Alterations in Regional Brain Regional Volume Associated with Dioxin Exposure in Men Living in the Most Dioxin-Contaminated Area in Vietnam: Magnetic Resonance Imaging (MRI) Analysis Using Voxel-Based Morphometry (VBM)
Abstract
:1. Introduction
2. Materials and Methods
2.1. Study Subjects
2.2. Dioxin Measurements in Whole Blood
2.3. MRI Data Acquisition and Voxel-Based Morphometry
2.4. Statistical Analysis
3. Results
3.1. Relevant Factors Associated with Brain Volume and Dioxin Exposure
3.2. Associations between Current Dioxin Exposure (Indicated by Blood Dioxins) and Brain Volume
3.2.1. Global Brain Volume Analysis
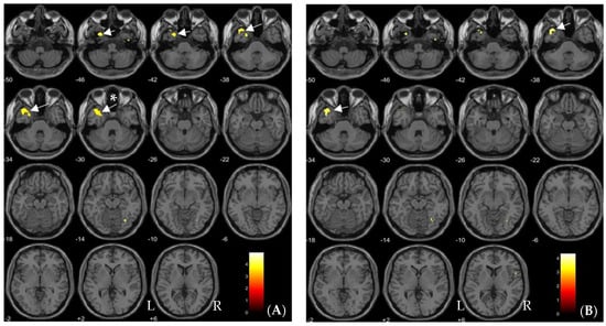
3.2.2. VBM Analyses; Brain Regions in Which Gray Matter Volume Correlated with Blood Dioxin Levels
3.3. Comparisons of Global and Regional Brain Volumes between Men with and without Possible Perinatal Dioxin Exposure
3.3.1. Global Brain Volume Analyses
3.3.2. VBM Analysis; Brain Regions in Which Gray Matter Volume Differed between Men with and without Estimated Perinatal Dioxin Exposure
4. Discussion
4.1. Relationships between Blood Dioxin Levels and Relevant Factors
4.2. Regional Brain Volume Changes Associated with Blood Dioxin Levels
4.3. Global and Regional Brain Volume Alterations Associated with Estimated Perinatal Dioxin Exposure
4.4. Limitations
5. Conclusions
Author Contributions
Funding
Institutional Review Board Statement
Informed Consent Statement
Data Availability Statement
Acknowledgments
Conflicts of Interest
References
- Dwernychuk, L.W. Dioxin hot spots in Vietnam. Chemosphere 2005, 60, 998–999. [Google Scholar] [CrossRef]
- The Office of the Vietnam National Steering Committee 33; Hatfield Consultants. Environmental and Human Health Assessment of Dioxin Contamination at Bien Hoa Airbase, Viet Nam; Final Report; Hatfield Consultants: North Vancouver, BC, Canada, 2011. [Google Scholar]
- Van Luong, H.; Tai, P.T.; Nishijo, M.; Trung, D.M.; Thao, P.N.; Van Son, P.; Van Long, N.; Linh, N.T.; Nishijo, H. Association of dioxin exposure and reproductive hormone levels in men living near the Bien Hoa airbase, Vietnam. Sci. Total Environ. 2018, 628–629, 484–489. [Google Scholar] [CrossRef] [PubMed]
- Van Manh, P.; Tai, P.T.; Phuong, N.M.; Nishijo, M.; Trung, D.M.; Thao, P.N.; Son, H.A.; Van Tuan, T.; Van Chuyen, N.; Van Long, N.; et al. Serum dioxin concentrations in military workers at three dioxin-contaminated airbases in Vietnam. Chemosphere 2021, 266, 129024. [Google Scholar] [CrossRef]
- Nishijo, M.; Pham, T.T.; Nguyen, A.T.; Tran, N.N.; Nakagawa, H.; Hoang, L.V.; Tran, A.H.; Morikawa, Y.; Ho, M.D.; Kido, T.; et al. 2,3,7,8-Tetrachlorodibenzo-p-dioxin in breast milk increases autistic traits of 3-year-old children in Vietnam. Mol. Psychiatry 2014, 19, 1220–1226. [Google Scholar] [CrossRef] [PubMed]
- Pham, N.T.; Nishijo, M.; Pham, T.T.; Tran, N.N.; Le, V.Q.; Tran, H.A.; Phan, H.A.V.; Nishino, Y.; Nishijo, H. Perinatal dioxin exposure and neurodevelopment of 2-year-old Vietnamese children in the most contaminated area from Agent Orange in Vietnam. Sci. Total Environ. 2019, 678, 217–226. [Google Scholar] [CrossRef]
