Antibacterial Activity of Fructus forsythia Essential Oil and the Application of EO-Loaded Nanoparticles to Food-Borne Pathogens
Abstract
:1. Introduction
2. Materials and Methods
2.1. Materials
2.2. Bacteria Cultures
2.3. Antibacterial Activity
2.3.1. Measurement of ZOI
2.3.2. Measurement of MICs and MBCs
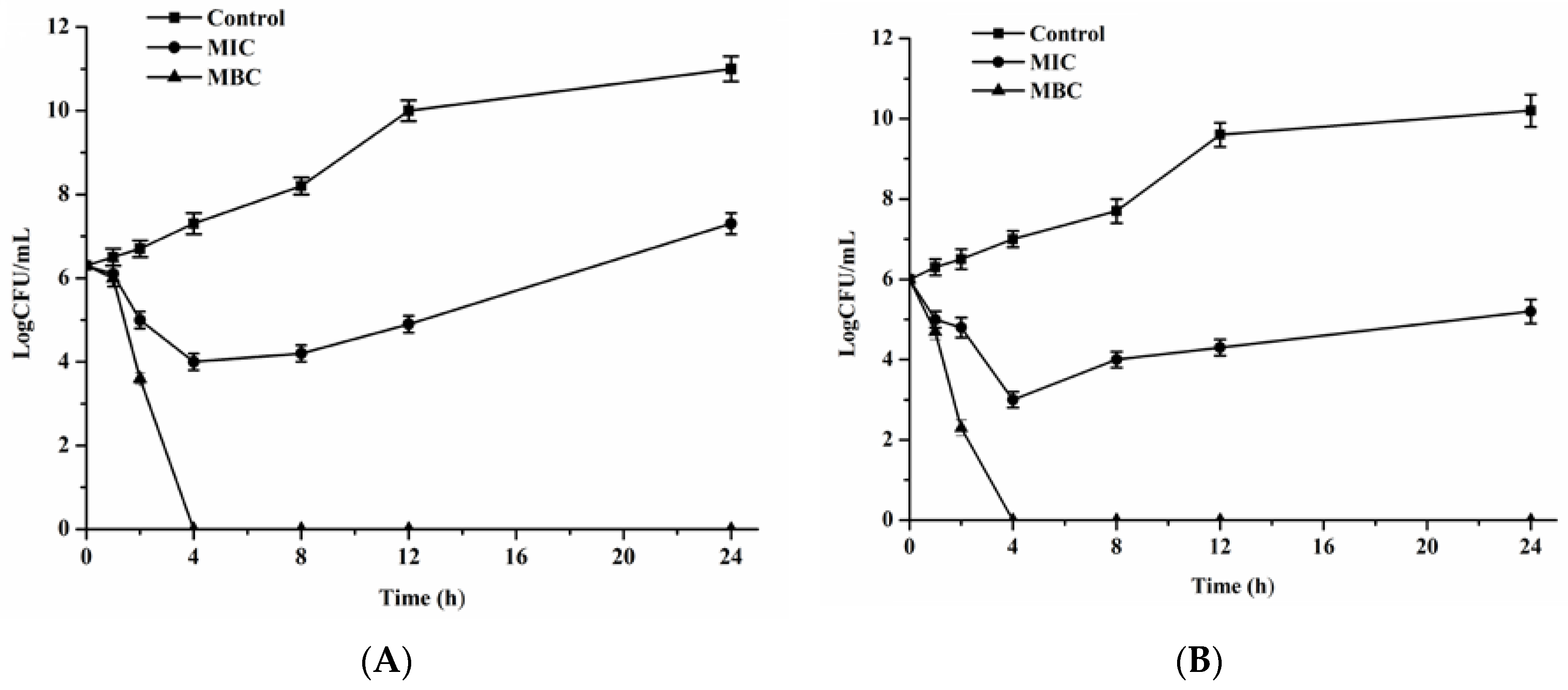
2.3.3. Time-Kill Curves
2.4. Antibacterial Mechanism
2.4.1. Scanning Electron Microscope Assay
2.4.2. Crystal Violet Assay
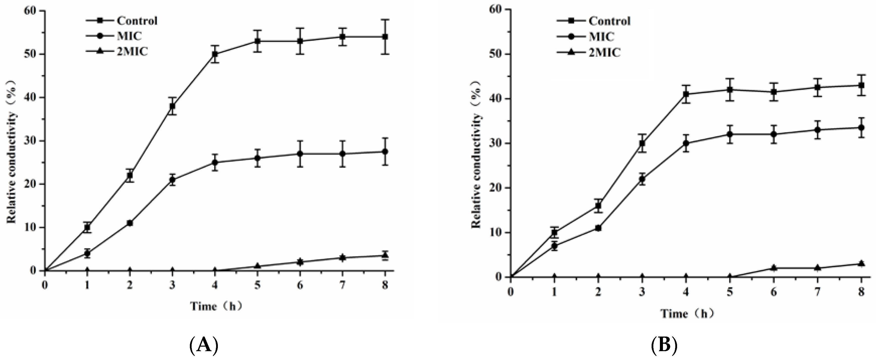
2.4.3. Measurement of Electrical Conductivity
2.4.4. Measurement the Leakage of Cytoplasmic Materials
2.4.5. SDS-PAGE of Whole-Cell Protein
2.5. The Antibacterial Activity of FEO-Loaded Nanoparticles
2.5.1. Preparation of FEO-Loaded Nanoparticles
2.5.2. In Situ Antibacterial Assay of Nanoparticles
2.6. Statistical Analysis
3. Results and Discussion
3.1. Determination of Antibacterial Activity of FEO
3.2. Effect of FEO on the Rate of Kill of E. coil and S. aureus
3.3. Morphological Analysis of E. coli and S. aureus
3.4. Crystal Violet Study
3.5. Relative Electrical Conductivity Study
3.6. Leakage of Cytoplasmic Materials
3.7. SDS-PAGE of Protein Patterns of Bacteria Treated with FEO
3.8. The Application of FEO-Loaded Nanoparticles Against E. coli and S. aureus
4. Conclusions
Acknowledgments
Author Contributions
Conflicts of Interest
References
- Soliman, K.M.; Badeaa, R.I. Effect of oil extracted from some medicinal plants on different mycotoxigenic fungi. Food Chem. Toxicol. 2002, 40, 1669–1675. [Google Scholar] [CrossRef]
- Jacob, C.; Mathiasen, L.; Powell, D. Designing effective messages for microbial food safety hazards. Food Control 2010, 21, 1–6. [Google Scholar] [CrossRef]
- Patra, J.K.; Baek, K.H. Antibacterial activity and action mechanism of the essential oil from Enteromorpha linza L. against foodborne pathogenic bacteria. Molecules 2016, 21, 388. [Google Scholar] [CrossRef] [PubMed]
- Kornacki, J.L.; Marth, E.H. Foodborne illness caused by Escherichia coli: A review. J. Food Prot. 1982, 45, 1051–1067. [Google Scholar]
- Souza, E.L.D.; Barros, J.C.D.; Conceição, M.L.D.; Gomes Neto, N.J.; Costa, A.C.V.D. Combined application of Origanum vulgare L. essential oil and acetic acid for controlling the growth of Staphylococcus aureus in foods. Braz. J. Microbiol. 2009, 40, 387–393. [Google Scholar] [CrossRef] [PubMed]
- Klein, G.; Ruben, C.; Upmann, M. Antimicrobial activity of essential oil components against potential food spoilage microorganisms. Curr. Microbiol. 2013, 67, 200–208. [Google Scholar] [CrossRef] [PubMed]
