Three Dimensional-Printed Gingivectomy and Tooth Reduction Guides Prior Ceramic Restorations: A Case Report
Abstract
1. Introduction
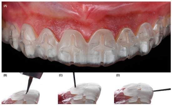
2. Materials and Methods
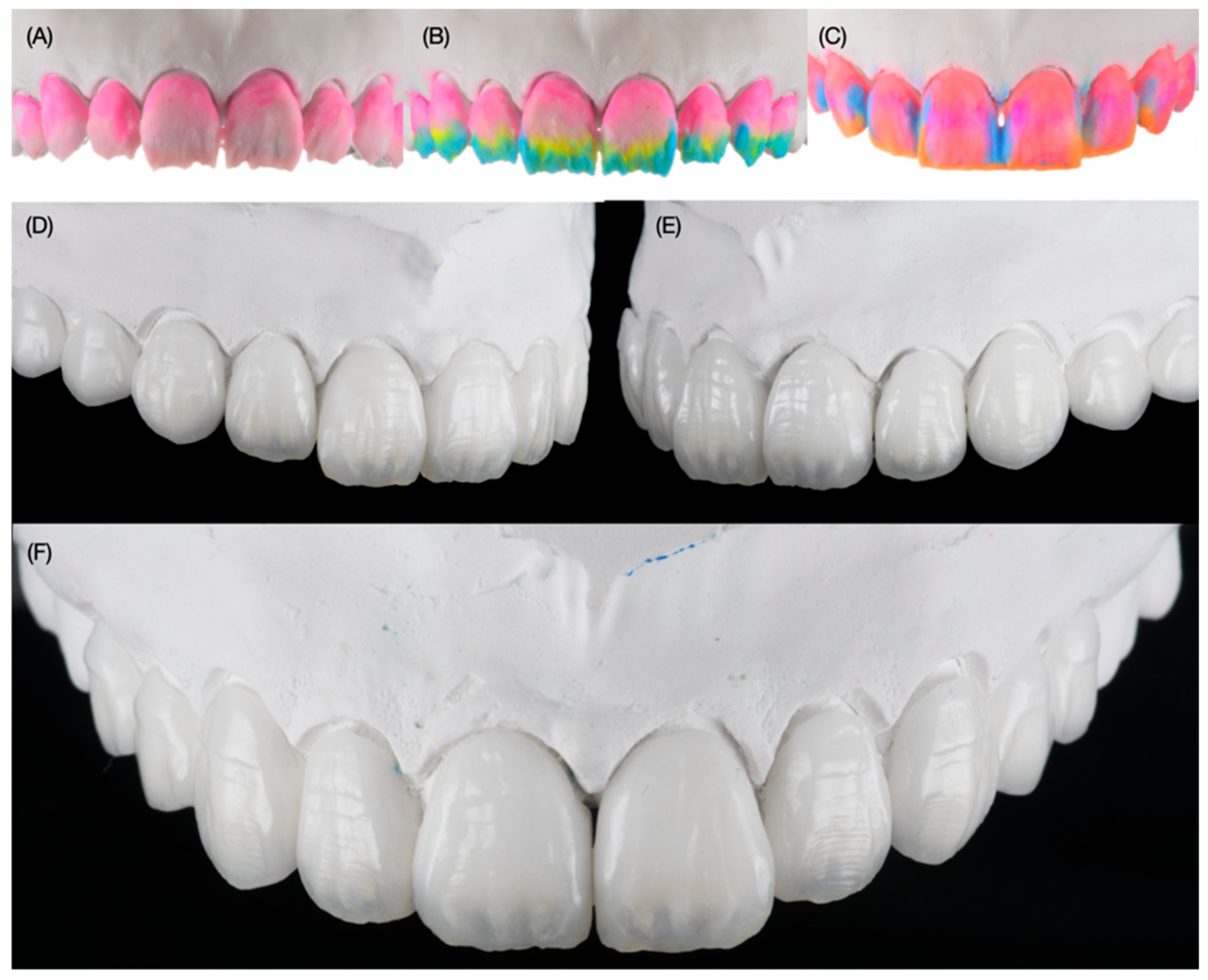
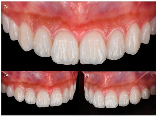
