ovarian tissue enhances follicle progression and health. Sci. Rep. 2023, 13, 11773. [Google Scholar] [CrossRef]
- Maffei, S.; Galeati, G.; Pennarossa, G.; Brevini, T.A.L.; Gandolfi, F. Extended ex vivo culture of fresh and cryopreserved whole sheep ovaries. Reprod. Fertil. Dev. 2016, 28, 1893–1903. [Google Scholar] [CrossRef]
- Zanotelli, M.R.; Henningsen, J.D.; Hopkins, P.M.; Dederich, A.P.; Herman, T.; Puccinelli, T.J.; Salih, S.M. An ovarian bioreactor for in vitro culture of the whole bovine ovary: A preliminary report. J. Ovarian Res. 2016, 9, 47. [Google Scholar] [CrossRef] [PubMed]
- Tsiartas, P.; Mateoiu, C.; Deshmukh, M.; Banerjee, D.; Padma, A.M.; Milenkovic, M.; Gandolfi, F.; Hellström, M.; Patrizio, P.; Akouri, R. Seven days ex vivo perfusion of whole ewe ovaries with follicular maturation and oocyte retrieval: Towards the development of an alternative fertility preservation method. Reprod. Fertil. Dev. 2022, 34, 331–342. [Google Scholar] [CrossRef]
- Hatekar, P.; Tsiartas, P.; Gómez, L.d.M.; Mateoiu, C.; Sehic, E.; Hellström, M.; Patrizio, P.; Akouri, R. Ovarian function and response to gonadotropins after prolonged perfusion of whole ewe ovaries in a bioreactor. J. Assist. Reprod. Genet. 2025, 42, 1491–1507. [Google Scholar] [CrossRef]
- World Health Organization. Laboratory Biosafety Manual, 4th ed.; World Health Organization: Geneva, Switzerland, 2020; ISBN 978-92-4-001131-1. [Google Scholar]
- Robert Koch-Institut (RKI) und des Bundesinstitutes für Arzneimittel und Medizinprodukte. Anlage 8: Anforderungen an die Hygiene bei der Aufbereitung thermolabiler Endoskope. Bundesgesundheitsblatt Gesundheitsforschung Gesundheitsschutz 2024, 67, 1410–1468. [Google Scholar] [CrossRef]
- Onions, V.J.; Mitchell, M.R.P.; Campbell, B.K.; Webb, R. Ovarian tissue viability following whole ovine ovary cryopreservation: Assessing the effects of sphingosine-1-phosphate inclusion. Hum. Reprod. 2008, 23, 606–618. [Google Scholar] [CrossRef] [PubMed][Green Version]
- Campbell, B.K.; Hernandez-Medrano, J.; Onions, V.; Pincott-Allen, C.; Aljaser, F.; Fisher, J.; McNeilly, A.S.; Webb, R.; Picton, H.M. Restoration of ovarian function and natural fertility following the cryopreservation and autotransplantation of whole adult sheep ovaries. Hum. Reprod. 2014, 29, 1749–1763. [Google Scholar] [CrossRef] [PubMed]
- Westphal, J.R.; Gerritse, R.; Braat, D.D.M.; Beerendonk, C.C.M.; Peek, R. Complete protection against cryodamage of cryopreserved whole bovine and human ovaries using DMSO as a cryoprotectant. J. Assist. Reprod. Genet. 2017, 34, 1217–1229. [Google Scholar] [CrossRef] [PubMed]
- Martinez-Madrid, B.; Dolmans, M.-M.; van Langendonckt, A.; Defrère, S.; Donnez, J. Freeze-thawing intact human ovary with its vascular pedicle with a passive cooling device. Fertil. Steril. 2004, 82, 1390–1394. [Google Scholar] [CrossRef]
- Martinez-Madrid, B.; Camboni, A.; Dolmans, M.-M.; Nottola, S.; van Langendonckt, A.; Donnez, J. Apoptosis and ultrastructural assessment after cryopreservation of whole human ovaries with their vascular pedicle. Fertil. Steril. 2007, 87, 1153–1165. [Google Scholar] [CrossRef]









Disclaimer/Publisher’s Note: The statements, opinions and data contained in all publications are solely those of the individual author(s) and contributor(s) and not of MDPI and/or the editor(s). MDPI and/or the editor(s) disclaim responsibility for any injury to people or property resulting from any ideas, methods, instructions or products referred to in the content. |
© 2025 by the authors. Licensee MDPI, Basel, Switzerland. This article is an open access article distributed under the terms and conditions of the Creative Commons Attribution (CC BY) license (https://creativecommons.org/licenses/by/4.0/).
Share and Cite
Bundschu, K.; Eberhart, S.; Maiss, F.; Milic, I.; Hessling, M. Extracorporal Ovary Bioreactor System with Oxygen Supply and Drug Delivery Option. Bioengineering 2025, 12, 1158. https://doi.org/10.3390/bioengineering12111158
Bundschu K, Eberhart S, Maiss F, Milic I, Hessling M. Extracorporal Ovary Bioreactor System with Oxygen Supply and Drug Delivery Option. Bioengineering. 2025; 12(11):1158. https://doi.org/10.3390/bioengineering12111158
Chicago/Turabian StyleBundschu, Karin, Sabine Eberhart, Florian Maiss, Isabella Milic, and Martin Hessling. 2025. "Extracorporal Ovary Bioreactor System with Oxygen Supply and Drug Delivery Option" Bioengineering 12, no. 11: 1158. https://doi.org/10.3390/bioengineering12111158
APA StyleBundschu, K., Eberhart, S., Maiss, F., Milic, I., & Hessling, M. (2025). Extracorporal Ovary Bioreactor System with Oxygen Supply and Drug Delivery Option. Bioengineering, 12(11), 1158. https://doi.org/10.3390/bioengineering12111158

