Novel Pickering High Internal Phase Emulsion Stabilized by Food Waste-Hen Egg Chalaza
Abstract
1. Introduction
2. Material and Method
2.1. Material and Chemicals
2.2. Preparation of Chalaza Powders
2.3. Electrophoresis
2.4. Particle Size Measurement
2.5. Optical Microscope Observation
2.6. Emulsion Preparation and Characterization
2.7. Preparation of HIPEs
2.8. Fluorescence Microscope and Confocal Laser Scanning Microscope Observation
2.9. Rheology
2.10. Scanning Electron Microscope Observation
2.11. Statistical Analysis
3. Results and Discussion
3.1. Schematic Models of Chalaza Particles
3.2. Protein Composition of Chalaza
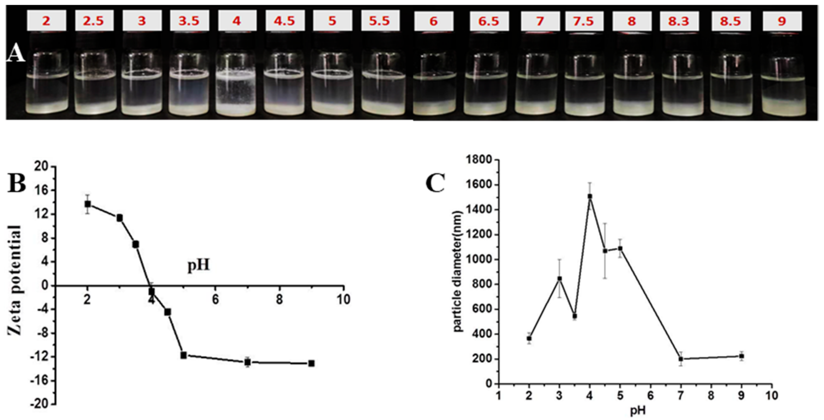
3.3. Particle Size, ζ-Potential, and Microstructure of Chalaza Particles
3.4. Emulsion Characterization
3.4.1. Effect of pH and Particle Concentration
3.4.2. Development and Appearance of Pickering HIPEs
3.4.3. Centrifugation Stability
3.4.4. Microscopic Observation of HIPEs
3.4.5. CLSM
3.4.6. Scanning Electron Microscope Observation
3.4.7. Rheological Property of Pickering HIPEs
4. Conclusions
Supplementary Materials
Author Contributions
Funding
Institutional Review Board Statement
Informed Consent Statement
Data Availability Statement
Acknowledgments
Conflicts of Interest
References
- Akartuna, I.; Studart, A.R.; Tervoort, E.; Gauckler, L.J. Macroporous ceramics from particle-stabilized emulsions. Adv. Mater. 2008, 20, 4714–4718. [Google Scholar] [CrossRef]
- Itoh, T.; Miyazaki, J.; Sugawara, H.; Adachi, S. Studies on the characterization of ovomucin and chalaza of the hen’s egg. J. Food Sci. 1987, 52, 1518–1521. [Google Scholar] [CrossRef]
- Sharon, A.; Auslander, R.; Brandes-Klein, O.; Alter, Z.; Kaufman, Y.; Lissak, A. Cystoscopy after total or subtotal laparoscopic hysterectomy: The value of a routine procedure. Gynecol. Surg. 2006, 3, 122–127. [Google Scholar] [CrossRef][Green Version]
- Capron, I.; Cathala, B. Surfactant-free high internal phase emulsions stabilized by cellulose nanocrystals. Biomacromolecules 2013, 14, 291–296. [Google Scholar] [CrossRef] [PubMed]
- Chen, J.-W.; Lin, Y.-L.; Chou, C.-H.; Wu, Y.-H.S.; Wang, S.-Y.; Chen, Y.-C. Antiobesity and hypolipidemic effects of protease A-digested crude-chalaza hydrolysates in a high-fat diet. J. Funct. Foods 2020, 66, 103788. [Google Scholar] [CrossRef]
- Scott, H.M.; Huang, W.-L. Histological observations on the formation of the chalaza in the hen’s egg. Poult. Sci. 1941, 20, 402–405. [Google Scholar] [CrossRef]
- Eyal-Giladi, H.; Kochav, S. From cleavage to primitive streak formation: A complementary normal table and a new look at the first stages of the development of the chick: I. General morphology. Dev. Biol. 1976, 49, 321–337. [Google Scholar] [CrossRef]
- Koketsu, M.; Sakuragawa, E.; Linhardt, R.J.; Ishihara, H. Distribution of N-acetylneuraminic acid and sialylglycan in eggs of the Silky fowl. Br. Poult. Sci. 2003, 44, 145–148. [Google Scholar] [CrossRef]
- Menner, A.; Ikem, V.; Salgueiro, M.; Shaffer, M.S.P.; Bismarck, A. High internal phase emulsion templates solely stabilised by functionalised titania nanoparticles. Chem. Commun. 2007, 41, 4274–4276. [Google Scholar] [CrossRef]
