Thermal Behavior of Pea and Egg White Protein Mixtures †
Abstract
1. Introduction
2. Materials and Methods
2.1. Materials
2.2. Pea Protein Extraction
2.3. Sample Preparation
2.4. Solubility
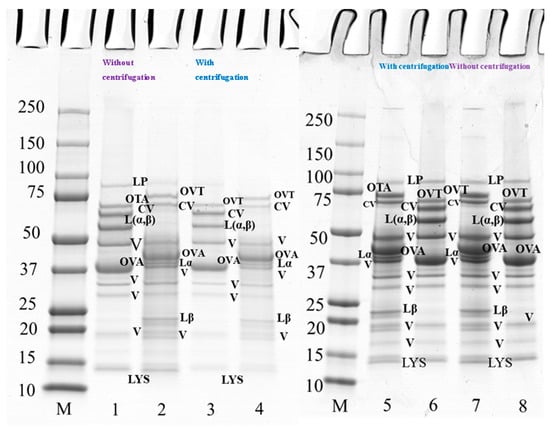
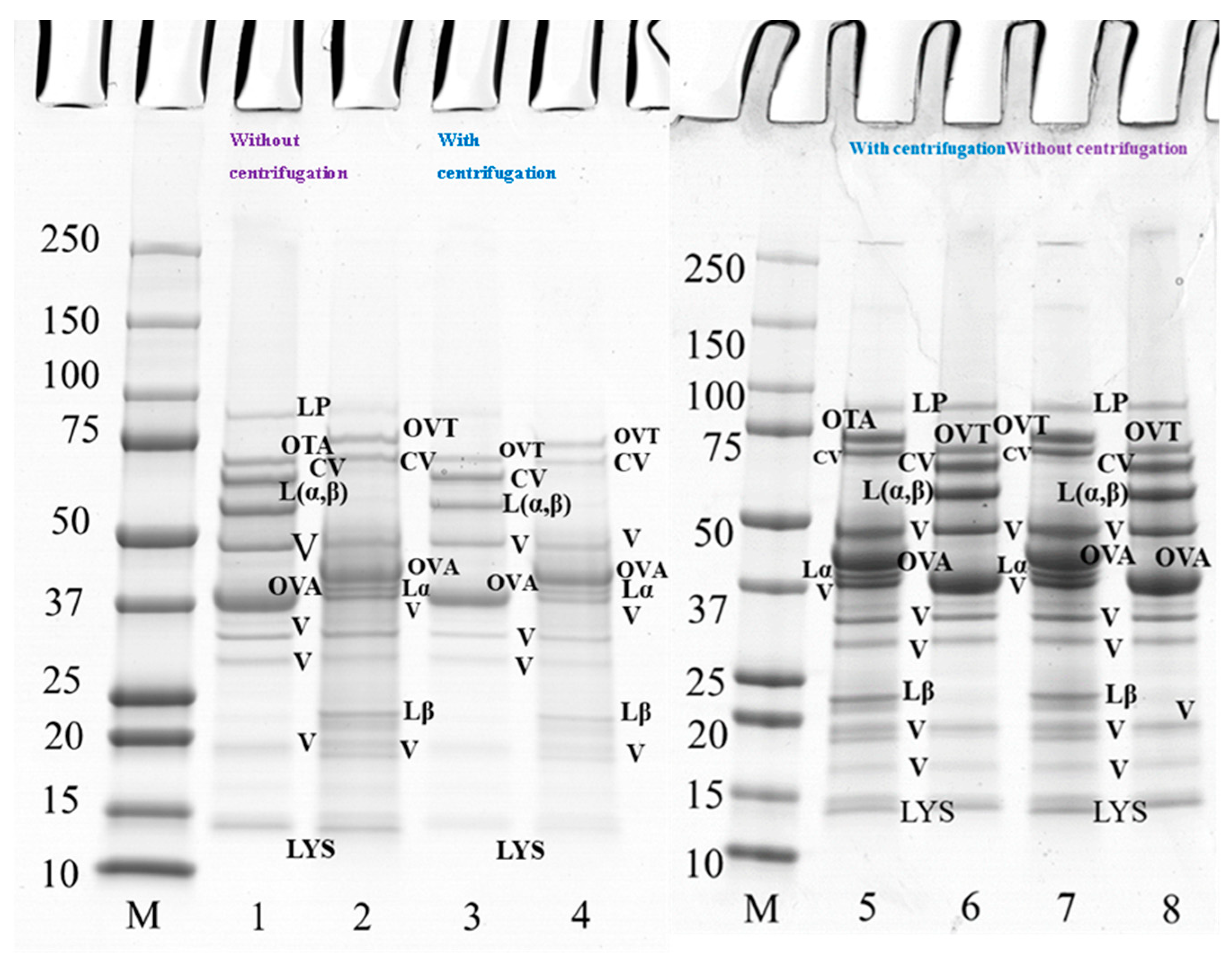
2.5. Sodium Dodecyl Sulfate–Polyacrylamide Gel Electrophoresis (SDS-PAGE)
2.6. Differential Scanning Calorimetry (DSC)
2.7. Small-Strain Dynamic Rheology
2.8. Statistical Analysis
3. Results
3.1. Solubility Profile of Protein Systems
3.2. Protein Composition
3.3. Thermal Properties of the Mixtures
3.4. Gelation Temperatures
4. Conclusions
Author Contributions
Funding
Data Availability Statement
Acknowledgments
Conflicts of Interest
References
- Aiking, H.; de Boer, J. The next protein transition. Trends Food Sci. Technol. 2020, 105, 515–522. [Google Scholar] [CrossRef]
- Alexandratos, N.; Bruinsma, J. World Agriculture towards 2030/2050: The 2012 Revision; ESA Working Paper No. 12-03; FAO: Rome, Italy, 2012. [Google Scholar]
- Clark, M.; Tilman, D. Comparative analysis of environmental impacts of agricultural production systems, agricultural input efficiency, and food choice. Environ. Res. Lett. 2017, 12, 064016. [Google Scholar] [CrossRef]
- Godfray, H.C.J.; Aveyard, P.; Garnett, T.; Hall, J.W.; Key, T.J.; Lorimer, J.; Pierrehumbert, R.T.; Scarborough, P.; Springmann, M.; Jebb, S.A. Meat consumption, health, and the environment. Science 2018, 361, 5324. [Google Scholar] [CrossRef] [PubMed]
- Poore, J.; Nemecek, T. Reducing food’s environmental impacts through producers and consumers. Science 2018, 360, 987–992. [Google Scholar] [CrossRef]
- Röös, E.; Bajželj, B.; Smith, P.; Patel, M.; Little, D.; Garnett, T. Protein futures for Western Europe: Potential land use and climate impacts in 2050. Reg. Environ. Chang. 2017, 17, 367–377. [Google Scholar] [CrossRef]
- Shepon, A.; Eshel, G.; Noor, E.; Milo, R. The opportunity cost of animal based diets exceeds all food losses. Proc. Natl. Acad. Sci. USA 2018, 115, 3804–3809. [Google Scholar] [CrossRef] [PubMed]
- Boye, J.; Zare, F.; Pletch, A. Pulse proteins: Processing, characterization, functional properties and applications in food and feed. Food Res. Int. 2010, 43, 414–431. [Google Scholar] [CrossRef]
- Stone, A.K.; Karalash, A.; Tyler, R.T.; Warkentin, T.D.; Nickerson, M.T. Functional attributes of pea protein isolates prepared using different extraction methods and cultivars. Food Res. Int. 2015, 76, 31–38. [Google Scholar] [CrossRef]
- Alves, A.C.; Tavares, G.M. Mixing animal and plant proteins: Is this a way to improve protein techno-functionalities? Food Hydrocoll. 2019, 97, 105171. [Google Scholar] [CrossRef]
