Salt Solubilization Coupled with Membrane Filtration-Impact on the Structure/Function of Chickpea Compared to Pea Protein
Abstract
1. Introduction
2. Materials and Methods
2.1. Materials
2.2. Selection of Salt Solubilization Conditions for the Production of ChPI
2.3. Benchtop Production of PPI and ChPI
2.4. Pilot Plant Scale-Up Production of PPI and ChPI
2.5. Color Measurement
2.6. Protein Structural Characterization
2.6.1. Protein Profiling by Gel Electrophoresis
2.6.2. Protein Denaturation State
2.6.3. Surface Properties of Protein Ingredients
2.7. Protein Functional Characterization
2.7.1. Protein Solubility
2.7.2. Gel Strength and Water Holding Capacity (WHC)
2.7.3. Emulsification Properties
2.8. Statistical Analysis
3. Results and Discussion
3.1. Impact of Salt Extraction on the Protein Purity and Yield of Benchtop and Scaled-Up ChPI in Comparison to PPI
3.2. Impact of Extraction Scale on the Color of PPI and ChPI Compared to Commercial Protein Ingredients
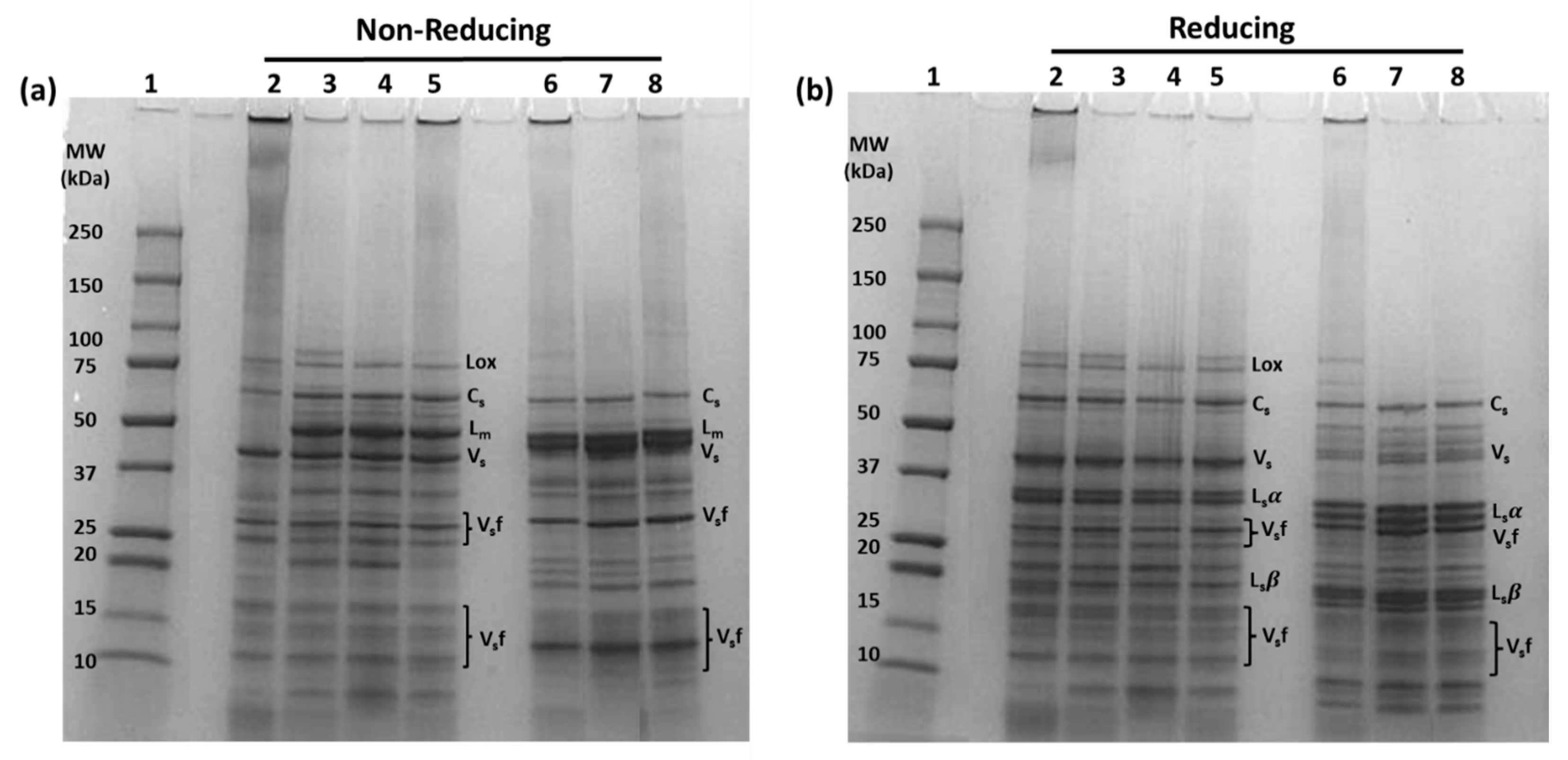
3.3. Protein Profile of the Benchtop and Scaled-Up Isolates in Comparison to Commercial Samples
3.4. Protein Denaturation State of PPI and ChPI as Impacted by Extraction Scale and in Comparison to Commercial Protein Ingredients
