Next Article in Journal / Special Issue
Preliminary Equipment Design for On-Board Hydrogen Production by Steam Reforming in Palladium Membrane Reactors
Previous Article in Journal
An Efficient Computational Scheme for Two-Phase Steam Condensation in the Presence of CO2 for Wellbore and Long-Distance Flow
Previous Article in Special Issue
Experimental Investigation of the Gas/Liquid Phase Separation Using a Membrane-Based Micro Contactor
 
 
Font Type:
Arial Georgia Verdana
Font Size:
Aa Aa Aa
Line Spacing:
Column Width:
Background:
Article

Hydrogen and Oxygen Evolution in a Membrane Photoreactor Using Suspended Nanosized Au/TiO2 and Au/CeO2

1
Institute on Membrane Technology (ITM), National Research Council of Italy (CNR), Via P. Bucci Cubo 17C, I-87036 Rende (CS), Italy
2
Research Centre of Portici, Italian National Agency for New Technologies, Energy and Sustainable Economic Development (ENEA), Piazzale Enrico Fermi 1, Portici, 80055 Napoli, Italy
3
Department of Environmental and Chemical Engineering, University of Calabria, Via P. Bucci, 44/A, I-87036 Rende (CS), Italy
*
Authors to whom correspondence should be addressed.
ChemEngineering 2019, 3(1), 5; https://doi.org/10.3390/chemengineering3010005
Submission received: 8 October 2018 / Revised: 29 November 2018 / Accepted: 4 January 2019 / Published: 10 January 2019
(This article belongs to the Special Issue Membrane and Membrane Reactors Operations in Chemical Engineering)

Abstract

Photocatalysis combined with membrane technology could offer an enormous potential for power generation in a renewable and sustainable way. Herein, we describe the one-step hydrogen and oxygen evolution through a photocatalytic membrane reactor. Experimental tests were carried out by means of a two-compartment cell in which a modified Nafion membrane separated the oxygen and hydrogen evolution semi-cells, while iron ions permeating through the membrane acted as a redox mediator. Nanosized Au/TiO2 and Au/CeO2 were employed as suspended photocatalysts for hydrogen and oxygen generation, respectively. The influence of initial Fe3+ ion concentration, ranging from 5 to 20 mM, was investigated, and the best results in terms of hydrogen and oxygen evolution were registered by working with 5 mM Fe3+. The positive effect of gold on the overall water splitting was confirmed by comparing the photocatalytic results obtained with the modified/unmodified titania and ceria. Au-loading played a key role for controlling the photocatalytic activity, and the optimal percentage for hydrogen and oxygen generation was 0.25 wt%. Under irradiation with visible light, hydrogen and oxygen were produced in stoichiometric amounts. The crucial role of the couple Fe3+/Fe2+ and of the membrane on the performance of the overall photocatalytic system was found.

