Pulmonary Fibrosis Induced by CdSe Nanorods and the Therapy with Modified Procyanidinere
Abstract
1. Introduction
2. Materials and Methods
2.1. Reagents
2.2. Preparation and Characterization of CdSe Nanoparticles
2.3. Animal Administration and Sampling
2.4. Cell Culture
2.5. Determination of Oxidation Damages in Lung Tissues and A549 Cells
2.6. Histopathological Analysis of Lung Tissues
2.7. Transmission Electron Microscopy
2.8. Determination of Hydroxyproline Level in Lung Tissues
2.9. Statistical Evaluation
3. Results
3.1. Effects of CdSe Nanorods in Lung Tissues after Pulmonary Instillation
3.2. Pulmonary Fibrosis Level in Lung Tissues
3.3. Oxidative Stress in Lung Tissues
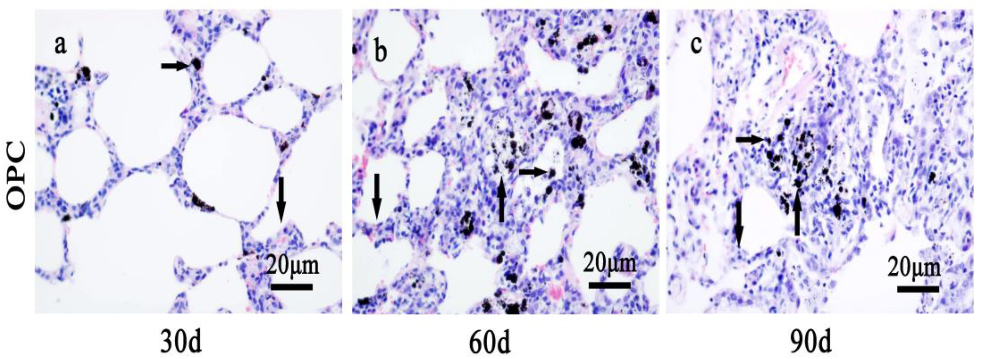
3.4. OPC Therapy
3.5. Ultrastructure of Alveolar Macrophage and Oxidative Stress of A549 Cells
4. Discussion
5. Conclusions
Supplementary Materials
Author Contributions
Funding
Institutional Review Board Statement
Informed Consent Statement
Data Availability Statement
Acknowledgments
Conflicts of Interest
References
- Falinski, M.M.; Plata, D.L.; Chopra, S.S.; Theis, T.L.; Gilbertson, L.M.; Zimmerman, J.B. A Framework for Sustainable Nanomaterial Selection and Design Based on Performance, Hazard, and Economic Considerations. Nat. Nanotechnol. 2018, 13, 708–714. [Google Scholar] [CrossRef] [PubMed]
- Roco, M.C. Nanotechnology: Convergence with Modern Biology and Medicine. Curr. Opin. Biotechnol. 2003, 14, 337–346. [Google Scholar] [CrossRef]
- Hu, X.; Zhou, Q. Health and Ecosystem Risks of Graphene. Chem. Rev. 2013, 113, 3815–3835. [Google Scholar] [CrossRef] [PubMed]
- Andreiadis, E.S.; Jacques, P.-A.; Tran, P.D.; Leyris, A.; Chavarot-Kerlidou, M.; Jousselme, B.; Matheron, M.; Pécaut, J.; Palacin, S.; Fontecave, M.; et al. Molecular Engineering of a Cobalt-Based Electrocatalytic Nanomaterial for H2 Evolution under Fully Aqueous Conditions. Nat. Chem. 2013, 5, 48–53. [Google Scholar] [CrossRef]
- Grassian, V.H.; O’shaughnessy, P.T.; Adacakova-Dodd, A.; Pettibone, J.M.; Thorne, P.S. Inhalation Exposure Study of Titanium Dioxide Nanoparticles with a Primary Particle Size of 2 to 5 nm. Environ. Health Perspect. 2007, 115, 397–402. [Google Scholar] [CrossRef]
- Bondarenko, O.; Mortimer, M.; Kahru, A.; Feliu, N.; Javed, I.; Kakinen, A.; Lin, S.; Xia, T.; Song, Y.; Davis, T.P.; et al. Nanotoxicology and Nanomedicine: The Yin and Yang of Nano-Bio Interactions for the New Decade. Nano Today 2021, 39, 101184. [Google Scholar] [CrossRef]
- Ren, C.; Li, D.; Zhou, Q.; Hu, X. Mitochondria-Targeted TPP-MoS2 with Dual Enzyme Activity Provides Efficient Neuroprotection through M1/M2 Microglial Polarization in an Alzheimer’s Disease Model. Biomaterials 2020, 232, 119752. [Google Scholar] [CrossRef]
- Zhou, Q.; Cheng, Y.; Zhang, Q.; Liang, J. Quantitative Analyses of Relationships between Ecotoxicological Effects and Combined Pollution. Sci. China Ser. C Life Sci. 2004, 47, 332–339. [Google Scholar] [CrossRef]
