Erbium Laser for Skin Surgery: A Single-Center Twenty-Five Years’ Experience
Abstract
:1. Introduction
2. Materials and Methods
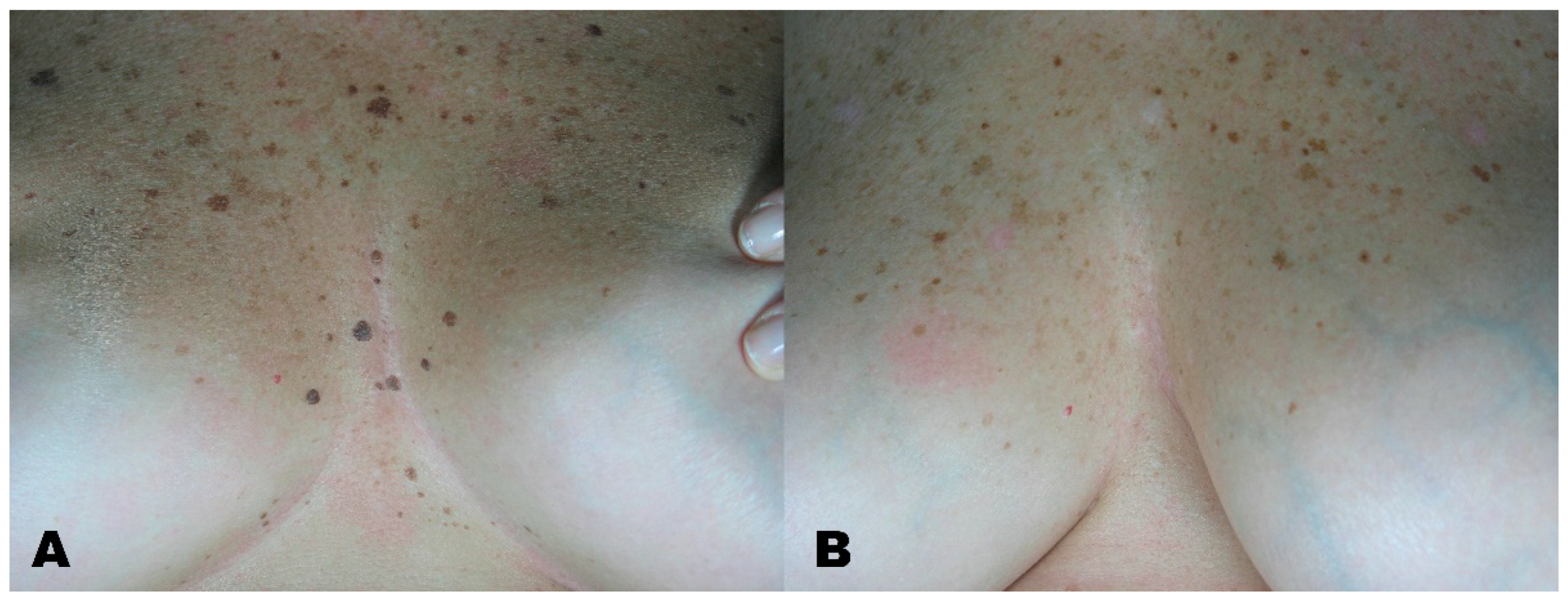
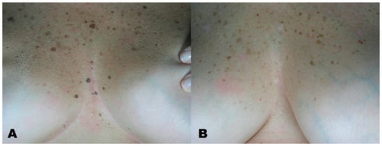
3. Results
4. Discussion
5. Conclusions
Author Contributions
Funding
Institutional Review Board Statement
Informed Consent Statement
Data Availability Statement
Acknowledgments
Conflicts of Interest
References
- Hedelund, L.; Carlsen, B.C.; Lomholt, H.B.; Vissing, S.; Hædersdal, M. Dermatologic laser surgery. Ugeskr Laeger 2017, 20, 179. [Google Scholar]
- Zachary, C.B. Modulating the Er:YAG laser. Lasers Surg. Med. 2000, 26, 223–226. [Google Scholar] [CrossRef]
- Grzech-Leśniak, K.; Matys, J. The Effect of Er:YAG Lasers on the Reduction of Aerosol Formation for Dental Workers. Materials 2021, 14, 2857. [Google Scholar] [CrossRef]
- Scarano, A.; Lorusso, F.; Inchingolo, F.; Postiglione, F.; Petrini, M. The Effects of Erbium-Doped Yttrium Aluminum Garnet Laser (Er: YAG) Irradiation on Sandblasted and Acid-Etched (SLA) Titanium, an In Vitro Study. Materials 2020, 13, 4174. [Google Scholar] [CrossRef]
- Pavlic, V.; Brkic, Z.; Marin, S.; Cicmil, S.; Gojkov-Vukelic, M.; Aoki, A. Gingival melanin depigmentation by Er:YAG laser: A literature review. J. Cosmet. Laser Ther. 2018, 20, 85–90. [Google Scholar] [CrossRef] [PubMed]
- Matys, J.; Romeo, U.; Mroczka, K.; Grzech-Leśniak, K.; Dominiak, M. Temperature Changes and SEM Effects of Three Different Implants-Abutment Connection during Debridement with Er:YAG Laser: An Ex Vivo Study. Materials 2019, 12, 3748. [Google Scholar] [CrossRef] [PubMed] [Green Version]
- Trelles, M.A.; Khomchenko, V. Reflections on the Er:YAG Laser Used in “Nonthermal Mode” to Rejuvenate Skin. Photobiomodul Photomed. Laser Surg. 2019, 37, 515–516. [Google Scholar] [CrossRef] [PubMed]
- Robati, R.M.; Asadi, E.; Shafiee, A.; Namazi, N.; Talebi, A. Efficacy of long pulse Nd:YAG laser versus fractional Er:YAG laser in the treatment of hand wrinkles. Lasers Med. Sci. 2018, 33, 461–467. [Google Scholar] [CrossRef]
- Gurel, M.S.; Aral, B.B. Effectiveness of erbium:YAG laser and cryosurgery in seborrheic keratoses: Randomized, prospective intraindividual comparison study. J. Dermatolog. Treat. 2015, 26, 477–480. [Google Scholar] [CrossRef]
- Sayan, A.; Sindel, A.; Ethunandan, M.; Ilankovan, V. Management of seborrhoeic keratosis and actinic keratosis with an erbium:YAG laser-experience with 547 patients. Int. J. Oral Maxillofac. Surg. 2019, 48, 902–907. [Google Scholar] [CrossRef]
- Rhie, J.W.; Shim, J.S.; Choi, W.S. A Pilot Study of Skin Resurfacing Using the 2790-nm Erbium:YSGG Laser System. Arch. Plast. Surg. 2015, 42, 52–58. [Google Scholar] [CrossRef] [PubMed] [Green Version]
