Lipidomics Analysis Explores the Mechanism of Renal Injury in Rat Induced by 3-MCPD
Abstract
1. Introduction
2. Materials and Methods
2.1. Chemicals and Reagents
2.2. Animal Experiments
2.3. Measurement of Kidney Index
2.4. Histopathology Analysis
2.5. Kidney Function
2.6. Evaluation of Oxidative Stress in the Kidney
2.7. Lipidomics Analysis
2.8. Statistical Analysis
3. Results and Discussion
3.1. Body Weight and Kidney Weight
3.2. Changes in Serum Biochemistry Parameters
3.3. Levels of Oxidative Stress
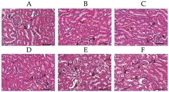
3.4. Histopathological Analysis
3.5. Renal Lipidomics Analysis
3.6. Potential Biomarker Analysis
3.7. Pathway Analysis
4. Conclusions
Supplementary Materials
Author Contributions
Funding
Institutional Review Board Statement
Data Availability Statement
Acknowledgments
Conflicts of Interest
References
- Velíek, J.; Davidek, J.; Hajlová, J.; Kubelka, V.; Mánková, B. Chlorhydrins in protein hydrolysates. Z. Lebensm. Unters. Forsch. 1978, 167, 241–244. [Google Scholar] [CrossRef]
- Svejkovska, B.; Novotny, O.; Divinova, V.; Reblova, Z.; Velisek, J. Esters of 3-chloropropane-1,2-diol in foodstuffs. Czech J. Food Sci. 2004, 22, 190–196. [Google Scholar] [CrossRef]
- Nguyen, K.H.; Fromberg, A.; Duedahl-Olesen, L.; Christensen, T.; Granby, K. Processing contaminants in potato and other vegetable crisps on the Danish market: Levels and estimation of exposure. J. Food Compos. Anal. 2022, 108, 104411. [Google Scholar] [CrossRef]
- Shimamura, Y.; Inagaki, R.; Oike, M.; Dong, B.B.; Gong, W.; Masuda, S. Glycidol fatty acid ester and 3-monochloropropane-1,2-diol fatty acid ester in commercially prepared foods. Foods 2021, 10, 2095. [Google Scholar] [CrossRef] [PubMed]
- Xie, Y.; Fels-Klerx, H.; Leeuwen, S.; Fogliano, V. Dietary advanced glycation end-products, 2-monochloropropane-1,3-diol esters and 3-monochloropropane-1,2-diol esters and glycidyl esters in infant formulas: Occurrence, formulation and processing effects, mitigation strategies. Compr. Rev. Food Sci. Food Saf. 2021, 20, 5489–5515. [Google Scholar] [CrossRef] [PubMed]
- Yuan, Y.; Cui, C.C.; Liu, H.; Li, X.N.; Cao, Y.; Zhang, Y.; Yan, H.Y. Effects of oxidation and hydrolysis of frying oil on MCPD esters formation in Chinese fried dough sticks. LWT-Food Sci. Technol. 2022, 154, 112576. [Google Scholar] [CrossRef]
- Li, S.H.; Li, J.H.; Feng, S.W.; Bian, L.L.; Liu, Z.T.; Ping, Y.F.; Wang, X.; Van Schepdael, A. Headspace solid-phase microextraction and on-fiber derivatization for the determination of 3-/2-MCPDE and GE in breast milk and infant formula by gas chromatography tandem mass spectrometry. LWT-Food Sci. Technol. 2022, 154, 112575. [Google Scholar] [CrossRef]
- Abraham, K.; Appel, K.E.; Berger-Preiss, E.; Apel, E.; Gerling, S.; Mielke, H.; Creutzenberg, O.; Lampen, A. Relative oral bioavailability of 3-MCPD from 3-MCPD fatty acid esters in rats. Arch. Toxicol. 2013, 87, 649–659. [Google Scholar] [CrossRef]