- Pujalté, I.; Passagne, I.; Brouillaud, B.; Tréguer, M.; Durand, E.; Ohayon-Courtès, C.; L’Azou, B. Cytotoxicity and Oxidative Stress Induced by Different Metallic Nanoparticles on Human Kidney Cells. Part. Fibre Toxicol. 2011, 8, 10. [Google Scholar] [CrossRef]
- Chrishtop, V.; Prilepskii, A.; Varvara, N.; Mironov, V. Nanosafety vs. Nanotoxicology: Adequate Animal Models for Testing in Vivo Toxicity of Nanoparticles. Toxicology 2021, 462, 152952. [Google Scholar] [CrossRef]
- Shukla, R.K.; Kumar, A.; Gurbani, D.; Pandey, A.K.; Singh, S.; Dhawan, A. TiO2 Nanoparticles Induce Oxidative DNA Damage and Apoptosis in Human Liver Cells. Nanotoxicology 2013, 7, 48–60. [Google Scholar] [CrossRef]
- Ren, C.; Hu, X.; Li, X.; Zhou, Q. Ultra-Trace Graphene Oxide in a Water Environment Triggers Parkinson’s Disease-like Symptoms and Metabolic Disturbance in Zebrafish Larvae. Biomaterials 2016, 93, 83–94. [Google Scholar] [CrossRef]
- Zhou, Q.; Yue, Z.; Li, Q.; Zhou, R.; Liu, L. Exposure to PbSe Nanoparticles and Male Reproductive Damage in a Rat Model. Environ. Sci. Technol. 2019, 53, 13408–13416. [Google Scholar] [CrossRef]
- Tian, L.; Zhang, H.; Zhao, X.; Gu, X.; White, J.C.; Zhao, L.; Ji, R. CdS Nanoparticles in Soil Induce Metabolic Reprogramming in Broad Bean (Vicia Faba L.) Roots and Leaves. Environ. Sci. Nano 2020, 7, 93–104. [Google Scholar] [CrossRef]
- Da, H.; Jin, H.M.; Yang, S.-W.; Lim, K.H. Effect of Uniaxial Strain on the Electrical and Magnetic Property of a One-Dimensional Bimetallic Sandwich Molecular Wire (FeCpVCp)∞. J. Phys. Chem. C 2009, 113, 21422–21427. [Google Scholar] [CrossRef]
- Hamdaoui, Q.; Zekri, Y.; Richard, S.; Aubert, D.; Guyot, R.; Markossian, S.; Gauthier, K.; Gaie-Levrel, F.; Bencsik, A.; Flamant, F. Prenatal Exposure to Paraquat and Nanoscaled TiO2 Aerosols Alters the Gene Expression of the Developing Brain. Chemosphere 2022, 287, 132253. [Google Scholar] [CrossRef]
- Li, S.; Jiang, Y.; Wu, D.; Wang, B.; Li, J.; Zhang, Y.; Wang, W.; Lan, X.; Zhong, H.; Chen, L. Synthesis and Nano-Field-Effect Transistors of p-Type Zn0.3Cd0.7Te Nanoribbons. Mater. Lett. 2011, 65, 1753–1755. [Google Scholar] [CrossRef]
- Kim, K.S.; Ji, Y.J.; Kim, K.H.; Choi, S.; Kang, D.H.; Heo, K.; Cho, S.; Yim, S.; Lee, S.; Park, J.H.; et al. Ultrasensitive MoS2 Photodetector by Serial Nano-Bridge Multi-Heterojunction. Nat. Commun. 2019, 10, 4701. [Google Scholar] [CrossRef]
- Wu, D.; Jiang, Y.; Zhang, Y.; Yu, Y.; Zhu, Z.; Lan, X.; Li, F.; Wu, C.; Wang, L.; Luo, L. Self-Powered and Fast-Speed Photodetectors Based on CdS: Ga Nanoribbon/Au Schottky Diodes. J. Mater. Chem. 2012, 22, 23272–23276. [Google Scholar] [CrossRef]
- Huang, Y.; Duan, X.; Lieber, C.M. Nanowires for Integrated Multicolor Nanophotonics. Small 2005, 1, 142–147. [Google Scholar] [CrossRef]
