Effect of Succinylation on Oxidation–Aggregation of Low-Density Lipoprotein and Formation of Off-Flavors in Heated Egg Yolks
Abstract
1. Introduction
2. Materials and Methods
2.1. Materials
2.2. Preparation of Samples with Different Succinylation Degrees (SDs)
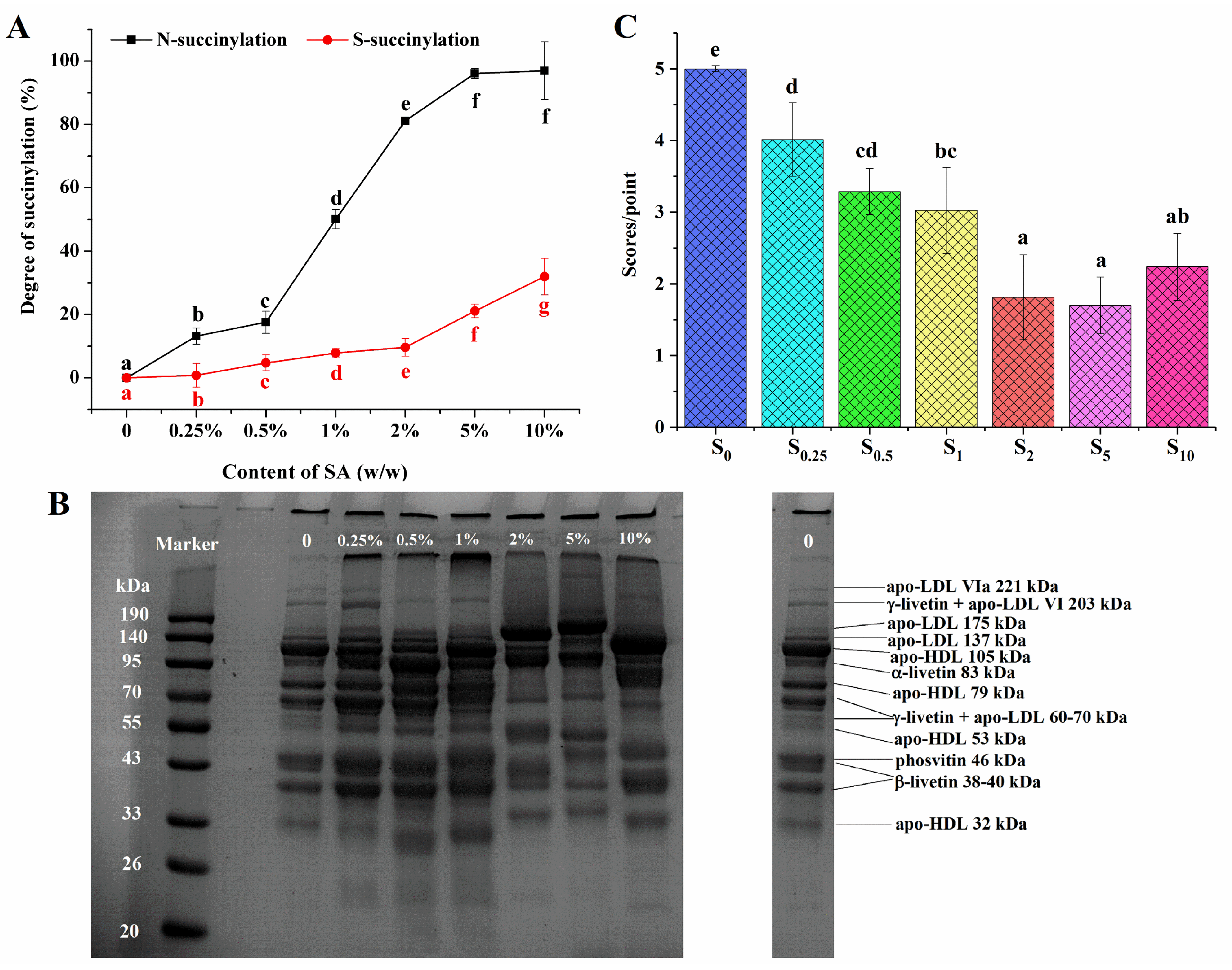
2.3. Determination of Modification Degree
2.4. Sensory Evaluation
2.5. Analysis of Volatile Compounds
2.6. Confocal Laser Scanning Microscopy (CLSM)
2.7. Oil Exudation from Thermally Succinylated EY
2.8. Lipid and Protein Oxidation
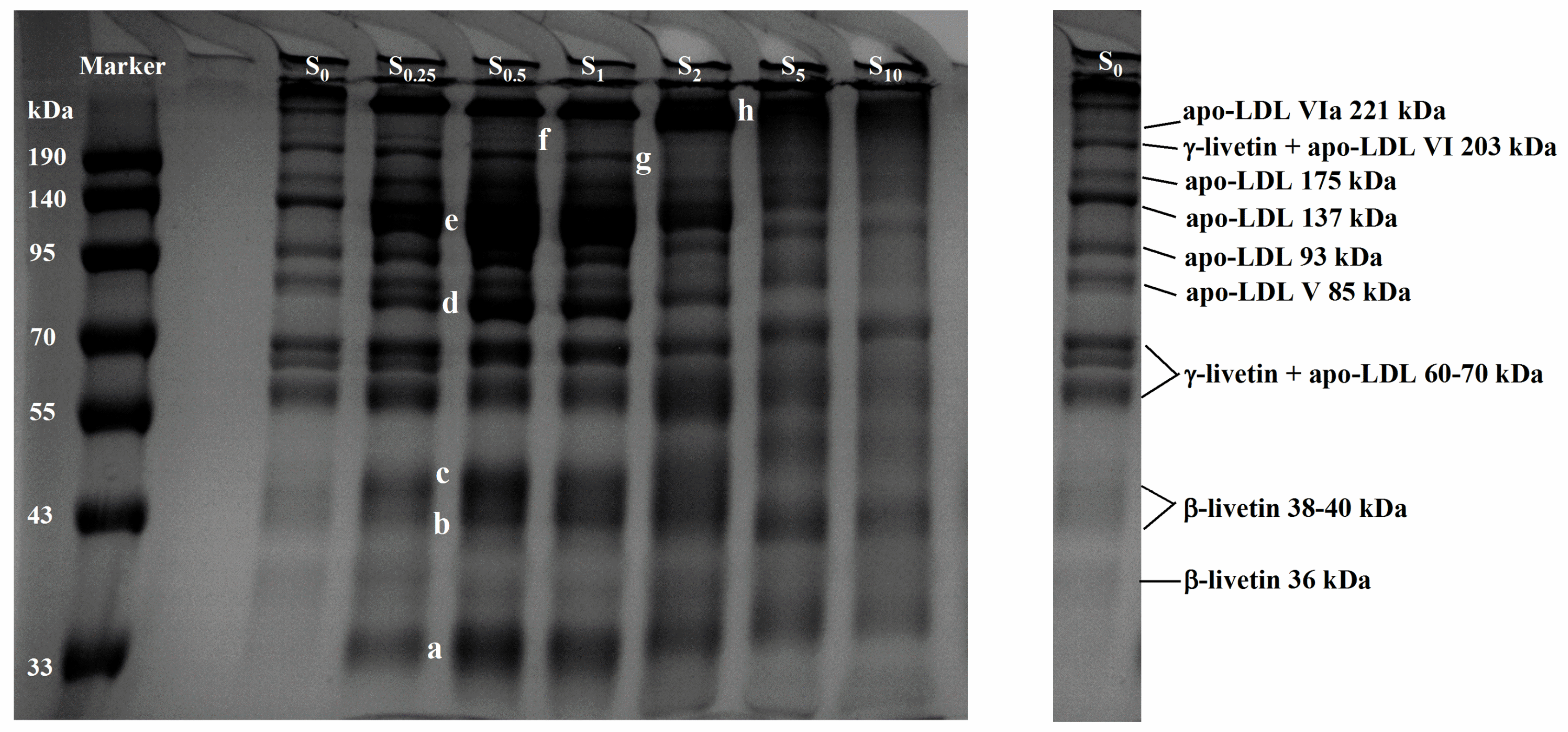
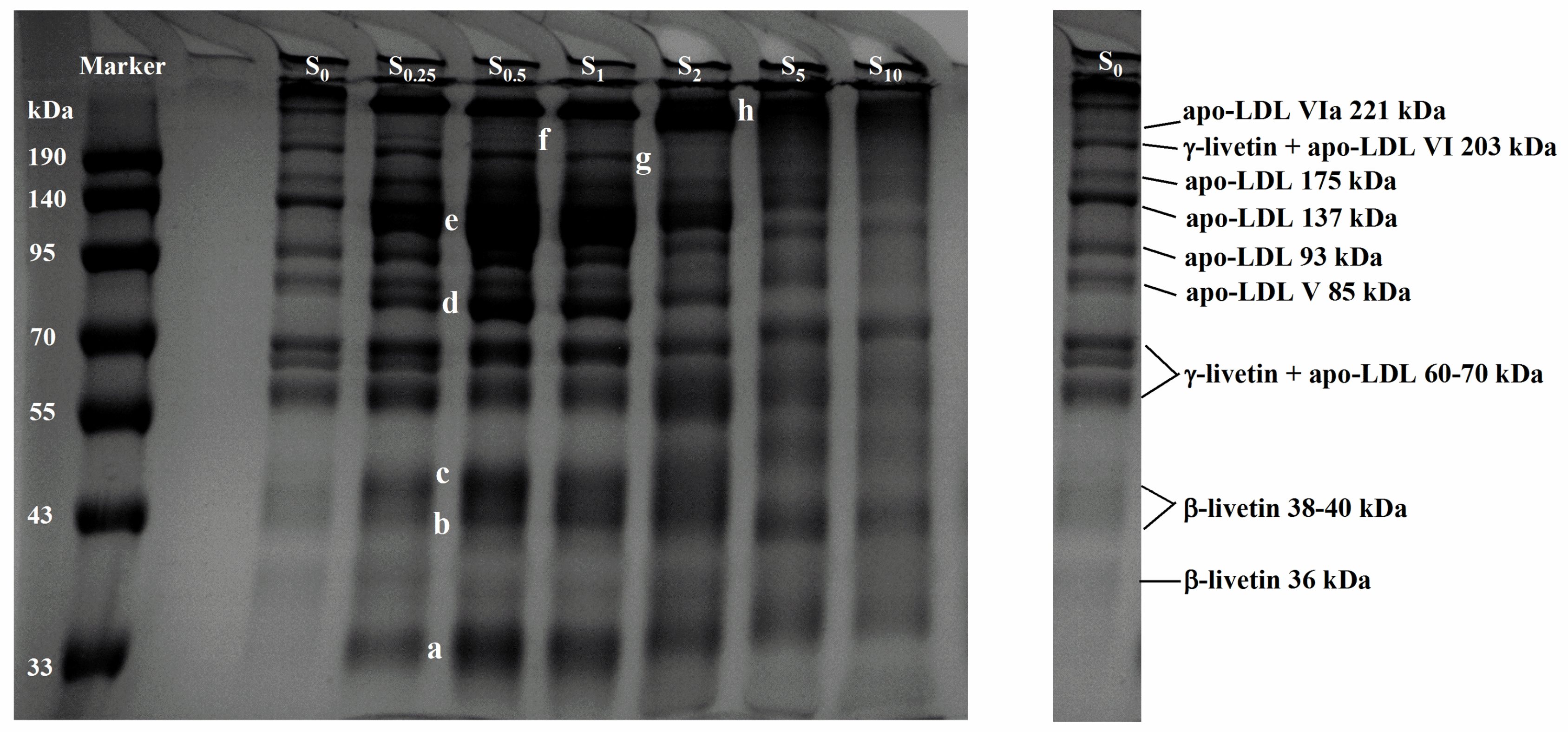
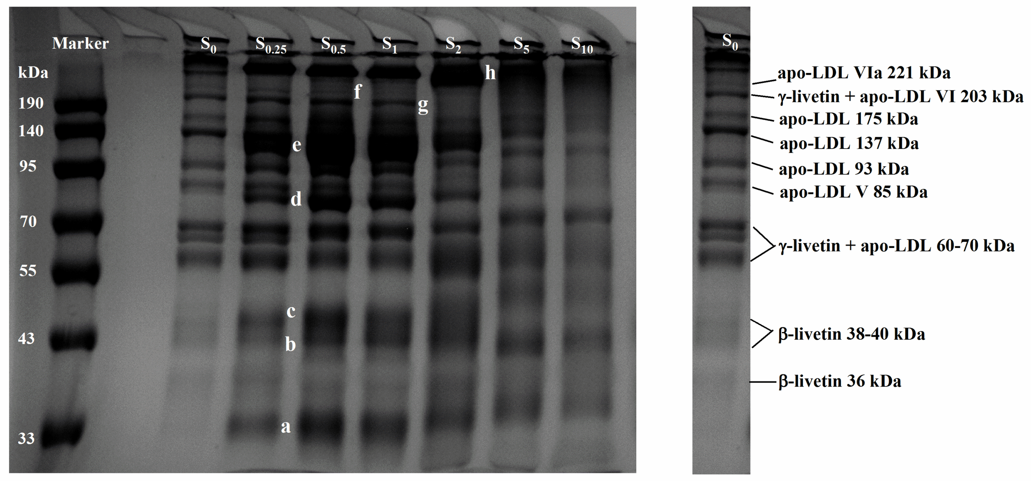
2.9. Sodium Dodecyl Sulphate–Polyacrylamide Gel Electrophoresis (SDS–PAGE)
2.10. FTIR
2.11. Determination of Physicochemical Properties
2.12. Statistical Analysis
3. Results and Discussion
3.1. Succinylation of EY
3.2. Off-Flavors of Heated EY with Succinylation Modification
3.3. Oil Exudation in Thermally Succinylated EY
3.4. Lipid and Protein Oxidation in Thermally Succinylated EY
3.5. Zeta Potential and Particle Size of Heated Succinylated LDL Particles
3.6. FTIR of Proteins in Heated Succinylated LDL Particles
3.7. Intrinsic Fluorescence Emission Spectra and Surface Hydrophobicity
3.8. Changes of Protein Subunits in Succinylated LDL Particles
4. Conclusions
Author Contributions
Funding
Institutional Review Board Statement
Informed Consent Statement
Data Availability Statement
Conflicts of Interest
References
- Réhault-Godbert, S.; Guyot, N.; Nys, Y. The golden egg: Nutritional value, bioactivities, and emerging benefits for human health. Nutrients 2019, 11, 684. [Google Scholar] [CrossRef] [PubMed]
- Sun, Y.; Wang, Q.; Jin, H.; Li, Z.; Sheng, L. Impact of ozone-induced oxidation on the textural, moisture, micro-rheology and structural properties of egg yolk gels. Food Chem. 2021, 361, 130075. [Google Scholar] [CrossRef] [PubMed]
