Dibutyl Phthalate Adsorbed on Multiwalled Carbon Nanotubes Causes Fetal Developmental Toxicity in Balb/C Mice
Abstract
1. Introduction
2. Materials and Methods
2.1. Animals
2.2. Reagents and Kits
2.3. Preparation and Exposure Conditions
2.3.1. Preparation of Mixed Reagents
2.3.2. Exposure Conditions
2.4. Fetal Development Statistics
2.5. Sperm Quality Test
2.5.1. Sperm Density Test
2.5.2. Sperm Deformity Rate Test
2.6. Histological Assay of the Ovaries and Testes
2.7. GSH and MDA
2.8. Mass Spectrometry Analysis of Proteins in Serum and Testis
2.8.1. Mass Spectrometry Analysis of Protein in Female and Male Mouse Serum
2.8.2. Mass Spectrometry Analysis of Proteins in Testis
2.9. The Related Genes Test
2.10. Statistical Analysis
3. Results
3.1. Fetal Development Statistics
3.2. Sperm Quality Test
3.2.1. Sperm Density Test
3.2.2. Sperm Deformity Rate Test
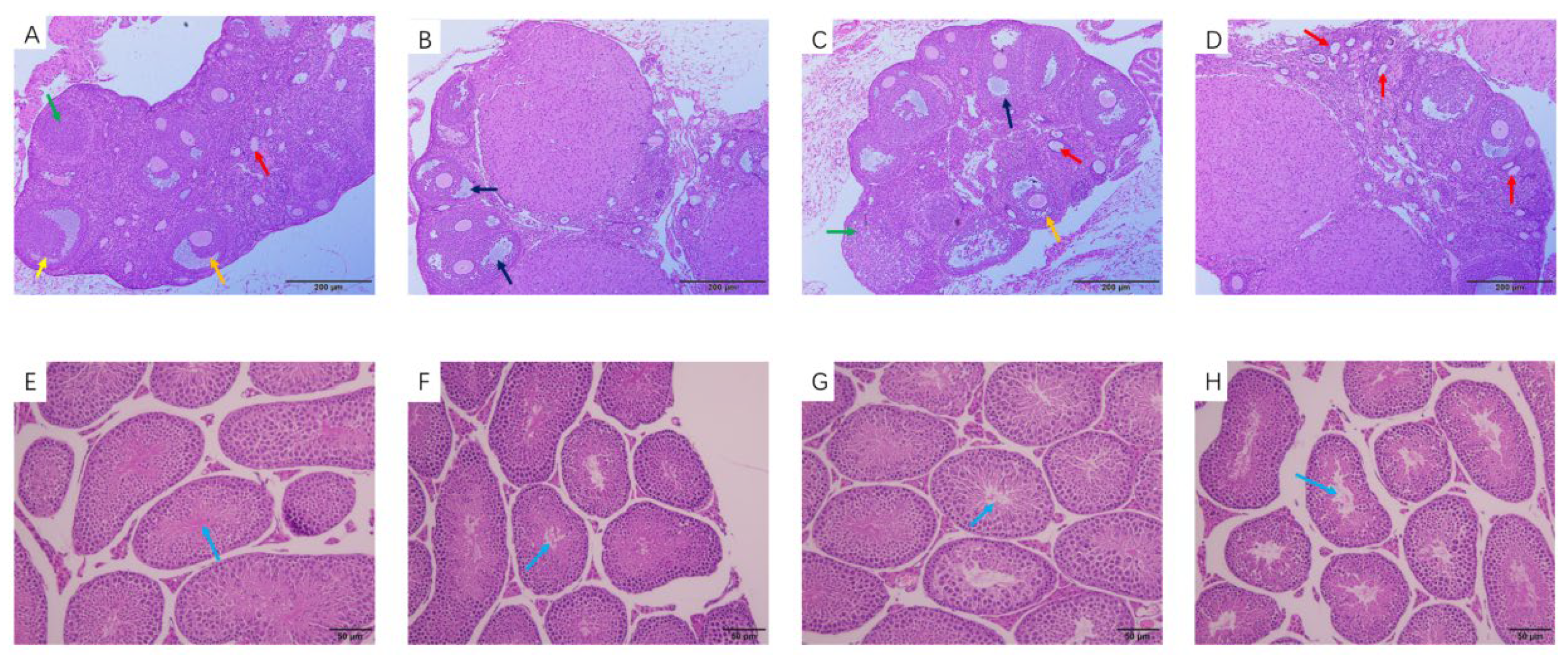
3.3. Histological Observation of the Ovaries and Testis
3.3.1. Histological Observation of the Ovaries
3.3.2. Histological Observation of the Testis
3.4. Effect of Oxidative Stress
3.4.1. Oxidative Stress in the Ovaries
3.4.2. Oxidative Stress in the Testis
3.5. Mass Spectrometry Analysis of Protein in Female Mouse Serum
3.5.1. Venn Analysis
3.5.2. Volcano Analysis
3.6. Mass Spectrometry Analysis of Protein in Male Mice Serum
3.6.1. Venn Analysis
3.6.2. Volcano Analysis
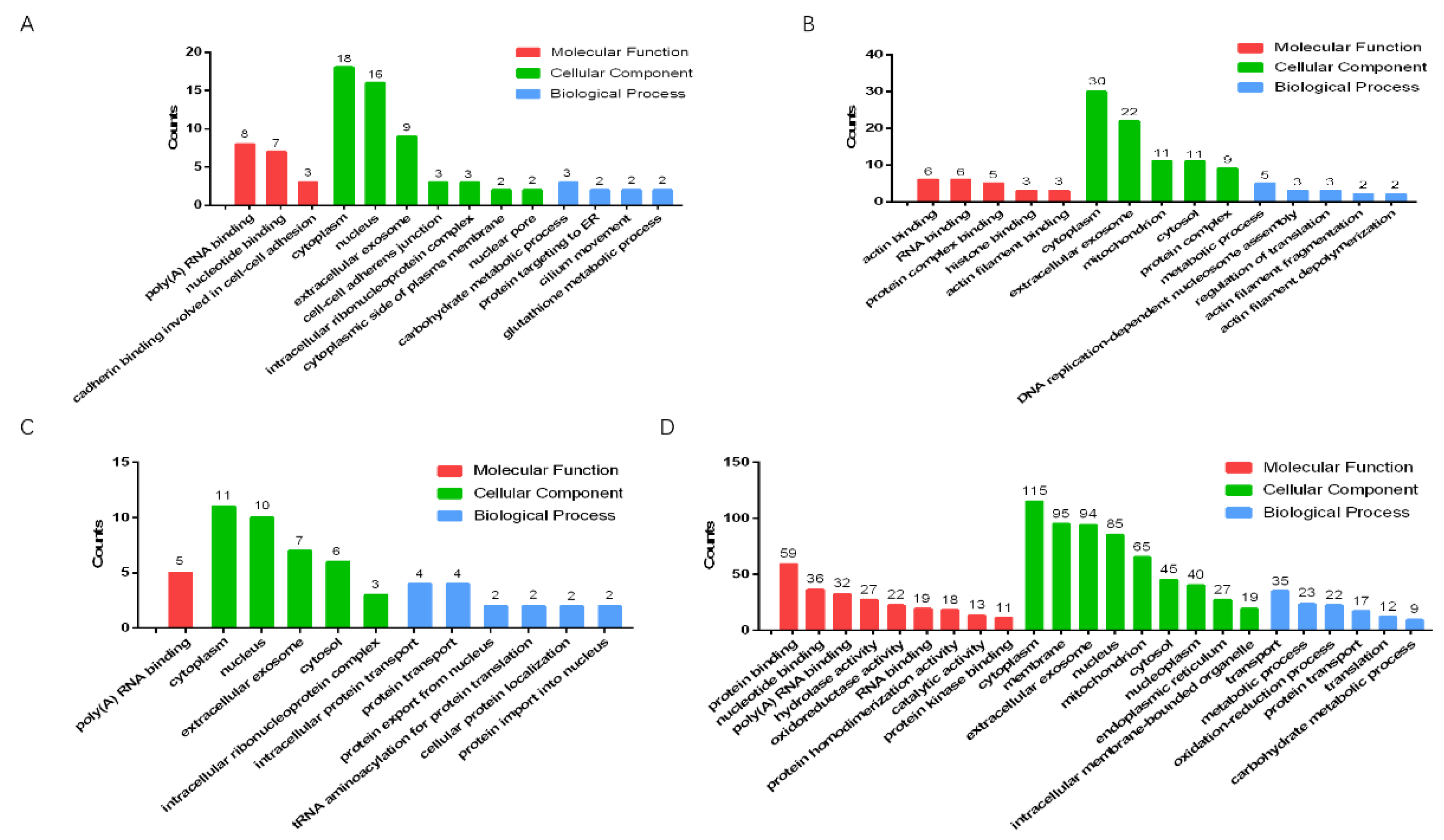
3.7. Mass Spectrometry Analysis of Proteins in Testis
3.7.1. Venn Analysis
3.7.2. Heatmap and Volcano Plots Analysis
3.7.3. Gene Ontology Enrichment Analysis
3.8. The Related Genes Test
3.8.1. The Results of Steroid Biosynthesis Testing in the Ovaries
3.8.2. The Results of Steroid Biosynthesis Testing in the Testis
4. Discussion
5. Conclusions
Supplementary Materials
Author Contributions
Funding
Institutional Review Board Statement
Informed Consent Statement
Data Availability Statement
Acknowledgments
Conflicts of Interest
References
- Sun, C.; Li, W.; Xu, Y.; Hu, N.; Ma, J.; Cao, W.; Sun, S.; Hu, C.; Zhao, Y.; Huang, Q. Effects of carbon nanotubes on the toxicities of copper, cadmium and zinc toward the freshwater microalgae Scenedesmus obliquus. Aquat. Toxicol. 2020, 224, 105504. [Google Scholar] [CrossRef] [PubMed]