- Guyomarc’h, F.; Arvisenet, G.; Bouhallab, S.; Canon, F.; Deutsch, S.M.; Drigon, V.; Dupont, D.; Famelart, M.H.F.; Garric, G.; Guédon, E.; et al. Mixing milk, egg and plant resources to obtain safe and tasty food with environmental and health benefits. Trends Food Sci. Technol. 2021, 108, 119–132. [Google Scholar] [CrossRef]
- Chihi, M.L.; Mession, J.L.; Sok, N.; Saurel, R. Heat-induced soluble protein aggregates from mixed pea globulins and β-lactoglobulin. J. Agric. Food Chem. 2016, 64, 2780–2791. [Google Scholar] [CrossRef] [PubMed]
- Hinderink, E.B.; Boire, A.; Renard, D.; Riaublanc, A.; Sagis, L.M.; Schroën, K.; Bouhallab, S.; Famelart, M.-H.; Gagnaire, V.; Guyomarc’H, F.; et al. Combining plant and dairy proteins in food colloid design. Curr. Opin. Colloid Interface Sci. 2021, 56, 101507. [Google Scholar] [CrossRef]
- Gueguen, J. Legume seed protein extraction, processing, and end product characteristics. Plant Foods Hum. Nutr. 1983, 32, 267–303. [Google Scholar] [CrossRef]
- Tzitzikas, E.N.; Vincken, J.P.; de Groot, J.; Gruppen, H.; Visser, R.G. Genetic variation in pea seed globulin composition. J. Agric. Food Chem. 2006, 54, 425–433. [Google Scholar] [CrossRef]
- Sharif, H.R.; Williams, P.A.; Sharif, M.K.; Abbas, S.; Majeed, H.; Masamba, K.G.; Safdar, W.; Zhong, F. Current progress in the utilization of native and modified legume proteins as emulsifiers and encapsulants—A review. Food Hydrocoll. 2018, 76, 2–16. [Google Scholar] [CrossRef]
- Lam AC, Y.; Can Karaca, A.; Tyler, R.T.; Nickerson, M.T. Pea protein isolates: Structure, extraction, and functionality. Food Rev. Int. 2018, 34, 126–147. [Google Scholar] [CrossRef]
- Dziuba, J.; Szerszunowicz, I.; Natecz, D.; Dsiuba, M. Proteomic analysis of albumin and globulin fractions of pea (Pisum sativum L.) seeds. Acta Sci. Pol.—Technol. Aliment. 2014, 13, 181–190. [Google Scholar] [CrossRef]
- Shand, P.J.; Ya, H.; Pietrasik, Z.; Wanasundara, P.K.J.P.D. Physicochemical and textural properties of heat-induced pea protein isolate gels. Food Chem. 2007, 102, 1119–1130. [Google Scholar] [CrossRef]
- Gatehouse, J.A.; Croy, R.R.; Morton, H.; Tyler, M.; Boulter, D. Characterisation and subunit structures of the vicilin storage proteins of pea (Pisum sativum L.). Eur. J. Biochem. 1981, 118, 627–633. [Google Scholar] [CrossRef]
- Liang, H.-N.; Tang, C.-H. pH-dependent emulsifying properties of pea [Pisum sativum (L.)] proteins. Food Hydrocoll. 2013, 33, 309–319. [Google Scholar] [CrossRef]
- O’Kane, F.E.; Happe, R.P.; Vereijken, J.M.; Gruppen, H.; van Boekel, M.A. Characterization of pea vicilin. 1. Denoting convicilin as the α-subunit of the Pisum vicilin family. J. Agric. Food Chem. 2004, 52, 3141–3148. [Google Scholar] [CrossRef]
