The Use of a Digitally Generated Matrix for Consistent Shade Recording in Tooth Bleaching—A Case Report
Abstract
1. Introduction
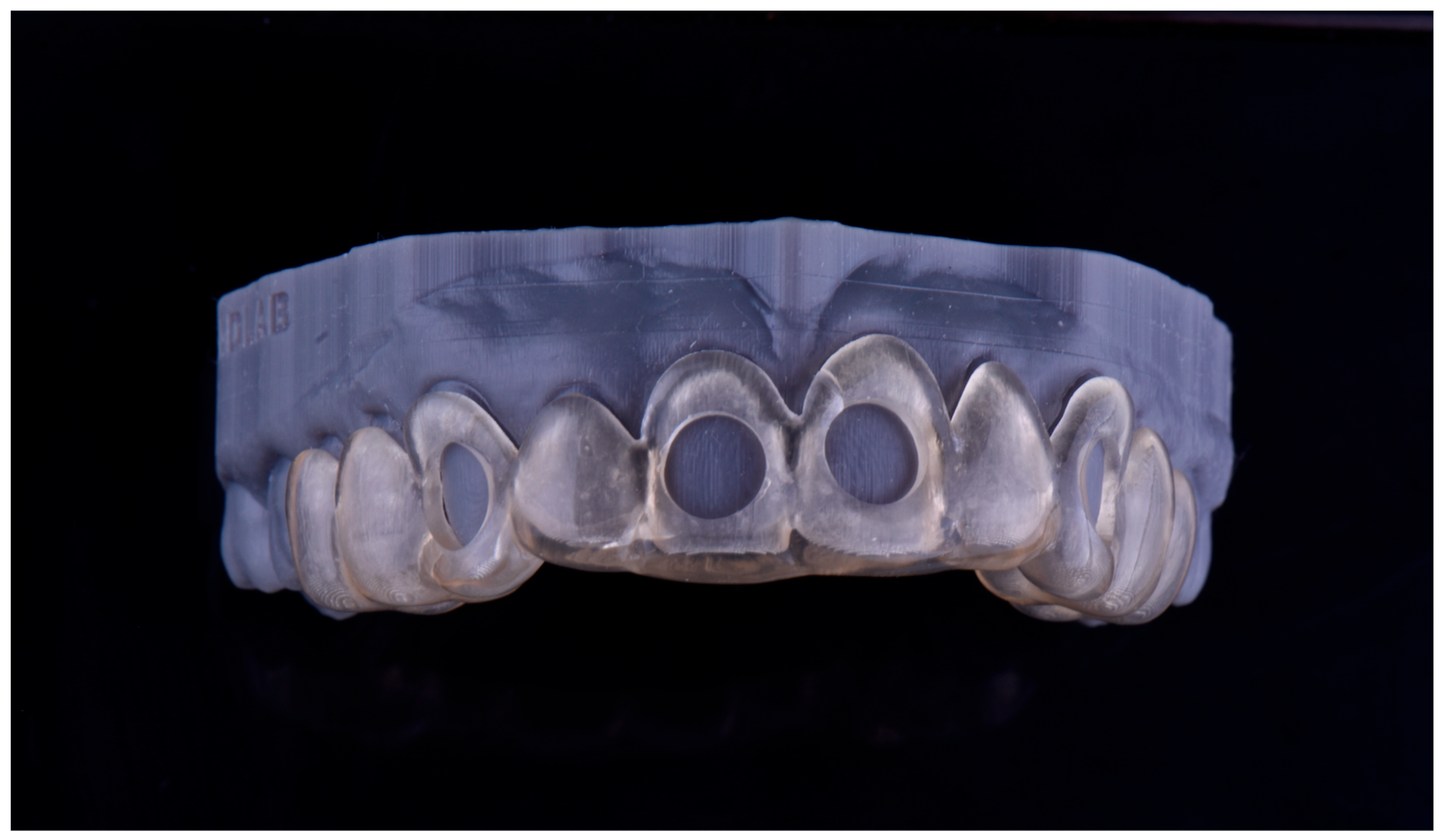
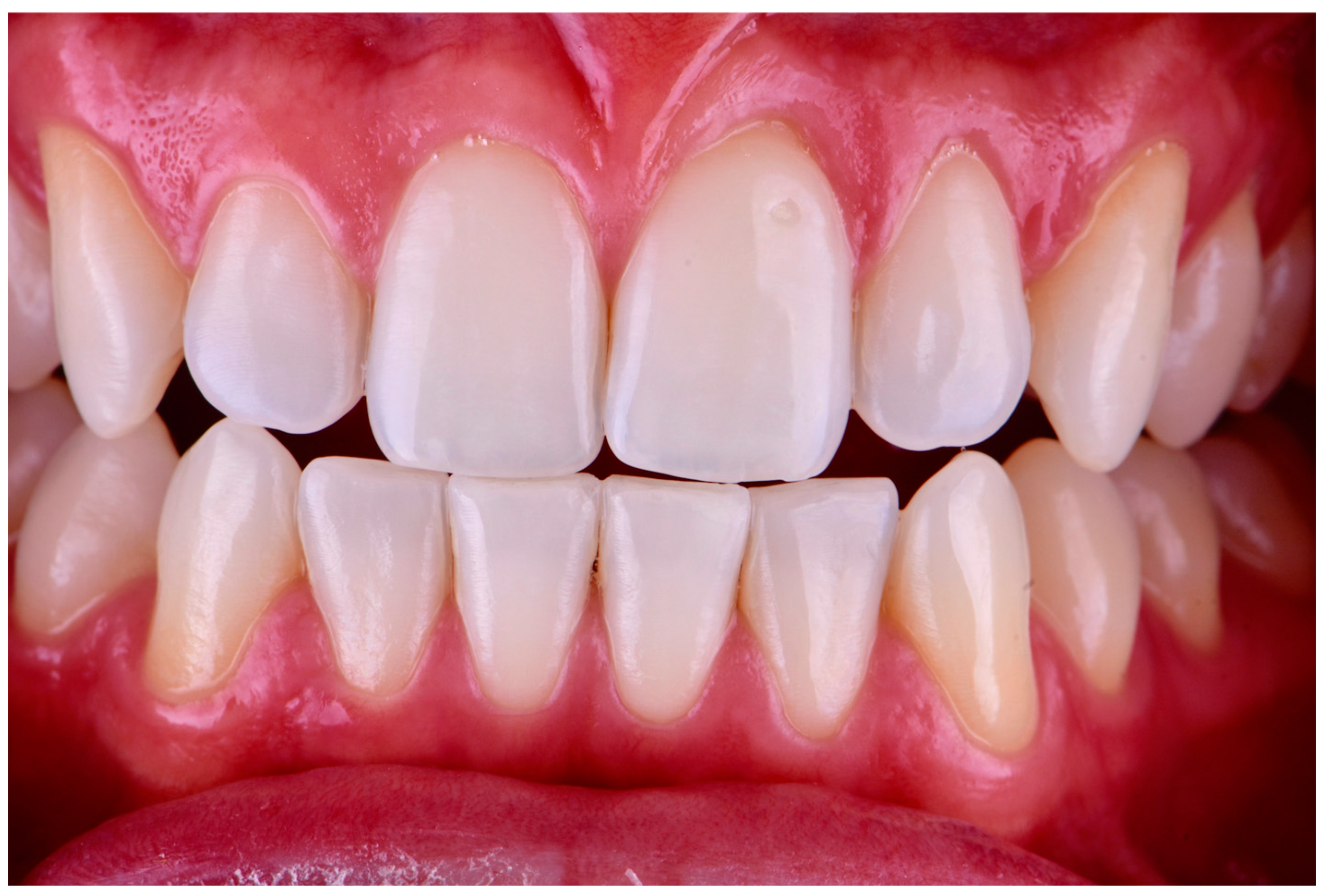
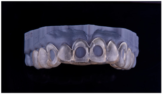
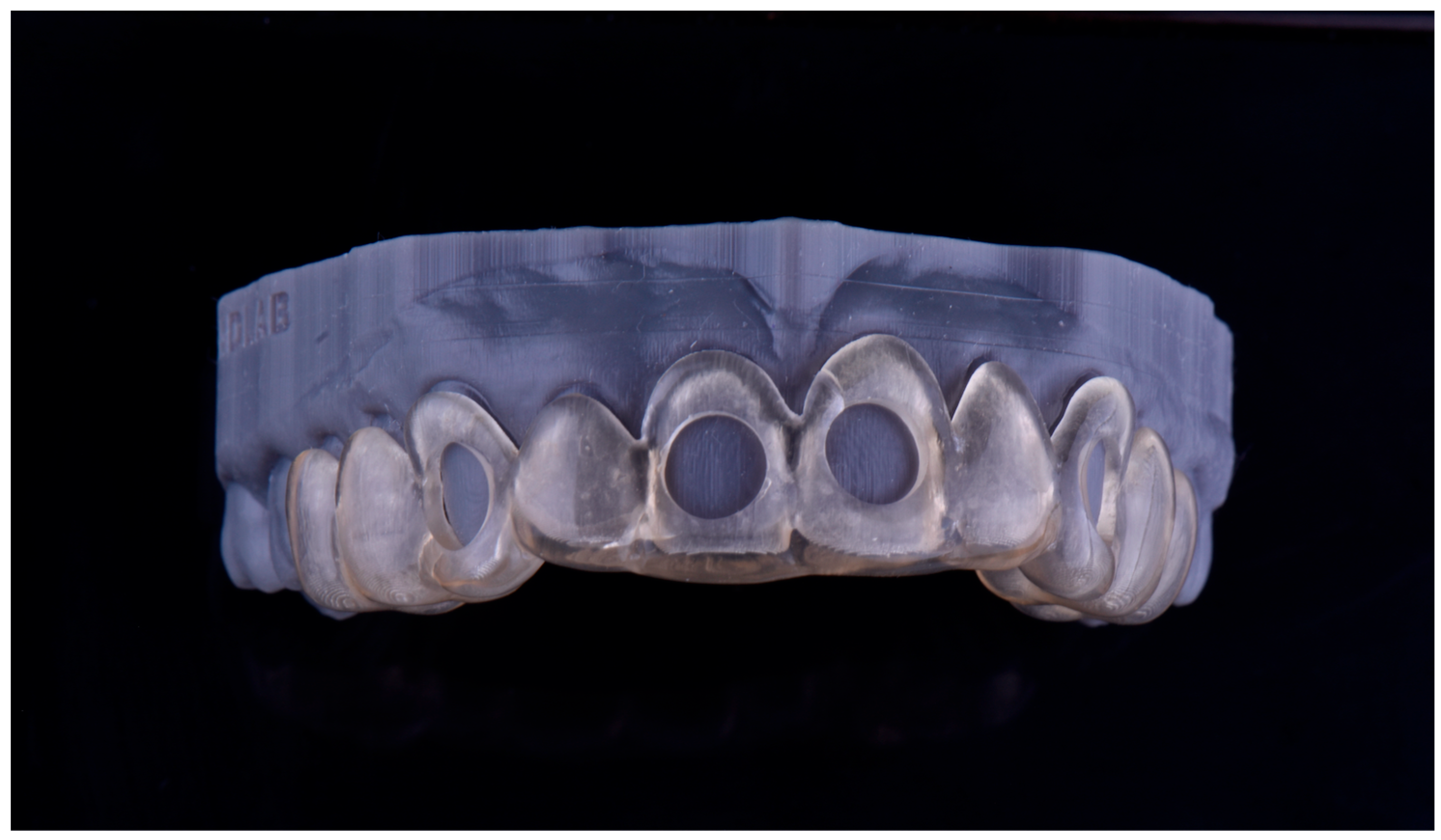
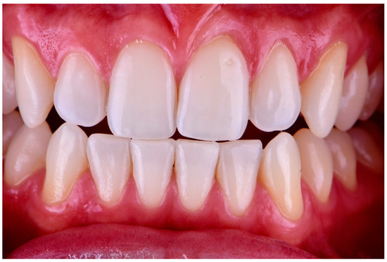
2. Materials and Methods
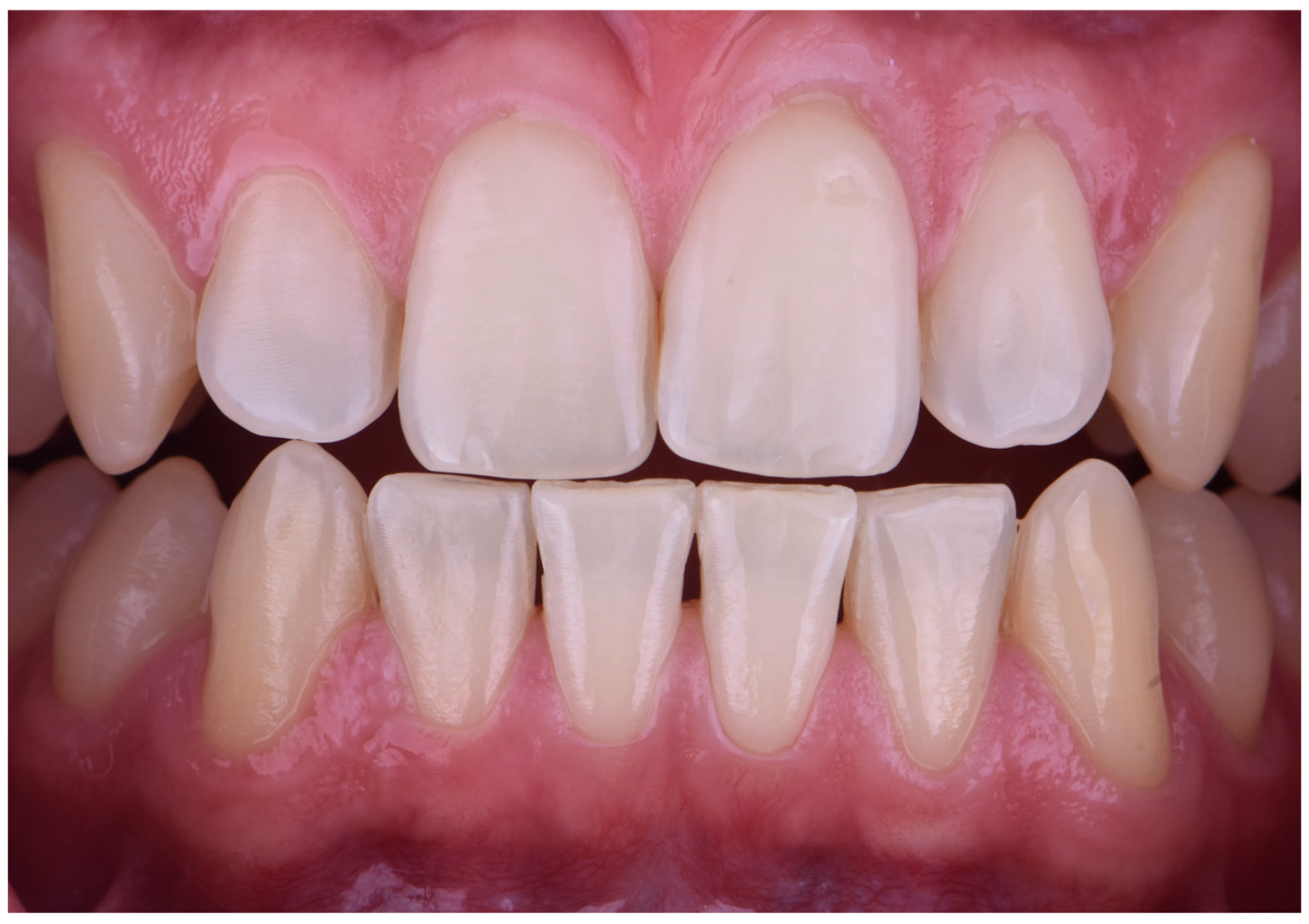
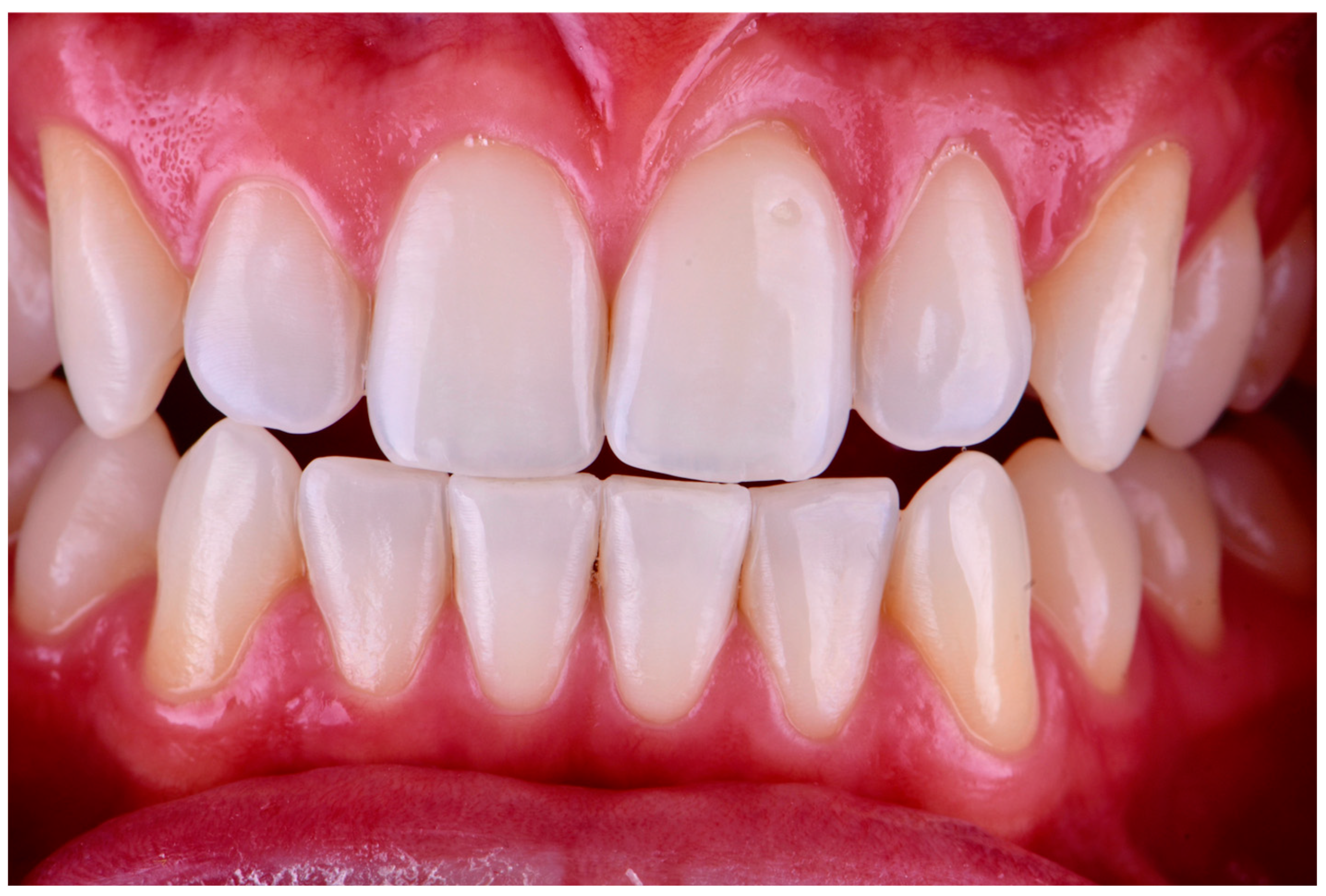
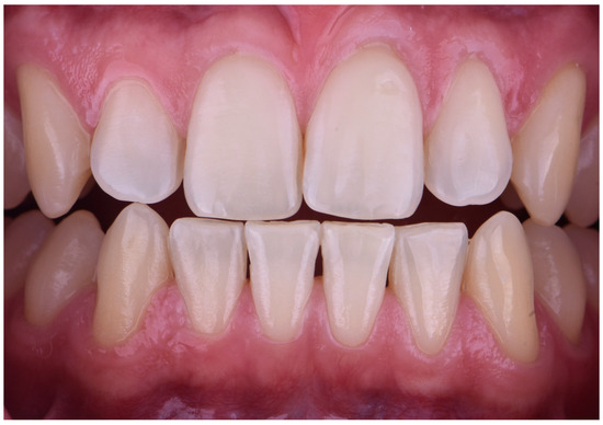
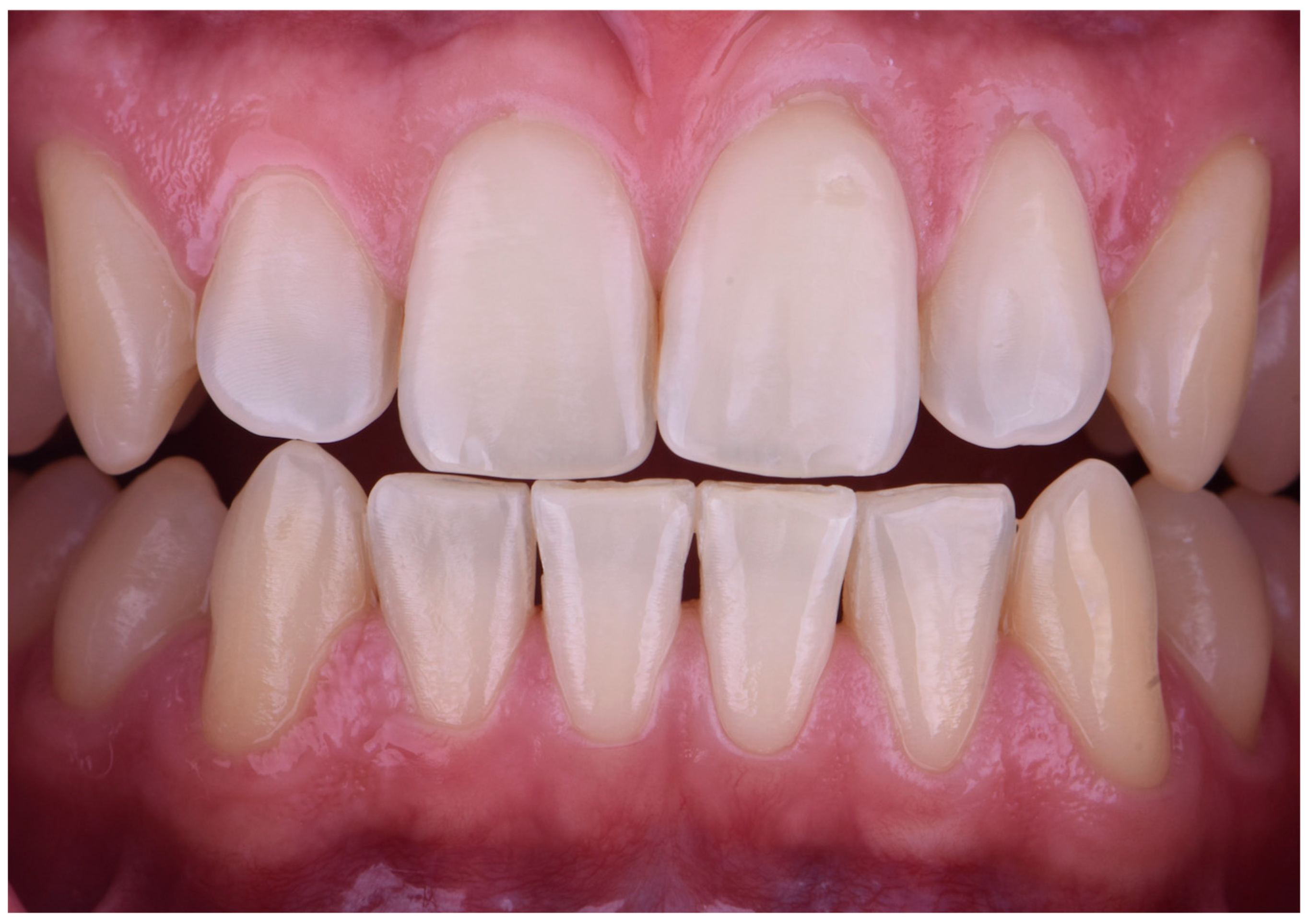
3. Results
4. Discussion
5. Conclusions
Author Contributions
Funding
Institutional Review Board Statement
Informed Consent Statement
Data Availability Statement
Conflicts of Interest
References
- Joiner, A. Tooth colour: A review of the literature. J. Dent. 2004, 32 (Suppl. 1), 3–12. [Google Scholar] [CrossRef] [PubMed]
- Sproull, R.C. Color matching in dentistry. Part I. The three-dimensional nature of color. J. Prosthet. Dent. 2001, 86, 453–457. [Google Scholar] [CrossRef] [PubMed]
- Sproull, R.C. Color matching in dentistry. Part II. Practical applications of the organization of color. J. Prosthet. Dent. 2001, 86, 458–464. [Google Scholar] [CrossRef] [PubMed]
- Chu, S.J.; Trushkowsky, R.D.; Paravina, R.D. Dental color matching instruments and systems. Review of clinical and research aspects. J. Dent. 2010, 38 (Suppl. 2), e2–e16. [Google Scholar] [CrossRef] [PubMed]
