The Importance of Using Physical Tridimensional Models for the Management and Planning of Extended Osseous Odontogenic Lesions
Abstract
:1. Introduction
2. Materials and Methods
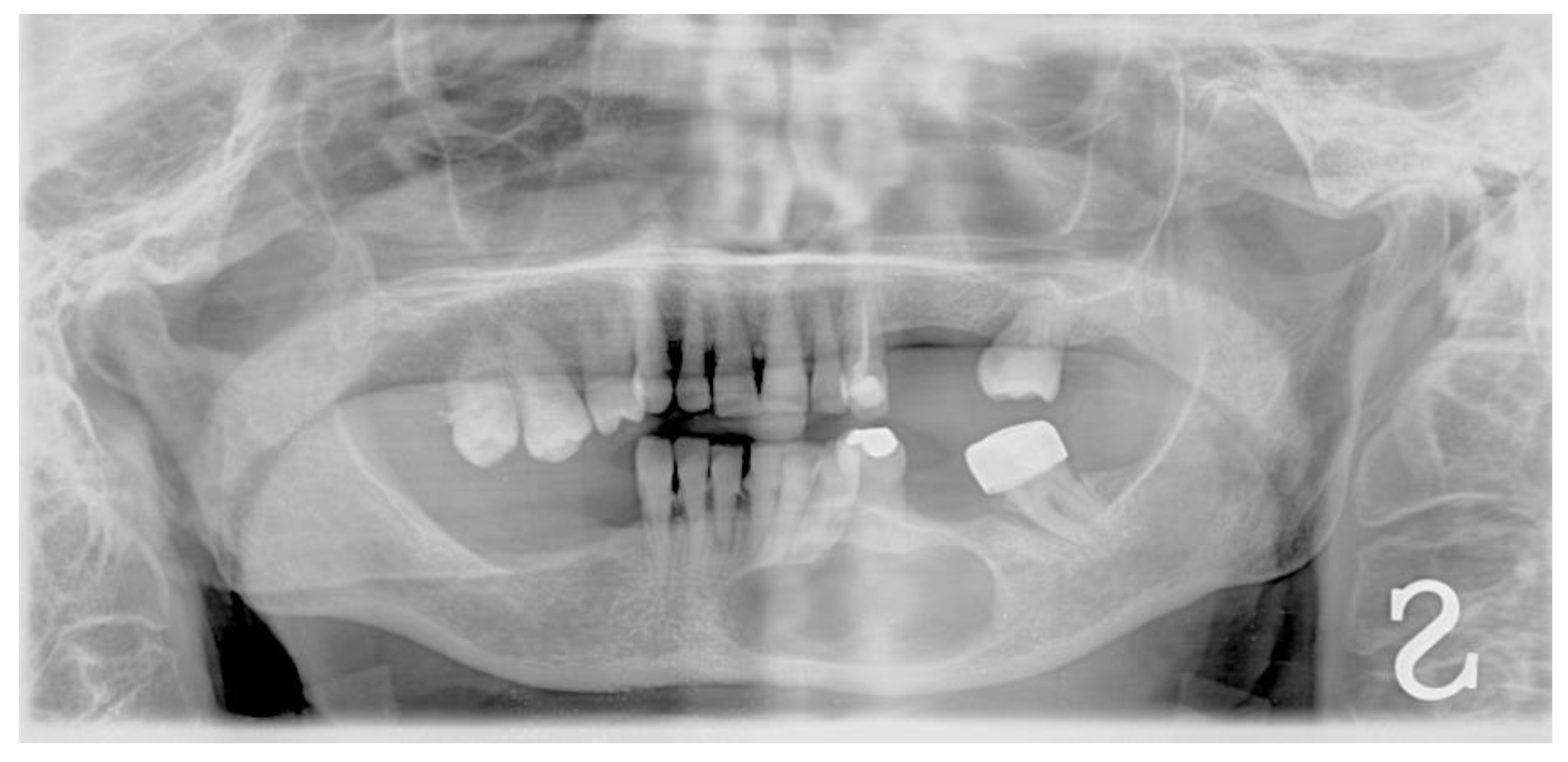
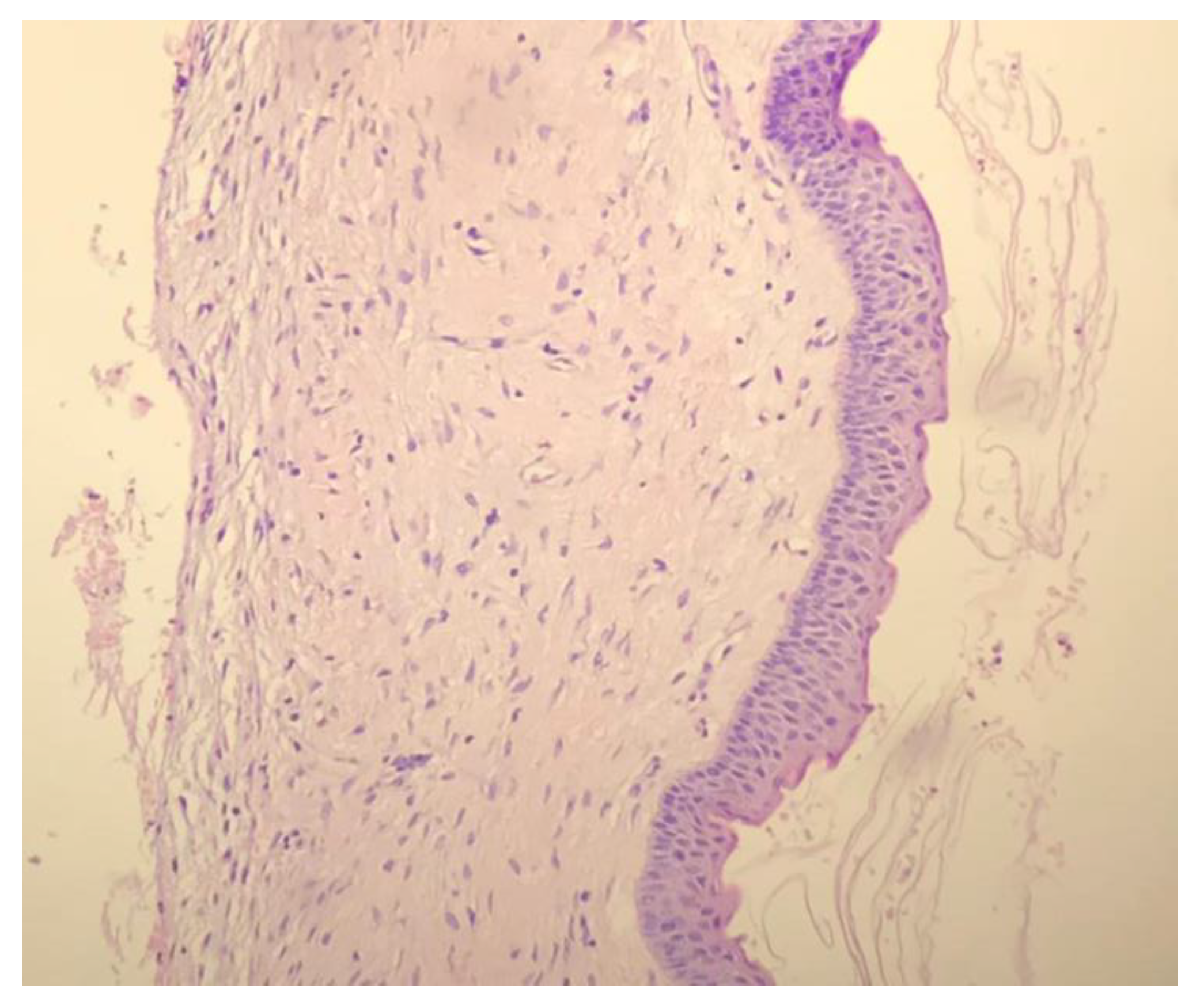
3. Results
4. Discussion
5. Conclusions
Author Contributions
Funding
Institutional Review Board Statement
Informed Consent Statement
Conflicts of Interest
References
- Kohn, L.; Corrigan JDonaldson, M. To Err is Human; National Academy Press: Washington, DC, USA, 2000. [Google Scholar]
- Dubois, R. Preventable Deaths: Who, How Often, and Why? Ann. Intern. Med. 1988, 109, 582. [Google Scholar] [CrossRef] [PubMed]
- Sochol, R.D.; Sweet, E.; Glick, C.C.; Venkatesh, S.; Avetisyan, A.; Ekman, K.F.; Raulinaitis, A.; Tsai, A.; Wienkers, A.; Korner, K.; et al. 3D Printed Microfluidic Circuitry via Multijet-Based Additive Manufacturing. Lab Chip 2015, 16, 668–678. [Google Scholar] [CrossRef] [PubMed] [Green Version]
- Petzold, R.; Zeilhofer, H.-F.; Kalender, W. Rapid Prototyping Technology in Medicine—Basics and Applications. Comput. Med Imaging Graph. 1999, 23, 277–284. [Google Scholar] [CrossRef]
- Erickson, D.M.; Chance, D.; Schmitt, S.; Mathts, J. An Opinion Survey of Reported Benefits from the Use of Stereolithographic Models. J. Oral Maxillofac. Surg. 1999, 57, 1040–1043. [Google Scholar] [CrossRef] [Green Version]
- Caruso, S.; Darvizeh, A.; Zema, S.; Gatto, R.; Nota, A. Management of a Facilitated Aesthetic Orthodontic Treatment with Clear Aligners and Minimally Invasive Corticotomy. Dent. J. 2020, 8, 19. [Google Scholar] [CrossRef] [PubMed] [Green Version]
- Sumbh, D.; Sumbh, D.; Jain, D.; Pagare, D. Classification of Odontogenic Cysts: A Review. IOSR J. Dent. Med Sci. 2017, 16, 79–82. [Google Scholar] [CrossRef]
- Kramer, I.R.; Pindborg, J.J.; Shear, M. The World Health Organization Histological Typing of Odontogenic Tumours. Introducing the Second Edition. Oral Oncol. 1993, 29, 169–171. [Google Scholar] [CrossRef]
