Immediate Implants in Extraction Sockets with Deficient Buccal Walls in the Maxillary Aesthetic Zone
Abstract
1. Manuscript
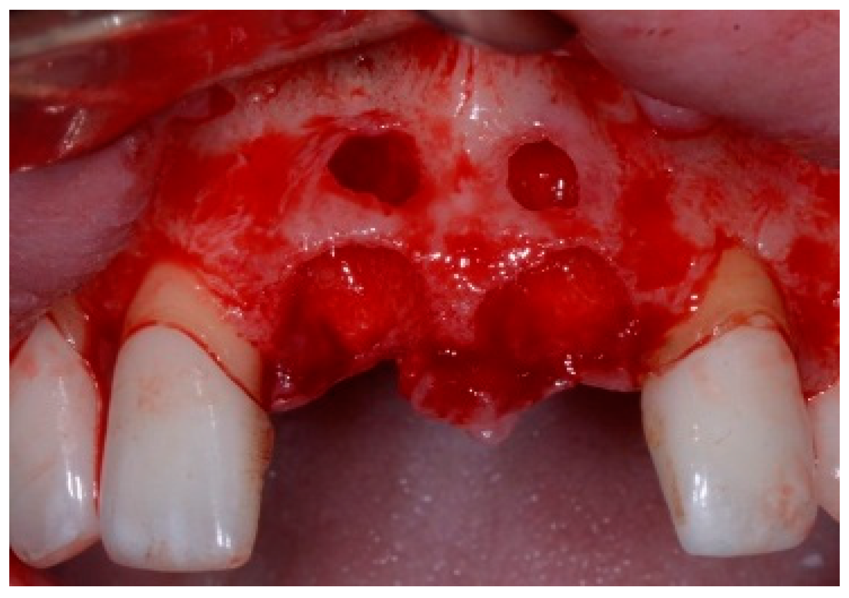
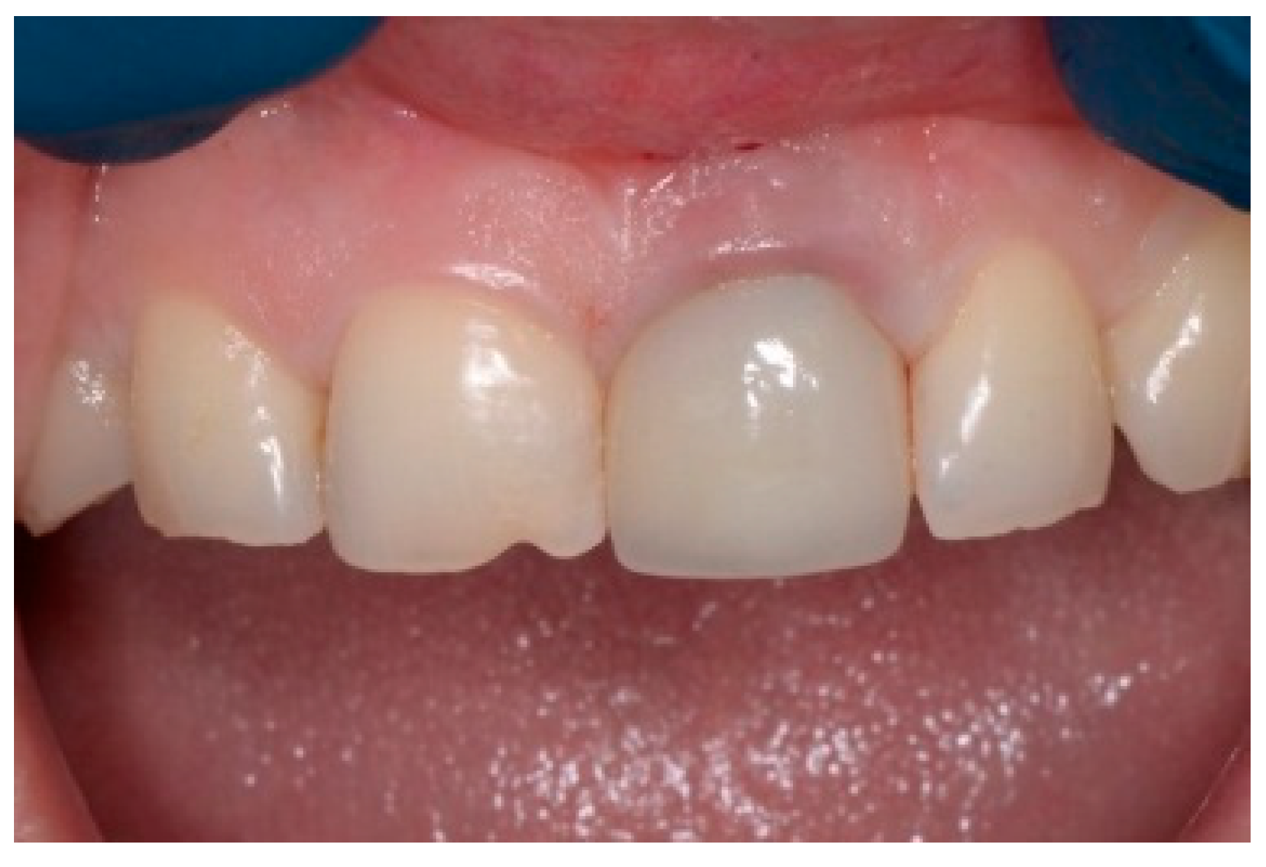
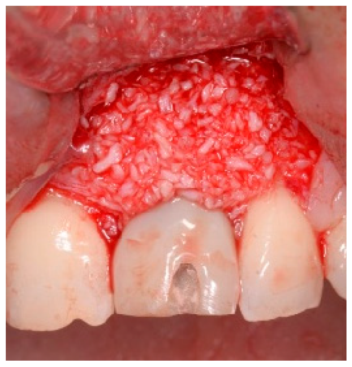
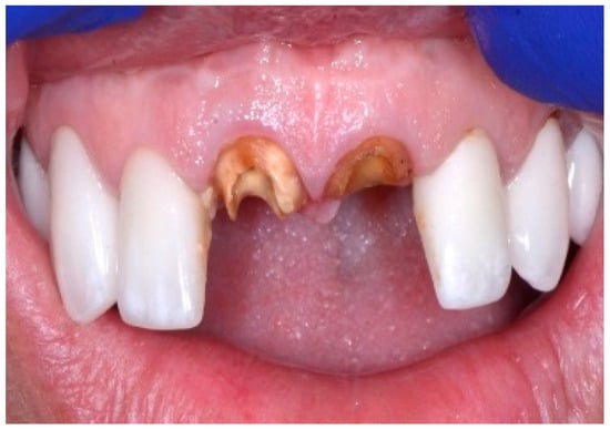
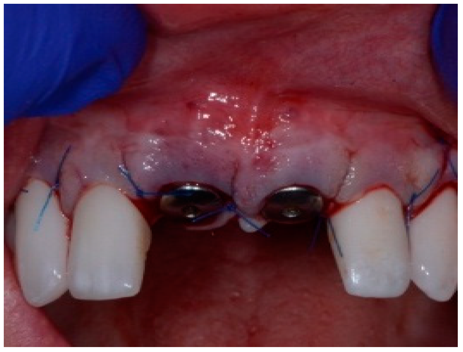
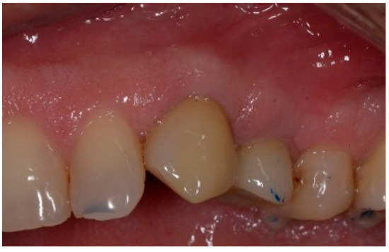
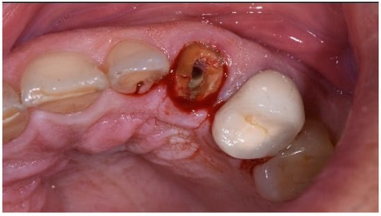
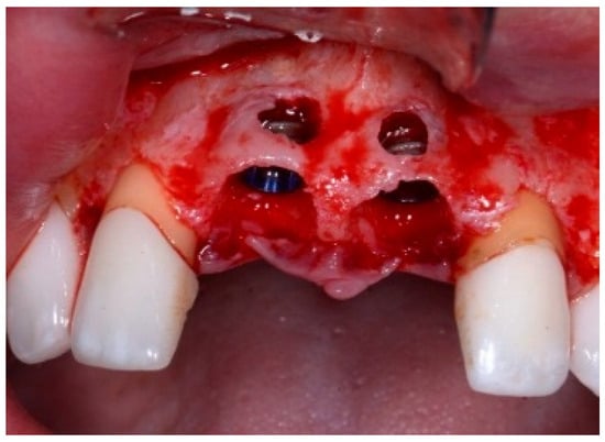
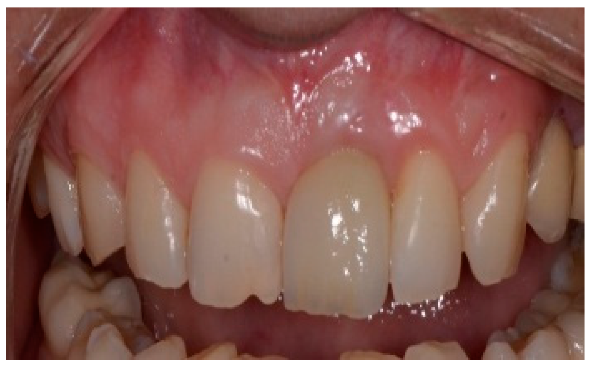
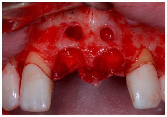
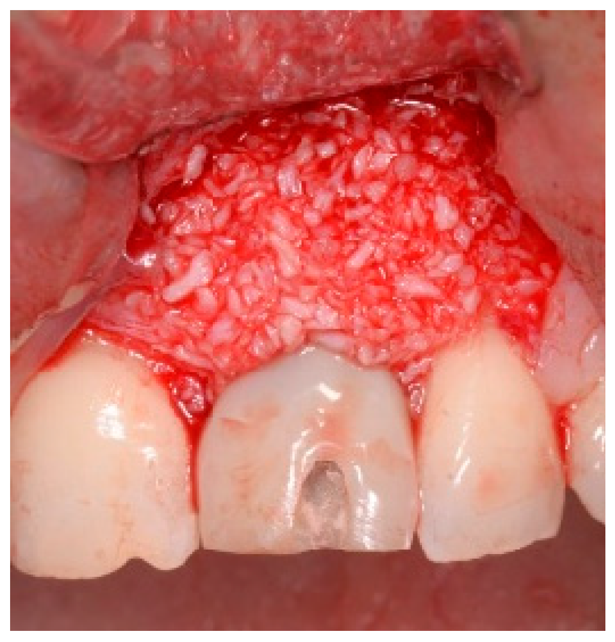
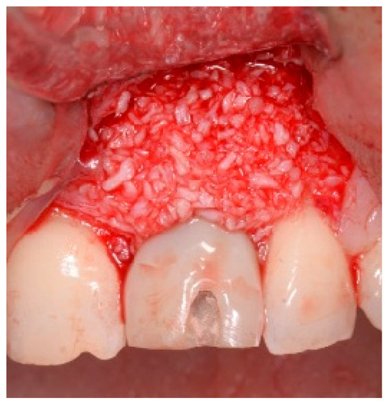
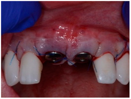
2. Patient 1
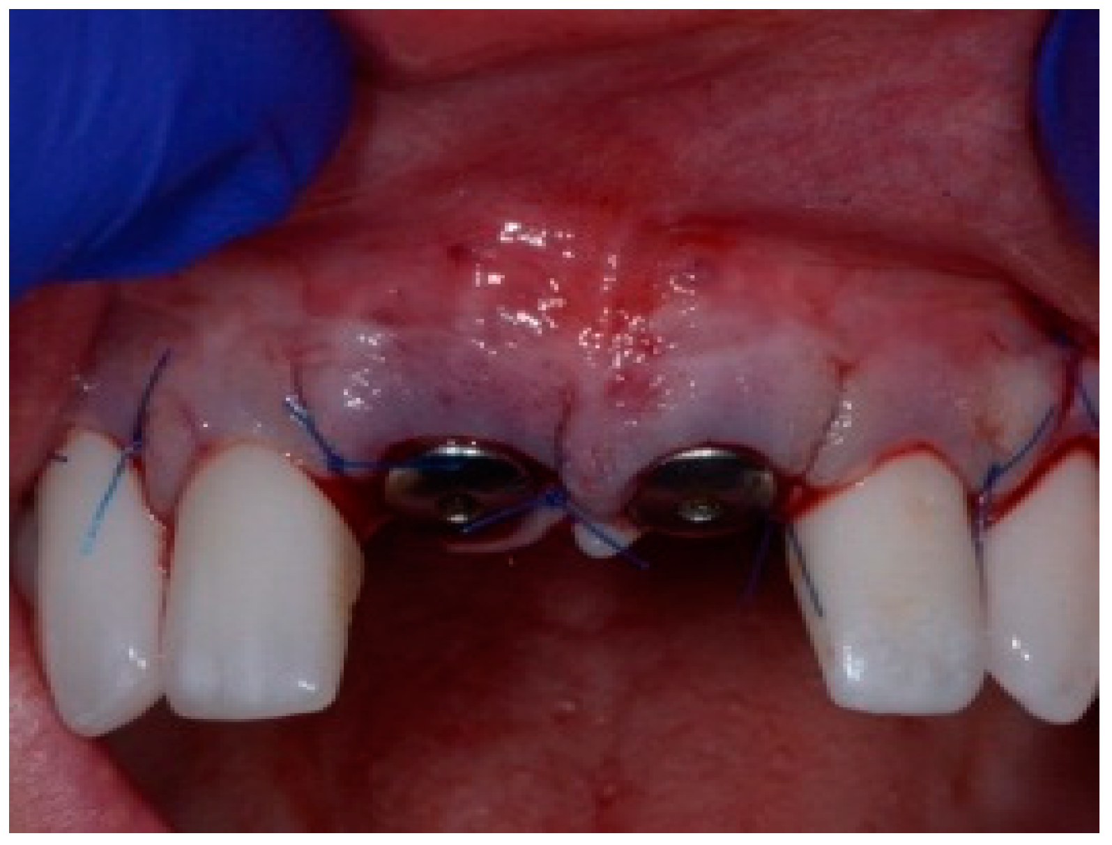
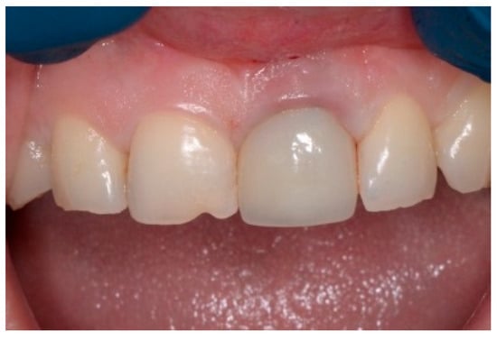
2.1. Surgical Protocol
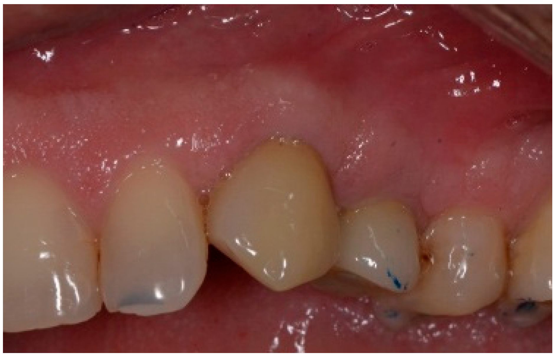
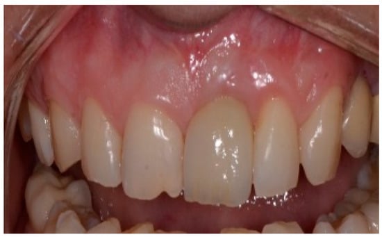
2.2. Postoperative Management
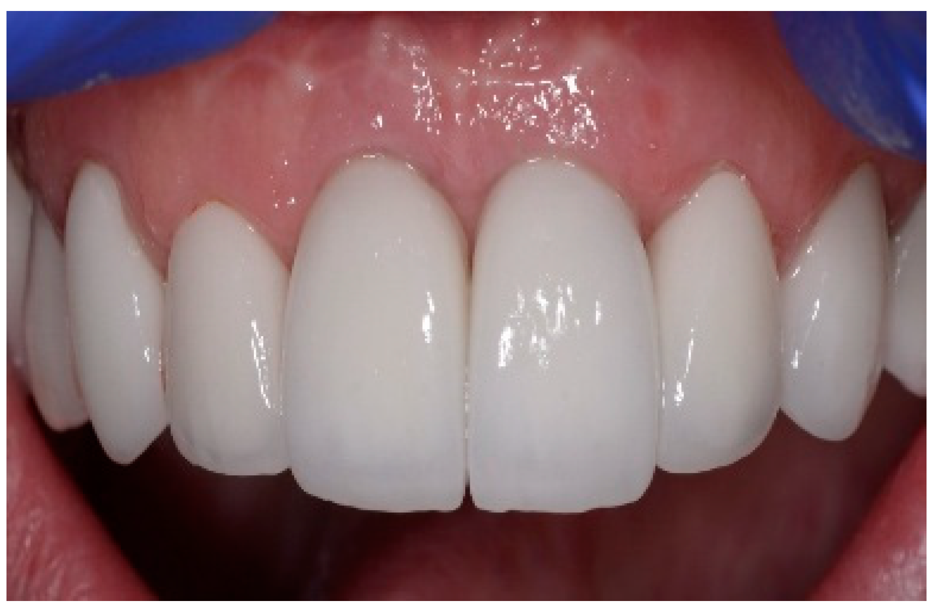
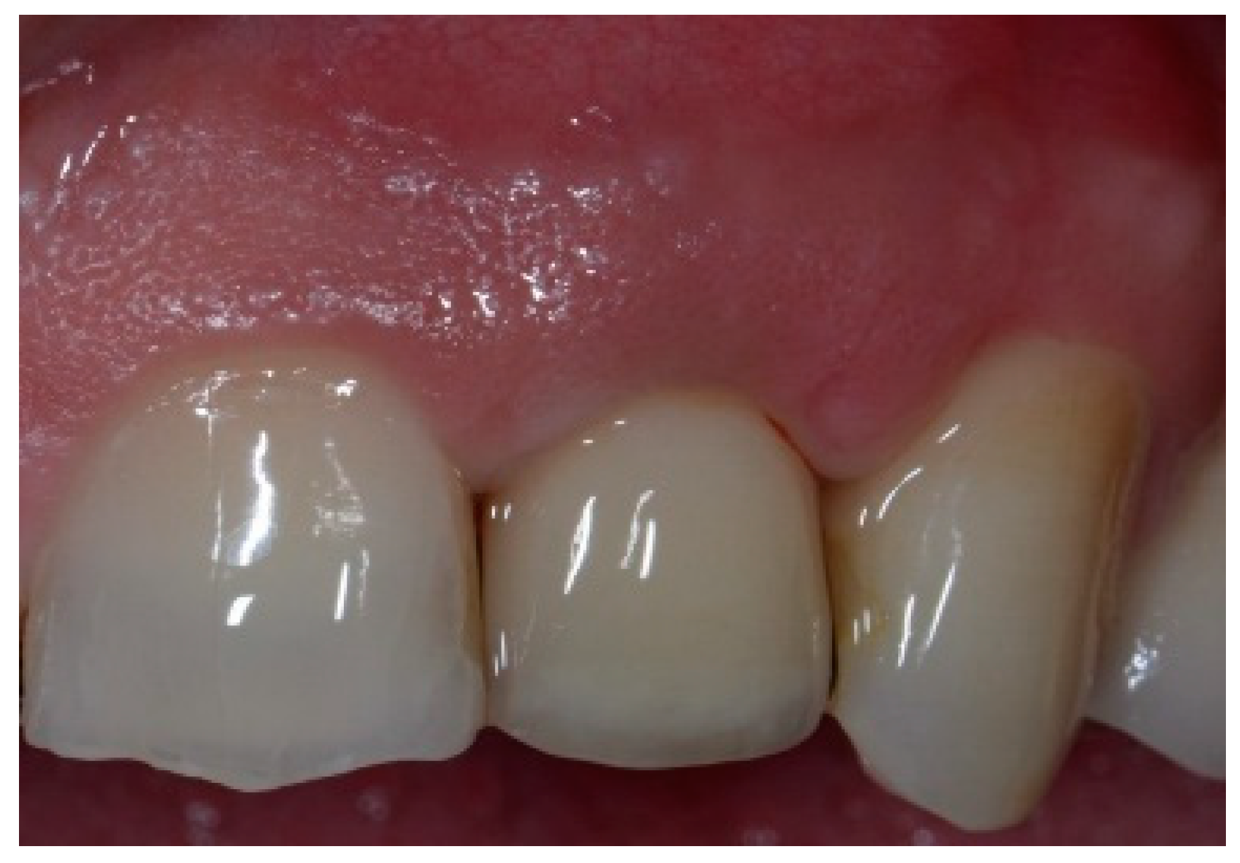