1. Introduction

Photocatalytic water splitting to generate hydrogen from solar light is a process that can play an important role for the future development of clean and renewable energies alternative to fossil fuels [1,2,3,4,5,6,7,8]. The combination of photocatalysis, which allows converting solar energy into chemical energy, and membrane-based operations could offer the possibility to achieve one-step hydrogen generation from water splitting at ambient temperature without needing further energy inputs. Hydrogen attracted increasing interest as a valid candidate for fossil-fuel substitution, enough to give rise to create the so-called “hydrogen economy” in 1970 [9,10,11,12].
From a thermodynamic point of view, hydrogen oxidation can offer three times the energy per gram in comparison to fossil fuels as gasoline. Moreover, hydrogen oxidation leads to the formation of water, making it a zero-emission fuel. Hydrogen also finds applications in the chemical industry as a reagent in fine-chemical synthesis [12].
Since Fujishima and Honda discovered photocatalytic water splitting by means of TiO2 electrodes in 1972 [13], noticeable works were carried out in order to investigate photocatalytic-based hydrogen generation from water via both photocatalysis and photoelectrochemistry [14]. Particular attention was paid to semiconductor oxides, due to their simple preparation through calcination and their stability toward oxygen generation [15,16,17,18,19]. The water-splitting pathway involves a series of radical reactions initiated by light-driven photocatalyst activation, as deeply described in the literature [3].
Among the well-known semiconductors, nanosized TiO2 is attracting more and more interest, due to its unique properties of physico-chemical stability and inertness, low cost, biocompatibility, durability, long-term photo-stability, and potent oxidative power under ultraviolet (UV)-light irradiation [20,21,22]. Despite its numerous advantages, the use of TiO2 still presents a limitation, i.e., only UV light, representing ~4% of total solar energy, can be absorbed by titania nanoparticles. Therefore, extending TiO2 light absorption to the visible fraction represents a challenging target for photocatalysis applications. Various techniques, such as noble-metal and non-metal doping, dye sensitization, and coupling with carbon materials were adopted in order to modify the electronic band of titania [23].
In a previous work, we reported that gold nanoparticles supported on titania (Au/TiO2) represent a suitable photocatalyst for the generation of hydrogen with visible light using methanol and ethylenediaminetetraacetic acid (EDTA) as sacrificial electron donors [14]. A remarkable overall efficiency of approximately 5% measured at 560 nm was determined [14]. In this system, gold nanoparticles act as a durable and stable photosensitizer, absorbing visible light and injecting electrons in the conduction band of the TiO2. Using 0.25 wt% gold loading on titania and methanol as a sacrificial agent, ~98 μmol of hydrogen was obtained (catalyst content 2 g/L) after 4 h of irradiation with visible light [14].
Also, we showed that ceria of small average particle size can behave as a semiconductor with a remarkably high efficiency for the photocatalytic generation of oxygen from water using Ag+ or Ce3+ as a sacrificial electron acceptor [24]. The best performing CeO2 sample was that prepared using a biopolymer “alginate” as a templating agent to synthesize about 5 nm of average particle size with a Brunauer-Emmett-Teller (BET) surface area of 93 m2·g−1 [24]. Also, in this case, visible-light photocatalytic activity was implemented by depositing gold nanoparticles on CeO2 (Au/CeO2), which allowed achieving ~50 μmol of oxygen when the aqueous suspension containing 0.25 wt% gold deposited on CeO2 was irradiated for 4 h with visible light in the presence of AgNO3 as a sacrificial agent [24].
Considering the above precedents and the visible-light photocatalytic activity for independent hydrogen and oxygen generation using Au/TiO2 or Au/CeO2, respectively, in the presence of an appropriate sacrificial agent, it occurs that these two photocatalysts could also work in a system to perform the simultaneous generation of hydrogen and oxygen in the absence of sacrificial agents using a Z-scheme [25,26,27,28]. In this Z-scheme methodology, hydrogen and oxygen are generated photocatalytically in different cells that are irradiated and separated by a membrane [5,29,30,31,32,33,34]. An electrolyte is used to ensure the electroneutrality in each cell and to allow charge transfer from one compartment to the other.
Li et al. [5] reported concomitant hydrogen generation and phenol degradation in a photocatalytic twin reactor under simulated solar light. In the proposed system, Pt/STO:Rh was used as a photocatalyst for hydrogen evolution, while WO3 was chosen for phenol oxidation. A Nafion membrane separated the two compartments of the cell. Fe3+/Fe2+ pairs were used for electron transfer. The obtained data evidenced a hydrogen generation rate of 1.90 μmol·g−1·h−1. Moreover, by employing a phenol initial concentration of 200 μmol·L−1, hydrogen yield reached a value of 11.37 μmol·g−1 after 6 h of irradiation, corresponding to an increase of 20% compared to that of pure water splitting. Fujihara et al. [35] studied water splitting in a two-compartment cell using Pt/TiO2-anatase as a catalyst for hydrogen generation suspended in a Br2/Br aqueous solution and Pt/TiO2-rutile for simultaneous oxygen evolution in an Fe3+/Fe2+ redox couple solution. Yu et al. [33] also reported the experimentation of a twin reactor for the synchronized formation of hydrogen, through the photocatalytic activity of BiVO4, and oxygen using Pt/SrTiO3:Rh. A Nafion membrane was inserted in the two-side system to assure the separate generation of the two gases. Similarly to the above mentioned works, the Fe3+/Fe2+ redox couple was also selected in this case as a redox mediator.
Hydrogen and oxygen in a stoichiometric ratio (2:1) were obtained, with a maximum hydrogen formation rate of 0.65 μmol·g−1·h−1. Lo et al. [31] investigated the water-splitting process for the one-step H2 and O2 generation by means of a membrane twin reactor under visible-light irradiation. Pt/SrTiO3:Rh and WO3 were designated as hydrogen- and oxygen-evolution semiconductors, respectively. The formation of the two gases reflected their stoichiometric ratio, with an average hydrogen evolution rate equal to 1.59 μmol·g−1·h−1.
Nafion represents a valid choice as a membrane material, since it is characterized by outstanding chemical and physical resistance [36] and an affinity for iron species. Ramirez et al. [37] investigated the uptake characteristics of different cations (Fe3+, Cu2+, and Ni2+) by Nafion 117, which is commonly used as a separator for different chemical processes. The membrane exhibits its affinity in the order Fe3+ ≥ Ni2+ ≥ Cu2+, similar to that reported in a previous study [38]. In another study [39], it was reported that a Nafion/Fe membrane was resistant to the attack of the highly oxidative radical •OH (E°•OH/–OH = 1.90 eV vs. normal hydrogen electrode (NHE)) and did not allow leaching of the Fe exchanged on the sulfonic groups within the 3000-h testing period. Kiwi et al. [40] demonstrated that iron compounds supported on a Nafion membrane gave good results in a photo-Fenton water treatment process, where the Fe ions were fixed and remained active in H2O2 decomposition.
In the present work, we studied the overall photocatalytic water splitting using Au nanoparticles as a sensitizer of TiO2 and CeO2 semiconductors irradiated with visible light in combination, a Nafion film as a membrane separating two cells, and ferric sulfate as the electrolyte. Diffusion tests on the iron-modified Nafion membrane were performed to determine its ability to allow diffusion of iron species. The influence on system performance of initial Fe3+ concentration and of Au loading on the O2 and H2 evolution photocatalysts was determined. Finally, the photocatalytic activity of the pairs (Au/TiO2 and Au/CeO2) for the photocatalytic water splitting through a Z-scheme under visible light was demonstrated.

2. Materials and Methods

TiO2 (particle size: 20 nm; rutile/anatase: 85:15, 99.9%) was a commercial P25 sample supplied by Degussa. CeO2 was prepared starting from an aqueous solution of alginate that was flocculated with cerium nitrate followed by calcination as previously reported [24]. Gold nanoparticles were deposited on TiO2 and CeO2 via the deposition–precipitation method starting from AuHCl4 and maintaining pH = 10 as described in Reference [14]. TEM images were recorded with a Jeol 200 Cx microscope operating at 200 kV.

