The Mechanism of Relieving Diarrheal Irritable Bowel Syndrome Using Polyphenols from Ribes nigrum L. Based on a Network Pharmacology Analysis and 16S rRNA Sequencing
Abstract
1. Introduction
2. Materials and Methods
2.1. Materials and Reagents
2.2. Preparation of RNP Extract
2.3. UPLC-MS Analysis of Polyphenols in Ribes nigrum L.
2.4. Network Pharmacological Analysis and Molecular Docking of IBS-D by RNPs
2.5. IBS-D Induction in Mice
2.6. Abdominal Withdrawal Reflex (AWR)
2.7. Changes in Mice’s Weights and Feces in Every Group
2.8. Total Intestinal Transport Time
2.9. Calculation of Visceral Index of Immune Organs
2.10. Serum Inflammatory Factor Level
2.11. Histopathological Observation
2.12. Quantitative Reverse Transcription Polymerase Chain Reaction (Q-RTPCR)
2.13. Fecal Microbiota Analysis
2.14. Statistical Analysis
3. Results
3.1. Analysis of RNPs by UPLC-MS
3.2. Network Pharmacology Analysis of Effect of RNPs on IBS-D
3.3. Molecular Docking of RNP with Core Targets
3.4. RNP Alleviates Diarrhea in Mice with IBS-D
3.5. Effect of RNPs on Immune Index of Mice in Each Group
3.6. The Effect of RNPs on the Contents of Inflammatory Factors in Mouse Serum
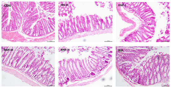
3.7. H&E Staining of Colonic Mucosal Tissue
3.8. In Mice with IBS-D, BSD Controls the Expression of FoxO1, FoxO3a, and FoxO4
3.9. In Mice with IBS-D, RNP Therapy Modifies the Intestinal Microbiome
4. Discussion
Author Contributions
Funding
Institutional Review Board Statement
Informed Consent Statement
Data Availability Statement
Conflicts of Interest
Abbreviations
References
- Lacy, B.E.; Mearin, F.; Chang, L.; Chey, W.D.; Lembo, A.J.; Simren, M.; Spiller, R. Bowel disorders. Gastroenterology 2016, 150, 1393–1407.e1395. [Google Scholar] [CrossRef] [PubMed]
- Camilleri, M. Diagnosis and treatment of irritable bowel syndrome: A review. JAMA 2021, 325, 865–877. [Google Scholar] [CrossRef] [PubMed]
- Longstreth, G.F.; Thompson, W.G.; Chey, W.D.; Houghton, L.A.; Mearin, F.; Spiller, R.C. Functional bowel disorders. Gastroenterology 2006, 130, 1480–1491. [Google Scholar] [CrossRef]
- Oka, P.; Parr, H.; Barberio, B.; Black, C.J.; Savarino, E.V.; Ford, A.C. Global prevalence of irritable bowel syndrome according to Rome III or IV criteria: A systematic review and meta-analysis. Lancet. Gastroenterol. Hepatol. 2020, 5, 908. [Google Scholar] [CrossRef] [PubMed]
- Munjal, A.; Dedania, B.; Cash, B. Update on Pharmacotherapy for Irritable Bowel Syndrome. Curr. Gastroenterol. Rep. 2019, 21, 25. [Google Scholar] [CrossRef]
- Posserud, I.; Syrous, A.; Lindström, L.; Tack, J.; Abrahamsson, H.; Simrén, M. Altered rectal perception in irritable bowel syndrome is associated with symptom severity. Gastroenterology 2007, 133, 1113–1123. [Google Scholar] [CrossRef]
- Cenac, N.; Andrews, C.N.; Holzhausen, M.; Chapman, K.; Cottrell, G.; Andrade-Gordon, P.; Steinhoff, M.; Barbara, G.; Beck, P.; Bunnett, N.W. Role for protease activity in visceral pain in irritable bowel syndrome. J. Clin. Investig. 2007, 117, 636–647. [Google Scholar] [CrossRef]
