Ameliorative Effect of Thymoquinone and Thymoquinone Nanoparticles against Diazinon-Induced Hepatic Injury in Rats: A Possible Protection Mechanism
Abstract
1. Introduction
2. Materials and Methods
2.1. Chemicals and Preparation
Fabrication of Thymoquinone Nanoparticles (NTQ)
2.2. Experimental Plan
2.3. Sampling and Tissue Preparation
2.4. Biochemical Analysismin
2.5. Determination of Hepatic Bax, Bcl2, Caspase 3, and 9 Concentrations
2.6. Determination of Hepatic Inflammatory Cytokines
2.7. Determination of DNA Damage in the Liver via Comet Assay
2.8. Histopathological Studies
2.9. Statistical Analysis
3. Results
3.1. Liver Function Parameters
3.2. The Markers of Oxidants/Antioxidants and Cytokines
3.3. Apoptotic Markers
3.4. DNA Damage
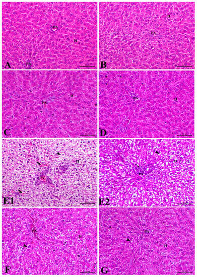
3.5. Histological Analysis
4. Discussion
5. Conclusions
Author Contributions
Funding
Institutional Review Board Statement
Informed Consent Statement
Data Availability Statement
Acknowledgments
Conflicts of Interest
References
- Mahmoud, A.R.H. Evaluation of hepatoprotective effect of propolis against sub-chronic diazinon induced hepatotoxicity. Egypt. J. Forensic Sci. Appl. Toxicol. 2018, 18, 53–67. [Google Scholar] [CrossRef]
- Cakici, O.; Akat, E. Effects of Oral Exposure to Diazinon on Mice Liver and Kidney Tissues. Anal. Quant. Cytopathol. Histopathol. 2013, 35, 7–16. [Google Scholar]
- Aggarwal, V.; Deng, X.; Tuli, A.; Goh, K.S. Diazinon—Chemistry and environmental fate: A California perspective. Rev. Environ. Contam. Toxicol. 2013, 223, 107–140. [Google Scholar] [PubMed]
- Pizzurro, D.M.; Dao, K.; Costa, L.G. Diazinon and diazoxon impair the ability of astrocytes to foster neurite outgrowth in primary hippocampal neurons. Toxicol. Appl. Pharmacol. 2014, 274, 372–382. [Google Scholar] [CrossRef]
- Boussabbeh, M.; Salem, I.B.; Hamdi, M.; Fradj, S.B.; Abid-Essefi, S.; Bacha, H. Diazinon, an organophosphate pesticide, induces oxidative stress and genotoxicity in cells deriving from large intestine. Environ. Sci. Pollut. Res. 2016, 23, 2882–2889. [Google Scholar] [CrossRef]
- Shiri, M.; Navaei-Nigjeh, M.; Baeeri, M.; Rahimifard, M.; Mahboudi, H.; Shahverdi, A.R.; Kebriaeezadeh, A.; Abdollahi, M. Blockage of both the extrinsic and intrinsic pathways of diazinon-induced apoptosis in PaTu cells by magnesium oxide and selenium nanoparticles. Int. J. Nanomed. 2016, 11, 6239. [Google Scholar] [CrossRef]
- El-Shenawy, N.S.; El-Salmy, F.; Al-Eisa, R.A.; El-Ahmary, B. Amelioratory effect of vitamin E on organophosphorus insecticide diazinon-induced oxidative stress in mice liver. Pestic. Biochem. Physiol. 2010, 96, 101–107. [Google Scholar] [CrossRef]
- Liu, Y.; Lin, X.; Hao, Z.; Yu, M.; Tang, Y.; Teng, X.; Sun, W.; Kang, L. Cadmium exposure caused cardiotoxicity in common carps (Cyprinus carpio L.): MiR-9-5p, oxidative stress, energetic impairment, mitochondrial division/fusion imbalance, inflammation, and autophagy. Fish Shellfish Immunol. 2023, 138, 108853. [Google Scholar] [CrossRef]
- Cui, J.; Liu, Y.; Hao, Z.; Liu, Y.; Qiu, M.; Kang, L.; Teng, X.; Tang, Y. Cadmium induced time-dependent kidney injury in common carp via mitochondrial pathway: Impaired mitochondrial energy metabolism and mitochondrion-dependent apoptosis. Aquat. Toxicol. 2023, 261, 106570. [Google Scholar] [CrossRef]
- Cui, J.; Qiu, M.; Liu, Y.; Liu, Y.; Tang, Y.; Teng, X.; Li, S. Nano-selenium protects grass carp hepatocytes against 4-tert-butylphenol-induced mitochondrial apoptosis and necroptosis via suppressing ROS-PARP1 axis. Fish Shellfish Immunol. 2023, 135, 108682. [Google Scholar] [CrossRef]