2.1. Photocataytic Tests

The photocatalytic membrane reactors (PMRs) experimented in the present work for simultaneous generation of hydrogen and oxygen from water splitting mimic the Z-scheme mechanism used by plants for natural photosynthesis. The Z-scheme (Figure 1a) basically includes two photocatalysts: (i) the oxygen evolution photocatalyst (Au/CeO2 in this study) leading to O2 formation via water oxidation, and (ii) the hydrogen evolution photocatalyst (Au/TiO2 in this study) which promotes H2 formation via water reduction. The aqueous suspensions containing the two photocatalysts need to be separated by a membrane able to transports electrons via a redox couple (Fe3+/Fe2+ in this study) acting as an electron redox mediator.
The experimental set-up (Figure 1b) consisted of a two-compartment Pyrex cell, each with a volume of 50 mL, separated by a Nafion modified membrane with an exposed membrane surface area of 3.14 cm2. Each compartment, containing 60 mg of photocatalyst suspended in 30 mL of Milli-Q water (corresponding to 2 g·L−1 photocatalyst concentration), was irradiated with a 125-W medium-pressure mercury lamp (DLU, HDLM E27) equipped with a Pyrex glass jacket which allows maintaining the system at a temperature of 20 °C. The suspensions were purged with argon flow for at least 30 min before irradiation in order to remove dissolved air. For polychromatic visible-light irradiation, an Fe2(SO4)3 solution (3% w/v), circulated into the Pyrex glass jacket of the lamp, was used as a cut-off filter (λ > 400 nm). Hydrogen and oxygen generation was determined by injecting 0.1 mL of each Pyrex cell headspace gas in a gas chromatograph (GC; Agilent 7890A) equipped with a thermal conductivity detector. The GC determination was carried out by operating in isothermal conditions (50 °C), with a capillary column (CP-PoraPLOT Q, molecular sieve, 530 μm inner diameter, 15 m length) and argon as a carrier gas.

2.2. Membrane Modification

The Nafion 117 membrane (Aldrich, thickness of 178 μm) was modified using the procedure described herein before its use. In the first step, the membrane was boiled in a 1 M HNO3 solution for 2 h to remove any contaminant; then, it was washed with Milli-Q water, immersed in a 1 M NaOH solution, and subsequently in a 1 M H2SO4 solution for 4 h, each for conditioning the membrane [41]. Finally, the Nafion membrane was immersed in a 0.5 M Fe2(SO4)3 solution for 24 h to change its functional groups (H+) with Fe3+ ions.

2.3. Iron Spectrophotometric Determination

Spectrophotometric analyses were performed using 1,10-phenanthroline (Fluka, Aquanal Plus kit) and potassium thiocyanate (Aldrich), for total iron (λ = 510 nm) and ferric ion (λ = 477 nm) determinations, respectively. Ferrous iron ion concentration present in solution was calculated by the difference between total and ferric iron concentration.

3. Results and Discussion

3.1. Diffusion Test

The iron-containing modified Nafion membrane was tested to determine its ability to allow diffusion of iron species. Similar concentrations of Fe2+ and Fe3+ as that utilized in the photocatalytic experiments were used in one compartment and, then, the presence of corresponding iron species over time was determined in the other compartment. The corresponding profiles of iron species diffusing through the membrane are provided in Figure 2.
It was observed that, while Fe3+ diffusion could be fitted by a straight line, i.e., the concentration of Fe3+ in the chamber without it grew linearly over time, similar experiments with Fe2+ salt clearly revealed two regimes. These results might be explained considering that, in the first regime, ion exchange of Fe3+ and Fe2+ occurred in the Nafion membrane concomitantly to the diffusion. In the second regime, the Nafion membrane behaved essentially as a Fe2+ exchanger.
The iron content in the membrane before and after its use was estimated by SEM energy dispersive X-ray spectroscopy (EDX) analysis. The results showed an iron weight loading of ~1.3% and this value did not change after using the membrane (Figure 3).
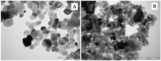
Figure 4 reports TEM pictures of the Au/TiO2 and Au/CeO2 photocatalysts. The average particle size of photocatalyst nanoparticles, determined by considering a statistically relevant number of particles in the TEM images of the samples, resulted in 2.7 and 5.0 nm for Au/TiO2 and Au/CeO2, respectively.