- Bilodeau, E.A.; Collins, B.M. Odontogenic Cysts and Neoplasms. Surg. Pathol. Clin. 2017, 10, 177–222. [Google Scholar] [CrossRef]
- Perez-Arjona, E.; Dujovny, M.; Park, H.; Kulyanov, D.; Galaniuk, A.; Agner, C.; Michael, D.; Diaz, F.G. Stereolithography: Neurosurgical and Medical Implications. Neurol. Res. 2003, 25, 227–236. [Google Scholar] [CrossRef]
- Bagán Sebastián, J. Medicina y Patología Bucal, 1st ed.; Medicina Oral: Valencia, Spain, 2013; pp. 451–466. [Google Scholar]
- Bernardi, S.; Gatto, R.; Severino, M.; Botticelli, G.; Caruso, S.; Rastelli, C.; Lupi, E.; Roias, A.Q.; Iacomino, E.; Falisi, G.; et al. Short Versus Longer Implants in Mandibular Alveolar Ridge Augmented Using Osteogenic Distraction: One-Year Follow-up of a Randomized Split-Mouth Trial. J. Oral Implant. 2018, 44, 184–191. [Google Scholar] [CrossRef]
- Trento, G.; Carvalho, P.H.D.A.; Reis, E.N.R.D.C.; Spin-Neto, R.; Bassi, A.P.F.; Pereira-Filho, V.A. Bone Formation around Two Titanium Implant Surfaces Placed in Bone Defects with and Without a Bone Substitute Material: A Histological, Histomorphometric, and Micro-Computed Tomography Evaluation. Clin. Implant. Dent. Relat. Res. 2020, 22, 177–185. [Google Scholar] [CrossRef] [PubMed]
- Robinson, P. Observations on the Recovery of Sensation Following Inferior Alveolar Nerve Injuries. Br. J. Oral Maxillofac. Surg. 1988, 26, 177–189. [Google Scholar] [CrossRef]
- Mathew, N.; Gandhi, S.; Singh, I.; Solanki, M.; Bedi, N.S. 3D Models Revolutionizing Surgical Outcomes in Oral and Maxillofacial Surgery: Experience at Our Center. J. Maxillofac. Oral Surg. 2019, 19, 208–216. [Google Scholar] [CrossRef] [PubMed]
- Kosterhon, M.; Neufurth, M.; Neulen, A.; Schäfer, L.; Conrad, J.; Kantelhardt, S.R.; Müller, W.E.G.; Ringel, F. Multicolor 3D Printing of Complex Intracranial Tumors in Neurosurgery. J. Vis. Exp. 2020, 155, e60471. [Google Scholar] [CrossRef] [PubMed]