- Deng, R.; Yang, K.; Lin, D. Pentachlorophenol and ciprofloxacin present dissimilar joint toxicities with carbon nanotubes to Bacillus subtilis. Environ. Pollut. 2021, 270, 116071. [Google Scholar] [CrossRef] [PubMed]
- Ali, A.; Ezz Eddin, B.; Chaichan, M. An investigation of effect of hematocrit on thermal conductivity of a bio-nanofluid (MWCNT or SWCNT with blood). Therm. Sci. Eng. Prog. 2021, 25, 100985. [Google Scholar] [CrossRef]
- Bergamaschi, E.; Garzaro, G.; Wilson Jones, G.; Buglisi, M.; Caniglia, M.; Godono, A.; Bosio, D.; Fenoglio, I.; Guseva Canu, I. Occupational Exposure to Carbon Nanotubes and Carbon Nanofibres: More Than a Cobweb. Nanomaterials 2021, 11, 745. [Google Scholar] [CrossRef]
- Dias, J.T.; Ramos, G.C.; Marinho, P.S.B.; Gester, R.; Andrade-Filho, T. Theoretical investigation of adsorption of kojic acid on carbon nanotubes. Mater. Lett. 2021, 294, 129769. [Google Scholar] [CrossRef]
- Przybylska, N.; Śliwińska-Bartkowiak, M.; Kościński, M.; Rotnicki, K.; Bartkowiak, M.; Jurga, S. Confined effect of water solution of ciprofloxacin in carbon nanotubes studied by Raman and Fourier Transform Infrared Spectroscopy methods. J. Mol. Liq. 2021, 336, 115938. [Google Scholar] [CrossRef]
- Kavousi, M.; Chavoshi, M.S. Effect of coated carbon nanotubes with chitosan and cover of flaxseed in the induction of MDA-MB-231 apoptosis by analyzing the expression of Bax and Bcl-2. Meta Gene 2020, 26, 100807. [Google Scholar] [CrossRef]
- Nayak, V.; Singh, K.R.B.; Verma, R.; Pandey, M.D.; Singh, J.; Pratap Singh, R. Recent advancements of biogenic iron nanoparticles in cancer theranostics. Mater. Lett. 2022, 313, 131769. [Google Scholar] [CrossRef]
- Chen, M.; Zhou, S.; Zhu, Y.; Sun, Y.; Zeng, G.; Yang, C.; Xu, P.; Yan, M.; Liu, Z.; Zhang, W. Toxicity of carbon nanomaterials to plants, animals and microbes: Recent progress from 2015-present. Chemosphere 2018, 206, 255–264. [Google Scholar] [CrossRef] [PubMed]
- Kobayashi, N.; Izumi, H.; Morimoto, Y. Review of toxicity studies of carbon nanotubes. J. Occup. Health 2017, 59, 394–407. [Google Scholar] [CrossRef]