- Butnariu, M. Detection of the polyphenolic components in Ribes nigrum L. Ann. Agric. Environ. Med. 2014, 21, 11–14. [Google Scholar] [CrossRef]
- Candellone, A.; Cerquetella, M.; Girolami, F.; Badino, P.; Odore, R. Acute diarrhea in dogs: Current management and potential role of dietary polyphenols supplementation. Antioxidants 2020, 9, 725. [Google Scholar] [CrossRef]
- Li, F.; Yan, H.; Jiang, L.; Zhao, J.; Lei, X.; Ming, J. Cherry polyphenol extract ameliorated dextran sodium sulfate-induced ulcerative colitis in mice by suppressing wnt/β-catenin signaling pathway. Foods 2021, 11, 49. [Google Scholar] [CrossRef]
- Chiarioni, G.; Popa, S.L.; Ismaiel, A.; Pop, C.; Dumitrascu, D.I.; Brata, V.D.; Duse, T.A.; Incze, V.; Surdea-Blaga, T. The effect of polyphenols, minerals, fibers, and fruits on irritable bowel syndrome: A systematic review. Nutrients 2023, 15, 4070. [Google Scholar] [CrossRef] [PubMed]
- Chu, A.J. Quarter-century explorations of bioactive polyphenols: Diverse health benefits. Front. Biosci. Landmark 2022, 27, 134. [Google Scholar] [CrossRef] [PubMed]
- Qin, H.-Y.; Zang, K.-H.; Zuo, X.; Wu, X.-A.; Bian, Z.-X. Quercetin attenuates visceral hypersensitivity and 5-hydroxytryptamine availability in postinflammatory irritable bowel syndrome rats: Role of enterochromaffin cells in the colon. J. Med. Food 2019, 22, 663–671. [Google Scholar] [CrossRef] [PubMed]
- Subramaniyam, S.; Yang, S.; Diallo, B.N.t.; Fanshu, X.; Lei, L.; Li, C.; Tastan Bishop, Ö.; Bhattacharyya, S. Oral Phyto-thymol ameliorates the stress induced IBS symptoms. Sci. Rep. 2020, 10, 13900. [Google Scholar] [CrossRef]
- Atarashi, K.; Tanoue, T.; Shima, T.; Imaoka, A.; Kuwahara, T.; Momose, Y.; Cheng, G.; Yamasaki, S.; Saito, T.; Ohba, Y. Induction of colonic regulatory T cells by indigenous Clostridium species. Science 2011, 331, 337–341. [Google Scholar] [CrossRef]
- Sekirov, I.; Russell, S.L.; Antunes, L.C.M.; Finlay, B.B. Gut microbiota in health and disease. Physiol. Rev. 2010, 90, 859–904. [Google Scholar] [CrossRef]
- Rivière, A.; Selak, M.; Lantin, D.; Leroy, F.; De Vuyst, L. Bifidobacteria and butyrate-producing colon bacteria: Importance and strategies for their stimulation in the human gut. Front. Microbiol. 2016, 7, 979. [Google Scholar] [CrossRef]
- Kassinen, A.; Krogius-Kurikka, L.; Mäkivuokko, H.; Rinttilä, T.; Paulin, L.; Corander, J.; Malinen, E.; Apajalahti, J.; Palva, A. The fecal microbiota of irritable bowel syndrome patients differs significantly from that of healthy subjects. Gastroenterology 2007, 133, 24–33. [Google Scholar] [CrossRef]
- Rajilić–Stojanović, M.; Biagi, E.; Heilig, H.G.; Kajander, K.; Kekkonen, R.A.; Tims, S.; de Vos, W.M. Global and deep molecular analysis of microbiota signatures in fecal samples from patients with irritable bowel syndrome. Gastroenterology 2011, 141, 1792–1801. [Google Scholar] [CrossRef]
- Pinto, P.R.; Mota, I.F.; Pereira, C.M.; Ribeiro, A.M.; Loureiro, J.M.; Rodrigues, A.E. Separation and recovery of polyphenols and carbohydrates from Eucalyptus bark extract by ultrafiltration/diafiltration and adsorption processes. Sep. Purif. Technol. 2017, 183, 96–105. [Google Scholar] [CrossRef]