- Wu, D.; Jiang, Y.; Li, S.; Li, F.; Li, J.; Lan, X.; Zhang, Y.; Wu, C.; Luo, L.; Jie, J. Construction of High-quality CdS:Ga Nanoribbon/Silicon Heterojunctions and their Nano-optoelectronic Applications. Nanotechnology 2011, 22, 405201. [Google Scholar] [CrossRef] [PubMed]
- Zhuang, Z.; Lu, X.; Peng, Q.; Li, Y. Direct Synthesis of Water-Soluble Ultrathin CdS Nanorods and Reversible Tuning of the Solubility by Alkalinity. J. Am. Chem. Soc. 2010, 132, 1819–1821. [Google Scholar] [CrossRef] [PubMed]
- Hoshino, A.; Fujioka, K.; Oku, T.; Suga, M.; Sasaki, Y.F.; Ohta, T.; Yasuhara, M.; Suzuki, K.; Yamamoto, K. Physicochemical Properties and Cellular Toxicity of Nanocrystal Quantum Dots Depend on Their Surface Modification. Nano Lett. 2004, 4, 2163–2169. [Google Scholar] [CrossRef]
- Roy, S.; Aguirre, A.; Higgins, D.A.; Chikan, V. Investigation of Charge Transfer Interactions in CdSe Nanorod P3HT/PMMA Blends by Optical Microscopy. J. Phys. Chem. C 2012, 116, 3153–3160. [Google Scholar] [CrossRef]
- Rotomskis, R.; Jurgelėnė, Ž.; Stankevičius, M.; Stankevičiūtė, M.; Kazlauskienė, N.; Jokšas, K.; Montvydienė, D.; Kulvietis, V.; Karabanovas, V. Interaction of Carboxylated CdSe/ZnS Quantum Dots with Fish Embryos: Towards Understanding of Nanoparticles Toxicity. Sci. Total Environ. 2018, 635, 1280–1291. [Google Scholar] [CrossRef]
- Zhou, Q.; Kong, F.; Zhu, L. Introduction to Ecotoxicology; Science Press: Beijing, China, 2004. [Google Scholar]
- Kirchner, C.; Liedl, T.; Kudera, S.; Pellegrino, T.; Muñoz Javier, A.; Gaub, H.E.; Stölzle, S.; Fertig, N.; Parak, W.J. Cytotoxicity of Colloidal CdSe and CdSe/ZnS Nanoparticles. Nano Lett. 2005, 5, 331–338. [Google Scholar] [CrossRef]
- Yu, K.N.; Yoon, T.J.; Minai-Tehrani, A.; Kim, J.E.; Park, S.J.; Jeong, M.S.; Ha, S.W.; Lee, J.K.; Kim, J.S.; Cho, M.H. Zinc Oxide Nanoparticle Induced Autophagic Cell Death and Mitochondrial Damage via Reactive Oxygen Species Generation. Toxicol. Vitr. 2013, 27, 1187–1195. [Google Scholar] [CrossRef]
- Ren, C.; Hu, X.; Zhou, Q. Graphene Oxide Quantum Dots Reduce Oxidative Stress and Inhibit Neurotoxicity In Vitro and In Vivo through Catalase-Like Activity and Metabolic Regulation. Adv. Sci. 2018, 5, 1700595. [Google Scholar] [CrossRef]
- Yan, K.; Liu, Y.; Yang, Q.; Liu, W.; Guo, R.; Sui, J.; Yan, Z.; Chen, J. Evaluation of the Novel Nanoparticle Material—CdSe Quantum Dots on Chlorella Pyrenoidosa and Scenedesmus Obliquus: Concentration-Time-Dependent Responses. Ecotoxicol. Environ. Saf. 2019, 171, 728–736. [Google Scholar] [CrossRef]
- Wason, M.S.; Colon, J.; Das, S.; Seal, S.; Turkson, J.; Zhao, J.; Baker, C.H. Sensitization of Pancreatic Cancer Cells to Radiation by Cerium Oxide Nanoparticle-Induced ROS Production. Nanomed. Nanotechnol. Biol. Med. 2013, 9, 558–569. [Google Scholar] [CrossRef]
- Nel, A.; Xia, T.; Mädler, L.; Li, N. Toxic potential of materials at the nanolevel. Science 2006, 311, 622–627. [Google Scholar] [CrossRef]