- Guo, Y.; Terazzi, E.; Seemann, R.; Fleury, J.B.; Baulin, V.A. Direct proof of spontaneous translocation of lipid-covered hydrophobic nanoparticles through a phospholipid bilayer. Sci. Adv. 2016, 2, e1600261. [Google Scholar] [CrossRef] [PubMed]
- Facciolà, A.; Visalli, G.; La Maestra, S.; Ceccarelli, M.; D’Aleo, F.; Nunnari, G.; Pellicanò, G.F.; Di Pietro, A. Carbon nanotubes and central nervous system: Environmental risks, toxicological aspects and future perspectives. Environ. Toxicol. Pharmacol. 2019, 65, 23–30. [Google Scholar] [CrossRef]
- Sridharan, S.; Taylor-Just, A.; Bonner, J.C. Osteopontin mRNA expression by rat mesothelial cells exposed to multi-walled carbon nanotubes as a potential biomarker of chronic neoplastic transformation in vitro. Toxicol. Vitr. 2021, 73, 105126. [Google Scholar] [CrossRef] [PubMed]
- Albini, A.; Pagani, A.; Pulze, L.; Bruno, A.; Principi, E.; Congiu, T.; Gini, E.; Grimaldi, A.; Bassani, B.; De Flora, S.; et al. Environmental impact of multi-wall carbon nanotubes in a novel model of exposure: Systemic distribution, macrophage accumulation, and amyloid deposition. Int. J. Nanomed. 2015, 10, 6133–6145. [Google Scholar] [CrossRef]
- Bai, Y.; Zhang, Y.; Zhang, J.; Mu, Q.; Zhang, W.; Butch, E.R.; Snyder, S.E.; Yan, B. Repeated administrations of carbon nanotubes in male mice cause reversible testis damage without affecting fertility. Nat. Nanotechnol. 2010, 5, 683–689. [Google Scholar] [CrossRef] [PubMed]
- Zhang, H.Y.; Chen, R.L.; Shao, Y.; Wang, H.L.; Liu, Z.G. Effects of exposure of adult mice to multi-walled carbon nanotubes on the liver lipid metabolism of their offspring. Toxicol. Res. 2018, 7, 809–816. [Google Scholar] [CrossRef]
- Lü, H.; Mo, C.H.; Zhao, H.M.; Xiang, L.; Katsoyiannis, A.; Li, Y.W.; Cai, Q.Y.; Wong, M.H. Soil contamination and sources of phthalates and its health risk in China: A review. Environ. Res. 2018, 164, 417–429. [Google Scholar] [CrossRef]
- Cai, Q.Y.; Xiao, P.Y.; Zhao, H.M.; Lü, H.; Zeng, Q.Y.; Li, Y.W.; Li, H.; Xiang, L.; Mo, C.H. Variation in accumulation and translocation of di-n-butyl phthalate (DBP) among rice (Oryza sativa L.) genotypes and selection of cultivars for low DBP exposure. Environ. Sci. Pollut. Res. Int. 2017, 24, 7298–7309. [Google Scholar] [CrossRef]