- Martinez, C.I.E.; Vasconcellos, D.K.; Özcan, M.; Volpato, C.A.M. Clinical Evaluation of the Influence of Illumination During Visual Shade Matching. J. Dent. App. 2014, 1, 95–99. [Google Scholar]
- Igiel, C.; Weyhrauch, M.; Wentaschek, S.; Scheller, H.; Lehmann, K.M. Dental color matching: A comparison between visual and instrumental methods. Dent. Mater. J. 2016, 35, 63–69. [Google Scholar] [CrossRef] [PubMed]
- Lehmann, K.; Devigus, A.; Wentaschek, S.; Igiel, C.; Scheller, H.; Paravina, R. Comparison of visual shade matching and electronic color measurement device. Int. J. Esthet. Dent. 2017, 12, 396–404. [Google Scholar] [PubMed]
- Igiel, C.; Lehmann, K.M.; Ghinea, R.; Weyhrauch, M.; Hangxy, Y.; Scheller, H.; Paravina, R.D. Reliability of visual and instrumental color matching. J. Esthet. Restor. Dent. 2017, 29, 303–308. [Google Scholar] [CrossRef] [PubMed]
- Dahl, J.E.; Pallesen, U. Tooth bleaching-a critical review of the biological aspects. Crit. Rev. Oral Biol. Med. 2003, 14, 292–304. [Google Scholar] [CrossRef] [PubMed]
- Hemming, M.; Kwon, S.R.; Qian, F. Repeatability in Color Measurements of a Spectrophotometer using Different Positioning Devices. J. Contemp. Dent. Pract. 2015, 16, 933–938. [Google Scholar] [CrossRef] [PubMed]
- Shimada, K.; Kakehashi, Y.; Matsumura, H.; Tanoue, N. In vivo quantitative evaluation of tooth color with hand-held colorimeter and custom template. J. Prosthet. Dent. 2004, 91, 389–391. [Google Scholar] [CrossRef] [PubMed]
