Incorporation of Greater Palatal Artery Pathway Projection into a Static Surgical Guide
Abstract
1. Introduction
2. Materials and Methods
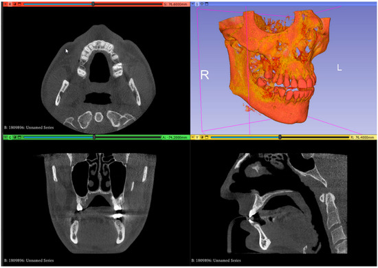
- In the image analysis and scientific visualization software (3D Slicer 5.2.1, 3D Slicer), upload the CBCT (RayScan Alpha; RayScan Technologies GmbH; Meersburg, Germany) scan (Add DICOM Data). Select the volume-rendering module from the module list (Modules: Volume Rendering) and select the preset bone visualization (Display: Preset; Select a preset: CT-Bone) option. The volume must be enabled on the volume-rendering module;
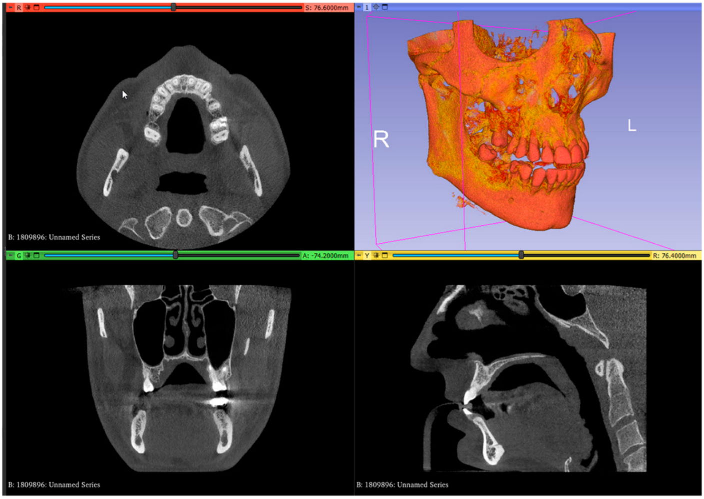
- Set up the Hounsfield scale at a lower value for a better view of the posterior palatal area on the 3D reconstruction by using the specific shift tool (Display: Shift). The value must be set at 150 HU. Change the module from volume rendering to segment editor (Modules: Segmentation Editor). Perform the first segmentation of the maxillary bone by using the “Threshold” tool (Figure 1);
- 3.
- Set up the Hounsfield scale value at 1500 HU for a better view of the maxillary teeth. Perform the second segmentation for maxillary teeth. Superimpose the second segmented model with an intraoral scan (IOS), (3Shape TRIOS 3; 3Shape A/S; Copenhagen K, Denmark);
- 4.
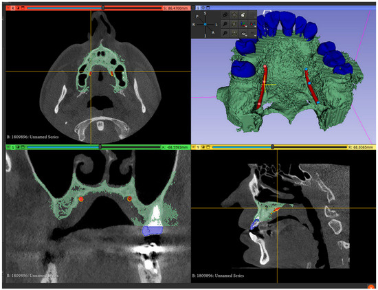
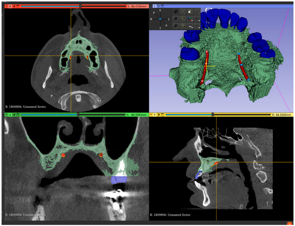
- Mark the right and left greater palatal artery pathways by using the curve tool on the “Markups to Model” module (Modules: Markups to Model: Curve). Check the coincidence of both the right and the left pathways and anatomical bone landmarks in all section views and in the 3D-reconstruction view (Figure 2);
- 5.
- Save all four models in the standard tessellation file (STL) format;
- 6.
- In the 3D mesh-processing software system (MeshLab 2022.02; MeshLab), superimpose all four models and the IOS (Figure 3);
- 7.
- Save the IOS in the STL format using the system coordinate of obtained models (Figure 3);
- 8.
- In the 3D-modeling software (Autodesk Meshmixer 11.5.474; Autodesk Inc.; San Rafael; California; United States of America), upload the IOS and the greater palatal artery models (Figure 4);
- 9.
- Align the greater palatal artery pathways with the IOS surface model using the “Align to Target” tool (Select: Edit: Align to Target) (Figure 4);
- 10.
- Generate a new model where the mucosal projection of the greater palatal artery pathways can be identified by applying Boolean operations through the IOS model and both greater palatal artery duplicate models. In the guided surgery planning software (BlueSkyPlan 4.12.13; Blue Sky Bio LLC; Libertyville; Illinoise; United States of America), a soft-tissue-free graft splint for a palatal-guided harvesting procedure can be designed (Figure 4);
3. Discussion
4. Conclusions
- Avoiding injury to the greater palatal artery during surgery;
- Visualizing safe areas for FGG harvesting or CTG harvesting.
- Aid in intraoperative decision-making;
- Increase surgical predictability.