- Rannou, C.; Texier, F.; Moreau, M.; Courcoux, P.; Meynier, A.; Prost, C. Odour quality of spray–dried hens’ egg powders: The influence of composition, processing and storage conditions. Food Chem. 2013, 138, 905–914. [Google Scholar] [CrossRef] [PubMed]
- Ren, L.; Ma, J.; Tong, Q.; Lv, Y.; Guo, H. Characterization of key off-odor compounds in thermal duck egg gels by GC-olfactometry-MS, odor activity values, and aroma recombination. LWT 2021, 143, 111182. [Google Scholar] [CrossRef]
- Anton, M.; Martinet, V.; Dalgalarrondo, M.; Beaumal, V.; David-Briand, E.; Rabesona, H. Structural and chemical characterisation of low-density lipoproteins purified from hen egg yolk. Food Chem. 2003, 83, 175–183. [Google Scholar] [CrossRef]
- Jolivet, P.; Boulard, C.; Chardot, T.; Anton, M. New insights into the structure of apolipoprotein B from low-density lipoproteins andidentification of a novel YGP-like protein in hen egg yolk. J. Agric. Food Chem. 2008, 56, 5871–5879. [Google Scholar] [CrossRef]
- Anton, M. Egg yolk: Structures, functionalities and processes. J. Sci. Food Agr. 2013, 93, 2871–2880. [Google Scholar] [CrossRef]
- Ng, S.K.; Lau, J.L.Y.; Tan, C.P.; Long, K.; Nyam, K.L. Effect of accelerated storage on microencapsulated kenaf seed oil. J. Am. Oil Chem. Soc. 2013, 90, 1023–1029. [Google Scholar] [CrossRef]
- Alamed, J.; Chaiyasit, W.; McClements, D.J.; Decker, E.A. Relationships between free radical scavenging and antioxidant activity in foods. J. Agric. Food Chem. 2009, 57, 2969–2976. [Google Scholar] [CrossRef]
- Ren, Y.; Wang, Y.; Zhang, Y.; Yang, Z.; Ma, Z.; Chen, J.; Chen, X.; Qiu, Z.; Tian, J.; Pu, A.; et al. Formation and regulation strategies for volatile off-flavor compounds in livestock meat, poultry meat, and their products: A comprehensive review. Trends Food Sci. Technol. 2024, 152, 104689. [Google Scholar] [CrossRef]
