Histopathological Study of Changes in White-Pulp Structure Due to Lymphoid Depletion in the Spleen in Male Rats Caused by Exposure to Transitional Cigarette Smoke
Highlights
- Cigarette smoke induces lymphoid depletion, leading to white pulp dilation in the spleen.
- Splenic damage includes necrosis and vascular degeneration.
- Switching to e-cigarettes does not reduce splenic toxicity.
- Combined cigarette exposure increases splenic toxic burden.
- These findings indicate that e-cigarettes do not protect against splenic toxicity and may exacerbate immune dysfunction when combined with tobacco smoke.
Abstract
1. Introduction
2. Materials and Method
2.1. Ethical Considerations
2.2. Study Design
2.3. Euthanasia Techniques After Exposure to Cigarette Smoke
2.4. Spleen Histopathology Group
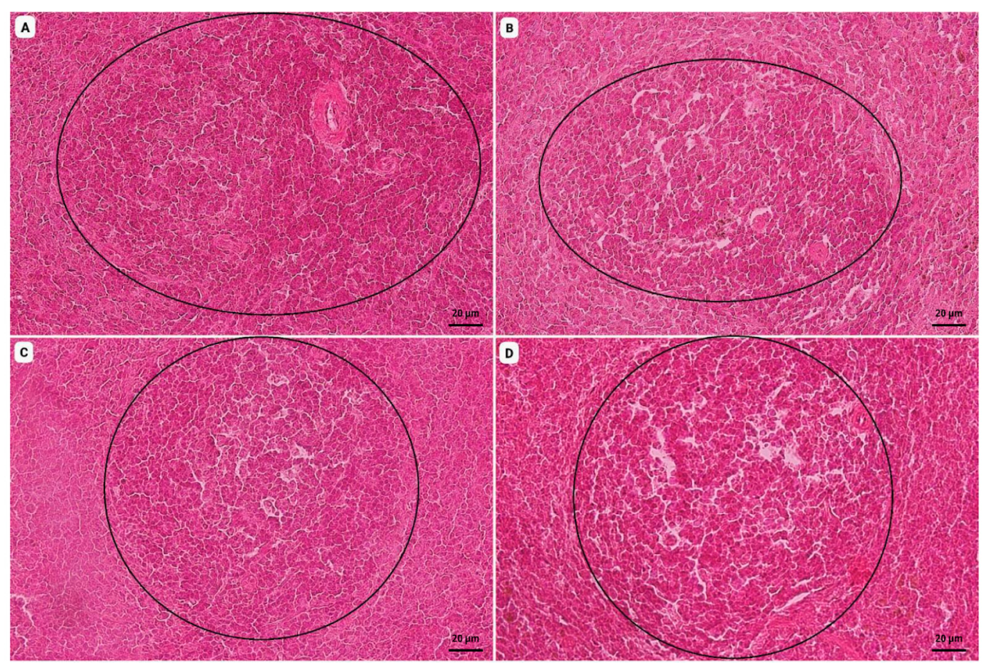
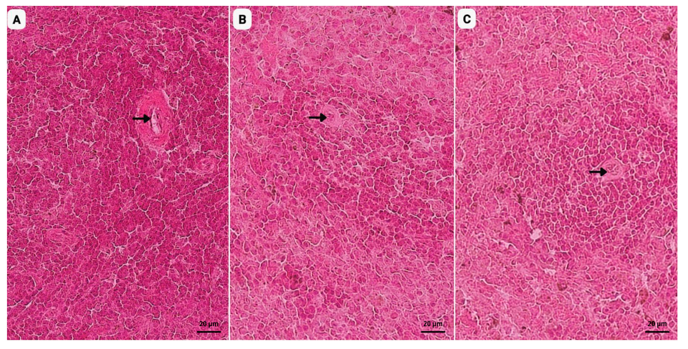
3. Results
3.1. HP Spleen Lesion Area
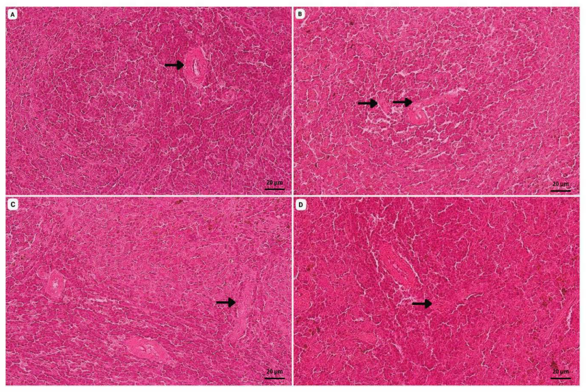
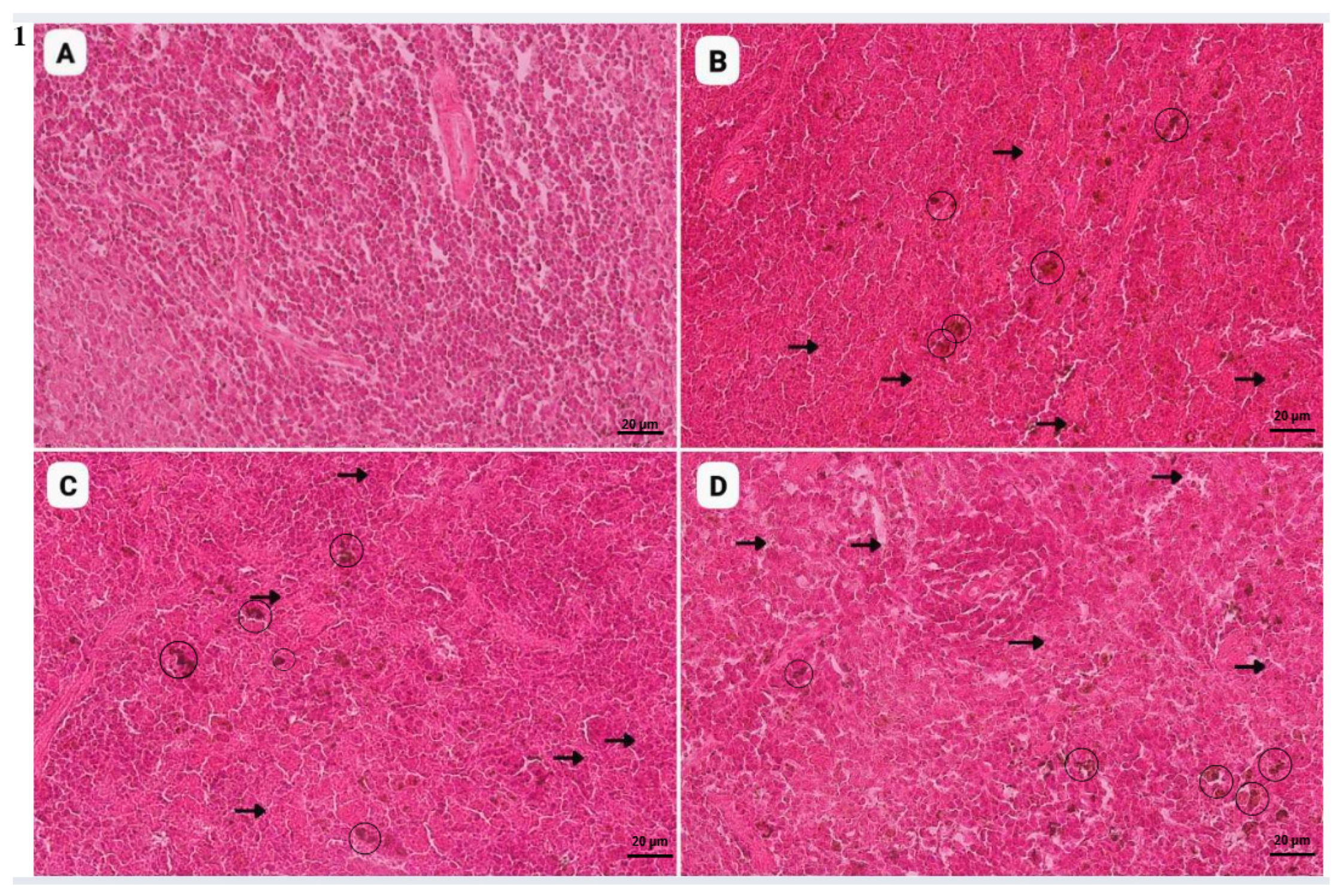
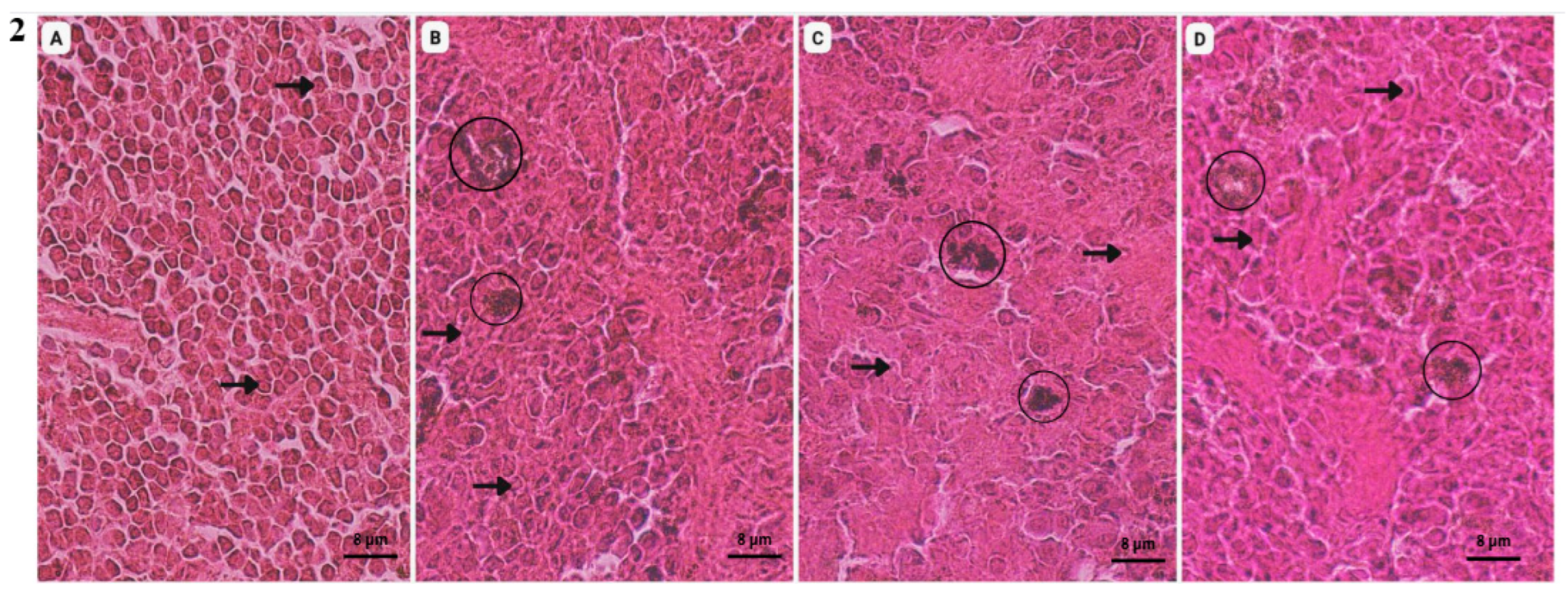
3.2. Histopathological Findings
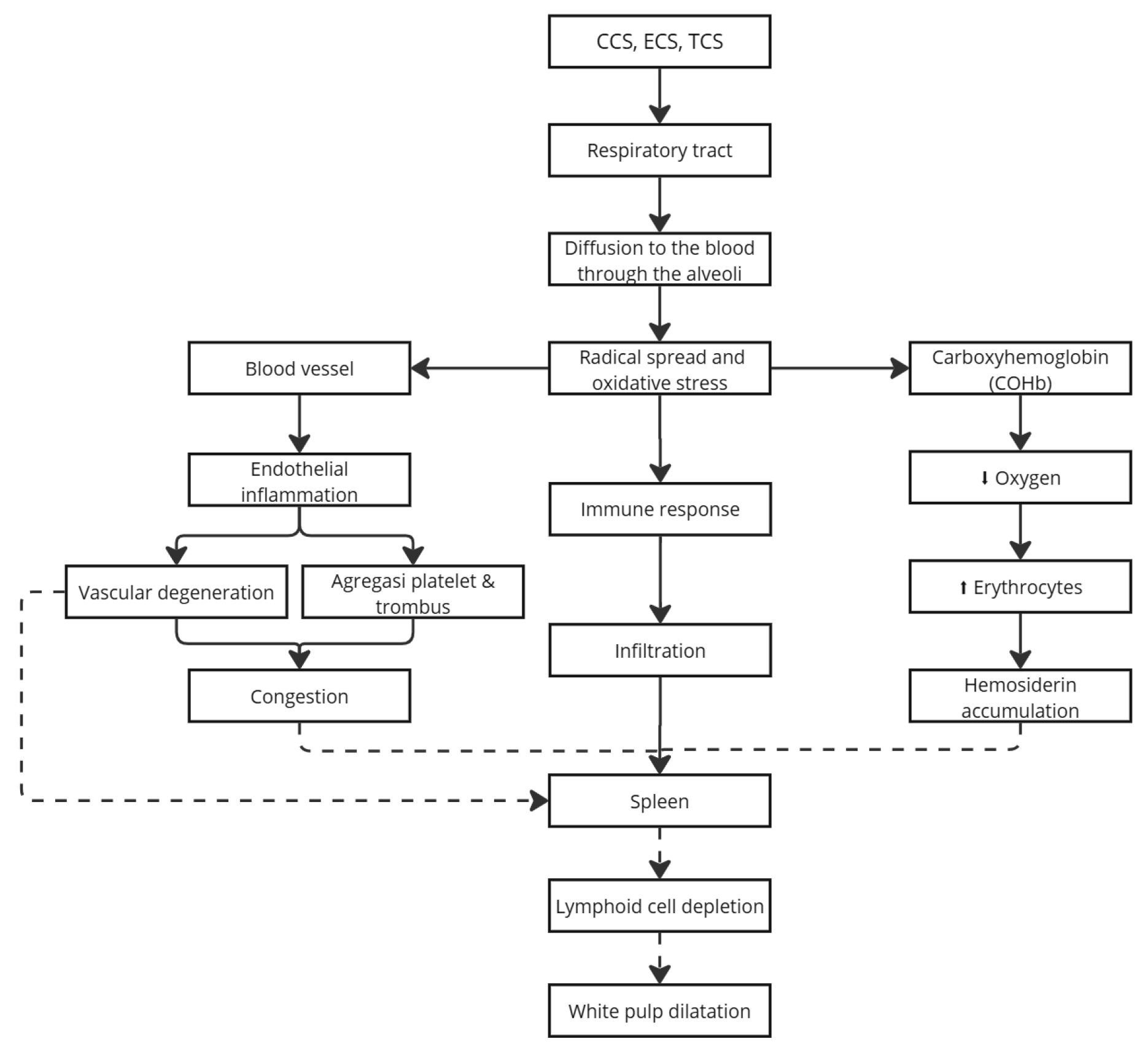
4. Discussion
5. Conclusions
Author Contributions
Funding
Institutional Review Board Statement
Informed Consent Statement