- Shackleton, N.; Darlington-Pollock, F.; Norman, P.; Jackson, R.; Exeter, D.J. Longitudinal deprivation trajectories and risk of cardiovascular disease in New Zealand. Health Place 2018, 53, 34–42. [Google Scholar] [CrossRef]
- Lakatta MD, E.G. Age-associated Cardiovascular Changes in Health: Impact on Cardiovascular Disease in Older Persons. Heart Fail. Rev. 2002, 7, 29–49. [Google Scholar] [CrossRef]
- Kerr, A.J.; Broad, J.; Wells, S.; Riddell, T.; Jackson, R. Should the first priority in cardiovascular risk management be those with prior cardiovascular disease? Heart 2009, 95, 125–129. [Google Scholar] [CrossRef] [PubMed]
- Houston, D.W. Vertebrate axial patterning: From egg to asymmetry. Adv. Exp. Med. Biol. 2017, 953, 209–306. [Google Scholar]
- Rahman, M.A.; Baoyindeligeer; Iwasawa, A.; Yoshizaki, N. Mechanism of chalaza formation in quail eggs. Cell Tissue Res. 2007, 330, 535–543. [Google Scholar] [CrossRef]
- Wilczek, M.M.; Olszewski, R.; Krupienicz, A. Trans-fatty acids and cardiovascular disease: Urgent need for legislation. Cardiology 2017, 138, 254–258. [Google Scholar] [CrossRef] [PubMed]
- Singh, A.; Auzanneau, F.-I.; Rogers, M.A. Advances in edible oleogel technologies—A decade in review. Food Res. Int. 2017, 97, 307–317. [Google Scholar] [CrossRef] [PubMed]
- Tanizaki, H.; Tanaka, H.; Iwata, H.; Kato, A. Activation of macrophages by sulfated glycopeptides in ovomucin, yolk membrane, and chalazae in chicken eggs. Biosci. Biotechnol. Biochem. 1997, 61, 1883–1889. [Google Scholar] [CrossRef]
- Wang, A.; Xiao, Z.; Wang, J.; Li, G.; Wang, L. Fabrication and characterization of emulsion stabilized by table egg-yolk granules at different pH levels. J. Sci. Food Agric. 2020, 100, 1470–1478. [Google Scholar] [CrossRef]
- Yang, K.-T.; Lin, Y.-L.; Lin, Y.-X.; Wang, S.-Y.; Wu, Y.-H.S.; Chou, C.-H.; Fu, S.-G.; Chen, Y.-C. Protective effects of antioxidant egg-chalaza hydrolysates against chronic alcohol consumption-induced liver steatosis in mice: Antioxidant and hepatoprotective egg-chalaza hydrolysates. J. Sci. Food Agric. 2019, 99, 2300–2310. [Google Scholar] [CrossRef]
- Yuan, D.B.; Hu, Y.Q.; Zeng, T.; Yin, S.W.; Tang, C.H.; Yang, X.Q. Development of stable Pickering emulsions/oil powders and Pickering HIPEs stabilized by gliadin/chitosan complex particles. Food Funct. 2017, 8, 2220–2230. [Google Scholar] [CrossRef]
- Callau, M.; Sow-Kébé, K.; Nicolas-Morgantini, L.; Fameau, A.-L. Effect of the ratio between behenyl alcohol and behenic acid on the oleogel properties. J. Colloid Interface Sci. 2020, 560, 874–884. [Google Scholar] [CrossRef]
- Pușcaș, A.; Mureșan, V.; Socaciu, C.; Muste, S. Oleogels in food: A review of current and potential applications. Foods 2020, 9, 70. [Google Scholar] [CrossRef]
- Davidovich-Pinhas, M.; Barbut, S.; Marangoni, A.G. Development, characterization, and utilization of food-grade polymer oleogels. Annu. Rev. Food Sci. Technol. 2016, 7, 65–91. [Google Scholar] [CrossRef] [PubMed]
