Assessing the Safety of Mechanically Fibrillated Cellulose Nanofibers (fib-CNF) via Toxicity Tests on Mice: Single Intratracheal Administration and 28 Days’ Oral Intake
Abstract
1. Introduction
2. Experiments
2.1. Materials
fib-CNF
2.2. Single Intratracheal Instillation
2.2.1. Mice
2.2.2. Route of Administration
2.2.3. Observation
General Condition
Body Weight
2.2.4. Blood Tests (Table 2)
| Item | Measurement Method | |
|---|---|---|
| (1) | Red blood cell count (RBC) | Sheath flow DC detection method |
| (2) | Hemoglobin (HGB) | SLS hemoglobin method |
| (3) | Hematocrit value (HCT) | Sheath flow DC detection method |
| (4) | Mean corpuscular volume (MCV) | Sheath flow DC detection and calculation method |
| (5) | Mean corpuscular hemoglobin (MCH) | Sheath flow DC detection and calculation method |
| (6) | Mean corpuscular hemoglobin concentration (MCHC) | Sheath flow DC detection and calculation method |
| (7) | Platelet count (PLT) | Sheath flow DC detection method |
| (8) | Reticulocyte count (RBC) | Flow cytometry method and calculation method |
| (9) | White blood cell count (WBC) | Flow cytometry method |
| (10) | White blood cell count by type | |
| Lymphocyte count | Flow cytometry method | |
| Neutrophil count | Flow cytometry method | |
| Eosinophil count | Flow cytometry method | |
| Basophil count | Flow cytometry method | |
| Monocyte count | Flow cytometry method | |
2.2.5. Pathological Examinations
Partial Examination
Organ Weights
Histopathological Examination
2.2.6. Statistical Processing
2.3. Oral Administration
2.3.1. Mice
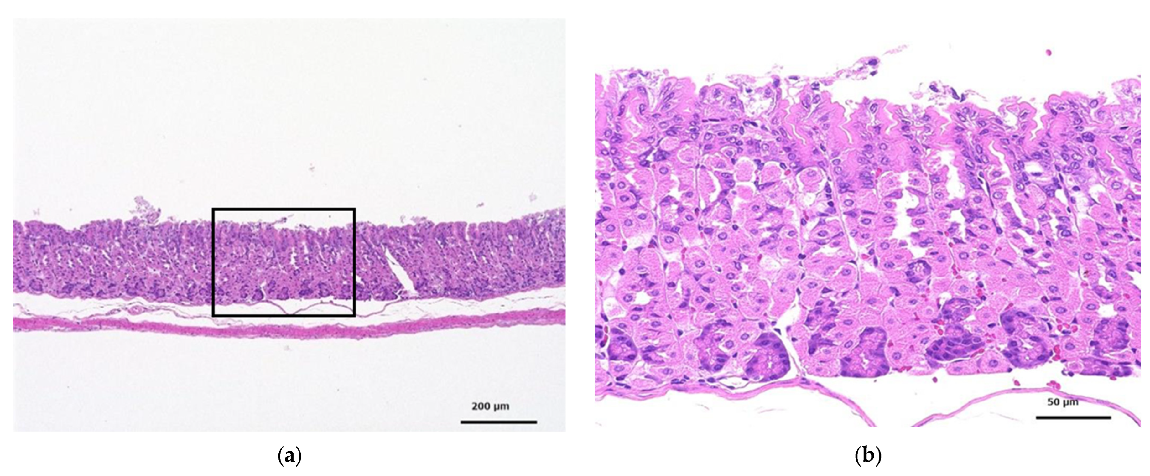