- MacFarlane, L.R.; Shaikh, H.; Garcia-Hernandez, J.D.; Vespa, M.; Fukui, T.; Manners, I. Functional Nanoparticles through π-Conjugated Polymer Self-Assembly. Nat. Rev. Mater. 2021, 6, 7–26. [Google Scholar] [CrossRef]
- Jiang, Y.; Zheng, W.; Tran, K.; Kamilar, E.; Bariwal, J.; Ma, H.; Liang, H. Hydrophilic Nanoparticles That Kill Bacteria While Sparing Mammalian Cells Reveal the Antibiotic Role of Nanostructures. Nat. Commun. 2022, 13, 197. [Google Scholar] [CrossRef]
- Yu, Q.; Sun, M.; Wang, Y.; Li, M.; Liu, L. The Interaction between Lead Sulfide Nano-Dendrites and Saccharomyce Cerevisiae Is Involved in Nanotoxicity. RSC Adv. 2014, 4, 20371–20378. [Google Scholar] [CrossRef]
- Kagan, V.E.; Kapralov, A.A.; St. Croix, C.M.; Watkins, S.C.; Kisin, E.R.; Kotchey, G.P.; Balasubramanian, K.; Vlasova, I.I.; Yu, J.; Kim, K.; et al. Lung Macrophages “Digest” Carbon Nanotubes Using a Superoxide/Peroxynitrite Oxidative Pathway. ACS Nano 2014, 8, 5610–5621. [Google Scholar] [CrossRef]
- Abdolahpur Monikh, F.; Chupani, L.; Vijver, M.G.; Vancová, M.; Peijnenburg, W.J.G.M. Analytical Approaches for Characterizing and Quantifying Engineered Nanoparticles in Biological Matrices from an (Eco)Toxicological Perspective: Old Challenges, New Methods and Techniques. Sci. Total Environ. 2019, 660, 1283–1293. [Google Scholar] [CrossRef]
- Lee, S.; Choi, J.; Shin, S.; Im, Y.-M.; Song, J.; Kang, S.S.; Nam, T.-H.; Webster, T.J.; Kim, S.-H.; Khang, D. Analysis on Migration and Activation of Live Macrophages on Transparent Flat and Nanostructured Titanium. Acta Biomater 2011, 7, 2337–2344. [Google Scholar] [CrossRef]
- Forbe, T.; Garcia, M.A.; Gonzalez, E.G. Potencial risks of nanoparticles. Cienc. Tecnol. Aliment. 2011, 31, 835–842. [Google Scholar] [CrossRef][Green Version]
- Bharti, S.; Kaur, G.; Gupta, S.; Tripathi, S.K. Pegylated CdSe/ZnS Core/Shell Nanoparticles for Controlled Drug Release. Mater. Sci. Eng. B 2019, 243, 115–124. [Google Scholar] [CrossRef]
- Bonam, S.R.; Kotla, N.; Bohara, R.; Rochev, Y.; Webster, T.; Bayry, J. Potential Immuno-Nanomedicine Strategies to Fight COVID-19 like Pulmonary Infections. Nano Today 2020, 36, 1010512. [Google Scholar] [CrossRef]
- Niu, C.H.; Wang, Y.; Liu, J.D.; Wang, J.L.; Xiao, J.H. Protective effects of neferine on amiodarone-induced pulmonary fibrosis in mice. Eur. J. Pharmacol. 2013, 714, 112–119. [Google Scholar] [CrossRef] [PubMed]
- Gatenbee, C.D.; Baker, A.-M.; Schenck, R.O.; Strobl, M.; West, J.; Neves, M.P.; Hasan, S.Y.; Lakatos, E.; Martinez, P.; Cross, W.C.H.; et al. Immunosuppressive Niche Engineering at the Onset of Human Colorectal Cancer. Nat. Commun. 2022, 13, 1798. [Google Scholar] [CrossRef] [PubMed]
- Nanthakumar, C.B.; Hatley, R.J.D.; Lemma, S.; Gauldie, J.; Marshall, R.P.; Macdonald, S.J.F. Dissecting Fibrosis: Therapeutic Insights from the Small-Molecule Toolbox. Nat. Rev. Drug Discov. 2015, 14, 693–720. [Google Scholar] [CrossRef] [PubMed]