Data Availability Statement
Acknowledgments
Conflicts of Interest
Abbreviations
| CCS | Conventional-Cigarette Smoke |
| ECS | Electronic-Cigarette Smoke |
| TCS | Transitional Cigarette Smoke |
| CO | Carbon Monoxide |
| NO | Nitric Oxide |
| ROS | Reactive Oxygen Species |
| SHS | Secondhand Smoke |
| TSNA | Tobacco-Specific Nitrosamine |
| PAHs | Polycyclic Aromatic Hydrocarbons |
| VOCs | Volatile Organic Compounds |
| H&E | Hematoxylin and Eosin |
| PG | Propylene Glycol |
| VG | Vegetable Glycerin |
| HP | Histopathology |
References
- Ramadhani, Q.F. Limpa (Spleen). 2016. Available online: https://www.academia.edu/28975977/Limpa_spleen_pdf (accessed on 23 August 2024).
- Marchel, Y.A.; Handayani, N.; Indraswari, R. Implementasi Kawasan Tanpa Rokok Sebagai Pencegahan Merokok Pada Remaja Awal. J. Promkes Indones. J. Health Promot. Health Educ. 2019, 7, 144. [Google Scholar] [CrossRef]
- Kementerian Kesehatan Republik Indonesia. Perokok Aktif di Indonesia Tembus 70 Juta Orang, Mayoritas Anak Muda; Kementerian Kesehatan Republik Indonesia: Jakarta Selatan, Indonesia, 2024; Available online: https://kemkes.go.id/id/rilis-kesehatan/perokok-aktif-di-indonesia-tembus-70-juta-orang-mayoritas-anak-muda (accessed on 27 November 2025).
