Automated Measurements of Tooth Size and Arch Widths on Cone-Beam Computerized Tomography and Scan Images of Plaster Dental Models
Abstract
1. Introduction
2. Materials
2.1. Parameters for Measurement
- Inter-canine distance: the linear distance between canine cusp tips.
- Inter-premolar distance: the linear distance between the buccal cusp tips of the 1st premolars.
- Inter–first molar distance: the distance between the mesio-buccal cusp tips of the first molars.
2.2. Dataset
3. Methods
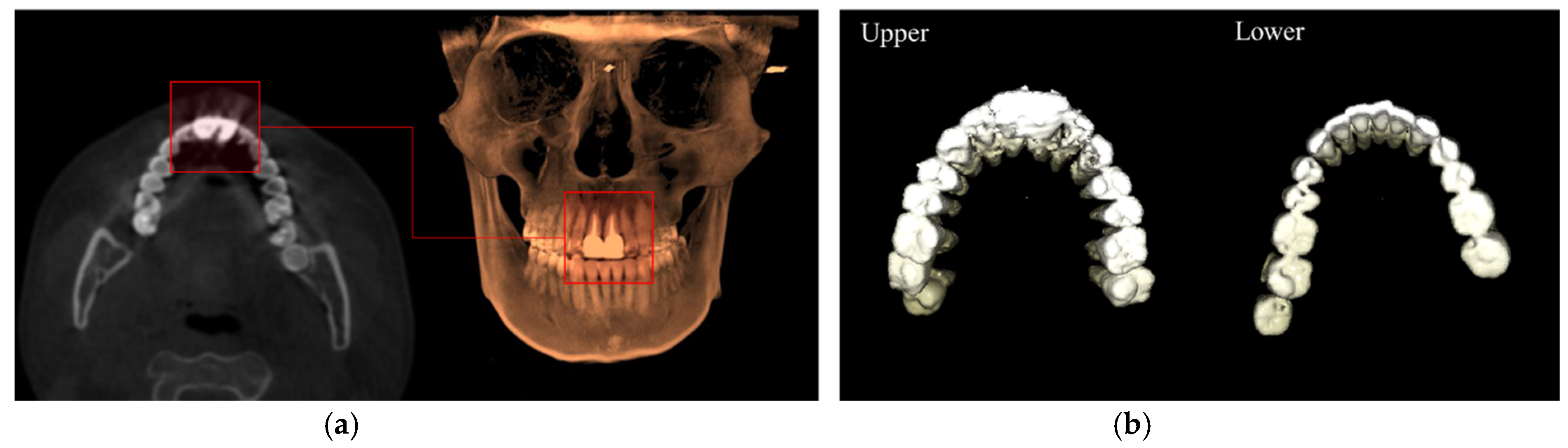
3.1. 3D Upper and Lower Teeth Segmentation from CBCT Data
3.2. Teeth Segmentation from the Scan Images of Plaster Dental Models
3.3. Teeth Detection and Identification on 2D Maximum Intensity Projection (MIP)
3.4. Key Points Detection for Parameters
4. Results
4.1. System Implementation
4.2. Inter-Observer and Intra-Observer Analysis
- Null hypothesis : all measurements are equal .
- Alternative hypothesis : At least one measurement is unequal.