3.2. Photocatalytic Tests

For the irradiation of the suspensions, a 125-W medium-pressure mercury lamp was used. This lamp exhibited emission peaks at a discrete wavelength, mostly in the visible region (total irradiation 2133 mW/m2 with 61% in the visible range). The inset of Figure 5 shows the emission peaks in the spectrum of the lamp used.
Preliminary photocatalytic tests were carried out evidencing the crucial role of the couple Fe3+/Fe2+ on both hydrogen and oxygen generation. Indeed, by starting the working of the cell with Fe2+ ions in the cell containing Au/TiO2 and Fe3+ ions in the cell containing Au/CeO2, oxygen generation in both cells was observed during the first 30 min. We suggest that the reason why oxygen was generated in Au/TiO2 cell instead of the expected hydrogen was because Fe3+ was formed by Fe2+ oxidation, in the presence of oxygen by air, during the preparation of the work-up cell. Analysis of the Fe3+ concentration in the Au/TiO2 cell confirmed that about 22% of Fe2+ ions were oxidized to Fe3+ during this stage. The formed Fe3+ quenched the generation of hydrogen and promoted the formation of oxygen, owing to the preferential reduction of Fe3+ by photogenerated electrons with respect to the photoreduction of water. As a consequence, during the first 30 min, oxygen generation (instead of hydrogen) was observed into the Au/TiO2 cell before changing to continuous hydrogen generation.
On the basis of these preliminary results, to avoid the presence of Fe3+ ions in the Au/TiO2 cell, the iron ions were initially added to the system only in the form of Fe3+ at different concentrations, as reported in Table 1, in the cell containing Au/CeO2, while, in the Au/TiO2 cell, the initial iron concentration was zero. Figure 5 shows the temporal evolution of hydrogen in the Au (0.25 wt%)/TiO2 cell and oxygen in the Au (0.25 wt%)/CeO2 cell when 5 mM Fe3+ was added in the Au/CeO2 cell. Operating under these conditions, the reaction started on Au/CeO2 with oxygen evolution via water oxidation coupled with the reduction of Fe3+ to Fe2+. The so-produced Fe2+ ions permeated across the Nafion modified membrane starting hydrogen evolution in the Au/TiO2 compartment. As a consequence, during this early stage of the reaction (approximately 5 min), the ratio H2:O2 was about 1:1 (see Figure 5) and evidenced that H2 generation was promoted by Fe2+ which permeated through the membrane. After this initial stage, two regimes can be observed: a first one, until 60 min, and a second one, from 60 to 300 min. This trend can be explained considering that, in Figure 2, a similar trend with the same two regimes can be observed for Fe2+ permeation through the membrane. It could be deduced that Fe2+ ion diffusion during the first regime was faster than that during the second regime (0.043 vs. 0.022 μmolFe2+ min−1) and this behavior affected the photocatalytic reaction. Indeed, the Fe2+ ions produced in the Au/CeO2 cell permeated across the membrane and promoted a generation of hydrogen in the Au/TiO2 cell. After 300 min, a very low hydrogen production was detected, probably because of the negligible permeation of Fe2+ ions across the membrane (see Figure 2) which blocked the Z-scheme mechanism. However, it should be observed that both photocatalysts efficiently worked during these two regimes (slopes of 1.25 μmolH2·min−1 during the first regime and 0.41 μmolH2·min−1 during the second regime), promoting the simultaneous generation of hydrogen and oxygen in a stoichiometric amount in the Au/TiO2 and Au/CeO2 cells, respectively, and that blocking was only caused by Fe2+ ion permeation through the membrane.
The initial concentration of Fe3+ ions in the Au/CeO2 cell varied in the range from 2 to 50 mM, and it was found that 5 mM gave the best photocatalytic performance with the highest initial reaction rate (Table 1).
Au/CeO2 was selective for oxygen generation as it was found to be unable to generate hydrogen. The reason for this behavior might be related to the energy of the electrons in the conduction band of Au/CeO2, which was not sufficient for water reduction (see Figure 1). In contrast, these electrons were able to reduce Fe3+ to Fe2+.
The influence of gold on the photocatalytic performance of the Z-scheme overall water splitting by TiO2 and CeO2 was determined by comparing the photocatalytic activity of the gold-containing semiconductors in comparison with the same semiconductors without gold (Figure 5).
As expected, despite the irradiation source used not permitting exclusively visible-light emission, a positive effect of the presence of gold was observed.
The gold loading plays an important role in the photocatalytic efficiency of the system. To demonstrate this point, we performed some photocatalytic tests with equal gold loading on titania and ceria varying from 0.25 to 1.0 wt%. By measuring the initial rate of hydrogen generation, it was concluded that the optimum gold loading under these conditions was the lowest (0.25 wt%) (Table 2).
Au content in the aqueous reacting environment after the reaction was below the detection limit (0.1 ppm).
In a precedent work it was also observed that Au loading is a key parameter controlling the photocatalytic activity of Au/TiO2 and that an optimal Au percentage exists. Since the presence of Au nanoparticles is detrimental for the efficiency of TiO2 photocatalysis under UV irradiation, but enhances the photocatalytic efficiency for visible-light irradiation, the observed beneficial effect of Au might be explained considering that, by operating under our conditions, visible light gave the largest contribution to the total photocatalytic water splitting. In view of the above data, we propose the water-splitting mechanism shown in Figure 6.
Upon light absorption (mostly visible), electrons (in the conduction band) and holes (in the valence band) were generated in Au/CeO2. It was found that electrons in Au/CeO2 were inefficient to generate hydrogen and, therefore, they were captured by Fe3+, forming Fe2+ ions that diffused through the Nafion membrane to the Au/TiO2 cell. The holes located on Au of the Au/CeO2 photocatalyst had sufficient oxidation power to generate oxygen via water oxidation as previously proven [42]. In the Au/TiO2 cell, similar charge separation as in the Au/CeO2 cell would occur upon photon absorption; however, in this case, the reduction potential of the TiO2 conduction band had enough energy to form hydrogen via water reduction. The holes on Au were, in this case, quenched by oxidation of Fe2+ diffusing through the Nafion membrane from the Au/CeO2 cell.
To demonstrate the photocatalytic activity of the pair Au/TiO2 and Au/CeO2 for the overall water splitting through a Z-scheme under visible light, analogous photocatalytic experiments were performed by filtering light to almost completely remove the irradiation wavelength below 400 nm (Figure 7). Under these conditions, the irradiance decreased from 2133 mW·m−2 to 570 mW·m−2. In Figure 7, the two regimes previously observed in Figure 5 were not present. This can be ascribed to the lower irradiance (3.6 times lower for the visible light compared to UV irradiation), which decreased the H2/O2 generation rate (slopes of 0.08 μmolH2·min−1 and 0.04 μmolO2·min−1), thus requiring a lower Fe2+ ion diffusion rate.
Also under these conditions, hydrogen and oxygen generation was observed in stoichiometric amounts in the Au/TiO2 and Au/CeO2 cells, respectively (Table 3).

