Effects of LMW-GS Allelic Variations at the Glu-A3 Locus on Fresh Wet Noodle and Frozen Cooked Noodle Quality
Abstract
1. Introduction
2. Materials and Methods
2.1. Experimental Materials
2.2. Field Experiment Design
2.3. Milling
2.4. Experimental Methods
2.4.1. HMW-GSs and Gliadins
2.4.2. LMW-GSs
2.4.3. Protein Content
2.4.4. Gluten Characteristics
2.4.5. Farinograph Properties
2.4.6. Fresh Wet Noodles (FWNs) and Frozen Cooked Noodles (FZNs) Preparation
2.4.7. Cooking Properties of Noodles
2.4.8. Texture Characteristics of Cooked Noodles
2.5. Data Analysis
3. Results
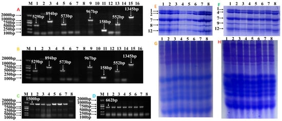
3.1. Identification of Gluten Protein Composition for NILs
3.2. The Effect of LMW-GS Allelic Variations at the Glu-A3 Locus on Protein Content
3.3. The Effect of LMW-GS Allelic Variations at the Glu-A3 Locus on Gluten Properties
3.4. The Effect of LMW-GS Allelic Variations at the Glu-A3 Locus on Dough Farinograph Properties
3.5. The Effect of LMW-GS Allelic Variations at the Glu-A3 Locus on FWN Quality Characteristics
3.5.1. Cooking Characteristics of FWNs
3.5.2. Textural Characteristics of Fresh Wet Noodles (FWNs)
3.6. The Effect of LMW-GS Allelic Variations at the Glu-A3 Locus on Textural Characteristics of Frozen Cooked Noodles (FZNs)
4. Conclusions
Supplementary Materials
Author Contributions
Funding
Data Availability Statement
Conflicts of Interest
References
- Guzmán, C.; Crossa, J.; Mondal, S.; Govindan, V.; Huerta, J.; Crespo-Herrera, L.; Vargas, M.; Singh, R.P.; Ibba, M.I. Effects of glutenins (Glu-1 and Glu-3) allelic variation on dough properties and bread-making quality of CIMMYT bread wheat breeding lines. Field Crops Res. 2022, 284, 108585. [Google Scholar] [CrossRef]
- Zhang, Y.; Zhou, H.; Zhao, H.; Zhang, X.; Guo, B.; Zhang, Y. Dynamic behaviors of protein and water associated with fresh noodle quality during processing based on different HMW-GSs at Glu-D1. Food Chem. 2024, 453, 139598. [Google Scholar] [CrossRef]
- Guo, X.-N.; Jiang, Y.; Xing, J.-J.; Zhu, K.-X. Effect of ozonated water on physicochemical, microbiological, and textural properties of semi-dried noodles. J. Food Process. Preserv. 2020, 44, e14404. [Google Scholar] [CrossRef]
- Rombouts, I.; Jansens, K.J.A.; Lagrain, B.; Delcour, J.A.; Zhu, K.-X. The impact of salt and alkali on gluten polymerization and quality of fresh wheat noodles. J. Cereal Sci. 2014, 60, 507–513. [Google Scholar] [CrossRef]
- An, X.; Zhang, Q.; Yan, Y.; Li, Q.; Zhang, Y.; Wang, A.; Pei, Y.; Tian, J.; Wang, H.; Hsam, S.L.K.; et al. Cloning and molecular characterization of three novel LMW-i glutenin subunit genes from cultivated einkorn (Triticum monococcum L.). Theor. Appl. Genet. 2006, 113, 383–395. [Google Scholar] [CrossRef]
- León, E.; Marín, S.; Giménez, M.J.; Piston, F.; Rodríguez-Quijano, M.; Shewry, P.R.; Barro, F. Mixing properties and dough functionality of transgenic lines of a commercial wheat cultivar expressing the 1Ax1, 1Dx5 and 1Dy10 HMW glutenin subunit genes. J. Cereal Sci. 2009, 49, 148–156. [Google Scholar] [CrossRef]
- Moloi, M.J.; van Biljon, A.; Labuschagne, M.T. Effect of quantity of HMW-GS 1Ax1, 1Bx13, 1By16, 1Dx5 and 1Dy10 on baking quality in different genetic backgrounds and environments. LWT 2017, 78, 160–164. [Google Scholar] [CrossRef]
- Bietz, J.A.; Wall, J.S. Isolation and characterization of gliadin-like subunits from glutenin. Cereal Chem. 1973, 50, 537–547. [Google Scholar] [CrossRef]