- Islam, M.; Thahab, T.; Alhayally, A.; Padmanabhan, V.; Aryal, A.C.S.; Rahman, M. The Influence of Different Factors on Shade-Taking Accuracy Using Digital Shade Guide. Open Dent. J. 2024, 18, e18742106315626. [Google Scholar] [CrossRef]
- Newman, S.M.; Bottone, P.W. Tray-forming technique for dentist-supervised home bleaching. Quintessence Int. 1995, 26, 447–453. [Google Scholar] [PubMed]
- Fernández Millán, D.; Gallas Torreira, M.; de la Peña, V.A. Using a repositioning splint to determine reproducibility in the color registers of a dental spectrophotometer. J. Esthet. Restor. Dent. 2020, 32, 19–25. [Google Scholar] [CrossRef] [PubMed]
- Clark, D.M.; Hintz, J. Case report: In-office tooth whitening procedure with 35% carbamide peroxide evaluated by the Minolta CR-321 Chroma Meter. J. Esthet. Dent. 1998, 10, 37–42. [Google Scholar] [CrossRef] [PubMed]
- Central Bureau of the CIE International Commission on Illumination (CIE). Recommendations on Uniform Color Spaces, Color Difference Equations, Psychometric Color Terms; Supplement No. 2 to Publication No. 15; Central Bureau of the CIE International Commission on Illumination (CIE): Paris, France, 1978; pp. 9–12. [Google Scholar]
- Amaechi, B.T.; Higham, S.M. Development of a quantitative method to monitor the effect of a tooth whitening agent. J. Clin. Dent. 2002, 13, 100–103. [Google Scholar] [PubMed]