- McDougall, G.J.; Shpiro, F.; Dobson, P.; Smith, P.; Blake, A.; Stewart, D. Different polyphenolic components of soft fruits inhibit α-amylase and α-glucosidase. J. Agric. Food Chem. 2005, 53, 2760–2766. [Google Scholar] [CrossRef] [PubMed]
- Kammerer, D.; Claus, A.; Carle, R.; Schieber, A. Polyphenol screening of pomace from red and white grape varieties (Vitis vinifera L.) by HPLC-DAD-MS/MS. J. Agric. Food Chem. 2004, 52, 4360–4367. [Google Scholar] [CrossRef] [PubMed]
- Liu, Y.; Wang, S.; Jin, G.; Gao, K.; Wang, S.; Zhang, X.; Zhou, K.; Cai, Y.; Zhou, X.; Zhao, Z. Network pharmacology-based study on the mechanism of ShenKang injection in diabetic kidney disease through Keap1/Nrf2/Ho-1 signaling pathway. Phytomedicine 2023, 118, 154915. [Google Scholar] [CrossRef] [PubMed]
- Sun, Y.; Zhong, S.; Yu, J.; Zhu, J.; Ji, D.; Hu, G.; Wu, C.; Li, Y. The aqueous extract of Phellinus igniarius (SH) ameliorates dextran sodium sulfate-induced colitis in C57BL/6 mice. PLoS ONE 2018, 13, e0205007. [Google Scholar] [CrossRef]
- Chen, Y.; Xiao, S.; Gong, Z.; Zhu, X.; Yang, Q.; Li, Y.; Gao, S.; Dong, Y.; Shi, Z.; Wang, Y. Wuji Wan formula ameliorates diarrhea and disordered colonic motility in post-inflammation irritable bowel syndrome rats by modulating the gut microbiota. Front. Microbiol. 2017, 8, 2307. [Google Scholar] [CrossRef]
- La, J.-H.; Kim, T.-W.; Sung, T.-S.; Kang, J.-W.; Kim, H.-J.; Yang, I.-S. Visceral hypersensitivity and altered colonic motility after subsidence of inflammation in a rat model of colitis. World J. Gastroenterol. WJG 2003, 9, 2791. [Google Scholar] [CrossRef]
- Williams, C.L.; Villar, R.G.; Peterson, J.M.; Burks, T.F. Stress-induced changes in intestinal transit in the rat: A model for irritable bowel syndrome. Gastroenterology 1988, 94, 611–621. [Google Scholar] [CrossRef]
- Yu, L.; Huang, C.; Yang, W.; Ren, Z.; Li, L.; Cheng, H.; Lin, C.; Zhai, L.; Ning, Z.; Wong, H.X. Aqueous cinnamon extract ameliorates bowel dysfunction and enteric 5-HT synthesis in IBS rats. Front. Pharmacol. 2023, 13, 1010484. [Google Scholar] [CrossRef]
- Al–Chaer, E.D.; Kawasaki, M.; Pasricha, P.J. A new model of chronic visceral hypersensitivity in adult rats induced by colon irritation during postnatal development. Gastroenterology 2000, 119, 1276–1285. [Google Scholar] [CrossRef]
- Yu, Y.; Wu, S.; Li, J.; Wang, R.; Xie, X.; Yu, X.; Pan, J.; Xu, Y.; Zheng, L. The effect of curcumin on the brain-gut axis in rat model of irritable bowel syndrome: Involvement of 5-HT-dependent signaling. Metab. Brain Dis. 2015, 30, 47–55. [Google Scholar] [CrossRef]
- Gao, Z.; He, X.; Zhao, B.; Zhou, C.; Liang, Y.; Ge, R.; Shen, Y.; Huang, Z. Overexpressing a putative aquaporin gene from wheat, TaNIP, enhances salt tolerance in transgenic Arabidopsis. Plant Cell Physiol. 2010, 51, 767–775. [Google Scholar] [CrossRef] [PubMed]
- Lippai, D.; Bala, S.; Csak, T.; Kurt-Jones, E.A.; Szabo, G. Chronic alcohol-induced microRNA-155 contributes to neuroinflammation in a TLR4-dependent manner in mice. PLoS ONE 2013, 8, e70945. [Google Scholar] [CrossRef] [PubMed]