- Zhao, C.; Teng, X.; Yue, W.; Suo, A.; Zhou, W.; Ding, D. The effect of acute toxicity from tributyltin on Liza haematocheila liver: Energy metabolic disturbance, oxidative stress, and apoptosis. Aquat. Toxicol. 2023, 258, 106506. [Google Scholar] [CrossRef] [PubMed]
- Jiao, W.; Han, Q.; Xu, Y.; Jiang, H.; Xing, H.; Teng, X. Impaired immune function and structural integrity in the gills of common carp (Cyprinus carpio L.) caused by chlorpyrifos exposure: Through oxidative stress and apoptosis. Fish Shellfish Immunol. 2019, 86, 239–245. [Google Scholar] [CrossRef] [PubMed]
- Ahmadi, A.; Heidarian, E.; Ghatreh-Samani, K. Modulatory effects of artichoke (Cynara scolymus L.) leaf extract against oxidative stress and hepatic TNF-α gene expression in acute diazinon-induced liver injury in rats. J. Basic Clin. Physiol. Pharmacol. 2019, 30, 20180180. [Google Scholar] [CrossRef]
- Yadav, A.; Kumari, R.; Yadav, A.; Mishra, J.; Srivatva, S.; Prabha, S. Antioxidants and its functions in human body—A Review. Res. Environ. Life Sci. 2016, 9, 1328–1331. [Google Scholar]
- Shabana, A.; El-Menyar, A.; Asim, M.; Al-Azzeh, H.; Al Thani, H. Cardiovascular benefits of black cumin (Nigella sativa). Cardiovasc. Toxicol. 2013, 13, 9–21. [Google Scholar] [CrossRef] [PubMed]
- Meydan, S.; Esrefoglu, M.; Selek, S.; Akbas Tosunoglu, E.; Ozturk, O.; Kurbetli, N.; Bayındır, N.; Bulut, H.; Meral, I. Protective effects of caffeic acid phenethyl ester and thymoquinone on toluene induced liver toxicity. Biotech. Histochem. 2019, 94, 277–282. [Google Scholar] [CrossRef]
- Suddek, G.M. Protective role of thymoquinone against liver damage induced by tamoxifen in female rats. Can. J. Physiol. Pharmacol. 2014, 92, 640–644. [Google Scholar] [CrossRef]
- Sangi, S.; El-feky, S.A.; Ali, S.S.; Ahmedani, E.I.; Tashtoush, M. Hepatoprotective effects of oleuropein, thymoquinone and fruit of phoenix dactylifera on CCl 4 induced hepatotoxicity in rats. World J. Pharm. Pharm. Sci. 2014, 3, e3475–e3486. [Google Scholar]
- Scrinis, G.; Lyons, K. The emerging nano-corporate paradigm: Nanotechnology and the transformation of nature, food and agri-food systems. Int. J. Sociol. Agric. Food 2007, 15, 22–44. [Google Scholar]
- Castiglione, M.R.; Giorgetti, L.; Geri, C.; Cremonini, R. The effects of nano-TiO 2 on seed germination, development and mitosis of root tip cells of Vicia narbonensis L. and Zea mays L. J. Nanoparticle Res. 2011, 13, 2443–2449. [Google Scholar] [CrossRef]
- Savage, N.; Thomas, T.A.; Duncan, J.S. Nanotechnology applications and implications research supported by the US Environmental Protection Agency STAR grants program. J. Environ. Monit. 2007, 9, 1046–1054. [Google Scholar] [CrossRef] [PubMed]
- Kumari, M.; Mukherjee, A.; Chandrasekaran, N. Genotoxicity of silver nanoparticles in Allium cepa. Sci. Total Environ. 2009, 407, 5243–5246. [Google Scholar] [CrossRef] [PubMed]
- Srinivas, P.R.; Philbert, M.; Vu, T.Q.; Huang, Q.; Kokini, J.L.; Saos, E.; Chen, H.; Peterson, C.M.; Friedl, K.E.; McDade-Ngutter, C. Nanotechnology research: Applications in nutritional sciences. J. Nutr. 2010, 140, 119–124. [Google Scholar] [CrossRef] [PubMed]
- Li, W.; Yalcin, M.; Lin, Q.; Ardawi, M.-S.M.; Mousa, S.A. Self-assembly of green tea catechin derivatives in nanoparticles for oral lycopene delivery. J. Control. Release 2017, 248, 117–124. [Google Scholar] [CrossRef] [PubMed]
- Beklar, S.Y.; Hamzeh, M.; Karimpour, A.; Amiri, F.T. Zingiber officinale mitigates diazinon-induced testicular toxicity via suppression of oxidative stress and apoptosis in mice model. J. Res. Pharm. 2019, 23, 224–234. [Google Scholar] [CrossRef]