- Zhong, X.; Qin, B.; Dou, G.; Xia, C.; Wang, F. A Chelated Calcium-Procyanidine-Attapulgite Composite Inhibitor for the Suppression of Coal Oxidation. Fuel 2018, 217, 680–688. [Google Scholar] [CrossRef]
- Awaga, H.A.; Lymperi, S.; Bosdou, J.K.; Makedos, A.; Mitsoli, A.; Bazioti, M.G.; Savvaidou, D.; Goulis, D.G.; Chatzimeletiou, K.; Salem, M.N.; et al. Addition of Procyanidine to Semen Preserves Progressive Sperm Motility up to Three Hours of Incubation. Reprod. Biol. 2019, 19, 255–260. [Google Scholar] [CrossRef]
- Boghdady, N.A.E. Antioxidant and Antiapoptotic Effects of Proanthocyanidin and Ginkgo Biloba Extract against Doxorubicin-Induced Cardiac Injury in Rats. Cell Biochem. Funct. 2013, 31, 344–351. [Google Scholar] [CrossRef]
- Yang, H.; Xu, Z.; Liu, W.; Wei, Y.; Deng, Y.; Xu, B. Effect of Grape Seed Proanthocyanidin Extracts on Methylmercury-Induced Neurotoxicity in Rats. Biol. Trace Elem. Res. 2012, 147, 156–164. [Google Scholar] [CrossRef]
- Zhang, X.Y.; Li, W.G.; Wu, Y.J.; Bai, D.C.; Liu, N.F. Proanthocyanidin from Grape Seeds Enhances Doxorubicin-Induced Antitumor Effect and Reverses Drug Resistance in Doxorubicin-Resistant K562/DOX Cells. Can. J. Physiol. Pharmacol. 2005, 83, 309–318. [Google Scholar] [CrossRef]
- Chen, Y.; Tang, S.; Chen, Y.; Zhang, R.; Zhou, M.; Wang, C.; Feng, N.; Wu, Q. Structure-Activity Relationship of Procyanidins on Advanced Glycation End Products Formation and Corresponding Mechanisms. Food Chem. 2019, 272, 679–687. [Google Scholar] [CrossRef]
- Huang, L.; Yang, K.-P.; Zhao, Q.; Li, H.-J.; Wang, J.-Y.; Wu, Y.-C. Corrosion Resistance and Antibacterial Activity of Procyanidin B2 as a Novel Environment-Friendly Inhibitor for Q235 Steel in 1 M HCl Solution. Bioelectrochemistry 2022, 143, 107969. [Google Scholar] [CrossRef]
- Naik, S.R.; Panda, V.S. Antioxidant and Hepatoprotective Effects of Ginkgo Biloba Phytosomes in Carbon Tetrachloride-Induced Liver Injury in Rodents. Liver Int. 2007, 27, 393–399. [Google Scholar] [CrossRef]
- Wang, X.M.; Zhang, Y.; Kim, H.P.; Zhou, Z.; Feghali-Bostwick, C.A.; Liu, F.; Ifedigbo, E.; Xu, X.; Oury, T.D.; Kaminski, N.; et al. Caveolin-1: A Critical Regulator of Lung Fibrosis in Idiopathic Pulmonary Fibrosis. J. Exp. Med. 2006, 203, 2895–2906. [Google Scholar] [CrossRef]
- Ray, S.; Bagchi, D.; Lim, P.; Bagchi, M.; Kothari, S.; Preuss, H.; Stohs, S. Acute and Long-Term Safety Evaluation of a Novel IH636 Grape Seed Proanthocyanidin Extract. Res. Commun. Mol. Pathol. Pharmacol. 2001, 109, 165–197. [Google Scholar]
- Li, Q.; Hu, X.; Bai, Y.; Alattar, M.; Ma, D.; Cao, Y.; Hao, Y.; Wang, L.; Jiang, C. The Oxidative Damage and Inflammatory Response Induced by Lead Sulfide Nanoparticles in Rat Lung. Food Chem. Toxicol. 2013, 60, 213–217. [Google Scholar] [CrossRef]
- Nagao, S.; Taguchi, K.; Sakai, H.; Tanaka, R.; Horinouchi, H.; Watanabe, H.; Kobayashi, K.; Otagiri, M.; Maruyama, T. Carbon Monoxide-Bound Hemoglobin-Vesicles for the Treatment of Bleomycin-Induced Pulmonary Fibrosis. Biomaterials 2014, 35, 6553–6562. [Google Scholar] [CrossRef]
