Observational Diagnostics: The Building Block of AI-Powered Visual Aid for Dental Practitioners
Abstract
1. Introduction
2. Artificial Intelligence for Radiographic Images
3. Artificial Intelligence for Clinical Images
4. The Concept of Observational Diagnostics (ODs) and Its Use for Diagnosis and Treatment Planning
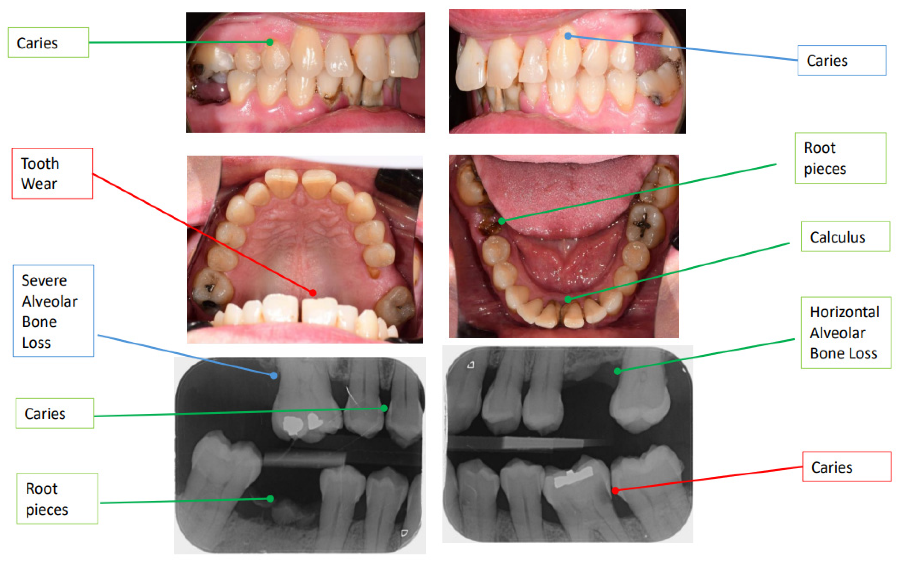
4.1. Observational Diagnostics for Diagnosis
4.2. Observational Diagnostics for Treatment Planning
5. Case Study: AI-Powered Dental Caries Detection and Management
6. Discussion
7. Conclusions
Supplementary Materials
Author Contributions
Funding
Institutional Review Board Statement
Data Availability Statement
Conflicts of Interest
Appendix A
| Company | Product | Features |
|---|---|---|
| CoTreat https://www.cotreat.ai | CoTreat | Automated analysis Anatomy annotation Caries detection Treatment plan suggestion Patient data analysis |
| Dental Monitoring https://dentalmonitoring.com/our-solutions/ | DM intelligent platform | Orthodontics monitoring |
| Eyes of AI https://www.eyesofai.com/products/ai-pathologies-detection | EAI Pathology | Automated analysis Anatomy annotation Caries detection |
| Glidewell.io https://glidewell.io/fastdesignio-software/ | CrownAI and MarginAI | Patient data analysis Crown preparation margin analysis |
| ORCA Dental AI https://orca-ai.com/solutions/ | ORCA AI | Automated analysis Image enhancement Anatomy annotation Caries detection Orthodontic treatment planning |
| ORYX https://www.oryxdentalsoftware.com/oryxbot | Oryxbot | Automated analysis Clinical Charting Caries detection Patient data analysis Treatment plan suggestion |
| Overjet https://www.overjet.com/solutions/dentists | Overjet Clinical Intelligence Platform | Automated analysis Anatomy annotation Caries detection |
| Pearl https://www.hellopearl.com/products/second-opinion | Second Opionion | Automated analysis Anatomy annotation Caries detection Treatment plan suggestion Patient data analysis |
| Smilecloud https://www.smilecloud.com/#cloud | Smilecloud | Digital smile design |
| VideaHealth https://www.videa.ai | VideaAI | Automated analysis Caries detection Treatment plan suggestion |
References
- Mitra, R.; Tarnach, G. Artificial intelligence—A boonfor dentistry. Int. Dent. J. Stud. Res. 2022, 10, 37–42. [Google Scholar] [CrossRef]
- Chen, W.; Dhawan, M.; Liu, J.; Ing, D.; Mehta, K.; Tran, D.; Lawrence, D.; Ganhewa, M.; Cirillo, N. Mapping the use of Artificial Intelligence (AI)-based Image Analysis for Clinical Decision Making in Dentistry: A Scoping Review. Clin. Exp. Dent. Res. 2024, 10, e70035. [Google Scholar] [CrossRef] [PubMed]
- Hosny, A.; Parmar, C.; Quackenbush, J.; Schwartz, L.H.; Aerts, H.J.W.L. Artificial intelligence in radiology. Nat. Rev. Cancer 2018, 18, 500–510. [Google Scholar] [CrossRef] [PubMed]
- McKinney, S.M.; Sieniek, M.; Godbole, V.; Godwin, J.; Antropova, N.; Ashrafian, H.; Back, T.; Chesus, M.; Corrado, G.S.; Darzi, A.; et al. International evaluation of an AI system for breast cancer screening. Nature 2020, 577, 89–94, Erratum in Nature 2020, 586, E19. [Google Scholar] [CrossRef] [PubMed]