- Gupta, R.B.; Shepherd, K.W. Two-step one-dimensional SDS-PAGE analysis of LMW subunits of glutelin. Theor. Appl. Genet. 1990, 80, 183–187. [Google Scholar] [CrossRef]
- D’Ovidio, R.; Masci, S. The low-molecular-weight glutenin subunits of wheat gluten. J. Cereal Sci. 2004, 39, 321–339. [Google Scholar] [CrossRef]
- Singh, N.K.; Shepherd, K.W. Linkage mapping of genes controlling endosperm storage proteins in wheat. Theor. Appl. Genet. 1988, 75, 642–650. [Google Scholar] [CrossRef]
- Wang, L.; Li, G.; Peña, R.J.; Xia, X.; He, Z. Development of STS markers and establishment of multiplex PCR for Glu-A3 alleles in common wheat (Triticum aestivum L.). J. Cereal Sci. 2010, 51, 305–312. [Google Scholar] [CrossRef]
- He, Z.H.; Liu, L.; Xia, X.C.; Liu, J.J.; Peña, R.J. Composition of HMW and LMW Glutenin Subunits and Their Effects on Dough Properties, Pan Bread, and Noodle Quality of Chinese Bread Wheats. Cereal Chem. 2005, 82, 345–350. [Google Scholar] [CrossRef]
- Zhang, X.; Jin, H.; Zhang, Y.; Liu, D.; Li, G.; Xia, X.; He, Z.; Zhang, A. Composition and functional analysis of low-molecular-weight glutenin alleles with Aroona near-isogenic lines of bread wheat. BMC Plant Biol. 2012, 12, 243. [Google Scholar] [CrossRef] [PubMed]
- Jin, H.; Zhang, Y.; Li, G.; Mu, P.; Fan, Z.; Xia, X.; He, Z. Effects of allelic variation of HMW-GS and LMW-GS on mixograph properties and Chinese noodle and steamed bread qualities in a set of Aroona near-isogenic wheat lines. J. Cereal Sci. 2013, 57, 146–152. [Google Scholar] [CrossRef]
- Zhou, H.; Zhang, Y.; Yang, Y.; Zhang, Y.; Ban, J.; Zhao, B.; Zhang, L.; Zhang, X.; Guo, B. Effects of Low-Molecular-Weight Glutenin Subunit Encoded by Glu-A3 on Gluten and Chinese Fresh Noodle Quality. Foods 2023, 12, 3124. [Google Scholar] [CrossRef]
- Young, N.D.; Zamir, D.; Ganal, M.W.; Tanksley, S.D. Use of isogenic lines and simultaneous probing to identify DNA markers tightly linked to the tm-2a gene in tomato. Genetics 1988, 120, 579–585. [Google Scholar] [CrossRef]
- Wang, C.; Yin, G.; Xia, X.; He, Z.; Zhang, P.; Yao, Z.; Qin, J.; Li, Z.; Liu, D. Molecular mapping of a new temperature-sensitive gene LrZH22 for leaf rust resistance in Chinese wheat cultivar Zhoumai 22. Mol. Breed. 2016, 36, 18. [Google Scholar] [CrossRef]
- Francis, H.A.; Leitch, A.R.; Koebner, R.M.D. Conversion of a RAPD-generated PCR product, containing a novel dispersed repetitive element, into a fast and robust assay for the presence of rye chromatin in wheat. Theor. Appl. Genet. 1995, 90, 636–642. [Google Scholar] [CrossRef]
- Wang, L.H.; Zhao, X.L.; He, Z.H.; Ma, W.; Appels, R.; Peña, R.J.; Xia, X.C. Characterization of low-molecular-weight glutenin subunit Glu-B3 genes and development of STS markers in common wheat (Triticumaestivum L.). Theor. Appl. Genet. 2009, 118, 525–539. [Google Scholar] [CrossRef]
- Guo, L.; Yu, L.; Tong, J.; Zhao, Y.; Yang, Y.; Ma, Y.; Cui, L.; Hu, Y.; Wang, Z.; Gao, X. Addition of Aegilops geniculata 1Ug chromosome improves the dough rheological properties by changing the composition and micro-structure of gluten. Food Chem. 2021, 358, 129850. [Google Scholar] [CrossRef]
- AACC Approved Method 38-12.00; Wet Gluten, Dry Gluten, Water-Binding Capacity, and Gluten Index, for Wheat. Cereals & Grains Association: St. Paul, MN, USA, 1999.