4.3. Measurements of Tooth Size
4.4. Measurements of Arch Widths
4.5. Performance of Tooth Identification
4.6. Effect of Tooth Abnormal Arrangement and Rotation
4.7. Effect of Metal Artefacts in CBCT Images
5. Discussion
6. Conclusions
Author Contributions
Funding
Institutional Review Board Statement
Informed Consent Statement
Data Availability Statement
Acknowledgments
Conflicts of Interest
References
- Ong, M.M.A.; Wang, H.L. Periodontic and orthodontic treatment in adults. Am. J. Orthod. Dentofac. 2002, 122, 420–428. [Google Scholar] [CrossRef]
- Gebeck, T.R.; Merrifield, L.L. Orthodontic diagnosis and treatment analysis—Concepts and values. Part I. Am. J. Orthod. Dentofac. 1995, 107, 434–443. [Google Scholar] [CrossRef] [PubMed]
- Arai, Y.; Tammisalo, E.; Iwai, K. Development of a compact computed tomographic apparatus for dental use. Dentomaxillofac. Radiol. 1999, 28, 245–248. [Google Scholar] [CrossRef]
- Kim, D.S.; Kim, Y.J.; Choi, J.H.; Han, J.H. A study of Korean Norm about tooth size and ratio in Korean adults with normal occlusion. Korean J. Orthod. 2001, 31, 505–515. [Google Scholar]
- Redahan, S.; Lagerstrom, L. Orthodontic treatment outcome: The relationship between anterior dental relations and anterior inter-arch tooth size discrepancy. J. Orthod. 2003, 30, 237–244. [Google Scholar] [CrossRef] [PubMed]
- Sperry, T.P.; Worms, F.W.; Isaacson, R.J.; Speidel, T.M. Tooth-size discrepancy in mandibular prognathism. Am. J. Orthod. Dentofac. Orthop. 1977, 72, 183–190. [Google Scholar] [CrossRef]
- Vandenberghe, B.; Jacobs, R.; Bosmans, H. Modern dental imaging: A review of the current technology and clinical applications in dental practice. Eur. Radiol. 2010, 20, 2637–2655. [Google Scholar] [CrossRef]
- Kapetanović, A.; Oosterkamp, B.C.M.; Lamberts, A.A.; Schols, J.G.J.H. Orthodontic radiology: Development of a clinical practice guideline. Radiol. Medica 2021, 126, 72–82. [Google Scholar] [CrossRef]
- Hajem, S.; Brogårdh-Roth, S.; Nilsson, M.; Hellén-Halme, K. CBCT of Swedish children and adolescents at an oral and maxillofacial radiology department: A survey of requests and indications. Acta Odontol. Scand. 2020, 78, 38–44. [Google Scholar] [CrossRef]
- Chen, Y.J.; Chen, S.K.; Yao, J.C.C.; Chang, H.F. The effects of differences in landmark identification on the cephalometric measurements in traditional versus digitized cephalometry. Angle Orthod. 2004, 74, 155–161. [Google Scholar]
- Dias Da Silveira, H.L.; Dias Silveira, H.E. Reproducibility of cephalometric measurements made by three radiology clinics. Angle Orthod. 2006, 76, 394–399. [Google Scholar]
- Hwang, H.-W.; Moon, J.-H.; Kim, M.-G.; Donatelli, R.E.; Lee, S.-J. Evaluation of automated cephalometric analysis based on the latest deep learning method. Angle Orthod. 2021, 91, 329–335. [Google Scholar] [CrossRef]
- Baccetti, T.; Franchi, L.; McNamara, J.A. The cervical vertebral maturation (CVM) method for the assessment of optimal treatment timing in dentofacial orthopedics. Semin. Orthod. 2005, 11, 119–129. [Google Scholar] [CrossRef]
- McNamara, J.A.; Bookstein, F.L.; Shaughnessy, T.G. Skeletal and dental changes following functional regulator therapy on Class II patients. Am. J. Orthod. 1985, 88, 91–110. [Google Scholar] [CrossRef] [PubMed]
- Durka-Zając, M.; Derwich, M.; Mituś-Kenig, M.; Łoboda, M.; Pawłowska, E. Analysis of dental maturation in relation to sagittal jaw relationships. Pol. J. Radiol. 2017, 82, 32–37. [Google Scholar] [CrossRef] [PubMed]
- Georgalis, K.; Woods, M.G. A study of Class III treatment: Orthodontic camouflage vs orthognathic surgery. Australas. Orthod. J. 2015, 31, 138–148. [Google Scholar] [CrossRef]