3.5. Protein Surface Properties of PPI and ChPI as Impacted by Extraction Scale and in Comparison to Commercial Protein Ingredients
3.6. Protein Solubility of PPI and ChPI as Impacted by Extraction Scale and in Comparison to Commercial Protein Ingredients
3.7. Gelation of PPI and ChPI as Impacted by Extraction Scale and in Comparison to Commercial Protein Ingredients
3.8. Emulsification Properties of PPI and ChPI as Impacted by Extraction Scale and in Comparison to Commercial Protein Ingredients
4. Conclusions
Author Contributions
Funding
Institutional Review Board Statement
Informed Consent Statement
Data Availability Statement
Conflicts of Interest
References
- Fact.MR.—Plant Protein Ingredient Market Size, Trend Analysis & Competition Tracking by Product Type (Soy Protein, Wheat Protein, Pea Protein), by Form (Isolate, Concentrate), by Application (Clinical, Sports Nutrition), by Region—Global Insights to 2031. Available online: https://www.factmr.com/report/4507/plant-protein-ingredient-market (accessed on 11 December 2022).
- Pea Protein Market Size & Share—Industry Report, 2021–2028. Available online: https://www.grandviewresearch.com/industry-analysis/pea-protein-market (accessed on 11 December 2022).
- Chickpea Protein Market. Available online: https://www.futuremarketinsights.com/reports/chickpea-protein-market (accessed on 11 December 2022).