- AACC Approved Method 54-21.00; Farinograph Method for Flour, for Wheat. Cereals & Grains Association: St. Paul, MN, USA, 1999.
- Branlard, G.; Dardevet, M.; Amiour, N.; Igrejas, G. Allelic diversity of HMW and LMW glutenin subunits and omega-gliadins in French bread wheat (Triticum aestivum L.). Genet. Resour. Crop Evol. 2003, 50, 669–679. [Google Scholar] [CrossRef]
- Kaur, A.; Singh, N.; Ahlawat, A.K.; Kaur, S.; Singh, A.M.; Chauhan, H.; Singh, G.P. Diversity in grain, flour, dough and gluten properties amongst Indian wheat cultivars varying in high molecular weight subunits (HMW-GS). Food Res. Int. 2013, 53, 63–72. [Google Scholar] [CrossRef]
- Li, Y.; Zhou, R.; Branlard, G.; Jia, J. Development of introgression lines with 18 alleles of glutenin subunits and evaluation of the effects of various alleles on quality related traits in wheat (Triticum aestivum L.). J. Cereal Sci. 2010, 51, 127–133. [Google Scholar] [CrossRef]
- Ye, X.; Sui, Z. Physicochemical properties and starch digestibility of Chinese noodles in relation to optimal cooking time. Int. J. Biol. Macromol. 2016, 84, 428–433. [Google Scholar] [CrossRef]
- Tao, H.; Fang, X.-H.; Fang, M.-J.; Ding, C.; Cai, W.-H.; Wang, H.-L. Cryoprotective effect of wheat starch granular surface proteins on frozen HMW and LMW glutenins: Structure, property and functionality across length scales. Food Chem. 2025, 464, 141681. [Google Scholar] [CrossRef]



| Marker | Sequence of Primers (5′→3′) | Fragment Size (bp) | Annealing Temperature (°C) | Reference |
|---|---|---|---|---|
| gluA3a | F: AAACAGAATTATTAAAGCCGG | 529 | 55 | Wang et al. [12,20] |
| R: GGTTGTTGTTGTTGCAGCA | ||||
| gluA3b | F: TTCAGATGCAGCCAAACAA | 894 | 57 | |
| R: GCTGTGCTTGGATGATACTCTA | ||||
| gluA3ac | F: AAACAGAATTATTAAAGCCGG | 573 | 58 | |
| R: GTGGCTGTTGTGAAAACGA | ||||
| gluA3d | F: TTCAGATGCAGCCAAACAA | 967 | 56 | |
| R: TGGGGTTGGGAGACACATA | ||||
| gluA3e | F: AAACAGAATTATTAAAGCCGG | 158 | 57 | |
| R: GGCACAGACGAGGAAGGTT | ||||
| gluA3f | F: AAACAGAATTATTAAAGCCGG | 552 | 57 | |
| R: GCTGCTGCTGCTGTGTAAA | ||||
| gluA3g | F: AAACAGAATTATTAAAGCCGG | 1345 | 57 | |
| R: AAACAACGGTGATCCAACTAA | ||||
| gluB3d | F: CACCATGAAGACCTTCCTCA | 662 | 58 | |
| R: GTTGTTGCAGTAGAACTGGA | ||||
| gluB3j | F: GGAGACATCATGAAACATTTG | 1500 | 58 | Francis et al. [19] |
| R: CTGTTGTTGGGCAGAAAG |