- Amengual, J.; Giménez, A.; Torregrosa, M.B.; Forner, L. Actualización de los procedimientos de protección tisular en el tratamiento de las discoloraciones en dientes vitales. Lab. Dent. 2005, 6, 226–232. [Google Scholar]
- Tavares, J.; Stultz, J.; Newman, M.; Smith, V.; Kent, R.; Carpino, E.; Goodson, J.M. Light augments tooth whitening with peroxide. J. Am. Dent. Assoc. 2003, 134, 167–175. [Google Scholar] [CrossRef] [PubMed]
- da Costa Filho, L.C.; da Costa, C.C.; Soria, M.L.; Taga, R. Effect of home bleaching and smoking on marginal gingival epithelium proliferation: A histologic study in women. J. Oral Pathol. Med. 2002, 31, 473–480. [Google Scholar] [CrossRef] [PubMed]
- Napoleão de Araújo, L.S.; dos Santos, P.H.; Anchieta, R.B.; Catelan, A.; Briso, A.L.F.; Zaze, A.C.S.F.; Sundfeld, R.H. Mineral loss and color change of enamel after bleaching and staining solutions combination. J. Biomed. Opt. 2013, 18, 108004. [Google Scholar] [CrossRef] [PubMed]
- Berge, S.T.; Coelho, A.S.; Oliveira, V.A.P.; Cavalli, V.; Giannini, M. Enamel susceptibility to red wine staining after 35% hydrogen peroxide. J. Appl. Oral Sci. 2008, 16, 201–204. [Google Scholar] [CrossRef] [PubMed]
- Cavalli, V.; Guerra da Silva, B.; Bittencourt Berger, S.; Marson, F.C.; Pereira Machado Tabchoury, C.; Giannini, M. Decomposition Rate, pH, and Enamel Color Alteration of At-Home and In-Office. Braz. Dent. J. 2019, 30, 385–396. [Google Scholar] [CrossRef] [PubMed]
