Sinus Lift with Collagenated Porcine Xenograft in Severely Atrophic Posterior Maxillae: Case Series with Histologic Correlation and Long-Term Outcomes
Abstract
1. Introduction
| Graft Material | Advantages | Disadvantages | Typical Indications | Precautions | References |
|---|---|---|---|---|---|
| Autogenous Bone (patient’s own bone—intraoral or extraoral donor site) |
|
|
|
| [20,21,22] |
| Allografts (bone from human donor, processed and sterilized) |
|
|
|
| [20,23,24,25] |
| Xenografts (bone from animal source, e.g., bovine, porcine, equine) |
|
|
|
| [20,22,26] |
| Synthetic Alloplasts (calcium phosphate, HA, β-TCP, bioactive glass, etc.) |
|
|
|
| [14,20,22,27] |
2. Materials and Methods
2.1. Study Design and Ethical Approval
2.2. Patient Selection
2.3. Surgical Procedure
2.3.1. Preoperative Preparation
2.3.2. Surgical Steps
2.3.3. Postoperative Care
2.4. Biopsy Collection and Processing
2.5. Histological Evaluation
2.6. Postoperative and Follow-Up Protocol
3. Results
3.1. Clinical Outcomes
3.2. Histological and Histomorphometric Outcomes
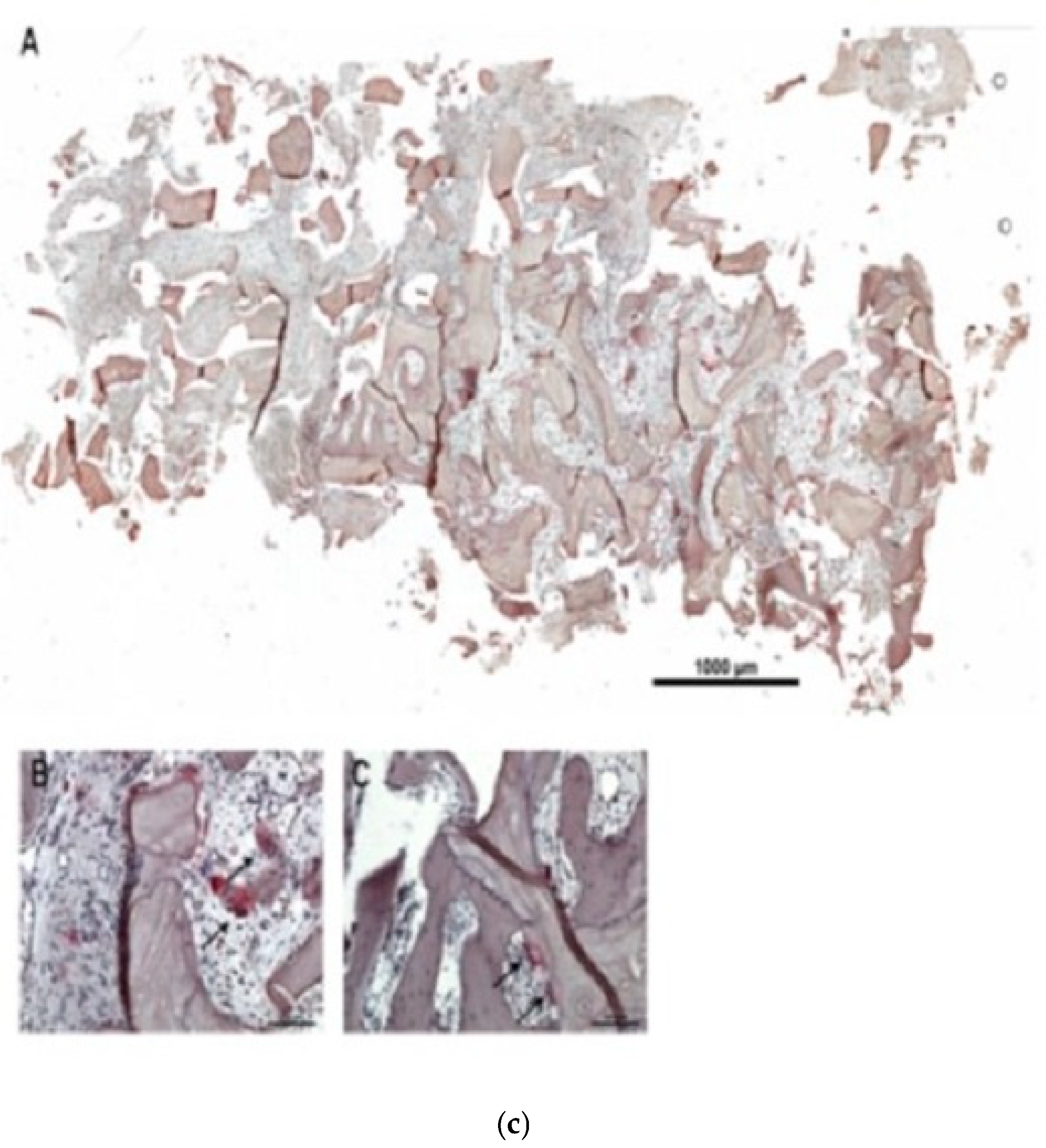
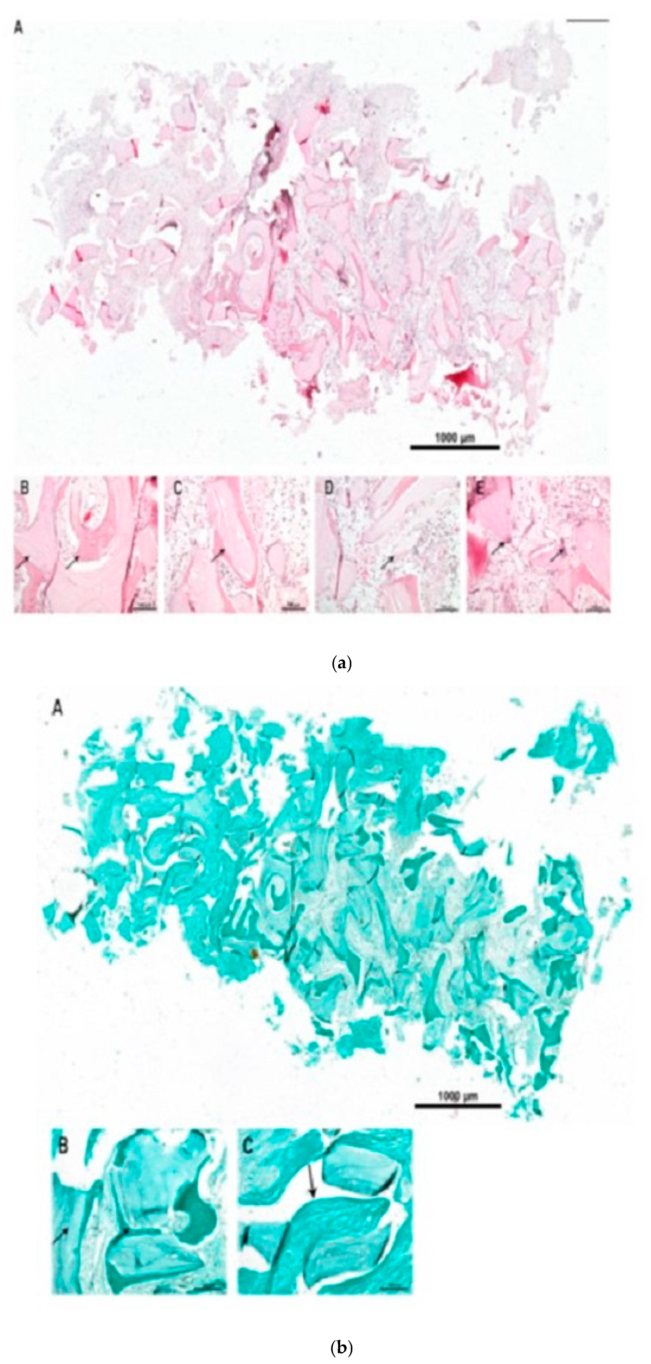