- Lechevalier, V.; Jeantet, R.; Arhaliass, A.; Legrand, J.; Nau, F. Egg white drying: Influence of industrial processing steps on protein structure and functionalities. J. Food Eng. 2007, 83, 404–413. [Google Scholar] [CrossRef]
- Belitz, H.D.; Grosch, W.; Schieberle, P. Eggs. In Food Chemistry; Springer: Berlin/Heidelberg, Germany, 2009; pp. 546–562. [Google Scholar]
- Guha, S.; Majumder, K.; Mine, Y. Egg proteins. In Encyclopedia of Food Chemistry; Elsevier: Amsterdam, The Netherlands, 2019; pp. 74–84. [Google Scholar] [CrossRef]
- Smith, M.B.; Back, J.F. Studies on ovalbumin II. The formation and properties of S-Ovalbumin, a more stable form of ovalbumin. Aust. J. Biol. Sci. 1965, 18, 365–377. [Google Scholar] [CrossRef] [PubMed]
- Iwashita, K.; Handa, A.; Shiraki, K. Co-aggregation of ovotransferrin and lysozyme. Food Hydrocoll. 2019, 89, 416–424. [Google Scholar] [CrossRef]
- Wei, Z.; Cheng, Y.; Huang, Q. Heteroprotein complex formation of ovotransferrin and lysozyme: Fabrication of food-grade particles to stabilize Pickering emulsions. Food Hydrocoll. 2019, 96, 190–200. [Google Scholar] [CrossRef]
- Julià, S.; Sánchez, L.; Pérez, M.D.; Lavilla, M.; Conesa, C.; Calvo, M. Effect of heat treatment on hen’s egg ovomucoid: An immunochemical and calorimetric study. Food Res. Int. 2007, 40, 603–612. [Google Scholar] [CrossRef]
- Winiarska-Mieczan, A.; Kwiecień, M. Avian egg’s white ovomucoid as food-allergen for human. Postep. Biochem. 2007, 53, 212–217. [Google Scholar]
- Huopalahti, R.; Anton, M.; López-Fandiño, R.; Schade, R. (Eds.) Bioactive Egg Compounds; Springer: Berlin/Heidelberg, Germany, 2007; Volume 5, pp. 293–389. [Google Scholar]
- Abeyrathne, E.D.N.S.; Lee, H.Y.; Jo, C.; Suh, J.W.; Ahn, D.U. Enzymatic hydrolysis of ovomucin and the functional and structural characteristics of peptides in the hydrolysates. Food Chem. 2016, 192, 107–113. [Google Scholar] [CrossRef]
- Strixner, T.; Kulozik, U. Egg proteins. In Handbook of Food Proteins, 1st ed.; Philips, G.O., Williams, P.A., Eds.; Woodhead Publishing: Sawston, UK, 2011; pp. 150–209. [Google Scholar]
- Abeyrathne, E.D.N.S.; Lee, H.Y.; Ahn, D.U. Sequential separation of lysozyme, ovomucin, ovotransferrin, and ovalbumin from egg white. Poult. Sci. 2014, 93, 1001–1009. [Google Scholar] [CrossRef]
- Baumgartner, S.; Schubert-Ullrich, P. Egg allergens. In Chemical and Biological Properties of Food Allergens; Jedrychowski, L., Wichers, H.J., Eds.; CRC Press Inc.: London, UK, 2010; Chapter 7; pp. 213–225. [Google Scholar]
- Su, Y.; Dong, Y.; Niu, F.; Wang, C.; Liu, Y.; Yang, Y. Study on the gel properties and secondary structure of soybean protein isolate/egg white composite gels. Eur. Food Res. Technol. 2015, 240, 367–378. [Google Scholar] [CrossRef]