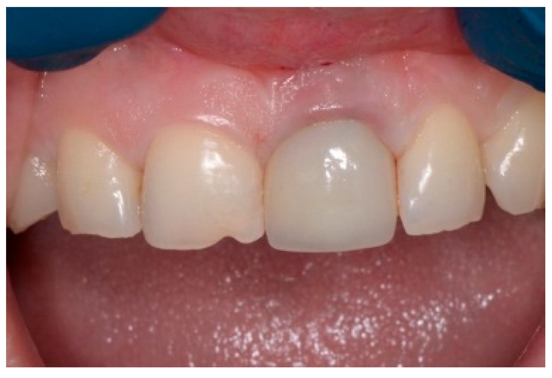
2.3. Follow-Up
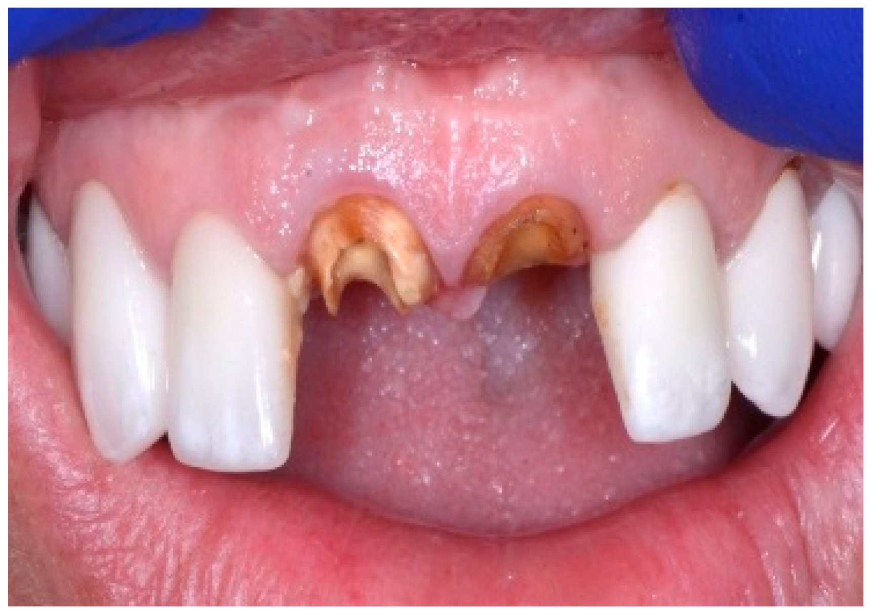
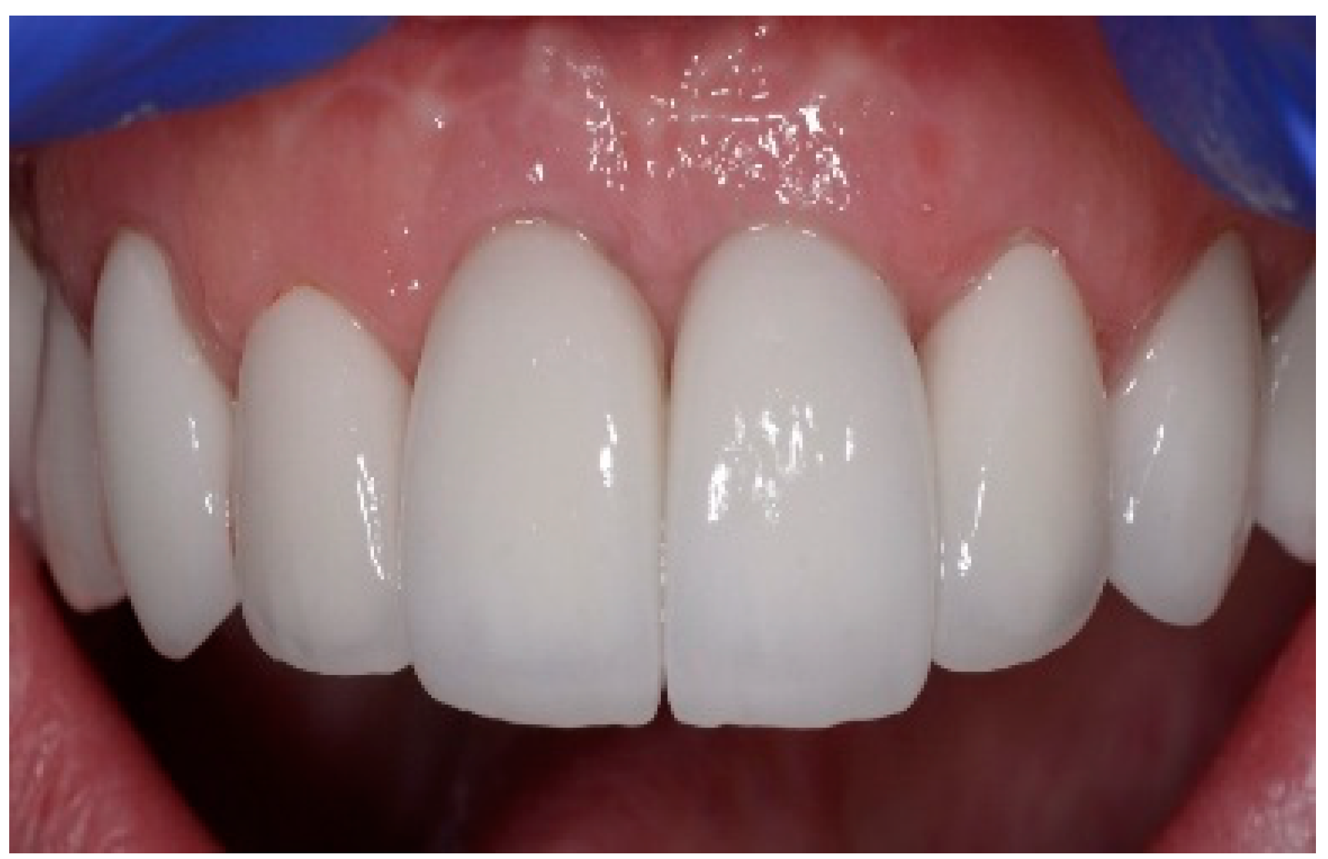
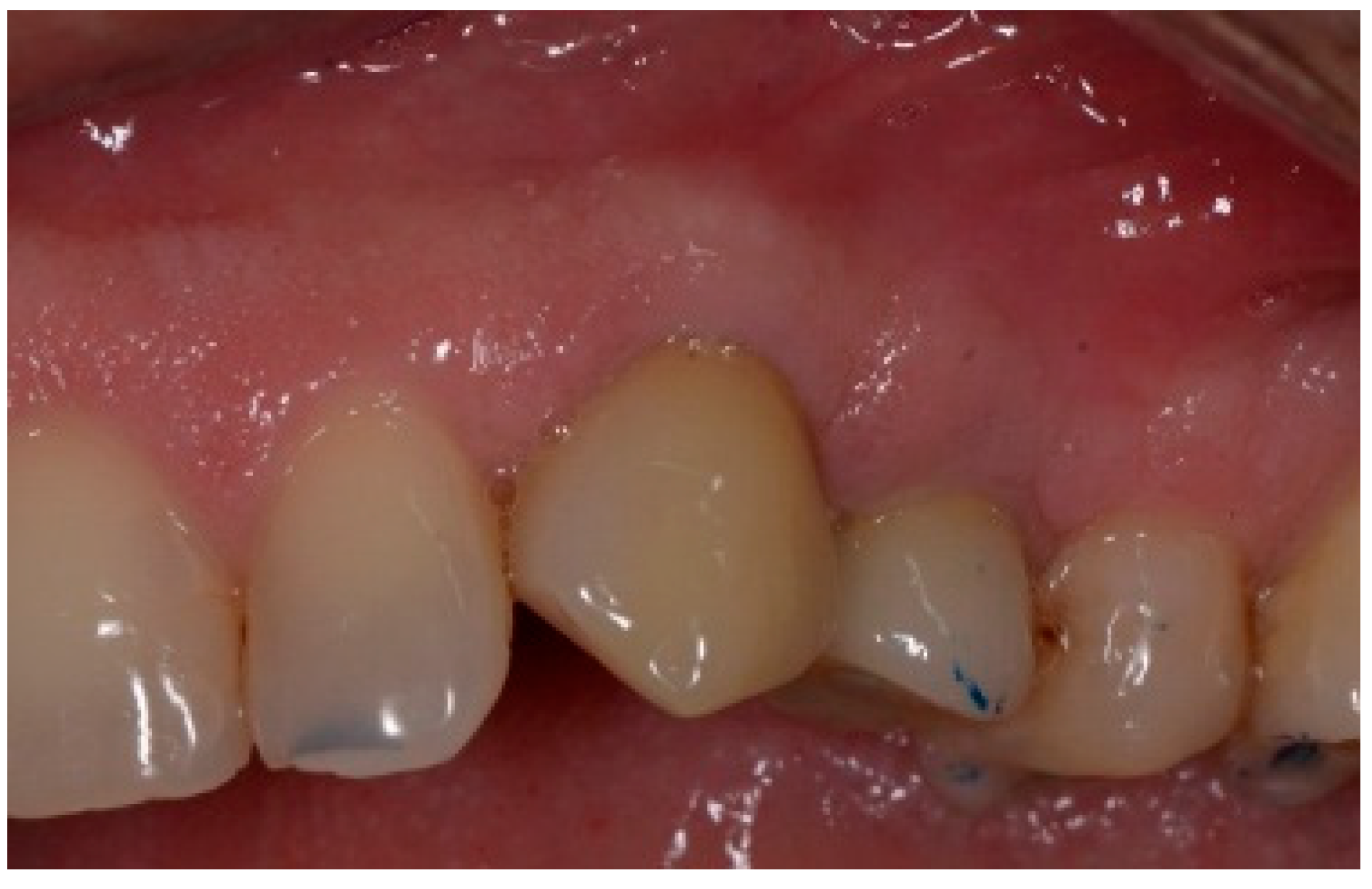
3. Patient 2
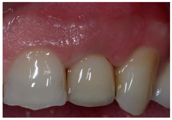
4. Patient 3
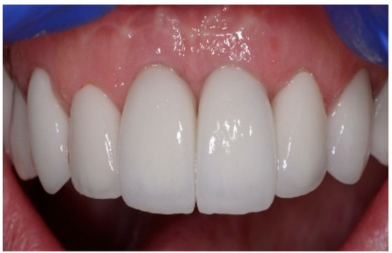
5. Patient 4
6. Discussion
7. Conclusions
Author Contributions
Funding
Institutional Review Board Statement
Informed Consent Statement
Data Availability Statement
Conflicts of Interest
References
- Sabri, H.; Barootchi, S.; Heck, T.; Wang, H.L. Single-rooted extraction socket classification: A systematic review and proposal of a new classification system based on morphologic and patient-related factors. J. Esthet. Restor. Dent. 2023, 35, 168–182. [Google Scholar] [CrossRef] [PubMed]
- Steigmann, L.; Di Gianfilippo, R.; Steigmann, M.; Wang, H.L. Classification Based on Extraction Socket Buccal Bone Morphology and Related Treatment Decision Tree. Materials 2022, 15, 733. [Google Scholar] [CrossRef] [PubMed]
