Effects of Partial Replacement of NaCl with KCl on Protein Properties and Quality Attributes of Lightly Salted Tilapias Fillets
Abstract
1. Introduction
2. Materials and Methods
2.1. Sample Preparation
2.2. Measurement of Moisture Content
2.3. Measurement of Yield
2.4. Measurement of the Cooking Loss and the Centrifugal Water Loss
2.5. Measurement of pH
2.6. Texture Profile Analysis (TPA)
2.7. Color Analysis
2.8. Sensory Evaluation
2.9. Preparation of Myofibrillar Proteins
2.10. Measurement of Proteolysis Index (PI)
2.11. SDS-PAGE
2.12. Measurement of Carbonyl Content
2.13. Measurement of Total Sulfhydryl Groups and Active Sulfhydryl Groups Content
2.14. Measurement of Proteins Surface Hydrophobicity
2.15. Measurement of Secondary Structure Changes in Myofibrillar Protein
2.16. Statistical Analysis
3. Results and Discussion
3.1. Changes in pH with Different KCl Replacements of Lightly Salted Tilapias Fillets
3.2. Changes in Myofibrillar Protein Solubility with Different KCl Replacements of Lightly Salted Tilapias Fillets
3.3. Oxidative Stability with Different KCl Replacements of Lightly Salted Tilapias Fillets
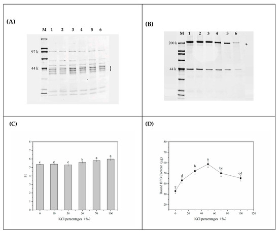
3.4. Protein Structural Changes with Different KCl Replacements of Lightly Salted Tilapias Fillets
3.5. Quality Changes with Different KCl Replacements of Lightly Salted Tilapias Fillets
3.6. Relationship between Protein Properties and Quality Attributes with Different KCl Replacements of Lightly Salted Tilapias Fillets
4. Conclusions
Author Contributions
Funding
Data Availability Statement
Conflicts of Interest
References
- Rybicka, I.; Gonçalves, A.; Oliveira, H.; Marques, A.; Nunes, M.L. Salt reduction in seafood—A review. Food Control 2022, 135, 108809. [Google Scholar] [CrossRef]
- Inguglia, E.S.; Zhang, Z.H.; Tiwari, B.K.; Kerry, J.P.; Burgess, C.M. Salt reduction strategies in processed meat products—A review. Trends Food Sci. Technol. 2017, 59, 70–78. [Google Scholar] [CrossRef]
- Oberleithner, H.; De Wardener, H.E. Sodium: A Wolf in Sheep’s Clothing. Blood Purif. 2011, 31, 82–85. [Google Scholar] [CrossRef] [PubMed]
- Rybicka, I.; Nunes, M.L. Benefit and risk assessment of replacing of sodium chloride by other salt/substances in industrial seafood products. EFSA J. 2022, 20, e200420. [Google Scholar] [CrossRef]
- Gomes, M.D.A.; Kato, L.S.; Carvalho, A.P.A.; Almeida, A.E.C.C.; Conte-Junior, C.A. Sodium replacement on fish meat products—A systematic review of microbiological, physicochemical and sensory effects. Trends Food Sci. Technol. 2021, 118, 639–657. [Google Scholar] [CrossRef]
- Aaron, K.J.; Sanders, P.W. Role of Dietary Salt and Potassium Intake in Cardiovascular Health and Disease: A Review of the Evidence. Mayo Clin. Proc. 2013, 88, 987–995. [Google Scholar] [CrossRef] [PubMed]
- Valle-Delgado, J.J.; Molina-Bolivar, J.A.; Galisteo-Gonzalez, F.; Galvez-Ruiz, M.J. Evidence of hydration forces between proteins. Curr. Opin. Colloid Interface Sci. 2011, 16, 572–578. [Google Scholar] [CrossRef]
- Pretorius, B.; Schonfeldt, H.C. The contribution of processed pork meat products to total salt intake in the diet. Food Chem. 2018, 238, 139–145. [Google Scholar] [CrossRef]
- Ooizumi, T.; Matsukawa, M.; Nasu, R. Quality control of processed seafood from fillet. Nippon Suisan Gakkaishi 2021, 87, 562. [Google Scholar] [CrossRef]