- Osman, K.A.; Abdulrahman, H.T. Risk assessment of pesticide to human and the environment. Saudi J. Biol. Sci. 2003, 10, 81–106. [Google Scholar]
- Tiwari, B.K.; Valdramidis, V.P.; O’Donnell, C.P.; Muthukumarappan, K.; Bourke, P.; Cullen, P.J. Application of natural antimicrobials for food preservation. J. Agric. Food Chem. 2009, 57, 5987–6000. [Google Scholar] [CrossRef] [PubMed]
- Burt, S. Essential oils: Their antibacterial properties and potential applications in foods—A review. Int. J. Food Microbiol. 2004, 94, 223–253. [Google Scholar] [CrossRef] [PubMed]
- Hyldgaard, M.; Mygind, T.; Meyer, R.L. Essential oils in food preservation: Mode of action, synergies, and interactions with food matrix components. Front. Microbiol. 2012, 3, 12. [Google Scholar] [CrossRef] [PubMed]
- Pirbalouti, A.G.; Hashemi, M.; Ghahfarokhi, F.T. Essential oil and chemical compositions of wild and cultivated Thymus daenensis Celak and Thymus vulgaris L. Ind. Crops Prod. 2013, 48, 43–48. [Google Scholar] [CrossRef]
- Moazeni, N.; Khajeali, J.; Izadi, H.; Mahdian, K. Chemical composition and bioactivity of Thymus daenensis Celak (Lamiaceae) essential oil against two lepidopteran stored-product insects. J. Essent. Oil Res. 2014, 26, 118–124. [Google Scholar] [CrossRef]
- Zengin, H.; Baysal, A.H. Antibacterial and antioxidant activity of essential oil terpenes against pathogenic and spoilage-forming bacteria and cell structure-activity relationships evaluated by SEM microscopy. Molecules 2014, 19, 17773–17798. [Google Scholar] [CrossRef] [PubMed]
- Sun, Q.Q.; Jiang, Z.T.; Li, R. The research progress of natural preservatives forsythia oil. China Food Addit. 2012, 1, 222–226. [Google Scholar]
- Kang, H.S.; Lee, J.Y.; Kim, C.J. Anti-inflammatory activity of arctigenin from Forsythiae Fructus. J. Ethnopharmacol. 2008, 116, 305–312. [Google Scholar] [CrossRef] [PubMed]
- Ozaki, Y.; Rui, J.; Tang, Y.T. Antiinflammatory effect of Forsythia suspensa VAHL and its active principle. Biol. Pharm. Bull. 2000, 23, 365–367. [Google Scholar] [CrossRef] [PubMed]
- Qu, H.; Zhang, Y.; Wang, Y. Antioxidant and antibacterial activity of two compounds (forsythiaside and forsythin) isolated from Forsythia suspense. J. Pharm. Pharmacol. 2008, 60, 261–266. [Google Scholar] [CrossRef] [PubMed]
- Jiao, J.; Fu, Y.J.; Zu, Y.G.; Luo, M.; Wang, W.; Zhang, L.; Li, J. Enzyme-assisted microwave hydro-distillation essential oil from Fructus forsythia, chemical constituents, and its antimicrobial and antioxidant activities. Food Chem. 2012, 134, 235–243. [Google Scholar] [CrossRef]
- Chalier, P.; Arfa, A.B.; Preziosi-Belloy, L.; Gontard, N. Carvacrol losses from soy protein coated papers as a function of drying conditions. J. Appl. Polym. Sci. 2007, 106, 611–620. [Google Scholar]