- Chen, J.-F.; Guo, J.; Zhang, T.; Wan, Z.-L.; Yang, J.; Yang, X.-Q. Slowing the starch digestion by structural modification through preparing Zein/pectin particle stabilized water-in-water emulsion. J. Agric. Food Chem. 2018, 66, 4200–4207. [Google Scholar] [CrossRef] [PubMed]
- Wang, A.; Madden, L.A.; Paunov, V.N. Advanced biomedical applications based on emerging 3D cell culturing platforms. J. Mater. Chem. B Mater. Biol. Med. 2020, 8, 10487–10501. [Google Scholar] [CrossRef]
- Wang, A.; Madden, L.A.; Paunov, V.N. High-throughput fabrication of hepatic cell clusteroids with enhanced growth and functionality for tissue engineering applications. Mater. Adv. 2020, 1, 3022–3032. [Google Scholar] [CrossRef]
- Zamani, S.; Malchione, N.; Selig, M.J.; Abbaspourrad, A. Formation of shelf stable Pickering high internal phase emulsions (HIPE) through the inclusion of whey protein microgels. Food Funct. 2018, 9, 982–990. [Google Scholar] [CrossRef]
- Zeng, T.; Wu, Z.-L.; Zhu, J.-Y.; Yin, S.-W.; Tang, C.-H.; Wu, L.-Y.; Yang, X.-Q. Development of antioxidant Pickering high internal phase emulsions (HIPEs) stabilized by protein/polysaccharide hybrid particles as potential alternative for PHOs. Food Chem. 2017, 231, 122–130. [Google Scholar] [CrossRef] [PubMed]
- Zhou, F.Z.; Zeng, T.; Yin, S.W.; Tang, C.H.; Yuan, D.B.; Yang, X.Q. Development of antioxidant gliadin particle stabilized Pickering high internal phase emulsions (HIPEs) as oral delivery systems and the in vitro digestion fate. Food Funct. 2018, 9, 959–970. [Google Scholar] [CrossRef] [PubMed]
- Zhou, F.-Z.; Huang, X.-N.; Wu, Z.-L.; Yin, S.-W.; Zhu, J.-H.; Tang, C.-H.; Yang, X.-Q. Fabrication of Zein/pectin hybrid particle-stabilized Pickering high internal phase emulsions with robust and ordered interface architecture. J. Agric. Food Chem. 2018, 66, 11113–11123. [Google Scholar] [CrossRef]
- Weldrick, P.J.; Hardman, M.J.; Paunov, V.N. Enhanced clearing of wound-related pathogenic bacterial biofilms using protease-functionalized antibiotic nanocarriers. ACS Appl. Mater. Interfaces 2019, 11, 43902–43919. [Google Scholar] [CrossRef]
- Wang, L.-J.; Hu, Y.-Q.; Yin, S.-W.; Yang, X.-Q.; Lai, F.-R.; Wang, S.-Q. Fabrication and characterization of antioxidant pickering emulsions stabilized by zein/chitosan complex particles (ZCPs). J. Agric. Food Chem. 2015, 63, 2514–2524. [Google Scholar] [CrossRef]
- Nikiforidis, C.V.; Scholten, E. High internal phase emulsion gels (HIPE-gels) created through assembly of natural oil bodies. Food Hydrocoll. 2015, 43, 283–289. [Google Scholar] [CrossRef]
- Huang, X.-N.; Zhou, F.-Z.; Yang, T.; Yin, S.-W.; Tang, C.-H.; Yang, X.-Q. Fabrication and characterization of Pickering High Internal Phase Emulsions (HIPEs) stabilized by chitosan-caseinophosphopeptides nanocomplexes as oral delivery vehicles. Food Hydrocoll. 2019, 93, 34–45. [Google Scholar] [CrossRef]
- Xu, L.; Wang, J.; Su, Y.; Chang, C.; Gu, L.; Yang, Y.; Li, J. Utilization of high internal phase emulsion stabilized by egg yolk-modified starch complex for the delivery of lutein. Lebenson. Wiss. Technol. 2021, 142, 111024. [Google Scholar] [CrossRef]