- Rani, R.; Dahiya, S.; Dhingra, D.; Dilbaghi, N.; Kim, K.-H.; Kumar, S. Improvement of antihyperglycemic activity of nano-thymoquinone in rat model of type-2 diabetes. Chem. Biol. Interact. 2018, 295, 119–132. [Google Scholar] [CrossRef]
- El-Shafai, N.M.; Alamrani, N.A.; Al-bonayan, A.M.; Abu-Melha, S.; El-Metwaly, N.M.; El-Mehasseb, I. Building electrons clouds of redesigned copper oxide nanorods captured on the graphene oxide surface for supercapacitors and energy storage. Surf. Interfaces 2023, 38, 102757. [Google Scholar] [CrossRef]
- Kalender, Y.; Uzunhisarcikli, M.; Ogutcu, A.; Acikgoz, F.; Kalender, S. Effects of diazinon on pseudocholinesterase activity and haematological indices in rats: The protective role of vitamin E. Environ. Toxicol. Pharmacol. 2006, 22, 46–51. [Google Scholar] [CrossRef]
- Reitman, S.; Frankel, S. A colorimetric method for the determination of serum glutamic oxalacetic and glutamic pyruvic transaminases. Am. J. Clin. Pathol. 1957, 28, 56–63. [Google Scholar] [CrossRef]
- Belfield, A.; Goldberg, D.M. Normal ranges and diagnostic value of serum 5′ nucleotidase and alkaline phosphatase activities in infancy. Arch. Dis. Child. 1971, 46, 842–846. [Google Scholar] [CrossRef]
- Koh, J.Y.; Choi, D.W. Quantitative determination of glutamate mediated cortical neuronal injury in cell culture by lactate dehydrogenase efflux assay. J. Neurosci. Methods 1987, 20, 83–90. [Google Scholar] [CrossRef] [PubMed]
- Szasz, G. A kinetic photometric method for serum γ-glutamyl transpeptidase. Clin. Chem. 1969, 15, 124–136. [Google Scholar] [CrossRef] [PubMed]
- Kaplan, M.; Muraca, M.; Hammerman, C.; Rubaltelli, F.F.; Vilei, M.T.; Vreman, H.J.; Stevenson, D.K. Imbalance between production and conjugation of bilirubin: A fundamental concept in the mechanism of neonatal jaundice. Pediatrics 2002, 110, e47. [Google Scholar] [CrossRef] [PubMed]
- Doumas, B.T.; Watson, W.A.; Biggs, H.G. Albumin standards and the measurement of serum albumin with bromcresol green. Clin. Chim. Acta 1971, 31, 87–96. [Google Scholar] [CrossRef] [PubMed]
- Ohkawa, H.; Ohishi, N.; Yagi, K. Assay for lipid peroxides in animal tissues by thiobarbituric acid reaction. Anal. Biochem. 1979, 95, 351–358. [Google Scholar] [CrossRef]
- Moshage, H.; Kok, B.; Huizenga, J.R.; Jansen, P. Nitrite and nitrate determinations in plasma: A critical evaluation. Clin. Chem. 1995, 41, 892–896. [Google Scholar] [CrossRef]
- Pick, E. [24] Microassays for superoxide and hydrogen peroxide production and nitroblue tetrazolium reduction using an enzyme immunoassay microplate reader. Methods Enzymol. 1986, 132, 407–421. [Google Scholar]
- Young, D.S.; Friedman, R.B. Effects of Disease on Clinical Laboratory Tests. 2. Listing by Disease; AACC-Press: Washington, DC, USA, 2001. [Google Scholar]
- Koracevic, D.; Koracevic, G.; Djordjevic, V.; Andrejevic, S.; Cosic, V. Method for the measurement of antioxidant activity in human fluids. J. Clin. Pathol. 2001, 54, 356–361. [Google Scholar] [CrossRef]
- Nishikimi, M.; Rao, N.A.; Yagi, K. The occurrence of superoxide anion in the reaction of reduced phenazine methosulfate and molecular oxygen. Biochem. Biophys. Res. Commun. 1972, 46, 849–854. [Google Scholar] [CrossRef]
- Paglia, D.E.; Valentine, W.N. Studies on the quantitative and qualitative characterization of erythrocyte glutathione peroxidase. J. Lab. Clin. Med. 1967, 70, 158–169. [Google Scholar]
- Aebi, H. Catalase in vitro. Methods Enzymol. 1984, 105, 121–126. [Google Scholar] [PubMed]
- Habig, W.H.; Pabst, M.J.; Jakoby, W.B. Glutathione S-transferases: The first enzymatic step in mercapturic acid formation. J. Biol. Chem. 1974, 249, 7130–7139. [Google Scholar] [CrossRef] [PubMed]
