Ethnobotanical and Phytochemical Profiling of Medicinal Plants from Burkina Faso Used to Increase Physical Performance
Abstract
1. Introduction
2. Materials and Methods
2.1. Study Area
2.2. Data Collection
2.3. Phytochemical Analysis
Extractions
2.4. Phytochemical Screening
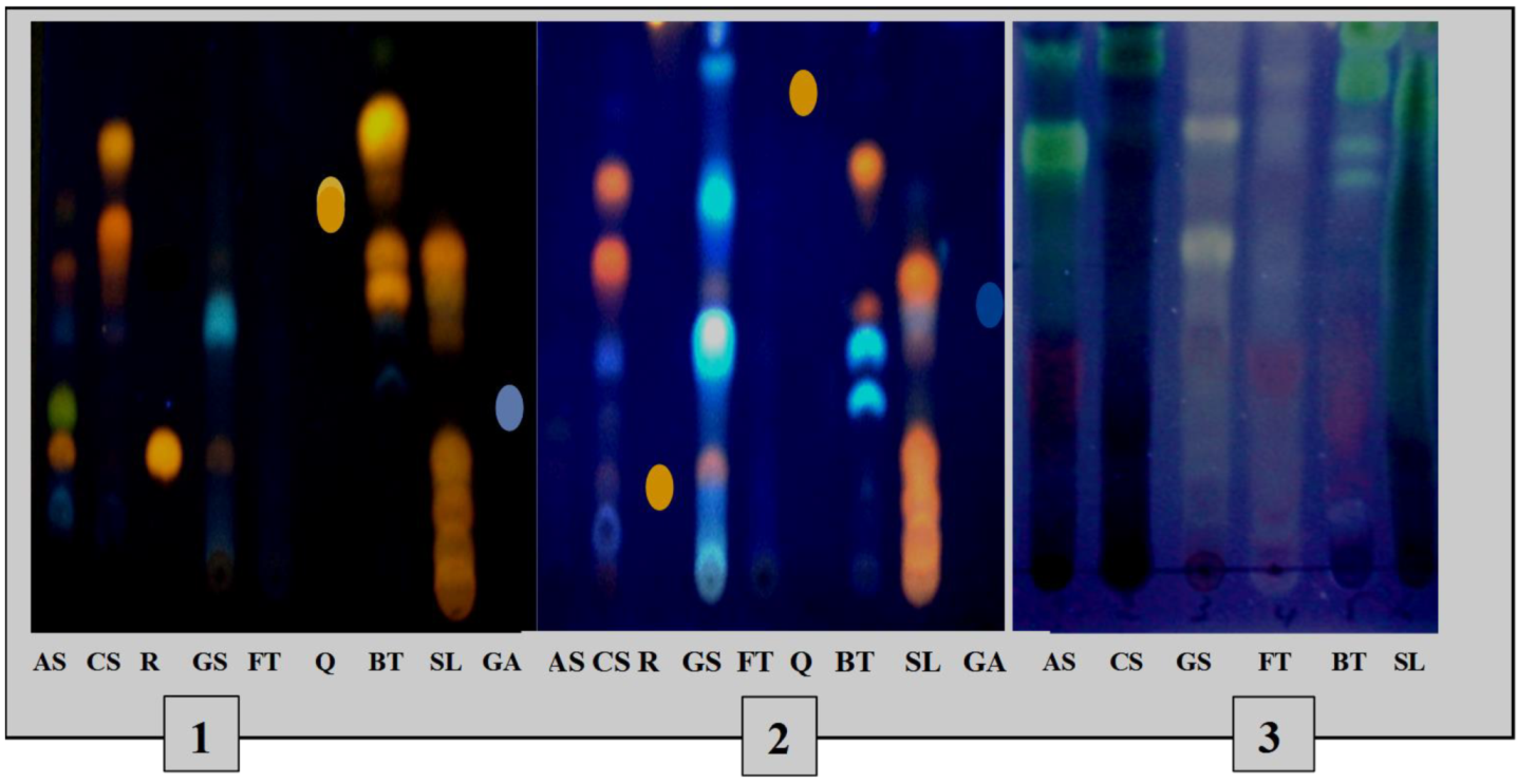
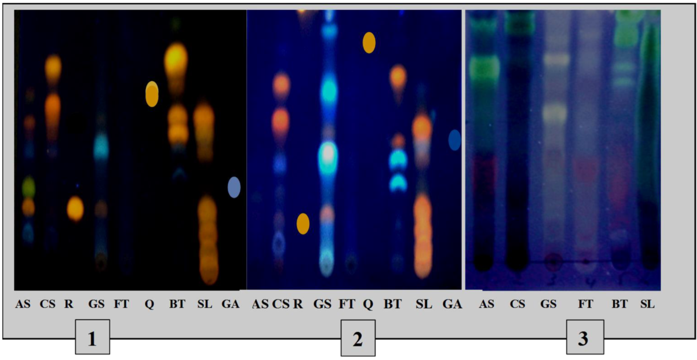
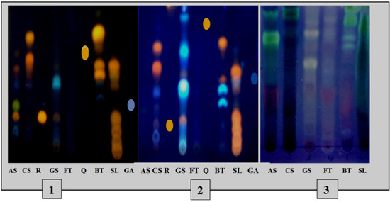
2.5. TLC Screening
2.6. Data Analysis
3. Results
3.1. Ethnobotanical Survey Data
3.1.1. Socio-Demographic Profile of Survey Respondents and Physical and Sporting Activities Practiced in the Region
3.1.2. Pathologies and Therapeutic Effects and Preparations Identified
3.1.3. Identified Species in the Survey
3.2. Results of Phytochemical Analysis
4. Discussion
5. Conclusions
Supplementary Materials
Author Contributions
Funding
Institutional Review Board Statement
Informed Consent Statement
Data Availability Statement
Acknowledgments
Conflicts of Interest
Ethics Committee Approval
References
- Moral-Garcia, J.E.; Jimenez, A.; Cabaco, A.; Jiménez-Eguizabal, A. The Role of Physical Activity and School Physical Education in Enhancing School Satisfaction and Life Satisfaction. Int. J. Environ. Res. Public Health. 2021, 18, 1689. [Google Scholar] [CrossRef] [PubMed]
- Argyrou, C.; Spinos, S.; Karfis, V.; Venetsanou, F. Physical activities: Which one triggers the most positive gymnastics, Greek traditional dance and tennis as leisure-time physical activities: Which one triggers the most positive psychological responses? Sci. Gymnast. J. 2021, 13, 97–106. [Google Scholar]