- Lu, Z.X.; He, J.F.; Zhang, Y.C.; Bing, D.J. Composition, Physicochemical Properties of Pea Protein and Its Application in Functional Foods. Crit. Rev. Food Sci. Nutr. 2019, 60, 2593–2605. [Google Scholar] [CrossRef]
- Schreuders, F.K.G.; Dekkers, B.L.; Bodnár, I.; Erni, P.; Boom, R.M.; van der Goot, A.J. Comparing Structuring Potential of Pea and Soy Protein with Gluten for Meat Analogue Preparation. J. Food Eng. 2019, 261, 32–39. [Google Scholar] [CrossRef]
- Withana-Gamage, T.S.; Wanasundara, J.P.; Pietrasik, Z.; Shand, P.J. Physicochemical, Thermal and Functional Characterisation of Protein Isolates from Kabuli and Desi Chickpea (Cicer arietinum L.): A Comparative Study with Soy (Glycine Max) and Pea (Pisum sativum L.). J. Sci. Food Agric. 2011, 91, 1022–1031. [Google Scholar] [CrossRef] [PubMed]
- Hansen, L.; Bu, F.; Ismail, B.P. Structure-Function Guided Extraction and Scale-up of Pea Protein Isolate Production. Foods 2022, 11, 3773. [Google Scholar] [CrossRef] [PubMed]
- Bu, F.; Nayak, G.; Bruggeman, P.; Annor, G.; Ismail, B.P. Impact of Plasma Reactive Species on the Structure and Functionality of Pea Protein Isolate. Food Chem. 2022, 371, 131135. [Google Scholar] [CrossRef]
- Karaca, A.C.; Low, N.; Nickerson, M. Emulsifying Properties of Chickpea, Faba Bean, Lentil and Pea Proteins Produced by Isoelectric Precipitation and Salt Extraction. Food Res. Int. 2011, 44, 2742–2750. [Google Scholar] [CrossRef]
- Taherian, A.R.; Mondor, M.; Labranche, J.; Drolet, H.; Ippersiel, D.; Lamarche, F. Comparative Study of Functional Properties of Commercial and Membrane Processed Yellow Pea Protein Isolates. Food Res. Int. 2011, 44, 2505–2514. [Google Scholar] [CrossRef]
- Cui, L.; Bandillo, N.; Wang, Y.; Ohm, J.-B.; Chen, B.; Rao, J. Functionality and Structure of Yellow Pea Protein Isolate as Affected by Cultivars and Extraction PH. Food Hydrocoll. 2020, 108, 106008. [Google Scholar] [CrossRef]
- Paredes-López, O.; Ordorica-Falomir, C.; Olivares-Vázquez, M.R. Chickpea Protein Isolates: Physicochemical, Functional and Nutritional Characterization. J. Food Sci. 1991, 56, 726–729. [Google Scholar] [CrossRef]
- Stone, A.K.; Karalash, A.; Tyler, R.T.; Warkentin, T.D.; Nickerson, M.T. Functional Attributes of Pea Protein Isolates Prepared Using Different Extraction Methods and Cultivars. Food Res. Int. 2015, 76, 31–38. [Google Scholar] [CrossRef]
- Yang, J.; Zamani, S.; Liang, L.; Chen, L. Extraction Methods Significantly Impact Pea Protein Composition, Structure and Gelling Properties. Food Hydrocoll. 2021, 117, 106678. [Google Scholar] [CrossRef]
- Ladjal-Ettoumi, Y.; Boudries, H.; Chibane, M.; Romero, A. Pea, Chickpea and Lentil Protein Isolates: Physicochemical Characterization and Emulsifying Properties. Food Biophys. 2016, 11, 43–51. [Google Scholar] [CrossRef]
- Chang, L.; Lan, Y.; Bandillo, N.; Ohm, J.-B.; Chen, B.; Rao, J. Plant Proteins from Green Pea and Chickpea: Extraction, Fractionation, Structural Characterization and Functional Properties. Food Hydrocoll. 2022, 123, 107165. [Google Scholar] [CrossRef]