- Beutler, E.; Duron, O.; Kelly, B.M. Improved method for the determination of blood glutathione. J. Lab. Clin. Med. 1963, 61, 882–888. [Google Scholar] [PubMed]
- Bradford, M.M. A rapid and sensitive method for the quantitation of microgram quantities of protein utilizing the principle of protein-dye binding. Anal. Biochem. 1976, 72, 248–254. [Google Scholar] [CrossRef] [PubMed]
- Singh, N.P.; McCoy, M.T.; Tice, R.R.; Schneider, E.L. A simple technique for quantitation of low levels of DNA damage in individual cells. Exp. Cell Res. 1988, 175, 184–191. [Google Scholar] [CrossRef]
- Drury, R.; Wallington, E.; Cancerson, R. Carlton’s Histopathological Techniques; Oxford University Press: Oxford, UK, 1976. [Google Scholar]
- Lari, P.; Abnous, K.; Imenshahidi, M.; Rashedinia, M.; Razavi, M.; Hosseinzadeh, H. Evaluation of diazinon-induced hepatotoxicity and protective effects of crocin. Toxicol. Ind. Health 2015, 31, 367–376. [Google Scholar] [CrossRef] [PubMed]
- Syed, J.H.; Alamdar, A.; Mohammad, A.; Ahad, K.; Shabir, Z.; Ahmed, H.; Ali, S.M.; Sani, S.G.A.S.; Bokhari, H.; Gallagher, K.D. Pesticide residues in fruits and vegetables from Pakistan: A review of the occurrence and associated human health risks. Environ. Sci. Pollut. Res. 2014, 21, 13367–13393. [Google Scholar] [CrossRef]
- Rahimnejad, M.; Abdulkareem, R.A.; Najafpour, G. Determination of Diazinon in fruit samples using electrochemical sensor based on carbon nanotubes modified carbon paste electrode. Biocatal. Agric. Biotechnol. 2019, 20, 101245. [Google Scholar]
- Khazaie, S.; Jafari, M.; Heydari, J.; Asgari, A.; Tahmasebi, K.; Salehi, M.; Abedini, M.S. Modulatory effects of vitamin C on biochemical and oxidative changes induced by acute exposure to diazinon in rat various tissues: Prophylactic and therapeutic roles. J. Anim. Physiol. Anim. Nutr. 2019, 103, 1619–1628. [Google Scholar] [CrossRef]
- Yassa, V.F.; Girgis, S.M.; Abumourad, I.M. Potential protective effects of vitamin E on diazinon-induced DNA damage and some haematological and biochemical alterations in rats. J. Mediterr. Ecol. 2011, 11, 31–39. [Google Scholar]
- Sun, Q.; Li, Y.; Shi, L.; Hussain, R.; Mehmood, K.; Tang, Z.; Zhang, H. Heavy metals induced mitochondrial dysfunction in animals: Molecular mechanism of toxicity. Toxicology 2022, 469, 153136. [Google Scholar] [CrossRef]
- Saadat, S.; Aslani, M.R.; Ghorani, V.; Keyhanmanesh, R.; Boskabady, M.H. The effects of Nigella sativa on respiratory, allergic and immunologic disorders, evidence from experimental and clinical studies, a comprehensive and updated review. Phytother. Res. 2021, 35, 2968–2996. [Google Scholar] [CrossRef] [PubMed]
- Al Aboud, D.; Baty, R.S.; Alsharif, K.F.; Hassan, K.E.; Zhery, A.S.; Habotta, O.A.; Elmahallawy, E.K.; Amin, H.K.; Abdel Moneim, A.E.; Kassab, R.B. Protective efficacy of thymoquinone or ebselen separately against arsenic-induced hepatotoxicity in rat. Environ. Sci. Pollut. Res. 2021, 28, 6195–6206. [Google Scholar] [CrossRef] [PubMed]
- Hariri, A.T.; Moallem, S.A.; Mahmoudi, M.; Memar, B.; Razavi, B.M.; Hosseinzadeh, H. Effect of Crocus sativus L. stigma (saffron) against subacute effect of diazinon: Histopathological, hematological, biochemical and genotoxicity evaluations in rats. J. Pharmacopunct. 2018, 21, 61. [Google Scholar] [CrossRef]
- Abdel-Daim, M.M.; Abushouk, A.I.; Bahbah, E.I.; Bungău, S.G.; Alyousif, M.S.; Aleya, L.; Alkahtani, S. Fucoidan protects against subacute diazinon-induced oxidative damage in cardiac, hepatic, and renal tissues. Environ. Sci. Pollut. Res. 2020, 27, 11554–11564. [Google Scholar] [CrossRef]