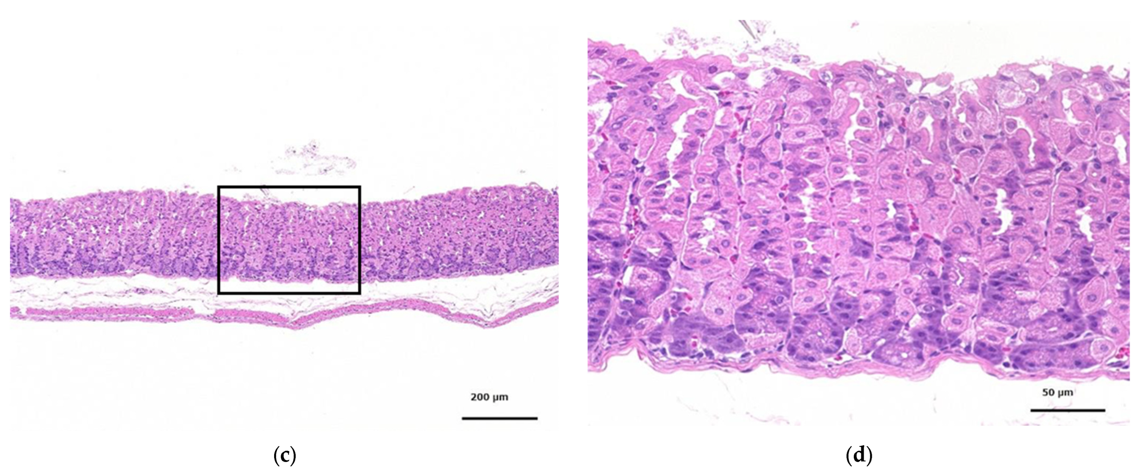
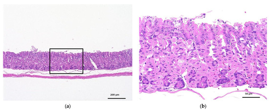
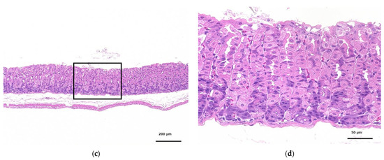
2.3.2. Histopathological Examination
3. Results
3.1. Morphological Observation of fib-CNF
3.2. Toxicity of a Single Intratracheal Instillation of fib-CNF to Mice after 3 and 28 Days
3.2.1. Survival and General Condition
3.2.2. Body Weight
3.2.3. Hematological Examination
3.2.4. Pathological Examination
Necropsy Findings
Organ Weights
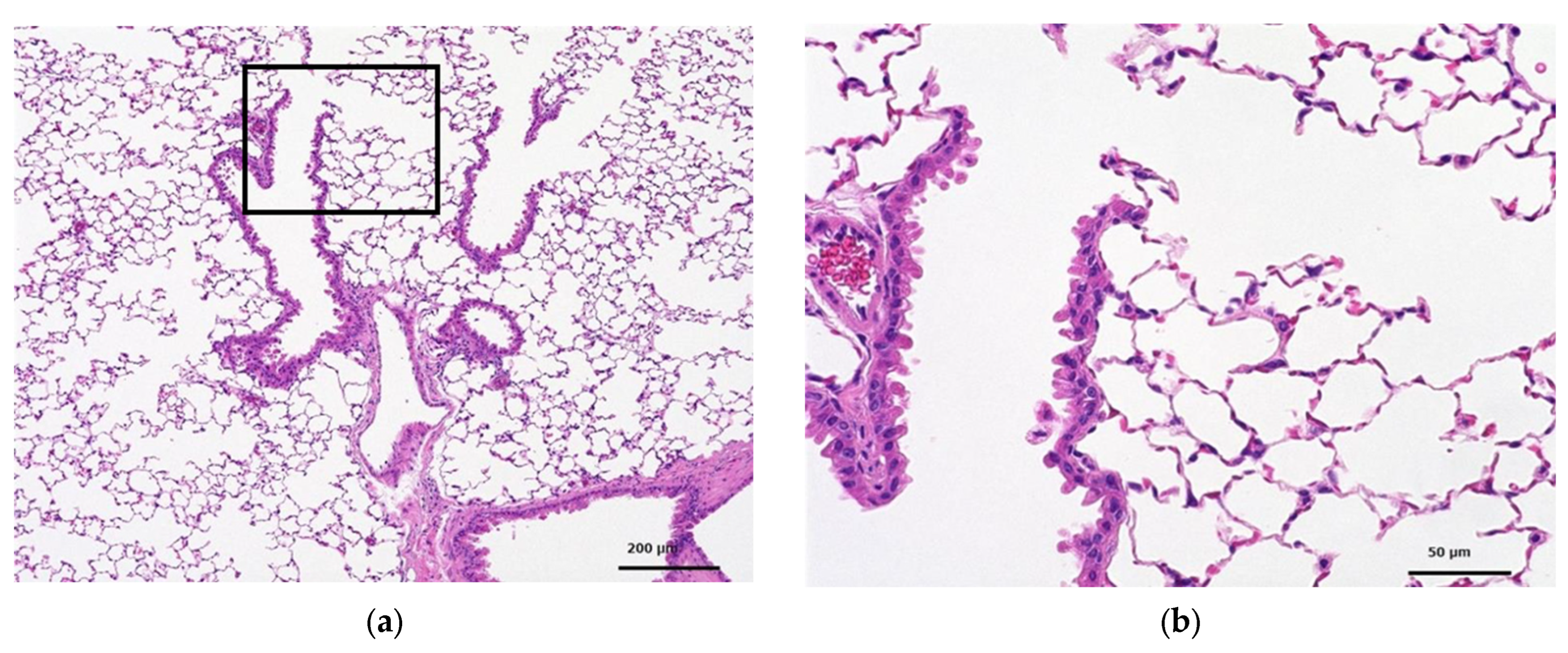
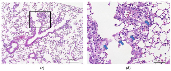
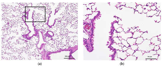
Histopathological Examination
3.3. Toxicity of fib-CNF in Mice after 28 Days of Forced Oral Administration
3.3.1. Survival and General Condition
3.3.2. Body Weight
3.3.3. Hematological Examination
3.3.4. Necropsy
3.3.5. Histopathological Examination
4. Discussion
4.1. Single Intratracheal Instillation
4.2. Oral Administration
5. Conclusions
5.1. Inhalation and Intratracheal Administration of fib-CNF in Mice
- The toxicity of fib-CNF was evaluated by administering a single intratracheal dose of 0.2 mg per body weight to male C57BL/6JJmsSlc mice (100 μL/body). A transient decrease in body weight was observed in the test substance administration group 3 days after dosing. Hematological tests revealed a significantly increased eosinophil count and a significantly decreased reticulocyte count in the test substance administration group at the 3-day mark, but not at the 28-day mark. However, increased lung weights were noted in the test substance administration group at both 3 and 28 days post-administration.