- Zhang, M.; Li, J.; Su, Y.; Chang, C.; Li, X.; Yang, Y.; Gu, L. Preparation and characterization of hen egg proteins-soybean protein isolate composite gels. Food Hydrocoll. 2019, 97, 105191. [Google Scholar] [CrossRef]
- Djoullah, A.; Djemaoune, Y.; Husson, F.; Saurel, R. Native-state pea albumin and globulin behaviour upon transglutaminase treatment. Process Biochem. 2015, 50, 1284–1292. [Google Scholar] [CrossRef]
- Adebiyi, A.P.; Aluko, R.E. Functional properties of protein fractions obtained from commercial yellow field pea (Pisum sativum L.) seed protein isolate. Food Chem. 2011, 128, 902–908. [Google Scholar] [CrossRef]
- Burger, T.G.; Zhang, Y. Recent progress in the utilization of pea protein as an emulsifier for food applications. Trends Food Sci. Technol. 2019, 86, 25–33. [Google Scholar] [CrossRef]
- Taherian, A.R.; Mondor, M.; Labranche, J.; Drolet, H.; Ippersiel, D.; Lamarche, F. Comparative study of functional properties of commercial and membrane processed yellow pea protein isolates. Food Res. Int. 2011, 44, 2505–2514. [Google Scholar] [CrossRef]
- Shevkani, K.; Singh, N.; Kaur, A.; Rana, J.C. Structural and functional characterization of kidney bean and field pea protein isolates: A comparative study. Food Hydrocoll. 2015, 43, 679–689. [Google Scholar] [CrossRef]
- Damodaran, S. Amino acids, peptides and proteins. In Fennema’s Food Chemistry, 4th ed.; Damodaran, S., Parkin, L.K., Fennema, R.O., Eds.; CRC Press Inc.: London, UK, 2008; Chapter 5; pp. 425–439. [Google Scholar]
- Abdo, A.A.A.; Zhang, C.; Lin, Y.; Kaddour, B.; Li, X.; Fan, G.; Teng, C.; Xu, Y.; Yang, R. Nutritive sweetener of short-chain xylooligosaccharides improved the foam properties of hen egg white protein via glycosylation. J. Food Meas. Charact. 2021, 15, 1341–1348. [Google Scholar] [CrossRef]
- Machado, F.F.; Coimbra, J.S.; Rojas EE, G.; Minim, L.A.; Oliveira, F.C.; Rita de Cássia, S.S. Solubility and density of egg white proteins: Effect of pH and saline concentration. LWT—Food Sci. Technol. 2007, 40, 1304–1307. [Google Scholar] [CrossRef]
- Kuang, J.; Hamon, P.; Rousseau, F.; Cases, E.; Bouhallab, S.; Saurel, R.; Lechevalier, V. Interactions between isolated pea globulins and purified egg white proteins in solution. Food Biophys. 2023. [Google Scholar] [CrossRef]
- Mession, J.L.; Sok, N.; Assifaoui, A.; Saurel, R. Thermal Denaturation of Pea Globulins (Pisum sativum L.)—Molecular Interactions Leading to Heat-Induced Protein Aggregation. J. Agric. Food Chem. 2013, 61, 1196–1204. [Google Scholar] [CrossRef]