- Alster, T.S.; Lupton, J.R. Erbium:YAG cutaneous laser resurfacing. Dermatol. Clin. 2001, 19, 453–466. [Google Scholar] [CrossRef]
- Yumeen, S.; Khan, T. Laser Erbium-Yag Resurfacing. In StatPearls; StatPearls Publishing: Treasure Island, FL, USA, 2020. [Google Scholar]
- Peavy, G.M. Lasers and laser-tissue interaction. Vet. Clin. N. Am. Small. Anim. Pract. 2002, 32, 517–534. [Google Scholar] [CrossRef]
- Cannarozzo, G.; Bennardo, L.; Negosanti, F.; Nisticò, S.P. CO2 Laser Treatment in Idiopathic Scrotal Calcinosis: A Case Series. J. Lasers Med. Sci. 2020, 11, 500–501. [Google Scholar] [CrossRef]
- Hruza, G.J.; Geronemus, R.; Dover, G.J.S.; Arndt, K.A. Lasers in dermatology—1993. Arch. Dermatol. 1993, 129, 1026–1035. [Google Scholar] [CrossRef]
- Mercuri, S.R.; Brianti, P.; Dattola, A.; Bennardo, L.; Silvestri, M.; Schipani, G.; Nisticò, S.P. CO2 laser and photodynamic therapy: Study of efficacy in periocular BCC. Dermatol Ther. 2018, 31, e12616. [Google Scholar] [CrossRef] [PubMed]
- Sanniec, K.; Afrooz, P.N.; Burns, A.J. Long-Term Assessment of Perioral Rhytide Correction with Erbium: YAG Laser Resurfacing. Plast. Reconstr. Surg. 2019, 143, 64–74. [Google Scholar] [CrossRef] [PubMed]
- Caniglia, R.J. Erbium:YAG laser skin resurfacing. Facial Plast. Surg. Clin. N. Am. 2004, 12, 373–377. [Google Scholar] [CrossRef]
- Cannarozzo, G.; Fazia, G.; Bennardo, L.; Tamburi, F.; Amoruso, G.F.; Del Duca, E.; Nisticò, S.P. A New 675 nm Laser Device in the Treatment of Facial Aging: A Prospective Observational Study. Photobiomodul. Photomed. Laser Surg. 2021, 39, 118–122. [Google Scholar] [CrossRef]
- Cannarozzo, G.; Silvestri, M.; Tamburi, F.; Sicilia, C.; Del Duca, E.; Scali, E.; Bennardo, L.; Nisticò, S.P. A new 675-nm laser device in the treatment of acne scars: An observational study. Lasers Med. Sci. 2021, 36, 227–231. [Google Scholar] [CrossRef]
- Nistico, S.P.; Silvestri, M.; Zingoni, T.; Tamburi, F.; Bennardo, L.; Cannarozzo, G. Combination of Fractional CO2 Laser and Rhodamine-Intense Pulsed Light in Facial Rejuvenation: A Randomized Controlled Trial. Photobiomodul. Photomed. Laser Surg. 2021, 39, 113–117. [Google Scholar] [CrossRef]
- Lodi, G.; Sannino, M.; Caterino, P.; Cannarozzo, G.; Bennardo, L.; Nisticò, S.P. Fractional CO2 laser-assisted topical rifamycin drug delivery in the treatment of pediatric cutaneous leishmaniasis. Pediatr. Dermatol. 2021, 38, 717–720. [Google Scholar] [CrossRef] [PubMed]
- Badawi, A.; Sobeih, T.; Jasmina, V. Periocular rejuvenation using a unique non-ablative long-pulse 2940 nm Er:YAG laser. Lasers Med. Sci. 2021, 1–8. [Google Scholar] [CrossRef]