- Bone biopsy no. C-1221-3, at 4.7 months after surgery, (Figure 3a,b): Residual bone was visible in the crestal and lateral regions. Approximately 30% NB, 30% connective tissue (CT), and 40% BSM were observed. Hybrid bone formation was evident with the incorporation of BSM granules into NB. Vascularization was well developed, with endothelial wall maturation visible. A mild foreign-body reaction was noted, without TRAP-positive multinucleated giant cells (MNGCs).
- Bone biopsy no. C-1221-1, at 3.7 months after surgery, (Figure 4a,b): No residual bone was detected. The biopsy contained ~20% NB, 50% CT, and 30% BSM. NB was distributed predominantly laterally, with hybrid bone formation and vascularization showing early endothelial maturation. No significant inflammation or TRAP-positive MNGCs were present, indicating a nearly complete degradation process.
- Bone biopsy no. C-0322-1 at 7.5 months after surgery, (Figure 5a–c): The biopsy revealed ~20% NB, 50% CT, and 30% BSM. NB was concentrated in the lateral portion of the specimen, while the contralateral part contained BSM embedded in collagen-rich CT without NB. Vascularization was present with vessels of varying sizes, some showing mature endothelial characteristics. TRAP-positive MNGCs were observed, suggesting ongoing BSM degradation.