- Bull, F.C.; Al-Ansari, S.S.; Biddle, S.; Borodulin, K.; Buman, M.P.; Cardon, G.; Carty, C.; Chaput, J.P.; Chastin, S.; Chou, R.; et al. World Health Organization 2020 guidelines on physical activity and sedentary behavior. Br. J. Sports Med. 2020, 54, 1451–1462. [Google Scholar] [CrossRef] [PubMed]
- Laure, P. La prévention du dopage et des conduites dopantes: Le rocher de Sisyphe. Les Cah. Du Cent. Georg. Canguilhem 2011, 5, 159. [Google Scholar] [CrossRef]
- Duclos, M. Le dopage et ses conséquences en termes de santé individuelle et de santé publique. Les Trib. De La Santé. 2012, 35, 57–65. [Google Scholar] [CrossRef]
- Word Anti-Doping Agency (WADA). The World Anti-Doping Code. 2021. Available online: https://www.wada-ama.org/en/what-we-do/world-anti-doping-code (accessed on 4 December 2021).
- Calfee, R.; Fadale, P. Popular ergogenic drugs and supplements in young athletes. Pediatrics 2006, 117, 577–589. [Google Scholar] [CrossRef]
- Hoyte, C. La toxicité des substances améliorant la performance. Bull. Inf. Toxicol. 2017, 33, 1–28. [Google Scholar]
- Khalfouni, M.A. La lutte contre le dopage en milieu sportif. Rev. Sci. Et Prat. Des Act. Phys. Sport. Et Artistiques. N. 2012, 1, 41–50. [Google Scholar]
- Conférence des ministres de la Jeunesse et des Sports de la Francophonie (CONFEJES). Résultats Préliminaires de l′ Etude sur l′ Utilisation des Plantes et Autres Substances par les Sportifs. 2017. Available online: https://docplayer.fr/77256480 (accessed on 4 December 2021).
