Bone-Regenerating Capacity of Chitosan Membrane and Chitosan Foam Scaffolds in Critical Size Defects: In Vitro and In Vivo Study
Abstract
1. Introduction
2. Materials and Methods
2.1. Preparation of Scaffolds
- 1.14 gm of chitosan powder (90–95% deacetylation degree—medium molecular weight—ChitoLab—Egypt) was dissolved in 100 mL of 2% acetic acid, and mixture was magnetic stirred for 2 h at 500–600 rpm. After stirring, mixture was injected using sterile plastic syringe into 2 sterile plastic cups (14 mL in each cup).
- Chitosan solution in the two cups was frozen at −80 °C for 24 h, then freeze-dried in lyophilizer (CHRIST Alpha 1–4 LD plus (serial number: 22695)) for 48 h. Parameters of lyophilization were as following: freezing (15 min), then main drying (temperature of −45 °C, pressure was 0.070 mbar, and time was 2 days), and final drying stage (−76 °C, 0.0010 mbar, and 15 min).
2.2. Morphological Evaluation of Scaffolds by Scanning Electron Microscopy
2.2.1. Scanning Electron Microscopy (SEM) Imaging
2.2.2. Pore Size Measurement
2.3. Biocompatibility Assessment of Mesenchymal Stem Cells
2.3.1. Mesenchymal Stem Cell (MSC) Isolation and Subculturing
2.3.2. Characterization of MSCs
2.3.3. Cytotoxicity Evaluation by MTT Assay
2.4. Power Analysis of Sample Size for Animal Groups
2.5. In Vivo Application of Scaffolds
2.5.1. Presurgical Preparation of Scaffolds
2.5.2. Animal Grouping and Study Design
2.5.3. Surgical Procedures
2.5.4. Histological and Histochemical Assessment
Specimen Retrieval, Histological Staining, and Histochemical Staining
Qualitative Histopathological Scoring
3. Results
3.1. Morphological Evaluation by Scanning Electron Microscopy
3.1.1. Scanning Electron Microscopy Imaging
3.1.2. Pore Size Measurements
3.2. Biocompatibility Assessment of Mesenchymal Stem Cells
Cytotoxicity Evaluation by MTT Assay
3.3. In Vivo Application of Scaffolds
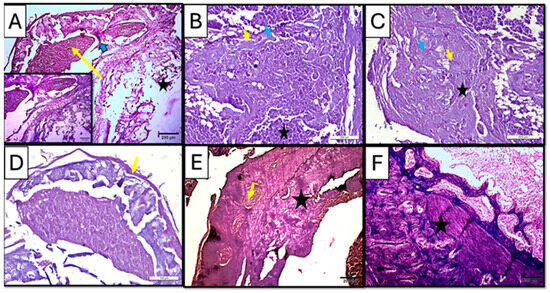
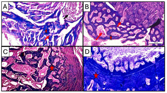
3.3.1. Histological and Histochemical Assessment
Three-Week (21 d) Group—“Hematoxylin and Eosin Staining”
Five-Week (35 d) Period—“Hematoxylin and Eosin Staining”
3.3.2. Qualitative Histopathological Scoring
4. Discussion
5. Conclusions
- Both chitosan membrane and chitosan foam scaffolds showed a high bone regeneration capacity in the critical bone defect of rats’ femur bone, in comparison to bone regeneration without using a scaffold.
- The chitosan foam scaffold showed a significantly higher bone regenerating capacity in critical bone defects of rats’ femur bone, in comparison to the chitosan membrane one.
- The higher bone regenerating capacity of the chitosan foam scaffold could be related to its higher mean pore size than that of chitosan membrane, in addition to the wide range of chitosan foam porosity (<50 to >100 µm).