- Nossa, C.W.; Oberdorf, W.E.; Yang, L.; Aas, J.A.; Paster, B.J.; DeSantis, T.Z.; Brodie, E.L.; Malamud, D.; Poles, M.A.; Pei, Z. Design of 16S rRNA gene primers for 454 pyrosequencing of the human foregut microbiome. World J. Gastroenterol. WJG 2010, 16, 4135. [Google Scholar] [CrossRef] [PubMed]
- Tzivion, G.; Dobson, M.; Ramakrishnan, G. FoxO transcription factors; Regulation by AKT and 14-3-3 proteins. Biochim. Et Biophys. Acta (BBA) Mol. Cell Res. 2011, 1813, 1938–1945. [Google Scholar] [CrossRef]
- Zhang, X.; Tang, N.; Hadden, T.J.; Rishi, A.K. Akt, FoxO and regulation of apoptosis. Biochim. Biophys. Acta (BBA) Mol. Cell Res. 2011, 1813, 1978–1986. [Google Scholar] [CrossRef]
- Cunningham, D.; Humblet, Y.; Siena, S.; Khayat, D.; Bleiberg, H.; Santoro, A.; Bets, D.; Mueser, M.; Harstrick, A.; Verslype, C. Cetuximab monotherapy and cetuximab plus irinotecan in irinotecan-refractory metastatic colorectal cancer. N. Engl. J. Med. 2004, 351, 337–345. [Google Scholar] [CrossRef]
- Ganesan, S.; Unger, B.L.; Comstock, A.T.; Angel, K.A.; Mancuso, P.; Martinez, F.J.; Sajjan, U.S. Aberrantly activated EGFR contributes to enhanced IL-8 expression in COPD airways epithelial cells via regulation of nuclear FoxO3A. Thorax 2013, 68, 131–141. [Google Scholar] [CrossRef]
- Cory, S.; Adams, J.M. The Bcl2 family: Regulators of the cellular life-or-death switch. Nat. Rev. Cancer 2002, 2, 647–656. [Google Scholar] [CrossRef]
- Rangel, I.; Sundin, J.; Fuentes, S.; Repsilber, D.; De Vos, W.; Brummer, R.J. The relationship between faecal-associated and mucosal-associated microbiota in irritable bowel syndrome patients and healthy subjects. Aliment. Pharmacol. Ther. 2015, 42, 1211–1221. [Google Scholar] [CrossRef]
- Bennet, S.M.; Öhman, L.; Simrén, M. Gut microbiota as potential orchestrators of irritable bowel syndrome. Gut Liver 2015, 9, 318. [Google Scholar] [CrossRef]
- Lin, X.; Hu, T.; Wu, Z.; Li, L.; Wang, Y.; Wen, D.; Liu, X.; Li, W.; Liang, H.; Jin, X. Isolation of potentially novel species expands the genomic and functional diversity of Lachnospiraceae. iMeta 2024, 3, e174. [Google Scholar] [CrossRef] [PubMed]
- Xiong, L.; Chen, M.; Chen, H.; Xu, A.; Wang, W.; Hu, P. A population-based epidemiologic study of irritable bowel syndrome in South China: Stratified randomized study by cluster sampling. Aliment. Pharmacol. Ther. 2004, 19, 1217–1224. [Google Scholar] [CrossRef] [PubMed]
- Lovell, R.M.; Ford, A.C. Global prevalence of and risk factors for irritable bowel syndrome: A meta-analysis. Clin. Gastroenterol. Hepatol. 2012, 10, 712–721.e714. [Google Scholar] [CrossRef] [PubMed]
- Gao, J.; Xiong, T.; Grabauskas, G.; Owyang, C. Mucosal serotonin reuptake transporter expression in irritable bowel syndrome is modulated by gut microbiota via mast cell–prostaglandin E2. Gastroenterology 2022, 162, 1962–1974.e1966. [Google Scholar] [CrossRef]
- Goodoory, V.C.; Tuteja, A.K.; Black, C.J.; Ford, A.C. Systematic review and meta-analysis: Efficacy of mesalamine in irritable bowel syndrome. Clin. Gastroenterol. Hepatol. 2024, 22, 243–251.e245. [Google Scholar] [CrossRef]