- Karimani, A.; Heidarpour, M.; Moghaddam Jafari, A. Protective effects of glycyrrhizin on sub-chronic diazinon-induced biochemical, hematological alterations and oxidative stress indices in male Wistar rats. Drug Chem. Toxicol. 2019, 42, 300–308. [Google Scholar] [CrossRef] [PubMed]
- Al-Malki, A.L.; Sayed, A.A.R. Thymoquinone attenuates cisplatin-induced hepatotoxicity via nuclear factor kappa-β. BMC Complement. Altern. Med. 2014, 14, 282. [Google Scholar] [CrossRef]
- Nili-Ahmadabadi, A.; Alibolandi, P.; Ranjbar, A.; Mousavi, L.; Nili-Ahmadabadi, H.; Larki-Harchegani, A.; Ahmadimoghaddam, D.; Omidifar, N. Thymoquinone attenuates hepatotoxicity and oxidative damage caused by diazinon: An in vivo study. Res. Pharm. Sci. 2018, 13, 500. [Google Scholar] [CrossRef]
- Rathore, C.; Upadhyay, N.; Kaundal, R.; Dwivedi, R.; Rahatekar, S.; John, A.; Dua, K.; Tambuwala, M.M.; Jain, S.; Chaudari, D. Enhanced oral bioavailability and hepatoprotective activity of thymoquinone in the form of phospholipidic nano-constructs. Expert Opin. Drug Deliv. 2020, 17, 237–253. [Google Scholar] [CrossRef]
- Fernandes, I.G.; De Brito, C.A.; Dos Reis, V.M.S.; Sato, M.N.; Pereira, N.Z. SARS-CoV-2 and other respiratory viruses: What does oxidative stress have to do with it? Oxid. Med. Cell. Longev. 2020, 2020, 8844280. [Google Scholar] [CrossRef]
- Beydilli, H.; Yilmaz, N.; Cetin, E.S.; Topal, Y.; Celik, O.I.; Sahin, C.; Topal, H.; Cigerci, I.H.; Sozen, H. Evaluation of the protective effect of silibinin against diazinon induced hepatotoxicity and free-radical damage in rat liver. Iran. Red Crescent Med. J. 2015, 17, e25310. [Google Scholar] [CrossRef]
- Birdane, Y.O.; Avci, G.; Birdane, F.M.; Turkmen, R.; Atik, O.; Atik, H. The protective effects of erdosteine on subacute diazinon-induced oxidative stress and inflammation in rats. Environ. Sci. Pollut. Res. 2022, 29, 21537–21546. [Google Scholar] [CrossRef]
- Ajibade, T.O.; Oyagbemi, A.A.; Omobowale, T.O.; Asenuga, E.R.; Afolabi, J.M.; Adedapo, A.A. Mitigation of diazinon-induced cardiovascular and renal dysfunction by gallic acid. Interdiscip. Toxicol. 2016, 9, 66. [Google Scholar] [CrossRef] [PubMed][Green Version]
- SH, A.Q. Antioxidant effect of lactoferrin on rat liver injury induced by diazinon. Benha Vet. Med. J. 2018, 34, 157–168. [Google Scholar] [CrossRef]
- Abdel-Zaher, A.O.; Mostafa, M.G.; Farghly, H.M.; Hamdy, M.M.; Omran, G.A.; Al-Shaibani, N.K. Inhibition of brain oxidative stress and inducible nitric oxide synthase expression by thymoquinone attenuates the development of morphine tolerance and dependence in mice. Eur. J. Pharmacol. 2013, 702, 62–70. [Google Scholar] [CrossRef]
- Hassani, S.; Maqbool, F.; Salek-Maghsoudi, A.; Rahmani, S.; Shadboorestan, A.; Nili-Ahmadabadi, A.; Amini, M.; Norouzi, P.; Abdollahi, M. Alteration of hepatocellular antioxidant gene expression pattern and biomarkers of oxidative damage in diazinon-induced acute toxicity in Wistar rat: A time-course mechanistic study. EXCLI J. 2018, 17, 57. [Google Scholar]
- Theunissen, S.; Sponsiello, N.; Rozloznik, M.; Germonpré, P.; Guerrero, F.; Cialoni, D.; Balestra, C. Oxidative stress in breath-hold divers after repetitive dives. Diving Hyperb. Med. 2013, 43, 63–66. [Google Scholar] [PubMed]
- Mohamed, A.E.; El-Magd, M.A.; El-Said, K.S.; El-Sharnouby, M.; Tousson, E.M.; Salama, A.F. Potential therapeutic effect of thymoquinone and/or bee pollen on fluvastatin-induced hepatitis in rats. Sci. Rep. 2021, 11, 15688. [Google Scholar] [CrossRef]
- Vafaee, F.; Hosseini, M.; Hassanzadeh, Z.; Edalatmanesh, M.A.; Sadeghnia, H.R.; Seghatoleslam, M.; Mousavi, S.M.; Amani, A.; Shafei, M.N. The effects of Nigella sativa hydro-alcoholic extract on memory and brain tissues oxidative damage after repeated seizures in rats. Iran. J. Pharm. Res. IJPR 2015, 14, 547. [Google Scholar]