| No. | Gender | Age | Date of Surgery | Type of Surgery | Complications During Surgery | Major Complications After Surgery | Histology (Months) | Implant Site * | Bone Height (mm) Initial Final Gained | Follow-Up at 30 September 2025 (Months) ** | ||
|---|---|---|---|---|---|---|---|---|---|---|---|---|
| 1. | F | 49 | 24 May 2021 | Lateral sinus lift with staged implantation | none | none | 4.7 | 2.5.; 2.6.; 2.7. | 2 | 15 | 13 | 52.23 |
| 2. | M | 56 | 9 August 2021 30 November 2021 |
| Intentional perforation for mucocele removal | none | 3.7 | 1.5.; 1.6.; 1.7. | 1 | 10 | 9 | 49.73 |
| 3. | M | 46 | 22 July 2021 | Lateral sinus lift with staged implantation | none | 7.5 | 2.6.; 2.7. | 1 | 15 | 14 | 38.3 | |
| Mean value | - | - | - | - | - | 5.3 | - | 1.33 | 13.33 | 12.0 | 46.75 | |
| No. | Time of Histology (Months) | Evaluation of Bone Regeneration and Biomaterial Integration | Evaluation of Immunological Response and Biomaterial Degradation | Overall Evaluation |
|---|---|---|---|---|
| 1. C-1221-3 | 4.7 | ~30% NB, hybrid bone on BSM surfaces, well-integrated with CT; vascularization with maturing vessels | Mild foreign-body MNGCs, TRAP-negative | Ongoing regeneration; NB stimulated by BSM without adverse findings |
| 2. C-1221-1 | 3.7 | ~20% NB, mainly lateral; hybrid bone with BSM integration; good vascularization. | No severe inflammation; no TRAP-positive MNGCs | Active regeneration; ~2/3 of sample with bony structures |
| 3. C-0322-1 | 7.5 | ~20% NB, mainly lateral; BSM well integrated; contralateral area CT-rich with less NB | TRAP-positive MNGCs indicating active degradation | Ongoing degradation and regeneration; NB mainly lateral |
4. Discussion
4.1. Clinical Healing and Vertical Bone Gain
4.2. Histological Findings and Bone Formation Dynamics
4.3. Biomaterial Resorption and Host Response
4.4. Clinical Relevance and Future Perspectives
5. Limitations of the Study
6. Conclusions
- Within the limitations of this case series, small-particle (0.25–1.00 mm) collagenated porcine-derived xenograft demonstrated predictable clinical and radiographic performance in lateral sinus floor elevation.
- Stable long-term implant survival and significant vertical bone gain were achieved in the severely atrophic posterior maxilla.
- Histologic analysis confirmed the presence of vascularized new bone in intimate contact with residual graft particles, indicating favorable osteoconductivity and biocompatibility, with no adverse tissue reactions.
- These outcomes support the use of collagenated porcine xenograft as a safe and effective grafting option for maxillary sinus augmentation.
Author Contributions
Funding
Institutional Review Board Statement
Informed Consent Statement
Data Availability Statement
Acknowledgments
Conflicts of Interest
Abbreviations
| CBCT | cone-beam computed tomography |
| OPG | orthopantomogram |
| EDTA | ethylenediamine tetraacetic acid |
| HE | hematoxylin eosin |
| TRAP | tartrate-resistant acid phosphatase |
| BSM | xenogenic bone substitute material |
| NB | new trabecular bone |
| CT | connective tissue |
| MNGC | multinucleated giant cell |
References
- Iliescu, V.I.; Nimigean, V.; Nimigean, V.R.; Georgescu, L.; Preoteasa, C.T. Maxillary sinus implications in endodontics and implant dentistry—A literature review. Rom. J. Oral Rehabil. 2024, 16, 147–161. [Google Scholar] [CrossRef]
- Agliardi, E.L.; Romeo, D.; Wenger, A.; Gastaldi, G.; Gherlone, E. Immediate rehabilitation of the posterior maxilla with extensive sinus pneumatization with one axial and one trans-sinus tilted implant: A 3-year clinical report and a classification. J. Prosthet. Dent. 2015, 113, 163–168. [Google Scholar] [CrossRef]
- Barbu, H.M.; Comaneanu, R.M.; Andreescu, C.F.; Mijiritsky, E.; Nita, T.; Lorean, A. Dental Implant Placement in Patients with Osteoporosis. J. Craniofac. Surg. 2015, 26, e558–e559. [Google Scholar] [CrossRef] [PubMed]
- Tatum, O.H. Maxillary sinus grafting for endosseous implants. In Proceedings of the Annual Meeting of the Alabama Implant Study Group, Birmingham, AL, USA, 13–14 April 1977. [Google Scholar]