- Donsì, F.; Annunziata, M.; Sessa, M.; Ferrari, G. Nanoencapsulation of essential oils to enhance their antimicrobial activity in foods. LWT Food Sci. Technol. 2011, 44, 1908–1914. [Google Scholar] [CrossRef]
- Shu, X.Z.; Zhu, K.J. A novel approach to prepare tripolyphosphate/chitosan complex beads for controlled release drug delivery. Int. J. Pharm. 2000, 201, 51–58. [Google Scholar] [CrossRef]
- Firuzi, O.; Asadollahi, M.; Gholami, M.; Javidnia, K. Composition and biological activities of essential oils from four Heracleum species. Food Chem. 2010, 122, 117–122. [Google Scholar] [CrossRef]
- Kim, J.; Marshall, M.R.; Wei, C.I. Antibacterial activity of some essential oil components against five foodborne pathogens. J. Agric. Food Chem. 1995, 43, 2839–2845. [Google Scholar] [CrossRef]
- Ogata, M.; Hoshi, M.; Urano, S.; Endo, T. Antioxidant activity of eugenol and related monomeric and dimeric compounds. Chem. Pharm. Bull. 2000, 48, 1467–1469. [Google Scholar] [CrossRef] [PubMed]
- Zu, Y.G.; Liu, X.L.; Fu, Y.J.; Wu, N.; Kong, Y.; Wink, M. Chemical composition of the SFE-CO2 extracts from Cajanus cajan (L.) Huth and their antimicrobial activity in vitro and in vivo. Phytomedicine 2000, 17, 1095–1101. [Google Scholar] [CrossRef] [PubMed]
- Yong, A.L.; Ooh, K.F.; Ong, H.C.; Chai, T.T.; Wong, F.C. Investigation of antibacterial mechanism and identification of bacterial protein targets mediated by antibacterial medicinal plant extracts. Food Chem. 2015, 186, 32–36. [Google Scholar] [CrossRef] [PubMed]
- Vaara, M.; Vaara, T. Outer membrane permeability barrier disruption by polymyxin in polymyxin-susceptible and-resistant Salmonella typhimurium. Antimicrob. Agents Chemother. 1981, 19, 578–583. [Google Scholar] [CrossRef] [PubMed]
- Kong, M.; Chen, X.G.; Liu, C.S.; Liu, C.G.; Meng, X.H.; Yu, L.J. Antibacterial mechanism of chitosan microspheres in a solid dispersing system against E. coli. Colloids Surf. B 2008, 65, 197–202. [Google Scholar] [CrossRef] [PubMed]
- Diao, W.R.; Hu, Q.P.; Zhang, H.; Xu, J.G. Chemical composition, antibacterial activity and mechanism of action of essential oil from seeds of fennel (Foeniculum vulgare Mill.). Food Control 2014, 35, 109–116. [Google Scholar] [CrossRef]
- Xu, J.G.; Hu, Q.P.; Wang, X.D.; Luo, J.Y.; Liu, Y.; Tian, C.R. Changes in the main nutrients, phytochemicals, and antioxidant activity in yellow corn grain during maturation. J. Agric. Food Chem. 2010, 58, 5751–5756. [Google Scholar] [CrossRef] [PubMed]