- Raposo, R.; Peleteiro, B.; Paço, M.; Pinho, T. Orthodontic camouflage versus orthodontic-orthognathic surgical treatment in Class II malocclusion: A systematic review and meta-analysis. Int. J. Oral Maxillofac. Surg. 2018, 47, 445–455. [Google Scholar] [CrossRef]
- Hong, M.; Kim, I.; Cho, J.H.; Kang, K.H.; Kim, M.; Kim, S.J.; Kim, Y.J.; Sung, S.J.; Kim, Y.H.; Lim, S.H.; et al. Accuracy of artificial intelligence-assisted landmark identification in serial lateral cephalograms of Class III patients who underwent orthodontic treatment and two-jaw orthognathic surgery. Korean J. Orthod. 2022, 52, 287–297. [Google Scholar] [CrossRef] [PubMed]
- Portnoy, J.; Waller, M.; Elliott, T. Telemedicine in the era of COVID-19. J. Allergy Clin. Immunol. Pract. 2020, 8, 1489–1491. [Google Scholar] [CrossRef] [PubMed]
- Tsichlaki, A.; Chin, S.Y.; Pandis, N.; Fleming, P.S. How long does treatment with fixed orthodontic appliances last? A systematic review. Am. J. Orthod. Dentofac. Orthop. 2016, 149, 308–318. [Google Scholar] [CrossRef] [PubMed]
- Caruso, S.; Caruso, S.; Pellegrino, M.; Skafi, R.; Nota, A.; Tecco, S. A knowledge-based algorithm for automatic monitoring of orthodontic treatment: The dental monitoring system. Two Cases Sens. 2021, 21, 1856. [Google Scholar] [CrossRef] [PubMed]
- Brusco, N.; Andreetoo, M.; Lucchese, L.; Carmignato, S.; Cortelazzo, G.M. Metrological validation for 3D modeling of dental plaster casts. Med. Eng. Phys. 2007, 29, 954–966. [Google Scholar] [CrossRef] [PubMed]
- Zilberman, O.; Huggare, J.; Parikakis, K.A. Evaluation of the Validity of Tooth Size and Arch Width Measurements Using Conventional and Three-dimensional Virtual Orthodontic Models. Angle Orthod. 2003, 73, 301–306. [Google Scholar] [PubMed]
- Hunter, W.S.; Priest, W.R. Errors and discrepancies in measurements of tooth size. J. Dent. Res. 1960, 39, 405–414. [Google Scholar] [CrossRef]
- Champagne, M. Reliability of measurements from photocopies of study models. J. Clin. Orthod. 1992, 10, 648–650. [Google Scholar]
- Bhatia, S.N.; Harrison, V.E. Operational performance of the traveling microscope in the measurement of dental casts. Br. J. Orthod. 1987, 14, 147–153. [Google Scholar] [CrossRef]
- Martensson, B.; Ryden, H. The holodent system, a new technique for measurement and storage of dental casts. Am. J. Orthod. Dentofac. Orthop. 1992, 102, 113–119. [Google Scholar] [CrossRef] [PubMed]
- Mok, K.H.; Cooke, M.S. Space analysis: A comparison between sonic digitization and the digital caliper. Eur. J. Orthod. 1998, 20, 635–661. [Google Scholar] [CrossRef][Green Version]
- Mangano, F.; Gandolfi, A.; Luongo, G.; Logozzo, S. Intraoral scanners in dentistry: A review of the current literature. BMC Oral Health 2017, 17, 149–160. [Google Scholar] [CrossRef]
- Mullen, S.R.; Martin, C.A.; Ngan, P.; Gladwin, M. Accuracy of space analysis with emodels and plater models. Am. J. Orthod. Dentofac. Orthop. 2007, 132, 346–352. [Google Scholar] [CrossRef] [PubMed]
- Haceveld, A.; Later, J.; Ren, Y. Accuracy and reproducibility of dental replica models reconstructed by different rapid prototyping techniques. Am. J. Orthod. Dentofac. Orthop. 2014, 145, 108–115. [Google Scholar] [CrossRef] [PubMed]
- Kunz, F.; Stellzig-Eisenhauer, A.; Zeman, F.; Boldt, J. Artificial intelligence in orthodontics: Evaluation of a fully automated cephalometric analysis using a customized convolutional neural network. J. Orofac. Orthop. 2020, 81, 52–68. [Google Scholar] [CrossRef]
- Kim, H.; Shim, E.; Park, J.; Kim, Y.; Lee, U. Web-based fully automated cephalometric analysis by deep learning. Comput. Meth. Programs Biomed. 2020, 194, 105513. [Google Scholar] [CrossRef] [PubMed]