- Boyne, P.J.; James, R.A. Grafting of the maxillary sinus floor with autogenous marrow and bone. J. Oral Surg. 1980, 38, 613–616. [Google Scholar] [PubMed]
- Esposito, M.; Grusovin, M.G.; Rees, J.; Karasoulos, D.; Felice, P.; Alissa, R.; Worthington, H.; Coulthard, P. Effectiveness of sinus lift procedures for dental implant rehabilitation: A Cochrane systematic review. Eur. J. Oral. Implantol. 2010, 3, 7–26. [Google Scholar] [PubMed]
- Jamcoski, V.H.; Faot, F.; Marcello-Machado, R.M.; Moreira Melo, A.C.; Fontão, F.N.G.K. 15-Year Retrospective Study on the Success Rate of Maxillary Sinus Augmentation and Implants: Influence of Bone Substitute Type, Presurgical Bone Height, and Membrane Perforation during Sinus Lift. BioMed Res. Int. 2023, 2023, 9144661. [Google Scholar] [CrossRef]
- Valentini, P.; Artzi, Z. Sinus augmentation procedure via the lateral window technique—Reducing invasiveness and preventing complications: A narrative review. Periodontology 2000 2023, 91, 167–181. [Google Scholar] [CrossRef]
- Matys, J.; Hadzik, J.; Dominiak, M. Schneiderian Membrane Perforation Rate and Increase in Bone Temperature During Maxillary Sinus Floor Elevation by Means of Er: YAG Laser-An Animal Study in Pigs. Implant Dent. 2017, 26, 238–244. [Google Scholar] [CrossRef]
- Alshamrani, A.M.; Mubarki, M.; Alsager, A.S.; Alsharif, H.K.; AlHumaidan, S.A.; Al-Omar, A. Maxillary Sinus Lift Procedures: An Overview of Current Techniques, Presurgical Evaluation, and Complications. Cureus 2023, 15, e49553. [Google Scholar] [CrossRef]
- Barbu, H.M.; Andreescu, C.F.; Comaneanu, M.R.; Referendaru, D.; Mijiritsky, E. Maxillary Sinus Floor Augmentation to Enable One-Stage Implant Placement by Using Bovine Bone Substitute and Platelet-Rich Fibrin. BioMed Res. Int. 2018, 2018, 6562958. [Google Scholar] [CrossRef]
- Sleman, N.; Khalil, A. Simultaneous Sinus Augmentation and Implant Placement in the Atrophic Posterior Maxilla: A Systematic Review. Open Dent. J. 2025, 19, e18742106378790. [Google Scholar] [CrossRef]
- Haugen, H.J.; Lyngstadaas, S.P.; Rossi, F.; Perale, G. Bone grafts: Which is the ideal biomaterial? J. Clin. Periodontol. 2019, 46, 92–102. [Google Scholar] [CrossRef] [PubMed]
- Ferraz, M.P. Bone Grafts in Dental Medicine: An Overview of Autografts, Allografts and Synthetic Materials. Materials 2023, 16, 4117. [Google Scholar] [CrossRef] [PubMed]
- Sohn, H.S.; Oh, J.K. Review of bone graft and bone substitutes with an emphasis on fracture surgeries. Biomater. Res. 2019, 23, 9. [Google Scholar] [CrossRef]
- Duarte, N.D.; Frigério, P.B.; Chica, G.E.A.; Okamoto, R.; Buchaim, R.L.; Buchaim, D.V.; Messora, M.R.; Issa, J.P.M. Biomaterials for Guided Tissue Regeneration and Guided Bone Regeneration: A Review. Dent. J. 2025, 13, 179. [Google Scholar] [CrossRef]
- Hwang, S.-H.; Moon, K.; Du, W.; Cho, W.-T.; Huh, J.-B.; Bae, E.-B. Effect of Porcine- and Bovine-Derived Xenografts with Hydroxypropyl Methylcellulose for Bone Formation in Rabbit Calvaria Defects. Materials 2023, 16, 1850. [Google Scholar] [CrossRef]
- Savadori, P.; Del Fabbro, M.; Sora, V.M.; Giardino, L.; Generali, L.; Kondic, D.; Santoro, F. Histological and Histomorphometric Evaluation of RegenerOss®: A Porcine-Derived Bone Substitute for Guided Bone Regeneration. J. Compos. Sci. 2025, 9, 245. [Google Scholar] [CrossRef]
- Huang, L.R.; Zhong, Y.J.; Zhang, X.Q.; Feng, Z.R.; Lai, Y.C.; Wu, H.K.; Mo, A.C. Comparative evaluation of allograft particulate bone and cortical bone blocks combined with xenograft bone for labial bone defects in the aesthetic zone: A prospective cohort study. BMC Oral Health 2025, 25, 137. [Google Scholar] [CrossRef]
- Zhao, R.; Yang, R.; Cooper, P.R.; Khurshid, Z.; Shavandi, A.; Ratnayake, J. Bone Grafts and Substitutes in Dentistry: A Review of Current Trends and Developments. Molecules 2021, 26, 3007. [Google Scholar] [CrossRef]
- Tibeică, A.; Tibeică, S.C.; Agop-Forna, D.; Ioanid, N.; Iancu, R.; Budacu, C.; Costuleanu, M.; Curcă, R.; Crețu, C.; Forna, N. Bone regeneration influence in the success of periimplant surgery. Rom. J. Oral Rehabil. 2023, 15, 22–35. [Google Scholar]
