Radiomics-Based Machine Learning for Predicting the Injury Time of Rib Fractures in Gemstone Spectral Imaging Scans
Abstract
1. Introduction
2. Materials and Methods
2.1. Radiomics Workflow
2.2. Patients’ Enrollment and Image Collection
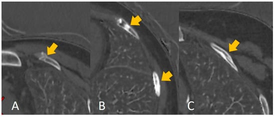
2.3. Image Segmentation
2.4. Radiologist’s Interpretation for the Evaluation of the Injury Time of Rib Fractures
2.5. Feature Extraction and Selection
2.6. Performance of the Radiomics Signature and Statistical Analysis
3. Results
3.1. Patient Characteristics
3.2. Feature Extraction and Selection
3.3. Prediction Performance of the Radiomics-Based Models and Radiologists
3.3.1. Prediction Performance on Distinguishing 30 Days of the Injury Time of Rib Fractures
3.3.2. Prediction Performance on Distinguishing 90 Days of the Injury Time of Rib Fractures
4. Discussion
5. Conclusions
Supplementary Materials
Author Contributions
Funding
Institutional Review Board Statement
Informed Consent Statement
Data Availability Statement
Acknowledgments
Conflicts of Interest
References
- Hu, J.; Zheng, Z.F.; Wang, S.H.; Si, D.L.; Yuan, Y.Q.; Gao, B.L. Missed rib fractures on initial chest CT in trauma patients: Time patterns, clinical and forensic significance. Eur. Radiol. 2021, 31, 2332–2339. [Google Scholar] [CrossRef]
- Talbot, B.S.; Gange, C.P.; Chaturvedi, A.; Klionsky, N.; Hobbs, S.K.; Chaturvedi, A. Traumatic rib injury: Patterns, imaging pitfalls, complications, and treatment. Radiographics 2017, 37, 628–651. [Google Scholar] [CrossRef] [PubMed]
- Ziegler, D.W.; Agarwal, N.N. The morbidity and mortality of rib fractures. J. Trauma. 1994, 37, 975–979. [Google Scholar] [CrossRef] [PubMed]
- Zura, R.; Xu, Z.J.; Della Rocca, G.J.; Mehta, S.; Steen, R.G. When is a fracture not “fresh”? Aligning reimbursement with patient outcome after treatment with low-intensity pulsed ultrasound. J. Orthop. Trauma. 2017, 31, 248–251. [Google Scholar] [CrossRef] [PubMed]
- Wootton-Gorges, S.L.; Stein-Wexler, R.; Walton, J.W.; Rosas, A.J.; Coulter, K.P.; Rogers, K.K. Comparison of Computed Tomography and chest radiography in the detection of rib fractures in abused infants. Child Abuse Negl. 2008, 32, 659–663. [Google Scholar] [CrossRef]
- Yang, C.; Zhao, J.; He, G.; Wang, J.; Liu, L.; Liu, H.; Liu, F.; Zhang, L.L. Deep learning into intelligent detection of rib fracture from x-ray imagery. Forensic Sci. Technol. 2021, 46, 134–139. [Google Scholar]
- Greffier, J.; Si-Mohamed, S.; Guiu, B.; Frandon, J.; Loisy, M.; de Oliveira, F.; Douek, P.; Beregi, J.P.; Dabli, D. Comparison of virtual monoenergetic imaging between a rapid kilovoltage switching dual-energy computed tomography with deep-learning and four dual-energy cts with iterative reconstruction. Quant. Imaging Med. Surg. 2022, 12, 1149–1162. [Google Scholar] [CrossRef]
- Cheng, C.L.; Chang, H.H.; Ko, S.C.; Huang, P.J.; Lin, S.Y. Dual-energy computed tomography gemstone spectral imaging: A novel technique to determine human cardiac calculus composition. J. Comput. Assist. Tomogr. 2016, 40, 283–289. [Google Scholar] [CrossRef]
- Li, M.; Zheng, X.; Li, J.; Yang, Y.; Lu, C.; Xu, H.; Yu, B.; Xiao, L.; Zhang, G.; Hua, Y. Dual-energy computed tomography imaging of thyroid nodule specimens: Comparison with pathologic findings. Investig. Radiol. 2012, 47, 58–64. [Google Scholar] [CrossRef]
- Yamada, Y.; Jinzaki, M.; Tanami, Y.; Abe, T.; Kuribayashi, S. Virtual monochromatic spectral imaging for the evaluation of hypovascular hepatic metastases: The optimal monochromatic level with fast kilovoltage switching dual-energy computed tomography. Investig. Radiol. 2012, 47, 292–298. [Google Scholar] [CrossRef]