- Gouda, M.; Zhang, S.; Liu, Y.; Sheng, L.; Ma, M. Effects of four natural antioxidant phenyl terpenes on emulsifying and rheological properties of egg yolk. LWT 2017, 83, 59–67. [Google Scholar] [CrossRef]
- Ren, L.; Ma, J.; Xu, W.; Lv, Y.; Tong, Q. Stability of low density lipoprotein particles affect the formation of off-flavor in thermal egg yolk. Food Res. Int. 2022, 154, 111029. [Google Scholar] [CrossRef]
- Ye, A.; Zhu, X.; Singh, H. Oil-in-water emulsion system stabilized by protein-coated nanoemulsion droplets. Langmuir 2013, 29, 14403–14410. [Google Scholar] [CrossRef] [PubMed]
- Ye, A.; Singh, H. Heat stability of oil-in-water emulsions formed with intact or hydrolysed whey proteins: Influence of polysaccharides. Food Hydrocolloid 2006, 20, 269–276. [Google Scholar] [CrossRef]
- Lund, M.N.; Heinonen, M.; Baron, C.P.; Estévez, M. Protein oxidation in muscle foods: A review. Mol. Nutr. Food Res. 2011, 55, 83–95. [Google Scholar] [CrossRef] [PubMed]
- Li, H.; Li, F.; Wu, X.; Wu, W. Effect of rice bran rancidity on the emulsion stability of rice bran protein and structural characteristics of interface protein. Food Hydrocolloid. 2021, 121, 107006. [Google Scholar] [CrossRef]
- Wu, X.; Li, F.; Wu, W. Effects of rice bran rancidity on the oxidation and structural characteristics of rice bran protein. LWT 2020, 120, 108943. [Google Scholar] [CrossRef]
- Wang, J.; Zheng, H.; Zhang, S.; Li, J.; Zhu, X.; Jin, H.; Xu, J. Improvement of protein emulsion stability through glycosylated black bean protein covalent interaction with (−)-epigallocatechin-3-gallate. RSC Adv. 2021, 11, 2546–2555. [Google Scholar] [CrossRef]
