Effects of Electron Radiation on Serotonin Signaling and Reactivity of Rat Gastric Smooth Muscle
Abstract
1. Introduction
2. Materials and Methods
2.1. Animals
2.2. Irradiation Procedures
2.3. In Vitro Experiments
2.3.1. Isometrical Registration of SM Contractile Activity
2.3.2. Immunohistochemistry
2.3.3. Morphometric Analysis of Immunoreactions for 5-HT2A and 5-HT2B
2.3.4. Drugs and Chemicals
2.4. Statistical Analyses
3. Results
3.1. Mechanical Reactivity of Isolated SM to Increasing Concentration of 5-HT
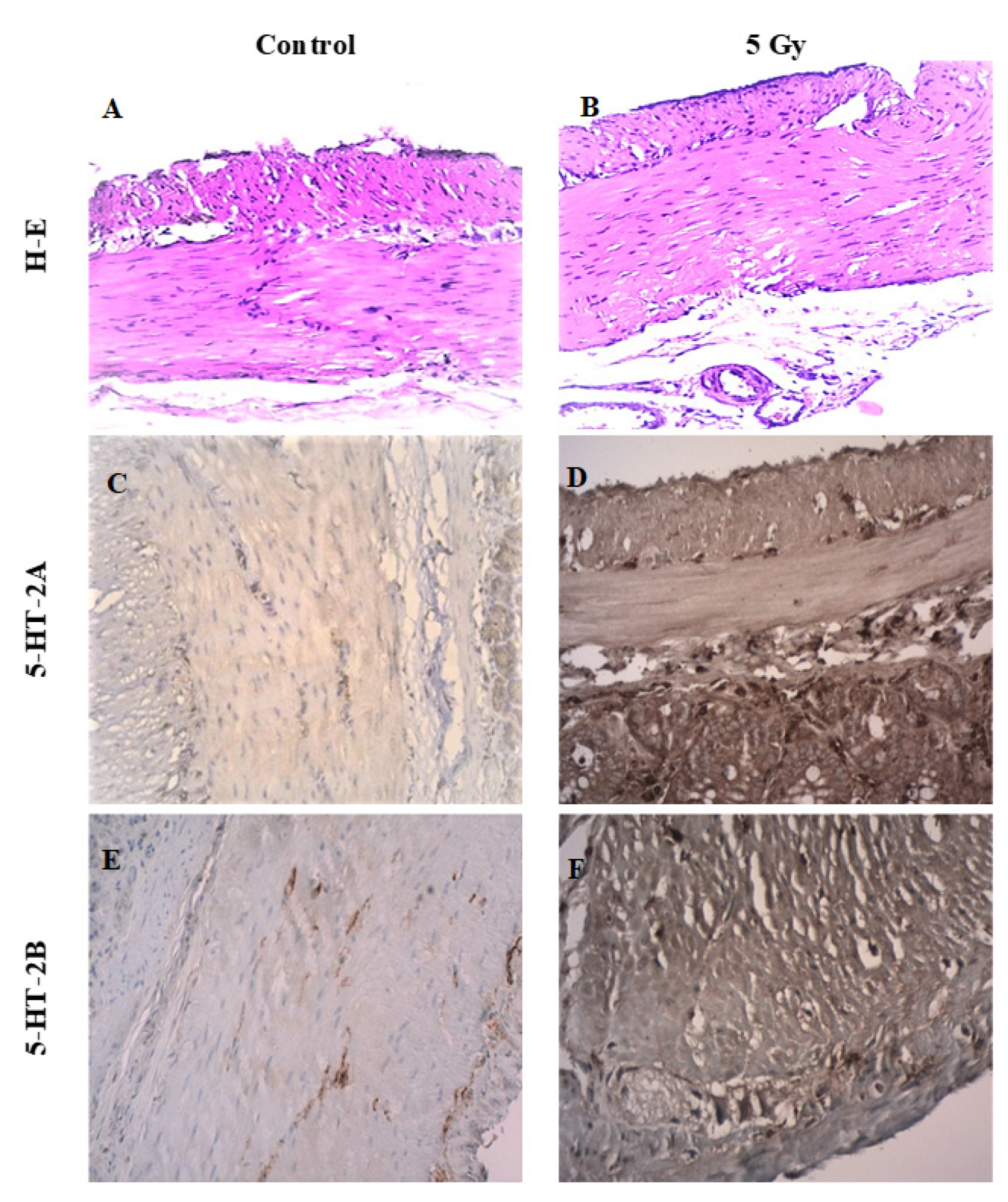
3.2. Light-Microscopic Immunohistochemical Analysis of 5-HT2A and 5-HT2B Receptors
3.3. Multiple Effects with Equimolar Concentrations (1.10−6 mol/L) of Serotonin
4. Discussion
5. Conclusions
- stimulates the expression of 5-HT2A and 5-HT2B receptors in SM cells from the gastric corpus;
- affects the agonist-induced internalization–recycling process of 5-HT2A and 5-HT2B receptors and, consequently, the cellular 5-HT signaling pathway in these tissues.