- Kar, G.B.A.; Rout, S.K.; Mishra, D. Assessment of neuropharmacological activities of Tamarindus indica L. in experimental animals. World J. Pharm. Research. 2019, 8, 1480–1495. [Google Scholar]
- Parle, M.; Dhamija, I. Anxiolytic potential of Tamarindus indica. Ann. Pharm. Pharm. Sci. 2012, 3, 67–71. [Google Scholar]
- Siddiq, A.; Najam, R.; Azhar, I.; Baig, S.G. Dose related CNS acting potential of Tamarindus Indica. World J. Pharm. Sciences. 2014, 2, 1406–1415. [Google Scholar]
- Ouedraogo, G.G.; Ilboudo, S.; Ouedraogo, N.; Ouedraogo, S.; Diallo, D.; Guissou, P. Phytochemical study and cardiovascular toxic effects investigation of root barks powder and extracts from Calotropis procera (AIT.) R.BR. World J. Pharm. Res. 2016, 5, 299–316. [Google Scholar]
- N’Guessan, K.; Kadja, B.; Zirihi, G.; Traoré, D.; Aké-Assi, L. Screening phytochimique de quelques plantes médicinales ivoiriennes utilisées en pays Krobou (Agboville, Côte-d’Ivoire). Sci. Nat. 2009, 6, 1–15. [Google Scholar] [CrossRef]
- Wagner, H.; Bladt, S. Plant drug analysis: A thin Layer Chromatography Atlas, 2nd ed.; Springer: Berlin/Heidelberg, Germany, 1996. [Google Scholar]
- Jazy, M.A.; Karim, S.; Morou, B.; Sanogo, R.; Mahamane, S. Enquête ethnobotanique auprès des tradipraticiens de Santé des régions de Niamey et Tillabéri au Niger: Données 2012–2017. Eur. Sci. J. 2017, 13, 276–304. [Google Scholar] [CrossRef]
- Hele, B.; Metowogo, K.; Mouzou, A.; Tossou, R.; Ahounou, J.; Eklu-Gadegbeku, K.; Dansou, P.; Aklikokou, A. Enquête ethnobotanique sur les plantes utilisées dans le traitement traditionnel des contusions musculaires au Togo. Rev. Ivoir. Sci. Technol. 2014, 24, 112–130. [Google Scholar]
- Zerbo, P.; Millogo, R.J.; Nacoulma, O.G.; Van Damme, P. Plantes médicinales et pratiques médicales au Burkina Faso: Cas des Sanan. Bois For. Des Tropiques. 2011, 307, 41. [Google Scholar] [CrossRef]
- Nadembega, P.; Boussim, J.I.; Nikiema, J.B.; Poli, F.; Antognoni, F. Medicinal plants in Baskoure, Kourittenga Province, Burkina Faso: An ethnobotanical study. J. Ethnopharmacol. 2011, 133, 378–395. [Google Scholar] [CrossRef]
- Tibiri, A.; Sawadogo, W.R.; Dao, A.; Elkington, B.G.; Ouedraogo, N.; Guissou, I.P. Indigenous knowledge of medicinal plants among Dozo hunters: An ethnobotanical survey in Niamberla village, Burkina Faso. J. Altern. Complement. Med. 2015, 21, 294–303. [Google Scholar] [CrossRef]
- Nacoulma, O. Plantes Médicinales et Pratiques Médicales Traditionnelles: Cas du Plateau Central. Ph.D. Thesis, Faculté des Sciences et Techniques, Université de Ouagadougou, Ouagadougou, Burkina Faso, 1996; 320. [Google Scholar]
- Danton, O. Extraction de substances naturelles antalgiques à partir de plantes utilisées dans la pharmacopée traditionnelle au Mali. Ph.D. Thesis, Université Clermont Auvergne, Clermont, France, 2017. Available online: https://tel.archives-ouvertes.fr/tel-01593711/document (accessed on 4 December 2021).