| Background | NIL | Water Absorption/% | Development Time/min | Stability Time/min | Degree of Softening/BU | Farinograph Quality Number/mm |
|---|---|---|---|---|---|---|
| Zhoumai 22 | A3a | 63.2 | 2.5 | 1.6 | 158 | 31 |
| A3b | 62.2 | 2.9 | 1.7 | 141 | 36 | |
| A3c | 59.6 | 2.2 | 1.3 | 184 | 27 | |
| A3d | 59.6 | 2.4 | 2.1 | 155 | 37 | |
| A3e | 62.7 | 2.4 | 1.2 | 170 | 29 | |
| A3f | 61.8 | 2.4 | 1.3 | 167 | 30 | |
| A3g | 61.3 | 2.7 | 1.9 | 152 | 34 | |
| CV(%) | 2.32 | 9.24 | 21.36 | 8.68 | 11.69 | |
| Zhoumai 23 | A3a | 56.9 | 1.7 | 1.7 | 163 | 27 |
| A3b | 59.9 | 2.5 | 2.4 | 153 | 35 | |
| A3c | 59.8 | 2.3 | 2.2 | 154 | 34 | |
| A3d | 60.2 | 1.8 | 1.8 | 164 | 29 | |
| A3e | 61.6 | 2 | 1.5 | 197 | 28 | |
| A3f | 60.2 | 2.4 | 2.2 | 152 | 33 | |
| A3g | 61.2 | 2.3 | 2.2 | 149 | 34 | |
| CV(%) | 2.52 | 14.47 | 16.58 | 10.23 | 10.53 | |
| Background | NIL | Optimal Cooking Time (s) | Water Absorption Ratio (%) | Cooking Loss Ratio (%) |
|---|---|---|---|---|
| Zhoumai 22 | A3a | 202.50 ± 10.61 a | 116.78 ± 6.58 ab | 8.97 ± 0.27 a |
| A3b | 195.00 ± 0.00 a | 112.67 ± 0.22 ab | 9.76 ± 0.61 a | |
| A3c | 195.00 ± 0.00 a | 113.22 ± 1.45 ab | 10.19 ± 0.47 a | |
| A3d | 195.00 ± 0.00 a | 107.09 ± 0.96 b | 9.62 ± 1.59 a | |
| A3e | 187.50 ± 10.61 a | 111.54 ± 6.45 b | 8.48 ± 0.10 a | |
| A3f | 195.00 ± 0.00 a | 122.05 ± 5.39 a | 9.68 ± 1.58 a | |
| A3g | 202.50 ± 10.61 a | 113.56 ± 1.31 ab | 9.39 ± 0.19 a | |
| Zhoumai 23 | A3a | 202.50 ± 10.61 a | 114.40 ± 1.82 a | 10.92 ± 1.08 a |
| A3b | 195.00 ± 0.00 a | 117.23 ± 4.52 a | 9.37 ± 0.34 b | |
| A3c | 195.00 ± 0.00 a | 113.85 ± 3.58 a | 10.38 ± 0.91 ab | |
| A3d | 195.00 ± 0.00 a | 111.68 ± 4.17 a | 10.19 ± 0.12 ab | |
| A3e | 195.00 ± 0.00 a | 112.40 ± 2.87 a | 10.16 ± 0.04 ab | |
| A3f | 180.00 ± 0.00 b | 114.09 ± 9.05 a | 10.76 ± 0.29 ab | |
| A3g | 195.00 ± 0.00 a | 110.98 ± 2.49 a | 10.24 ± 0.44 ab |
| Background | NIL | Hardness (g) | Adhesiveness (g.s) | Springiness (%) | Cohesiveness (%) | Resilience (%) | Chewiness (g) |
|---|---|---|---|---|---|---|---|
| Zhoumai 22 | A3a | 281.15 ± 0.87 b | −1.09 ± 0.32 a | 85.53 ± 0.50 a | 65.71 ± 0.92 a | 37.60 ± 1.10 a | 157.95 ± 0.80 a |
| A3b | 299.49 ± 2.01 a | −2.25 ± 0.24 a | 85.77 ± 1.81 a | 63.30 ± 3.70 a | 35.21 ± 2.63 a | 162.79 ± 13.89 a | |
| A3c | 300.80 ± 2.75 a | −2.44 ± 0.79 a | 84.16 ± 2.05 a | 59.69 ± 0.83 a | 32.57 ± 0.79 a | 151.42 ± 7.49 ab | |