- World Health Organization. Evaluation of certain contaminants in food. WHO Tech. Rep. Ser. 2017, 959, 1–166. [Google Scholar]
- Grosse, Y.; Baan, R.; Secretan-Lauby, B.; El Ghissassi, F.; Bouvard, V.; Benbrahim-Tallaa, L.; Guha, N.; Islami, F.; Galichet, L.; Straif, K.; et al. Carcinogenicity of chemicals in industrial and consumer products, food contaminants and flavourings, and water chlorination byproducts. Lancet Oncol. 2011, 12, 328–329. [Google Scholar] [CrossRef]
- Schultrich, K.; Henderson, C.J.; Braeuning, A.; Buhrke, T. Correlation between 3-MCPD-induced organ toxicity and oxidative stress response in male mice. Food Chem. Toxicol. 2020, 136, 110957. [Google Scholar] [CrossRef] [PubMed]
- Sawada, S.; Oberemm, A.; Buhrke, T.; Meckert, C.; Lampen, A. Proteomic analysis of 3-MCPD and 3-MCPD dipalmitate toxicity in rat testis. Arch. Toxicol. 2015, 83, 84–92. [Google Scholar] [CrossRef] [PubMed]
- Xing, H.Z.; Chen, S.B.; Wang, X.L.; Li, J.W.; Ren, F.Z. 3-Monochloropropane-1,2-diol causes spermatogenesis failure in male rats via Sertoli cell dysfunction but not testosterone reduction. Toxicol. Lett. 2022, 360, 1–10. [Google Scholar] [CrossRef] [PubMed]
- Huang, G.R.; Wu, Y.B.; Liu, M.; Sun, X.J.; Lu, W.Y.; Gao, B.Y.; Wang, T.T.Y.; Yu, L.L. Potential biomarkers for early detection of 3-MCPD dipalmitate exposure in sprague-dawley rats. J. Agric. Food Chem. 2020, 68, 9594–9602. [Google Scholar] [CrossRef] [PubMed]
- Guoren, H.; Jinli, X.; Xiangjun, S.; Jing, W.; Liangli, Y. Necroptosis in 3-chloro-1, 2-propanediol (3-MCPD)-dipalmitate-induced acute kidney injury in vivo and its repression by miR-223-3p. Toxicology 2018, 406–407, 33–43. [Google Scholar] [CrossRef]
- Gao, B.; Li, Y.; Huang, G.; Yu, L. Fatty Acid Esters of 3-Monochloropropanediol: A Review. Annu. Rev. Food Sci. Technol. 2019, 10, 259–284. [Google Scholar] [CrossRef]
- Zhong, Y.; Jin, C.; Wang, X.; Li, X.; Han, J.; Xue, W.; Wu, P.; Peng, X.; Xia, X. Protective effects of apigenin against 3-MCPD-induced renal injury in rat. Chem. Biol. Interact. 2018, 296, 9–17. [Google Scholar] [CrossRef]
- Zhong, Y.; Sun, D.; Yao, Y.; Liu, Q.; Guo, T.; Wang, X.; Peng, X. Autophagy and mitochondrial dynamics contribute to the protective effect of diosgenin against 3-MCPD induced kidney injury. Chem. Biol. Interact. 2022, 355, 109850. [Google Scholar] [CrossRef]
- Peng, X.L.; Gan, J.; Wang, Q.; Shi, Z.Q.; Xia, X.D. 3-Monochloro-1,2-propanediol (3-MCPD) induces apoptosis via mitochondrial oxidative phosphorylation system impairment and the caspase cascade pathway. Toxicology 2016, 372, 1–11. [Google Scholar] [CrossRef]