- Sun, X.D.; Arntfield, S.D. Gelation properties of salt-extracted pea protein induced by heat treatment. Food Res. Int. 2010, 43, 509–515. [Google Scholar] [CrossRef]
- Gueguen, J.; Barbot, J. Quantitative and qualitative variability of pea (Pisum sativum L.) protein composition. J. Sci. Food Agric. 1988, 42, 209–224. [Google Scholar] [CrossRef]
- Mession, J.L.; Chihi, M.L.; Sok, N.; Saurel, R. Effect of globular pea proteins fractionation on their heat-induced aggregation and acid cold-set gelation. Food Hydrocoll. 2015, 46, 233–243. [Google Scholar] [CrossRef]
- Gatehouse, J.A.; Lycett, G.W.; Croy RR, D.; Boulter, D. The post-translational proteolysis of the subunits of vicilin from pea (Pisum sativum L.). Biochem. J. 1982, 207, 629–632. [Google Scholar] [CrossRef] [PubMed]
- Croy, R.R.; Gatehouse, J.A.; Tyler, M.; Boulter, D. The purification and characterization of a third storage protein (convicilin) from the seeds of pea (Pisum sativum L.). Biochem. J. 1980, 191, 509–516. [Google Scholar] [CrossRef]
- Karaca, A.C.; Low, N.; Nickerson, M. Emulsifying properties of chickpea, faba bean, lentil and pea proteins produced by isoelectric precipitation and salt extraction. Food Res. Int. 2011, 44, 2742–2750. [Google Scholar] [CrossRef]
- Li-Chan, E.; Kummer, A.; Losso, J.N.; Kitts, D.D.; Nakai, S. Stability of bovine immunoglobulins to thermal treatment and processing. Food Res. Int. 1995, 28, 9–16. [Google Scholar] [CrossRef]
- Raikos, V.; Hansen, R.; Campbell, L.; Euston, S.R. Separation and identification of hen egg protein isoforms using SDS–PAGE and 2D gel electrophoresis with MALDI-TOF mass spectrometry. Food Chem. 2006, 99, 702–710. [Google Scholar] [CrossRef]
- Alavi, F.; Emam-Djomeh, Z.; Momen, S.; Mohammadian, M.; Salami, M.; Moosavi-Movahedi, A.A. Effect of free radical-induced aggregation on physicochemical and interface-related functionality of egg white protein. Food Hydrocoll. 2019, 87, 734–746. [Google Scholar] [CrossRef]
- Chaiyasit, W.; Brannan, R.G.; Chareonsuk, D.; Chanasattru, W. Comparison of physicochemical and functional properties of chicken and duck egg albumens. Braz. J. Poult. Sci. 2019, 21, 1–9. [Google Scholar] [CrossRef]
- Katekhong, W.; Charoenrein, S. Changes in physical and gelling properties of freeze-dried egg white as a result of temperature and relative humidity. J. Sci. Food Agric. 2016, 96, 4423–4431. [Google Scholar] [CrossRef] [PubMed]
- Emkani, M.; Oliete, B.; Saurel, R. Pea protein extraction assisted by lactic fermentation: Impact on protein profile and thermal properties. Foods 2021, 10, 549. [Google Scholar] [CrossRef]