- Chey, W.D.; Hashash, J.G.; Manning, L.; Chang, L. AGA clinical practice update on the role of diet in irritable bowel syndrome: Expert review. Gastroenterology 2022, 162, 1737–1745.e1735. [Google Scholar] [CrossRef]
- Rej, A.; Sanders, D.S.; Shaw, C.C.; Buckle, R.; Trott, N.; Agrawal, A.; Aziz, I. Efficacy and acceptability of dietary therapies in non-constipated irritable bowel syndrome: A randomized trial of traditional dietary advice, the low FODMAP diet, and the gluten-free diet. Clin. Gastroenterol. Hepatol. 2022, 20, 2876–2887.e2815. [Google Scholar] [CrossRef]
- Wouters, M.M.; Van Wanrooy, S.; Nguyen, A.; Dooley, J.; Aguilera-Lizarraga, J.; Van Brabant, W.; Garcia-Perez, J.E.; Van Oudenhove, L.; Van Ranst, M.; Verhaegen, J. Psychological comorbidity increases the risk for postinfectious IBS partly by enhanced susceptibility to develop infectious gastroenteritis. Gut 2016, 65, 1279–1288. [Google Scholar] [CrossRef]
- Lin, S.; Zhu, Q.; Wen, L.; Yang, B.; Jiang, G.; Gao, H.; Chen, F.; Jiang, Y. Production of quercetin, kaempferol and their glycosidic derivatives from the aqueous-organic extracted residue of litchi pericarp with Aspergillus awamori. Food Chem. 2014, 145, 220–227. [Google Scholar] [CrossRef]
- Lukšič, L.; Bonafaccia, G.; Timoracka, M.; Vollmannova, A.; Trček, J.; Nyambe, T.K.; Melini, V.; Acquistucci, R.; Germ, M.; Kreft, I. Rutin and quercetin transformation during preparation of buckwheat sourdough bread. J. Cereal Sci. 2016, 69, 71–76. [Google Scholar] [CrossRef]
- Wang, Z.; Ma, J.; Li, X.; Wu, Y.; Shi, H.; Chen, Y.; Lu, G.; Shen, H.; Lu, G.; Zhou, J. Quercetin induces p53-independent cancer cell death via Tfeb-mediated lysosome activation and ros-dependent ferroptosis. Br. J. Pharmacol 2020, 178, 1133–1148. [Google Scholar] [CrossRef] [PubMed]
- Zheng, X.; Wu, X.; Wen, Q.; Tang, H.; Zhao, L.; Shi, F.; Li, Y.; Yin, Z.; Zou, Y.; Song, X. Eriodictyol alleviated lps/D-galn-induced acute liver injury by inhibiting oxidative stress and cell apoptosis via pi3k/akt signaling pathway. Nutrients 2023, 15, 4349. [Google Scholar] [CrossRef] [PubMed]
- Zumerle, S.; Sarill, M.; Saponaro, M.; Colucci, M.; Contu, L.; Lazzarini, E.; Sartori, R.; Pezzini, C.; Rinaldi, A.; Scanu, A. Targeting senescence induced by age or chemotherapy with a polyphenol-rich natural extract improves longevity and healthspan in mice. Nat. Aging 2024, 4, 1231–1248. [Google Scholar] [CrossRef]
- Wei, Y.; Fan, Y.; Huang, S.; Lv, J.; Zhang, Y.; Hao, Z. Baizhu shaoyao decoction restores the intestinal barrier and brain–gut axis balance to alleviate diarrhea-predominant irritable bowel syndrome via FoxO1/FoxO3a. Phytomedicine 2024, 122, 155163. [Google Scholar] [CrossRef] [PubMed]
- Chang, X.; Zheng, B.; Guo, Y.; Chen, Y.; Xie, J.; Shan, J.; Wang, Y.; Xue, P.; Hu, X.; Hu, X. Bound polyphenols in insoluble dietary fiber of navel orange peel modulate LPS-induced intestinal-like co-culture inflammation through CSF2-mediated NF-κB/JAK-STAT pathway. Food Funct. 2024, 15, 5942–5954. [Google Scholar] [CrossRef] [PubMed]
- Kashyap, P.; Riar, C.S.; Jindal, N. Effect of extraction methods and simulated in vitro gastrointestinal digestion on phenolic compound profile, bio-accessibility, and antioxidant activity of Meghalayan cherry (Prunus nepalensis) pomace extracts. Lwt 2022, 153, 112570. [Google Scholar] [CrossRef]