4. Conclusions

In the present article, we combined the high activity of Au/TiO2 to photocatalytically generate hydrogen with the high activity of Au/CeO2 to promote oxygen evolution from water. Thus, overall water splitting was obtained by operating through a Z-scheme using a Nafion membrane and Fe3+/Fe2+ as an electrolyte.
The obtained results showed the following:
The employed photocatalysts promoted simultaneous hydrogen and oxygen generation;
The optimal content of ferric ions in the Au/CeO2 compartment was 5 mM;
Gold operated as a photosensitizer allowing photocatalytic hydrogen and oxygen formation under visible light;
A gold loading of 0.25 wt% led to the best results in terms of hydrogen and oxygen evolution (166.1 and 75.6 μmol, respectively, after 7 h of UV-visible-light irradiation);
Hydrogen and oxygen were produced in stoichiometric amounts, i.e., 30.36 and 14.89 μmol, respectively, after 7 h of irradiation with visible light;
The decrease in permeation rate of iron ions through the Nafion membrane affected the photocatalytic performance, slowing the generation rates of both hydrogen and oxygen.

Author Contributions

T.M. and R.M. conceived and designed the experiments; T.M. performed the experiments; T.M., R.M., P.A. and A.M. analyzed the data; R.M. and P.A. contributed reagents/materials/analysis tools; T.M., R.M., P.A., A.M., A.F. wrote the paper.

Funding

This research received no external funding.

Conflicts of Interest

The authors declare no conflicts of interest.