- Mabrouk, A.; Bel Hadj Salah, I.; Chaieb, W.; Ben Cheikh, H. Protective effect of thymoquinone against lead-induced hepatic toxicity in rats. Environ. Sci. Pollut. Res. 2016, 23, 12206–12215. [Google Scholar] [CrossRef] [PubMed]
- Nagi, M.N.; Al-Shabanah, O.A.; Hafez, M.M.; Sayed-Ahmed, M.M. Thymoquinone supplementation attenuates cyclophosphamide-induced cardiotoxicity in rats. J. Biochem. Mol. Toxicol. 2011, 25, 135–142. [Google Scholar] [CrossRef]
- Ismail, M.; Al-Naqeep, G.; Chan, K.W. Nigella sativa thymoquinone-rich fraction greatly improves plasma antioxidant capacity and expression of antioxidant genes in hypercholesterolemic rats. Free Radic. Biol. Med. 2010, 48, 664–672. [Google Scholar] [CrossRef] [PubMed]
- El-Mahmoudy, A.; Shimizu, Y.; Shiina, T.; Matsuyama, H.; El-Sayed, M.; Takewaki, T. Successful abrogation by thymoquinone against induction of diabetes mellitus with streptozotocin via nitric oxide inhibitory mechanism. Int. Immunopharmacol. 2005, 5, 195–207. [Google Scholar] [CrossRef] [PubMed]
- Woo, C.C.; Kumar, A.P.; Sethi, G.; Tan, K.H.B. Thymoquinone: Potential cure for inflammatory disorders and cancer. Biochem. Pharmacol. 2012, 83, 443–451. [Google Scholar] [CrossRef] [PubMed]
- Hosseini, S.S.; Reihani, R.Z.; Doustvandi, M.A.; Amini, M.; Zargari, F.; Baradaran, B.; Yari, A.; Hashemi, M.; Tohidast, M.; Mokhtarzadeh, A. Synergistic anticancer effects of curcumin and crocin on human colorectal cancer cells. Mol. Biol. Rep. 2022, 49, 8741–8752. [Google Scholar] [CrossRef]
- Ghazy, E.W.; Mokh, A.A.; Abdelhady, D.H.; Goda, W.M.; Hashem, E.M. The role of thymoquinone in ameliorating the hepatoxic effect of diazinon in male rats. Slov. Vet. Res. 2019, 56, 735–745. [Google Scholar] [CrossRef]
- Girón-Pérez, M.I.; Mary, V.S.; Rubinstein, H.R.; Toledo-Ibarra, G.A.; Theumer, M.G. Diazinon toxicity in hepatic and spleen mononuclear cells is associated to early induction of oxidative stress. Int. J. Environ. Health Res. 2022, 32, 2309–2323. [Google Scholar] [CrossRef]
- Rashedinia, M.; Hosseinzadeh, H.; Imenshahidi, M.; Lari, P.; Razavi, B.M.; Abnous, K. Effect of exposure to diazinon on adult rat’s brain. Toxicol. Ind. Health 2016, 32, 714–720. [Google Scholar] [CrossRef]
- O’Brien, M.A.; Kirby, R. Apoptosis: A review of pro-apoptotic and anti-apoptotic pathways and dysregulation in disease. J. Vet. Emerg. Crit. Care 2008, 18, 572–585. [Google Scholar] [CrossRef]
- Hamad, A.K.; Kadhem, M.A. Prophylactic Effect of Ethanolic Extract of Saussurea Costus Roots Against Hepato-Renal Toxicity Induced by Diazinon in Chickens. Al-Anbar J. Vet. Sci. 2020, 13, 34–51. [Google Scholar] [CrossRef]
- Hosseini, S.M.; Taghiabadi, E.; Abnous, K.; Hariri, A.T.; Pourbakhsh, H.; Hosseinzadeh, H. Protective effect of thymoquinone, the active constituent of Nigella sativa fixed oil, against ethanol toxicity in rats. Iran. J. Basic Med. Sci. 2017, 20, 927. [Google Scholar]
- El-Sheikh, A.A.; Morsy, M.A.; Abdalla, A.M.; Hamouda, A.H.; Alhaider, I.A. Mechanisms of thymoquinone hepatorenal protection in methotrexate-induced toxicity in rats. Mediat. Inflamm. 2015, 2015, 859383. [Google Scholar] [CrossRef] [PubMed]
- Fischer, R.; Maier, O. Interrelation of oxidative stress and inflammation in neurodegenerative disease: Role of TNF. Oxid. Med. Cell. Longev. 2015, 2015, 610813. [Google Scholar] [CrossRef] [PubMed]
- Abdel-Daim, M.M.; Abushouk, A.I.; Alkhalf, M.I.; Toraih, E.A.; Fawzy, M.S.; Ijaz, H.; Aleya, L.; Bungau, S.G. Antagonistic effects of Spirulina platensis on diazinon-induced hemato-biochemical alterations and oxidative stress in rats. Environ. Sci. Pollut. Res. 2018, 25, 27463–27470. [Google Scholar] [CrossRef] [PubMed]