- Cardaropoli, D.; Nevins, M.; Casentini, P. A Clinical Classification System for the Treatment of Postextraction Sites. Int. J. Periodontics Restor. Dent. 2021, 41, 227–232. [Google Scholar] [CrossRef] [PubMed]
- Funato, A.; Salama, M.A.; Ishikawa, T.; Garber, D.A.; Salama, H. Timing, positioning, and sequential staging in esthetic implant therapy: A four-dimensional perspective. Int. J. Periodontics Restor. Dent. 2007, 27, 313–323. [Google Scholar]
- Jung, R.E.; Ioannidis, A.; Hammerle, C.H.F.; Thoma, D.S. Alveolar ridge preservation in the esthetic zone. Periodontol 2000 2018, 77, 165–175. [Google Scholar] [CrossRef] [PubMed]
- Tonetti, M.S.; Jung, R.E.; Avila-Ortiz, G.; Blanco, J.; Cosyn, J.; Fickl, S.; Figuero, E.; Goldstein, M.; Graziani, F.; Madianos, P.; et al. Management of the extraction socket and timing of implant placement: Consensus report and clinical recommendations of group 3 of the XV European Workshop in Periodontology. J. Clin. Periodontol. 2019, 46 (Suppl. S21), 183–194. [Google Scholar] [CrossRef] [PubMed]
- Chen, S.T.; Darby, I. The relationship between facial bone wall defects and dimensional alterations of the ridge following flapless tooth extraction in the anterior maxilla. Clin. Oral Implant. Res. 2017, 28, 931–937. [Google Scholar] [CrossRef] [PubMed]
- Chen, H.; Zhang, G.; Weigl, P.; Gu, X. Immediate placement of dental implants into infected versus noninfected sites in the esthetic zone: A systematic review and meta-analysis. J. Prosthet. Dent. 2018, 120, 658–667. [Google Scholar] [CrossRef] [PubMed]
- Chrcanovic, B.R.; Martins, M.D.; Wennerberg, A. Immediate placement of implants into infected sites: A systematic review. Clin. Implant. Dent. Relat. Res. 2015, 17 (Suppl. S1), e1–e16. [Google Scholar] [CrossRef] [PubMed]