- Ivanova, N.; Ivanov, S.; Peev, S.; Dikova, T. Types of Bone Substitutes and Their Application in Regenerative Medicine: A Systematic Review. J. Funct. Biomater. 2025, 16, 341. [Google Scholar] [CrossRef] [PubMed]
- Gomes, K.U.; Carlini, J.L.; Biron, C.; Rapoport, A.; Dedivitis, R.A. Use of Allogeneic Bone Graft in Maxillary Reconstruction for Installation of Dental Implants. J. Oral Maxillofac. Surg. 2008, 66, 2335–2338. [Google Scholar] [CrossRef] [PubMed]
- Donkiewicz, P.; Benz, K.; Kloss-Brandstätter, A.; Jackowski, J. Survival Rates of Dental Implants in Autogenous and Allogeneic Bone Blocks: A Systematic Review. Medicina 2021, 57, 1388. [Google Scholar] [CrossRef] [PubMed]
- Pogacian-Maier, A.-C.; Mester, A.; Morariu, R.-L.; Campian, R.S.; Tent, A. The Use of Allograft Bone in the Lateral Approach of Sinus Floor Elevation: A Systematic Review of Clinical Studies. Medicina 2024, 60, 252. [Google Scholar] [CrossRef]
- Inchingolo, A.M.; Marinelli, G.; Trilli, I.; Del Vecchio, G.; Di Noia, A.; Inchingolo, F.; Del Fabbro, M.; Palermo, A.; Inchingolo, A.D.; Dipalma, G. A Histological and Clinical Evaluation of Long-Term Outcomes of Bovine Bone-Derived Xenografts in Oral Surgery: A Systematic Review. J. Funct. Biomater. 2025, 16, 321. [Google Scholar] [CrossRef]
- Cheah, C.W.; Al-Namnam, N.M.; Lau, M.N.; Lim, G.S.; Raman, R.; Fairbairn, P.; Ngeow, W.C. Synthetic Material for Bone, Periodontal, and Dental Tissue Regeneration: Where Are We Now, and Where Are We Heading Next? Materials 2021, 14, 6123. [Google Scholar] [CrossRef]
- Troeltzsch, M.; Troeltzsch, M.; Kauffmann, P.; Gruber, R.; Brockmeyer, P.; Moser, N.; Rau, A.; Schliephake, H. Clinical efficacy of grafting materials in alveolar ridge augmentation: A systematic review. J Craniomaxillofac. Surg. 2016, 44, 1618–1629. [Google Scholar] [CrossRef]
- Hendrix, J.M.; Garmon, E.H. American Society of Anesthesiologists Physical Status Classification System. [Updated 11 February 2025]. In StatPearls [Internet]; StatPearls Publishing: Treasure Island, FL, USA, 2025. Available online: https://www.ncbi.nlm.nih.gov/books/NBK441940/ (accessed on 21 September 2025).
- Salgado-Peralvo, A.O.; Garcia-Sanchez, A.; Kewalramani, N.; Romandini, M.; Velasco-Ortega, E. Preventive Antibiotic Therapy in Sinus Elevation Procedures: A Systematic Review. Int. J. Oral Maxillofac. Implant. 2023, 38, 19–28. [Google Scholar] [CrossRef]
- Scaini, R.; Saleh, M.H.A.; Lai, H.C.; Sangiorgi, M.; Zucchelli, G.; Testori, T. Indications and Regenerative Techniques for Lateral Window Sinus Floor Elevation with Ridge Augmentation. Clin. Implant Dent. Relat. Res. 2025, 27, e70007. [Google Scholar] [CrossRef]
- Jadach, R.; Osypko, K.; Nelke, K.; Nowicki, A. Croco Eye Technique: Mucous Retention Cyst Excision with Immediate Open Sinus Lift—A Retrospective Cohort Study. J. Clin. Med. 2024, 13, 3293. [Google Scholar] [CrossRef]
- Díaz-Olivares, L.A.; Cortés-Bretón Brinkmann, J.; Martínez-Rodríguez, N.; Martínez-González, J.M.; López-Quiles, J.; Leco-Berrocal, I.; Meniz-García, C. Management of Schneiderian membrane perforations during maxillary sinus floor augmentation with lateral approach in relation to subsequent implant survival rates: A systematic review and meta-analysis. Int. J. Implant Dent. 2021, 7, 91. [Google Scholar] [CrossRef] [PubMed]
- Schiavo-Di Flaviano, V.; Egido-Moreno, S.; González-Navarro, B.; Velasco-Ortega, E.; López-López, J.; Monsalve-Guil, L. Influence of Schneiderian Membrane Perforation on Implant Survival Rate: Systematic Review and Meta-Analysis. J. Clin. Med. 2024, 13, 3751. [Google Scholar] [CrossRef] [PubMed]
- Guerrero, J.S. Lateral window sinus augmentation: Complications and outcomes of 101 consecutive procedures. Implant Dent. 2015, 24, 354–361. [Google Scholar] [CrossRef] [PubMed]
- Molina, A.; Sanz-Sánchez, I.; Sanz-Martín, I.; Ortiz-Vigón, A.; Sanz, M. Complications in sinus lifting procedures: Classification and management. Periodontology 2000 2022, 88, 103–115. [Google Scholar] [CrossRef]