- Malenova, Y.; Ortner, F.; Liokatis, P.; Haidari, S.; Tröltzsch, M.; Fegg, F.; Obermeier, K.T.; Hartung, J.T.; Kakoschke, T.K.; Burian, E.; et al. Accuracy of maxillary positioning using computer-designed and manufactured occlusal splints or patient-specific implants in orthognathic surgery. Clin. Oral. Investig. 2023, 27, 5063–5072. [Google Scholar] [CrossRef] [PubMed] [PubMed Central]
- Machado, L.S.; Anchieta, R.B.; dos Santos, P.H.; Briso, A.L.; Tovar, N.; Janal, M.N.; Coelho, P.G.; Sundfeld, R.H. Clinical Comparison of At-Home and In-Office Dental Bleaching Procedures: A Randomized Trial of a Split-Mouth Design. Int. J. Periodontics Restor. Dent. 2016, 36, 251–260. [Google Scholar] [CrossRef] [PubMed]
- Boccuzzi, M.; Nota, A.; Cosola, S.; De Simone, G.; Iozzo, R.; Pittari, L.; Hwang, M.H.; Bosco, F.; Polizzi, E.; Tecco, S. Effect of bleaching treatments on the adhesion of orthodontic brackets: A systematic review. BMC Oral Health 2023, 23, 758. [Google Scholar] [CrossRef] [PubMed]
- Nassif, M.; Haddad, C.; Habli, L.; Zoghby, A. Materials and manufacturing techniques for occlusal splints: A literature review. J. Oral Rehabil. 2023, 50, 1348–1354. [Google Scholar] [CrossRef] [PubMed]
- Grymak, A.; Aarts, J.M.; Ma, S.; Waddell, J.N.; Choi, J.J.E. Wear Behavior of Occlusal Splint Materials Manufactured By Various Methods: A Systematic Review. J. Prosthodont. 2022, 31, 472–487. [Google Scholar] [CrossRef] [PubMed]