- Nghiem, G.T.; Nishijo, M.; Pham, T.N.; Ito, M.; Pham, T.T.; Tran, A.H.; Nishimaru, H.; Nishino, Y.; Nishijo, H. Adverse effects of maternal dioxin exposure on fetal brain development before birth assessed by neonatal electroencephalography (EEG) leading to poor neurodevelopment; a 2-year follow-up study. Sci. Total Environ. 2019, 667, 718–729. [Google Scholar] [CrossRef] [Green Version]
- Pham, N.T.; Nishijo, M.; Nghiem, T.T.G.; Pham, T.T.; Tran, N.N.; Le, V.Q.; Vu, T.H.; Tran, H.A.; Phan, H.A.V.; Do, Q.; et al. Effects of perinatal dioxin exposure on neonatal electroencephalography (EEG) activity of the quiet sleep stage in the most contaminated area from Agent Orange in Vietnam. Int. J. Hyg. Environ. Health 2021, 232, 113661. [Google Scholar] [CrossRef] [PubMed]
- Albajara Saenz, A.; Van Schuerbeek, P.; Baijot, S.; Septier, M.; Deconinck, N.; Defresne, P.; Delvenne, V.; Passeri, G.; Raeymaekers, H.; Slama, H.; et al. Disorder-specific brain volumetric abnormalities in Attention-Deficit/Hyperactivity Disorder relative to Autism Spectrum Disorder. PLoS ONE 2020, 15, e0241856. [Google Scholar]
- Lim, L.; Chantiluke, K.; Cubillo, A.I.; Smith, A.B.; Simmons, A.; Mehta, M.A.; Rubia, K. Disorder-specific grey matter deficits in attention deficit hyperactivity disorder relative to autism spectrum disorder. Psychol. Med. 2015, 45, 965–976. [Google Scholar] [CrossRef] [Green Version]
- Riddle, K.; Cascio, C.J.; Woodward, N.D. Brain structure in autism: A voxel-based morphometry analysis of the Autism Brain Imaging Database Exchange (ABIDE). Brain Imaging Behav. 2017, 11, 541–551. [Google Scholar] [CrossRef] [PubMed]
- Raznahan, A.; Greenstein, D.; Lee, N.R.; Clasen, L.S.; Giedd, J.N. Prenatal growth in humans and postnatal brain maturation into late adolescence. Proc. Natl. Acad. Sci. USA 2012, 109, 11366–11371. [Google Scholar] [CrossRef] [PubMed] [Green Version]
- Schecter, A.; Dai, L.C.; Papke, O.; Prange, J.; Constable, J.D.; Matsuda, M.; Thao, V.D.; Piskac, A.L. Recent dioxin contamination from Agent Orange in residents of a southern Vietnam city. J. Occup. Environ. Med. 2001, 43, 435–443. [Google Scholar] [CrossRef] [Green Version]
- Van den Berg, M.; Birnbaum, L.S.; Denison, M.; De Vito, M.; Farland, W.; Feeley, M.; Fiedler, H.; Hakansson, H.; Hanberg, A.; Haws, L.; et al. The 2005 World Health Organization Reevaluation of Human and Mammalian Toxic Equivalency Factors for Dioxins and Dioxin-Like Compounds. Toxicol. Sci. 2006, 93, 223–241. [Google Scholar] [CrossRef] [PubMed] [Green Version]
- Ashburner, J.; Friston, K.J. Unified segmentation. NeuroImage 2005, 26, 839–851. [Google Scholar] [CrossRef] [PubMed]
- Ashburner, J. A fast diffeomorphic image registration algorithm. NeuroImage 2007, 38, 95–113. [Google Scholar] [CrossRef] [PubMed]
- Nordenskjold, R.; Malmberg, F.; Larsson, E.M.; Simmons, A.; Brooks, S.J.; Lind, L.; Ahlstrom, H.; Johansson, L.; Kullberg, J. Intracranial volume estimated with commonly used methods could introduce bias in studies including brain volume measurements. NeuroImage 2013, 83, 355–360. [Google Scholar] [CrossRef] [Green Version]