- Wan, Y.; Liu, J.; Guo, S. Effects of succinylation on the structure and thermal aggregation of soy protein isolate. Food Chem. 2018, 245, 542–550. [Google Scholar] [CrossRef]
- Shilpashree, B.G.; Arora, S.; Chawla, P.; Tomar, S.K. Effect of succinylation on physicochemical and functional properties of milk protein concentrate. Food Res. Int. 2015, 72, 223–230. [Google Scholar] [CrossRef]
- Zhao, C.B.; Zhang, H.; Xu, X.Y.; Cao, Y.; Zheng, M.Z.; Liu, J.S.; Wu, F. Effect of acetylation and succinylation on physicochemical properties and structural characteristics of oat protein isolate. Process Biochem. 2017, 57, 117–123. [Google Scholar] [CrossRef]
- He, D.; Lv, Y.; Tong, Q. Succinylation improves the thermal stability of egg white proteins. Molecules 2019, 24, 3783. [Google Scholar] [CrossRef] [PubMed]
- Ren, L.; Liu, J.; Zhang, X.; Zhao, S.; Lv, Y.; Guo, H. Emulsion, gelation, physicochemical properties and microstructure of phosphorylated and succinylated egg yolk. LWT 2020, 131, 109675. [Google Scholar] [CrossRef]
- Opazo-Navarrete, M.; Altenburg, M.D.; Boom, R.M.; Janssen, A.E. The effect of gel microstructure on simulated gastric digestion of protein gels. Food Biophys. 2018, 13, 124–138. [Google Scholar] [CrossRef] [PubMed]
- Yin, S.W.; Tang, C.H.; Wen, Q.B.; Yang, X.Q.; Yuan, D.B. The relationships between physicochemical properties and conformational features of succinylated and acetylated kidney bean (Phaseolus vulgaris L.) protein isolates. Food Res. Int. 2010, 43, 730–738. [Google Scholar] [CrossRef]
- Li, Q.; Jin, H.; Zhang, X.; Hu, G.; Lei, C.; Sun, H.; Sheng, L.; Jin, Y.; Huang, X.; Lu, L.; et al. Effect of salt penetration and water migration on cooked salted egg yolk gel during storage: Physicochemical properties, structural characteristics and flavor changes. Food Chem. 2023, 404, 134510. [Google Scholar] [CrossRef]