- Zuffetti, F.; Capelli, M.; Galli, F.; Del Fabbro, M.; Testori, T. Post-extraction implant placement into infected versus non-infected sites: A multicenter retrospective clinical study. Clin. Implant. Dent. Relat. Res. 2017, 19, 833–840. [Google Scholar] [CrossRef] [PubMed]
- Waasdorp, J.A.; Evian, C.I.; Mandracchia, M. Immediate placement of implants into infected sites: A systematic review of the literature. J. Periodontol. 2010, 81, 801–808. [Google Scholar] [CrossRef] [PubMed]
- Morton, D.; Wismeijer, D.; Chen, S.; Hamilton, A.; Wittneben, J.; Casentini, P.; Gonzaga, L.; Lazarin, R.; Martin, W.; Molinero-Mourelle, P.; et al. Group 5 ITI Consensus Report: Implant placement and loading protocols. Clin. Oral Implant. Res. 2023, 34 (Suppl. S26), 349–356. [Google Scholar] [CrossRef] [PubMed]
- Peters, L.B.; Wesselink, P.R.; van Winkelhoff, A.J. Combinations of bacterial species in endodontic infections. Int. Endod. J. 2002, 35, 698–702. [Google Scholar] [CrossRef] [PubMed]
- Lindeboom, J.A.; Tjiook, Y.; Kroon, F.H. Immediate placement of implants in periapical infected sites: A prospective randomized study in 50 patients. Oral Surg. Oral Med. Oral Pathol. Oral Radiol. Endod. 2006, 101, 705–710. [Google Scholar] [CrossRef] [PubMed]
- Becker, W.; Becker, B.E. Guided tissue regeneration for implants placed into extraction sockets and for implant dehiscences: Surgical techniques and case report. Int. J. Periodontics Restor. Dent. 1990, 10, 376–391. [Google Scholar]
- Higginbottom, F.; Belser, U.; Jones, J.D.; Keith, S.E. Prosthetic management of implants in the esthetic zone. Int. J. Oral Maxillofac. Implant. 2004, 19, 62–72. [Google Scholar]
- Kan, J.Y.K.; Rungcharassaeng, K.; Yin, S.; Fang, Q.; urban, I.A.; Monje, A.; Tavelli, L.; Barootchi, S.; Chung, J.Y.; Lezada, J.L. Facial Mucosal Level Change Following Maxillary Anterior Single Immediate Tooth Replacement in Extraction Sockets with Facial Bone Wall Defects: A 4- to 15-Year Retrospective Study. Compend. Contin. Educ. Dent. 2023, 44, 392–401. [Google Scholar]
