Unravelling the Proteomic Profiles of Bovine Colostrum and Mature Milk Derived from the First and Second Lactations
Abstract
1. Introduction
2. Materials and Methods
2.1. Sample Information
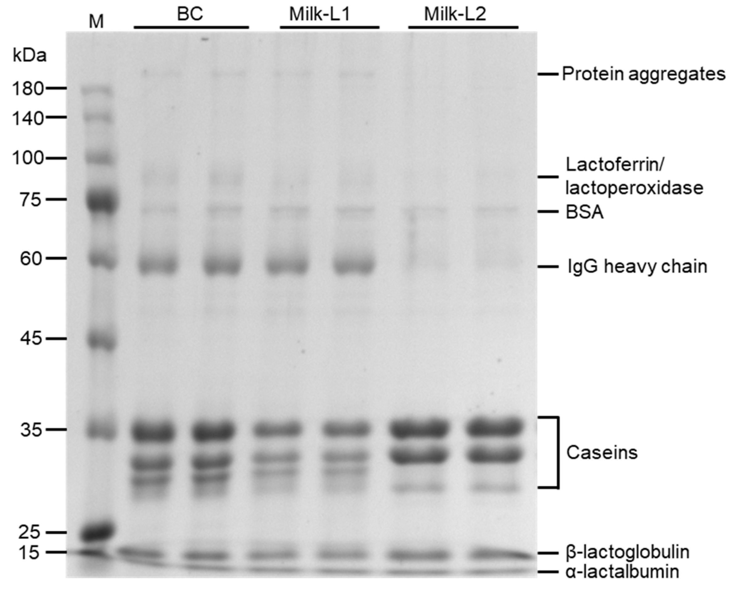
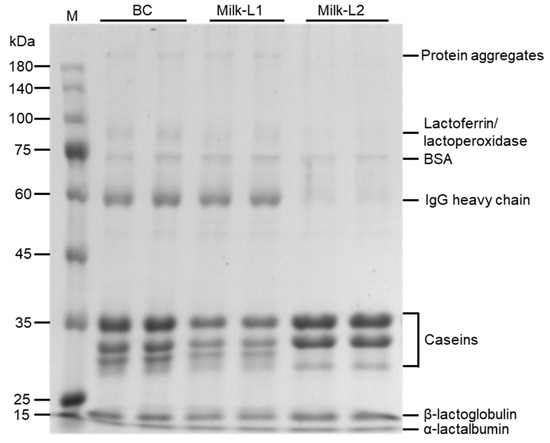
2.2. The Protein Composition Visualized Using SDS-PAGE
2.3. Mass Spectrometry-Based Proteomic Analysis
2.4. Multivariate Statistical Analyses
3. Results
3.1. The Distribution of Proteins in Bovine Colostrum and Mature Milk from the First and Second Lactations
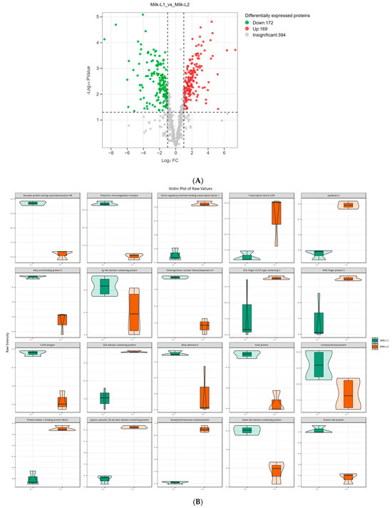
3.2. Multivariate Statistical Analyses of Bovine Colostrum and Mature Milk from the First and Second Lactations
3.3. Comparison of the Proteomic Profiles of Bovine Colostrum and Mature Milk from the First Lactation
3.4. Comparison of the Proteomic Profiles of Bovine Colostrum and Mature Milk from the Second Lactation
3.5. Comparison of the Proteomic Profiles of Mature Milk from the First and Second Lactations
4. Discussion
5. Conclusions
Author Contributions
Funding
Data Availability Statement
Acknowledgments
Conflicts of Interest
References
- Sangild, P.T.; Vonderohe, C.; Melendez Hebib, V.; Burrin, D.G. Potential Benefits of Bovine Colostrum in Pediatric Nutrition and Health. Nutrients 2021, 13, 2551. [Google Scholar] [CrossRef] [PubMed]
- McGrath, B.A.; Fox, P.F.; McSweeney, P.L.; Kelly, A.L. Composition and properties of bovine colostrum: A review. Dairy Sci. Technol. 2016, 96, 133–158. [Google Scholar] [CrossRef]
- Adams, C.; Sawh, F.; Green-Johnson, J.; Taggart, H.J.; Strap, J. Characterization of casein-derived peptide bioactivity: Differential effects on angiotensin-converting enzyme inhibition and cytokine and nitric oxide production. J. Dairy Sci. 2020, 103, 5805–5815. [Google Scholar] [CrossRef]
- Liao, Y.; Weber, D.; Xu, W.; Durbin-Johnson, B.P.; Phinney, B.S.; Lönnerdal, B. Absolute Quantification of Human Milk Caseins and the Whey/Casein Ratio during the First Year of Lactation. J. Proteome Res. 2017, 16, 4113–4121. [Google Scholar] [CrossRef]
- Shen, R.L.; Thymann, T.; Østergaard, M.V.; Støy, A.C.F.; Krych, Ł.; Nielsen, D.S.; Lauridsen, C.; Hartmann, B.; Holst, J.J.; Burrin, D.G. Early gradual feeding with bovine colostrum improves gut function and NEC resistance relative to infant formula in preterm pigs. Am. J. Physiol.-Gastrointest. Liver Physiol. 2015, 309, G310–G323. [Google Scholar] [CrossRef] [PubMed]
- Tacoma, R.; Gelsinger, S.; Lam, Y.; Scuderi, R.; Ebenstein, D.; Heinrichs, A.; Greenwood, S. Exploration of the bovine colostrum proteome and effects of heat treatment time on colostrum protein profile. J. Dairy Sci. 2017, 100, 9392–9401. [Google Scholar] [CrossRef]
- Christiansen, S.; Guo, M.; Kjelden, D. Chemical composition and nutrient profile of low molecular weight fraction of bovine colostrum. Int. Dairy J. 2010, 20, 630–636. [Google Scholar] [CrossRef]
- Masterson, H.K.; O’Callaghan, T.F.; O’Donovan, M.; Murphy, J.P.; Sugrue, K.; Owens, R.A.; Hickey, R.M. Relative quantitative proteomic profiling of bovine colostrum and transition milk at onset of lactation. Int. Dairy J. 2024, 148, 105804. [Google Scholar] [CrossRef]