- Mehra, P.; Miner, J.; D’Innocenzo, R.; Nadershah, M. Use of 3-D Stereolithographic Models in Oral and Maxillofacial Surgery. J. Maxillofac. Oral Surg. 2011, 10, 6–13. [Google Scholar] [CrossRef] [PubMed] [Green Version]
- Berkhout, W. Het ALARA-Principe. Achtergronden en Toepassing in de Praktijk. Ned. Tijdschr. voor Tandheelkd. 2015, 122, 263–270. [Google Scholar] [CrossRef] [PubMed] [Green Version]









Publisher’s Note: MDPI stays neutral with regard to jurisdictional claims in published maps and institutional affiliations. |
© 2021 by the authors. Licensee MDPI, Basel, Switzerland. This article is an open access article distributed under the terms and conditions of the Creative Commons Attribution (CC BY) license (https://creativecommons.org/licenses/by/4.0/).
Share and Cite
Guerra, D.; Severino, M.; Caruso, S.; Rastelli, S.; Gatto, R. The Importance of Using Physical Tridimensional Models for the Management and Planning of Extended Osseous Odontogenic Lesions. Dent. J. 2021, 9, 134. https://doi.org/10.3390/dj9110134
Guerra D, Severino M, Caruso S, Rastelli S, Gatto R. The Importance of Using Physical Tridimensional Models for the Management and Planning of Extended Osseous Odontogenic Lesions. Dentistry Journal. 2021; 9(11):134. https://doi.org/10.3390/dj9110134
Chicago/Turabian StyleGuerra, Domenico, Marco Severino, Sara Caruso, Sofia Rastelli, and Roberto Gatto. 2021. "The Importance of Using Physical Tridimensional Models for the Management and Planning of Extended Osseous Odontogenic Lesions" Dentistry Journal 9, no. 11: 134. https://doi.org/10.3390/dj9110134
APA StyleGuerra, D., Severino, M., Caruso, S., Rastelli, S., & Gatto, R. (2021). The Importance of Using Physical Tridimensional Models for the Management and Planning of Extended Osseous Odontogenic Lesions. Dentistry Journal, 9(11), 134. https://doi.org/10.3390/dj9110134