References

  1. Bamwenda, G.R.; Tsubota, S.; Nakamura, T.; Haruta, M. Photoassisted Hydrogen-Production from a water-ethanol solution—A Comparison of activities of Au-TiO2 and Pt-TiO2. J. Photochem. Photobiol. A-Chem. 1995, 89, 177–189. [Google Scholar] [CrossRef]
  2. Khan, S.U.M.; Al-Shahry, M.; Ingler, W.B. Efficient photochemical water splitting by a chemically modified n-TiO2. Science 2002, 297, 2243–2245. [Google Scholar] [CrossRef] [PubMed]
  3. Loddo, V.; Palmisano, L.; Marino, T.; Molinari, R. Membranes for photocatalysis in water and wastewater treatment. In Advanced Membrane Science and Technology for Sustainable Energy and Environmental Applications; Basile, A., Nunes, S.P., Eds.; Woodhead Publishing: Sawston, UK, 2011; pp. 746–768. [Google Scholar]
  4. Maeda, K.; Domen, K. New non-oxide photocatalysts designed for overall water splitting under visible light. J. Phys. Chem. C 2007, 111, 7851–7861. [Google Scholar] [CrossRef]
  5. Li, D.; Yu, J.C.; Nguyen, V.; Wu, C.S.; Wang, X. A dual-function photocatalytic system for simultaneous separating hydrogen from water splitting and photocatalytic degradation of phenol in a twin-reactor. Appl. Catal. B Environ. 2018, 239, 268–279. [Google Scholar] [CrossRef]
  6. Argurio, P.; Fontananova, E.; Molinari, R.; Drioli, E. Photocatalytic Membranes in Photocatalytic Membrane Reactors. Processes 2018, 6, 162. [Google Scholar] [CrossRef]
  7. Iglesias, O.; Rivero, M.J.; Urtiaga, A.M.; Ortiz, I. Membrane-based photocatalytic systems for process intensification. Chem. Eng. J. 2016, 305, 136–148. [Google Scholar] [CrossRef]
  8. Rahimpour, M.R.; Mahmoodi, L. Performance of Reactors With PMs; Elsevier Inc.: Amsterdam, The Netherlands, 2018; ISBN 9780128135495. [Google Scholar]
  9. Molino, A.; Migliori, M.; Blasi, A.; Davoli, M.; Marino, T.; Chianese, S.; Catizzone, E.; Giordano, G. Municipal waste leachate conversion via catalytic supercritical water gasification process. Fuel 2017, 206, 155–161. [Google Scholar] [CrossRef]
  10. Marbán, G.; Valdés-Solís, T. Towards the hydrogen economy? Int. J. Hydrog. Energy 2007, 32, 1625–1637. [Google Scholar] [CrossRef]
  11. Armaroli, N.; Balzani, V. The hydrogen issue. ChemSusChem 2011, 4, 21–36. [Google Scholar] [CrossRef]
  12. Ball, M.; Wietschel, M. The future of hydrogen—Opportunities and challenges. Int. J. Hydrog. Energy 2009, 34, 615–627. [Google Scholar] [CrossRef]
  13. Fujishima, A.; Honda, K. Electrochemical photolysis of water at a semiconductor electrode. Nature 1972, 238, 37–38. [Google Scholar] [CrossRef] [PubMed]
  14. Silva, C.G.; Juárez, R.; Marino, T.; Molinari, R.; García, H. Influence of excitation wavelength (UV or visible light) on the photocatalytic activity of titania containing gold nanoparticles for the generation of hydrogen or oxygen from water. J. Am. Chem. Soc. 2011, 133, 595–602. [Google Scholar] [CrossRef] [PubMed]
  15. Galiano, F.; Song, X.; Marino, T.; Boerrigter, M.; Saoncella, O.; Simone, S.; Faccini, M.; Chaumette, C.; Drioli, E.; Figoli, A. Novel Photocatalytic PVDF/Nano-TiO2 Hollow Fibers for Environmental Remediation. Polymers 2018, 10, 1134. [Google Scholar] [CrossRef]
  16. Molinari, R.; Caruso, A.; Palmisano, L. Photocatalytic Processes in Membrane Reactors. In Comprehensive Membrane Science and Engineering; Drioli, E., Giorno, L., Eds.; Elsevier Science B.V.: Oxford, UK, 2010; Volume 3, pp. 165–193. ISBN 9780080932507. [Google Scholar]
  17. Hoffmann, M.R.; Martin, S.T.; Choi, W.; Bahnemann, D.W. Environmental Applications of Semiconductor Photocatalysis. Chem. Rev. 1995, 95, 69–96. [Google Scholar] [CrossRef]
  18. Schneider, J.; Matsuoka, M.; Takeuchi, M.; Zhang, J.; Horiuchi, Y.; Anpo, M.; Bahnemann, D.W. Understanding TiO2 Photocatalysis: Mechanisms and Materials. Chem. Rev. 2014, 114, 9919–9986. [Google Scholar] [CrossRef] [PubMed]
  19. Kudo, A.; Miseki, Y. Heterogeneous photocatalyst materials for water splitting. Chem. Soc. Rev. 2009, 38, 253–278. [Google Scholar] [CrossRef] [PubMed]
  20. Marino, T.; Boerigter, M.; Faccini, M.; Chaumette, C.; Arockiasamy, L.; Bundschuh, J.; Figoli, A. Photocatalytic activity and synthesis procedures of TiO2 nanoparticles for potential applications in membranes. In Application of Nanotechnology in Membranes for Water Treatment; Hoinkis, J., Figoli, A., Altinkaya, S.A., Bundschuh, J., Eds.; CRC, Taylor and Francis Group: Boca Raton, FL, USA, 2017; ISBN 9781138896581. [Google Scholar]
  21. Figoli, A.; Marino, T.; Simone, S.; Boerighter, M.; Faccin, M.; Chaumette, C.; Drioli, E. Application of nano-sized TiO2 in membrane technology. In Application of Nanotechnology in Membranes for Water Treatment; Hoinkis, J., Figoli, A., Altinkaya, S.A., Bundschuh, J., Eds.; CRC, Taylor and Francis Group: Boca Raton, FL, USA, 2017; ISBN 9781138896581. [Google Scholar]
  22. Fujishima, A.; Rao, T.N.; Tryk, D.A. Titanium dioxide photocatalysis. J. Photochem. Photobiol. C Photochem. Rev. 2000, 1, 1–21. [Google Scholar] [CrossRef]
  23. Kumar, S.G.; Devi, L.G. Review on modified TiO2 photocatalysis under UV/visible light: Selected results and related mechanisms on interfacial charge carrier transfer dynamics. J. Phys. Chem. A 2011, 115, 13211–13241. [Google Scholar] [CrossRef]
  24. Primo, A.; Marino, T.; Corma, A.; Molinari, R.; Garcia, H. Efficient visible-light photocatalytic water splitting by minute amounts of gold supported on nanoparticulate CeO2 obtained by a biopolymer templating method. J. Am. Chem. Soc. 2011, 133, 6930–6933. [Google Scholar] [CrossRef]
  25. Marino, T.; Primo, A.; Corma, A.; Molinari, R.; Garcia, H. Photocatalytic overall water splitting by combining gold nanoparticles supported on TiO2 and CeO2. In Proceedings of the 2nd European Symposium on Photocatalysis, Bordeaux, France, 19 October 2011; p. 76. [Google Scholar]
  26. Higashi, M.; Abe, R.; Ishikawa, A.; Takata, T.; Ohtani, B.; Domen, K. Z-scheme Overall Water Splitting on Modified-TaON Photocatalysts under Visible Light (λ < 500 nm). Chem. Lett. 2008, 37, 138–139. [Google Scholar] [CrossRef]
  27. Maeda, K.; Higashi, M.; Lu, D.; Abe, R.; Domen, K. Efficient nonsacrificial water splitting through two-step photoexcitation by visible light using a modified oxynitride as a hydrogen evolution photocatalyst. J. Am. Chem. Soc. 2010, 132, 5858–5868. [Google Scholar] [CrossRef] [PubMed]
  28. Chiarello, G.L.; Tealdi, C.; Mustarelli, P.; Selli, E. Fabrication of Pt/Ti/TiO2 Photoelectrodes by RF-Magnetron Sputtering for Separate Hydrogen and Oxygen Production. Materials 2016, 9, 279. [Google Scholar] [CrossRef] [PubMed]
  29. Selli, E.; Chiarello, G.L.; Quartarone, E.; Mustarelli, P.; Rossetti, I.; Forni, L. Photocatalytic water splitting device for separate hydrogen and oxygen evolution. Chem. Commun. 2007, 47, 5022–5024. [Google Scholar] [CrossRef] [PubMed]
  30. Xu, Q.; Zhang, L.; Yu, J.; Wageh, S.; Al-ghamdi, A.A.; Jaroniec, M. Direct Z-scheme photocatalysts: Principles, synthesis, and applications. Mater. Today 2018, 21, 1042–1063. [Google Scholar] [CrossRef]
  31. Lo, C.; Huang, C.; Liao, C.; Wu, J.C.S. Novel twin reactor for separate evolution of hydrogen and oxygen in photocatalytic water splitting. Int. J. Hydrog. Energy 2010, 35, 1523–1529. [Google Scholar] [CrossRef]
  32. Seger, B.; Kamat, P.V. Fuel cell geared in reverse: Photocatalytic hydrogen production using a TiO2/Nafion/Pt membrane assembly with no applied bias. J. Phys. Chem. C 2009, 113, 18946–18952. [Google Scholar] [CrossRef]