- Novaes, A.B., Jr.; Vidigal, G.M.; Novaes, A.B.; Grisi, M.F.M.; Polloni, S.; Rosa, A. Immediate Implants Placed into Infected Sites: A Histomorphometric Study in Dogs. Int. J. Oral Maxillofac. Implant. 1998, 13, 422–427. [Google Scholar]




















Disclaimer/Publisher’s Note: The statements, opinions and data contained in all publications are solely those of the individual author(s) and contributor(s) and not of MDPI and/or the editor(s). MDPI and/or the editor(s) disclaim responsibility for any injury to people or property resulting from any ideas, methods, instructions or products referred to in the content. |
© 2025 by the authors. Licensee MDPI, Basel, Switzerland. This article is an open access article distributed under the terms and conditions of the Creative Commons Attribution (CC BY) license (https://creativecommons.org/licenses/by/4.0/).
Share and Cite
Boeriu, S.; Hottel, T.; Chirla, C.; Chirla, P. Immediate Implants in Extraction Sockets with Deficient Buccal Walls in the Maxillary Aesthetic Zone. Dent. J. 2025, 13, 185. https://doi.org/10.3390/dj13050185
Boeriu S, Hottel T, Chirla C, Chirla P. Immediate Implants in Extraction Sockets with Deficient Buccal Walls in the Maxillary Aesthetic Zone. Dentistry Journal. 2025; 13(5):185. https://doi.org/10.3390/dj13050185
Chicago/Turabian StyleBoeriu, Sorin, Timothy Hottel, Cris Chirla, and Phillip Chirla. 2025. "Immediate Implants in Extraction Sockets with Deficient Buccal Walls in the Maxillary Aesthetic Zone" Dentistry Journal 13, no. 5: 185. https://doi.org/10.3390/dj13050185
APA StyleBoeriu, S., Hottel, T., Chirla, C., & Chirla, P. (2025). Immediate Implants in Extraction Sockets with Deficient Buccal Walls in the Maxillary Aesthetic Zone. Dentistry Journal, 13(5), 185. https://doi.org/10.3390/dj13050185