- Cao, Y.; Li, J.; Wu, R.; Lin, H.; Lao, J.-Y.; Ruan, Y.; Zhang, K.; Wu, J.; Leung, K.M.Y.; Lam, P.K.S. Phthalate esters in seawater and sediment of the northern South China Sea: Occurrence, distribution, and ecological risks. Sci. Total Environ. 2022, 811, 151412. [Google Scholar] [CrossRef]
- Cheshmazar, E.; Arfaeinia, L.; Vasseghian, Y.; Ramavandi, B.; Moradi, M.; Hashemi, S.E.; Asgari, E.; Arfaeinia, H.; Dragoi, E.-N.; Mousavi Khaneghah, A. Phthalate acid esters in pickled vegetables packaged in polyethylene terephthalate container: Occurrence, migration, and estrogenic activity-associated risk assessment. J. Food Compos. Anal. 2021, 99, 103880. [Google Scholar] [CrossRef]
- Farzanehfar, V.; Naderi, N.; Kobarfard, F.; Faizi, M. Determination of dibutyl phthalate neurobehavioral toxicity in mice. Food Chem. Toxicol. 2016, 94, 221–226. [Google Scholar] [CrossRef] [PubMed]
- Zhu, Q.; Xu, L.; Wang, W.; Liu, W.; Liao, C.; Jiang, G. Occurrence, spatial distribution and ecological risk assessment of phthalate esters in water, soil and sediment from Yangtze River Delta, China. Sci. Total Environ. 2022, 806, 150966. [Google Scholar] [CrossRef]
- Zhu, Y.D.; Han, X.; Wang, X.Q.; Ge, T.X.; Liu, H.; Fan, L.; Li, L.; Su, L.Q.; Wang, X.L. Effect of the phthalates exposure on sex steroid hormones in the US population. Ecotoxicol. Environ. Saf. 2022, 231, 113203. [Google Scholar] [CrossRef]
- Silinski, M.A.R.; Fernando, R.A.; Robinson, V.G.; Waidyanatha, S. Development and Validation of an Analytical Method for Quantitation of Monobutylphthalate, a Metabolite of Di-n-Butylphthalate, in Rat Plasma, Amniotic Fluid, Fetuses and Pups by UPLC-MS/MS. J. Anal. Toxicol. 2020, 44, 370–377. [Google Scholar] [CrossRef] [PubMed]
- Jauregui, E.; Lock, J.; Rasmussen, L.; Craig, Z. Mono-n-butyl phthalate distributes to the mouse ovary, liver and alters the expression of phthalate-metabolizing enzymes in both tissues. Toxicol. Sci. 2021, 183, 117–127. [Google Scholar] [CrossRef]