  33. Yu, S.-C.; Huang, C.-W.; Liao, C.-H.; Wu, J.C.S.; Chang, S.-T.; Chen, K.-H. A novel membrane reactor for separating hydrogen and oxygen in photocatalytic water splitting. J. Membr. Sci. 2011, 382, 291–299. [Google Scholar] [CrossRef]
  34. Kitano, M.; Tsujimaru, K.; Anpo, M. Decomposition of water in the separate evolution of hydrogen and oxygen using visible light-responsive TiO2 thin film photocatalysts: Effect of the work function of the substrates on the yield of the reaction. Appl. Catal. A Gen. 2006, 314, 179–183. [Google Scholar] [CrossRef]
  35. Fujihara, K.; Ohno, T.; Matsumura, M. Splitting of water by electrochemical combination of two photocatalytic reactions on TiO2 particles. J. Chem. Soc. Faraday Trans. 1998, 94, 3705–3709. [Google Scholar] [CrossRef]
  36. Kraytsberg, A.; Yair, E.-E. Review of Advanced Materials for Proton Exchange Membrane Fuel Cells. Energy Fuels 2014, 28, 7303–7330. [Google Scholar] [CrossRef]
  37. Ramírez, J.; Godínez, L.A.; Méndez, M.; Meas, Y.; Rodriguez, F.J. Heterogeneous photo-electro-Fenton process using different iron supporting materials. J. Appl. Electrochem. 2010, 40, 1729–1736. [Google Scholar] [CrossRef]
  38. Feng, J.; Hu, X.; Yue, P.L.; Zhu, H.Y.; Lu, G.Q. Discoloration and mineralization of Reactive Red HE-3B by heterogeneous photo-Fenton reaction. Water Res. 2003, 37, 3776–3784. [Google Scholar] [CrossRef]
  39. Sabhi, S.; Kiwi, J. Degradation of 2,4-dichlorophenol by immobilized iron catalysts. Water Res. 2001, 35, 1994–2002. [Google Scholar] [CrossRef]
  40. Kiwi, J. Innovative immobilized Fenton systems useful in the abatement of industrial pollutants. In Proceedings of the Third Asia-Pacific Conference on Sustainable Energy and Environmental Technologies, Hong Kong, China, 3–6 December 2000; p. 562. [Google Scholar]
  41. Goswami, A.K.; Acharya, A.; Pandey, A.K. Study of self-diffusion of monovalent and divalent cations in Nafion-117 ion-exchange membrane. J. Phys. Chem. B 2001. [Google Scholar] [CrossRef]
  42. Silva, C.G.; Bouizi, Y.; Fornés, V.; Garcia, H. Layered Double Hydroxides as Highly Efficient Photocatalysts for Visible Light Oxygen Generation from Water. J. Am. Chem. Soc. 2009, 131, 13833–13839. [Google Scholar] [CrossRef] [PubMed]
Figure 1. (a) Diagram of the Z-scheme overall water splitting using Au/CeO2 as a photocatalyst for oxygen generation, Au/TiO2 for hydrogen generation, and Fe3+/Fe2+ as a redox couple. (b) Conceptual scheme of the set-up used for photocatalytic experiments.
Figure 1. (a) Diagram of the Z-scheme overall water splitting using Au/CeO2 as a photocatalyst for oxygen generation, Au/TiO2 for hydrogen generation, and Fe3+/Fe2+ as a redox couple. (b) Conceptual scheme of the set-up used for photocatalytic experiments.
Chemengineering 03 00005 g001
Figure 2. Fe2+ (■) and Fe3+ (□) transport over time through the Nafion membrane in the compartment cell with no initial salt.
Figure 2. Fe2+ (■) and Fe3+ (□) transport over time through the Nafion membrane in the compartment cell with no initial salt.
Chemengineering 03 00005 g002
Figure 3. SEM picture of Nafion membrane used for the photocatalytic test (A) and energy-dispersive X-ray spectroscopy (EDX) analysis of ferric ion-modified membrane (B).
Figure 3. SEM picture of Nafion membrane used for the photocatalytic test (A) and energy-dispersive X-ray spectroscopy (EDX) analysis of ferric ion-modified membrane (B).
Chemengineering 03 00005 g003
Figure 4. TEM images of Au/TiO2 (A) and Au/CeO2 (B).
Figure 4. TEM images of Au/TiO2 (A) and Au/CeO2 (B).
Chemengineering 03 00005 g004
Figure 5. Hydrogen production (■) using Au (0.25 wt%)/TiO2 and oxygen production (□) using Au (0.25 wt%)/CeO2 compared with hydrogen production (●) using TiO2 and oxygen production () using CeO2 only (initial Fe3+ concentration was 5 mM in the Au/CeO2 cell and initial Fe2+ concentration was zero in the Au/TiO2 cell).
Figure 5. Hydrogen production (■) using Au (0.25 wt%)/TiO2 and oxygen production (□) using Au (0.25 wt%)/CeO2 compared with hydrogen production (●) using TiO2 and oxygen production () using CeO2 only (initial Fe3+ concentration was 5 mM in the Au/CeO2 cell and initial Fe2+ concentration was zero in the Au/TiO2 cell).
Chemengineering 03 00005 g005
Figure 6. Elementary steps occurring in the photocatalytic reaction upon irradiation of a gold-containing photocatalyst sample under ultraviolet (UV) irradiation: (1) photon absorption; (2) electron migration from Au to semiconductor conduction band; (3) electron quenching by P; (4) Q oxidation by H+ mediated by Au.
Figure 6. Elementary steps occurring in the photocatalytic reaction upon irradiation of a gold-containing photocatalyst sample under ultraviolet (UV) irradiation: (1) photon absorption; (2) electron migration from Au to semiconductor conduction band; (3) electron quenching by P; (4) Q oxidation by H+ mediated by Au.
Chemengineering 03 00005 g006
Figure 7. Hydrogen production (■) using Au (0.25 wt%)/TiO2 and oxygen production (□) using Au (0.25 wt%)/CeO2, under visible-light irradiation (initial Fe3+ concentration was 5 mM in the Au/CeO2 cell and initial Fe2+ concentration was zero in the Au/TiO2 cell).
Figure 7. Hydrogen production (■) using Au (0.25 wt%)/TiO2 and oxygen production (□) using Au (0.25 wt%)/CeO2, under visible-light irradiation (initial Fe3+ concentration was 5 mM in the Au/CeO2 cell and initial Fe2+ concentration was zero in the Au/TiO2 cell).
Chemengineering 03 00005 g007
Table 1. Photocatalytic activity (initial reaction rate, r0, evolved hydrogen and oxygen at 7 h) of the series of ferric aqueous solutions (initial Fe3+ concentration, C0) under study, using Au (0.25 wt%)/TiO2 and Au (0.25 wt%)/CeO2 for hydrogen and oxygen generation, respectively.
Table 1. Photocatalytic activity (initial reaction rate, r0, evolved hydrogen and oxygen at 7 h) of the series of ferric aqueous solutions (initial Fe3+ concentration, C0) under study, using Au (0.25 wt%)/TiO2 and Au (0.25 wt%)/CeO2 for hydrogen and oxygen generation, respectively.
C0 Fe3+ (mM)Evolved H2,7h (μmol)Evolved O2,7h (μmol)H2 r0 × 102 (μmol·min−1)O2 r0 × 102 (μmol·min−1)
256.228.134.220.7
5166.175.6114.053.4
1086.243.096.332.5
2043.224.234.821.1
5025.516.333.423.5
Table 2. Photocatalytic activity (initial reaction rate, r0, evolved hydrogen and oxygen at 7 h) of the series of gold-containing samples under study, using a 5 mM ferric solution and TiO2 and CeO2 as photocatalysts for hydrogen and oxygen generation, respectively.
Table 2. Photocatalytic activity (initial reaction rate, r0, evolved hydrogen and oxygen at 7 h) of the series of gold-containing samples under study, using a 5 mM ferric solution and TiO2 and CeO2 as photocatalysts for hydrogen and oxygen generation, respectively.
Au Loading (wt%)Evolved H2,7h (μmol)Evolved O2,7h (μmol)H2 r0 × 102 (μmol·min−1)O2 r0 × 102 (μmol·min−1)
0.25166.175.6114.053.4
0.6152.061.3112.170.8
1.071.025.167.032.2
Table 3. Photocatalytic activity (initial reaction rate, r0, evolved hydrogen and oxygen at 7 h) of the Au (0.25 wt%)/TiO2 and Au (0.25 wt%)/CeO2 samples using a 5 mM ferric solution for hydrogen and oxygen generation, respectively, under visible-light irradiation.
Table 3. Photocatalytic activity (initial reaction rate, r0, evolved hydrogen and oxygen at 7 h) of the Au (0.25 wt%)/TiO2 and Au (0.25 wt%)/CeO2 samples using a 5 mM ferric solution for hydrogen and oxygen generation, respectively, under visible-light irradiation.
Au Loading (wt%)Evolved H2,7h (μmol)Evolved O2,7h (μmol)H2 r0 × 102 (μmol·min−1)O2 r0 × 102 (μmol·min−1)
0.2530.3614.8911.04.2