- Gimenez, T.; Tedesco, T.K.; Janoian, F.; Braga, M.M.; Raggio, D.P.; Deery, C.; Ricketts, D.N.J.; Ekstrand, K.R.; Mendes, F.M. What is the most accurate method for detecting caries lesions? A systematic review. Community Dent. Oral Epidemiol. 2021, 49, 216–224. [Google Scholar] [CrossRef]
- Walsh, T.; Macey, R.; Ricketts, D.; Carrasco Labra, A.; Worthington, H.; Sutton, A.J.; Freeman, S.; Glenny, A.M.; Riley, P.; Clarkson, J.; et al. Enamel Caries Detection and Diagnosis: An Analysis of Systematic Reviews. J. Dent. Res. 2022, 101, 261–269. [Google Scholar] [CrossRef]
- Schwendicke, F.; Golla, T.; Dreher, M.; Krois, J. Convolutional neural networks for dental image diagnostics: A scoping review. J. Dent. 2019, 91, 103226. [Google Scholar] [CrossRef]
- Lee, J.H.; Kim, D.H.; Jeong, S.N.; Choi, S.H. Detection and diagnosis of dental caries using a deep learning-based convolutional neural network algorithm. J. Dent. 2018, 77, 106–111. [Google Scholar] [CrossRef]
- Das, M.; Shahnawaz, K.; Raghavendra, K.; Kavitha, R.; Nagareddy, B.; Murugesan, S. Evaluating the Accuracy of AI-Based Software vs Human Interpretation in the Diagnosis of Dental Caries Using Intraoral Radiographs: An RCT. J. Pharm. Bioallied Sci. 2024, 16 (Suppl. S1), S812–S814. [Google Scholar] [CrossRef]
- Li, W.; Chen, Y.; Sun, W.; Brown, M.; Zhang, X.; Wang, S.; Miao, L. A gingivitis identification method based on contrast-limited adaptive histogram equalization, gray-level co-occurrence matrix, and extreme learning machine. Int. J. Imaging Syst. Technol. 2019, 29, 77–82. [Google Scholar] [CrossRef]
- Lin, P.L.; Huang, P.W.; Huang, P.Y.; Hsu, H.C. Alveolar bone-loss area localization in periodontitis radiographs based on threshold segmentation with a hybrid feature fused of intensity and the H-value of fractional Brownian motion model. Comput. Methods Programs Biomed. 2015, 121, 117–126. [Google Scholar] [CrossRef] [PubMed]
- Lee, C.T.; Kabir, T.; Nelson, J.; Sheng, S.; Meng, H.W.; Van Dyke, T.E.; Walji, M.F.; Jiang, X.; Shams, S. Use of the deep learning approach to measure alveolar bone level. J. Clin. Periodontol. 2022, 49, 260–269. [Google Scholar] [CrossRef] [PubMed]
- Krois, J.; Ekert, T.; Meinhold, L.; Golla, T.; Kharbot, B.; Wittemeier, A.; Dörfer, C.; Schwendicke, F. Deep Learning for the Radiographic Detection of Periodontal Bone Loss. Sci. Rep. 2019, 9, 8495. [Google Scholar] [CrossRef] [PubMed]
- Moran MB, H.; Faria, M.; Giraldi, G.; Bastos, L.; da Silva Inacio, B.; Conci, A. On using convolutional neural networks to classify periodontal bone destruction in periapical radiographs. In Proceedings of the 2020 IEEE International Conference on Bioinformatics and Biomedicine (BIBM), Seoul, Republic of Korea, 16–19 December 2020; pp. 2036–2039. [Google Scholar]
- Khan, H.A.; Haider, M.A.; Ansari, H.A.; Ishaq, H.; Kiyani, A.; Sohail, K.; Muhammad, M.; Khurram, S.A. Automated feature detection in dental periapical radiographs by using deep learning. Oral Surg. Oral Med. Oral Pathol. Oral Radiol. 2021, 131, 711–720. [Google Scholar] [CrossRef]
- Kim, J.; Lee, H.S.; Song, I.S.; Jung, K.H. Deep Neural Transfer Network for the detection of periodontal bone loss using panoramic dental radiographs. Sci. Rep. 2019, 9, 17615. [Google Scholar] [CrossRef]