- Padial-Domínguez, M.; Espejo-Carpio, F.J.; Pérez-Gálvez, R.; Guadix, A.; Guadix, E.M. Optimization of the emulsifying properties of food protein hydrolysates for the production of fish oil-in-water emulsions. Foods 2020, 9, 636. [Google Scholar] [CrossRef] [PubMed]
- Ashaolu, T.J.; Zhao, G. Fabricating a Pickering stabilizer from okara dietary fibre particulates by conjugating with soy protein isolate via Maillard reaction. Foods 2020, 9, 143. [Google Scholar] [CrossRef]
- Liu, H.; Xu, X.M.; Guo, S.D. Rheological, texture and sensory properties of low-fat mayonnaise with different fat mimetics. Lebenson. Wiss. Technol. 2007, 40, 946–954. [Google Scholar] [CrossRef]
- Depree, J.A.; Savage, G.P. Physical and flavour stability of mayonnaise. Trends Food Sci. Technol. 2001, 12, 157–163. [Google Scholar] [CrossRef]
- André, V.; Willenbacher, N.; Debus, H.; Börger, L.; Fernandez, P.; Frechen, T.; Rieger, J. Prediction of Emulsion Stability: Facts and Myth. Available online: https://www.mvm.kit.edu/download/AME-No-Wi-reviewed-21.pdf (accessed on 1 March 2021).
- Latreille, B.; Paquin, P. Evaluation of emulsion stability by centrifugation with conductivity measurements. J. Food Sci. 1990, 55, 1666–1668. [Google Scholar] [CrossRef]
- Huang, X.; Kakuda, Y.; Cui, W. Hydrocolloids in emulsions: Particle size distribution and interfacial activity. Food Hydrocoll. 2001, 15, 533–542. [Google Scholar] [CrossRef]
- Thanasukarn, P.; Pongsawatmanit, R.; McClements, D.J. Influence of emulsifier type on freeze-thaw stability of hydrogenated palm oil-in-water emulsions. Food Hydrocoll. 2004, 18, 1033–1043. [Google Scholar] [CrossRef]
- Yang, T.; Li, X.-T.; Tang, C.-H. Novel edible pickering high-internal-phase-emulsion gels efficiently stabilized by unique polysaccharide-protein hybrid nanoparticles from Okara. Food Hydrocoll. 2020, 98, 105285. [Google Scholar] [CrossRef]












| Molecular Weight (kDa) | Identification |
|---|---|
| 400 | β-ovomucin |
| 220 | α2-ovomucin |
| 150 | α1-ovomucin |
| 78–80 | ovotransferrin |
| 43–45 | ovalbumin |
| 23 | ovomucoid |
| 14.4 | lysozyme |
Publisher’s Note: MDPI stays neutral with regard to jurisdictional claims in published maps and institutional affiliations. |
© 2021 by the authors. Licensee MDPI, Basel, Switzerland. This article is an open access article distributed under the terms and conditions of the Creative Commons Attribution (CC BY) license (http://creativecommons.org/licenses/by/4.0/).
Share and Cite
Wang, L.; Wang, J.; Wang, A. Novel Pickering High Internal Phase Emulsion Stabilized by Food Waste-Hen Egg Chalaza. Foods 2021, 10, 599. https://doi.org/10.3390/foods10030599
Wang L, Wang J, Wang A. Novel Pickering High Internal Phase Emulsion Stabilized by Food Waste-Hen Egg Chalaza. Foods. 2021; 10(3):599. https://doi.org/10.3390/foods10030599
Chicago/Turabian StyleWang, Lijuan, Jingjing Wang, and Anheng Wang. 2021. "Novel Pickering High Internal Phase Emulsion Stabilized by Food Waste-Hen Egg Chalaza" Foods 10, no. 3: 599. https://doi.org/10.3390/foods10030599
APA StyleWang, L., Wang, J., & Wang, A. (2021). Novel Pickering High Internal Phase Emulsion Stabilized by Food Waste-Hen Egg Chalaza. Foods, 10(3), 599. https://doi.org/10.3390/foods10030599