- No abnormalities were observed at necropsy; histopathologic examination consistently showed a moderate accumulation of alveolar macrophages in all cases at 3 and 28 days after administration. These changes were interpreted as adaptive responses to the intratracheal administration of the test compound.
- Inhalation of a single intratracheal dose of fib-CNF into the lungs showed that CNF-induced inflammation persisted even after 28 days. However, fib-CNF-induced lung inflammation was reduced over time.
- Inhalation of a single intratracheal dose of fib-CNF into the lung showed that CNF-induced inflammation persisted even after 28 days. Further safety evaluation is needed for CNF with different fiber lengths, widths, and surface properties.
5.2. Oral Administration of Fib-CNF to Mice
- 5.
- To evaluate the effects of repeated administration, fib-CNF was administered orally by gavage to male C57BL/6JJmsSlc mice (10 mice/group) at doses of 0 (vehicle: water for injection) and 400 mg/kg/day for 28 days.
- 6.
- Body weight, necropsy, and histopathologic examination of the gastrointestinal tract did not reveal any changes indicative of effects of test substance administration. That is, no overt toxic changes were observed because of the administration of the test substance via fib-CNF.
Supplementary Materials
Author Contributions
Funding
Institutional Review Board Statement
Informed Consent Statement
Data Availability Statement
Conflicts of Interest
References
- Pinto, F.; Lourenço, A.F.; Pedrosa, J.F.S.; Gonçalves, L.; Ventura, C.; Vital, N.; Bettencourt, A.; Fernandes, S.N.; da Rosa, R.R.; Godinho, M.H.; et al. Analysis of the In Vitro Toxicity of Nanocelluloses in Human Lung Cells as Compared to Multi-Walled Carbon Nanotubes. Nanomaterials 2022, 12, 1432. [Google Scholar] [CrossRef]
- Li, J.; Wang, X.; Chang, C.H.; Jiang, J.; Liu, Q.; Liu, X.; Liao, Y.P.; Ma, T.; Meng, H.; Xia, T. Nanocellulose Length Determines the Differential Cytotoxic Effects and Inflammatory Responses in Macrophages and Hepatocytes. Small 2021, 17, 2102545. [Google Scholar] [CrossRef]
- Fujita, K.; Obara, S.; Maru, J.; Endoh, S. Pulmonary inflammation following intratracheal instillation of cellulose nanofibrils in rats: Comparison with multi-walled carbon nanotubes. Cellulose 2021, 28, 7143–7164. [Google Scholar] [CrossRef]
- Cândido, A.d.L.P.; Fregonezi, N.F.; Carvalho, A.J.F.; Trovatti, E.; Resende, F.A. TEMPO-Oxidized Cellulose Nanofibers In Vitro Cyto-genotoxicity Studies. BioNanoScience 2020, 10, 766–772. [Google Scholar] [CrossRef]
- Shazali, N.A.H.; Zaidi, N.E.; Ariffin, H.; Abdullah, L.C.; Ghaemi, F.; Abdullah, J.M.; Takashima, I.; Rahman, N.M.A.N.A. Characterization and Cellular Internalization of Spherical Cellulose Nanocrystals (CNC) into Normal and Cancerous Fibroblasts. Materials 2019, 12, 3251. [Google Scholar] [CrossRef]
- Salari, M.; Bitounis, D.; Bhattacharya, K.; Pyrgiotakis, G.; Zhang, Z.; Purington, E.; Gramlich, W.; Grondin, Y.; Rogers, R.; Bousfield, D.; et al. Development & Characterization of Fluorescently Tagged Nanocellulose for Nanotoxicological Studies. Environ. Sci. Nano 2019, 6, 1516–1526. [Google Scholar]
- Ventura, C.; Lourenço, A.F.; Sousa-Uva, A.; Ferreira, P.J.; Silva, M.J. Evaluating the genotoxicity of cellulose nanofibrils in a co-culture of human lung epithelial cells and monocyte-derived macrophages. Toxicol. Lett. 2018, 291, 173–183. [Google Scholar] [CrossRef]
- Ong, K.J.; Ede, J.D.; Pomeroy-Carter, C.A.; Sayes, C.M.; Mulenos, M.R.; Shatkin, J.A. A 90-day dietary study with fibrillated cellulose in Sprague-Dawley rats. Toxicol. Rep. 2020, 7, 174–182. [Google Scholar] [CrossRef] [PubMed]