- Kim, H.E.; Kim, B.I. An in vitro comparison of quantitative light-induced fluorescence-digital and spectrophotometer on monitoring artificial white spot lesions. Photodiagnosis Photodyn. Ther. 2015, 12, 378–384. [Google Scholar] [CrossRef] [PubMed]
- Mounika, A.; Mandava, J.; Roopesh, B.; Karri, G. Clinical evaluation of color change and tooth sensitivity with in-office and home bleaching treatments. Indian J. Dent. Res. 2018, 29, 423–427. [Google Scholar] [CrossRef] [PubMed]
- Pan, Q.; Westland, S. Tooth color and whitening—Digital technologies. J. Dent. 2018, 74 (Suppl. 1), S42–S46. [Google Scholar] [CrossRef] [PubMed]
- Kapitán, M.; Suchánková Kleplová, T.; Suchánek, J. A Comparison of Three Rubber Dam Systems In Vivo—A Preliminary Study. Acta Medica 2015, 58, 15–20. [Google Scholar] [CrossRef] [PubMed]






| L. Initial | L. Initial | a. Final | a. Initial | b. Final | b. Initial | ∆E1 | |
|---|---|---|---|---|---|---|---|
| 1.3 | 77.70 | 79.70 | 1.70 | 1.20 | 29.00 | 28.90 | 2.06 |
| 1.1 | 79.90 | 83.90 | −0.90 | −1.70 | 17.50 | 16.20 | 4.28 |
| 2.1 | 80.40 | 85.40 | 0.00 | −1.50 | 20.10 | 17.50 | 5.83 |
| 2.3 | 77.60 | 80.00 | 2.20 | 1.60 | 29.80 | 29.60 | 2.48 |
| 3.3 | 80.90 | 79.10 | 1.50 | 1.00 | 28.90 | 26.90 | 2.74 |
| 4.3 | 79.10 | 81.40 | 1.80 | 0.70 | 28.70 | 26.80 | 3.18 |