- Stacchi, C.; Andolsek, F.; Berton, F.; Perinetti, G.; Navarra, C.O.; Di Lenarda, R. Intraoperative Complications During Sinus Floor Elevation with Lateral Approach: A Systematic Review. Int. J. Oral Maxillofac. Implant. 2017, 32, e107–e118. [Google Scholar] [CrossRef]
- Felice, P.; Scarano, A.; Pistilli, R.; Checchi, L.; Piattelli, M.; Pellegrino, G.; Esposito, M. A comparison of two techniques to augment maxillary sinuses using the lateral window approach: Rigid synthetic resorbable barriers versus anorganic bovine bone. Five-month post-loading clinical and histological results of a pilot randomised controlled clinical trial. Eur. J. Oral Implantol. 2009, 2, 293–306. [Google Scholar] [PubMed]
- Tilaveridis, I.; Lazaridou, M.; Zouloumis, L.; Dimitrakopoulos, I.; Tilaveridis, V.; Tilaveridou, S. The use of mineralized bone allograft as a single grafting material in maxillary sinus lifting with severely atrophied alveolar ridge (1–3 mm) and immediately inserted dental implants. A 3-up to 8-year retrospective study. Oral Maxillofac. Surg. 2018, 22, 267–273. [Google Scholar] [CrossRef]
- Aragoneses Lamas, J.M.; Gómez Sánchez, M.; Cuadrado González, L.; Suárez García, A.; Aragoneses Sánchez, J. Vertical Bone Gain after Sinus Lift Procedures with Beta-Tricalcium Phosphate and Simultaneous Implant Placement—A Cross-Sectional Study. Medicina 2020, 56, 609. [Google Scholar] [CrossRef]
- Antonaya-Mira, R.; Barona-Dorado, C.; Martínez-Rodríguez, N.; Cáceres-Madroño, E.; Martínez-González, J.M. Meta-analysis of the increase in height in maxillary sinus elevations with osteotome. Med. Oral Patol. Oral Cir. Bucal. 2012, 17, e146–e152. [Google Scholar] [CrossRef][Green Version]
- Orth, C.C.; da Silva, R.C.; de Barros Carrilho, G.P.; de Carvalho, P.F.M.; Joly, J.C.; Haas, A.N. Vertical Bone Gain Post-Sinus Lifting and Simultaneous Implant Placement with Osseodensification: A Retrospective Study. Clin. Implant Dent. Relat. Res. 2025, 27, e13430. [Google Scholar] [CrossRef]
- Pal, U.S.; Sharma, N.K.; Singh, R.K.; Mahammad, S.; Mehrotra, D.; Singh, N.; Mandhyan, D. Direct vs. Indirect Sinus Lift Procedure: A Comparison. Natl. J. Maxillofac. Surg. 2012, 3, 31–37. [Google Scholar] [CrossRef] [PubMed]
- Pesce, P.; Menini, M.; Canullo, L.; Khijmatgar, S.; Modenese, L.; Gallifante, G.; Del Fabbro, M. Radiographic and Histomorphometric Evaluation of Biomaterials Used for Lateral Sinus Augmentation: A Systematic Review on the Effect of Residual Bone Height and Vertical Graft Size on New Bone Formation and Graft Shrinkage. J. Clin. Med. 2021, 10, 4996. [Google Scholar] [CrossRef] [PubMed]
- Khijmatgar, S.; Del Fabbro, M.; Tumedei, M.; Testori, T.; Cenzato, N.; Tartaglia, G.M. Residual Bone Height and New Bone Formation after Maxillary Sinus Augmentation Procedure Using Biomaterials: A Network Meta-Analysis of Clinical Trials. Materials 2023, 16, 1376. [Google Scholar] [CrossRef] [PubMed]
- Giordano, F.; D’Ambrosio, F.; Acerra, A.; Scognamiglio, B.; Langone, M.; Caggiano, M. Bone Gain after Maxillary Sinus Lift: 5-Years Follow-up Evaluation of the Graft Stability. J. Osseointegr. 2023, 15, 221–227. [Google Scholar] [CrossRef]
- Maglione, M.; Michelon, F.; Bevilacqua, L.; Bertolotto, M.; Rothweiler, R. Comparison of two graft procedures in a bilateral sinus lift by MRI and histomorphometric analysis: A case report. J. Oral Med. Oral Surg. 2024, 30, 21. [Google Scholar] [CrossRef]
- Lee, J.H.; Yi, G.S.; Lee, J.W.; Kim, D.J. Physicochemical characterization of porcine bone-derived grafting material and comparison with bovine xenografts for dental applications. J. Periodontal Implant Sci. 2017, 47, 388–401. [Google Scholar] [CrossRef]
- Chang, L.-C. Comparison of Clinical Parameters in Dental Implant Therapy between Implant Site Development Using Porcine- and Bovine-Derived Xenografts. Technologies 2021, 9, 72. [Google Scholar] [CrossRef]