- Yang, P.Y.; Hu, J.Y.; Liu, J.C.; Zhang, Y.Q.; Gao, B.Y.; Wang, T.T.Y.; Jiang, L.Z.; Granvogl, M.; Yu, L.L.L. Ninety-day nephrotoxicity evaluation of 3-MCPD 1-monooleate and 1-monostearate exposures in male sprague dawley rats using proteomic analysis. J. Agric. Food Chem. 2020, 68, 2765–2772. [Google Scholar] [CrossRef]
- Liu, M.; Huang, G.R.; Wang, T.T.Y.; Sun, X.J.; Yu, L.L. 3-MCPD 1-palmitate induced tubular cell apoptosis in vivo via JNK/p53 pathways. Toxicol. Sci. 2016, 151, 181–192. [Google Scholar] [CrossRef] [PubMed]
- D’Arcy, M.S. Cell death: A review of the major forms of apoptosis, necrosis and autophagy. Cell Biol. Int. 2019, 43, 582–592. [Google Scholar] [CrossRef]
- Han, X. Lipidomics for studying metabolism. Nat. Rev. Endocrinol. 2016, 12, 668–679. [Google Scholar] [CrossRef] [PubMed]
- Liu, Z.; Xu, P.; Gong, F.; Tan, Y.; Han, J.; Tian, L.; Yan, J.; Li, K.; Xi, Z.; Liu, X. Altered lipidomic profiles in lung and serum of rat after sub-chronic exposure to ozone. Sci. Total Environ. 2022, 806, 150630. [Google Scholar] [CrossRef] [PubMed]
- Ha, H.J.; Lee, H.B. Reactive oxygen species as glucose signaling molecules in mesangial cells cultured under high glucose. Kidney Int. 2000, 58, S19–S25. [Google Scholar] [CrossRef]
- Scivittaro, V.; Ganz, M.B.; Weiss, M.F. AGEs induce oxidative stress and activate protein kinase C-βII in neonatal mesangial cells. Am. J. Physiol. Ren. Physiol. 2000, 278, F676–F683. [Google Scholar] [CrossRef]
- Narvaez, R.M.; Zhang, Q.B. Comprehensive untargeted lipidomic analysis using core–shell C30 particle column and high field orbitrap mass spectrometer. J. Chromatogr. A 2016, 1440, 123–134. [Google Scholar] [CrossRef]
- Werner, E.R.; Keller, M.A.; Sailer, S.; Seppi, D.; Golderer, G.; Werner-Felmayer, G.; Zoeller, R.A.; Watschinger, K. A novel assay for the introduction of the vinyl ether double bond into plasmalogens using pyrene-labelled substrates. J. Lipid Res. 2018, 59, 901–909. [Google Scholar] [CrossRef]
- Jin, C.; Min, F.; Zhong, Y.; Sun, D.; Luo, R.; Liu, Q.; Peng, X. Nephrotoxicity evaluation of 3-monochloropropane-1,2-diol exposure in Sprague-Dawley rats using data-independent acquisition-based quantitative proteomics analysis. Toxicol. Lett. 2022, 356, 110–120. [Google Scholar] [CrossRef]
- Liu, M.; Liu, J.; Wu, Y.Z.; Gao, B.Y.; Wu, P.P.; Shi, H.M.; Sun, X.J.; Huang, H.Q.; Wang, T.T.Y.; Yu, L.L. Preparation of five 3-MCPD fatty acid esters, and the effects of their chemical structures on acute oral toxicity in Swiss mice. J. Sci. Food Agric. 2017, 97, 841–848. [Google Scholar] [CrossRef]
- Mateen, S.; Shahzad, S.; Ahmad, S.; Naeem, S.S.; Khalid, S.; Akhtar, K.; Rizvi, W.; Moin, S. Cinnamaldehyde and eugenol attenuates collagen induced arthritis via reduction of free radicals and pro-inflammatory cytokines. Phytomedicine 2019, 53, 70–78. [Google Scholar] [CrossRef] [PubMed]
- Yaribeygi, H.; Atkin, S.L.; Sahebkar, A. A review of the molecular mechanisms of hyperglycemia-induced free radical generation leading to oxidative stress. J. Cell. Physiol. 2019, 234, 1300–1312. [Google Scholar] [CrossRef] [PubMed]