- O’Kane, F.E.; Happe, R.P.; Vereijken, J.M.; Gruppen, H.; van Boekel, M.A. Heat-induced gelation of pea legumin: Comparison with soybean glycinin. J. Agric. Food Chem. 2004, 52, 5071–5078. [Google Scholar] [CrossRef]
- Barhut, S.; Findlay, C.J. Thermal Analysis of Egg Proteins. In Thermal Analysis of Foods; Elsevier Applied Science: London, UK, 1990; p. 126. [Google Scholar]
- Ferreira, M.; Hofer, C.; Raemy, A. A calorimetric study of egg white proteins. J. Therm. Anal. Calorim. 1997, 48, 683–690. [Google Scholar] [CrossRef]
- Renzetti, S.; van den Hoek, I.A.; van der Sman, R.G. Amino acids, polyols and soluble fibres as sugar replacers in bakery applications: Egg white proteins denaturation controlled by hydrogen bond density of solutions. Food Hydrocoll. 2020, 108, 106034. [Google Scholar] [CrossRef]
- Tóth, A.; Németh, C.; Palotás, P.; Surányi, J.; Zeke, I.; Csehi, B.; Castillo, L.A.; Friedrich, L.; Balla, C. HHP treatment of liquid egg at 200–350 MPa. J. Phys. Conf. Ser. 2017, 950, 042008. [Google Scholar] [CrossRef]
- Ibanoglu, E.; Erçelebi, E.A. Thermal denaturation and functional properties of egg proteins in the presence of hydrocolloid gums. Food Chem. 2007, 101, 626–633. [Google Scholar] [CrossRef]
- Mession, J.L.; Roustel, S.; Saurel, R. Interactions in casein micelle—Pea protein system (part I): Heat-induced denaturation and aggregation. Food Hydrocoll. 2017, 67, 229–242. [Google Scholar] [CrossRef]
- Zheng, J.; Gao, Q.; Ge, G.; Wu, J.; Tang, C.H.; Zhao, M.; Sun, W. Heteroprotein complex coacervate based on β-conglycinin and lysozyme: Dynamic protein exchange, thermodynamic mechanism, and lysozyme activity. J. Agric. Food Chem. 2021, 69, 7948–7959. [Google Scholar] [CrossRef]
- Rossi, M.; Schiraldi, A. Thermal denaturation and aggregation of egg proteins. Thermochim. Acta 1992, 199, 115–123. [Google Scholar] [CrossRef]
- Sun, X.D.; Arntfield, S.D. Gelation properties of salt-extracted pea protein isolate induced by heat treatment: Effect of heating and cooling rate. Food Chem. 2011, 124, 1011–1016. [Google Scholar] [CrossRef]
- Mession, J.L.; Assifaoui, A.; Cayot, P.; Saurel, R. Effect of pea proteins extraction and vicilin/legumin fractionation on the phase behaviour in admixture with alginate. Food Hydrocoll. 2012, 29, 335–346. [Google Scholar] [CrossRef]
- Meng, G.T.; Ma, C.Y. Thermal properties of Phaseolus angularis (red bean) globulin. Food Chem. 2001, 73, 453–460. [Google Scholar] [CrossRef]
- Grasberger, K.F.; Gregersen, S.B.; Jensen, H.B.; Sanggaard, K.W.; Corredig, M. Plant-dairy protein blends: Gelation behaviour in a filled particle matrix. Food Struct. 2021, 29, 100198. [Google Scholar] [CrossRef]
- Wong, D.; Vasanthan, T.; Ozimek, L. Synergistic enhancement in the co-gelation of salt-soluble pea proteins and whey proteins. Food Chem. 2013, 141, 3913–3919. [Google Scholar] [CrossRef]