- Mohammadi, A.; Hashemi, M.; Hosseini, S.M. Nanoencapsulation of Zataria multiflora essential oil preparation and characterization with enhanced antifungal activity for controlling Botrytis cinerea, the causal agent of gray mould disease. Innov. Food Sci. Emerg. Technol. 2015, 28, 73–80. [Google Scholar] [CrossRef]
- Bukvički, D.; Stojković, D.; Soković, M.; Vannini, L.; Montanari, C.; Pejin, B.; Marin, P.D. Satureja horvatii essential oil: In vitro antimicrobial and antiradical properties and in situ control of Listeria monocytogenes in pork meat. Meat Sci. 2014, 96, 1355–1360. [Google Scholar] [CrossRef] [PubMed]
- Oussalah, M.; Caillet, S.; Saucier, L.; Lacroix, M. Antimicrobial effects of selected plant essential oils on the growth of a Pseudomonas putida strain isolated from meat. Meat Sci. 2006, 73, 236–244. [Google Scholar] [CrossRef] [PubMed]
- Vaara, M. Agents that increase the permeability of the outer membrane. Microbiol. Rev. 1992, 56, 395–411. [Google Scholar] [PubMed]
- Aiyegoro, O.A.; Afolayan, A.J.; Okoh, A.I. In vitro antibacterial time kill studies of leaves extracts of Helichrysum longifolium. J. Med. Plants Res. 2009, 3, 462–467. [Google Scholar]
- Kordali, S.; Kotan, R.; Mavi, A.; Cakir, A.; Ala, A.; Yildirim, A. Determination of the chemical composition and antioxidant activity of the essential oil of Artemisia dracunculus and of the antifungal and antibacterial activities of Turkish Artemisia absinthium, A. drancunculus, Artemisia santonicum, and Artemisia spicigeraessential oils. J. Agric. Food Chem. 2013, 53, 9452–9458. [Google Scholar]
- Zeng, W.C.; Zhu, R.X.; Jia, L.R.; Gao, H.; Zheng, Y.; Sun, Q. Chemical composition, antimicrobial and antioxidant activities of essential oil from Gnaphlium affine. Food Chem. Toxicol. 2011, 49, 1322–1328. [Google Scholar] [CrossRef] [PubMed]
- Griffin, S.G.; Wyllie, S.G.; Markham, J.L. The role of structure and molecular properties of terpenoids in determining their antimicrobial activity. Flavour Fragr. J. 1999, 14, 322–332. [Google Scholar] [CrossRef]
- Li, N.; Luo, M.; Fu, Y.J.; Zu, Y.G.; Wang, W.; Zhang, L.; Sun, Y. Effect of Corilagin on Membrane Permeability of Escherichia coli, Staphylococcus aureus and Candida albicans. Phytother. Res. 2013, 27, 1517–1523. [Google Scholar] [PubMed]
- Dayan, F.E.; Watson, S.B.; Galindo, J.C.G.; Hernández, A.; Dou, J.; McChesney, J.D.; Duke, S.O. Phytotoxicity of quassinoids: Physiological responses and structural requirements. Pestic. Biochem. Physiol. 1999, 65, 15–24. [Google Scholar] [CrossRef]
- Bajpai, V.K.; Sharma, A.; Baek, K.H. Antibacterial mode of action of Cudrania tricuspidata fruit essential oil, affecting membrane permeability and surface characteristics of food-borne pathogens. Food Control 2013, 32, 582–590. [Google Scholar] [CrossRef]