| L. Final | L. Initial | a. Final | a. Initial | b. Final | b. Initial | ∆E5 | |
|---|---|---|---|---|---|---|---|
| 1.3 | 88.30 | 79.70 | −2.20 | 1.20 | 12.40 | 28.90 | 18.91 |
| 1.1 | 88.80 | 83.90 | −2.40 | −1.70 | 7.60 | 16.20 | 9.92 |
| 2.1 | 87.40 | 85.40 | −2.50 | −1.50 | 6.70 | 17.50 | 11.03 |
| 2.3 | 88.40 | 80.00 | −2.20 | 1.60 | 13.20 | 29.60 | 18.81 |
| 3.3 | 88.50 | 79.10 | 2.00 | 1.00 | 14.70 | 26.90 | 15.43 |
| 4.3 | 88.60 | 81.40 | −2.30 | 0.70 | 13.80 | 26.80 | 15.16 |
| L. Final | L. Initial | a. Final | a. Initial | b. Final | b. Initial | ∆E6 | |
|---|---|---|---|---|---|---|---|
| 1.3 | 88.30 | 79.70 | −2.20 | 1.20 | 12.20 | 28.90 | 19.09 |
| 1.1 | 88.80 | 83.90 | −2.40 | −1.70 | 7.80 | 16.20 | 9.75 |
| 2.1 | 87.40 | 85.40 | −2.50 | −1.50 | 6.90 | 17.50 | 10.83 |
| 2.3 | 88.40 | 80.00 | −2.20 | 1.60 | 13.00 | 29.60 | 18.99 |
| 3.3 | 88.50 | 79.10 | 2.00 | 1.00 | 14.40 | 26.90 | 15.67 |
| 4.3 | 88.60 | 81.40 | −2.30 | 0.70 | 14.00 | 26.80 | 14.99 |
Disclaimer/Publisher’s Note: The statements, opinions and data contained in all publications are solely those of the individual author(s) and contributor(s) and not of MDPI and/or the editor(s). MDPI and/or the editor(s) disclaim responsibility for any injury to people or property resulting from any ideas, methods, instructions or products referred to in the content. |