- Tao, X.; Cai, Y.; Liu, T.; Long, Z.; Huang, L.; Deng, X.; Zhao, Q.; Zhao, M. Effects of pretreatments on the structure and functional properties of okara protein. Food Hydrocolloid. 2019, 90, 394–402. [Google Scholar] [CrossRef]
- Shevkani, K.; Singh, N.; Kaur, A.; Rana, J.C. Structural and functional characterization of kidney bean and field pea protein isolates: A comparative study. Food Hydrocolloid. 2015, 43, 679–689. [Google Scholar] [CrossRef]
- Wang, R.; Wang, J.J.; Guo, X.; Li, Y.; Wu, Y.; Liu, H.; Zhao, Y. Physicochemical and functional properties of the Antarctic krill proteins modified by succinylation. LWT 2022, 154, 112832. [Google Scholar] [CrossRef]
- Guilmineau, F.; Krause, I.; Kulozik, U. Efficient analysis of egg yolk proteins and their thermal sensitivity using sodium dodecyl sulfate polyacrylamide gel electrophoresis under reducing and nonreducing conditions. J. Agric. Food Chem. 2005, 53, 9329–9336. [Google Scholar] [CrossRef]
- Charoensuk, D.; Brannan, R.G.; Chanasattru, W.; Chaiyasit, W. Physicochemical and emulsifying properties of mung bean protein isolate as influenced by succinylation. Int. J. Food Prop. 2018, 21, 1633–1645. [Google Scholar] [CrossRef]
- Chaiyasit, W.; Elias, R.J.; McClements, D.J.; Decker, E.A. Role of physical structures in bulk oils on lipid oxidation. Crit. Rev. Food Sci. 2007, 47, 299–317. [Google Scholar] [CrossRef] [PubMed]
- Irazusta, V.; Moreno-Cermeño, A.; Cabiscol, E.; Tamarit, J.; Ros, J. Proteomic strategies for the analysis of carbonyl groups on proteins. Curr. Protein Pept. Sc. 2010, 11, 652–658. [Google Scholar] [CrossRef] [PubMed]
- Bao, Y.; Boeren, S.; Ertbjerg, P. Myofibrillar protein oxidation affects filament charges, aggregation and water-holding. Meat Sci. 2018, 135, 102–108. [Google Scholar] [CrossRef] [PubMed]