- Ghribi, A.M.; Gafsi, I.M.; Blecker, C.; Danthine, S.; Attia, H.; Besbes, S. Effect of Drying Methods on Physico-Chemical and Functional Properties of Chickpea Protein Concentrates. J. Food Eng. 2015, 165, 179–188. [Google Scholar] [CrossRef]
- Mondor, M.; Aksay, S.; Drolet, H.; Roufik, S.; Farnworth, E.; Boye, J.I. Influence of Processing on Composition and Antinutritional Factors of Chickpea Protein Concentrates Produced by Isoelectric Precipitation and Ultrafiltration. Innov. Food Sci. Emer. Technol. 2009, 10, 342–347. [Google Scholar] [CrossRef]
- Duong-Ly, K.C.; Gabelli, S.B. Salting out of Proteins Using Ammonium Sulfate Precipitation. Methods Enzymol. 2014, 541, 85–94. [Google Scholar] [CrossRef]
- Zhou, H.-X. Interactions of Macromolecules with Salt Ions: An Electrostatic Theory for the Hofmeister Effect. Proteins Struct. Funct. Bioinforma. 2005, 61, 69–78. [Google Scholar] [CrossRef]
- Boyle, C.; Hansen, L.; Hinnenkamp, C.; Ismail, B.P. Emerging Camelina Protein: Extraction, Modification, and Structural/Functional Characterization. J. Am. Oil Chem. Soc. 2018, 95, 1049–1062. [Google Scholar] [CrossRef]
- Šalplachta, J.; Hohnová, B. Pressurized hot water extraction of proteins from Sambucus nigra L. branches. Ind. Crops Prod. 2017, 108, 312–315. [Google Scholar] [CrossRef]
- Laemmli, U.K. Cleavage of Structural Proteins during the Assembly of the Head of Bacteriophage T4. Nature 1970, 227, 680–685. [Google Scholar] [CrossRef]
- Deak, N.A.; Murphy, P.A.; Johnson, L.A. Effects of NaCl concentration on salting-in and dilution during salting-out on soy protein fractionation. J. Food Sci. 2006, 71, C247–C254. [Google Scholar] [CrossRef]
- Espinosa-Ramírez, J.; Serna-Saldívar, S.O. Wet-milled chickpea coproduct as an alternative to obtain protein isolates. LWT 2019, 115, 108468. [Google Scholar] [CrossRef]
- Boye, J.I.; Aksay, S.; Roufik, S.; Ribéreau, S.; Mondor, M.; Farnworth, E.; Rajamohamed, S.H. Comparison of the functional properties of pea, chickpea and lentil protein concentrates processed using ultrafiltration and isoelectric precipitation techniques. Food Res. Int. 2010, 43, 537–546. [Google Scholar] [CrossRef]
- Huang, J.; Schols, H.A.; van Soest, J.J.; Jin, Z.; Sulmann, E.; Voragen, A.G. Physicochemical properties and amylopectin chain profiles of cowpea, chickpea and yellow pea starches. Food Chem. 2007, 101, 1338–1345. [Google Scholar] [CrossRef]
- Dalgetty, D.D.; Baik, B.K. Isolation and characterization of cotyledon fibers from peas, lentils, and chickpeas. Cereal Chem. 2003, 80, 310–315. [Google Scholar] [CrossRef]
- Tian, S.; Kyle, W.S.; Small, D.M. Pilot scale isolation of proteins from field peas (Pisum sativum L.) for use as food ingredients. Int. J. Food Sci. Technol. 1999, 34, 33–39. [Google Scholar] [CrossRef]
- Zhao, Q.; Xiong, H.; Selomulya, C.; Chen, X.D.; Huang, S.; Ruan, X.; Zhou, Q.; Sun, W. Effects of Spray Drying and Freeze Drying on the Properties of Protein Isolate from Rice Dreg Protein. Food Bioprocess Technol. 2012, 6, 1759–1769. [Google Scholar] [CrossRef]