Author Contributions
Funding
Institutional Review Board Statement
Informed Consent Statement
Data Availability Statement
Conflicts of Interest
References
- Shadad, A.K.; Sullivan, F.J.; Martin, J.D.; Egan, L.J. Gastrointestinal radiation injury: Symptoms, risk factors and mechanisms. World J. Gastroenterol. 2013, 19, 185–198. [Google Scholar] [CrossRef]
- Reisz, J.A.; Bansal, N.; Qian, J.; Zhao, W.; Furdui, C.M. Effects of Ionizing Radiation on Biological Molecules—Mechanisms of Damage and Emerging Methods of Detection. Antioxid. Redox. Signal. 2014, 21, 260–292. [Google Scholar] [CrossRef]
- Lopez-Vilchez, I.; Diaz-Ricart, M.; White, J.G.; Escolar, G.; Galan, A.M. Serotonin enhances platelet procoagulant properties and their activation induced during platelet tissue factor uptake. Cardiovasc. Res. 2009, 84, 309–316. [Google Scholar] [CrossRef]
- Nautiyal, K.M.; Hen, R. Serotonin receptors in depression: From A to B. F1000 Res. 2017, 6, 123. [Google Scholar] [CrossRef] [PubMed]
- Raote, I.; Bhattacharyya, S.; Panicker, M.M. Functional Selectivity in Serotonin Receptor 2A (5-HT2A) Endocytosis, Recycling, and Phosphorylation. Mol. Pharmacol. 2013, 83, 42–50. [Google Scholar] [CrossRef]
- Ferguson, S.S. Evolving concepts in G protein-coupled receptor endocytosis: The role in receptor desensitization and signaling. Pharmacol. Rev. 2001, 53, 1–24. Available online: https://pubmed.ncbi.nlm.nih.gov/11171937/ (accessed on 11 July 2023). [PubMed]
- Koppen, C.J.; Jakobs, K.H. Arrestin-independent internalization of G protein-coupled receptors. Mol. Pharmacol. 2004, 66, 365–367. [Google Scholar] [CrossRef] [PubMed]
- Mohammad-Zadeh, L.F.; Moses, L.; Gwaltney-Brant, S.M. Serotonin: A review. J. Vet. Pharmacol. Therap. 2008, 31, 187–199. [Google Scholar] [CrossRef]
- Bekal, M.; Sun, L.; Ueno, S.; Moritake, T. Neurobehavioral effects of acute low-dose whole-body irradiation. J. Rad. Res. 2021, 62, 804–811. [Google Scholar] [CrossRef]
- Kokhan, V.S.; Mariasina, S.; Pikalov, V.A.; Abaimov, D.A.; Somasundaram, S.G.; Kirkland, C.E.; Aliev, G. Neurokinin-1 Receptor Antagonist Reverses Functional CNS Alteration Caused by Combined γ-rays and Carbon Nuclei Irradiation. CNS Neurol. Disord. Drug Targets 2022, 21, 278–289. [Google Scholar] [CrossRef] [PubMed]
- Kokhan, V.S.; Shakhbazian, E.V.; Markova, N.A. Psycho-emotional status but not cognition is changed under the combined effect of ionizing radiations at doses related to deep space missions. Behav. Brain Res. 2019, 362, 311–318. [Google Scholar] [CrossRef] [PubMed]
- Francois, A.; Ksas, B.; Gourmelon, P.; Griffiths, N.M. Changes in 5-HT-mediated pathways in radiation-induced attenuation and recovery of ion transport in rat colon. Am. J. Physiol. Gastrointest. Liver Physiol 2000, 278, 75–82. [Google Scholar] [CrossRef] [PubMed]
- Ghorbani, M.; Tabatabaei, Z.S.; Noghreiyan, A.V.; Vosoughi, H.; Knaup, C. Effect of Tissue Composition on Dose Distribution in Electron Beam Radiotherapy. J. Biomed. Phys. Eng. 2015, 5, 15–24. Available online: https://www.ncbi.nlm.nih.gov/pmc/articles/PMC4417615/ (accessed on 11 July 2023). [PubMed]
- Das, I.J.; Kase, K.R.; Copeland, J.F.; Fitzgerald, T.J. Electron beam modifications for the treatment of superficial malignancies. Int. J. Radiat. Oncol. Biol. Phys. 1991, 21, 1627–1634. [Google Scholar] [CrossRef]