- Hariri, A.T.; Moallem, S.A.; Mahmoudi, M.; Memar, B.; Hosseinzadeh, H. Sub-acute effects of diazinon on biochemical indices and specific biomarkers in rats: Protective effects of crocin and safranal. Food Chem. Toxicol. 2010, 48, 2803–2808. [Google Scholar] [CrossRef] [PubMed]
- Pehlivan, D.Y.; Durdaği, G. Effects of thymoquinone on blood parameters in doxorubicin cardiotoxicity. Exp. Appl. Med. Sci. 2020, 1, 7–16. [Google Scholar]
- Mossa, A.-T.H.; Heikal, T.M.; Omara, E.A.A. Physiological and histopathological changes in the liver of male rats exposed to paracetamol and diazinon. Asian Pac. J. Trop. Biomed. 2012, 2, S1683–S1690. [Google Scholar] [CrossRef]
- Tsitsimpikou, C.; Tzatzarakis, M.; Fragkiadaki, P.; Kovatsi, L.; Stivaktakis, P.; Kalogeraki, A.; Kouretas, D.; Tsatsakis, A.M. Histopathological lesions, oxidative stress and genotoxic effects in liver and kidneys following long term exposure of rabbits to diazinon and propoxur. Toxicology 2013, 307, 109–114. [Google Scholar] [CrossRef]
- Shokrzadeh, M.; Ahangar, N.; Abdollahi, M.; Shadboorestan, A.; Omidi, M.; Payam, S.H. Potential chemoprotective effects of selenium on diazinon-induced DNA damage in rat peripheral blood lymphocyte. Hum. Exp. Toxicol. 2013, 32, 759–765. [Google Scholar] [CrossRef]
- Wang, W.; Luo, S.-M.; Ma, J.-Y.; Shen, W.; Yin, S. Cytotoxicity and DNA damage caused from diazinon exposure by inhibiting the PI3K-AKT pathway in porcine ovarian granulosa cells. J. Agric. Food Chem. 2018, 67, 19–31. [Google Scholar] [CrossRef]
- Fenech, M. The cytokinesis-block micronucleus technique: A detailed description of the method and its application to genotoxicity studies in human populations. Mutat. Res. Fundam. Mol. Mech. Mutagen. 1993, 285, 35–44. [Google Scholar] [CrossRef]
- Ansari, M.O.; Parveen, N.; Ahmad, M.F.; Wani, A.L.; Afrin, S.; Rahman, Y.; Jameel, S.; Khan, Y.A.; Siddique, H.R.; Tabish, M. Evaluation of DNA interaction, genotoxicity and oxidative stress induced by iron oxide nanoparticles both in vitro and in vivo: Attenuation by thymoquinone. Sci. Rep. 2019, 9, 6912. [Google Scholar] [CrossRef]
- Gore, P.R.; Prajapati, C.P.; Mahajan, U.B.; Goyal, S.N.; Belemkar, S.; Ojha, S.; Patil, C.R. Protective effect of thymoquinone against cyclophosphamide-induced hemorrhagic cystitis through inhibiting DNA damage and upregulation of Nrf2 expression. Int. J. Biol. Sci. 2016, 12, 944. [Google Scholar] [CrossRef]
- Zhou, F.; Wu, J.-Y.; Sun, X.-L.; Yao, H.-H.; Ding, J.-H.; Hu, G. Iptakalim alleviates rotenone-induced degeneration of dopaminergic neurons through inhibiting microglia-mediated neuroinflammation. Neuropsychopharmacology 2007, 32, 2570–2580. [Google Scholar] [CrossRef]
- Ghasemzadeh, L.; Mohajerani, H.R.; Nasri, S.; Rostami, A. The effect of diazinon exposure on hepatic tissue and enzymes in male frog Rana ridibunda. Prog. Biol. Sci. 2015, 5, 223–232. [Google Scholar]
- Badary, O.A.; Taha, R.A.; Gamal El-Din, A.M.; Abdel-Wahab, M.H. Thymoquinone is a potent superoxide anion scavenger. Drug Chem. Toxicol. 2003, 26, 87–98. [Google Scholar] [CrossRef]
- Jafari, S.; Ahmadian, E.; Fard, J.K.; Khosroushahi, A.Y. Biomacromolecule based nanoscaffolds for cell therapy. J. Drug Deliv. Sci. Technol. 2017, 37, 61–66. [Google Scholar] [CrossRef]
- Zhou, Y.; Quan, G.; Wu, Q.; Zhang, X.; Niu, B.; Wu, B.; Huang, Y.; Pan, X.; Wu, C. Mesoporous silica nanoparticles for drug and gene delivery. Acta Pharm. Sin. B 2018, 8, 165–177. [Google Scholar] [CrossRef] [PubMed]