- Ried, G.; Henning, U. A unique amino acid substitution in the outer membrane protein OmpA causes conjugation deficiency in Escherichia coli K-12. FEBS Lett. 1987, 223, 387–390. [Google Scholar] [CrossRef]
- Brandenberger, M.; Tschierske, M.; Giachino, P.; Wada, A.; Berger-Bächi, B. Inactivation of a novel three-cistronic operon tcaR-tcaA-tcaB increases teicoplanin resistance in Staphylococcus aureu. Biochem. Biophys. Acta 2000, 1523, 135–139. [Google Scholar] [CrossRef]
- McClements, D.J.; Rao, J. Food-grade nanoemulsions: Formulation, fabrication, properties, performance, biological fate, and potential toxicity. Crit. Rev. Food Sci. 2011, 51, 285–330. [Google Scholar] [CrossRef] [PubMed]
- Solans, C.; Izquierdo, P.; Nolla, J.; Azemar, N.; Garcia-Celma, M.J. Nano-emulsions. Curr. Opin. Colloid Interface Sci. 2005, 10, 102–110. [Google Scholar] [CrossRef]
- Rao, J.; McClements, D.J. Food-grade microemulsions and nanoemulsions: Role of oil phase composition on formation and stability. Food Hydrocoll. 2012, 29, 326–334. [Google Scholar] [CrossRef]
- Quintão, F.J.; Tavares, R.S.; Vieira-Filho, S.A.; Souza, G.H.; Santos, O.D. Hydroalcoholic extracts of Vellozia squamata: Study of its nanoemulsions for pharmaceutical or cosmetic applications. Rev. Bras. Farmacogn. 2013, 23, 101–107. [Google Scholar] [CrossRef]
- Li, P.H.; Lu, W.C. Effects of storage conditions on the physical stability of d-limonene nanoemulsion. Food Hydrocoll. 2015, 53, 218–224. [Google Scholar] [CrossRef]





| Bacteria | FEO | Ciprofloxacin | ||||
|---|---|---|---|---|---|---|
| D/mm a | MIC b | MBC c | D/mm | MIC | MBC | |
| E. coli | 20.5 ± 0.25 | 3.13 | 6.25 | 20.1 ± 0.13 | 3.13 | 3.13 |
| S. aureus | 24.3 ± 0.21 | 1.56 | 3.13 | 21.9 ± 0.17 | 1.56 | 1.56 |
| Bacteria | Cell Constituents’ Release | |||||
|---|---|---|---|---|---|---|
| Protein (ug/mL) | Cell Constituents(OD 260 nm) | |||||
| Control | MIC | 2MIC | Control | MIC | 2MIC | |
| E. coil | 9.3 ± 1.3 | 21.7 ± 4.7 | 64.7 ± 7.5 | 0.022 ± 0.007 | 0.224 ± 0.031 | 0.351 ± 0.040 |
| S. aureus | 10.5 ± 1.7 | 40.8 ± 5.0 | 108.1 ± 9.4 | 0.031 ± 0.012 | 0.417 ± 0.041 | 0.612 ± 0.031 |
| Bacteria | Chitosan: FEO (w/w) | Temp. (°C) | Percentage of Inhibition of Stains with Nanoparticles | ||||
|---|---|---|---|---|---|---|---|
| 0 h | 12 h | 24 h | 36 h | 48 h | |||
| E. coil | 1:0 | +50 | 0.00 ± 0.00 | 19.13 ± 3.23 | 13.14 ± 4.12 | 10.21 ± 3.89 | 6.21 ± 4.21 |
| +25 | 0.00 ± 0.00 | 71.23 ± 2.31 | 60.67 ± 3.24 | 38.13 ± 2.16 | 15.80 ± 2.40 | ||
| +4 | 0.00 ± 0.00 | 97.17 ± 1.29 | 96.89 ± 0.81 | 96.19 ± 1.33 | 95.29 ± 1.71 | ||