- Hasanpour, S.; Rahimi, S.; Makki, O.F.; Shahhosseini, G.; Khosravi, A. Protective Influence of Gamma Rays and Electron-Beam Irradiation with a Commercial Toxin Binder on Toxic Effects of Aflatoxin B1 in Japanese Quails. Iran J. Toxicol. 2016, 10, 1–7. [Google Scholar] [CrossRef]
- Curtis, J.; Vo, T.K.N.; Seymour, C.B.; Mothersill, C.E. 5-HT2A and 5-HT3 receptors contribute to the exacerbation of targeted and non-targeted effects of ionizing radiation-induced cell death in human colon carcinoma cells. Int. J. Radiat. Biol. 2020, 96, 482–490. [Google Scholar] [CrossRef]
- Cockerham, L.G.; Forcino, C.D. Effect of Antihistamines, Disodium Cromoglycate (DSCG) or Methysergide on Post-irradiation Cerebral Blood Flowand Mean Systemic Arterial Blood Pressure in Primates after 25 Gy, Whole-body, Gamma Irradiation. J. Rad. Res. 1995, 36, 77–90. [Google Scholar] [CrossRef]
- Komada, T.; Yano, S. Pharmacological characterization of 5-Hydroxytryptamine-receptor subtypes in circular muscle from the rat stomach. Biol. Pharm. Bull. 2007, 30, 508–513. [Google Scholar] [CrossRef]
- Hannon, J.; Hoyer, D. Molecular biology of 5-HT receptors. Behav. Brain Res. 2008, 195, 198–213. [Google Scholar] [CrossRef]
- Charilaos, X.A.; Ardasheva, R.G.; Popov, V.G.; Prissadova, N.A.; Turiyski, V.I.; Krustev, A.D.; Vlaykova, M.I.; Grudeva-Popova, Z.G.; Sopadzhieva, M.V. Changes in the Contractile Activity and Reactivity to 5-HT of Smooth Muscles of Rats Following Total Body Irradiation with Accelerated Electrons. Folia Med. 2019, 61, 411–418. [Google Scholar] [CrossRef]
- Wang, S.W.; Ren, B.R.; Qian, F.; Luo, X.Z.; Tang, X.; Peng, X.C.; Huang, J.R.; Tang, F.R. Radioprotective effect of epimedium on neurogenesis and cognition after acute radiation exposure. Neurosci. Res. 2019, 145, 46–53. [Google Scholar] [CrossRef]
- Borman, R.A.; Burleigh, D.E. 5-HT1D and 5-HT2B receptors mediate contraction of smooth muscle in human small intestine. Ann. NY Acad. Sci. 1997, 812, 222–233. [Google Scholar] [CrossRef]
- Janssen, P.; Prins, N.H.; Meulemans, A.L.; Lefebvre, R.A. Smooth muscle 5-HT2A receptors mediating contraction of porcine isolated proximal stomach strips. Br. J. Pharmacol. 2002, 137, 1217–1224. [Google Scholar] [CrossRef]
- Zhao, A.; Urban, J.F.; Morimoto, M.; Elfrey, J.E.; Madden, K.B.; Finkelman, F.D.; Shea-Donohue, T. Contribution of 5-HT2A receptor in nematode infection-induced murine intestinal smooth muscle hypercontractility. Gastroenterology 2006, 131, 568–578. [Google Scholar] [CrossRef]
- Strange, P.G. Agonist binding, agonist affinity and agonist efficacy at G protein-coupled receptors. Br. J. Pharmacol. 2008, 153, 1353–1363. [Google Scholar] [CrossRef] [PubMed]
- Bohn, L.M.; Schmid, C.L. Serotonin receptor signaling and regulation via β-arrestins. Crit. Rev. Biochem. Mol. Biol. 2010, 45, 555–566. [Google Scholar] [CrossRef] [PubMed]
- McCorvy, J.D.; Roth, B.L. Structure and Function of Serotonin G protein Coupled Receptors. Pharmacol. Ther. 2015, 150, 129–142. [Google Scholar] [CrossRef]
- Levoye, A.; Zwier, J.M.; Jaracz-Ros, A.; Klipfel, L.; Cottet, M.; Maurel, D.; Bdioui, S.; Balabanian, K.; Prézeau, L.; Trinquet, E.; et al. A Broad G Protein-Coupled Receptor Internalization Assay that Combines SNAP-Tag Labeling, Diffusion-Enhanced Resonance Energy Transfer, and a Highly Emissive Terbium Cryptate. Front. Endocrinol. 2015, 6, 167. [Google Scholar] [CrossRef]