- Dadkhahfar, S.; Fadakar, K.; Robati, R.M. Efficacy and safety of long pulse Nd:YAG laser versus fractional erbium:YAG laser in the treatment of facial skin wrinkles. Lasers Med. Sci. 2019, 34, 457–464. [Google Scholar] [CrossRef]
- Robati, R.M.; Asadi, E. Efficacy and safety of fractional CO2 laser versus fractional Er:YAG laser in the treatment of facial skin wrinkles. Lasers Med. Sci. 2017, 32, 283–289. [Google Scholar] [CrossRef] [PubMed]
- McDaniel, D.H.; Lord, J.; Ash, K.; Newman, J. Combined CO2/erbium:YAG laser resurfacing of peri-oral rhytides and side-by-side comparison with carbon dioxide laser alone. Dermatol Surg. 1999, 25, 285–293. [Google Scholar] [CrossRef] [PubMed]
- Sapijaszko, M.J.; Zachary, C.B. Er:YAG laser skin resurfacing. Dermatol. Clin. 2002, 20, 87–96. [Google Scholar] [CrossRef]
- Wollina, U.; Konrad, H.; Karamfilov, T. Treatment of common warts and actinic keratoses by Er:YAG laser. J. Cutan. Laser Ther. 2001, 3, 63–66. [Google Scholar] [CrossRef]
- Newman, J.B.; Lord, J.L.; Ash, K.; McDaniel, D.H. Variable pulse erbium:YAG laser skin resurfacing of perioral rhytides and side-by-side comparison with carbon dioxide laser. Lasers Surg. Med. 2000, 26, 208–214. [Google Scholar] [CrossRef]
- Elsaie, M.L.; Ibrahim, S.M.; Saudi, W. Ablative Fractional 10 600 nm Carbon Dioxide Laser Versus Non-ablative Fractional 1540 nm Erbium-Glass Laser in Egyptian Post-acne Scar patients. J. Lasers Med. Sci. 2018, 9, 32–35. [Google Scholar] [CrossRef] [PubMed] [Green Version]
- Utley, D.S.; Koch, R.J.; Egbert, B.M. Histologic analysis of the thermal effect on epidermal and dermal structures following treatment with the superpulsed CO2 laser and the erbium: YAG laser: An in vivo study. Lasers Surg. Med. 1999, 24, 93–102. [Google Scholar] [CrossRef]
- Khatri, K.A. Ablation of cutaneous lesions using an erbium:YAG laser. J. Cosmet. Laser Ther. 2003, 5, 150–153. [Google Scholar] [CrossRef]
- Jiang, S.B.; Levine, V.J.; Nehal, K.S.; Baldassano, M.; Kamino, H.; Ashinoff, R.A. Er:YAG laser for the treatment of actinic keratoses. Dermatol. Surg. 2000, 26, 437–440. [Google Scholar] [CrossRef] [PubMed]
- Ostertag, J.U.; Quaedvlieg, P.J.; Kerckhoffs, F.E.; Vermeulen, A.H.; Bertleff, M.J.; Venema, A.W.; van der Geer, S.; Krekels, G.A. Congenital naevi treated with erbium:YAG laser (Derma K) resurfacing in neonates: Clinical results and review of the literature. Br. J. Dermatol. 2006, 154, 889–895. [Google Scholar] [CrossRef] [PubMed]