- Kim, M.J.; Liu, Y.; Oh, S.H.; Ahn, H.W.; Kim, S.H.; Nelson, G. Automatic cephalometric landmark identification system based on the multi-stage convolutional neural networks with CBCT combination images. Sensors 2021, 21, 505. [Google Scholar] [CrossRef] [PubMed]
- Nishimoto, S.; Sotsuka, Y.; Kawai, K.; Ishise, H.; Kakibuchi, M. Personal computer-based cephalometric landmark detection with deep learning using cephalograms on the internet. J. Craniofacial Surg. 2019, 30, 91–95. [Google Scholar] [CrossRef] [PubMed]
- Zheng, H.; Wu, M.X.; Shi, Y.; Deng, C.; Zhang, C.Z. 3D elastic dental analysis by a local RBF collocation method. Appl. Math. Model. 2021, 99, 41–56. [Google Scholar] [CrossRef]
- Wang, C.W.; Huang, C.T.; Hsieh, M.C.; Li, C.H.; Chang, S.W.; Li, W.C.; Vandaele, R.; Marée, R.; Jodogne, S.; Geurts, P.; et al. Evaluation and comparison of anatomical landmark detection methods for cephalometric X-Ray images: A Grand challenge. IEEE Trans. Med. Imaging 2015, 34, 1890–1900. [Google Scholar] [CrossRef]
- Ahn, J.; Nguyen, T.P.; Kim, Y.J.; Kim, T.; Yoon, J. Automated analysis of three-dimensional CBCT images taken in natural head position that combines facial profile processing and multiple deep-learning models. Comput. Methods Programs Biomed. 2022, 226, 107123. [Google Scholar] [CrossRef] [PubMed]
- Jang, T.J.; Kim, K.C.; Cho, H.C.; Seo, J.K. A Fully Automated Method for 3D Individual Tooth Identification and Segmentation in Dental CBCT. IEEE Trans. Pattern Anal. Mach. Intell. 2022, 44, 6562–6568. [Google Scholar] [CrossRef]
- Bolton, W.A. Disharmony in Tooth Size and Its Relation To The Analysis And Treatment Of Malocclusion. Angle Orthod. 1958, 28, 113–130. [Google Scholar]
- Al-Zubair, N.M. Determinant factors of Yemeni maxillary arch dimensions. Saudi Dent. J. 2015, 27, 50–54. [Google Scholar] [CrossRef] [PubMed]
- Solow, B.; Tallgren, A. Natural head position in standing subjects. Acta Odontol. Scand. 1971, 29, 591–607. [Google Scholar] [CrossRef] [PubMed]
- Nguyen, T.P.; Chae, D.S.; Park, S.J.; Kang, K.Y.; Lee, W.S.; Yoon, J.H. Intelligent analysis of coronal alignment in lower limbs based on radiographic image with convolutional neural network. Comput. Biol. Med. 2020, 120, 103732. [Google Scholar] [CrossRef] [PubMed]
- Chae, D.S.; Nguyen, T.P.; Park, S.J.; Kang, K.Y.; Won, C.H.; Yoon, J.H. Decentralized convolutional neural network for evaluating spinal deformity with spinopelvic parameters. Comput. Methods Programs Biomed. 2020, 197, 105699. [Google Scholar] [CrossRef] [PubMed]
- Nguyen, T.P.; Chae, D.S.; Park, S.J.; Kang, K.Y.; Yoon, J.H. Deep learning system for Meyerding classification and segmental motion measurement in diagnosis of lumbar spondylolisthesis. Biomed. Signal Process. Control 2020, 65, 102371. [Google Scholar] [CrossRef]
- Nguyen, T.P.; Jung, J.W.; Yoo, Y.J.; Choi, S.H.; Yoon, J.H. Intelligent evaluation of global spinal alignment by a decentralized convolutional neural network. J. Digit. Imaging 2022, 35, 213–225. [Google Scholar] [CrossRef]
- He, K.G.; Gkioxari, G.; Dollár, P.; Girshick, R. Mask -R-CNN. arXiv 2017, arXiv:1703.06870v3. [Google Scholar]
- Zhu, Y.; Wang, Z.; Gao, D. Gravitational fixed radius nearest neighbor for imbalanced problem. Knowl.-Based Syst. 2015, 90, 224–238. [Google Scholar] [CrossRef]
- Jayalashmy, S.; Sudha, G.F. Scalogram based prediction model for respiratory disorders using optimized convolutional neural networks. Artif. Intell. Med. 2020, 103, 101809. [Google Scholar] [CrossRef]
- Tian, S.; Dai, N.; Zhang, B.; Yuan, F.; Yu, Q.; Cheng, X. Automatic classification and segmentation of teeth on 3D dental model using hierarchical deep learning networks. IEEE Access 2019, 7, 84817–84828. [Google Scholar] [CrossRef]