- Tacoma, R.; Fields, J.; Ebenstein, D.B.; Lam, Y.-W.; Greenwood, S.L. Characterization of the bovine milk proteome in early-lactation Holstein and Jersey breeds of dairy cows. J. Proteom. 2016, 130, 200–210. [Google Scholar] [CrossRef]
- Boehmer, J.; Bannerman, D.; Shefcheck, K.; Ward, J. Proteomic analysis of differentially expressed proteins in bovine milk during experimentally induced Escherichia coli mastitis. J. Dairy Sci. 2008, 91, 4206–4218. [Google Scholar] [CrossRef]
- Jílek, F.; Rehak, D.; Volek, J.; Stipkova, M.; Nemcova, E.; Fiedlerová, M.; Rajmon, R.; Svestkova, D. Effect of herd, parity, stage of lactation and milk yield on urea concentration in milk. Czech J. Anim. Sci. 2006, 51, 510. [Google Scholar] [CrossRef]
- Cattaneo, L.; Piccioli-Cappelli, F.; Minuti, A.; Trevisi, E. Metabolic and physiological adaptations to first and second lactation in Holstein dairy cows. J. Dairy Sci. 2023, 106, 3559–3575. [Google Scholar] [CrossRef] [PubMed]
- OSTERSEN, S.; FOLDAGER, J.; HERMANSEN, J.E. Effects of stage of lactation, milk protein genotype and body condition at calving on protein composition and renneting properties of bovine milk. J. Dairy Res. 1997, 64, 207–219. [Google Scholar] [CrossRef] [PubMed]
- Stelwagen, K.; Carpenter, E.; Haigh, B.; Hodgkinson, A.; Wheeler, T.T. Immune components of bovine colostrum and milk1. J. Anim. Sci. 2009, 87, 3–9. [Google Scholar] [CrossRef]
- Bantscheff, M.; Lemeer, S.; Savitski, M.M.; Kuster, B. Quantitative mass spectrometry in proteomics: Critical review update from 2007 to the present. Anal. Bioanal. Chem. 2012, 404, 939–965. [Google Scholar] [CrossRef]
- Kruger, N.J. The Bradford method for protein quantitation. In The Protein Protocols Handbook; Humana Press: Totowa, NJ, USA, 2009; pp. 17–24. [Google Scholar]
- Tsou, C.-C.; Avtonomov, D.; Larsen, B.; Tucholska, M.; Choi, H.; Gingras, A.-C.; Nesvizhskii, A.I. DIA-Umpire: Comprehensive computational framework for data-independent acquisition proteomics. Nat. Methods 2015, 12, 258–264. [Google Scholar] [CrossRef] [PubMed]
- Kong, A.T.; Leprevost, F.V.; Avtonomov, D.M.; Mellacheruvu, D.; Nesvizhskii, A.I. MSFragger: Ultrafast and comprehensive peptide identification in mass spectrometry–based proteomics. Nat. Methods 2017, 14, 513–520. [Google Scholar] [CrossRef]
- Tyanova, S.; Temu, T.; Sinitcyn, P.; Carlson, A.; Hein, M.Y.; Geiger, T.; Mann, M.; Cox, J. The Perseus computational platform for comprehensive analysis of (prote) omics data. Nat. Methods 2016, 13, 731–740. [Google Scholar] [CrossRef]
- Brodkorb, A.; Croguennec, T.; Bouhallab, S.; Kehoe, J.J. Heat-Induced Denaturation, Aggregation and Gelation of Whey Proteins. In Advanced Dairy Chemistry: Volume 1B: Proteins: Applied Aspects; McSweeney, P.L.H., O’Mahony, J.A., Eds.; Springer: New York, NY, USA, 2016; pp. 155–178. [Google Scholar]
- Goldsmith, S.J.; Dickson, J.S.; Barnhart, H.M.; Toledo, R.T.; Eiten-Miller, R.R. IgA, IgG, IgM and Lactoferrin Contents of Human Milk During Early Lactation and the Effect of Processing and Storage. J. Food Prot. 1983, 46, 4–7. [Google Scholar] [CrossRef]