- Davis, D.S.; Taylor, M.B. Successful Treatment of Milia in Skin of Color (FST IV-VI) with Variable Short-Pulse Er: YAG Laser Vaporization. Dermatol. Surg. 2020, 46, 1750–1751. [Google Scholar] [CrossRef] [PubMed]
- Zaresharifi, S.; Robati, R.M.; Dadkhahfar, S.; Forouzanfar, M.M.; Zaresharifi, N. Efficacy and safety of cryotherapy, electrodesiccation, CO2 laser, and Er:YAG laser in the treatment of seborrheic keratosis. Dermatol. Ther. 2021, 34, e15083. [Google Scholar] [CrossRef]
- Kriechbaumer, L.K.; Susani, M.; Kircher, S.G.; Distelmaier, K.; Happak, W. Comparative study of CO2− and Er:YAG laser ablation of multiple cutaneous neurofibromas in von Recklinghausen’s disease. Lasers Med. Sci. 2014, 29, 1083–1091. [Google Scholar] [CrossRef]
- Wulkan, A.J.; Rudnick, A.; Badiavas, E.; Waibel, J.S. Treatment of Hypertrophic Burn and Traumatic Scars With a 2,940-nm Fractional Ablative Erbium-doped Yttrium Aluminium Garnet Laser: A Pilot Study. Dermatol. Surg. 2020, 46, 789–793. [Google Scholar] [CrossRef]
- Sipprell, W.H., 3rd; Bell, D.E.; Ibrahim, S.F. Fractionally Ablative Er: YAG Laser Resurfacing for Thermal Burn Scars: A Split-Scar, Controlled, Prospective Cohort Study. Dermatol. Surg. 2020, 46, 1577–1582. [Google Scholar] [CrossRef]
- Nirmal, B.; Pai, S.B.; Sripathi, H.; Rao, R.; Prabhu, S.; Kudur, M.H.; Nayak, S.U. Efficacy and safety of erbium-doped yttrium aluminium garnet fractional resurfacing laser for treatment of facial acne scars. Indian J. Dermatol. Venereol. Leprol. 2013, 79, 193–198. [Google Scholar]
- Manuskiatti, W.; Iamphonrat, T.; Wanitphakdeedecha, R.; Eimpunth, S. Comparison of fractional erbium-doped yttrium aluminum garnet and carbon dioxide lasers in resurfacing of atrophic acne scars in Asians. Dermatol. Surg. 2013, 39, 111–120. [Google Scholar] [CrossRef] [PubMed]
- Orenstein, A.; Goldan, O.; Weissman, O.; Winkler, E.; Haik, J. A new modality in the treatment of actinic cheilitis using the Er:YAG laser. J. Cosmet. Laser Ther. 2007, 9, 23–25. [Google Scholar] [CrossRef]
- Armenores, P.; James, C.L.; Walker, P.C.; Huilgol, S.C. Treatment of actinic cheilitis with the Er:YAG laser. J. Am. Acad. Dermatol. 2010, 63, 642–646. [Google Scholar] [CrossRef] [PubMed]
- Liu, A.; Taylor, M.B.; Sotoodian, B. Treatment of Sebaceous Hyperplasia by Laser Modalities: A Review of the Literature and Presentation of Our Experience with Erbium-doped Yttrium Aluminium Garnet (Er:YAG). J. Drugs Dermatol. 2020, 19, 547–552. [Google Scholar] [CrossRef] [PubMed]
- Nguyen, J.; Korta, D.Z.; Chapman, L.W.; Kelly, K.M. Laser Treatment of Nongenital Verrucae: A Systematic Review. JAMA Dermatol. 2016, 152, 1025–1034. [Google Scholar] [CrossRef] [PubMed]