- Genovese, C.R.; Lazar, N.A.; Nichols, T. Thresholding of statistical maps in functional neuroimaging using the false discovery rate. NeuroImage 2002, 15, 870–878. [Google Scholar] [CrossRef] [Green Version]
- Eickhoff, S.B.; Stephan, K.E.; Mohlberg, H.; Grefkes, C.; Fink, G.R.; Amunts, K.; Zilles, K. A new SPM toolbox for combining probabilistic cytoarchitectonic maps and functional imaging data. NeuroImage 2005, 25, 1325–1335. [Google Scholar] [CrossRef] [PubMed]
- Manh, H.D.; Kido, T.; Okamoto, R.; Xianliang, S.; Anhle, T.; Supratman, S.; Maruzeni, S.; Nishijo, M.; Nakagawa, H.; Honma, S.; et al. Serum dioxin levels in Vietnamese men more than 40 years after herbicide spraying. Environ. Sci. Technol. 2014, 48, 3496–3503. [Google Scholar] [CrossRef]
- Urban, P.; Pelclova, D.; Lukas, E.; Kupka, K.; Preiss, J.; Fenclova, Z.; Smerhovsky, Z. Neurological and neurophysiological examinations on workers with chronic poisoning by 2,3,7,8-TCDD: Follow-up 35 years after exposure. Eur. J. Neurol. 2007, 14, 213–218. [Google Scholar] [CrossRef]
- Kimura, E.; Kubo, K.; Matsuyoshi, C.; Benner, S.; Hosokawa, M.; Endo, T.; Ling, W.; Kohda, M.; Yokoyama, K.; Nakajima, K.; et al. Developmental origin of abnormal dendritic growth in the mouse brain induced by in utero disruption of aryl hydrocarbon receptor signaling. Neurotoxicol. Teratol. 2015, 52, 42–50. [Google Scholar] [CrossRef] [Green Version]
- Gileadi, T.E.; Swamy, A.K.; Hore, Z.; Horswell, S.; Ellegood, J.; Mohan, C.; Mizuno, K.; Lundebye, A.K.; Giese, K.P.; Stockinger, B.; et al. Effects of Low-Dose Gestational TCDD Exposure on Behavior and on Hippocampal Neuron Morphology and Gene Expression in Mice. Environ. Health Perspect. 2021, 129, 57002. [Google Scholar] [CrossRef]
- Latchney, S.E.; Majewska, A.K. Persistent organic pollutants at the synapse: Shared phenotypes and converging mechanisms of developmental neurotoxicity. Dev. Neurobiol. 2021, 81, 623–652. [Google Scholar] [CrossRef]
- Weiner, K.S.; Zilles, K. The anatomical and functional specialization of the fusiform gyrus. Neuropsychologia 2016, 83, 48–62. [Google Scholar] [CrossRef] [PubMed] [Green Version]
- Grecucci, A.; Rubicondo, D.; Siugzdaite, R.; Surian, L.; Job, R. Uncovering the Social Deficits in the Autistic Brain. A Source-Based Morphometric Study. Front. Neurosci. 2016, 10, 388. [Google Scholar] [CrossRef] [PubMed]
- Becker, E.B.; Stoodley, C.J. Autism spectrum disorder and the cerebellum. Int. Rev. Neurobiol. 2013, 113, 1–34. [Google Scholar]
- Fan, L.; Wang, J.; Zhang, Y.; Han, W.; Yu, C.; Jiang, T. Connectivity-based parcellation of the human temporal pole using diffusion tensor imaging. Cereb. Cortex 2014, 24, 3365–3378. [Google Scholar] [CrossRef] [PubMed] [Green Version]
- Zareba, G.; Hojo, R.; Zareba, K.M.; Watanabe, C.; Markowski, V.P.; Baggs, R.B.; Weiss, B. Sexually dimorphic alterations of brain cortical dominance in rats prenatally exposed to TCDD. J. Appl. Toxicol. 2002, 22, 129–137. [Google Scholar] [CrossRef] [PubMed]
- Hojo, R.; Zareba, G.; Kai, J.W.; Baggs, R.B.; Weiss, B. Sex-specific alterations of cerebral cortical cell size in rats exposed prenatally to dioxin. J. Appl. Toxicol. 2006, 26, 25–34. [Google Scholar] [CrossRef]