| 1:0.5 | +50 | 0.00 ± 0.00 | 34.14 ± 3.29 | 27.22 ± 1.79 | 20.11 ± 4.28 | 10.12 ± 3.15 | |
| +25 | 0.00 ± 0.00 | 84.02 ± 2.14 | 73.13 ± 2.17 | 60.59 ± 3.12 | 51.21 ± 2.18 | ||
| +4 | 0.00 ± 0.00 | 98.43 ± 0.53 | 98.01 ± 0.19 | 96.12 ± 0.67 | 95.31 ± 1.04 | ||
| 1:1 | +50 | 0.00 ± 0.00 | 73.19 ± 2.89 | 50.81 ± 4.12 | 39.02 ± 2.10 | 12.03 ± 3.21 | |
| +25 | 0.00 ± 0.00 | 100.00 ± 0.00 | 97.02 ± 1.02 | 93.01 ± 2.11 | 90.12 ± 2.10 | ||
| +4 | 0.00 ± 0.00 | 100.00 ± 0.00 | 100.00 ± 0.00 | 100.00 ± 0.00 | 98.46 ± 0.51 | ||
| S. aureus | 1:0 | +50 | 0.00 ± 0.00 | 21.89 ± 3.09 | 17.34 ± 2.78 | 9.22 ± 2.90 | 6.78 ± 5.12 |
| +25 | 0.00 ± 0.00 | 84.55 ± 2.40 | 72.38 ± 3.07 | 54.09 ± 3.02 | 33.93 ± 4.02 | ||
| +4 | 0.00 ± 0.00 | 98.09 ± 1.03 | 96.47 ± 1.09 | 95.33 ± 0.48 | 95.01 ± 1.27 | ||
| 1:0.5 | +50 | 0.00 ± 0.00 | 41.23 ± 5.63 | 37.87 ± 2.99 | 31.48 ± 5.09 | 21.41 ± 2.97 | |
| +25 | 0.00 ± 0.00 | 93.77 ± 2.66 | 87.40 ± 2.22 | 80.05 ± 7.11 | 70.32 ± 3.78 | ||
| +4 | 0.00 ± 0.00 | 100.00 ± 0.00 | 98.12 ± 1.32 | 96.14 ± 2.02 | 95.11 ± 1.04 | ||
| 1:1 | +50 | 0.00 ± 0.00 | 81.34 ± 3.48 | 70.01 ± 4.22 | 53.26 ± 2.99 | 31.06 ± 4.30 | |
| +25 | 0.00 ± 0.00 | 100.00 ± 0.00 | 100.00 ± 0.00 | 100.00 ± 0.00 | 98.21 ± 2.77 | ||
| +4 | 0.00 ± 0.00 | 100.00 ± 0.00 | 100.00 ± 0.00 | 100.00 ± 0.00 | 100.00 ± 0.00 | ||
© 2016 by the authors; licensee MDPI, Basel, Switzerland. This article is an open access article distributed under the terms and conditions of the Creative Commons Attribution (CC-BY) license (http://creativecommons.org/licenses/by/4.0/).
Share and Cite
Guo, N.; Gai, Q.-Y.; Jiao, J.; Wang, W.; Zu, Y.-G.; Fu, Y.-J. Antibacterial Activity of Fructus forsythia Essential Oil and the Application of EO-Loaded Nanoparticles to Food-Borne Pathogens. Foods 2016, 5, 73. https://doi.org/10.3390/foods5040073
Guo N, Gai Q-Y, Jiao J, Wang W, Zu Y-G, Fu Y-J. Antibacterial Activity of Fructus forsythia Essential Oil and the Application of EO-Loaded Nanoparticles to Food-Borne Pathogens. Foods. 2016; 5(4):73. https://doi.org/10.3390/foods5040073
Chicago/Turabian StyleGuo, Na, Qing-Yan Gai, Jiao Jiao, Wei Wang, Yuan-Gang Zu, and Yu-Jie Fu. 2016. "Antibacterial Activity of Fructus forsythia Essential Oil and the Application of EO-Loaded Nanoparticles to Food-Borne Pathogens" Foods 5, no. 4: 73. https://doi.org/10.3390/foods5040073
APA StyleGuo, N., Gai, Q.-Y., Jiao, J., Wang, W., Zu, Y.-G., & Fu, Y.-J. (2016). Antibacterial Activity of Fructus forsythia Essential Oil and the Application of EO-Loaded Nanoparticles to Food-Borne Pathogens. Foods, 5(4), 73. https://doi.org/10.3390/foods5040073