- Yu, Q.Y.; Fang, S.M.; Zuo, W.D.; Dai, F.Y.; Zhang, Z.; Lu, C. Effect of Organophosphate Phoxim Exposure on Certain Oxidative Stress Biomarkers in the Silkworm. J. Econ. Entomol. 2011, 104, 101–106. [Google Scholar] [CrossRef]
- Menon, S.; Shanmugam, V.K. Chemopreventive Mechanism of Action by Oxidative Stress and Toxicity Induced Surface Decorated Selenium Nanoparticles. J. Trace Elem. Med. Biol. 2020, 62, 126549. [Google Scholar] [CrossRef]
- Kumar, K.; Saxena, P.N. Mercury Selenide Nanoparticles Induced Toxicity on LDL, VLDL and Cholesterol-HDL Ratio of Rattus Norvegicus. Mater. Today Proc. 2020, 31, 646–650. [Google Scholar] [CrossRef]
- Gao, S.Y.; Zhou, X.; Li, Y.J.; Liu, W.L.; Wang, P.Y.; Pang, M.; Xie, S.Y.; Lv, C.J. Arsenic Trioxide Prevents Rat Pulmonary Fibrosis via MiR-98 Overexpression. Life Sci. 2014, 114, 20–28. [Google Scholar] [CrossRef]
- Tu, Z.; Zhong, Y.; Hu, H.; Shao, D.; Haag, R.; Schirner, M.; Lee, J.; Sullenger, B.; Leong, K.W. Design of Therapeutic Biomaterials to Control Inflammation. Nat. Rev. Mater. 2022, 7, 557–574. [Google Scholar] [CrossRef]
- Rydell-Törmänen, K.; Andréasson, K.; Hesselstrand, R.; Risteli, J.; Heinegård, D.; Saxne, T.; Westergren-Thorsson, G. Extracellular Matrix Alterations and Acute Inflammation; Developing in Parallel during Early Induction of Pulmonary Fibrosis. Lab. Investig. 2012, 92, 917–925. [Google Scholar] [CrossRef] [PubMed]
- Shvedova, A.A.; Kisin, E.R.; Porter, D.; Schulte, P.; Kagan, V.E.; Fadeel, B.; Castranova, V. Mechanisms of Pulmonary Toxicity and Medical Applications of Carbon Nanotubes: Two Faces of Janus? Pharmacol. Ther. 2009, 121, 192–204. [Google Scholar] [CrossRef] [PubMed]
- Van Berlo, D.; Wilhelmi, V.; Boots, A.W.; Hullmann, M.; Kuhlbusch, T.A.J.; Bast, A.; Schins, R.P.F.; Albrecht, C. Apoptotic, Inflammatory, and Fibrogenic Effects of Two Different Types of Multi-Walled Carbon Nanotubes in Mouse Lung. Arch. Toxicol. 2014, 88, 1725–1737. [Google Scholar] [CrossRef] [PubMed]
- Zhang, L.; He, Y.L.; Li, Q.Z.; Hao, X.H.; Zhang, Z.F.; Yuan, J.X.; Bai, Y.P.; Jin, Y.L.; Liu, N.; Chen, G.; et al. N-Acetylcysteine Alleviated Silica-Induced Lung Fibrosis in Rats by down-Regulation of ROS and Mitochondrial Apoptosis Signaling. Toxicol. Mech. Methods 2014, 24, 212–219. [Google Scholar] [CrossRef] [PubMed]
- Wang, Z.; Wu, J.; Zheng, J.J.; Shen, X.; Yan, L.; Wei, H.; Gao, X.; Zhao, Y. Accelerated Discovery of Superoxide-Dismutase Nanozymes via High-Throughput Computational Screening. Nat. Commun. 2021, 12, 6866. [Google Scholar] [CrossRef]
- Lushchak, V.I. Adaptive Response to Oxidative Stress: Bacteria, Fungi, Plants and Animals. Comp. Biochem. Physiol. Part C Toxicol. Pharmacol. 2011, 153, 175–190. [Google Scholar] [CrossRef]
- Le Sech, C.; Hirayama, R. Dual Aspect of Radioenhancers and Free Radical Scavengers. Free Radic. Biol. Med. 2020, 159, 103–106. [Google Scholar] [CrossRef]