© 2025 by the authors. Licensee MDPI, Basel, Switzerland. This article is an open access article distributed under the terms and conditions of the Creative Commons Attribution (CC BY) license (https://creativecommons.org/licenses/by/4.0/).
Share and Cite
Abad-Coronel, C.; Vallejo-Yupa, G.; Aliaga, P.; Mena-Córdova, N.; Alonso Pérez-Barquero, J.; Amengual-Lorenzo, J. The Use of a Digitally Generated Matrix for Consistent Shade Recording in Tooth Bleaching—A Case Report. Dent. J. 2025, 13, 339. https://doi.org/10.3390/dj13080339
Abad-Coronel C, Vallejo-Yupa G, Aliaga P, Mena-Córdova N, Alonso Pérez-Barquero J, Amengual-Lorenzo J. The Use of a Digitally Generated Matrix for Consistent Shade Recording in Tooth Bleaching—A Case Report. Dentistry Journal. 2025; 13(8):339. https://doi.org/10.3390/dj13080339
Chicago/Turabian StyleAbad-Coronel, Cristian, Guissell Vallejo-Yupa, Paulina Aliaga, Nancy Mena-Córdova, Jorge Alonso Pérez-Barquero, and José Amengual-Lorenzo. 2025. "The Use of a Digitally Generated Matrix for Consistent Shade Recording in Tooth Bleaching—A Case Report" Dentistry Journal 13, no. 8: 339. https://doi.org/10.3390/dj13080339
APA StyleAbad-Coronel, C., Vallejo-Yupa, G., Aliaga, P., Mena-Córdova, N., Alonso Pérez-Barquero, J., & Amengual-Lorenzo, J. (2025). The Use of a Digitally Generated Matrix for Consistent Shade Recording in Tooth Bleaching—A Case Report. Dentistry Journal, 13(8), 339. https://doi.org/10.3390/dj13080339