- Ahomadegbe, M.; Ladekan, E.; Assogba, F.; Agbonon, A.; Gbenou, J. Phytochemical and toxicity studies of the leaves of Mangifera indica, Cajanus cajan and of Piliostigma thonningii, acclimated in Benin, used against diarrheal diseases. J. Pharmacogn. Phytochem. 2018, 7, 2971–2978. [Google Scholar]
- Adeyemi, O.O.; Akindele, A.J.; Yemitan, O.K.; Aigbe, F.R.; Fagbo, F.I. Anticonvulsant, anxiolytic and sedative activities of the aqueous root extract of Securidaca longepedunculata Frese. J. Ethnopharmacol. 2020, 130, 191–195. [Google Scholar] [CrossRef]
- Ahmad, A.; Ahmad, W.; Sajid, F. Therapeutic, phytochemistry and pharmacology of Tamarindus indica: A review. Int. J. Unani Integr. Medicine 2018, 2, 14–19. [Google Scholar]
- Saraswathi, K.; Sivaraj, C.; Jenifer, A.; Dhivya, M.; Arumugam, P. Arumugam, Antioxidant, Antibacterial activities, GCMS and FTIR Analysis of Ethanol bark extract of Capparis sepiaria L. Res. J. Pharm. Tech. 2020, 13, 2144. [Google Scholar] [CrossRef]
- Mishra, T. Waging green war against cardiovascular ailments. Eur. J. Biomed. 2018, 5, 192–199. [Google Scholar]
- Akkol, E.K.; Ilhan, M.; Karpuz, B.S.; Genç, Y.; Sobarzo-Sánchez, E. Sedative and Anxiolytic Activities of Opuntia ficus indica (L.) Mill.: An Experimental Assessment in Mice. Molecules 2020, 25, 1844. [Google Scholar] [CrossRef] [PubMed]
- Okoye, T.C.; Akha, P.A.; Omeke, P.C. Evaluation of the anticonvulsant and muscle relaxant effects of the methanol root bark extracts of Annona senegalensis. Asian Pac. J. Trop. Med. 2010, 3, 25–28. [Google Scholar] [CrossRef]
- Okoye, T.C.; Akah, P.A.; Omeje, E.O.; Okoye, F.B.C.; Nworu, C.S. Anticonvulsant effect of kaurenoic acid isolated from the root bark of Annona senegalensis. Pharmacol. Biochem. Behavior. 2013, 109, 38–43. [Google Scholar] [CrossRef]
- Medina, J.H.; Viola, H.; Wolfman, C.; Marder, M.; Wasowski, C.; Calvo, D.; Paladini, A.C. Overview-Flavonoids: A New Family of Benzodiazepine Receptor Ligands. Neurochem. Res. 1997, 22, 419–425. [Google Scholar] [CrossRef]
- Noguerón-Merino, M.C.; Jiménez-Ferrer, E.; Román-Ramos, R.; Zamilpa, A.; Tortoriello, J.; Herrera-Ruiz, M. Interactions of a standardized flavonoid fraction from Tilia americana with Serotoninergic drugs in elevated plus maze. J. Ethnopharmacol. 2015, 164, 319–327. [Google Scholar] [CrossRef]
- Gelfuso, E.A.; Reis, S.L.; Aguiar, D.S.R.; Faggion, S.A.; Gomes, F.M.M.; Galan, D.T.; Peigneur, S.; Pereira, A.M.S.; Cunha, A.O.S.; Tytgat, J.; et al. New insights in the mode of action of (+)-erythravine and (+)-11α-hydroxy-erythravine alkaloids. Eur. J. Pharmacol. 2020, 885, 173390. [Google Scholar] [CrossRef]
- Yance, D.R. Adaptogens in Medical Herbalism, Elite Herbs and Natural Compounds for Mastering Stress, Aging and Chronic Disease; Simon and Schuster: New York, NJ, USA, 2013. [Google Scholar]
- Rosato, A.; Maggi, F.; Cianfaglione, K.; Conti, F.; Ciaschetti, G.; Rakotosaona, R.; Fracchiolla, G.; Clodoveo, M.L.; Franchini, C.; Corbo, F. Chemical composition and antibacterial activity of seven uncommon essential oils. J. Essent. Oil Research. 2018, 30, 233–243. [Google Scholar] [CrossRef]
- Sabiha, A. Polyphénols de L’alimentation: Extraction, Pouvoir Antioxydant et Interactions Avec des ions Métalliques. Ph.D. Thesis, Université d’Avignon, Avignon, France, 2013. Available online: https://tel.archives-ouvertes.fr/tel-00978529 (accessed on 4 December 2021).