| A3d | 277.81 ± 0.76 bc | −1.38 ± 0.18 a | 84.90 ± 0.19 a | 63.64 ± 0.93 a | 35.06 ± 1.00 a | 150.08 ± 2.06 ab | |
| A3e | 270.87 ± 7.42 c | −1.72 ± 0.74 a | 82.85 ± 0.97 a | 58.70 ± 2.00 a | 32.02 ± 2.72 a | 132.03 ± 9.99 b | |
| A3f | 252.05 ± 1.52 d | −1.46 ± 1.03 a | 83.51 ± 1.70 a | 60.37 ± 5.97 a | 34.07 ± 4.66 a | 127.09 ± 14.47 b | |
| A3g | 279.83 ± 4.32 b | −1.42 ± 0.43 a | 84.04 ± 1.03 a | 62.59 ± 4.20 a | 35.19 ± 3.68 a | 147.10 ± 9.34 ab | |
| Zhoumai 23 | A3a | 264.80 ± 1.93 e | −3.47 ± 1.20 a | 84.37 ± 2.88 a | 57.51 ± 6.15 b | 31.76 ± 5.89 b | 128.49 ± 10.44 c |
| A3b | 316.63 ± 0.48 a | −1.88 ± 0.30 a | 84.77 ± 1.24 a | 62.58 ± 0.19 ab | 35.12 ± 0.43 ab | 167.91 ± 2.26 ab | |
| A3c | 297.98 ± 0.40 cd | −2.21 ± 0.12 a | 85.83 ± 0.07 a | 64.04 ± 0.03 ab | 37.12 ± 0.27 ab | 163.72 ± 0.41 ab | |
| A3d | 311.83 ± 6.07 ab | −2.16 ± 0.59 a | 84.98 ± 0.66 a | 62.18 ± 2.42 ab | 35.75 ± 3.30 ab | 164.76 ± 10.96 ab | |
| A3e | 291.51 ± 6.75 d | −2.63 ± 1.90 a | 84.95 ± 0.12 a | 61.60 ± 3.99 ab | 35.29 ± 4.87 ab | 152.52 ± 13.22 b | |
| A3f | 301.94 ± 10.38 bcd | −1.34 ± 0.32 a | 85.60 ± 0.18 a | 66.04 ± 0.62 a | 39.91 ± 0.72 a | 170.63 ± 4.65 ab | |
| A3g | 307.95 ± 1.52 abc | −1.35 ± 0.55 a | 85.19 ± 0.12 a | 66.43 ± 0.26 a | 39.57 ± 0.85 ab | 174.26 ± 0.33 a |
| Background | NIL | Hardness (g) | Adhesiveness (g.s) | Springiness (%) | Cohesiveness (%) | Resilience (%) | Chewiness (g) |
|---|---|---|---|---|---|---|---|
| Zhoumai 22 | A3a | 252.91 ± 1.31 b | −0.34 ± 0.03 a | 82.50 ± 0.40 a | 47.97 ± 0.76 a | 32.01 ± 0.14 a | 100.12 ± 1.73 ab |
| A3b | 235.68 ± 4.13 bc | −0.85 ± 0.51 a | 82.95 ± 1.28 a | 48.74 ± 7.98 a | 31.54 ± 2.15 a | 95.51 ± 18.75 ab | |
| A3c | 247.38 ± 0.15 b | −0.76 ± 0.61 a | 83.87 ± 0.30 a | 48.89 ± 8.11 a | 33.17 ± 1.76 a | 101.43 ± 17.38 ab | |
| A3d | 197.97 ± 0.00 d | −0.86 ± 0.87 a | 81.96 ± 0.22 a | 43.27 ± 0.99 a | 34.87 ± 6.96 a | 70.11 ± 1.76 b | |
| A3e | 213.21 ± 14.96 cd | −1.43 ± 0.50 a | 81.45 ± 1.04 a | 39.15 ± 0.60 a | 28.41 ± 4.29 a | 67.83 ± 4.51 b | |
| A3f | 200.55 ± 20.81 d | −0.85 ± 0.72 a | 80.75 ± 1.07 a | 48.44 ± 1.87 a | 30.19 ± 1.24 a | 78.25 ± 6.10 ab | |
| A3g | 287.89 ± 5.67 a | −0.59 ± 0.49 a | 83.58 ± 2.82 a | 50.53 ± 15.19 a | 32.71 ± 7.14 a | 122.01 ± 37.96 a | |
| Zhoumai 23 | A3a | 197.98 ± 16.69 d | −1.29 ± 0.99 b | 80.35 ± 1.15 b | 46.54 ± 4.76 a | 30.32 ± 4.28 a | 75.03 ± 14.32 b |