- Ulfman, L.H.; Leusen, J.H.W.; Savelkoul, H.F.J.; Warner, J.O.; van Neerven, R.J.J. Effects of Bovine Immunoglobulins on Immune Function, Allergy, and Infection. Front. Nutr. 2018, 5, 52. [Google Scholar] [CrossRef]
- Auldist, M.J.; Walsh, B.J.; THOMSON, N.A. Seasonal and lactational influences on bovine milk composition in New Zealand. J. Dairy Res. 1998, 65, 401–411. [Google Scholar] [CrossRef] [PubMed]
- Toffolon, A.; de Rocco-Ponce, M.; Vettore, M.; Iori, E.; Lante, A.; Tessari, P. Effect of Reversal of Whey-Protein to Casein Ratio of Cow Milk, on Insulin, Incretin, and Amino Acid Responses in Humans. Mol. Nutr. Food Res. 2021, 65, 2100069. [Google Scholar] [CrossRef] [PubMed]
- Whalin, S.T. Liquid Chromatography with Tandem Mass Spectrometry Method Development for the Determination of β–Defensins in Bovine Milk. Master’s Thesis, Western Kentucky University, Bowling Green, KY, USA, 2022. [Google Scholar]
- Das, S.; Pradhan, C.; Pillai, D. β-Defensin: An adroit saviour in teleosts. Fish Shellfish Immunol. 2022, 123, 417–430. [Google Scholar] [CrossRef]
- Hu, J.; Xu, M.; Hang, B.; Wang, L.; Wang, Q.; Chen, J.; Song, T.; Fu, D.; Wang, Z.; Wang, S. Isolation and characterization of an antimicrobial peptide from bovine hemoglobin α-subunit. World J. Microbiol. Biotechnol. 2011, 27, 767–771. [Google Scholar] [CrossRef]
- Oggioni, M.; Mercurio, D.; Minuta, D.; Fumagalli, S.; Popiolek-Barczyk, K.; Sironi, M.; Ciechanowska, A.; Ippati, S.; De Blasio, D.; Perego, C.; et al. Long pentraxin PTX3 is upregulated systemically and centrally after experimental neurotrauma, but its depletion leaves unaltered sensorimotor deficits or histopathology. Sci. Rep. 2021, 11, 9616. [Google Scholar] [CrossRef] [PubMed]
- Kunes, P.; Holubcova, Z.; Kolackova, M.; Krejsek, J. Pentraxin 3(PTX 3): An Endogenous Modulator of the Inflammatory Response. Mediat. Inflamm. 2012, 2012, 920517. [Google Scholar] [CrossRef]
- Jiang, X.; Bai, X.Y.; Li, B.; Li, Y.; Xia, K.; Wang, M.; Li, S.; Wu, H. Plasma Inter-Alpha-Trypsin Inhibitor Heavy Chains H3 and H4 Serve as Novel Diagnostic Biomarkers in Human Colorectal Cancer. Dis Markers 2019, 2019, 5069614. [Google Scholar] [CrossRef]
- Nafikov, R.A.; Schoonmaker, J.P.; Korn, K.T.; Noack, K.; Garrick, D.J.; Koehler, K.J.; Minick-Bormann, J.; Reecy, J.M.; Spurlock, D.E.; Beitz, D.C. Sterol regulatory element binding transcription factor 1 (SREBF1) polymorphism and milk fatty acid composition. J. Dairy Sci. 2013, 96, 2605–2616. [Google Scholar] [CrossRef]
- Orosco, A.; Fromigué, O.; Bazille, C.; Entz-Werle, N.; Levillain, P.; Marie, P.J.; Modrowski, D. Syndecan-2 affects the basal and chemotherapy-induced apoptosis in osteosarcoma. Cancer Res. 2007, 67, 3708–3715. [Google Scholar] [CrossRef]
- Gonzalez, S.N.; Sulzyk, V.; Weigel Muñoz, M.; Cuasnicu, P.S. Cysteine-Rich Secretory Proteins (CRISP) are Key Players in Mammalian Fertilization and Fertility. Front. Cell Dev. Biol. 2021, 9, 800351. [Google Scholar] [CrossRef] [PubMed]
- De Groot, N.; Van Kuik-Romeijn, P.; Lee, S.H.; De Boer, H.A. Increased immunoglobulin A levels in milk by over-expressing the murine polymeric immunoglobulin receptor gene in the mammary gland epithelial cells of transgenic mice. Immunology 2000, 101, 218–224. [Google Scholar] [CrossRef]