- Hennebelle, T.; Sahpaz, S.; Bailleul, F. Polyphénols végétaux, sources, utilisations et potentiel dans la lutte contre le stress oxydatif. Phytothérapie 2004, 2, 3–6. [Google Scholar] [CrossRef]
- Kulakowski, D. An Ethnobotanical, Ecological and LC-MS-Based Chemometric Investigation of Phaleria Nisidai, a Traditional Adaptogen Containing Diterpene Esters from Palau, Micronesia; ProQuest LLC: Ann Arbor, MI, USA, 2014. [Google Scholar]
- Evenamede, K.S.; Kpegba, K.; Idoh, K.; Agbonon, A.; Simalou, O.; Boyode, P.; Oke, O.E.; Gbeassor, M. Comparative study of the toxicity of hydroethanolic extracts of the root and stem barks of Cassia sieberiana D.C. on Wistar rats. J. Appl. Biol. Biotechnology. 2019, 7, 47–52. [Google Scholar]
- Hyelda, A.J.; Yahya, M.M.; Abakura, J.B.; Wafar, R.J. Haematological and Biochemical Parameters of Red Sokoto Goats Fed Desert Date (Balanites aegyptiaca) Leaves as Supplement to Urea Treated Maize Stover. J. Adv. Biol. Biotechnol. 2017, 15, 1–7. [Google Scholar] [CrossRef]
- Adewale, A.L. Evaluation of Root Extract of Acacia nilotica on Haematological and Lipid Profile in Rats. Eur. J. Med. Plants 2017, 17, 1–7. [Google Scholar] [CrossRef]
- Ahur, V.; Adenkola, Y.; Saganuwan, S.; Ikyetor, J. Ameliorative properties of aqueous extract of Ficus thonningii on erythrocyte osmotic fragility induced by acetaminophen in Rattus norvegicus. Vet. Res. Forum. 2013, 4, 207–212. [Google Scholar] [PubMed]
- Pouka, K.M.C.; Ngene, J.P.; Ngoule, C.C.; Mvogo-Ottou, P.B.; Ndjib, R.C.; Dibong, S.D.; Mpondo, E.M. Caractérisation des plantes médicinales à flavonoïdes des marchés de Douala. Int. J. Biol. Chem. Sci. 2015, 9, 1494–1516. [Google Scholar] [CrossRef][Green Version]





| Bioactive Compounds | Revelators Used | Colour Observed Under UV |
|---|---|---|
| Flavonoids System: ethyl acetate/formic acid/acetic acid/water (100/11/11/26 v/v/v/v *) | Neu’s reagent | Yellow and yellowish green coloration. |
| Triterpenes and steroids Chloroform/ethyl acetate/formic acid (10/90/20; v/v/v) | Libermann–Burchrad reagent | Blue violet coloration or Red to blue violet |
| Scientific Names (Familly) | Local Names | Parts Used | Method of Preparation | Method of Administration | Associated Plants | Indication | * F(%) | ** VU (%) |
|---|---|---|---|---|---|---|---|---|
| Cassia sieberiana DC (Ceasalpiniaceae) | Sindjan (d) | Bark, root, leaves. | Decoction, Maceration | Bathing, drinking | Bauhinia thonningii, Annona senegalensis | Ache, anxiolytic, pain | 22 | 34 |
| Tamarindus indica L. (Césalpiniaceae) | Tomi(dioula) | Fruit, root, sap | Decoction | Bathing, drinking, incensing | Wounds, anxiolytic, psychotropic | 22 | 32 | |
| (Rubiaceae) | Toukorogulen (d); Tang-ra-kweenga (mo) | Fruit, leaves, root, shaft, | Decoction, maceration | Bathing, drinking | Tamarindus indica, A. Erythrocalyx | Ache, anxiolytic, psychotropic | 18 | 28 |
| Annona senegalensis Pers. (Annonaceae) | Mandesunsun(d) | Leaves, root, | Decoction, cullet, maceration, powder, | Bathing, drinking, massage | Zinziber officinale | Ache, pain, wounds, psychotropic | 16 | 16 |