- Skamarauskas, J.; Carter, W.; Fowler, M.; Madjd, A.; Lister, T.; Mavroudis, G.; Ray, D.E. The selective neurotoxicity produced by 3-chloropropanediol in the rat is not a result of energy deprivation. Toxicology 2007, 232, 268–276. [Google Scholar] [CrossRef] [PubMed]
- Steiner, S.R.; Milton, E.; Philbert, M.A. A comparative study of protein carbonylation and mitochondrial dysfunction using the neurotoxicants 1,3-dinitrobenzene, 3-nitropropionic acid, and 3-chloropropanediol. Neurotoxicology 2013, 37, 74–84. [Google Scholar] [CrossRef]
- Buhrke, T.; Schultrich, K.; Braeuning, A.; Lampen, A. Comparative analysis of transcriptomic responses to repeated-dose exposure to 2-MCPD and 3-MCPD in rat kidney, liver and testis. Food Chem. Toxicol. 2017, 106, 36–46. [Google Scholar] [CrossRef] [PubMed]
- Braeuning, A.; Sawada, S.; Oberemm, A.; Lampen, A. Analysis of 3-MCPD- and 3-MCPD dipalmitate-induced proteomic changes in rat liver. Food Chem. Toxicol. 2015, 86, 374–384. [Google Scholar] [CrossRef] [PubMed]
- Sawada, S.; Oberemm, A.; Buhrke, T.; Merschenz, J.; Braeuning, A.; Lampen, A. Proteomic analysis of 3-MCPD and 3-MCPD dipalmitate-induced toxicity in rat kidney. Arch. Toxicol. 2016, 90, 1437–1448. [Google Scholar] [CrossRef]
- Huang, G.; Gao, B.; Xue, J.; Cheng, Z.; Sun, X.; Zhang, Y.; Yu, L. Toxicokinetics and metabolism of 3-monochloropropane 1,2-diol (3-MCPD) dipalmitate in Sprague Dawley rats. J. Agric. Food Chem. 2018, 66, 11672–11680. [Google Scholar] [CrossRef]
- Liu, P.W.; Li, C.I.; Huang, K.C.; Liu, C.S.; Chen, H.L.; Lee, C.C.; Chiou, Y.Y.; Chen, R.J. 3-MCPD and glycidol coexposure induces systemic toxicity and synergistic nephrotoxicity via NLRP3 inflammasome activation, necroptosis, and autophagic cell death. J. Hazard. Mater. 2021, 405, 16. [Google Scholar] [CrossRef]
- Feng, K.L.; Lan, Y.Q.; Zhu, X.A.; Li, J.; Chen, T.; Huang, Q.R.; Ho, C.T.; Chen, Y.J.; Cao, Y. Hepatic lipidomics analysis reveals the antiobesity and cholesterol-lowering effects of tangeretin in high-fat diet-fed rats. J. Agric. Food Chem. 2020, 68, 6142–6153. [Google Scholar] [CrossRef]
- Yan, L.; Han, P.; Man, J.; Tian, Y.M.; Wang, F.D.; Wang, J. Discovery of lipid profiles of type 2 diabetes associated with hyperlipidemia using untargeted UPLC Q-TOF/MS-based lipidomics approach. Clin. Chim. Acta 2021, 520, 53–62. [Google Scholar] [CrossRef] [PubMed]
- Hishikawa, D.; Shindou, H.; Kobayashi, S.; Nakanishi, H.; Taguchi, R.; Shimizu, T. Discovery of a lysophospholipid acyltransferase family essential for membrane asymmetry and diversity. Proc. Natl. Acad. Sci. USA 2008, 105, 2830–2835. [Google Scholar] [CrossRef] [PubMed]