- Ghaedi, L.; Gottlieb, R.; Sarrett, D.C.; Ismail, A.; Belle, A.; Najarian, K.; Hargraves, R.H. An automated dental caries detection and scoring system for optical images of tooth occlusal surface. In Proceedings of the 2014 36th Annual International Conference of the IEEE Engineering in Medicine and Biology Society, Chicago, IL, USA, 26–30 August 2014; Volume 2014, pp. 1925–1928. [Google Scholar]
- Berdouses, E.D.; Koutsouri, G.D.; Tripoliti, E.E.; Matsopoulos, G.K.; Oulis, C.J.; Fotiadis, D.I. A computer-aided automated methodology for the detection and classification of occlusal caries from photographic color images. Comput. Biol. Med. 2015, 62, 119–135. [Google Scholar] [CrossRef]
- Pauwels, R.; Brasil, D.M.; Yamasaki, M.C.; Jacobs, R.; Bosmans, H.; Freitas, D.Q.; Haiter-Neto, F. Artificial intelligence for detection of periapical lesions on intraoral radiographs: Comparison between convolutional neural networks and human observers. Oral Surg. Oral Med. Oral Pathol. Oral Radiol. 2021, 131, 610–616. [Google Scholar] [CrossRef]
- Ekert, T.; Krois, J.; Meinhold, L.; Elhennawy, K.; Emara, R.; Golla, T.; Schwendicke, F. Deep Learning for the Radiographic Detection of Apical Lesions. J. Endod. 2019, 45, 917–922.e5. [Google Scholar] [CrossRef]
- Bayraktar, Y.; Ayan, E. Diagnosis of interproximal caries lesions with deep convolutional neural network in digital bitewing radiographs. Clin. Oral Investig. 2022, 26, 623–632. [Google Scholar] [CrossRef]
- Takahashi, T.; Nozaki, K.; Gonda, T.; Ikebe, K. A system for designing removable partial dentures using artificial intelligence. Part 1. Classification of partially edentulous arches using a convolutional neural network. J. Prosthodont. Res. 2021, 65, 115–118. [Google Scholar] [CrossRef]
- Khalifa, M.; Albadawy, M. AI in diagnostic imaging: Revolutionising accuracy and efficiency. Comput. Methods Programs Biomed. Update 2024, 5, 100146. [Google Scholar] [CrossRef]
- Gomez, J. Detection and diagnosis of the early caries lesion. BMC Oral Health 2015, 15 (Suppl. S1), S3. [Google Scholar] [CrossRef] [PubMed]
- Warin, K.; Limprasert, W.; Suebnukarn, S.; Jinaporntham, S.; Jantana, P.; Vicharueang, S. AI-based analysis of oral lesions using novel deep convolutional neural networks for early detection of oral cancer. PLoS ONE 2022, 17, e0273508. [Google Scholar] [CrossRef]
- Cirillo, N. Precursor Lesions, Overdiagnosis, and Oral Cancer: A Critical Review. Cancers 2024, 16, 1550. [Google Scholar] [CrossRef]
- Pereira-Prado, V.; Martins-Silveira, F.; Sicco, E.; Hochmann, J.; Isiordia-Espinoza, M.A.; González, R.G.; Pandiar, D.; Bologna-Molina, R. Artificial Intelligence for Image Analysis in Oral Squamous Cell Carcinoma: A Review. Diagnostics 2023, 13, 2416. [Google Scholar] [CrossRef]
- García-Pola, M.; Pons-Fuster, E.; Suárez-Fernández, C.; Seoane-Romero, J.; Romero-Méndez, A.; López-Jornet, P. Role of Artificial Intelligence in the Early Diagnosis of Oral Cancer. A Scoping Review. Cancers 2021, 13, 4600. [Google Scholar] [CrossRef]
- Willemink, M.J.; Koszek, W.A.; Hardell, C.; Wu, J.; Fleischmann, D.; Harvey, H.; Folio, L.R.; Summers, R.M.; Rubin, D.L.; Lungren, M.P. Preparing medical imaging data for machine learning. Radiology 2020, 295, 4–15. [Google Scholar] [CrossRef]
- Kumar, R.; Sharma, A.; Sharma, P.; Thaman, R. Role of artificial intelligence in diagnosis and treatment of various medical diseases in patients. AMEI’s Curr. Trends Diagn. Treat. 2021, 5, 92–98. [Google Scholar]