- Roth, B.L. 5-HT2A serotonin receptor biology: Interacting proteins, kinases and paradoxical regulation. Neuropharmacology 2011, 61, 348–354. [Google Scholar] [CrossRef] [PubMed]
- Bhattacharyya, S.; Puri, S.; Miledi, R.; Panicker, M.M. Internalization and recycling of 5-HT2A receptors activated by serotonin and protein kinase C-mediated mechanisms. PNAS 2002, 99, 14470–14475. [Google Scholar] [CrossRef]
- Xia, Z.; Gray, J.A.; Compton-Roth, B.A.; Roth, B.L. A Direct Interaction of PSD-95 with 5-HT2A Serotonin Receptors Regulates Receptor Trafficking and Signal Transduction. JBC 2003, 278, 21901–21908. [Google Scholar] [CrossRef] [PubMed]



| No. Treatment | Force of Reactions, mN | |
|---|---|---|
| A (n = 9) | B (n = 6) | |
| 1 | 3.75 ± 0.88 | 3.81 ± 0.82 |
| 2 | 3.63 ± 0.94 (p = 0.784; t = 0.278) | 4.05 ± 0.66 (p = 0.599; t = 0.542) |
| 3 | 3.03 ± 0.63 (p = 0.067; t = 1.963) | 3.88 ± 0.89 (p = 0.891; t = 0.140) |
| 4 | 2.82 ± 0.44 * (p = 0.014; t = 2.750) | 3.81 ± 1.00 (p = 0.900; t = 0.082) |
| No. Treatment | Force of Reactions, mN | |
|---|---|---|
| A (n = 8) | B (n = 9) | |
| 1 | 6.24 ± 0.85 | 6.03 ± 0.23 |
| 2 | 6.35 ± 0.82 (p = 0.798; t = 0.261) | 5.74 ± 0.22 (p = 0.341; t = 0.98) |
| 3 | 6.41 ± 0.79 (p = 0.681; t = 0.420) | 5.81 ± 0.36 (p = 0.618; t = 0.51) |
| 4 | 6.21 ± 0.77 (p = 0.940; t = 0.076) | 5.68 ± 0.32 (p = 0.329; t = 1.01) |
Disclaimer/Publisher’s Note: The statements, opinions and data contained in all publications are solely those of the individual author(s) and contributor(s) and not of MDPI and/or the editor(s). MDPI and/or the editor(s) disclaim responsibility for any injury to people or property resulting from any ideas, methods, instructions or products referred to in the content. |
© 2023 by the authors. Licensee MDPI, Basel, Switzerland. This article is an open access article distributed under the terms and conditions of the Creative Commons Attribution (CC BY) license (https://creativecommons.org/licenses/by/4.0/).
Share and Cite
Ardasheva, R.; Prissadova, N.; Turiyski, V.; Tolekova, A.; Krastev, A.; Pencheva, M.; Popov, V. Effects of Electron Radiation on Serotonin Signaling and Reactivity of Rat Gastric Smooth Muscle. Toxics 2023, 11, 603. https://doi.org/10.3390/toxics11070603
Ardasheva R, Prissadova N, Turiyski V, Tolekova A, Krastev A, Pencheva M, Popov V. Effects of Electron Radiation on Serotonin Signaling and Reactivity of Rat Gastric Smooth Muscle. Toxics. 2023; 11(7):603. https://doi.org/10.3390/toxics11070603
Chicago/Turabian StyleArdasheva, Raina, Natalia Prissadova, Valentin Turiyski, Anna Tolekova, Athanas Krastev, Mina Pencheva, and Veselin Popov. 2023. "Effects of Electron Radiation on Serotonin Signaling and Reactivity of Rat Gastric Smooth Muscle" Toxics 11, no. 7: 603. https://doi.org/10.3390/toxics11070603
APA StyleArdasheva, R., Prissadova, N., Turiyski, V., Tolekova, A., Krastev, A., Pencheva, M., & Popov, V. (2023). Effects of Electron Radiation on Serotonin Signaling and Reactivity of Rat Gastric Smooth Muscle. Toxics, 11(7), 603. https://doi.org/10.3390/toxics11070603