- Hirata, M.; Matsukawa, M.; Nasu, R. Effect of dehydration temperature on changes in taste components and myofibrillar protein in muscle of salted willowy flounder. Nippon Suisan Gakkaishi 2017, 83, 616–624. [Google Scholar] [CrossRef]
- Ertbjerg, P.; Puolanne, E. Muscle structure, sarcomere length and influences on meat quality: A review. Meat Sci. 2017, 132, 139–152. [Google Scholar] [CrossRef]
- Molina-Bolivar, J.A.; Galisteo-Gonzalez, F.; Hidalgo-Alvarez, R. The role played by hydration forces in the stability of protein-coated particles: Non-classical DLVO behaviour. Colloids Surf. B-Biointerfaces 1999, 14, 3–17. [Google Scholar] [CrossRef]
- Barbosa, P.T.; Santos, I.C.V.; Ferreira, V.C.S.; Fragoso, S.P.; Araujo, I.B.S.; Costa, A.C.V.; Araujo, L.C.; Silva, F.A.P. Physicochemical properties of low sodium goat kafta. LWT Food Sci. Technol. 2017, 76, 314–319. [Google Scholar] [CrossRef]
- Zhang, D.; Li, H.J.; Emara, A.M.; Wang, Z.F.; Chen, X.S.; He, Z.F. Study on the mechanism of KCl replacement of NaCl on the water retention of salted pork. Food Chem. 2020, 332, 127414. [Google Scholar] [CrossRef] [PubMed]
- Song, D.H.; Ham, Y.K.; Ha, J.H.; Kim, Y.R.; Chin, K.B.; Kim, H.W. Impacts of pre-rigor salting with KCl on technological properties of ground chicken breast. Poult. Sci. 2020, 99, 597–603. [Google Scholar] [CrossRef] [PubMed]
- Gregor, A.; Kostrzewska, E.; Godorowska, W. Determination of serum proteins in the presence of dextran by means of the biuret reaction. Infusionsther. Klin. Ernahr. 1977, 4, 48–50. [Google Scholar] [CrossRef]
- Wu, Y.; Zhang, Y.Y.; Long, M.; Tang, J.; Yu, X.; Wang, J.M.; Zhang, J.H. Proteolysis and sensory properties of dry-cured bacon as affected by the partial substitution of sodium chloride with potassium chloride. Meat Sci. 2014, 96, 1325–1331. [Google Scholar] [CrossRef]
- Jiang, Q.Q.; Nakazawa, N.; Hu, Y.Q.; Wang, X.C.; Osako, K.; Okazaki, E. Evolution of tissue microstructure, protein properties, and oxidative stability of salted bigeye tuna (Thunnus obesus) meat during frozen storage. LWT Food Sci. Technol. 2021, 149, 111848. [Google Scholar] [CrossRef]
- Chen, X.S.; Luo, J.; Lou, A.H.; Wang, Y.; Yang, D.W.; Shen, Q.W. Duck breast muscle proteins, free fatty acids and volatile compounds as affected by curing methods. Food Chem. 2021, 338, 128–138. [Google Scholar] [CrossRef]
- Zheng, J.B.; Han, Y.R.; Ge, G.; Zhao, M.M.; Sun, W.Z. Partial substitution of NaCl with chloride salt mixtures: Impact on oxidative characteristics of meat myofibrillar protein and their rheological properties. Food Hydrocoll. 2019, 96, 36–42. [Google Scholar] [CrossRef]
- Wu, Y.Y.; Xiang, X.L.; Liu, L.; An, F.P.; Geng, F.; Huang, Q.; Wei, S.F. Ultrasound-assisted succinylation comprehensively improved functional properties of egg white protein. LWT Food Sci. Technol. 2022, 171, 114155. [Google Scholar] [CrossRef]
- Guo, X.; Wang, Y.Q.; Lu, S.L.; Wang, J.Y.; Fu, H.H.; Gu, B.Y.; Lyu, B.; Wang, Q.L. Changes in proteolysis, protein oxidation, flavor, color and texture of dry-cured mutton ham during storage. LWT Food Sci. Technol. 2021, 149, 111860. [Google Scholar] [CrossRef]
- Hand, L.W.; Terrell, R.N.; Smith, G.C. Effects of complete or partial replacement of sodium-chloride on processing and sensory properties of hams. J. Food Sci. 1982, 47, 1776–1778. [Google Scholar] [CrossRef]