- Anil, S.; Porwal, P.; Porwal, A. Transforming Dental Caries Diagnosis Through Artificial Intelligence-Based Techniques. Cureus 2023, 15, e41694. [Google Scholar] [CrossRef]
- Grieco, P.; Jivraj, A.; Da Silva, J.; Kuwajima, Y.; Ishida, Y.; Ogawa, K.; Ohyama, H.; Ishikawa-Nagai, S. Importance of bitewing radiographs for the early detection of interproximal carious lesions and the impact on healthcare expenditure in Japan. Ann. Transl. Med. 2022, 10, 2. [Google Scholar] [CrossRef]
- Yazici, İ.; Shayea, I.; Din, J. A survey of applications of artificial intelligence and machine learning in future mobile networks-enabled systems. Eng. Sci. Technol. Int. J. 2023, 44, 101455. [Google Scholar] [CrossRef]
- Reddy, Y.C.; Viswanath, P.; Reddy, B.E. Semi-supervised learning: A brief review. Int. J. Eng. Technol. 2018, 7, 81. [Google Scholar] [CrossRef]
- Agrawal, P.; Nikhade, P. Artificial Intelligence in Dentistry: Past, Present, and Future. Cureus 2022, 14, e27405. [Google Scholar] [CrossRef]
- Pitts, N.B.; Ismail, A.I.; Martignon, S.; Ekstrand, K.; Douglas, G.V.; Longbottom, C. ICCMS™ guide for practitioners and educators. Lond. King’s Coll. Lond. 2014, 33, 1–84. [Google Scholar]
- Ismail, A.I.; Sohn, W.; Tellez, M.; Amaya, A.; Sen, A.; Hasson, H.; Pitts, N.B. The International Caries Detection and Assessment System (ICDAS): An integrated system for measuring dental caries. Community Dent. Oral Epidemiol. 2007, 35, 170–178. [Google Scholar] [CrossRef]
- Murdoch, A.I.K.; Blum, J.; Chen, J.; Baziotis-Kalfas, D.; Dao, A.; Bai, K.; Bekheet, M.; Atwal, N.; Cho, S.S.H.; Ganhewa, M.; et al. Determinants of Clinical Decision Making under Uncertainty in Dentistry: A Scoping Review. Diagnostics 2023, 13, 1076. [Google Scholar] [CrossRef]
- Ganhewa, M.; Lau, A.; Lay, A.; Lee, M.J.; Liang, W.; Li, E.; Li, X.; Khoo, L.Y.; Lee, S.M.; Mariño, R.; et al. Harnessing the power of collective intelligence in dentistry: A pilot study in Victoria, Australia. BMC Oral Health 2023, 23, 405. [Google Scholar] [CrossRef]
- Bonfanti-Gris, M.; Garcia-Cañas, A.; Alonso-Calvo, R.; Salido Rodriguez-Manzaneque, M.P.; Pradies Ramiro, G. Evaluation of an Artificial Intelligence web-based software to detect and classify dental structures and treatments in panoramic radiographs. J. Dent. 2022, 126, 104301. [Google Scholar] [CrossRef]
- Lee, K.-S.; Ryu, J.-J.; Jang, H.S.; Lee, D.-Y.; Jung, S.-K. Deep Convolutional Neural Networks Based Analysis of Cephalometric Radiographs for Differential Diagnosis of Orthognathic Surgery Indications. Appl. Sci. 2020, 10, 2124. [Google Scholar] [CrossRef]
- Suhail, Y.; Upadhyay, M.; Chhibber, A.; Kshitiz. Machine Learning for the Diagnosis of Orthodontic Extractions: A Computational Analysis Using Ensemble Learning. Bioengineering 2020, 7, 55. [Google Scholar] [CrossRef]
- Frantsve-Hawley, J.; Abt, E.; Carrasco-Labra, A.; Dawson, T.; Michaels, M.; Pahlke, S.; Rindal, D.B.; Spallek, H.; Weyant, R.J. Strategies for developing evidence-based clinical practice guidelines to foster implementation into dental practice. J. Am. Dent. Assoc. 2022, 153, 1041–1052. [Google Scholar] [CrossRef] [PubMed]