- Liu, C.; Damodaran, S.; Heinonen, M. Effects of Microbial Transglutaminase Treatment on Physiochemical Properties and Emulsifying Functionality of Faba Bean Protein Isolate. LWT 2019, 99, 396–403. [Google Scholar] [CrossRef]
- Lam, A.C.Y.; Can Karaca, A.; Tyler, R.T.; Nickerson, M.T. Pea Protein Isolates: Structure, Extraction, and Functionality. Food Rev. Int. 2018, 34, 126–147. [Google Scholar] [CrossRef]
- Gao, Z.; Shen, P.; Lan, Y.; Cui, L.; Ohm, J.-B.; Chen, B.; Rao, J. Effect of Alkaline Extraction PH on Structure Properties, Solubility, and Beany Flavor of Yellow Pea Protein Isolate. Food Res. Int. 2020, 131, 109045. [Google Scholar] [CrossRef]
- Shand, P.J.; Ya, H.; Pietrasik, Z.; Wanasundara, P.K.J.P.D. Physicochemical and Textural Properties of Heat-Induced Pea Protein Isolate Gels. Food Chem. 2007, 102, 1119–1130. [Google Scholar] [CrossRef]
- Shevkani, K.; Singh, N.; Kaur, A.; Rana, J.C. Structural and Functional Characterization of Kidney Bean and Field Pea Protein Isolates: A Comparative Study. Food Hydrocoll. 2015, 43, 679–689. [Google Scholar] [CrossRef]
- Chang, Y.-W.; Alli, I.; Molina, A.T.; Konishi, Y.; Boye, J.I. Isolation and Characterization of Chickpea (Cicer arietinum L.) Seed Protein Fractions. Food Bioprocess Technol. 2012, 5, 618–625. [Google Scholar] [CrossRef]
- Wang, X.; Gao, W.; Zhang, J.; Zhang, H.; Li, J.; He, X.; Ma, H. Subunit, Amino Acid Composition and in Vitro Digestibility of Protein Isolates from Chinese Kabuli and Desi Chickpea (Cicer arietinum L.) Cultivars. Food Res. Int. 2010, 43, 567–572. [Google Scholar] [CrossRef]
- Sánchez-Vioque, R.; Clemente, A.; Vioque, J.; Bautista, J.; Millán, F. Protein Isolates from Chickpea (Cicer arietinum L.): Chemical Composition, Functional Properties and Protein Characterization. Food Chem. 1999, 64, 237–243. [Google Scholar] [CrossRef]
- Papalamprou, E.M.; Doxastakis, G.I.; Biliaderis, C.G.; Kiosseoglou, V. Influence of Preparation Methods on Physicochemical and Gelation Properties of Chickpea Protein Isolates. Food Hydrocoll. 2009, 23, 337–343. [Google Scholar] [CrossRef]
- Pelgrom, P.J.M.; Vissers, A.M.; Boom, R.M.; Schutyser, M.A.I. Dry Fractionation for Production of Functional Pea Protein Concentrates. Food Res. Int. 2013, 53, 232–239. [Google Scholar] [CrossRef]
- Zhu, H.-G.; Tang, H.-Q.; Cheng, Y.-Q.; Li, Z.-G.; Tong, L.-T. Potential of Preparing Meat Analogue by Functional Dry and Wet Pea (Pisum Sativum) Protein Isolate. LWT 2021, 148, 111702. [Google Scholar] [CrossRef]
- Alavi, F.; Chen, L.; Wang, Z.; Emam-Djomeh, Z. Consequences of Heating under Alkaline pH Alone or in the Presence of Maltodextrin on Solubility, Emulsifying and Foaming Properties of Faba Bean Protein. Food Hydrocoll. 2021, 112, 106335. [Google Scholar] [CrossRef]
- Arogundade, L.A.; Mu, T.; Zhang, M.; Khan, N.M. Impact of Dextran Conjugation on Physicochemical and Gelling Properties of Sweet Potato Protein through Maillard Reaction. Int. J. Food Sci. Technol. 2021, 56, 1661–1670. [Google Scholar] [CrossRef]