| Securidaca longepedunculata Fres (Polygalaceae) | Toumouni (b); Joro (d) | Leaves, root, | Decoction, maceration, powder | Bathing, drinking | Nauclea latifolia, Cassia Sieberiana, KOH | Ache, wounds., anxiolytic, pain | 16 | 18 |
| Bauhinia thonningii (Schumach.) Milne-Redh. (Ceasalpiniaceae) | Gnama (d) | Leaves, fruit | Decoction | Mastication, drinking | Ache, wounds, strengthening, | 16 | 14 | |
| Ficus thonningii Miq. (Moraceae) | Kognojidiba (marka) | Bark, leaves, root, | Decoction | Bathing, drinking | Ache, anxiolytic | 14 | 12 | |
| Guiera senegalensis J.F. Gmel. (Combretaceae) | Kunguè (marka) | Bark, leaves, root, fruit | Decoction | Bathing, drinking | Kaya senegalensis, Tamarindus indica | Ache, psychotropic | 12 | 20 |
| Khaya senegalensis (Desr.) A Juss. (Meliaceae) | Jalan(d) | Latex, bark. | Decoction | Bathing, drinking | T. indica, G. senegalensis; milk | Psychotropic, wound, aches, anxiolytic | 10 | 14 |
| Ozoroa insignis Del (Anacardiaceae) | Plakoossi (m) | Leaves, root. | Decoction, P | Bathing, drinking | Phoenix dactylifera | Ache, psychotropic | 10 | 12 |
| Parkia biglobosa (Jacq.) R. Br. ex G. Don (Mimosaceae) | Néréyiri(d) | Bark, root, fungius, parasite | Decoction., cullet | Sucking, drink, | Psychotropic, anxiolytic, wounds | 10 | 16 | |
| Bauhinia thonningii (Schumach.) Milne-Redh. (Ceasalpiniaceae) | Gnama (d) | Leaves, fruit | Decoction | Mastication, drinking | Ache, wounds, strengthening | 8 | 14 | |
| Sterculia setigera Del. (Sterculiaceae) | Koflaba () | Bark | Decoction | Application, massage | Wounds, foulure | 8 | 8 | |
| Anogeissus leiocarpa (DC.) Guill. & Perr. (Combretaceae) | Lôo (S), kèkèba (m) | Bark of root | Decoction | Bathing, drinking | Gardenia sokotensis | Ache, anxiolytic | 6 | 6 |
| Capparis sepiaria L. (Capparaceae) | Trigui (d) | Leaves, sap | Decoction | Bathing, drinking, massage | Ache, psychotropic, sprain | 6 | 10 | |
| Entada africana Guill. et Perr. (Mimosaceae) | Samaninnin (d) | Bark, root, | Decoction, latex | Bathing, application | Wounds, pain, strengthening | 6 | 12 | |
| Flueggea virosa (Roxb ex Wllld.) Voigt (Euphorbiaceae) | Bagana | Leaves | Decoction | Drinking | Tamarindus indica | Ache | 6 | 6 |
| Sclerocarya birrea (A. Rich.) Hochst. (Anacardiaceae) | Bark, mistletoe, root | Decoction, powder | Application, Bathing, drinking | Ache, wounds, psychotropic | 6 | 6 | ||
| Trichilia emetica Vahl (Meliaceae) | Lonlôron (s), Sulafinsan (d) | Bark, leaves, root | Decoction, maceration | Bathing | Gardenia sokotensis. | Ache, anxiolytic, pain | 6 | 14 |
| Acacia erythrocalyx Brenan (Mimosaceae) | Sansan (d) | Root, | Maceration | Bathing, drinking | Ache | 4 | 4 | |
| Acacia nilotica (L) Willd. ex Del (Mimosaceae) | Fruit | Decoction | Application | Wounds | 4 | 4 | ||
| Bombax costatum Pellegr. et Vuillet (Bombacaceae) | Bark | Powder | Application | Wounds | 4 | 4 | ||