- Kornet, R.; Shek, C.; Venema, P.; van der Goot, A.J.; Meinders, M.; van der Linden, E. Substitution of whey protein by pea protein is facilitated by specific fractionation routes. Food Hydrocoll. 2021, 117, 106691. [Google Scholar] [CrossRef]
- Watanabe, K.; Nakamura, Y.; Xu, J.Q.; Shimoyamada, M. Inhibition against heat coagulation of ovotransferrin by ovalbumin dry-heated at 120 °C. J. Agric. Food Chem. 2000, 48, 3965–3972. [Google Scholar] [CrossRef]
- Wang, K.Q.; Luo, S.Z.; Zhong, X.Y.; Cai, J.; Jiang, S.T.; Zheng, Z. Changes in chemical interactions and protein conformation during heat-induced wheat gluten gel formation. Food Chem. 2017, 214, 393–399. [Google Scholar] [CrossRef]
- Chronakis, I.S. Gelation of edible blue-green algae protein isolate (Spirulina platensis strain pacifica): Thermal transitions, rheological properties, and molecular forces involved. J. Agric. Food Chem. 2001, 49, 888–898. [Google Scholar] [CrossRef]
- Croguennec, T.; Nau, F.; Brule, G. Influence of pH and salts on egg white gelation. J. Food Sci. 2002, 67, 608–614. [Google Scholar] [CrossRef]
- Handa, A.; Takahashi, K.; Kuroda, N.; Froning, G.W. Heat-induced egg white gels as affected by pH. J. Food Sci. 1998, 63, 403–407. [Google Scholar] [CrossRef]





| pH | NS (%) | Calculated NS (%) |
|---|---|---|
| 2 | 84.8 ± 1.2 a | 87.6 ± 0.5 a |
| 3 | 87.5 ± 1.4 a | 91.5 ± 1.3 a |
| 4 | 76.6 ± 0.7 a | 78.3 ± 1.6 a |
| 5 | 55.0 ± 0.8 a | 48.9 ± 0.2 b |
| 6 | 57.5 ± 0.8 a | 78.6 ± 1.3 b |
| 7 | 76.2 ± 0.1 a | 92.5 ± 0.7 b |
| 8 | 81.3 ± 1.8 a | 92.9 ± 0.4 b |
| 9 | 89.7 ± 1.2 a | 93.4 ± 0.3 b |
| 10 | 90.5 ± 1.0 a | 95.3 ± 0.5 b |
| Samples | Td 1 (°C) | Td 2 (°C) | Td 3 (°C) | Td 4 (°C) | Td 5 (°C) |
|---|---|---|---|---|---|
| EW 100% | 61.1 ± 0.1 a | - | 76.7 ± 0.1 a | 83.5 ± 0.8 a | - |
| PPI-EW 25/75 | 60.1 ± 0.1 a | 64.4 ± 0.6 a | 76.0 ± 0.1 ab | 81.6 ± 0.1 a | 85.4 ± 0.3 a |
| PPI-EW 50/50 | 60.5 ± 0.4 a | 64.5 ± 0.6 a | 76.2 ± 0.1 ab | 81.5 ± 0.1 a | 85.6 ± 0.1 a |
| PPI-EW 75/25 | 61.4 ± 0.1 a | - | 76.0 ± 0.1 ab | 81.3 ± 0.2 a | 85.0 ± 0.7 a |
| PPI 100% | - | - | 75.8 ± 0.4 b | - | 87.4 ± 0.5 b |
| Samples | Td 1 (°C) | Td 2 (°C) | Td 3 (°C) | Td 4 (°C) | Td 5 (°C) |
|---|---|---|---|---|---|
| EW 100% | 63.2 ± 0.1 a | 69.5 ± 0.1 | 76.4 ± 0.1 a | 83.1 ± 0.7 a | - |
| PPI-EW 25/75 | 62.1 ± 0.1 b | - | 76.1 ± 0.1 ab | 81.3 ± 0.1 a | 86.3 ± 0.7 a |
| PPI-EW 50/50 | 60.3 ± 0.1 c | - | 75.3 ± 0.2 b | 81.4 ± 0.1 a | 86.1 ± 0.1 a |
| PPI-EW 75/25 | 59.5 ± 0.1 d | - | 75.5 ± 0.1 b | 81.4 ± 0.1 a | 86.9 ± 0.2 a |
| PPI 100% | - | - | 71.3 ± 0.4 c | - | 84.5 ± 0.2 b |
| pH 7.5 | pH 9 | |||