- Bao, Z.J.; Wu, J.P.; Cheng, Y.; Chi, Y.J. Effects of lipid peroxide on the structure and gel properties of ovalbumin. Process Biochem. 2017, 57, 124–130. [Google Scholar] [CrossRef]
- Lam, R.S.; Nickerson, M.T. Food proteins: A review on their emulsifying properties using a structure-function approach. Food Chem. 2013, 141, 975–984. [Google Scholar] [CrossRef]
- Yang, Y.; Zhao, Y.; Xu, M.; Wu, N.; Yao, Y.; Du, H.; Liu, H.; Tu, Y. Changes in physico-chemical properties, microstructure and intermolecular force of preserved egg yolk gels during pickling. Food Hydrocolloid. 2019, 89, 131–142. [Google Scholar] [CrossRef]
- Xiang, X.; Liu, Y.; Liu, Y.; Wang, X.; Jin, Y. Changes in structure and flavor of egg yolk gel induced by lipid migration under heating. Food Hydrocolloid. 2020, 98, 105257. [Google Scholar] [CrossRef]
- Vetri, V.; Militello, V. Thermal induced conformational changes involved in the aggregation pathways of beta-lactoglobulin. Biophys. Chem. 2005, 113, 83–91. [Google Scholar] [CrossRef]
- Howell, N.K.; Herman, H.; Li-Chan, E.C. Elucidation of protein-lipid interactions in a lysozyme-corn oil system by fourier transform raman spectroscopy. J. Agric. Food Chem. 2001, 49, 1529–1533. [Google Scholar] [CrossRef]
- Viljanen, K.; Kivikari, R.; Heinonen, M. Protein-lipid interactions during liposome oxidation with added anthocyanin and other phenolic compounds. J. Agric. Food Chem. 2004, 52, 1104–1111. [Google Scholar] [CrossRef] [PubMed]
- Gouda, M.; Ma, M.; Sheng, L.; Xiang, X. SPME-GC-MS & metal oxide E-Nose 18 sensors to validate the possible interactions between bio-active terpenes and egg yolk volatiles. Food Res. Int. 2019, 125, 108611. [Google Scholar] [PubMed]