Author Contributions
Funding
Institutional Review Board Statement
Informed Consent Statement
Data Availability Statement
Conflicts of Interest
References
- Levengood, S.L.; Zhang, M. Chitosan-based scaffolds for bone tissue engineering. J. Mater. Chem. B 2014, 2, 3161–3184. [Google Scholar] [CrossRef] [PubMed]
- Ke, Y.; Ye, Y.; Wu, J.; Ma, Y.; Fang, Y.; Jiang, F.; Yu, J. Phosphoserine-loaded chitosan membranes promote bone regeneration by activating endogenous stem cells. Front. Bioeng. Biotechnol. 2023, 11, 1096532. [Google Scholar] [CrossRef] [PubMed]
- Mukasheva, F.; Adilova, L.; Dyussenbinov, A.; Yernaimanova, B.; Abilev, M.; Akilbekova, D. Optimizing scaffold pore size for tissue engineering: Insights across various tissue types. Front. Bioeng. Biotechnol. 2024, 12, 1444986. [Google Scholar] [CrossRef] [PubMed]
- Cooper, D.M.L.; Thomas, C.D.L.; Clement, J.G.; Turinsky, A.L.; Sensen, C.W.; Hallgrímsson, B. Age-dependent change in the 3D structure of cortical porosity at the human femoral midshaft. Bone 2007, 40, 957–965. [Google Scholar] [CrossRef]
- Alonzo, M.; Alvarez Primo, F.; Anil Kumar, S.; Mudloff, J.A.; Dominguez, E.; Fregoso, G.; Ortiz, N.; Weiss, W.M.; Joddar, B. Bone tissue engineering techniques, advances, and scaffolds for treatment of bone defects. Curr. Opin. Biomed. Eng. 2021, 17, 100248. [Google Scholar] [CrossRef] [PubMed]
- Yadav, P.; Beniwal, G.; Saxena, K.K. A review on pore and porosity in tissue engineering. Mater. Today Proc. 2021, 44, 2623–2628. [Google Scholar] [CrossRef]
- Benedict Terkula Iber Nor Azman Kasan, D.T.J.W.O. A Review of Various Sources of Chitin and Chitosan in Nature. J. Renew. Mater. 2022, 10, 1097–1123. [Google Scholar] [CrossRef]
- Lekhavadhani, S.; Shanmugavadivu, A.; Selvamurugan, N. Role and architectural significance of porous chitosan-based scaffolds in bone tissue engineering. Int. J. Biol. Macromol. 2023, 251, 126238. [Google Scholar] [CrossRef]
- Grzybek, P.; Jakubski, Ł.; Dudek, G. Neat Chitosan Porous Materials: A Review of Preparation, Structure Characterization and Application. Int. J. Mol. Sci. 2022, 23, 9932. [Google Scholar] [CrossRef]
- Medhat, A.; El-Zainy, M.A.; Fathy, I. Photo biomodulation of dental derived stem cells to ameliorate regenerative capacity: In vitro study. Saudi Dent. J. 2024, 36, 347–352. [Google Scholar] [CrossRef]
- Liu, X.; Wang, Z. Chitosan-calcium carbonate scaffold with high mineral content and hierarchical structure for bone regeneration. Smart Mater. Med. 2023, 4, 552–561. [Google Scholar] [CrossRef]
- Dai, Z.; Ronholm, J.; Tian, Y.; Sethi, B.; Cao, X. Sterilization techniques for biodegradable scaffolds in tissue engineering applications. J. Tissue Eng. 2016, 7, 2041731416648810. [Google Scholar] [CrossRef] [PubMed]
- Ezoddini-Ardakani, F.; Navabazam, A.; Fatehi, F.; Danesh-Ardekani, M.; Khadem, S.; Rouhi, G. Histologic evaluation of chitosan as an accelerator of bone regeneration in microdrilled rat tibias. Dent. Res. J. 2012, 9, 694–699. [Google Scholar]