Author Contributions
Funding
Institutional Review Board Statement
Informed Consent Statement
Data Availability Statement
Conflicts of Interest
References
- Stimmelmayr, M.; Allen, E.P.; Gernet, W.; Edelhoff, D.; Beuer, F.; Schlee, M.; Iglhaut, G. Treatment of gingival recession in the anterior mandible using the tunnel technique and a combination epithelialized-subepithelial connective tissue graft-a case series. Int. J. Periodontics Restor. Dent. 2011, 31, 165–173. [Google Scholar] [PubMed]
- Mostafa, D.; Fatima, N. Gingival Recession And Root Coverage Up To Date, A literature Review. Dent. Rev. 2022, 2, 100008. [Google Scholar] [CrossRef]
- Cohen, E.S. Ridge augmentation utilizing the subepithelial connective tissue graft: Case reports. Pract. Periodontics Aesthet. Dent. 1994, 6, 47–53. [Google Scholar] [PubMed]
- Hall, H.D.; O’ Steen, A.N. Free grafts of palatal mucosa in mandibular vestibuloplasty. J. Oral Surg. 1970, 28, 565–574. [Google Scholar] [PubMed]
- Han, T.J.; Takei, H.H. Progress in gingival papilla reconstruction. Periodontol. 2000 1996, 11, 65–68. [Google Scholar] [CrossRef]
- Migliorati, M.; Amorfini, L.; Signori, A.; Biavati, A.S.; Benedicenti, S. Clinical and Aesthetic Outcome with Post-Extractive Implants with or without Soft Tissue Augmentation: A 2-Year Randomized Clinical Trial. Clin. Implant. Dent. Relat. Res. 2015, 17, 983–995. [Google Scholar] [CrossRef] [PubMed]
- Zucchelli, G.; Tavelli, L.; McGuire, M.K.; Rasperini, G.; Feinberg, S.E.; Wang, H.; Giannobile, W.V. Autogenous soft tissue grafting for periodontal and peri-implant plastic surgical reconstruction. J. Periodontol. 2020, 91, 9–16. [Google Scholar] [CrossRef] [PubMed]
- Tavelli, L.; Barootchi, S.; Stefanini, M.; Zucchelli, G.; Giannobile, W.V.; Wang, H. Wound healing dynamics, morbidity, and complications of palatal soft-tissue harvesting. Periodontol. 2000 2022, 92, 90–119. [Google Scholar] [CrossRef]
- van Nimwegen, W.G.; Raghoebar, G.M.; Zuiderveld, E.G.; Jung, R.E.; Meijer, H.J.A.; Mühlemann, S. Immediate placement and provisionalization of implants in the aesthetic zone with or without a connective tissue graft: A 1-year randomized controlled trial and volumetric study. Clin. Oral Implant. Res. 2018, 29, 671–678. [Google Scholar] [CrossRef]
- Edel, A. Clinical evaluation of free connective tissue grafts used to increase the width of keratinised gingiva. J. Clin. Periodontol. 1974, 1, 185–196. [Google Scholar] [CrossRef]
- Langer, B.; Calagna, L.J. The subepithelial connective tissue graft. A new approach to the enhancement of anterior cosmetics. Int. J. Periodontics Restor. Dent. 1982, 2, 22–33. [Google Scholar] [PubMed]
- Raetzke, P.B. Covering localized areas of root exposure employing the “envelope” technique. J. Periodontol. 1985, 56, 397–402. [Google Scholar] [CrossRef]
- Bruno, J.F. A subepithelial connective tissue graft procedure for optimum root coverage. Atlas Oral Maxillofac. Surg. Clin. N. Am. 1999, 7, 11–28. [Google Scholar] [CrossRef] [PubMed]
- Hürzeler, M.B.; Weng, D. A single-incision technique to harvest subepithelial connective tissue grafts from the palate. Int. J. Periodontics Restor. Dent. 1999, 19, 279–287. [Google Scholar] [PubMed]
- Zucchelli, G.; Mele, M.; Stefanini, M.; Mazzotti, C.; Marzadori, M.; Montebugnoli, L.; De Sanctis, M. Patient morbidity and root coverage outcome after subepithelial connective tissue and de-epithelialized grafts: A comparative randomized-controlled clinical trial: Patient morbidity and root coverage outcome after grafts. J. Clin. Periodontol. 2010, 37, 728–738. [Google Scholar] [CrossRef]
- Griffin, T.J.; Cheung, W.S.; Zavras, A.I.; Damoulis, P.D. Postoperative complications following gingival augmentation procedures. J. Periodontol. 2006, 77, 2070–2079. [Google Scholar] [CrossRef]
- Greenstein, G.; Cavallaro, J.; Tarnow, D. Practical application of anatomy for the dental implant surgeon. J. Periodontol. 2008, 79, 1833–1846. [Google Scholar] [CrossRef]
- Kulkarni, M.R.; Shettar, L.G.; Bakshi, P.V.; Nikhil, K. Palatal pre-suturing for perioperative hemostasis at free gingival graft donor sites: A randomized, controlled clinical trial. J. Periodontol. 2021, 92, 1441–1447. [Google Scholar] [CrossRef]