- Coon, F.P.; Calkins, C.R.; Mandigo, R.W. Pre- and post-rigor sectioned and formed beef steaks manufactured with different salt levels, mixing times and tempering times. J. Food Sci. 1983, 48, 1731–1734. [Google Scholar] [CrossRef]
- Jiang, Q.Q.; Nakazawa, N.; Hu, Y.Q.; Osako, K.; Okazaki, E. Microstructural modification and its effect on the quality attributes of frozen-thawed bigeye tuna (Thunnus obesus) meat during salting. LWT Food Sci. Technol. 2019, 100, 213–219. [Google Scholar] [CrossRef]
- Petsev, D.N.; Vekilov, P.G. Evidence for non-DLVO hydration interactions in solutions of the protein apoferritin. Phys. Rev. Lett. 2000, 84, 1339–1342. [Google Scholar] [CrossRef] [PubMed]
- Du, H.Z.; Li, X.G.; Wang, Q.; Liu, Q.; Chen, Q.; Kong, B.H. Influence of Partial Replacements of NaCl by KCl on Quality Characteristics and the Heterocyclic Aromatic Amine Contents of Bacon. Foods 2022, 11, 143. [Google Scholar] [CrossRef] [PubMed]
- Nyaisaba, B.M.; Liu, X.X.; Zhu, S.C.; Fan, X.J.; Sun, L.L.; Hatab, S.; Miao, W.H.; Chen, M.L.; Deng, S.G. Effect of hydroxyl-radical on the biochemical properties and structure of myofibrillar protein from Alaska pollock (Theragra chalcogramma). LWT Food Sci. Technol. 2019, 106, 15–21. [Google Scholar] [CrossRef]
- Zhuang, S.; Liu, Y.Y.; Gao, S.; Tan, Y.Q.; Hong, H.; Luo, Y.K. Mechanisms of fish protein degradation caused by grass carp spoilage bacteria: A bottom-up exploration from the molecular level, muscle microstructure level, to related quality changes. Food Chem. 2023, 403, 134309. [Google Scholar] [CrossRef] [PubMed]
- Armenteros, M.; Aristoy, M.C.; Barat, J.M.; Toldra, F. Biochemical changes in dry-cured loins salted with partial replacements of NaCl by KCl. Food Chem. 2009, 117, 627–633. [Google Scholar] [CrossRef]
- Koutina, G.; Jongberg, S.; Skibsted, L.H. Protein and Lipid Oxidation in Parma Ham during Production. J. Agric. Food Chem. 2012, 60, 9737–9745. [Google Scholar] [CrossRef] [PubMed]
- Zhao, T.; Yang, B.; Ji, S.Y.; Luo, J.Y.; Liu, Y.; Zhong, Y.H.; Lu, B.Y. Effects of the structure and interaction force of phytosterol/whey protein isolate self-assembly complex on phytosterol digestion properties. Food Chem. 2023, 403, 134311. [Google Scholar] [CrossRef] [PubMed]
- Yang, J.Y.; Xiong, Y.L. Comparative time-course of lipid and myofibrillar protein oxidation in different biphasic systems under hydroxyl radical stress. Food Chem. 2018, 243, 231–238. [Google Scholar] [CrossRef]
- Tao, Y.M.; Ma, L.; Li, D.D.; Tian, Y.T.; Liu, J.; Liu, D.H. Proteomics analysis to investigate the effect of oxidized protein on meat color and water holding capacity in Tan mutton under low temperature storage. LWT Food Sci. Technol. 2021, 146, 111429. [Google Scholar] [CrossRef]
- Viriyarattanasak, C.; Hamada-Sato, N.; Watanabe, M.; Kajiwara, K.; Suzuki, T. Equations for spectrophoto metric determination of relative concentrations of myoglobin derivatives in aqueous tuna meat extracts. Food Chem. 2011, 127, 656–661. [Google Scholar] [CrossRef]
- Mariutti, L.R.B.; Bragagnolo, N. Influence of salt on lipid oxidation in meat and seafood products: A review. Food Res. Int. 2017, 94, 90–100. [Google Scholar] [CrossRef]
- Leng, X.J.; Deng, S.L.; Zhang, L.; Huang, M.; Zhou, G.H. Effect of high pressure brining on microstructure of chicken breast. Food Sci. 2015, 36, 99–103. [Google Scholar]