Share and Cite

MDPI and ACS Style

Marino, T.; Figoli, A.; Molino, A.; Argurio, P.; Molinari, R. Hydrogen and Oxygen Evolution in a Membrane Photoreactor Using Suspended Nanosized Au/TiO2 and Au/CeO2. ChemEngineering 2019, 3, 5. https://doi.org/10.3390/chemengineering3010005

AMA Style

Marino T, Figoli A, Molino A, Argurio P, Molinari R. Hydrogen and Oxygen Evolution in a Membrane Photoreactor Using Suspended Nanosized Au/TiO2 and Au/CeO2. ChemEngineering. 2019; 3(1):5. https://doi.org/10.3390/chemengineering3010005

Chicago/Turabian Style

Marino, Tiziana, Alberto Figoli, Antonio Molino, Pietro Argurio, and Raffaele Molinari. 2019. "Hydrogen and Oxygen Evolution in a Membrane Photoreactor Using Suspended Nanosized Au/TiO2 and Au/CeO2" ChemEngineering 3, no. 1: 5. https://doi.org/10.3390/chemengineering3010005

APA Style

Marino, T., Figoli, A., Molino, A., Argurio, P., & Molinari, R. (2019). Hydrogen and Oxygen Evolution in a Membrane Photoreactor Using Suspended Nanosized Au/TiO2 and Au/CeO2. ChemEngineering, 3(1), 5. https://doi.org/10.3390/chemengineering3010005

Article Metrics

Back to TopTop