- Ding, H.; Wu, T. Insulin-Like Growth Factor Binding Proteins in Autoimmune Diseases. Front. Endocrinol. 2018, 9, 499. [Google Scholar] [CrossRef] [PubMed]
- Larnkjær, A.; Hoppe, C.; Mølgaard, C.; Michaelsen, K.F. The effects of whole milk and infant formula on growth and IGF-I in late infancy. Eur. J. Clin. Nutr. 2009, 63, 956–963. [Google Scholar] [CrossRef] [PubMed][Green Version]
- Ogawa, K.; Pasqualini, R.; Lindberg, R.A.; Kain, R.; Freeman, A.L.; Pasquale, E.B. The ephrin-A1 ligand and its receptor, EphA2, are expressed during tumor neovascularization. Oncogene 2000, 19, 6043–6052. [Google Scholar] [CrossRef] [PubMed]
- Liu, Y.; Lv, L.; Xue, Q.; Wan, C.; Ni, T.; Chen, B.; Liu, Y.; Zhou, Y.; Ni, R.; Mao, G. Vacuolar protein sorting 4B, an ATPase protein positively regulates the progression of NSCLC via promoting cell division. Mol. Cell. Biochem. 2013, 381, 163–171. [Google Scholar] [CrossRef]
- Santoro, J.; Mukhopadhya, A.; Oliver, C.; Brodkorb, A.; Giblin, L.; O’Driscoll, L. An investigation of extracellular vesicles in bovine colostrum, first milk and milk over the lactation curve. Food Chem. 2023, 401, 134029. [Google Scholar] [CrossRef]
- Yang, C.; Huang, S.; Wang, X.; Gu, Y. Emerging Roles of CCCH-Type Zinc Finger Proteins in Destabilizing mRNA Encoding Inflammatory Factors and Regulating Immune Responses. Crit. Rev. Eukaryot. Gene Expr. 2015, 25, 77–89. [Google Scholar] [CrossRef]








Disclaimer/Publisher’s Note: The statements, opinions and data contained in all publications are solely those of the individual author(s) and contributor(s) and not of MDPI and/or the editor(s). MDPI and/or the editor(s) disclaim responsibility for any injury to people or property resulting from any ideas, methods, instructions or products referred to in the content. |
© 2023 by the authors. Licensee MDPI, Basel, Switzerland. This article is an open access article distributed under the terms and conditions of the Creative Commons Attribution (CC BY) license (https://creativecommons.org/licenses/by/4.0/).
Share and Cite
Feng, Z.; Shen, Y.; Fan, G.; Li, T.; Wu, C.; Ye, Y. Unravelling the Proteomic Profiles of Bovine Colostrum and Mature Milk Derived from the First and Second Lactations. Foods 2023, 12, 4056. https://doi.org/10.3390/foods12224056
Feng Z, Shen Y, Fan G, Li T, Wu C, Ye Y. Unravelling the Proteomic Profiles of Bovine Colostrum and Mature Milk Derived from the First and Second Lactations. Foods. 2023; 12(22):4056. https://doi.org/10.3390/foods12224056
Chicago/Turabian StyleFeng, Zhen, Yan Shen, Gongjian Fan, Tingting Li, Caie Wu, and Yuhui Ye. 2023. "Unravelling the Proteomic Profiles of Bovine Colostrum and Mature Milk Derived from the First and Second Lactations" Foods 12, no. 22: 4056. https://doi.org/10.3390/foods12224056
APA StyleFeng, Z., Shen, Y., Fan, G., Li, T., Wu, C., & Ye, Y. (2023). Unravelling the Proteomic Profiles of Bovine Colostrum and Mature Milk Derived from the First and Second Lactations. Foods, 12(22), 4056. https://doi.org/10.3390/foods12224056