- Maestre-Batlle, D.; Pena, O.M.; Huff, R.D.; Randhawa, A.; Carlsten, C.; Bølling, A.K. Dibutyl phthalate modulates phenotype of granulocytes in human blood in response to inflammatory stimuli. Toxicol. Lett. 2018, 296, 23–30. [Google Scholar] [CrossRef] [PubMed]
- Matthew, S.; Nwannenna, A.; Samuel, F.; Rekwot, P.I. Melatonin and garlic cytoprotective-ameliorative effects on dibutyl phthalate intoxication on sperm DNA and testicular biomakers of rabbits. Sokoto J. Vet. Sci. 2020, 18, 158–166. [Google Scholar] [CrossRef]
- Liu, X.; Craig, Z.R. Environmentally relevant exposure to dibutyl phthalate disrupts DNA damage repair gene expression in the mouse ovary. Biol. Reprod. 2019, 101, 854–867. [Google Scholar] [CrossRef] [PubMed]
- Wu, N.; Tao, L.; Tian, K.; Wang, X.; He, C.; An, S.; Tian, Y.; Liu, X.; Chen, W.; Zhang, H.; et al. Risk assessment and environmental determinants of urinary phthalate metabolites in pregnant women in Southwest China. Environ. Sci. Pollut. Res. 2023, 30, 53077–53088. [Google Scholar] [CrossRef] [PubMed]
- He, X.; Zang, J.; Liao, P.; Zheng, Y.; Lu, Y.; Zhu, Z.; Shi, Y.; Wang, W. Distribution and Dietary Predictors of Urinary Phthalate Metabolites among Pregnant Women in Shanghai, China. Int. J. Environ. Res. Public Health 2019, 16, 1366. [Google Scholar] [CrossRef] [PubMed]
- Badea, N.; Craciun, M.M.; Dragomir, A.S.; Balas, M.; Dinischiotu, A.; Nistor, C.; Gavan, C.; Ionita, D. Systems based on carbon nanotubes with potential in cancer therapy. Mater. Chem. Phys. 2020, 241, 122435. [Google Scholar] [CrossRef]
- Faraji Dizaji, B.; Khoshbakht, S.; Farboudi, A.; Azarbaijan, M.H.; Irani, M. Far-reaching advances in the role of carbon nanotubes in cancer therapy. Life Sci. 2020, 257, 118059. [Google Scholar] [CrossRef] [PubMed]
- Dutt, M.A.; Hanif, M.A.; Nadeem, F.; Bhatti, H.N. A review of advances in engineered composite materials popular for wastewater treatment. J. Environ. Chem. Eng. 2020, 8, 104073. [Google Scholar] [CrossRef]
- Wang, F.; Yao, J.; Sun, K.; Xing, B. Adsorption of dialkyl phthalate esters on carbon nanotubes. Environ. Sci. Technol. 2010, 44, 6985–6991. [Google Scholar] [CrossRef]
- Zhou, T.; He, Y.; Qin, Y.; Wang, B.; Zhang, H.; Ding, S. Exposure to a combination of MWCNTs and DBP causes splenic toxicity in mice. Toxicology 2022, 465, 153057. [Google Scholar] [CrossRef]