- De la Riva, B.; Sánchez, E.; Hernández, A.; Reyes, R.; Tamimi, F.; López-Cabarcos, E.; Delgado, A.; Evora, C. Local controlled release of VEGF and PDGF from a combined brushite-chitosan system enhances bone regeneration. J. Control. Release 2010, 143, 45–52. [Google Scholar] [CrossRef]
- Poser, L.; Matthys, R.; Schawalder, P.; Pearce, S.; Alini, M.; Zeiter, S. A standardized critical size defect model in normal and osteoporotic rats to evaluate bone tissue engineered constructs. Biomed. Res. Int. 2014, 2014, 348635. [Google Scholar] [CrossRef]
- Fletes-Vargas, G.; Espinosa-Andrews, H.; Cervantes-Uc, J.M.; Limón-Rocha, I.; Luna-Bárcenas, G.; Vázquez-Lepe, M.; Morales-Hernández, N.; Jiménez-Ávalos, J.A.; Mejía-Torres, D.G.; Ramos-Martínez, P.; et al. Porous Chitosan Hydrogels Produced by Physical Crosslinking: Physicochemical, Structural, and Cytotoxic Properties. Polymers 2023, 15, 2203. [Google Scholar] [CrossRef] [PubMed]
- Li, P.; Zhao, J.; Chen, Y.; Cheng, B.; Yu, Z.; Zhao, Y.; Yan, X.; Tong, Z.; Jin, S. Preparation and characterization of chitosan physical hydrogels with enhanced mechanical and antibacterial properties. Carbohydr. Polym. 2017, 157, 1383–1392. [Google Scholar] [CrossRef]
- Rivas-Araiza, R.; Alcouffe, P.; Rochas, C.; Montembault, A.; David, L. Micron Range Morphology of Physical Chitosan Hydrogels. Langmuir 2010, 26, 17495–17504. [Google Scholar] [CrossRef]
- Ernesto, J.V.; Gasparini, Í.; Corazza, F.; Mathor, M.; Silva, C.; Leite-Silva, V.; Andreo-Filho, N.; Lopes, P. Physical, chemical, and biological characterization of biodegradable chitosan dressing for biomedical applications: Could sodium bicarbonate act as a crosslinking agent? Mater. Chem. Phys. 2023, 301, 127636. [Google Scholar] [CrossRef]
- Perez, R.A.; Mestres, G. Role of pore size and morphology in musculo-skeletal tissue regeneration. Mater. Sci. Eng. C 2016, 61, 922–939. [Google Scholar] [CrossRef]
- Zhang, K.; Fan, Y.; Dunne, N.; Li, X. Effect of microporosity on scaffolds for bone tissue engineering. Regen. Biomater. 2018, 5, 115–124. [Google Scholar] [CrossRef] [PubMed]
- Sugawara, Y.; Kamioka, H.; Honjo, T.; Tezuka, K.; Takano-Yamamoto, T. Three-dimensional reconstruction of chick calvarial osteocytes and their cell processes using confocal microscopy. Bone 2005, 36, 877–883. [Google Scholar] [CrossRef] [PubMed]
- Lin, T.-H.; Wang, H.-C.; Cheng, W.-H.; Hsu, H.-C.; Yeh, M.-L. Osteochondral Tissue Regeneration Using a Tyramine-Modified Bilayered PLGA Scaffold Combined with Articular Chondrocytes in a Porcine Model. Int. J. Mol. Sci. 2019, 20, 326. [Google Scholar] [CrossRef]
- Zhang, Q.; Yuan, C.; Liu, L.; Wen, S.; Wang, X. Effect of 3-dimensional Collagen Fibrous Scaffolds with Different Pore Sizes on Pulp Regeneration. J. Endod. 2022, 48, 1493–1501. [Google Scholar] [CrossRef] [PubMed]
- Piszko, P.J.; Piszko, A.; Kiryk, S.; Kiryk, J.; Horodniczy, T.; Struzik, N.; Wiśniewska, K.; Matys, J.; Dobrzyński, M. Bone Regeneration Capabilities of Scaffolds Containing Chitosan and Nanometric Hydroxyapatite—Systematic Review Based on In Vivo Examinations. Biomimetics 2024, 9, 503. [Google Scholar] [CrossRef] [PubMed]