- Bracey, D.N.; Seyler, T.M.; Jinnah, A.H.; Lively, M.O.; Willey, J.S.; Smith, T.L.; Van Dyke, M.E.; Whitlock, P.W. A Decellularized Porcine Xenograft-Derived Bone Scaffold for Clinical Use as a Bone Graft Substitute: A Critical Evaluation of Processing and Structure. J. Funct. Biomater. 2018, 9, 45. [Google Scholar] [CrossRef]
- Belleggia, F.; Filetici, P.; Tagariello, G.; Nicoletti, F.; Dassatti, L. Highly porous porcine xenograft utilized in bone augmentation procedures: Case reports with clinical, histological and histomorphometrical evaluation. J. Surg. Peridontol. Implant Res. 2022, 3, 15–23. [Google Scholar] [CrossRef]
- Slavin, B.V.; Nayak, V.V.; Parra, M.; Spielman, R.D.; Torquati, M.S.; Iglesias, N.J.; Coelho, P.G.; Witek, L. Comparative Evaluation of Bovine- and Porcine-Deproteinized Grafts for Guided Bone Regeneration: An In Vivo Study. Bioengineering 2025, 12, 459. [Google Scholar] [CrossRef]
- Jo, S.H.; Kim, Y.K.; Choi, Y.H. Histological Evaluation of the Healing Process of Various Bone Graft Materials after Engraftment into the Human Body. Materials 2018, 11, 714. [Google Scholar] [CrossRef] [PubMed]
- da Silva, H.F.; Goulart, D.R.; Sverzut, A.T.; Olate, S.; de Moraes, M. Comparison of two anorganic bovine bone in maxillary sinus lift: A split-mouth study with clinical, radiographical, and histomorphometrical analysis. Int. J. Implant Dent. 2020, 6, 17. [Google Scholar] [CrossRef] [PubMed]
- Saleh, M.H.A.; Sabri, H.; Di Pietro, N.; Comuzzi, L.; Geurs, N.C.; Bou Semaan, L.; Piattelli, A. Clinical Indications and Outcomes of Sinus Floor Augmentation with Bone Substitutes: An Evidence-Based Review. Clin. Implant Dent. Relat. Res. 2025, 27, e13400. [Google Scholar] [CrossRef] [PubMed]
- Jing, L.; Su, B. Resorption Rates of Bone Graft Materials after Crestal Maxillary Sinus Floor Elevation and Its Influencing Factors. J. Funct. Biomater. 2024, 15, 133. [Google Scholar] [CrossRef]
- Kim, Y.K.; Kim, S.G.; Kim, B.S.; Jeong, K.I. Resorption of bone graft after maxillary sinus grafting and simultaneous implant placement. J. Korean Assoc. Oral Maxillofac. Surg. 2014, 40, 117–122. [Google Scholar] [CrossRef][Green Version]
- Galindo-Moreno, P.; Abril-García, D.; Carrillo-Galvez, A.B.; Zurita, F.; Martín-Morales, N.; O’Valle, F.; Padial-Molina, M. Maxillary Sinus Floor Augmentation Comparing Bovine versus Porcine Bone Xenografts Mixed with Autogenous Bone Graft. A Split-Mouth Randomized Controlled Trial. Clin. Oral Implant. Res. 2022, 33, 524–536. [Google Scholar] [CrossRef]
- Sleman, N.; Khalil, A. A Comprehensive Review of Biomaterials for Maxillary Sinus Floor Augmentation: Exploring Diverse Bone Graft Options. Open Dent. J. 2025, 19, e18742106378788. [Google Scholar] [CrossRef]
- Miron, R.J.; Sculean, A.; Shuang, Y.; Bosshardt, D.D.; Gruber, R.; Buser, D.; Chandad, F.; Zhang, Y. Osteoinductive potential of a novel biphasic calcium phosphate bone graft in comparison with autographs, xenografts, and DFDBA. Clin. Oral Implant. Res. 2016, 27, 668–675. [Google Scholar] [CrossRef]
- Piattelli, M.; Favero, G.A.; Scarano, A.; Orsini, G.; Piattelli, A. Bone reactions to anorganic bovine bone (Bio-Oss) used in sinus augmentation procedures: A histologic long-term report of 20 cases in humans. Int. J. Oral Maxillofac. Implants. 1999, 14, 835–840. [Google Scholar]
- Miyauchi, Y.; Izutani, T.; Teranishi, Y.; Iida, T.; Nakajima, Y.; Xavier, S.P.; Baba, S. Healing Patterns of Non-Collagenated Bovine and Collagenated Porcine Xenografts Used for Sinus Floor Elevation: A Histological Study in Rabbits. J. Funct. Biomater. 2022, 13, 276. [Google Scholar] [CrossRef]
- Correia, F.; Gouveia, S.; Felino, A.C.; Faria-Almeida, R.; Pozza, D.H. Maxillary Sinus Augmentation with Xenogenic Collagen-Retained Heterologous Cortico-Cancellous Bone: A 3-Year Follow-Up Randomized Controlled Trial. Dent. J. 2024, 12, 33. [Google Scholar] [CrossRef]
- Correia, F.; Gouveia, S.A.; Pozza, D.H.; Felino, A.C.; Faria-Almeida, R. A Randomized Clinical Trial Comparing Implants Placed in Two Different Biomaterials Used for Maxillary Sinus Augmentation. Materials 2023, 16, 1220. [Google Scholar] [CrossRef]