|---|---|---|---|---|
| Enthalpy (J/g Protein) | ∆H | Calculated ∆H | ∆H | Calculated ∆H |
| EW 100% | 22.3 ± 0.5 * | - | 23.8 ± 0.2 ** | - |
| PPI-EW 25/75 | 18.6 ± 0.2 a | 19.4 ± 0.4 b | 18.3 ± 0.3 a | 18.7 ± 0.1 a |
| PPI-EW 50/50 | 14.1 ± 0.2 a | 16.6 ± 0.2 b | 12.4 ± 0.1 a | 13.7 ± 0.1 b |
| PPI-EW 75/25 | 12.6 ± 0.1 a | 13.7 ± 0.1 b | 8.6 ± 0.1 a | 8.6 ± 0.2 a |
| PPI 100% | 10.8 ± 0.1 * | - | 3.6 ± 0.2 ** | - |
| Samples | pH 7.5 | pH 9 | ||
|---|---|---|---|---|
| 1st Gelling Point/°C | 2nd Gelling Point/°C | 1st Gelling Point/°C | 2nd Gelling Point/°C | |
| EW 100% | 59.3 ± 0.2 a | 75.4 ± 0.3 a | 58.8 ± 0.3 a | 75.2 ± 0.4 ab |
| PPI-EW 25/75 | 59.3 ± 0.2 a | 75.13 ± 0.3 a | 60.7 ± 0.3 c | 75.5 ± 0.4 a |
| PPI-EW 50/50 | 59.9 ± 0.2 a | 75.07 ± 0.3 a | 61.6 ± 0.2 c | 74.0 ± 0.3 b |
| PPI-EW 75/25 | none | 73.2 ± 0.3 b | none | 75.6 ± 0.3 a |
| PPI 100% | none | 75.6 ± 0.3 a | no gel | |
| Samples | G′ (Pa) | G″ (Pa) | ||
|---|---|---|---|---|
| pH 7.5 | pH 9 | pH 7.5 | pH 9 | |
| EW 100% | 4865 ± 156 a | 5496 ± 131 a | 425 ± 21 a | 369 ± 6 a |
| PPI-EW 25/75 | 2552 ± 149 b | 2077 ± 117 b | 210 ± 17 b | 167 ± 8 b |
| PPI-EW 50/50 | 1189 ± 100 c | 953 ± 65 c | 137 ± 26 bc | 83 ± 1 c |
| PPI-EW 75/25 | 742 ± 181 c | 106 ± 6 d | 94 ± 29 c | 17 ± 1 d |
| PPI 100% | 30 ± 26 d | no gel | 2 ± 1 d | no gel |
Disclaimer/Publisher’s Note: The statements, opinions and data contained in all publications are solely those of the individual author(s) and contributor(s) and not of MDPI and/or the editor(s). MDPI and/or the editor(s) disclaim responsibility for any injury to people or property resulting from any ideas, methods, instructions or products referred to in the content. |
© 2023 by the authors. Licensee MDPI, Basel, Switzerland. This article is an open access article distributed under the terms and conditions of the Creative Commons Attribution (CC BY) license (https://creativecommons.org/licenses/by/4.0/).
Share and Cite
Kuang, J.; Hamon, P.; Lechevalier, V.; Saurel, R. Thermal Behavior of Pea and Egg White Protein Mixtures. Foods 2023, 12, 2528. https://doi.org/10.3390/foods12132528
Kuang J, Hamon P, Lechevalier V, Saurel R. Thermal Behavior of Pea and Egg White Protein Mixtures. Foods. 2023; 12(13):2528. https://doi.org/10.3390/foods12132528
Chicago/Turabian StyleKuang, Jian, Pascaline Hamon, Valérie Lechevalier, and Rémi Saurel. 2023. "Thermal Behavior of Pea and Egg White Protein Mixtures" Foods 12, no. 13: 2528. https://doi.org/10.3390/foods12132528
APA StyleKuang, J., Hamon, P., Lechevalier, V., & Saurel, R. (2023). Thermal Behavior of Pea and Egg White Protein Mixtures. Foods, 12(13), 2528. https://doi.org/10.3390/foods12132528