- Barbăroșie, C.; Agarwal, A.; Henkel, R. Diagnostic value of advanced semen analysis in evaluation of male infertility. Andrologia 2021, 53, e13625. [Google Scholar] [CrossRef]
- Priya, K.; Setty, M.; Babu, U.V.; Pai, K.S.R. Implications of environmental toxicants on ovarian follicles: How it can adversely affect the female fertility? Environ. Sci. Pollut. Res. 2021, 28, 67925–67939. [Google Scholar] [CrossRef] [PubMed]
- Czubacka, E.; Czerczak, S.; Kupczewska-Dobecka, M.M. The overview of current evidence on the reproductive toxicity of dibutyl phthalate. Int. J. Occup. Med. Environ. Health 2021, 34, 15–37. [Google Scholar] [CrossRef] [PubMed]
- Ahangarpour, A.; Alboghobeish, S.; Oroojan, A.A.; Dehghani, M.A. Caffeic acid protects mice pancreatic islets from oxidative stress induced by multi-walled carbon nanotubes (MWCNTs). Vet. Res. Forum 2021, 12, 77–85. [Google Scholar] [CrossRef] [PubMed]
- Takeshima, T.; Usui, K.; Mori, K.; Asai, T.; Yasuda, K.; Kuroda, S.; Yumura, Y. Oxidative stress and male infertility. Reprod. Med. Biol. 2021, 20, 41–52. [Google Scholar] [CrossRef] [PubMed]
- Wu, P.Y.; Scarlata, E.; O’Flaherty, C. Long-Term Adverse Effects of Oxidative Stress on Rat Epididymis and Spermatozoa. Antioxidants 2020, 9, 170. [Google Scholar] [CrossRef] [PubMed]
- Kaur, R.; Kaur, T.; Sudhir, N.; Kaur, A. Association Analysis of CYP11A1 Variants with Polycystic Ovary Syndrome: A Case-Control Study from North India. Reprod. Sci. 2021, 28, 2951–2960. [Google Scholar] [CrossRef] [PubMed]
- Mast, N.; Annalora, A.J.; Lodowski, D.T.; Palczewski, K.; Stout, C.D.; Pikuleva, I.A. Structural Basis for Three-step Sequential Catalysis by the Cholesterol Side Chain Cleavage Enzyme CYP11A1. J. Biol. Chem. 2011, 286, 5607–5613. [Google Scholar] [CrossRef]
- Xu, X.; Hu, K.; Shi, H.; Yu, Y.; Xu, J.; Sun, Y. The single-nucleotide polymorphism rs743572 of CYP17A1 shows significant association with polycystic ovary syndrome: A meta-analysis. Reprod. Biomed. Online 2021, 43, 941–951. [Google Scholar] [CrossRef] [PubMed]









| Gene | Sequences of Gene Primers (5′–3′) |