- Reiter, C.E.; Kim, J.-a.; Quon, M.J. Green tea polyphenol epigallocatechin gallate reduces endothelin-1 expression and secretion in vascular endothelial cells: Roles for AMP-activated protein kinase, Akt, and FOXO1. Endocrinology 2010, 151, 103–114. [Google Scholar] [CrossRef]
- Chen, X.; Peng, B.; Jiang, H.; Zhang, C.; Li, H.; Li, Z. Salvianolic acid B alleviates oxidative stress in non-alcoholic fatty liver disease by mediating the SIRT3/FOXO1 signaling pathway. J. Chin. Pharm. Sci. 2022, 31, 738–751. [Google Scholar]
- Cardona, F.; Andrés-Lacueva, C.; Tulipani, S.; Tinahones, F.J.; Queipo-Ortuño, M.I. Benefits of polyphenols on gut microbiota and implications in human health. J. Nutr. Biochem. 2013, 24, 1415–1422. [Google Scholar] [CrossRef]
- Li, S.; Chen, Y.; Zhang, Y.; Lv, H.; Luo, L.; Wang, S.; Guan, X. Polyphenolic extracts of coffee cherry husks alleviated colitis-induced neural inflammation via NF-κB signaling regulation and gut microbiota modification. J. Agric. Food Chem. 2022, 70, 6467–6477. [Google Scholar] [CrossRef]
- Carasso, S.; Fishman, B.; Lask, L.S.; Shochat, T.; Geva-Zatorsky, N.; Tauber, E. Metagenomic analysis reveals the signature of gut microbiota associated with human chronotypes. FASEB J. 2021, 35, e22011. [Google Scholar] [CrossRef]











| Score | Standard for Evaluation |
|---|---|
| One | When the colon dilates, the body stays still and the head moves less. |
| Two | When the colon dilates, the abdominal museles contract but do not lift off the table. |
| Three | When the colon dilates, the abdominal muscles contract and lift off the table. |
| Four | When the colon expands, the pelvis is raised, the body is arched, and the perineum is lifted off the ground. |
| Score | Character |
|---|---|
| 1. Pyreniform | Thick and rough, akin to sheep’s stool |
| 2. Dry hard shape | Surface is convex and texture is firm |
| 3. There are folds | Banana-shaped, with surface that is wrinkled |
| 4. Banana shape | Banana-shaped, flawless exterior |
| 5. Soft poop | Texture is semi-solid and supple |
| 6. Porridge like | Unchangeable form, atherosclerosis |
| 7. Water like | No samples of solids or water |
| Gene | Sequence |
|---|---|
| FOXO3a(F) | CATGTAGAGTGTTGTGGAGAGC |
| FOXO3a(R) | AACGGCTGGCCTGTCCTGAA |
| FOXO1(F) | CGTCCTCGAACCAGCTCAA |
| FOXO1(R) | TTGGCGGTGCAAATGAATAG |
| FOXO4(F) | GGTGCCCTACTTCAAGGACAA |
| FOXO4(R) | ATCGGGGTTCAGCATCCA |
| Component | Retention Time (min) | Compound | MS (m/z) | Chemical Formula |
|---|---|---|---|---|
| 1 | 0.991 | Citric acid | 215.0147 | C6H8O7 |
| 2 | 2.950 | Nardosinone | 251.1599 | C15H22O3 |
| 3 | 1.385 | Phloretin | 275.108 | C15H14O5 |
| 4 | 4.193 | Eriodictyol-7-O-glucoside | 449.1049 | C21H22O11 |
| 5 | 7.111 | Thymol | 149.0949 | C10H14O |
| 6 | 3.067 | Sinapic acid | 223.062 | C11H12O5 |
| 7 | 6.182 | Tectorigenin | 299.1079 | C16H12O6 |
| 8 | 4.051 | Quercetin-3-O-glucoside | 505.0917 | C21H20O12 |
| 9 | 4.051 | Hypericin | 505.0917 | C30H16O8 |
| 10 | 0.936 | Fumaric acid | 139.0014 | C4H4O4 |