| Calotropis procera (Ait) Ait. F. (Asclepiadaceae) | Fogofogo (d) | Root. | Cullet | Massage | Ache, wounds | 4 | 8 | |
| Citrus limon IL.) Burm. F. (Rutaceae) | Lemuru (d) | Leaves, sap | Decoction | Bathing, fumigation | Ache, psychotropic | 4 | 4 | |
| Combretum micranthum G. Don. (Combretaceae) | Leaves | Decoction | Bathing, drinking | Ache, pain | 4 | 4 | ||
| Daniellia oliveri (Rolfe) Hutch et Dalz (Ceasalpiniaceae) | Aoga(mo) | Bark | Powder | Massage | Ximenia americana | Ache, anxiolitic | 4 | 4 |
| Detarium microcarpum Guill. et Perr (Ceasalpiniaceae) | Tomokunba (m) | Bark, Leaves, roots | Decoction | Bathing, drinking | Ache; psychotropic | 4 | 6 | |
| Erythrina senegalensis DC. (Fabaceae) | Tièpereba (marka) | Root. | Decoction | Bathing, drinking | Ache, sprain | 4 | 4 | |
| Icacinia Senegalensis (Icacinacea)e | Mankana (d) | Tuber | Chewing | Pain, psychotropic | 4 | 4 | ||
| Lannea acida A. Rich. (Anacardiaceae) | Bark | Decoction | Bathing | Wounds | 4 | 4 | ||
| Nauclea latifolia Sm. (Rubiaceae) | Decoction | Bathing, drinking | Ache, anxiolytic | 4 | 6 | |||
| Stereospermum kunthianum Cham. (Bignoniaceae) | Ninyilenga (Moore), | Leaves. | Decoction | Drinking, bathing | Strengthening, | 4 | 6 | |
| Ximenia americana L. (Olacaceae) | Root, sap | Decoction, powder | Massage, bathing, drinking | Ache, psychotropic | 4 | 4 | ||
| Acacia seyal Del. (Mimosaceae) | Wanigwe (d) | Sap | Powder | Encensement | Psychotropic | 2 | 2 | |
| Balanites aegyptiaca (L) Del. (Balanitaceae) | Seguinnin (d) | Parasite | Maceration, powder | Drinking | Psychotropic | 2 | 4 | |
| Cassia alata L. (Caesalpiniaceae) | Leaves | Decoction | Bathing, drinking | Psychotropic | 2 | 2 | ||
| Cochlospermum planchonii Hook f. ex Planck (Cochlospermaceae) | N’Dribla | Root | Powder | Application | Cassia sieberiana. | Wounds | 2 | 2 |
| Combretum nigricans Lepr. Ex Guill. Et Perr. (Combretaceae) | Toupin(m) | Leaves | Decoction | Bathing | Trichilia emetica | Wounds | 2 | 2 |
| Cymbopogon giganteus Chiov. (Poaceae) | Thienkala (d) | Whole plant | Fresh plant | Application | Euphorbia hirta | Wounds | 2 | 2 |
| Datura metel L. (Solanaceae) | Almoukaikaii (d) | Leaves | Powder | Drinking | Pain | 2 | 2 | |
| Diospyros mespiliformis Hochst. Ex (Ebenaceae) | Sunsun(d) | Bark, roots | Decoction | Bathing, drinking | Psychotropic | 2 | 2 | |
| Gardenia erubensis Stapf et Hutch. (Rubiaceae) | Gulen (d) | Fruit | Decoction | Drinking | Anxiolytic | 2 | 2 | |
| Hymenocardia acida (Hymenocardiaceae) | Guèrègueniya(d) | Root, | Decoction | Bathing, drinking | Ache | 2 | 2 | |
| Lannea microcarpa Engl. et K. Krause (Anacardiaceae) | Pekun (d) | Leaves | Powder | Application | Wounds | 2 | 2 | |
| Lannea velutina A. Rich (Anacardiaceae) | Surugupekun (d) | Bark, leaves | Decoction | Batingh | Ache | 2 | 2 | |
| Leptadenia hastata (Pers.) Decne. (Asclepiadaceae) | Gnougou (d) | Plant | Decoction | Bathing, drinking | Ache | 2 | 2 | |