- Huang, X.; Lou, Y.; Duan, Y.; Liu, H.; Tian, J.; Shen, Y.; Wei, X. Biomaterial scaffolds in maxillofacial bone tissue engineering: A review of recent advances. Bioact. Mater. 2024, 33, 129–156. [Google Scholar] [CrossRef] [PubMed]
- Cai, F.; Liu, Y.; Liu, K.; Zhao, R.; Chen, W.; Yusufu, A.; Liu, Y. Diabetes mellitus impairs bone regeneration and biomechanics. J. Orthop. Surg. Res. 2023, 18, 169. [Google Scholar] [CrossRef]
- Shang, J.; Li, Z.; Ma, A.; Zhu, T.; Ma, G.; Gui, H.; Ren, H.; Sun, B.; Wang, W.; Wang, X.; et al. Hyperlipidemia impairs bone repair and regeneration via miR-193a-3p/STMN1/PI3K/Akt axis. Biochem. Pharmacol. 2025, 232, 116693. [Google Scholar] [CrossRef]
- Nwe, N.; Furuike, T.; Tamura, H. The Mechanical and Biological Properties of Chitosan Scaffolds for Tissue Regeneration Templates Are Significantly Enhanced by Chitosan from Gongronella butleri. Materials 2009, 2, 374–398. [Google Scholar] [CrossRef]
- Tangsadthakun, C.; Kanokpanont, S.; Sanchavanakit, N.; Pichyangkura, R.; Banaprasert, T.; Tabata, Y.; Damrongsakkul, S. The influence of molecular weight of chitosan on the physical and biological properties of collagen/chitosan scaffolds. J. Biomater. Sci. Polym. Ed. 2007, 18, 147–163. [Google Scholar] [CrossRef]
- Balagangadharan, K.; Dhivya, S.; Selvamurugan, N. Chitosan based nanofibers in bone tissue engineering. Int. J. Biol. Macromol. 2017, 104, 1372–1382. [Google Scholar] [CrossRef] [PubMed]
- Rajendran, A.K.; Sankar, D.; Amirthalingam, S.; Kim, H.D. Trends in mechanobiology guided tissue engineering and tools to study cell-substrate interactions: A brief review. Biomater. Res. 2023, 27, 1–24. [Google Scholar] [CrossRef]
- Venkatesan, J.; Bhatnagar, I.; Kim, S.-K. Chitosan-alginate biocomposite containing fucoidan for bone tissue engineering. Mar. Drugs 2014, 12, 300–316. [Google Scholar] [CrossRef] [PubMed]
- Abudukelimu, K.; Aierken, A.; Tuerxuntayi, A.; Yilihamu, Y.; Abulizi, S.; Wufuer, D.; Dong, H. Preliminary study on the preparation of antler powder/chitosan/β-glycerophosphate sodium/polyvinyl alcohol porous hydrogel scaffolds and their osteogenic effects. Front. Bioeng. Biotechnol. 2024, 12, 1421718. [Google Scholar] [CrossRef]









| Minimum | Maximum | Median | Mean | Std. Deviation | p Value | |
|---|---|---|---|---|---|---|
| CM | 2.40 | 16.72 | 5.831 | 6.44 | 2.78 | <0.0001 * |
| CF | 18.42 | 184.10 | 58.63 | 65.42 | 31.13 |
| Duration | Control | CM | CF | p Value | ||||||
|---|---|---|---|---|---|---|---|---|---|---|
| Mean O.D. | SD | Mean Viability % | Mean O.D. | SD | Mean Viability % | Mean O.D. | SD | Mean Viability % | ||
| T1 | 0.47 aA | 0.06 | 100 | 1.17 aB | 0.12 | 248.94 | 1.76 aC | 0.06 | 374.468 | 0.0001 * |
| T2 | 0.62 aA | 0.06 | 100 | 1.82 bB | 0.02 | 293.55 | 1.87 aB | 0.11 | 301.6129 | 0.0001 * |
| T3 | 0.81 aA | 0.07 | 100 | 3.06 cB | 0.2 | 377.78 | 1.72 aC | 0.06 | 212.3457 | 0.0001 * |
| p value | 0.06 | 0.007 * | 0.29 | |||||||
| Parameters | Time | Control Group | CM Group | CF Group | Test Value | p-Value | |