- Jensen, R.P.; Luo, W.; Pankow, J.F.; Strongin, R.M.; Peyton, D.H. Hidden Formaldehyde in E-Cigarette Aerosols. N. Engl. J. Med. 2015, 372, 392–394. [Google Scholar] [CrossRef]
- National Academies of Sciences, Engineering, Medicine. Public Health Consequences of E-Cigarettes, 5. In Toxicology of E-Cigarette Constituents; The National Academies of Sciences, Engineering, and Medicine; Health and Medicine Division: Washington, DC, USA; Board on Population Health and Public Health Practice: Tautan, Indonesia, 2018. Available online: https://www.ncbi.nlm.nih.gov/books/NBK507184/ (accessed on 20 January 2026).
- Leonidovna, K.I. Morphological Changes Occurring in the Spleen and Thymus During Chronic Poisoning with Nicotine-Containing Oral Products. Am. J. Pediatr. Med. Health Sci. 2023, 1, 695–701. [Google Scholar]
- Hidayati, E.; Berata, I.K.; Samsuri, S.; Sudimartini, L.M.; Merdana, I.M. Gambaran Histopatologi Limpa Tikus Putih yang Diberi Deksametason dan Vitamin E. Bul. Vet. Udayana 2018, 10, 18–25. [Google Scholar] [CrossRef][Green Version]
- Matheos, C. Gambaran Histologi Jaringan Limpa Tikus Putih (Rattus norvegicus) yang Diinfeksi Escherichia Coli dan Diberi Madu. e Biomedik 2013, 1, 961–965. [Google Scholar]
- Diniz, M.F. Cigarette Smoke Causes Changes in Liver and Spleen of Mice Newborn Exposed During Pregnancy. J. Cytol. Histol. 2013, 4, 1–5. [Google Scholar] [CrossRef]
- Fajrunni’mah, R. Pengaruh Pemberian Jus Noni Terhadap Selisih Jumlah Total Leukosit, Jumlah Neutrofil, Dan Kadar Alkalifosfatase Pada Tikus Wistar Sebelum Dan Sesudah Diberi Paparan Asap Rokok. Masters’ Thesis, Diponegoro University, Semarang, Indonesia, 2011. Available online: http://eprints.undip.ac.id/31383/ (accessed on 15 January 2025).
- Johar, R.S. E-Cigarettes: Safer Than Tobacco? Mo. Med. 2016, 113, 342. Available online: https://pubmed.ncbi.nlm.nih.gov./30228492/ (accessed on 11 October 2025).
- Wibowo, D.V.; Pangemanan, D.H.C.; Polii, H. Hubungan Merokok dengan Kadar Hemoglobin dan Trombosit pada Perokok Dewasa. J. E-Biomedik 2017, 5, 1–6. [Google Scholar] [CrossRef]
- Peter, A.K.; Crocini, C.; Leinwand, L.A. Expanding our scientific horizons: Utilization of unique model organisms in biological research. EMBO J. 2017, 36, 2311–2314. [Google Scholar] [CrossRef]
- University of North Carolina at Chapel Hill. Standard on Rat Cage Density; University of North Carolina at Chapel Hill–Knowledge Base: Chapel Hill, NC, USA, 2016; Available online: https://policies.unc.edu/TDClient/2833/Portal/KB/ArticleDet?ID=132207 (accessed on 14 December 2024).
- Hage, A.N.; Krause, W.; Mathues, A.; Krasner, L.; Kasten, S.; Eliason, J.L.; Ghosh, A. Comparing the Effects of Electronic Cigarette Vapor and Cigarette Smoke in a Novel In Vivo Exposure System. J. Vis. Exp. 2017, 123, e55672. [Google Scholar] [CrossRef]
- Indonesian Central Bureau of Statistics (BPS). Statistik Indonesia 2021. Available online: https://www.bps.go.id/en/publication/2021/02/26/938316574c78772f27e9b477/statistical-yearbook-of-indonesia-2021.html (accessed on 20 January 2026).
- Di Giacomo, S.; Jazayeri, M.-A.; Barua, R.; Ambrose, J. Environmental Tobacco Smoke and Cardiovascular Disease. Int. J. Environ. Res. Public Health 2018, 16, 96. [Google Scholar] [CrossRef]
- Lawrence, G.S. Implikasi Disfungsi Endotel Dan Radikal Bebas. Unit Riset Vascular, Bagian Patologi, FK Unhas, RSUP Dr. Wahidin Sudirohusodo. 2014. Available online: https://repository.umy.ac.id/bitstream/handle/123456789/6975/dapus.pdf (accessed on 20 January 2026).