- Liu, Y.; Wang, D.; Wang, J.; Yang, Y.; Zhang, L.; Li, J.; Wang, S. Functional Properties and Structural Characteristics of Phosphorylated Pea Protein Isolate. Int. J. Food Sci. Technol. 2020, 55, 2002–2010. [Google Scholar] [CrossRef]
- Mession, J.-L.; Sok, N.; Assifaoui, A.; Saurel, R. Thermal Denaturation of Pea Globulins (Pisum sativum L.)—Molecular Interactions Leading to Heat-Induced Protein Aggregation. J. Agric. Food Chem. 2013, 61, 1196–1204. [Google Scholar] [CrossRef] [PubMed]
- Li, S.; Wei, Y.; Fang, Y.; Zhang, W.; Zhang, B. DSC study on the thermal properties of soybean protein isolates/corn starch mixture. J. Therm. Anal. Calorim. 2014, 115, 1633–1638. [Google Scholar] [CrossRef]
- Kaur, M.; Singh, N. Characterization of protein isolates from different Indian chickpea (Cicer arietinum L.) cultivars. Food Chem. 2007, 102, 366–374. [Google Scholar] [CrossRef]
- Wagner, J.R.; AÑON, M.C. Influence of denaturation, hydrophobicity and sulfhydryl content on solubility and water absorbing capacity of soy protein isolates. J. Food Sci. 1990, 55, 765–770. [Google Scholar] [CrossRef]
- Wagner, J.R.; Sorgentini, D.A.; Añón, M.C. Relation between solubility and surface hydrophobicity as an indicator of modifications during preparation processes of commercial and laboratory-prepared soy protein isolates. J. Agric. Food Chem. 2000, 48, 3159–3165. [Google Scholar] [CrossRef]
- Lam, A.C.Y.; Warkentin, T.D.; Tyler, R.T.; Nickerson, M.T. Physicochemical and functional properties of protein isolates obtained from several pea cultivars. Cereal Chem. 2017, 94, 89–97. [Google Scholar] [CrossRef]
- Riblett, A.L.; Herald, T.J.; Schmidt, K.A.; Tilley, K.A. Characterization of β-conglycinin and glycinin soy protein fractions from four selected soybean genotypes. J. Agric. Food Chem. 2001, 49, 4983–4989. [Google Scholar] [CrossRef]
- Carbonaro, M.; Cappelloni, M.; Nicoli, S.; Lucarini, M.; Carnovale, E. Solubility−digestibility relationship of legume proteins. J. Agric. Food Chem. 1997, 45, 3387–3394. [Google Scholar] [CrossRef]
- Ashogbon, A.O.; Akintayo, E.T.; Oladebeye, A.O.; Oluwafemi, A.D.; Akinsola, A.F.; Imanah, O.E. Developments in the Isolation, Composition, and Physicochemical Properties of Legume Starches. Crit. Rev. Food Sci. Nutr. 2020, 61, 2938–2959. [Google Scholar] [CrossRef]
- Cai, R.; McCurdy, A.; Baik, B.K. Textural property of 6 legume curds in relation to their protein constituents. J. Food Sci. 2002, 67, 1725–1730. [Google Scholar] [CrossRef]
- Donmez, D.; Pinho, L.; Patel, B.; Desam, P.; Campanella, O.H. Characterization of starch–water interactions and their effects on two key functional properties: Starch gelatinization and retrogradation. Curr. Opin. Food Sci. 2021, 39, 103–109. [Google Scholar] [CrossRef]




| Samples | Protein (%) | Ash (%) | Color | |||
|---|---|---|---|---|---|---|
| L * | a * | b * | E 1 | |||
| cSPI | 90.1 d2 | 4.16 d | 86.7 e | −0.23 e | 14.3 d | |
| cPPI | 79.5 e | 5.61 a | 86.7 e | 0.51 c | 17.3 b | |
| cPPC | 52.4 h | 5.14 bc | 92.2 b | −1.21 g | 13.7 de | |
| PPI | 92.9 b | 2.14 e | 84.7 f | 1.07 b | 19.4 a | 3.00 B3 | 
| SU PPI | 90.9 d | 2.39 e | 88.4 d | 0.01 d | 12.5 f | 5.04 A | 