- van der Veen, J.N.; Kennelly, J.P.; Wan, S.; Vance, J.E.; Vance, D.E.; Jacobs, R.L. The critical role of phosphatidylcholine and phosphatidylethanolamine metabolism in health and disease. Biochim. Biophys. Acta-Biomembr. 2017, 1859, 1558–1572. [Google Scholar] [CrossRef] [PubMed]
- Liu, Y.; Yu, Y.-R.; Peng, W.-J.; Kuang, H.-B.; Xu, H.; Song, P.-Y.; Luo, D. Rutaecarpine prevents the disfunction of gap junction inter-cellular communication induced by LPC in endothelial cells. Chin. Pharmacol. Bull. 2013, 29, 1514–1519. [Google Scholar] [CrossRef]
- Han, M.S.; Park, S.Y.; Shinzawa, K.; Kim, S.; Chung, K.W.; Lee, J.H.; Kwon, C.H.; Lee, K.W.; Lee, J.H.; Park, C.K.; et al. Lysophosphatidylcholine as a death effector in the lipoapoptosis of hepatocytes. J. Lipid Res. 2008, 49, 84–97. [Google Scholar] [CrossRef]
- Hannun, Y.A.; Obeid, L.M. Principles of bioactive lipid signalling: Lessons from sphingolipids. Nat. Rev. Mol. Cell Biol. 2008, 9, 139–150. [Google Scholar] [CrossRef]
- Montefusco, D.J.; Allegood, J.C.; Sarah, S.; Ashley, C.L. Non-alcoholic fatty liver disease: Insights from sphingolipidomics. Biochem. Biophys. Res. Commun. 2018, 504, 608–616. [Google Scholar] [CrossRef]
- Mullen, T.D.; Spassieva, S.; Jenkins, R.W.; Kitatani, K.; Bielawski, J.; Hannun, Y.A.; Obeid, L.M. Selective knockdown of ceramide synthases reveals complex interregulation of sphingolipid metabolism. J. Lipid Res. 2011, 52, 68–77. [Google Scholar] [CrossRef]
- Mossoba, M.E.; Mapa, M.S.T.; Araujo, M.; Zhao, Y.; Flannery, B.; Flynn, T.; Sprando, J.; Wiesenfeld, P.; Sprando, R.L. In vitro toxicological assessment of free 3-MCPD and select 3-MCPD esters on human proximal tubule HK-2 cells. Cell Biol. Toxicol. 2020, 36, 209–221. [Google Scholar] [CrossRef]
- Gu, J.; Zhang, T.; Guo, J.R.; Chen, K.; Wang, G.B.; Li, H.L.; Wang, J.L. Ursodeoxycholyl lysophosphatidylethanolamide protects against hepatic ischemia/reperfusion injury via phospholipid metabolism-mediated mitochondrial quality control. FASEB J. 2020, 34, 6198–6214. [Google Scholar] [CrossRef]








| Items | CK | MCl | MCh |
|---|---|---|---|
| Initial BW (g) | 249.62 ± 7.64 | 246.26 ± 2.82 | 247.80 ± 5.58 |
| Final BW (g) | 464.57 ± 41.70 | 406.29 ± 23.21 | 402.49 ± 29.46 * |
| BW gain (g) | 214.95 ± 36.18 | 160.03 ± 22.29 | 154.70 ± 25.61 * |
| Kidney weight (g) | 2.91 ± 0.24 | 3.70 ± 0.31 ** | 4.12 ± 0.47 ** |
| Kidney index (%) | 0.62 ± 0.01 | 0.89 ± 0.06 ** | 0.98 ± 0.04 ** |
| Lipids | AUC | Sig. | Lipid Name | AUC | Sig. |
|---|---|---|---|---|---|
| Cer (d19:2_25:2) | 1 | 0.004 | TG (16:0_18:2_24:0) | 0.917 | 0.016 |
| GM3 (d42:1) | 1 | 0.004 | TG (26:0_16:0_18:0) | 0.889 | 0.025 |
| LPC (24:1) | 1 | 0.004 | TG (26:1_16:0_18:0) | 0.944 | 0.01 |
| LPC (25:0) | 1 | 0.004 | TG (18:0_20:4_22:6) | 0.861 | 0.037 |
| MePC (36:1) | 1 | 0.004 | TG (18:1_18:2_24:0) | 0.889 | 0.025 |
| MePC (42:11) | 1 | 0.004 | TG (18:1_18:2_24:1) | 0.889 | 0.025 |
| PC (25:0e) | 1 | 0.004 | TG (16:0_20:4_24:0) | 0.917 | 0.016 |