- Nagai, H.; Toyokuni, S. Biopersistent fiber-induced inflammation and carcinogenesis: Lessons learned from asbestos toward safety of fibrous nanomaterials. Arch. Biochem. Biophys. 2010, 502, 1–7. [Google Scholar] [CrossRef] [PubMed]
- Driscoll, K.E.; Costa, D.L.; Hatch, G.; Henderson, R.; Oberdorster, G.; Salem, H.; Schlesinger, R.B. Intratracheal Instillation as an Exposure Technique for the Evaluation of Respiratory Tract Toxicity: Uses and Limitations. Toxicol. Sci. 2000, 55, 24–35. [Google Scholar] [CrossRef] [PubMed]
- Suka, M.; Kido, T.; Yoshioka, W.; Hachisuka, E.; Okoshi, H.; Yamauchi, T.; Hano, H.; Okano, T.; Yokoyama, M.; Yanagisawa, H. Single intratracheal administration of cross-linked water-soluble acrylic acid polymer causes acute alveolo-interstitial inflammation and the subsequent fibrotic formation possibly via the TGF-β1 pathway in the lung of rats. Toxicology 2021, 448, 152647. [Google Scholar] [CrossRef]
- Ema, M.; Takehara, H.; Naya, M.; Kataura, H.; Fujita, K.; Honda, K. Length effects of single-walled carbon nanotubes on pulmonary toxicity after intratracheal instillation in rats. J. Toxicol. Sci. 2017, 42, 367–378. [Google Scholar] [CrossRef]
- Kajiwara, T.; Ogami, A.; Yamato, H.; Oyabu, T.; Morimoto, Y.; Tanaka, I. Effect of Particle Size of Intratracheally Instilled Crystalline Silica on Pulmonary Inflammation. J. Occup. Health 2007, 49, 88–94. [Google Scholar] [CrossRef]
- Tatrai, E.; Brozik, M.; Adamis, Z.; Ungvary, G. Combined pulmonary toxicity of diethyldithiocarbamate and lead (II) oxide in rats. J. Appl. Toxicol. 1998, 18, 33–37. [Google Scholar] [CrossRef]
- Mithal, R.K. Studies on acute cadmium exposure in lung, adrenal and spleen of squirrels (Funambulus pennanti, Wroughton 1905) after different administrative routes. Ind. Health 1983, 21, 107–115. [Google Scholar] [CrossRef] [PubMed]
- Ede, J.D.; Ong, K.J.; Goergen, M.; Rudie, A.; Pomeroy-Carter, C.A.; Shatkin, J.A. Risk Analysis of Cellulose Nanomaterials by Inhalation: Current State of Science. Nanomaterials 2019, 9, 337. [Google Scholar] [CrossRef] [PubMed]
- Tanpichai, S.; Mekcham, S.; Kongwittaya, C.; Kiwijaroun, W.; Thongdonsun, K.; Thongdeelerd, C.; Boonmahitthisud, A. Extraction of Nanofibrillated Cellulose from Water Hyacinth Using a High Speed Homogenizer. J. Nat. Fibers 2021, 19, 5676–5696. [Google Scholar] [CrossRef]
- Nagano, T.; Yano, H. Effect of dietary cellulose nanofiber and exercise on obesity and gut microbiota in mice fed a high-fat-diet. Biosci. Biotechnol. Biochem. 2020, 84, 613–620. [Google Scholar] [CrossRef] [PubMed]
- Takahashi, R.; Morohashi, A.; Mori, B. Dietary Fiber Contents in Catered Meals for Female Students. Comparison of Values Estimated by Using “Standard Tables of Food Composition in Japan-Dietary Fiber-” with Those Determined by a Modified Prosky Method. Jpn. J. Nutr. Diet. 1995, 53, 273–280. [Google Scholar] [CrossRef]
- Ilves, M.; Vilske, S.; Aimonen, K.; Lindberg, H.K.; Pesonen, S.; Wedin, I.; Nuopponen, M.; Vanhala, E.; Højgaard, C.; Winther, J.R.; et al. Nanofibrillated cellulose causes acute pulmonary inflammation that subsides within a month. Nanotoxicology 2018, 12, 729–746. [Google Scholar] [CrossRef]
- Catalán, J.; Rydman, E.; Aimonen, K.; Hannukainen, K.-S.; Suhonen, S.; Vanhala, E.; Moreno, C.; Meyer, V.; Perez, D.d.S.; Sneck, A.; et al. Genotoxic and inflammatory effects of nanofibrillated cellulose in murine lungs. Mutagenesis 2017, 32, 23–31. [Google Scholar] [CrossRef] [PubMed]
- Feng, C.; Zhang, M.; Zhang, S.; Zhang, J.; Li, C.; Zhou, J. Therapeutic effects of pentoxifylline on invasive pulmonary aspergillosis in immunosuppressed mice. BMC Pulm. Med. 2021, 21, 31. [Google Scholar] [CrossRef]