- Zhang, Y.; Zhi, Z.; Jiang, T.; Zhang, J.; Wang, Z.; Wang, S. Spherical mesoporous silica nanoparticles for loading and release of the poorly water-soluble drug telmisartan. J. Control. Release 2010, 145, 257–263. [Google Scholar] [CrossRef]
- Balestri, A.; Cardellini, J.; Berti, D. Gold and Silver Nanoparticles as Tools to Combat Multidrug-Resistant Pathogens. Curr. Opin. Colloid Interface Sci. 2023, 101710. [Google Scholar] [CrossRef]
- Agrawal, G.; Agrawal, R. Janus nanoparticles: Recent advances in their interfacial and biomedical applications. ACS Appl. Nano Mater. 2019, 2, 1738–1757. [Google Scholar] [CrossRef]







| Group | Control | Corn Oil | TQ | NTQ | DZN | TQ + DZN | NTQ + DZN |
|---|---|---|---|---|---|---|---|
| AST (U/L) | 41.50 ± 1.94 c | 40.75 ± 2.72 c | 39.50 ± 4.13 c | 34.73 ± 1.9 d | 143.00 ± 7.15 a | 60.75 ± 4.37 ab | 57.48 ± 4.44 b |
| GGT (U/L) | 15.55 ± 0.70 c | 15.50 ± 0.66 c | 13.63 ± 1.12 c | 13.38 ± 1.0 c | 26.63 ± 2.1 a | 18.78 ± 0.56 b | 17.18 ± 0.33 b |
| ALT (U/L) | 50.75 ± 3.79 c | 51.05 ± 4.11 c | 50.38 ± 4.04 c | 48.53 ± 3.9 c | 74.75 ± 2.3 a | 60.75 ± 2.39 b | 55.00 ± 3.94 b |
| ALP (U/L) | 268.80 ± 4.09 c | 269.00 ± 5.6 c | 266.50 ± 5.6 c | 257.00 ± 2.2 d | 485.30 ± 2.7 a | 438.30 ± 14.1 ab | 387.30 ± 5.3 ab |
| LDH (U/L) | 230.8 ± 1.65 c | 229.3 ± 1.65 c | 228.3 ± 1.25 c | 225.6 ± 1.7 c | 519.5 ± 4.8 a | 434.5 ± 11.53 ab | 410.8 ± 15.90 ab |
| Total protein (mg/dL) | 6.80 ± 0.20 a | 6.71 ± 0.20 a | 6.71 ± 0.29 a | 6.90 ± 0.16 a | 4.27 ± 0.07 d | 5.51 ± 0.14 c | 6.10 ± 0.38 b |
| Albumin (mg/dL) | 3.64 ± 0.158 a | 3.49 ± 0.070 a | 3.46 ± 0.160 a | 3.68 ± 0.22 a | 2.51 ± 0.17 c | 3.35 ± 0.176 b | 3.53 ± 0.175 b |
| Total bilirubin (mg/dL) | 0.59 ± 0.02 c | 0.55 ± 0.03 c | 0.52 ± 0.02 c | 0.42 ± 0.05 c | 1.55 ± 0.03 a | 1.06 ± 0.10 ab | 1.05 ± 0.10 ab |
Disclaimer/Publisher’s Note: The statements, opinions and data contained in all publications are solely those of the individual author(s) and contributor(s) and not of MDPI and/or the editor(s). MDPI and/or the editor(s) disclaim responsibility for any injury to people or property resulting from any ideas, methods, instructions or products referred to in the content. |
© 2023 by the authors. Licensee MDPI, Basel, Switzerland. This article is an open access article distributed under the terms and conditions of the Creative Commons Attribution (CC BY) license (https://creativecommons.org/licenses/by/4.0/).
Share and Cite
Nassar, W.M.; El-Kholy, W.M.; El-Sawi, M.R.; El-Shafai, N.M.; Alotaibi, B.S.; Ghamry, H.I.; Shukry, M. Ameliorative Effect of Thymoquinone and Thymoquinone Nanoparticles against Diazinon-Induced Hepatic Injury in Rats: A Possible Protection Mechanism. Toxics 2023, 11, 783. https://doi.org/10.3390/toxics11090783
Nassar WM, El-Kholy WM, El-Sawi MR, El-Shafai NM, Alotaibi BS, Ghamry HI, Shukry M. Ameliorative Effect of Thymoquinone and Thymoquinone Nanoparticles against Diazinon-Induced Hepatic Injury in Rats: A Possible Protection Mechanism. Toxics. 2023; 11(9):783. https://doi.org/10.3390/toxics11090783
Chicago/Turabian StyleNassar, Walaa M., Wafaa M. El-Kholy, Mamdouh R. El-Sawi, Nagi M. El-Shafai, Badriyah S. Alotaibi, Heba I. Ghamry, and Mustafa Shukry. 2023. "Ameliorative Effect of Thymoquinone and Thymoquinone Nanoparticles against Diazinon-Induced Hepatic Injury in Rats: A Possible Protection Mechanism" Toxics 11, no. 9: 783. https://doi.org/10.3390/toxics11090783
APA StyleNassar, W. M., El-Kholy, W. M., El-Sawi, M. R., El-Shafai, N. M., Alotaibi, B. S., Ghamry, H. I., & Shukry, M. (2023). Ameliorative Effect of Thymoquinone and Thymoquinone Nanoparticles against Diazinon-Induced Hepatic Injury in Rats: A Possible Protection Mechanism. Toxics, 11(9), 783. https://doi.org/10.3390/toxics11090783