- Kaza, R.K.; Platt, J.F.; Cohan, R.H.; Caoili, E.M.; Al-Hawary, M.M.; Wasnik, A. Dual-energy ct with single- and dual-source scanners: Current applications in evaluating the genitourinary tract. Radiographics 2012, 32, 353–369. [Google Scholar] [CrossRef] [PubMed]
- Mayerhoefer, M.E.; Materka, A.; Langs, G.; Häggström, I.; Szczypiński, P.; Gibbs, P.; Cook, G. Introduction to radiomics. J. Nucl. Med. 2020, 61, 488–495. [Google Scholar] [CrossRef] [PubMed]
- Gillies, R.J.; Kinahan, P.E.; Hricak, H.H. Radiomics: Images are more than pictures, they are data. Radiology 2016, 278, 563–577. [Google Scholar] [CrossRef] [PubMed]
- Huang, X.; Sun, Y.; Tan, M.; Ma, W.; Gao, P.; Qi, L.; Lu, J.; Yang, Y.; Wang, K.; Chen, W.; et al. Three-dimensional convolutional neural network-based prediction of epidermal growth factor receptor expression status in patients with non-small cell lung cancer. Front. Oncol. 2022, 12, 772770. [Google Scholar] [CrossRef]
- Tan, M.; Ma, W.; Sun, Y.; Gao, P.; Huang, X.; Lu, J.; Chen, W.; Wu, Y.; Jin, L.; Tang, L.; et al. Prediction of the growth rate of early-stage lung adenocarcinoma by radiomics. Front. Oncol. 2021, 11, 658138. [Google Scholar] [CrossRef]
- Sun, Y.; Li, C.; Jin, L.; Gao, P.; Zhao, W.; Ma, W.; Tan, M.; Wu, W.; Duan, S.; Shan, Y.; et al. Radiomics for lung adenocarcinoma manifesting as pure ground-glass nodules: Invasive prediction. Eur. Radiol. 2020, 30, 3650–3659. [Google Scholar] [CrossRef]
- Jin, L.; Yang, J.; Kuang, K.; Ni, B.; Gao, Y.; Sun, Y.; Gao, P.; Ma, W.; Tan, M.; Kang, H.; et al. Deep-learning-assisted detection and segmentation of rib fractures from ct scans: Development and validation of FracNet. EBiomedicine 2020, 62, 103106. [Google Scholar] [CrossRef]
- Zhao, W.; Wu, Y.; Xu, Y.; Sun, Y.; Gao, P.; Tan, M.; Ma, W.; Li, C.; Jin, L.; Hua, Y.; et al. The potential of radiomics nomogram in non-invasively prediction of epidermal growth factor receptor mutation status and subtypes in lung adenocarcinoma. Front. Oncol. 2019, 9, 1485. [Google Scholar] [CrossRef]
- Zhao, W.; Yang, J.; Sun, Y.; Li, C.; Wu, W.; Jin, L.; Yang, Z.; Ni, B.; Gao, P.; Wang, P.; et al. 3D Deep learning from CT scans predicts tumor invasiveness of subcentimeter pulmonary adenocarcinomas. Cancer Res. 2018, 78, 6881–6889. [Google Scholar] [CrossRef]
- Zhou, Q.Q.; Wang, J.; Tang, W.; Hu, Z.C.; Xia, Z.Y.; Li, X.S.; Zhang, R.; Yin, X.; Zhang, B.; Zhang, H. Automatic detection and classification of rib fractures on thoracic ct using convolutional neural network: Accuracy and feasibility. Korean J. Radiol. 2020, 21, 869–879. [Google Scholar] [CrossRef]
- Zhou, Q.Q.; Hu, Z.C.; Tang, W.; Xia, Z.Y.; Wang, J.; Zhang, R.; Li, X.; Chen, C.Y.; Zhang, B.; Lu, L.; et al. precise anatomical localization and classification of rib fractures on ct using a convolutional neural network. Clin. Imaging 2022, 81, 24–32. [Google Scholar] [CrossRef] [PubMed]
- Deo, R.C. Machine Learning in Medicine. Circulation 2015, 132, 1920–1930. [Google Scholar] [CrossRef] [PubMed]
- Ji, G.W.; Zhu, F.P.; Xu, Q.; Wang, K.; Wu, M.Y.; Tang, W.W.; Wang, X.H. Machine-learning analysis of contrast-enhanced CT radiomics predicts recurrence of hepatocellular carcinoma after resection: A multi-institutional study. Ebiomedicine 2019, 50, 156–165. [Google Scholar] [CrossRef] [PubMed]
- Draelos, R.L.; Dov, D.; Mazurowski, M.A.; Lo, J.Y.; Henao, R.; Rubin, G.D.; Rubin, G.D.; Carin, L. Machine-learning-based multiple abnormality prediction with large-scale chest computed tomography volumes. Med. Image Anal. 2021, 67, 101857. [Google Scholar] [CrossRef]