- Lu, K.; Lai, K.P.; Stoeger, T.; Ji, S.; Lin, Z.; Lin, X.; Chan, T.F.; Fang, J.K.-H.; Lo, M.; Gao, L.; et al. Detrimental effects of microplastic exposure on normal and asthmatic pulmonary physiology. J. Hazard. Mater. 2021, 416, 126069. [Google Scholar] [CrossRef] [PubMed]
- Lee, S.-M.; Shin, Y.-J.; Go, R.-E.; Bae, S.-H.; Kim, C.-W.; Kim, S.; Kim, M.-S.; Choi, K.-C. Inhalation exposure by cigarette smoke: Effects on the progression of bleomycin- and lipopolysaccharide-induced lung injuries in rat models. Toxicology 2021, 451, 152695. [Google Scholar] [CrossRef]
- Satoh, T.; Arai, E.; Kayano, H.; Sakaguchi, H.; Takahashi, N.; Tsukasaki, K.; Yasuda, M. Pulmonary intravascular large B-cell lymphoma accompanying synchronous primary pulmonary adenocarcinoma and benign interstitial lesions. J. Clin. Exp. Hematop. 2019, 59, 140–144. [Google Scholar] [CrossRef] [PubMed]
- Wang, K.-Y.; Tanimoto, A.; Inenaga, T.; Yamada, S.; Shimajiri, S.; Ding, Y.; Guo, X.; Sasaguri, Y. Pulmonary capillary hemangiomatosis in chronic cardiac failure due to aortic stenosis. J. UOEH 2009, 31, 339–344. [Google Scholar] [CrossRef]
- Teow, Y.; Asharani, P.V.; Hande, M.P.; Valiyaveettil, S. Health impact and safety of engineered nanomaterials. Chem. Commun. 2011, 47, 7025–7038. [Google Scholar] [CrossRef]
- Thiabmak, C.; Chiewchan, N.; Devahastin, S. Production and characterization of nanofibrillated cellulose gels simultaneously exhibiting thermally stable green color and oil-in-water emulsion stabilizing capability from Centella asiatica. J. Food Sci. 2023, 88, 3036–3048. [Google Scholar] [CrossRef]
- Wang, D.; Wang, K.; Zhao, L.; Liu, X.; Hu, Z. Fabrication and application of pickering emulsion stabilized by high pressure homogenization modified longan shell nanofiber. J. Food Eng. 2023, 339, 111264. [Google Scholar] [CrossRef]
- Guerra, A.S.; Hoyos, C.G.; Velásquez-Cock, J.; Vélez, L.; Gañán, P.; Zuluaga, R. The Effects of Adding a Gel-Alike Curcuma longa L. Suspension as Color Agent on Some Quality and Sensory Properties of Yogurt. Molecules 2022, 27, 946. [Google Scholar] [CrossRef]
- Piao, X.; Li, J.; Zhao, Y.; Guo, L.; Zheng, B.; Zhou, R.; Ostrikov, K. Oxidized cellulose nanofibrils-based surimi gel enhancing additives: Interactions, performance and mechanisms. Food Hydrocoll. 2022, 133, 107893. [Google Scholar] [CrossRef]
- Perumal, A.B.; Nambiar, R.B.; Moses, J.; Anandharamakrishnan, C. Nanocellulose: Recent trends and applications in the food industry. Food Hydrocoll. 2022, 127, 107484. [Google Scholar] [CrossRef]
- LakshmiBalasubramaniam, S.; Patel, A.S.; Nayak, B.; Howell, C.; Skonberg, D. Antioxidant and antimicrobial modified cellulose nanofibers for food applications. Food Biosci. 2021, 44, 101421. [Google Scholar] [CrossRef]
- Shaghaleh, H.; Hamoud, Y.A.; Xu, X.; Liu, H.; Wang, S.; Sheteiwy, M.; Dong, F.; Guo, L.; Qian, Y.; Li, P.; et al. Thermo-/pH-responsive preservative delivery based on TEMPO cellulose nanofiber/cationic copolymer hydrogel film in fruit packaging. Int. J. Biol. Macromol. 2021, 183, 1911–1924. [Google Scholar] [CrossRef]
- Choudhury, R.R.; Sahoo, S.K.; Gohil, J.M. Potential of bioinspired cellulose nanomaterials and nanocomposite membranes thereof for water treatment and fuel cell applications. Cellulose 2020, 27, 6719–6746. [Google Scholar] [CrossRef]
- Gao, H.; Duan, B.; Lu, A.; Deng, H.; Du, Y.; Shi, X.; Zhang, L. Fabrication of cellulose nanofibers from waste brown algae and their potential application as milk thickeners. Food Hydrocoll. 2018, 79, 473–481. [Google Scholar] [CrossRef]