- Baig, Z.; Lawrence, D.; Ganhewa, M.; Cirillo, N. Accuracy of Treatment Recommendations by Pragmatic Evidence Search and Artificial Intelligence: An Exploratory Study. Diagnostics 2024, 14, 527. [Google Scholar] [CrossRef] [PubMed]
- Mahesh Batra, A.; Reche, A. A New Era of Dental Care: Harnessing Artificial Intelligence for Better Diagnosis and Treatment. Cureus 2023, 15, e49319. [Google Scholar] [CrossRef]
- Tafti, F.; Thorat, R.; Mhatre, S.; Srichand, R.; Savant, S.C.; Sachdev, S.S. The Utility of Artificial Intelligence in Dentistry: Advancing Frontiers. Glob. J. Med. Pharm. Biomed. Update 2024, 19, 8. [Google Scholar] [CrossRef]
- CoTreat AI Product. Available online: https://www.cotreat.ai/ (accessed on 18 October 2024).
- Zhao, T.; Wang, S.; Ouyang, C.; Chen, M.; Liu, C.; Zhang, J.; Yu, L.; Wang, F.; Xie, Y.; Li, J.; et al. Artificial intelligence for geoscience: Progress, challenges, and perspectives. Innovation 2024, 5, 100691. [Google Scholar] [CrossRef]
- Jumper, J.; Evans, R.; Pritzel, A.; Green, T.; Figurnov, M.; Ronneberger, O.; Tunyasuvunakool, K.; Bates, R.; Žídek, A.; Potapenko, A.; et al. Highly accurate protein structure prediction with AlphaFold. Nature 2021, 596, 583–589. [Google Scholar] [CrossRef]


| Reference | Dental Condition | Sub-Category | Image Source | Results |
|---|---|---|---|---|
| Li W. et al. [10] | Periodontitis | Gingivitis | Digital Photographs | Sensitivity: 0.75, Specificity: 0.73, Accuracy: 0.74, Precision: 0.74 |
| Lin PL et al. [11] | Alveolar Bone Loss | Periapical Radiographs | Sensitivity (True Positive Fraction): 0.925, Specificity (True Negative Fraction): 0.86 | |
| Lee CT. et al. [12] | Alveolar Bone Loss | Periapical Radiographs | Sensitivity: 0.80, Specificity: 0.99, Accuracy: 0.99, AUC: 0.98 | |
| Krois et al. [13] | Alveolar Bone Loss | Panoramic Radiographs | Sensitivity: 0.72, Specificity: 0.83, Accuracy: 0.81 | |
| M. B. H. et al. [14] | Periodontal Bone Destruction | Periapical Radiographs | Sensitivity: 0.92, Specificity: 0.71, Accuracy: 0.81, NPV: 0.90, Precision: 0.76, | |
| Khan et al. [15] | Bone Recession and Interradicular Radiolucency | Periapical Radiographs | mIoU: 0.501, Dice score: 0.569 | |
| Kim J et al. [16] | Alveolar Bone Loss | Panoramic Radiographs | Sensitivity: 0.77, Specificity: 0.95, PPV: 0.73, NPV: 0.96, AUC: 0.95, F1-score: 0.75 | |
| Ghaedi et al. [17] | Endodontics | Detect and Score Caries Lesions | Intraoral Optical Occlusal Tooth Surface Images | Sensitivity: 0.83, Specificity: 0.983, Accuracy: 0.863 |
| Berdouses et al. [18] | Occlusal Caries Lesions | Photographic Coloured Images | Sensitivity: 0.80, Specificity: 0.74, Accuracy: 0.80, Precision: 0.86, Recall: 0.86, F1-score: 0.85, AUC: 0.98 | |
| Pauwels et al. [19] | Periapical Lesions | Intraoral Radiographs | Sensitivity: 0.79, Specificity: 0.88, AUC: 0.86 | |
| Ekert et al. [20] | Periapical Lesions | Panoramic Radiographs | Sensitivity: 0.65, Specificity: 0.87, AUC: 0.85, PPV: 0.49, NPV: 0.93 | |
| Bayraktar et al. [21] | Interproximal Caries Lesions | Bitewing Radiographs | Sensitivity: 0.722, Specificity: 0.981, Accuracy: 0.945, PPV: 0.865, NPV: 0.954, AUC: 0.871 | |
| Toshihito et al. [22] | Prosthodontics | Partial Edentulous Arches | Oral Photographs | Maxilla: Sensitivity: 1.00, Accuracy: 0.995, Precision: 0.25, AUC: 0.99, Mandible Sensitivity: 1.00, Accuracy: 0.997, Precision: 0.25, AUC: 0.98 |