- Raikos, V.; Ranawana, V. Designing emulsion droplets of foods and beverages to enhance delivery of lipophilic bioactive components—A review of recent advances. Int. J. Food Sci. Technol. 2017, 52, 68–80. [Google Scholar] [CrossRef]




| Concentration (ng/g) | |||||
|---|---|---|---|---|---|
| Hexanal | (E)-2-Octenal | (E, E)-2,4- Decadienal | 1-Octen-3-ol | 2-Pentylfuran | |
| S0 | 120.86 ± 2.85 c | 23.89 ± 1.11 b | 2.43 ± 0.62 c | 71.03 ± 1.60 d | 0.80 ± 0.03 d |
| S0.25 | 117.10 ± 6.36 c | 23.40 ± 2.48 b | 2.41 ± 0.74 c | 68.67 ± 2.21 d | 0.79 ± 0.03 d |
| S0.5 | 117.51 ± 16.86 c | 24.34 ± 0.75 b | 1.12 ± 0.06 b | 64.76 ± 4.11 d | 0.61 ± 0.14 c |
| S1 | 72.17 ± 9.55 b | 20.41 ± 1.61 a | 1.11 ± 0.07 b | 45.21 ± 2.35 c | 0.55 ± 0.18 bc |
| S2 | 71.46 ± 9.74 b | 20.67 ± 1.14 a | 0.50 ± 0.10 ab | 41.35 ± 2.36 c | 0.37 ± 0.02 ab |
| S5 | 37.12 ± 7.11 a | 19.29 ± 0.68 a | 0.11 ± 0.01 a | 15.87 ± 1.09 a | 0.32 ± 0.03 a |
| S10 | 47.26 ± 9.92 a | 21.82 ± 0.64 ab | 0.06 ± 0.02 a | 30.91 ± 6.07 b | 0.39 ± 0.12 ab |
| Oil Exudation (%) | TBARS (mmol MDA/ mg Homogenate) | Carbonyls (nmol/mg Protein) | ||||
|---|---|---|---|---|---|---|
| 65 °C | 70 °C | 65 °C | 70 °C | 65 °C | 70 °C | |
| S0 | 1.46 ± 0.10 c | 2.72 ± 0.14 c | 1.88 ± 0.12 c | 2.44 ± 0.11 c | 0.52 ± 0.05 c | 0.73 ± 0.05 c |
| S0.5 | 0.50 ± 0.09 b | 0.68 ± 0.06 b | 1.52 ± 0.10 b | 1.77 ± 0.24 b | 0.39 ± 0.06 b | 0.63 ± 0.03 b |
| S5 | 0.33 ± 0.04 a | 0.48 ± 0.05 a | 1.22 ± 0.17 a | 1.27 ± 0.08 a | 0.31 ± 0.02 a | 0.40 ± 0.03 a |
| Content of Secondary Structures (%) | ||||
|---|---|---|---|---|
| β-Sheets | α-Helices | β-Turns | Random Coils | |
| S0 | 22.60 ± 1.01 c | 30.92 ± 0.58 a | 29.65 ± 0.74 ab | 16.83 ± 0.30 b |
| S0.25 | 21.91 ± 3.08 c | 29.54 ± 1.23 a | 33.81 ± 1.97 a | 14.75 ± 0.11 ab |
| S0.5 | 20.87 ± 1.89 bc | 28.35 ± 4.38 a | 31.40 ± 3.48 ab | 19.38 ± 0.99 c |
| S1 | 18.25 ± 2.17 abc | 31.20 ± 6.06 a | 33.48 ± 1.87 b | 17.06 ± 2.02 b |