- Vu, H.T.; Nishijo, M.; Pham, T.N.; Pham-The, T.; Hoanh, L.V.; Tran, A.H.; Tran, N.N.; Nishino, Y.; Do, Q.; Nishijo, H. Effects of perinatal dioxin exposure on mirror neuron activity in 9-year-old children living in a hot spot of dioxin contamination in Vietnam. Neuropsychologia 2021, 161, 108001. [Google Scholar] [CrossRef]
- Sparks, B.F.; Friedman, S.D.; Shaw, D.W.; Aylward, E.H.; Echelard, D.; Artru, A.A.; Maravilla, K.R.; Giedd, J.N.; Munson, J.; Dawson, G.; et al. Brain structural abnormalities in young children with autism spectrum disorder. Neurology 2002, 59, 184–192. [Google Scholar] [CrossRef]
- Palmen, S.J.; Hulshoff Pol, H.E.; Kemner, C.; Schnack, H.G.; Durston, S.; Lahuis, B.E.; Kahn, R.S.; Van Engeland, H. Increased gray-matter volume in medication-naive high-functioning children with autism spectrum disorder. Psychol. Med. 2005, 35, 561–570. [Google Scholar] [CrossRef]
- Stanfield, A.C.; McIntosh, A.M.; Spencer, M.D.; Philip, R.; Gaur, S.; Lawrie, S.M. Towards a neuroanatomy of autism: A systematic review and meta-analysis of structural magnetic resonance imaging studies. Eur. Psychiatry 2008, 23, 289–299. [Google Scholar] [CrossRef] [PubMed]
- Freitag, C.M.; Luders, E.; Hulst, H.E.; Narr, K.L.; Thompson, P.M.; Toga, A.W.; Krick, C.; Konrad, C. Total brain volume and corpus callosum size in medication-naive adolescents and young adults with autism spectrum disorder. Biol. Psychiatry 2009, 66, 316–319. [Google Scholar] [CrossRef] [PubMed] [Green Version]
- Hazlett, H.C.; Poe, M.D.; Gerig, G.; Smith, R.G.; Piven, J. Cortical gray and white brain tissue volume in adolescents and adults with autism. Biol. Psychiatry 2006, 59, 1–6. [Google Scholar] [CrossRef]
- Cheng, N.; Alshammari, F.; Hughes, E.; Khanbabaei, M.; Rho, J.M. Dendritic overgrowth and elevated ERK signaling during neonatal development in a mouse model of autism. PLoS ONE 2017, 12, e0179409. [Google Scholar] [CrossRef] [PubMed]
- Belyk, M.; Brown, S.; Lim, J.; Kotz, S.A. Convergence of semantics and emotional expression within the IFG pars orbitalis. NeuroImage 2017, 156, 240–248. [Google Scholar] [CrossRef] [PubMed] [Green Version]
- Salmond, C.H.; de Haan, M.; Friston, K.J.; Gadian, D.G.; Vargha-Khadem, F. Investigating individual differences in brain abnormalities in autism. Philos. Trans. R. Soc. Lond. B Biol. Sci. 2003, 358, 405–413. [Google Scholar] [CrossRef] [Green Version]
- Pham-The, T.; Nishijo, M.; Pham-Ngoc, T.; Vu-Thi, H.; Tran-Ngoc, N.; Tran-Hai, A.; Hoang-Van, L.; Nishino, Y.; Nishijo, H. Effects of prenatal dioxin exposure on children behaviors at 8 years of age of age. In Proceedings of the 39th International Symposium on Halogenated Persistent Organic Pollutants—Dioxin in 2019, Kyoto, Japan, 25–30 August 2019; p. 517. [Google Scholar]
- Kumar, U.; Arya, A.; Agarwal, V. Neural alterations in ADHD children as indicated by voxel-based cortical thickness and morphometry analysis. Brain Dev. 2017, 39, 403–410. [Google Scholar] [CrossRef]