| References | Specialty | Sub-Category | Image Source | Conclusion |
|---|---|---|---|---|
| Bonfanti et al. [40] | Endodontics | Endodontically Treated Teeth | OPG | Treatment decisions using orthopantomography can be improved by using AI |
| Lee et al. [41] | Orthodontics | Orthognathic Surgery | Cephalograms | Indications of orthognathic surgery and orthodontic treatment based on images showed a significant success rate |
| Suhail et al. [42] | Orthodontics | Decision-making for teeth extraction | Patient records including facial photographs | AI was helpful in extraction and treatment planning |
| Tooth, Surface | Detection Mode | Findings/OD | Treatment Plan (Procedure) | Item Code | Cost | Inference | |
|---|---|---|---|---|---|---|---|
| Dentist | 23 | Inspection | Initial caries | Adhesive restoration—anterior tooth—direct | 522 | $228.99 | Dentist false positive |
| 14 | Inspection | Moderate caries | Adhesive restoration—posterior tooth—direct | 533 | $286.01 | Dentist true positive | |
| CoTreat Navigator® | 36D 4 | PBW 1 | Initial Stage ICCMS RA 3 2 | Adhesive restoration—posterior tooth—direct | 532–535 | $244.53–$383.93 | Dentist false negative |
| 36B | Photo | Moderate caries ICDAS Code 3 3 | |||||
| 14DM | PBW 1 | Initial Stage ICCMS RA 3 2 | Adhesive restoration—posterior tooth—direct | 533–535 | $286.01–$383.93 | Dentist true positive | |
| 14B | Photo | Moderate caries ICDAS Code 3 3 |
Disclaimer/Publisher’s Note: The statements, opinions and data contained in all publications are solely those of the individual author(s) and contributor(s) and not of MDPI and/or the editor(s). MDPI and/or the editor(s) disclaim responsibility for any injury to people or property resulting from any ideas, methods, instructions or products referred to in the content. |
© 2024 by the authors. Licensee MDPI, Basel, Switzerland. This article is an open access article distributed under the terms and conditions of the Creative Commons Attribution (CC BY) license (https://creativecommons.org/licenses/by/4.0/).
Share and Cite
Raj, R.; Rajappa, R.; Murthy, V.; Osanlouy, M.; Lawrence, D.; Ganhewa, M.; Cirillo, N. Observational Diagnostics: The Building Block of AI-Powered Visual Aid for Dental Practitioners. Bioengineering 2025, 12, 9. https://doi.org/10.3390/bioengineering12010009
Raj R, Rajappa R, Murthy V, Osanlouy M, Lawrence D, Ganhewa M, Cirillo N. Observational Diagnostics: The Building Block of AI-Powered Visual Aid for Dental Practitioners. Bioengineering. 2025; 12(1):9. https://doi.org/10.3390/bioengineering12010009
Chicago/Turabian StyleRaj, Ruchika, Ravikumar Rajappa, Vijayalakshmi Murthy, Mahyar Osanlouy, Daniel Lawrence, Mahen Ganhewa, and Nicola Cirillo. 2025. "Observational Diagnostics: The Building Block of AI-Powered Visual Aid for Dental Practitioners" Bioengineering 12, no. 1: 9. https://doi.org/10.3390/bioengineering12010009
APA StyleRaj, R., Rajappa, R., Murthy, V., Osanlouy, M., Lawrence, D., Ganhewa, M., & Cirillo, N. (2025). Observational Diagnostics: The Building Block of AI-Powered Visual Aid for Dental Practitioners. Bioengineering, 12(1), 9. https://doi.org/10.3390/bioengineering12010009