|---|---|
| Cyp11a1 | F AGGTCCTTCAATGAGATCCCTT |
| R TCCCTGTAAATGGGGCCATAC | |
| Cyp17a1 | F GCCCAAGTCAAAGACACCTAAT |
| R GTACCCAGGCGAAGAGAATAGA | |
| Hsd3b1 | F TGGACAAAGTATTCCGACCAGA |
| R GGCACACTTGCTTGAACACAG | |
| Hsd17b3 | F ATGGGCAGTGATTACCGGAG |
| R ACAACATTGAGTCCATGTCTGG | |
| β-actin | F GGCTGTATTCCCCTCCATCG |
| R CCAGTTGGTAACAATGCCATGT |
| Group (n = 10) | Counts of Live Births | Stillbirth Rate (%) |
|---|---|---|
| Control | 3.6 ± 1.00 | 1.25 ± 1.25 |
| MWCNTs | 4.4 ± 1.00 | 2.92 ± 1.97 |
| DBP | 3.4 ± 0.99 | 3.65 ± 2.50 |
| MWCNTs + DBP | 4.7 ± 0.57 | 12.43 ± 4.61 * |
Disclaimer/Publisher’s Note: The statements, opinions and data contained in all publications are solely those of the individual author(s) and contributor(s) and not of MDPI and/or the editor(s). MDPI and/or the editor(s) disclaim responsibility for any injury to people or property resulting from any ideas, methods, instructions or products referred to in the content. |
© 2023 by the authors. Licensee MDPI, Basel, Switzerland. This article is an open access article distributed under the terms and conditions of the Creative Commons Attribution (CC BY) license (https://creativecommons.org/licenses/by/4.0/).
Share and Cite
Qin, Y.; He, S.; Peng, H.; Ye, X.; Zhang, H.; Ding, S. Dibutyl Phthalate Adsorbed on Multiwalled Carbon Nanotubes Causes Fetal Developmental Toxicity in Balb/C Mice. Toxics 2023, 11, 565. https://doi.org/10.3390/toxics11070565
Qin Y, He S, Peng H, Ye X, Zhang H, Ding S. Dibutyl Phthalate Adsorbed on Multiwalled Carbon Nanotubes Causes Fetal Developmental Toxicity in Balb/C Mice. Toxics. 2023; 11(7):565. https://doi.org/10.3390/toxics11070565
Chicago/Turabian StyleQin, Yujie, Suli He, Haiyan Peng, Xin Ye, Hongmao Zhang, and Shumao Ding. 2023. "Dibutyl Phthalate Adsorbed on Multiwalled Carbon Nanotubes Causes Fetal Developmental Toxicity in Balb/C Mice" Toxics 11, no. 7: 565. https://doi.org/10.3390/toxics11070565
APA StyleQin, Y., He, S., Peng, H., Ye, X., Zhang, H., & Ding, S. (2023). Dibutyl Phthalate Adsorbed on Multiwalled Carbon Nanotubes Causes Fetal Developmental Toxicity in Balb/C Mice. Toxics, 11(7), 565. https://doi.org/10.3390/toxics11070565