- Li, Y.; Lang, P.; Linke, W.A. Titin stiffness modifies the force-generating region of muscle sarcomeres. Sci. Rep. 2016, 6, 24492. [Google Scholar] [CrossRef]
- Wang, X.; Xia, M.Q.; Zhou, Y.H.; Wang, L.M.; Feng, X.L.; Yang, K.; Ma, J.L.; Li, Z.S.; Wang, L.; Sun, W.Q. Gel properties of myofibrillar proteins heated at different heating rates under a low-frequency magnetic field. Food Chem. 2020, 321, 126728. [Google Scholar] [CrossRef]
- Armenteros, M.; Aristoy, M.C.; Barat, J.M.; Toldra, F. Biochemical and sensory changes in dry-cured ham salted with partial replacements of NaCl by other chloride salts. Meat Sci. 2012, 90, 361–367. [Google Scholar] [CrossRef]
- Wu, H.Z.; Yan, W.J.; Zhuang, H.; Huang, M.M.; Zhao, J.Y.; Zhang, J.H. Oxidative stability and antioxidant enzyme activities of dry-cured bacons as affected by the partial substitution of NaCl with KCl. Food Chem. 2016, 201, 237–242. [Google Scholar] [CrossRef] [PubMed]





| KCl Percentages (%) | α-Helix (%) | β-Sheet (%) | β-Turn (%) | Random Coil (%) |
|---|---|---|---|---|
| 0% | 22.74 ± 0.29 a | 28.14 ± 0.13 d | 22.74 ± 0.29 a | 25.48 ± 1.15 c |
| 10% | 21.75 ± 0.94 a | 30.52 ± 1.12 c | 21.75 ± 0.74 a | 26.81 ± 0.35 cd |
| 30% | 20.22 ± 0.85 b | 31.08 ± 0.18 c | 20.22 ± 0.55 b | 27.02 ± 0.88 c |
| 50% | 20.14 ± 0.80 b | 31.35 ± 0.31 c | 20.14 ± 0.6 b | 28.64 ± 0.52 b |
| 70% | 19.45 ± 1.18 b | 32.58 ± 0.64 b | 19.67 ± 0.38 b | 29.83 ± 0.92 ab |
| 100% | 19.37 ± 0.21 b | 33.69 ± 0.56 a | 19.45 ± 1.11 b | 30.61 ± 0.42 a |
Disclaimer/Publisher’s Note: The statements, opinions and data contained in all publications are solely those of the individual author(s) and contributor(s) and not of MDPI and/or the editor(s). MDPI and/or the editor(s) disclaim responsibility for any injury to people or property resulting from any ideas, methods, instructions or products referred to in the content. |
© 2023 by the authors. Licensee MDPI, Basel, Switzerland. This article is an open access article distributed under the terms and conditions of the Creative Commons Attribution (CC BY) license (https://creativecommons.org/licenses/by/4.0/).
Share and Cite
Jing, L.; Xue, J.; Jiang, X.; Xiao, N.; Pan, H.; Li, J.; Wang, D.; Jiang, Q.; Shi, W. Effects of Partial Replacement of NaCl with KCl on Protein Properties and Quality Attributes of Lightly Salted Tilapias Fillets. Foods 2023, 12, 1184. https://doi.org/10.3390/foods12061184
Jing L, Xue J, Jiang X, Xiao N, Pan H, Li J, Wang D, Jiang Q, Shi W. Effects of Partial Replacement of NaCl with KCl on Protein Properties and Quality Attributes of Lightly Salted Tilapias Fillets. Foods. 2023; 12(6):1184. https://doi.org/10.3390/foods12061184
Chicago/Turabian StyleJing, Lunan, Jingqi Xue, Xin Jiang, Naiyong Xiao, Hao Pan, Jiarou Li, Dajun Wang, Qingqing Jiang, and Wenzheng Shi. 2023. "Effects of Partial Replacement of NaCl with KCl on Protein Properties and Quality Attributes of Lightly Salted Tilapias Fillets" Foods 12, no. 6: 1184. https://doi.org/10.3390/foods12061184
APA StyleJing, L., Xue, J., Jiang, X., Xiao, N., Pan, H., Li, J., Wang, D., Jiang, Q., & Shi, W. (2023). Effects of Partial Replacement of NaCl with KCl on Protein Properties and Quality Attributes of Lightly Salted Tilapias Fillets. Foods, 12(6), 1184. https://doi.org/10.3390/foods12061184