- Maulana, I. Pengaruh Penggunaan Rokok Elektrik Dalam Proses Patofisiologi Aterosklerosis Sistematika Review. 2023. Available online: https://proceedings.ums.ac.id/kedokteran/article/view/2945 (accessed on 27 November 2025).
- Onor, I.; Stirling, D.L.; Williams, S.R.; Bediako, D.; Borghol, A.; Harris, M.B.; Darensburg, T.B.; Clay, S.D.; Okpechi, S.C.; Sarpong, D.F. Clinical Effects of Cigarette Smoking: Epidemiologic Impact and Review of Pharmacotherapy Options. Int. J. Environ. Res. Public Health 2017, 14, 1147. [Google Scholar] [CrossRef]
- Kurniawaty, E.; Larasati, T.; Kurnia, M.; Biokimia, B.; Kedokteran, F.; Lampung, U.; Ilmu, B.; Komunitas, K.; Mahasiswa, F.; Kedokteran, F. Pengaruh Paparan Asap Rokok Terhadap Koklea Tikus Putih (Rattus norvegicus) Jantan Galur Sprague dawley. JK Unila 2019, 3, 99–103. [Google Scholar] [CrossRef]
- Darjono, T.; Kurniasih, C.; Warsito, R.; Sutrisno, B. Petunjuk Praktikum Patologi; Laboratorium Patologi Fakultas Kedokteran Hewan UGM: Yogyakarta, Indonesia, 2001. [Google Scholar]
- Eko, H.L.; Suliati, S. Hubungan Kadar Karboksihemoglobin (Hb-CO) terhadap Kadar Hemoglobin (Hb) dan Kadar Hematokrit (PCV) Pada Perokok Aktif. J. Med. Lab. Technol. 2016, 1, 91–97. [Google Scholar]
- Wang, F.; Xiang, L.; Sze-Yin Leung, K.; Elsner, M.; Zhang, Y.; Guo, Y.; Pan, B.; Sun, H.; An, T.; Ying, G.; et al. Emerging contaminants: A One Health perspective. Innovation 2024, 5, 100612. [Google Scholar] [CrossRef]
- Karolina, M.E.; Darmawan, A.; Aurora, W.I.D. Perbandingan Kadar Nitric Oxide Pada Perokok dan Bukan Perokok–Repository Unja. Jambi Med. J. J. Kedokt. Dan Kesehat. 2021, 7, 96–101. [Google Scholar] [CrossRef]
- Nugrahaningsih, W.; Susanty, E.; Nisa, M.D. Aktivitas Imunostimulan Daun Elaeocarpus grandiflorus terhadap Jumlah Leukosit dan Histologi Limpa Tikus yang Diinduksi SDMD. Life Sci. 2023, 12, 92–201. [Google Scholar]
- Marshall, J.S.; Warrington, R.; Watson, W.; Kim, H.L. An Introduction to Immunology and Immunopathology. Allergy Asthma Clin. Immunol. 2018, 14, 49. [Google Scholar] [CrossRef]
- Pisinger, C.; Rasmussen, S.K.B. The Health Effects of Real-World Dual Use of Electronic and Conventional Cigarettes versus the Health Effects of Exclusive Smoking of Conventional Cigarettes: A Systematic Review. Int. J. Environ. Res. Public Health 2022, 19, 3687. [Google Scholar] [CrossRef]
- Stevens, J.F.; Maier, C.S. Acrolein: Sources, metabolism, and biomolecular interactions relevant to human health and disease. Chem. Res. Toxicol. 2008, 52, 7–25. Available online: https://pubmed.ncbi.nlm.nih.gov/18203133/ (accessed on 20 January 2026). [CrossRef]
- Conklin, D.J.; Alper, P.R. Acrolein generation stimulates hypercontraction in isolated human blood vessels. Int. J. Mol. Sci. 2006, 217, 277–288. Available online: https://pubmed.ncbi.nlm.nih.gov/17095030/ (accessed on 20 January 2026). [CrossRef]
- Park, J.; Yang, H.-S.; Song, M.-K.; Kim, D.I. Formaldehyde exposure alters splenic immune response by inducing regulatory T-cell immunosuppression via calcineurin-NFAT signalling pathway. Sci. Rep. 2020, 10, 17023. Available online: https://www.nature.com/articles/s41598-020-72502-9#citeas (accessed on 20 January 2026). [CrossRef]
- Yu, G.-Y.; Song, X.-F.; Liu, Y.; Sun, Z.-W. Inhaled formaldehyde induces bone marrow toxicity via oxidative stress in exposed mice. Asian Pac. J. Cancer Prev. 2014, 15, 5253. Available online: https://pubmed.ncbi.nlm.nih.gov/25040984 (accessed on 20 January 2026). [CrossRef]
- Messner, B.; Bernhard, D. Smoking and Cardiovascular Disease. Arterioscler. Thromb. Vasc. Biol. 2014, 34, 509–515. [Google Scholar] [CrossRef]
- Sompa, S.I.; Ji, J.; Rahman, M.; Sjögren, B.; Upadhyay, S.; Ganguly, K.; Olin, A.-C.; Bergström, A.; Palmberg, L. Local and systemic effects in e-cigarette users compared to cigarette smokers, dual users, and non-smokers. Respir. Res. 2025, 26, 207. [Google Scholar] [CrossRef]
- American Lung Association. What’s In a Cigarette? 2020. Available online: https://www.lung.org/quit-smoking/smoking-facts/whats-in-a-cigarette (accessed on 20 January 2026).