- Xu, X.; Liu, C.; Zheng, Y. 3D tooth segmentation and labeling using deep convolutional neural networks. IEEE Trans. Vis. Comput. Graph. 2018, 25, 2336–2348. [Google Scholar] [CrossRef]
- Yu, J.-H.; Kim, J.-H.; Liu, J.; Mangal, U.; Ahn, H.-K.; Cha, J.-Y. Reliability and time-based efficiency of artificial intelligence-based automatic digital model analysis system. Eur. J. Orthod. 2023, 45, 712–718. [Google Scholar] [CrossRef] [PubMed]
- Smith, J.D.; Nguyen, L.T.; Patel, R. Analyzing tooth shapes and sizes: A hybrid model using K-means and graph-based variational autoencoders. Int. J. Oral Maxillofac. Surg. 2023, 52, 178–185. [Google Scholar]













| No. | Tooth Name | Mean ± 1.96 × STD | MAE for CBCT Images | MAE for the Scan Images of Plaster Dental Modes | ||
|---|---|---|---|---|---|---|
| 1 | Central incisor | 7.25 ± 3.30 | 1st rater: | 0.61 | 1st rater: | 0.46 |
| 2nd rater: | 0.58 | 2nd rater: | 0.47 | |||
| 2 | Lateral incisor | 6.74 ± 1.45 | 1st rater: | 0.52 | 1st rater: | 0.46 |
| 2nd rater: | 0.51 | 2nd rater: | 0.46 | |||
| 3 | Canine | 7.63 ± 1.14 | 1st rater: | 0.61 | 1st rater: | 0.53 |
| 2nd rater: | 0.62 | 2nd rater: | 0.48 | |||
| 4 | 1st pre-molar | 7.66 ± 0.91 | 1st rater: | 0.55 | 1st rater: | 0.33 |
| 2nd rater: | 0.55 | 2nd rater: | 0.32 | |||
| 5 | 2nd pre-molar | 7.36 ± 1.10 | 1st rater: | 0.49 | 1st rater: | 0.32 |
| 2nd rater: | 0.5 | 2nd rater: | 0.33 | |||
| 6 | 1st molar | 11.03 ± 1.40 | 1st rater: | 0.72 | 1st rater: | 0.36 |
| 2nd rater: | 0.78 | 2nd rater: | 0.38 | |||
| No. | Tooth Name | Mean ± 1.96 × STD | Comparison Results | ||
|---|---|---|---|---|---|
| Rater | MAE | STD of AE | |||
| 1 | Canine | 31.03 ± 9.44 | 1st rater: | 0.70 | 0.57 |
| 2nd rater: | 0.65 | 0.54 | |||
| 2 | 1st premolar | 38.88 ± 9.11 | 1st rater: | 0.67 | 0.46 |
| 2nd rater: | 0.55 | 0.43 | |||
| 3 | 1st molar | 50.40 ± 9.55 | 1st rater: | 1.08 | 0.81 |
| 2nd rater: | 1.08 | 0.84 | |||
Disclaimer/Publisher’s Note: The statements, opinions and data contained in all publications are solely those of the individual author(s) and contributor(s) and not of MDPI and/or the editor(s). MDPI and/or the editor(s) disclaim responsibility for any injury to people or property resulting from any ideas, methods, instructions or products referred to in the content. |
© 2024 by the authors. Licensee MDPI, Basel, Switzerland. This article is an open access article distributed under the terms and conditions of the Creative Commons Attribution (CC BY) license (https://creativecommons.org/licenses/by/4.0/).
Share and Cite
Nguyen, T.P.; Ahn, J.-H.; Lim, H.-K.; Kim, A.; Yoon, J. Automated Measurements of Tooth Size and Arch Widths on Cone-Beam Computerized Tomography and Scan Images of Plaster Dental Models. Bioengineering 2025, 12, 22. https://doi.org/10.3390/bioengineering12010022
Nguyen TP, Ahn J-H, Lim H-K, Kim A, Yoon J. Automated Measurements of Tooth Size and Arch Widths on Cone-Beam Computerized Tomography and Scan Images of Plaster Dental Models. Bioengineering. 2025; 12(1):22. https://doi.org/10.3390/bioengineering12010022
Chicago/Turabian StyleNguyen, Thong Phi, Jang-Hoon Ahn, Hyun-Kyo Lim, Ami Kim, and Jonghun Yoon. 2025. "Automated Measurements of Tooth Size and Arch Widths on Cone-Beam Computerized Tomography and Scan Images of Plaster Dental Models" Bioengineering 12, no. 1: 22. https://doi.org/10.3390/bioengineering12010022
APA StyleNguyen, T. P., Ahn, J.-H., Lim, H.-K., Kim, A., & Yoon, J. (2025). Automated Measurements of Tooth Size and Arch Widths on Cone-Beam Computerized Tomography and Scan Images of Plaster Dental Models. Bioengineering, 12(1), 22. https://doi.org/10.3390/bioengineering12010022