- Sun, L.; Chen, W.; Liu, Y.; Li, J.; Yu, H. Soy protein isolate/cellulose nanofiber complex gels as fat substitutes: Rheological and textural properties and extent of cream imitation. Cellulose 2015, 22, 2619–2627. [Google Scholar] [CrossRef]
- Malayappan, M.S.; Natarajan, G.; Mockaiyathevar, L.; Ramasamy, M. Acute and subacute toxicity assessment of Madhulai Manappagu (Siddha herbal syrup formulation) in animal model. J. Complement. Integr. Med. 2022, 19, 9–18. [Google Scholar] [CrossRef]
- Yi, Y.; Gao, S.; Xia, J.; Li, C.; Zhao, Y.; Zhang, Y.; Liang, A.; Ji, S. Study of the accumulation and distribution of arsenic species and association with arsenic toxicity in rats after 30 days of oral realgar administration. J. Ethnopharmacol. 2020, 247, 111576. [Google Scholar] [CrossRef]
- Mirza, A.C.; Panchal, S.S. Safety evaluation of syringic acid: Subacute oral toxicity studies in Wistar rats. Heliyon 2019, 5, e02129. [Google Scholar] [CrossRef] [PubMed]
- Xu, Y.; Park, S.H.; Yoon, K.N.; Park, S.J.; Gye, M.C. Effects of citrate ester plasticizers and bis (2-ethylhexyl) phthalate in the OECD 28-day repeated-dose toxicity test (OECD TG 407). Environ. Res. 2019, 172, 675–683. [Google Scholar] [CrossRef]
- Igarashi, T.; Serizawa, H.; Kobayashi, K.; Suzuki, H.; Matsumoto, M.; Iso, T.; Kawamura, T.; Inoue, K.; Ono, A.; Yamada, T.; et al. Initial hazard assessment of 4-benzylphenol, a structural analog of bisphenol F: Genotoxicity tests in vitro and a 28-day repeated-dose toxicity study in rats. Regul. Toxicol. Pharmacol. 2018, 96, 64–75. [Google Scholar] [CrossRef] [PubMed]
- Matsumoto, M.; Furukawa, M.; Kobayashi, K.; Iso, T.; Igarashi, T.; Yamada, T.; Hirose, A. A 28-day repeated oral-dose toxicity study of insecticide synergist N-(2-ethylhexyl)-1-isopropyl-4-methylbicyclo[2.2.2]oct-5-ene-2,3-dicarboximide in rats. Fundam. Toxicol. Sci. 2018, 5, 1–11. [Google Scholar] [CrossRef][Green Version]
- Yoshioka, T.; Yoshimura, S.; Yamaguchi, Y.; Hoshuyama, S.; Okada, M.; Narama, I.; Okuno, Y. Neuropathological evaluation of acrylamide- and 3,3′-iminodipropionitrile-induced neurotoxicity in a rat 28-day oral toxicity study—Collaborative project for standardization of test procedures and evaluation of neurotoxicity. J. Toxicol. Pathol. 2021, 14, 279–287. [Google Scholar] [CrossRef]
- Lovasova, V.; Bem, R.; Chlupac, J.; Dubsky, M.; Husakova, J.; Nemcova, A.; Fronek, J. Animal experimental models of ischemic wounds—A review of literature. Wound Repair Regen. 2022, 30, 268–281. [Google Scholar] [CrossRef] [PubMed]
- Bai, Y.; Meng, Q.; Wang, C.; Ma, K.; Li, J.; Li, J.; Shan, A. Gut Microbiota Mediates Lactobacillus rhamnosus GG Alleviation of Deoxynivalenol-Induced Anorexia. J. Agric. Food Chem. 2023, 71, 8164–8181. [Google Scholar] [CrossRef]
- Izco, M.; Vettorazzi, A.; de Toro, M.; Sáenz, Y.; Alvarez-Erviti, L. Oral Sub-Chronic Ochratoxin a Exposure Induces Gut Microbiota Alterations in Mice. Toxins 2021, 13, 106. [Google Scholar] [CrossRef]
- Ren, C.; Sun, K.; Zhang, Y.; Hu, Y.; Hu, B.; Zhao, J.; He, Z.; Ding, R.; Wang, W.; Liang, C. Sodium–Glucose CoTransporter-2 Inhibitor Empagliflozin Ameliorates Sunitinib-Induced Cardiac Dysfunction via Regulation of AMPK–mTOR Signaling Pathway–Mediated Autophagy. Front. Pharmacol. 2021, 12, 664181. [Google Scholar] [CrossRef]
- Fair, P.A.; Peden-Adams, M.M.; Mollenhauer, M.A.; Bossart, G.D.; Keil, D.E.; White, N.D. Effects of an environmentally relevant PCB-mixture on immune function, clinical chemistry, and thyroid hormone levels in adult female B6C3F1 mice. J. Toxicol. Environ. Health Part A 2021, 84, 279–297. [Google Scholar] [CrossRef]