- Nickel, K.; Tebartz van Elst, L.; Manko, J.; Unterrainer, J.; Rauh, R.; Klein, C.; Endres, D.; Kaller, C.P.; Mader, I.; Riedel, A.; et al. Inferior Frontal Gyrus Volume Loss Distinguishes Between Autism and (Comorbid) Attention-Deficit/Hyperactivity Disorder—A FreeSurfer Analysis in Children. Front. Psychiatry 2018, 9, 521. [Google Scholar] [CrossRef] [Green Version]




| Dioxin Congeners | LOD (ppt) | Below LOD | GM | GSD | Min | Max | |
|---|---|---|---|---|---|---|---|
| PCDD Congeners (pg/g Lipid) | No. | % | |||||
| 2,3,7,8-TCDD | 0.03 | 2 | 6.3 | 6.4 | 2.1 | 1.5 | 56.2 |
| 1,2,3,7,8-PeCDD | 0.03 | 0 | 0 | 10.6 | 1.5 | 4.4 | 22.4 |
| 1,2,3,4,7,8-HxCDD | 0.03 | 2 | 6.3 | 6.1 | 1.4 | 3.0 | 11.7 |
| 1,2,3,6,7,8-HxCDD | 0.02 | 0 | 0 | 13.3 | 1.5 | 5.5 | 37.2 |
| 1,2,3,7,8,9-HxCDD | 0.03 | 0 | 0 | 7.2 | 1.6 | 3.1 | 31.6 |
| 1,2,3,4,6,7,8-HpCDD | 0.04 | 0 | 0 | 36.2 | 1.8 | 12.0 | 295 |
| OctaCDD | 0.04 | 0 | 0 | 1027 | 1.6 | 490 | 2570 |
| PCDF congeners (pg/g lipid) | |||||||
| 2,3,7,8-TCDF | 0.02 | 2 | 6.3 | 4.4 | 1.6 | 1.6 | 8.3 |
| 1,2,3,7,8-PeCDF | 0.03 | 7 | 21.9 | 4.5 | 1.7 | 1.3 | 10.2 |
| 2,3,4,7,8-PeCDF | 0.04 | 0 | 0 | 13.6 | 1.3 | 6.6 | 21.9 |
| 1,2,3,4,7,8-HxCDF | 0.02 | 0 | 0 | 14.9 | 1.4 | 7.2 | 30.2 |
| 1,2,3,6,7,8-HxCDF | 0.02 | 0 | 0 | 10.8 | 1.5 | 2.9 | 19.1 |
| 1,2,3,7,8,9-HxCDF | 0.02 | 13 | 40.6 | 3.8 | 2.0 | 0.9 | 67.6 |
| 2,3,4,6,7,8-HxCDF | 0.02 | 1 | 3.1 | 3.8 | 1.6 | 1.3 | 9.8 |
| 1,2,3,4,6,7,8-HpCDF | 0.02 | 0 | 0 | 13.6 | 1.6 | 5.2 | 50.1 |
| 1,2,3,4,7,8,9-HpCDF | 0.04 | 10 | 31.3 | 4.8 | 1.8 | 1.1 | 15.1 |
| OctaCDF | 0.07 | 15 | 46.9 | 10.0 | 1.7 | 2.2 | 21.4 |
| Nonortho-PCB (pg/g lipid) | |||||||
| TCB #77 | 0.05 | 0 | 0 | 56.8 | 1.6 | 17.8 | 186 |
| TCB #81 | 0.05 | 31 | 96.9 | ND | ND | ND | ND |
| PeCB #126 | 0.28 | 30 | 93.8 | ND | ND | ND | ND |
| HxCB #169 | 0.05 | 2 | 6.3 | 43.6 | 1.7 | 16.2 | 145 |
| TEQs (pg-TEQ/g lipid) | |||||||
| TEQ-PCDDs | 21.8 | 1.5 | 9.1 | 69.2 | |||
| TEQ-PCDFs | 8.6 | 1.3 | 5.0 | 14.1 | |||
| TEQ-PCDDs/Fs | 30.8 | 1.4 | 14.5 | 74.1 | |||
| TEQ-nonortho PCBs | 1.1 | 3.8 | 0.01 | 5.89 | |||
| TEQ-PCDDs/Fs/nonorthoPCBs | 32.4 | 1.4 | 14.5 | 79.4 | |||
| Characteristics | Mean, [n] | SD, (%) | Min | Max |
|---|---|---|---|---|
| Age (years) | 35.5 | 5.9 | 25.3 | 49 |
| Education (years) | 11.9 | 3.1 | 1 | 16 |
| Smoking | [15] | (46.9) | ||
| Alcohol consumption | [26] | (81.3) | ||
| Weight (kilogram) | 66.3 | 9.4 | 46 | 81.2 |
| Height (cm) | 165.5 | 5.0 | 154 | 178 |
| BMI | 24.2 | 3.0 | 17.1 | 28.2 |
| Right hand dominant | [28] | (87.5) | ||
| Length of residency (years) | 22.1 | 14.6 | 1 | 44 |
| Used herbicides | [10] | (31.3) | ||
| Worked nearby industrial park | [15] | (46.9) | ||
| Job (% of jobs related to the airbase) | [5] | (15.6) | ||
| Their mothers lived in Bien Hoa during pregnancy | [12] | (37.5) |
| Dioxin Congeners | Brain Regions | No of Voxels in Each Cluster (k) | Peak Z Scores | MNI Coordinates | ||
|---|---|---|---|---|---|---|
| x | y | z | ||||
| Inverse correlations | ||||||
| TCDD | Anterior temporal cortex | 905 | ||||
| (Left medial temporal pole) | 3.81 | −41 | 20 | −38 | ||
| (Left fusiform gyrus) | 3.90 | −27 | 8 | −47 | ||
| TEQ-PCDDs | Left medial temporal pole | 333 | 3.63 | −39 | 21 | −38 |