| Opilia celtidifolia (Guill. et Perr) Endl. ex Walp.(Opiliaceae) | Wurunipinba (m) | Leaves, root | Maceration, P | Bathing, application | Salt, Tamarindus indica | Ache, wounds | 2 | 4 |
| Pericopsis laxiflora (BENTH ex BAK.) van Meeawen (Fabaceae) | Kolokolo (d) | Leaves | Decoction | Bathing, drinking | Ache | 2 | 2 | |
| Pterocarpus erinaceus Poir (Fabaceae) | Gooni (d) | Gui | Decoction | Ache, anxiolytic | 2 | 4 | ||
| Terminalia avicennioides Guil/. et Perr. (Combretaceae) | Waranpin (dioula) | Leaves | Decoction | Bathing, drinking | Ache, pain | 2 | 2 | |
| Terminalia macroptera Guill. et Perr. (Combretaceae) | Habè (b) | Root, | Decoction | Wounds | Wounds | 2 | 2 | |
| Waltheria indica L. (Sterculiaceae) | Plant | Fresh plant, powder | Application | Parkia biglobosa fruits | Wounds | 2 | 2 | |
| Xylopia aethiopica (Dunal) A. Rich. (Annonaceae) | Kanafing (d) | Fruit | Powder | Drinking | Pain | 2 | 2 |
| Species | Annona senegalensis | Cassia sieberiana | Gardenia sokotensis | Ficus thonningii | Bauhinia thonningii | Securidaga longepedunculata | |||||||
|---|---|---|---|---|---|---|---|---|---|---|---|---|---|
| M | D | M | D | M | D | M | D | M | D | M | D | ||
| Tannins and polyphenols | + | + | + | + | + | + | + | + | + | + | + | + | |
| Flavonoids | + | + | + | + | + | + | + | + | + | + | + | + | |
| Saponosides | + | + | + | + | + | + | − | − | + | − | + | + | |
| Coumarin | − | − | + | + | + | + | + | + | − | + | + | + | |
| Steroids and triterpenes | + | + | + | + | + | + | + | + | + | + | + | + | |
| Alkaloids | + | − | + | − | − | + | + | − | − | − | − | + | |
Publisher’s Note: MDPI stays neutral with regard to jurisdictional claims in published maps and institutional affiliations. |
© 2022 by the authors. Licensee MDPI, Basel, Switzerland. This article is an open access article distributed under the terms and conditions of the Creative Commons Attribution (CC BY) license (https://creativecommons.org/licenses/by/4.0/).
Share and Cite
Sama, H.; Traoré, M.; Guenné, S.; Séré, I.; Hilou, A.; Dicko, M.H. Ethnobotanical and Phytochemical Profiling of Medicinal Plants from Burkina Faso Used to Increase Physical Performance. Medicines 2022, 9, 10. https://doi.org/10.3390/medicines9020010
Sama H, Traoré M, Guenné S, Séré I, Hilou A, Dicko MH. Ethnobotanical and Phytochemical Profiling of Medicinal Plants from Burkina Faso Used to Increase Physical Performance. Medicines. 2022; 9(2):10. https://doi.org/10.3390/medicines9020010
Chicago/Turabian StyleSama, Hemayoro, Modeste Traoré, Samson Guenné, Ibrahim Séré, Adama Hilou, and Mamoudou H. Dicko. 2022. "Ethnobotanical and Phytochemical Profiling of Medicinal Plants from Burkina Faso Used to Increase Physical Performance" Medicines 9, no. 2: 10. https://doi.org/10.3390/medicines9020010
APA StyleSama, H., Traoré, M., Guenné, S., Séré, I., Hilou, A., & Dicko, M. H. (2022). Ethnobotanical and Phytochemical Profiling of Medicinal Plants from Burkina Faso Used to Increase Physical Performance. Medicines, 9(2), 10. https://doi.org/10.3390/medicines9020010