| 11 | 4.820 | Quercetin | 303.0481 | C15H10O7 |
| 12 | 13.689 | Aconitic acid | 196.9994 | C6H6O6 |
| 13 | 6.182 | Coumaric acid | 163.0375 | C9H8O3 |
| 14 | 1.185 | 2-Hydroxychalcone | 223.129 | C15H12O2 |
| 15 | 0.991 | Luteolin | 286.236 | C15H10O6 |
| 16 | 3.270 | Pseudobaptigenin | 281.0492 | C16H10O5 |
| 17 | 4.993 | Eriodictyol | 287.0532 | C15H12O6 |
| 18 | 4.736 | Kaempferol-4′-glucoside | 471.0877 | C21H20O11 |
| 19 | 1.018 | Rosmarinic acid | 399.0479 | C18H16O8 |
| 20 | 14.732 | Chrysoeriol | 299.0603 | C16H12O6 |
| 21 | 4.680 | Coumaroyl quinic acid | 337.0868 | C16H18O8 |
| 22 | 1.0179 | Caffeoyl quinic acid | 353.0815 | C16H18O9 |
| 23 | 13.718 | Veratric acid | 180.9888 | C9H10O4 |
| 24 | 3.532 | Catechin | 289.124 | C15H14O6 |
| 25 | 6.442 | 3-Hydroxyflavone | 237.1086 | C15H10O3 |
| 26 | 5.135 | Magnolol | 311.125 | C18H18O2 |
| 27 | 6.182 | Dihydroresveratrol | 229.0818 | C14H14O3 |
| 28 | 5.050 | Isorhamnetin 3-galactoside | 501.097 | C22H22O12 |
| 29 | 4.109 | 3-O-Feruloylquinic acid | 391.1921 | C17H20O9 |
| 30 | 4.250 | Chlorogenic acid | 377.0818 | C16H18O9 |
| 31 | 3.851 | Cyanidin-3-glucoside chloride | 484.8 | C21H21ClO11 |
| 32 | 4.193 | Kaempferol-3-O-pentoside | 417.0757 | C20H18O10 |
| 33 | 14.092 | Myricetin-3-O-xyloside | 449.071 | C20H18O12 |
Disclaimer/Publisher’s Note: The statements, opinions and data contained in all publications are solely those of the individual author(s) and contributor(s) and not of MDPI and/or the editor(s). MDPI and/or the editor(s) disclaim responsibility for any injury to people or property resulting from any ideas, methods, instructions or products referred to in the content. |
© 2024 by the authors. Licensee MDPI, Basel, Switzerland. This article is an open access article distributed under the terms and conditions of the Creative Commons Attribution (CC BY) license (https://creativecommons.org/licenses/by/4.0/).
Share and Cite
Yu, X.; Wang, X.; Liu, X.; Li, F.; Bao, Y.; Chai, Y. The Mechanism of Relieving Diarrheal Irritable Bowel Syndrome Using Polyphenols from Ribes nigrum L. Based on a Network Pharmacology Analysis and 16S rRNA Sequencing. Foods 2024, 13, 3868. https://doi.org/10.3390/foods13233868
Yu X, Wang X, Liu X, Li F, Bao Y, Chai Y. The Mechanism of Relieving Diarrheal Irritable Bowel Syndrome Using Polyphenols from Ribes nigrum L. Based on a Network Pharmacology Analysis and 16S rRNA Sequencing. Foods. 2024; 13(23):3868. https://doi.org/10.3390/foods13233868
Chicago/Turabian StyleYu, Xi, Xiaotian Wang, Xintong Liu, Fangfei Li, Yihong Bao, and Yangyang Chai. 2024. "The Mechanism of Relieving Diarrheal Irritable Bowel Syndrome Using Polyphenols from Ribes nigrum L. Based on a Network Pharmacology Analysis and 16S rRNA Sequencing" Foods 13, no. 23: 3868. https://doi.org/10.3390/foods13233868
APA StyleYu, X., Wang, X., Liu, X., Li, F., Bao, Y., & Chai, Y. (2024). The Mechanism of Relieving Diarrheal Irritable Bowel Syndrome Using Polyphenols from Ribes nigrum L. Based on a Network Pharmacology Analysis and 16S rRNA Sequencing. Foods, 13(23), 3868. https://doi.org/10.3390/foods13233868