| PC (10:1e_16:0) | 1 | 0.004 | TG (20:1_18:1_22:4) | 0.861 | 0.037 |
| PC (35:0) | 1 | 0.004 | TG (26:0_18:0_18:2) | 0.917 | 0.016 |
| PC (36:0) | 1 | 0.004 | TG (26:0_18:1_18:2) | 0.889 | 0.025 |
| PC (37:0) | 1 | 0.004 | TG (26:0_18:2_18:2) | 0.917 | 0.016 |
| PC (38:0) | 1 | 0.004 | TG (26:1_18:2_18:2) | 0.917 | 0.016 |
| PC (39:0) | 1 | 0.004 | TG (16:0_22:5_24:0) | 0.944 | 0.01 |
| PC (16:0_24:0) | 1 | 0.004 | TG (26:0_16:0_22:4) | 0.972 | 0.006 |
| PC (40:0) | 1 | 0.004 | TG (26:0_18:1_20:4) | 1 | 0.004 |
| PC (25:0_16:0) | 1 | 0.004 | TG (26:0_16:0_22:6) | 0.972 | 0.006 |
| PC (44:10) | 1 | 0.004 | ZyE (15:0) | 0.889 | 0.025 |
| PC (46:5) | 0.944 | 0.01 | MGDG (38:3) | 1 | 0.004 |
| PC (46:7) | 1 | 0.004 | PC (16:0_24:1) | 1 | 0.004 |
| Pathway name | Total Metabolism | Hits | Raw p | −Log(P) | FDR | Impact |
|---|---|---|---|---|---|---|
| Glycerophospholipid metabolism | 36 | 3 | 0.00022 | 3.66 | 0.02 | 0.21631 |
| Sphingolipid metabolism | 21 | 2 | 0.00254 | 2.60 | 0.11 | 0.26978 |
| Linoleic acid metabolism | 5 | 1 | 0.01923 | 1.72 | 0.54 | 0 |
| alpha-Linolenic acid metabolism | 13 | 1 | 0.04936 | 1.31 | 0.89 | 0 |
| GPI-anchor biosynthesis | 14 | 1 | 0.05307 | 1.28 | 0.89 | 0.00399 |
| Arachidonic acid metabolism | 36 | 1 | 0.13171 | 0.88 | 1 | 0 |
Disclaimer/Publisher’s Note: The statements, opinions and data contained in all publications are solely those of the individual author(s) and contributor(s) and not of MDPI and/or the editor(s). MDPI and/or the editor(s) disclaim responsibility for any injury to people or property resulting from any ideas, methods, instructions or products referred to in the content. |
© 2023 by the authors. Licensee MDPI, Basel, Switzerland. This article is an open access article distributed under the terms and conditions of the Creative Commons Attribution (CC BY) license (https://creativecommons.org/licenses/by/4.0/).
Share and Cite
Wei, T.; Cao, N.; Han, T.; Chen, Y.; Zhou, X.; Niu, L.; Liu, W.; Li, C. Lipidomics Analysis Explores the Mechanism of Renal Injury in Rat Induced by 3-MCPD. Toxics 2023, 11, 479. https://doi.org/10.3390/toxics11060479
Wei T, Cao N, Han T, Chen Y, Zhou X, Niu L, Liu W, Li C. Lipidomics Analysis Explores the Mechanism of Renal Injury in Rat Induced by 3-MCPD. Toxics. 2023; 11(6):479. https://doi.org/10.3390/toxics11060479
Chicago/Turabian StyleWei, Tao, Na Cao, Tiantian Han, Yi Chen, Xingtao Zhou, Liyang Niu, Wenting Liu, and Chang Li. 2023. "Lipidomics Analysis Explores the Mechanism of Renal Injury in Rat Induced by 3-MCPD" Toxics 11, no. 6: 479. https://doi.org/10.3390/toxics11060479
APA StyleWei, T., Cao, N., Han, T., Chen, Y., Zhou, X., Niu, L., Liu, W., & Li, C. (2023). Lipidomics Analysis Explores the Mechanism of Renal Injury in Rat Induced by 3-MCPD. Toxics, 11(6), 479. https://doi.org/10.3390/toxics11060479