- Fader, K.A.; Nault, R.; Kirby, M.P.; Markous, G.; Matthews, J.; Zacharewski, T.R. Convergence of hepcidin deficiency, systemic iron overloading, heme accumulation, and REV-ERBα/β activation in aryl hydrocarbon receptor-elicited hepatotoxicity. Toxicol. Appl. Pharmacol. 2017, 321, 1–17. [Google Scholar] [CrossRef]
- Zhang, Z.; Zhang, X.-X.; Wu, B.; Yin, J.; Yu, Y.; Yang, L. Comprehensive insights into microcystin-LR effects on hepatic lipid metabolism using cross-omics technologies. J. Hazard. Mater. 2016, 315, 126–134. [Google Scholar] [CrossRef] [PubMed]
- Karrow, N.A.; McCay, J.A.; Brown, R.D.; Musgrove, D.L.; Germolec, D.R.; White, K.L. Evaluation of the Immunomodulatory Effects of the Macrolide Antibiotic, Clarithromycin, In Female B6c3f1 Mice: A 28-Day Oral Gavage Study. Drug Chem. Toxicol. 2001, 24, 19–37. [Google Scholar] [CrossRef] [PubMed]
- Carr, P.L.C.R. Immunotoxicological assessment of methyl parathion in female B6C3F1 mice. J. Toxicol. Environ. Health Part A 1998, 54, 1–20. [Google Scholar] [CrossRef]
- Zhang, K.; Zhang, H.; Wang, W. Toxicological studies and some functional properties of carboxymethylated cellulose nanofibrils as potential food ingredient. Int. J. Biol. Macromol. 2021, 190, 887–893. [Google Scholar] [CrossRef]
- Chen, Y.; Lin, Y.-J.; Nagy, T.; Kong, F.; Guo, T.L. Subchronic exposure to cellulose nanofibrils induces nutritional risk by non-specifically reducing the intestinal absorption. Carbohydr. Polym. 2020, 229, 115536. [Google Scholar] [CrossRef]








| Group | Test Substance | Dose (mg/Body) | Concentration of Administered Solution (wt%) | Dose Volume (μL/Body) | Number of Animals | Necropsy Date |
|---|---|---|---|---|---|---|
| 01M | – | 0 a | 0 | 100 | 5 | 3 days after administration |
| 02M | fib-CNF BiNfi-s FMa-10002 | 0.2 | 0.2 | 100 | 5 | |
| 03M | – | 0 a | 0 | 100 | 5 | 28 days after administration |
| 04M | fib-CNF BiNfi-s FMa-10002 | 0.2 | 0.2 | 100 | 5 |
| Group | Test Substance | Dose (mg/kg/day) | Concentration of Administered Solution (wt%) | Number of Animals |
|---|---|---|---|---|
| 01N | – | 0 a | 0 | 10 |
| 02N | fib-CNF BiNfi-s FMa-10002 | 400 b | 2 | 10 |
| Specimen | Sex | Dose (mg/Body) | No. of Animals | RBC (×104/µL) | HGB (g/dL) | HCT (%) | MCV (fL) | MCH (pg) | MCHC (g/dL) |
|---|---|---|---|---|---|---|---|---|---|
| Control | M | 0 | 4 a | 927 ± 29 | 13.5 ± 0.3 | 42.5 ± 1.3 | 45.9 ± 1.6 | 14.6 ± 0.2 | 31.8 ± 0.7 |
| fib-CNF | M | 0.2 | 5 | 924 ± 28 | 13.6 ± 0.2 | 42.6 ± 0.3 | 46.1 ± 1.3 | 14.7 ± 0.3 | 31.9 ± 0.5 |
| PLT (×104/µL) | Reticulocytes (×104/µL) | WBC (×102/µL) | Leukocytes | ||||||
| Lymphocytes (×102/µL) | Neutrophils (×102/µL) | Eosinophils (×102/µL) | Basophils (×102/µL) | Monocytes (×102/µL) | |||||
| 142.6 ± 15.1 | 44.4 ± 9.7 | 43.2 ± 10.6 | 37.7 ± 9.6 | 3.2 ± 0.6 | 1.0 ± 0.2 | ND | 1.3 ± 0.3 | ||
| 139.0 ± 45.8 | 29.6 ± 8.2 * | 41.8 ± 14.4 | 34.7 ± 11.7 | 3.2 ± 1.2 | 2.2 ± 1.0 * | ND | 1.7 ± 0.9 | ||
| Specimen | Sex | Dose (mg/Body) | No. of Animals | RBC (×104/µL) | HGB (g/dL) | HCT (%) | MCV (fL) | MCH (pg) | MCHC (g/dL) |
|---|---|---|---|---|---|---|---|---|---|
| Control | M | 0 | 5 | 976 ± 16 | 14.1 ± 0.4 | 44.1 ± 1.2 | 45.2 ± 1.1 | 14.5 ± 0.3 | 32.0 ± 0.3 |
| fib-CNF | M | 0.2 | 5 | 974 ± 31 | 14.2 ± 0.3 | 44.7 ± 0.9 | 45.9 ± 0.7 | 14.6 ± 0.4 | 31.7 ± 0.5 |
| PLT (×104/µL) | Reticulocytes (×104/µL) | WBC (×102/µL) | Leukocytes | ||||||
| Lymphocytes (×102/µL) | Neutrophils (×102/µL) | Eosinophils (×102/µL) | Basophils (×102/µL) | Monocytes (×102/µL) | |||||
| 145.1 ± 15.1 | 46.7 ± 3.0 | 69.7 ± 18.5 | 60.0 ± 16.3 | 5.9 ± 1.6 | 1.0 ± 0.4 | ND | 2.9 ± 0.8 | ||
| 140.9 ± 27.1 | 43.1 ± 4.4 | 80.4 ± 25.0 | 70.5 ± 21.7 | 6.0 ± 2.0 | 1.1 ± 0.5 | ND | 2.8 ± 0.9 | ||
| Specimen | Sex | Dose (mg/Body) | No. of Animals | Body Weight (g) | Lungs (g) |