| cChPC | 56.4 f | 5.27 ab | 92.9 a | −0.62 f | 9.05 g | |
| ChPI | 91.9 c | 4.79 c | 85.2 f | 2.00 a | 15.2 c | 10.20 α4 | 
| SU ChPI | 94.0 a | 2.14 e | 90.9 c | −1.02 g | 13.5 de | 4.91 β | 
| Samples | Denaturation Temperature and Enthalpy | Surface Properties | |||
|---|---|---|---|---|---|
| Denaturation Temperature (Td) | Total Enthalpy of Denaturation (ΔH) | Surface Hydrophobicity | Surface Charge | ||
| °C | J g−1 | RFI | mV | ||
| -conglycinin | Glycinin | ||||
| cSPI | *1 | * | * | 10,820.3 b | −41.3 a | 
| Vicilin (7S) | Legumin (11S) | ||||
| cPPI | * | * | * | 13,821.7 a | −30.2 bc | 
| cPPC | 85.5 a2 | 94.4 b | 2.30 f | 7895.7 cd | −27.9 cd | 
| PPI | 82.6 b | 88.1 e | 10.9 b | 6564.4 d | −26.2 d | 
| SU PPI | 82.6 b | 89.9 d | 5.45 d | 14,199.7 a | −27.2 d | 
| cChPC | 81.5 c | 99.6 a | 3.77 e | 13,317.0 a | −25.7 d | 
| ChPI | 81.6 c | 89.9 d | 16.8 a | 4491.1 e | −30.8 b | 
| SU ChPI | 80.5 d | 90.8 c | 8.61 c | 8973.3 c | −30.9 b | 
| Samples | Percent Protein Solubility (5% Protein) | |||
|---|---|---|---|---|
| pH 7.0 | pH 3.4 | |||
| Non-Heated | Heated 1 | Non-Heated | Heated | |
| cSPI | 66.80 d2 | 78.5 b*3 | 24.9 c | 39.1 b* | 
| cPPI | 29.5 e | 57.1 e* | 11.6 d | 17.5 c* | 
| cPPC | 84.3 b | 67.4 cd* | 23.8 c | 20.2 c | 
| PPI | 84.82 b | 57.4 e* | 82.7 a | 85.2 a* | 
| SU PPI | 68.92 cd | 69.9 c | 71.7 b | 80.3 a* | 
| cChPC | 70.7 c | 66.7 d* | 12.7 d | 16.2 c* | 
| ChPI | 96.2 a | 94.1 a | 26.1 c | 34.5 b* | 
| SU ChPI | 94.3 a | 92.5 a | 71.5 b | 82.8 a* | 
| Disclaimer/Publisher’s Note: The statements, opinions and data contained in all publications are solely those of the individual author(s) and contributor(s) and not of MDPI and/or the editor(s). MDPI and/or the editor(s) disclaim responsibility for any injury to people or property resulting from any ideas, methods, instructions or products referred to in the content. | 
© 2023 by the authors. Licensee MDPI, Basel, Switzerland. This article is an open access article distributed under the terms and conditions of the Creative Commons Attribution (CC BY) license (https://creativecommons.org/licenses/by/4.0/).
Share and Cite
Yaputri, B.P.; Bu, F.; Ismail, B.P. Salt Solubilization Coupled with Membrane Filtration-Impact on the Structure/Function of Chickpea Compared to Pea Protein. Foods 2023, 12, 1694. https://doi.org/10.3390/foods12081694
Yaputri BP, Bu F, Ismail BP. Salt Solubilization Coupled with Membrane Filtration-Impact on the Structure/Function of Chickpea Compared to Pea Protein. Foods. 2023; 12(8):1694. https://doi.org/10.3390/foods12081694
Chicago/Turabian StyleYaputri, Brigitta P., Fan Bu, and Baraem P. Ismail. 2023. "Salt Solubilization Coupled with Membrane Filtration-Impact on the Structure/Function of Chickpea Compared to Pea Protein" Foods 12, no. 8: 1694. https://doi.org/10.3390/foods12081694
APA StyleYaputri, B. P., Bu, F., & Ismail, B. P. (2023). Salt Solubilization Coupled with Membrane Filtration-Impact on the Structure/Function of Chickpea Compared to Pea Protein. Foods, 12(8), 1694. https://doi.org/10.3390/foods12081694
 
        


 
       