| Positive correlations | ||||||
| 1,2,3,4,7,8-HxCDD | Left cerebellum lobule VII | 373 | 3.87 | −42 | −60 | −57 |
| Right middle frontal gyrus | 505 | 3.86 | 41 | 6 | 60 | |
| Perinatal Dioxin Exposure | Without (n = 20) | With (n = 12) | p-Value | ES | ||||
|---|---|---|---|---|---|---|---|---|
| Global Volumes | Adj Mean | 95%CI | Adj Mean | 95%CI | ||||
| Lower | Upper | Lower | Upper | |||||
| Gray matter (GM) (cm3) | 615 | 601 | 629 | 651 | 632 | 670 | 0.005 | 0.252 |
| White matter (WM) (cm3) | 527 | 508 | 545 | 551 | 527 | 576 | 0.118 | 0.085 |
| Cerebrospinal fluid (CSF) (cm3) | 300 | 283 | 317 | 306 | 284 | 329 | 0.651 | 0.007 |
| Total brain volume (TBV) (cm3) | 1142 | 1111 | 1172 | 1202 | 1163 | 1242 | 0.020 | 0.178 |
| Total intracranial volume (TIV) (cm3) | 1443 | 1401 | 1484 | 1517 | 1463 | 1570 | 0.034 | 0.151 |
| Brain Regions | No of Voxels in Each Cluster (k) | Peak Z Scores | MNI Coordinates | ||
|---|---|---|---|---|---|
| x | y | z | |||
| Without exposure > With exposure | |||||
| Left inferior frontal gyrus pars orbitalis | 414 | 3.86 | −32 | 39 | −23 |
| With exposure > Without exposure | |||||
| No brain region | - | - | - | - | - |
Publisher’s Note: MDPI stays neutral with regard to jurisdictional claims in published maps and institutional affiliations. |
© 2021 by the authors. Licensee MDPI, Basel, Switzerland. This article is an open access article distributed under the terms and conditions of the Creative Commons Attribution (CC BY) license (https://creativecommons.org/licenses/by/4.0/).
Share and Cite
Vu, H.T.; Pham, T.N.; Yokawa, T.; Nishijo, M.; The, T.P.; Do, Q.; Nishino, Y.; Nishijo, H. Alterations in Regional Brain Regional Volume Associated with Dioxin Exposure in Men Living in the Most Dioxin-Contaminated Area in Vietnam: Magnetic Resonance Imaging (MRI) Analysis Using Voxel-Based Morphometry (VBM). Toxics 2021, 9, 353. https://doi.org/10.3390/toxics9120353
Vu HT, Pham TN, Yokawa T, Nishijo M, The TP, Do Q, Nishino Y, Nishijo H. Alterations in Regional Brain Regional Volume Associated with Dioxin Exposure in Men Living in the Most Dioxin-Contaminated Area in Vietnam: Magnetic Resonance Imaging (MRI) Analysis Using Voxel-Based Morphometry (VBM). Toxics. 2021; 9(12):353. https://doi.org/10.3390/toxics9120353
Chicago/Turabian StyleVu, Hoa Thi, Thao Ngoc Pham, Takashi Yokawa, Muneko Nishijo, Tai Pham The, Quyet Do, Yoshikazu Nishino, and Hisao Nishijo. 2021. "Alterations in Regional Brain Regional Volume Associated with Dioxin Exposure in Men Living in the Most Dioxin-Contaminated Area in Vietnam: Magnetic Resonance Imaging (MRI) Analysis Using Voxel-Based Morphometry (VBM)" Toxics 9, no. 12: 353. https://doi.org/10.3390/toxics9120353
APA StyleVu, H. T., Pham, T. N., Yokawa, T., Nishijo, M., The, T. P., Do, Q., Nishino, Y., & Nishijo, H. (2021). Alterations in Regional Brain Regional Volume Associated with Dioxin Exposure in Men Living in the Most Dioxin-Contaminated Area in Vietnam: Magnetic Resonance Imaging (MRI) Analysis Using Voxel-Based Morphometry (VBM). Toxics, 9(12), 353. https://doi.org/10.3390/toxics9120353