|---|---|---|---|---|---|---|---|
| Inflammation | 3 wks. | Mean ± SD | 2.60 ± 0.55 A | 2.00 ± 0.71 B | 1.00 ± 0.71 C | 7.538 | 0.008 |
| Median (IQR) | 3 (2–3) | 2 (2–3) | 1 (0–2) | ||||
| Range | 2–3 | 1–3 | 0–2 | ||||
| 5 wks. | Mean ± SD | 2.20 ± 0.45 A | 1.20 ± 0.84 B | 0.00 ± 0.00 C | 20.222 | 0.001 | |
| Median (IQR) | 2 (2–3) | 1 (0–2) | 0 (0–0) | ||||
| Range | 2–3 | 0–2 | 0–0 | ||||
| Absence of fibrosis | 3 wks. | Absent | 0 (0.0%) | 2 (40.0%) | 3 (60.0%) | 4.200 | 0.122 |
| Present | 5 (100.0%) | 3 (60.0%) | 2 (40.0%) | ||||
| 5 wks. | Absent | 2 (40.0%) | 5 (100.0%) | 5 (100.0%) | 7.500 | 0.024 | |
| Present | 3 (60.0%) A | 0 (0.0%) B | 0 (0.0%) B | ||||
| Bone vitality | 3 wks. | Present | 5 (100.0%) | 5 (100.0%) | 5 (100.0%) | 0.000 | 1.000 |
| Absent | 0 (0.0%) | 0 (0.0%) | 0 (0.0%) | ||||
| 5 wks. | Present | 5 (100.0%) | 5 (100.0%) | 5 (100.0%) | 0.000 | 1.000 | |
| Absent | 0 (0.0%) | 0 (0.0%) | 0 (0.0%) | ||||
| Bone regeneration | 3 wks. | Mean ± SD | 1.00 ± 0.00 | 1.40 ± 0.55 | 2.20 ± 0.45 | 11.200 | 0.002 |
| Median (IQR) | 1 (1–1) C | 1 (1–2) B | 2 (2–3) A | ||||
| Range | 1–1 | 1–2 | 2–3 | ||||
| 5 wks. | Mean ± SD | 1.60 ± 0.55 | 2.40 ± 0.55 | 2.80 ± 0.45 | 7.000 | 0.010 | |
| Median (IQR) | 2 (1–2) C | 2 (2–3) B | 3 (2–3) A | ||||
| Range | 1–2 | 2–3 | 2–3 |
Disclaimer/Publisher’s Note: The statements, opinions and data contained in all publications are solely those of the individual author(s) and contributor(s) and not of MDPI and/or the editor(s). MDPI and/or the editor(s) disclaim responsibility for any injury to people or property resulting from any ideas, methods, instructions or products referred to in the content. |
© 2025 by the authors. Licensee MDPI, Basel, Switzerland. This article is an open access article distributed under the terms and conditions of the Creative Commons Attribution (CC BY) license (https://creativecommons.org/licenses/by/4.0/).
Share and Cite
Fathy, I.A.; Ali, D.M.; Elmansy, Y.; Abd El-Sattar, N.E.A.; Elsayed, S. Bone-Regenerating Capacity of Chitosan Membrane and Chitosan Foam Scaffolds in Critical Size Defects: In Vitro and In Vivo Study. Dent. J. 2025, 13, 153. https://doi.org/10.3390/dj13040153
Fathy IA, Ali DM, Elmansy Y, Abd El-Sattar NEA, Elsayed S. Bone-Regenerating Capacity of Chitosan Membrane and Chitosan Foam Scaffolds in Critical Size Defects: In Vitro and In Vivo Study. Dentistry Journal. 2025; 13(4):153. https://doi.org/10.3390/dj13040153
Chicago/Turabian StyleFathy, Iman A., Dina M. Ali, Youssef Elmansy, Nour E. A. Abd El-Sattar, and Sherif Elsayed. 2025. "Bone-Regenerating Capacity of Chitosan Membrane and Chitosan Foam Scaffolds in Critical Size Defects: In Vitro and In Vivo Study" Dentistry Journal 13, no. 4: 153. https://doi.org/10.3390/dj13040153
APA StyleFathy, I. A., Ali, D. M., Elmansy, Y., Abd El-Sattar, N. E. A., & Elsayed, S. (2025). Bone-Regenerating Capacity of Chitosan Membrane and Chitosan Foam Scaffolds in Critical Size Defects: In Vitro and In Vivo Study. Dentistry Journal, 13(4), 153. https://doi.org/10.3390/dj13040153