- Estela, M.; Armaidi, D.; Aurora. Perbandingan Kadar Nitric Oxide Pada Perokok dan Bukan Perokok–Repository Unja. Unja.ac.id. 2021. Available online: https://repository.unja.ac.id/18701/1/7148-Article%20Text-16501-1-10-20190708.pdf (accessed on 20 January 2025).






| Group | Control | CCS | ECS | TCS |
|---|---|---|---|---|
| A | 1.10 ± 0.25 | 0.97 ± 0.12 | 1.09 ± 1.15 | 1.03 ± 0.15 |
| B | 0.31 ± 0.05 | 0.38 ± 0.04 | 0.55 ± 0.06 | 0.33 ± 0.26 |
| C | 0.02 ± 0.00 | 0.25 ± 0.13 | 0.07 ± 0.01 | 0.06 ± 0.01 |
| D | 0 ± 0.00 | 0.52 ± 0.52 | 0.02 ± 0.01 | 0 ± 0.00 |
| E | 1.14 ± 0.61 | 0.90 ± 0.55 | 1.28 ± 0.55 | 2.05 ± 1.67 |
| F | 0 ± 0.00 | 0.16 ± 0.14 | 0 ± 0.00 | 0 ± 0.00 |
| Total | 2.57 | 3.18 | 3.01 | 3.47 |
Disclaimer/Publisher’s Note: The statements, opinions and data contained in all publications are solely those of the individual author(s) and contributor(s) and not of MDPI and/or the editor(s). MDPI and/or the editor(s) disclaim responsibility for any injury to people or property resulting from any ideas, methods, instructions or products referred to in the content. |
© 2026 by the authors. Licensee MDPI, Basel, Switzerland. This article is an open access article distributed under the terms and conditions of the Creative Commons Attribution (CC BY) license.
Share and Cite
Hartady, T.; Sifora, S.; Lesmana, R.; Sarniem, B.C. Histopathological Study of Changes in White-Pulp Structure Due to Lymphoid Depletion in the Spleen in Male Rats Caused by Exposure to Transitional Cigarette Smoke. Toxics 2026, 14, 113. https://doi.org/10.3390/toxics14020113
Hartady T, Sifora S, Lesmana R, Sarniem BC. Histopathological Study of Changes in White-Pulp Structure Due to Lymphoid Depletion in the Spleen in Male Rats Caused by Exposure to Transitional Cigarette Smoke. Toxics. 2026; 14(2):113. https://doi.org/10.3390/toxics14020113
Chicago/Turabian StyleHartady, Tyagita, Stevania Sifora, Ronny Lesmana, and Brian Christian Sarniem. 2026. "Histopathological Study of Changes in White-Pulp Structure Due to Lymphoid Depletion in the Spleen in Male Rats Caused by Exposure to Transitional Cigarette Smoke" Toxics 14, no. 2: 113. https://doi.org/10.3390/toxics14020113
APA StyleHartady, T., Sifora, S., Lesmana, R., & Sarniem, B. C. (2026). Histopathological Study of Changes in White-Pulp Structure Due to Lymphoid Depletion in the Spleen in Male Rats Caused by Exposure to Transitional Cigarette Smoke. Toxics, 14(2), 113. https://doi.org/10.3390/toxics14020113