| Radiomic Feature | Radiomic Class | Filter |
|---|---|---|
| GrayLevelVariance | glszm | original |
| GrayLevelVariance | glszm | logarithm |
| Maximum | first-order | gradient |
| RootMeanSquared | first-order | gradient |
| Variance | first-order | gradient |
| Skewness | first-order | squareroot |
| Median | first-order | squareroot |
| GrayLevelVariance | glszm | squareroot |
| Maximum | first-order | wavelet-HHL |
| Fracture Time < 30 Days | Testing Set (30%) | ||
|---|---|---|---|
| Precision | Recall | F1-Score | |
| SVM model | |||
| Positive | 0.82 | 0.94 | 0.88 |
| Negative | 0.91 | 0.75 | 0.82 |
| Macro average | 0.87 | 0.84 | 0.85 |
| Weighted average | 0.86 | 0.85 | 0.85 |
| Accuracy | 0.85 | ||
| AUC | 0.871 | ||
| Radiologist’s interpretation | |||
| Positive | 0.78 | 0.47 | 0.58 |
| Negative | 0.72 | 0.91 | 0.81 |
| Macro average | 0.75 | 0.69 | 0.70 |
| Weighted average | 0.75 | 0.74 | 0.72 |
| Accuracy | 0.74 | ||
| AUC | 0.69 | ||
| Human–model collaboration | |||
| Positive | 0.97 | 0.83 | 0.89 |
| Negative | 0.88 | 0.98 | 0.93 |
| Macro average | 0.93 | 0.91 | 0.91 |
| Weighted average | 0.92 | 0.91 | 0.91 |
| Accuracy | 0.91 | ||
| AUC | 0.912 | ||
| Fracture Time < 90 Days | Testing Set (30%) | ||
|---|---|---|---|
| Precision | Recall | F1-Score | |
| SVM model | |||
| Positive | 0.81 | 0.75 | 0.78 |
| Negative | 0.81 | 0.86 | 0.83 |
| Macro average | 0.81 | 0.80 | 0.81 |
| Weighted average | 0.81 | 0.81 | 0.81 |
| Accuracy | 0.81 | ||
| AUC | 0.804 | ||
| Radiologist’s interpretation | |||
| Positive | 0.64 | 0.50 | 0.78 |
| Negative | 0.74 | 0.83 | 0.56 |
| Macro average | 0.69 | 0.79 | 0.67 |
| Weighted average | 0.70 | 0.79 | 0.70 |
| Accuracy | 0.71 | ||
| AUC | 0.667 | ||
| Human–model collaboration | |||
| Positive | 0.95 | 0.75 | 0.82 |
| Negative | 0.72 | 0.94 | 0.84 |
| Macro average | 0.84 | 0.85 | 0.83 |
| Weighted average | 0.86 | 0.83 | 0.83 |
| Accuracy | 0.83 | ||
| AUC | 0.85 | ||
Disclaimer/Publisher’s Note: The statements, opinions and data contained in all publications are solely those of the individual author(s) and contributor(s) and not of MDPI and/or the editor(s). MDPI and/or the editor(s) disclaim responsibility for any injury to people or property resulting from any ideas, methods, instructions or products referred to in the content. |
© 2022 by the authors. Licensee MDPI, Basel, Switzerland. This article is an open access article distributed under the terms and conditions of the Creative Commons Attribution (CC BY) license (https://creativecommons.org/licenses/by/4.0/).
Share and Cite
Jin, L.; Sun, Y.; Ma, Z.; Li, M. Radiomics-Based Machine Learning for Predicting the Injury Time of Rib Fractures in Gemstone Spectral Imaging Scans. Bioengineering 2023, 10, 8. https://doi.org/10.3390/bioengineering10010008
Jin L, Sun Y, Ma Z, Li M. Radiomics-Based Machine Learning for Predicting the Injury Time of Rib Fractures in Gemstone Spectral Imaging Scans. Bioengineering. 2023; 10(1):8. https://doi.org/10.3390/bioengineering10010008
Chicago/Turabian StyleJin, Liang, Yingli Sun, Zongjing Ma, and Ming Li. 2023. "Radiomics-Based Machine Learning for Predicting the Injury Time of Rib Fractures in Gemstone Spectral Imaging Scans" Bioengineering 10, no. 1: 8. https://doi.org/10.3390/bioengineering10010008
APA StyleJin, L., Sun, Y., Ma, Z., & Li, M. (2023). Radiomics-Based Machine Learning for Predicting the Injury Time of Rib Fractures in Gemstone Spectral Imaging Scans. Bioengineering, 10(1), 8. https://doi.org/10.3390/bioengineering10010008