|---|---|---|---|---|---|
| Control | M | 0 | 5 | 27.0 ± 1.0 | 0.138 ± 0.006 |
| Fib-CNF | M | 0.2 | 5 | 25.7 ± 0.4 # | 0.194 ± 0.008 ## |
| Specimen | Sex | Dose (mg/Body) | No. of Animals | Body Weight (g) | Lungs (g) |
|---|---|---|---|---|---|
| Control | M | 0 | 5 | 28.6 ± 0.7 | 0.141 ± 0.008 |
| Fib-CNF | M | 0.2 | 5 | 28.5 ± 0.6 | 0.177 ± 0.013 ## |
| Specimen | Dose (mg/Body) | Number of Animals | Scale | ||||
|---|---|---|---|---|---|---|---|
| None | Minimal | Minor | Moderate | Severe | |||
| Control-1 | 0 | 5 | 5 | 0 | 0 | 0 | 0 |
| fib-CNF | 0.2 | 5 | 0 | 0 | 0 | 5 ** | 5 |
| Specimen | Dose (mg/Body) | Number of Animals | Scale | ||||
|---|---|---|---|---|---|---|---|
| None | Minimal | Minor | Moderate | Severe | |||
| Control-1 | 0 | 5 | 5 | 0 | 0 | 0 | 0 |
| fib-CNF | 0.2 | 5 | 0 | 0 | 0 | 5 ** | 0 |
| Specimen | Sex | Dose (mg/Body) | No. of Animals | RBC (×104/µL) | HGB (g/dL) | HCT (%) | MCV (fL) | MCH (pg) | MCHC (g/dL) |
|---|---|---|---|---|---|---|---|---|---|
| Control | M | 0 | 4 | 978 ± 22 | 14.5 ± 0.3 | 43.5 ± 0.7 | 44.5 ± 0.3 | 14.8 ± 0.2 | 33.3 ± 0.3 |
| fib-CNF | M | 400 | 5 | 973 ± 20 | 14.5 ± 0.3 | 43.5 ± 0.7 | 44.7 ± 0.4 | 14.9 ± 0.2 | 33.2 ± 0.2 |
| PLT (×104/µL) | Reticulocytes (×104/µL) | WBC (×102/µL) | Leukocytes | ||||||
| Lymphocytes (×102/µL) | Neutrophils (×102/µL) | Eosinophils (×102/µL) | Basophils (×102/µL) | Monocytes (×102/µL) | |||||
| 154.1 ± 3.1 | 48.0 ± 2.0 | 15.1 ± 5.3 | 13.7 ± 3.5 | 2.6 ± 1.1 | 0 ± 0.1 | ND | 0.5 ± 0.1 | ||
| 146.1 ± 5.0 * | 47.7 ± 1.4 | 14.8 ± 4.3 | 12.5 ± 3.8 | 1.9 ± 0.5 | 0 ± 0 | ND | 0.4 ± 0.2 | ||
Disclaimer/Publisher’s Note: The statements, opinions and data contained in all publications are solely those of the individual author(s) and contributor(s) and not of MDPI and/or the editor(s). MDPI and/or the editor(s) disclaim responsibility for any injury to people or property resulting from any ideas, methods, instructions or products referred to in the content. |
© 2024 by the authors. Licensee MDPI, Basel, Switzerland. This article is an open access article distributed under the terms and conditions of the Creative Commons Attribution (CC BY) license (https://creativecommons.org/licenses/by/4.0/).
Share and Cite
Yamashita, Y.; Tokunaga, A.; Aoki, K.; Ishizuka, T.; Uematsu, H.; Sakamoto, H.; Fujita, S.; Tanoue, S. Assessing the Safety of Mechanically Fibrillated Cellulose Nanofibers (fib-CNF) via Toxicity Tests on Mice: Single Intratracheal Administration and 28 Days’ Oral Intake. Toxics 2024, 12, 121. https://doi.org/10.3390/toxics12020121
Yamashita Y, Tokunaga A, Aoki K, Ishizuka T, Uematsu H, Sakamoto H, Fujita S, Tanoue S. Assessing the Safety of Mechanically Fibrillated Cellulose Nanofibers (fib-CNF) via Toxicity Tests on Mice: Single Intratracheal Administration and 28 Days’ Oral Intake. Toxics. 2024; 12(2):121. https://doi.org/10.3390/toxics12020121
Chicago/Turabian StyleYamashita, Yoshihiro, Akinori Tokunaga, Koji Aoki, Tamotsu Ishizuka, Hideyuki Uematsu, Hiroaki Sakamoto, Satoshi Fujita, and Shuichi Tanoue. 2024. "Assessing the Safety of Mechanically Fibrillated Cellulose Nanofibers (fib-CNF) via Toxicity Tests on Mice: Single Intratracheal Administration and 28 Days’ Oral Intake" Toxics 12, no. 2: 121. https://doi.org/10.3390/toxics12020121
APA StyleYamashita, Y., Tokunaga, A., Aoki, K., Ishizuka, T., Uematsu, H., Sakamoto, H., Fujita, S., & Tanoue, S. (2024). Assessing the Safety of Mechanically Fibrillated Cellulose Nanofibers (fib-CNF) via Toxicity Tests on Mice: Single Intratracheal Administration and 28 Days’ Oral Intake. Toxics, 12(2), 121. https://doi.org/10.3390/toxics12020121