- Manor, Y.; Mardinger, O.; Bietlitum, I.; Nashef, A.; Nissan, J.; Chaushu, G. Late signs and symptoms of maxillary sinusitis after sinus augmentation. Oral Surg. Oral Med. Oral Pathol. Oral Radiol. Endod. 2010, 110, e1–e4. [Google Scholar] [CrossRef]
- Park, W.-B.; Okany, K.P.; Park, W.; Han, J.-Y.; Lim, H.-C.; Kang, P. Atypical and Late-Developed Sinus Graft Complications Following Maxillary Sinus Augmentation: Successful Management with Guided Bone Regeneration. Medicina 2024, 60, 1246. [Google Scholar] [CrossRef]
- Burcea, A.; Bogdan-Andreescu, C.F.; Albu, C.-C.; Poalelungi, C.-V.; Bănățeanu, A.-M.; Cadar, E.; Mirea, L.G.; Bohîltea, L.-C. One-Stage Surgical Management of an Asymptomatic Maxillary Sinus Mucocele with Immediate Lateral Sinus Lift and Simultaneous Implant Placement: A Case Report. J. Clin. Med. 2025, 14, 1946. [Google Scholar] [CrossRef]










| Time Point | Event | Key Details |
|---|---|---|
| Baseline (Month 0) | Pre-operative evaluation | Clinical exam; CBCT confirming severe posterior maxillary atrophy; treatment planning |
| Day 0 | Lateral sinus augmentation | Collagenated porcine xenograft (THE Graft™); lateral window approach; one case: controlled Schneiderian membrane perforation for mucocele removal and collagen membrane repair |
| Weeks 1–2 | Initial healing | No postoperative complications; uneventful soft tissue healing |
| Months 3–8 | Implant placement and biopsy | Core specimens collected during implant osteotomy; histology (H&E, Masson–Goldner) + TRAP staining |
| 3–4 months after implant placement | Prosthetic loading | Final implant-supported restorations delivered; functional loading commenced |
| Months 12–52 | Follow-up period | Stable marginal bone levels (<1 mm first year); no complications; graft volume maintained |
| 46.8 months (mean) | Long-term evaluation | All implants functional; radiographic and clinical stability confirmed |
| 52.2 months (max) | Long-term | CBCT and periapical radiographs from available case demonstrating stable bone height and osseointegration |
Disclaimer/Publisher’s Note: The statements, opinions and data contained in all publications are solely those of the individual author(s) and contributor(s) and not of MDPI and/or the editor(s). MDPI and/or the editor(s) disclaim responsibility for any injury to people or property resulting from any ideas, methods, instructions or products referred to in the content. |
© 2025 by the authors. Licensee MDPI, Basel, Switzerland. This article is an open access article distributed under the terms and conditions of the Creative Commons Attribution (CC BY) license (https://creativecommons.org/licenses/by/4.0/).
Share and Cite
Spînu, A.; Manole, F.; Burcea, A.; Albu, C.-C.; Mărcuț, L.-F.; Brata, R.D.; Manole, A.; Bogdan-Andreescu, C.F. Sinus Lift with Collagenated Porcine Xenograft in Severely Atrophic Posterior Maxillae: Case Series with Histologic Correlation and Long-Term Outcomes. Dent. J. 2025, 13, 584. https://doi.org/10.3390/dj13120584
Spînu A, Manole F, Burcea A, Albu C-C, Mărcuț L-F, Brata RD, Manole A, Bogdan-Andreescu CF. Sinus Lift with Collagenated Porcine Xenograft in Severely Atrophic Posterior Maxillae: Case Series with Histologic Correlation and Long-Term Outcomes. Dentistry Journal. 2025; 13(12):584. https://doi.org/10.3390/dj13120584
Chicago/Turabian StyleSpînu, Alexandru, Felicia Manole, Alexandru Burcea, Cristina-Crenguţa Albu, Lavinia-Florica Mărcuț, Roxana Daniela Brata, Alexia Manole, and Claudia Florina Bogdan-Andreescu. 2025. "Sinus Lift with Collagenated Porcine Xenograft in Severely Atrophic Posterior Maxillae: Case Series with Histologic Correlation and Long-Term Outcomes" Dentistry Journal 13, no. 12: 584. https://doi.org/10.3390/dj13120584
APA StyleSpînu, A., Manole, F., Burcea, A., Albu, C.-C., Mărcuț, L.-F., Brata, R. D., Manole, A., & Bogdan-Andreescu, C. F. (2025). Sinus Lift with Collagenated Porcine Xenograft in Severely Atrophic Posterior Maxillae: Case Series with Histologic Correlation and Long-Term Outcomes. Dentistry Journal, 13(12), 584. https://doi.org/10.3390/dj13120584