| S2 | 18.82 ± 1.65 abc | 32.96 ± 2.30 ab | 31.37 ± 0.05 ab | 16.84 ± 0.70 b |
| S5 | 16.41 ± 2.73 ab | 39.69 ± 2.71 bc | 29.01 ± 0.51 a | 14.89 ± 0.49 ab |
| S10 | 13.77 ± 0.89 a | 42.64 ± 0.05 c | 29.44 ± 0.68 ab | 14.15 ± 0.15 a |
Disclaimer/Publisher’s Note: The statements, opinions and data contained in all publications are solely those of the individual author(s) and contributor(s) and not of MDPI and/or the editor(s). MDPI and/or the editor(s) disclaim responsibility for any injury to people or property resulting from any ideas, methods, instructions or products referred to in the content. |
© 2024 by the authors. Licensee MDPI, Basel, Switzerland. This article is an open access article distributed under the terms and conditions of the Creative Commons Attribution (CC BY) license (https://creativecommons.org/licenses/by/4.0/).
Share and Cite
Ren, L.; Sun, C.; Lv, Y.; Kumar, L. Effect of Succinylation on Oxidation–Aggregation of Low-Density Lipoprotein and Formation of Off-Flavors in Heated Egg Yolks. Foods 2024, 13, 3489. https://doi.org/10.3390/foods13213489
Ren L, Sun C, Lv Y, Kumar L. Effect of Succinylation on Oxidation–Aggregation of Low-Density Lipoprotein and Formation of Off-Flavors in Heated Egg Yolks. Foods. 2024; 13(21):3489. https://doi.org/10.3390/foods13213489
Chicago/Turabian StyleRen, Liuyang, Cheng Sun, Ying Lv, and Lokesh Kumar. 2024. "Effect of Succinylation on Oxidation–Aggregation of Low-Density Lipoprotein and Formation of Off-Flavors in Heated Egg Yolks" Foods 13, no. 21: 3489. https://doi.org/10.3390/foods13213489
APA StyleRen, L., Sun, C., Lv, Y., & Kumar, L. (2024). Effect of Succinylation on Oxidation–Aggregation of Low-Density Lipoprotein and Formation of Off-Flavors in Heated Egg Yolks. Foods, 13(21), 3489. https://doi.org/10.3390/foods13213489