- El-Demerdash, F.M. Lipid Peroxidation, Oxidative Stress and Acetylcholinesterase in Rat Brain Exposed to Organophosphate and Pyrethroid Insecticides. Food Chem. Toxicol. 2011, 49, 1346–1352. [Google Scholar] [CrossRef]
- Zhang, Y.; Meng, D.; Wang, Z.; Guo, H.; Wang, Y. Oxidative Stress Response in Two Representative Bacteria Exposed to Atrazine. FEMS Microbiol. Lett. 2012, 334, 95–101. [Google Scholar] [CrossRef]
- Asiltas, B.; Surmen-Gur, E.; Uncu, G. Prediction of first-trimester preeclampsia: Relevance of the oxidative stress marker MDA in a combination model with PP-13, PAPP-A and beta-HCG. Pathophysiology 2018, 25, 131–135. [Google Scholar] [CrossRef]
- Imagawa, Y.; Saitoh, T.; Tsujimoto, Y. Vital Staining for Cell Death Identifies Atg9a-Dependent Necrosis in Developmental Bone Formation in Mouse. Nat. Commun. 2016, 7, 13391. [Google Scholar] [CrossRef]
- Stern, S.T.; Adiseshaiah, P.P.; Crist, R.M. Autophagy and Lysosomal Dysfunction as Emerging Mechanisms of Nanomaterial Toxicity. Part. Fibre Toxicol. 2012, 9, 20. [Google Scholar] [CrossRef]
- Xie, H.; Xie, X.; Hu, G.; Prabhakaran, V.; Saha, S.; Gonzalez-Lopez, L.; Phakatkar, A.H.; Hong, M.; Wu, M.; Shahbazian-Yassar, R.; et al. Ta–TiOx Nanoparticles as Radical Scavengers to Improve the Durability of Fe–N–C Oxygen Reduction Catalysts. Nat. Energy 2022, 7, 281–289. [Google Scholar] [CrossRef]
- Card, J.W.; Racz, W.J.; Brien, J.F.; Margolin, S.B.; Massey, T.E. Differential Effects of Pirfenidone on Acute Pulmonary Injury and Ensuing Fibrosis in the Hamster Model of Amiodarone-Induced Pulmonary Toxicity. Toxicol. Sci. 2003, 75, 169–180. [Google Scholar] [CrossRef]








Publisher’s Note: MDPI stays neutral with regard to jurisdictional claims in published maps and institutional affiliations. |
© 2022 by the authors. Licensee MDPI, Basel, Switzerland. This article is an open access article distributed under the terms and conditions of the Creative Commons Attribution (CC BY) license (https://creativecommons.org/licenses/by/4.0/).
Share and Cite
Yue, Z.; Zhou, R.; Li, Q.; Ouyang, S.; Liu, L.; Zhou, Q. Pulmonary Fibrosis Induced by CdSe Nanorods and the Therapy with Modified Procyanidinere. Toxics 2022, 10, 673. https://doi.org/10.3390/toxics10110673
Yue Z, Zhou R, Li Q, Ouyang S, Liu L, Zhou Q. Pulmonary Fibrosis Induced by CdSe Nanorods and the Therapy with Modified Procyanidinere. Toxics. 2022; 10(11):673. https://doi.org/10.3390/toxics10110673
Chicago/Turabian StyleYue, Zongkai, Ruiren Zhou, Qingzhao Li, Shaohu Ouyang, Lu Liu, and Qixing Zhou. 2022. "Pulmonary Fibrosis Induced by CdSe Nanorods and the Therapy with Modified Procyanidinere" Toxics 10, no. 11: 673. https://doi.org/10.3390/toxics10110673
APA StyleYue, Z., Zhou, R., Li, Q., Ouyang, S., Liu, L., & Zhou, Q. (2022). Pulmonary Fibrosis Induced by CdSe Nanorods and the Therapy with Modified Procyanidinere. Toxics, 10(11), 673. https://doi.org/10.3390/toxics10110673