- Benninger, B.; Andrews, K.; Carter, W. Clinical measurements of hard palate and implications for subepithelial connective tissue grafts with suggestions for palatal nomenclature. J. Oral Maxillofac. Surg. 2012, 70, 149–153. [Google Scholar] [CrossRef]
- Yu, S.K.; Lee, M.H.; Park, B.S.; Jeon, Y.H.; Chung, Y.Y.; Kim, H. Topographical relationship of the greater palatine artery and the palatal spine. Significance for periodontal surgery. J. Clin. Periodontol. 2014, 41, 908–913. [Google Scholar] [CrossRef]
- Ki, D.H.; Won, S.Y.; Bae, J.H.; Jung, U.W.; Park, D.S.; Kim, H.J.; Hu, K. Topography of the greater palatine artery and the palatal vault for various types of periodontal plastic surgery. Clin. Anat. 2014, 27, 578–584. [Google Scholar] [CrossRef]
- Tavelli, L.; Barootchi, S.; Ravidà, A.; Oh, T.J.; Wang, H.L. What Is the Safety Zone for Palatal Soft Tissue Graft Harvesting Based on the Locations of the Greater Palatine Artery and Foramen? A Systematic Review. J. Oral Maxillofac. Surg. 2019, 77, 271.e1–271.e9. [Google Scholar] [CrossRef] [PubMed]
- Herman, L.; Font, K.; Soldatos, N.; Chandrasekaran, S.; Powell, C. The Surgical Anatomy of the Greater Palatine Artery: A Human Cadaver Study. Int. J. Periodontics Restor. Dent. 2022, 42, 233–241. [Google Scholar] [CrossRef]
- Chan, H.L.; Wang, H.L.; Fowlkes, J.B.; Giannobile, W.V.; Kripfgans, O.D. Non-ionizing real-time ultrasonography in implant and oral surgery: A feasibility study. Clin. Oral Implants Res. 2017, 28, 341–347. [Google Scholar] [CrossRef]
- Hilgenfeld, T.; Kästel, T.; Heil, A.; Rammelsberg, P.; Heiland, S.; Bendszus, M.; Schwindling, F.S. High-resolution dental magnetic resonance imaging for planning palatal graft surgery-a clinical pilot study. J. Clin. Periodontol. 2018, 45, 462–470. [Google Scholar] [CrossRef]
- Miwa, Y.; Asaumi, R.; Kawai, T.; Maeda, Y.; Sato, I. Morphological observation and CBCT of the bony canal structure of the groove and the location of blood vessels and nerves in the palatine of elderly human cadavers. Surg. Radiol. Anat. 2018, 40, 199–206. [Google Scholar] [CrossRef]
- Velloso, G.; Zimmermann, D.; Shibli, J.A.; Dias, A.T.; Moraschini, V. A multifunctional guided surgery to assist in the 3-dimensional positioning of dental implants and in obtaining a palatal gingival graft. J. Prosthet. Dent. 2023, 129, 29–33. [Google Scholar] [CrossRef]
- Chen, Z.; Li, J.; Sinjab, K.; Mendonca, G.; Yu, H.; Wang, H.L. Accuracy of flapless immediate implant placement in anterior maxilla using computer-assisted versus freehand surgery: A cadaver study. Clin. Oral Implants Res. 2018, 29, 1186–1194. [Google Scholar] [CrossRef]







| Disclaimer/Publisher’s Note: The statements, opinions and data contained in all publications are solely those of the individual author(s) and contributor(s) and not of MDPI and/or the editor(s). MDPI and/or the editor(s) disclaim responsibility for any injury to people or property resulting from any ideas, methods, instructions or products referred to in the content. | 
© 2025 by the authors. Licensee MDPI, Basel, Switzerland. This article is an open access article distributed under the terms and conditions of the Creative Commons Attribution (CC BY) license (https://creativecommons.org/licenses/by/4.0/).
Share and Cite
Petre, A.E.; Macris, A.; Ionita, C.; Cojocariu, G.; Drafta, S. Incorporation of Greater Palatal Artery Pathway Projection into a Static Surgical Guide. Dent. J. 2025, 13, 152. https://doi.org/10.3390/dj13040152
Petre AE, Macris A, Ionita C, Cojocariu G, Drafta S. Incorporation of Greater Palatal Artery Pathway Projection into a Static Surgical Guide. Dentistry Journal. 2025; 13(4):152. https://doi.org/10.3390/dj13040152
Chicago/Turabian StylePetre, Alexandru E., Andrei Macris, Cezar Ionita, Gabriel Cojocariu, and Sergiu Drafta. 2025. "Incorporation of Greater Palatal Artery Pathway Projection into a Static Surgical Guide" Dentistry Journal 13, no. 4: 152. https://doi.org/10.3390/dj13040152
APA StylePetre, A. E., Macris, A., Ionita, C., Cojocariu, G., & Drafta, S. (2025). Incorporation of Greater Palatal Artery Pathway Projection into a Static Surgical Guide. Dentistry Journal, 13(4), 152. https://doi.org/10.3390/dj13040152
 
        