| A3b | 273.27 ± 1.53 b | −0.86 ± 0.27 ab | 84.80 ± 1.39 a | 53.05 ± 7.07 a | 31.39 ± 0.41 a | 123.19 ± 17.51 a | |
| A3c | 262.32 ± 0.48 bc | −0.87 ± 0.50 ab | 82.67 ± 1.54 ab | 51.51 ± 1.75 a | 29.68 ± 3.09 a | 111.76 ± 5.72 ab | |
| A3d | 258.55 ± 6.99 bc | −1.37 ± 0.10 b | 83.20 ± 0.23 ab | 49.80 ± 2.49 a | 25.61 ± 3.03 a | 107.19 ± 8.67 ab | |
| A3e | 290.92 ± 6.10 a | −0.45 ± 0.22 a | 82.57 ± 2.55 ab | 45.75 ± 14.51 a | 31.63 ± 5.71 a | 110.21 ± 35.62 ab | |
| A3f | 254.07 ± 0.68 c | −1.13 ± 1.14 ab | 82.61 ± 0.89 ab | 50.99 ± 0.17 a | 28.22 ± 0.25 a | 107.15 ± 0.56 ab | |
| A3g | 295.96 ± 2.27 a | −0.57 ± 0.11 ab | 83.97 ± 0.67 a | 53.76 ± 6.26 a | 33.32 ± 3.00 a | 133.94 ± 15.10 a |
Disclaimer/Publisher’s Note: The statements, opinions and data contained in all publications are solely those of the individual author(s) and contributor(s) and not of MDPI and/or the editor(s). MDPI and/or the editor(s) disclaim responsibility for any injury to people or property resulting from any ideas, methods, instructions or products referred to in the content. |
© 2025 by the authors. Licensee MDPI, Basel, Switzerland. This article is an open access article distributed under the terms and conditions of the Creative Commons Attribution (CC BY) license (https://creativecommons.org/licenses/by/4.0/).
Share and Cite
Chen, X.; Zhou, H.; Zou, Y.; Ban, J.; Zhang, H.; Zhang, X.; Guo, B.; Zhang, Y. Effects of LMW-GS Allelic Variations at the Glu-A3 Locus on Fresh Wet Noodle and Frozen Cooked Noodle Quality. Foods 2025, 14, 1546. https://doi.org/10.3390/foods14091546
Chen X, Zhou H, Zou Y, Ban J, Zhang H, Zhang X, Guo B, Zhang Y. Effects of LMW-GS Allelic Variations at the Glu-A3 Locus on Fresh Wet Noodle and Frozen Cooked Noodle Quality. Foods. 2025; 14(9):1546. https://doi.org/10.3390/foods14091546
Chicago/Turabian StyleChen, Xiaohong, Hongwei Zhou, Yufei Zou, Jinfu Ban, Huizhi Zhang, Xiaoke Zhang, Boli Guo, and Yingquan Zhang. 2025. "Effects of LMW-GS Allelic Variations at the Glu-A3 Locus on Fresh Wet Noodle and Frozen Cooked Noodle Quality" Foods 14, no. 9: 1546. https://doi.org/10.3390/foods14091546
APA StyleChen, X., Zhou, H., Zou, Y., Ban, J., Zhang, H., Zhang, X., Guo, B., & Zhang, Y. (2025). Effects of LMW-GS Allelic Variations at the Glu-A3 Locus on Fresh Wet Noodle and Frozen Cooked Noodle Quality. Foods, 14(9), 1546. https://doi.org/10.3390/foods14091546