| Skin Diseases | Number of Lesions Treated | Females | Males | Patients Reporting Complete Response/High Aesthetic Satisfaction | Percentage of Patients Satisfied |
|---|---|---|---|---|---|
| Sebaceous adenoma | 131 | 55 | 76 | 123 | 93.9% |
| Seborrheic keratosis | 735 | 466 | 269 | 726 | 98.8% |
| Actinic keratosis | 234 | 67 | 167 | 186 | 79.5% |
| Actinic cheilitis | 36 | 16 | 20 | 16 | 44.4% |
| Acne scars | 196 | 157 | 39 | 167 | 85.2% |
| Skin Resurfacing | 409 | 338 | 71 | 396 | 96.8% |
| Chondrodermatitis nodularis helicis | 59 | 31 | 28 | 38 | 64.4% |
| Superficial Dyschromias | 312 | 204 | 108 | 306 | 98% |
| Favre-Racouchot’s disease | 39 | 3 | 36 | 18 | 46.2% |
| Neurofibroma | 98 | 19 | 79 | 77 | 78.6% |
| Dermal melanocytic lesions | 34 | 14 | 20 | 23 | 67.6% |
| Epidermal melanocytic lesions | 96 | 67 | 29 | 81 | 84.4% |
| Glandular rhinophyma | 83 | 9 | 74 | 57 | 68.7% |
| Syringoma | 71 | 45 | 26 | 63 | 88.7% |
| Trichoepithelioma | 27 | 22 | 5 | 18 | 66.7% |
| Condiloma | 121 | 30 | 91 | 107 | 88.4% |
| Flat wart | 133 | 96 | 37 | 122 | 91.7% |
| Filiform wart | 76 | 54 | 22 | 69 | 90.8% |
| Plantar wart | 78 | 67 | 11 | 74 | 94.9% |
| Xanthelasma | 155 | 102 | 53 | 132 | 85.2% |
| Total | 3123 | 1862 | 1261 | 2799 | 89.6% |
Publisher’s Note: MDPI stays neutral with regard to jurisdictional claims in published maps and institutional affiliations. |
© 2021 by the authors. Licensee MDPI, Basel, Switzerland. This article is an open access article distributed under the terms and conditions of the Creative Commons Attribution (CC BY) license (https://creativecommons.org/licenses/by/4.0/).
Share and Cite
Nisticò, S.P.; Cannarozzo, G.; Campolmi, P.; Dragoni, F.; Moretti, S.; Patruno, C.; Bennardo, L. Erbium Laser for Skin Surgery: A Single-Center Twenty-Five Years’ Experience. Medicines 2021, 8, 74. https://doi.org/10.3390/medicines8120074
Nisticò SP, Cannarozzo G, Campolmi P, Dragoni F, Moretti S, Patruno C, Bennardo L. Erbium Laser for Skin Surgery: A Single-Center Twenty-Five Years’ Experience. Medicines. 2021; 8(12):74. https://doi.org/10.3390/medicines8120074
Chicago/Turabian StyleNisticò, Steven Paul, Giovanni Cannarozzo, Piero Campolmi, Federica Dragoni, Silvia Moretti, Cataldo Patruno, and Luigi Bennardo. 2021. "Erbium Laser for Skin Surgery: A Single-Center Twenty-Five Years’ Experience" Medicines 8, no. 12: 74. https://doi.org/10.3390/medicines8120074
APA StyleNisticò, S. P., Cannarozzo, G., Campolmi, P., Dragoni, F., Moretti, S., Patruno, C., & Bennardo, L. (2021). Erbium Laser for Skin Surgery: A Single-Center Twenty-Five Years’ Experience. Medicines, 8(12), 74. https://doi.org/10.3390/medicines8120074