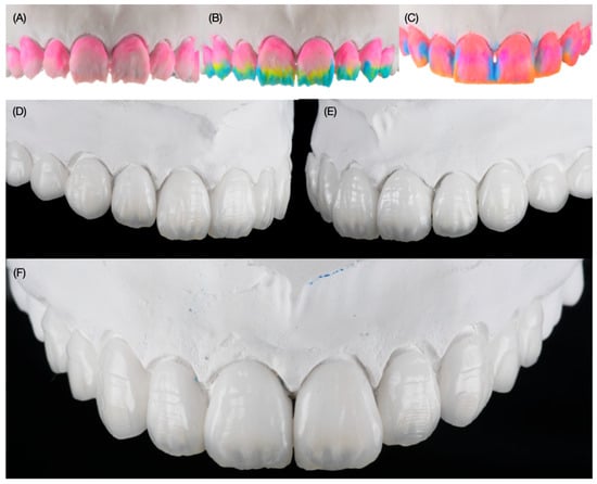
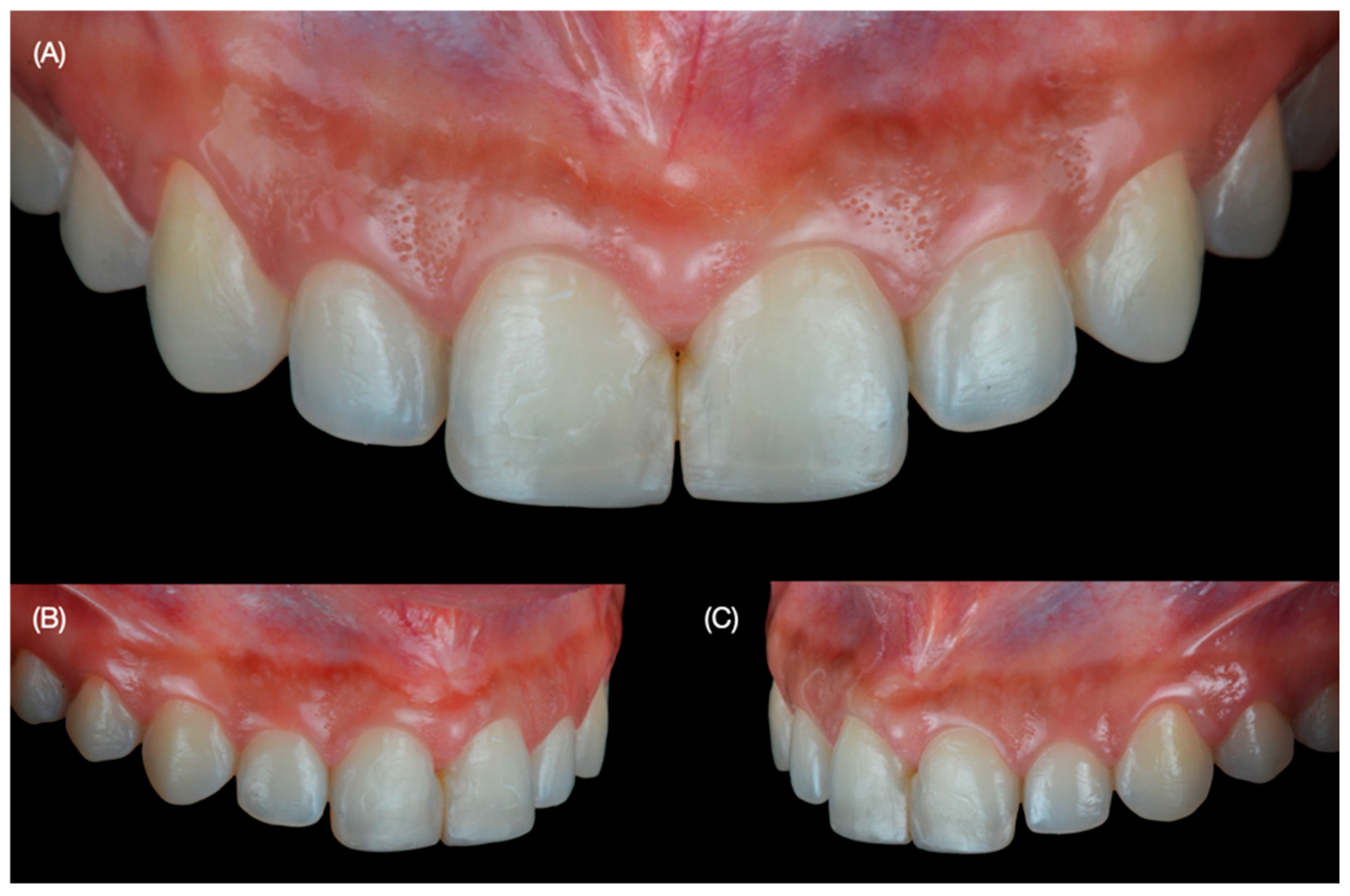
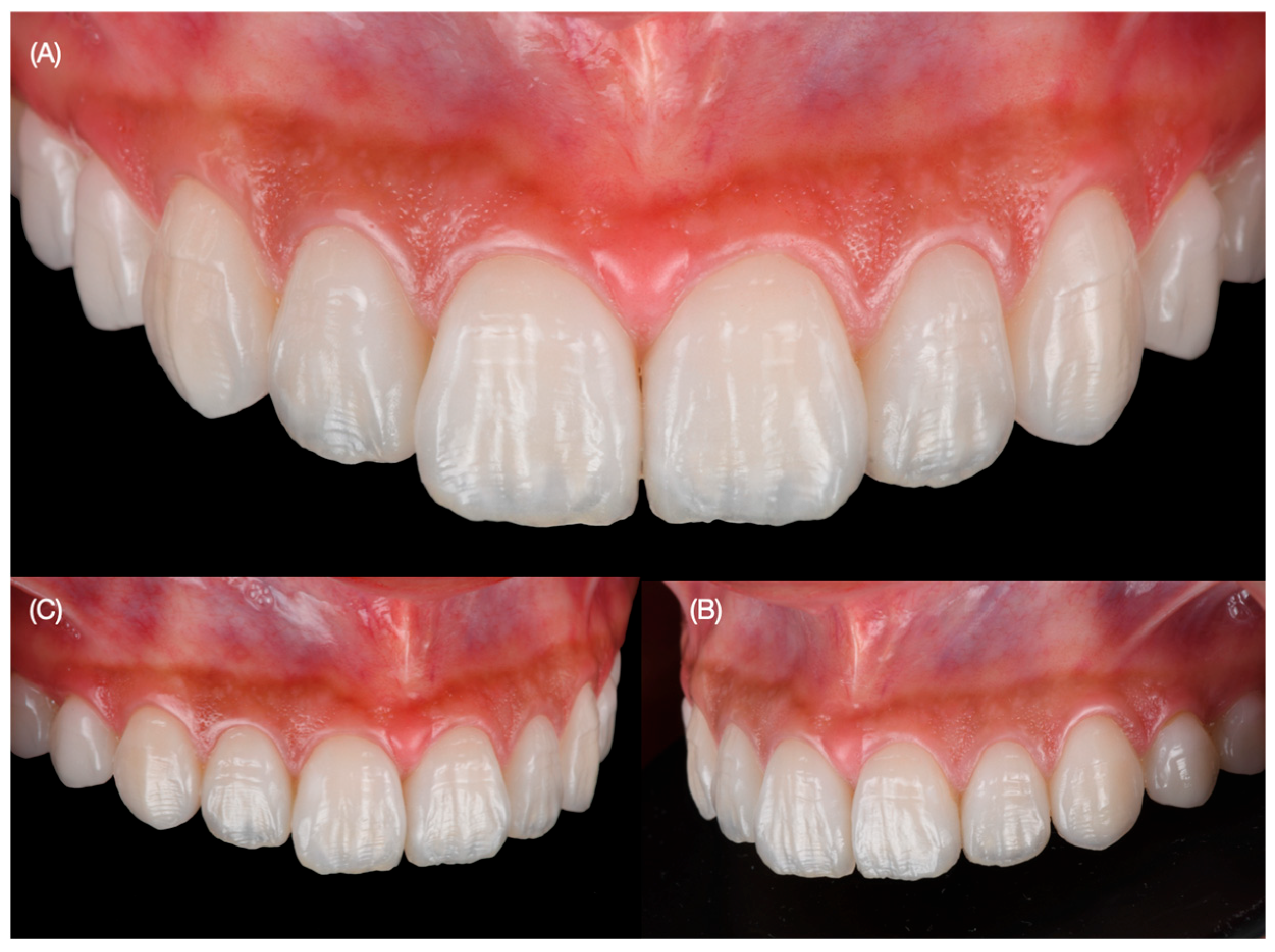
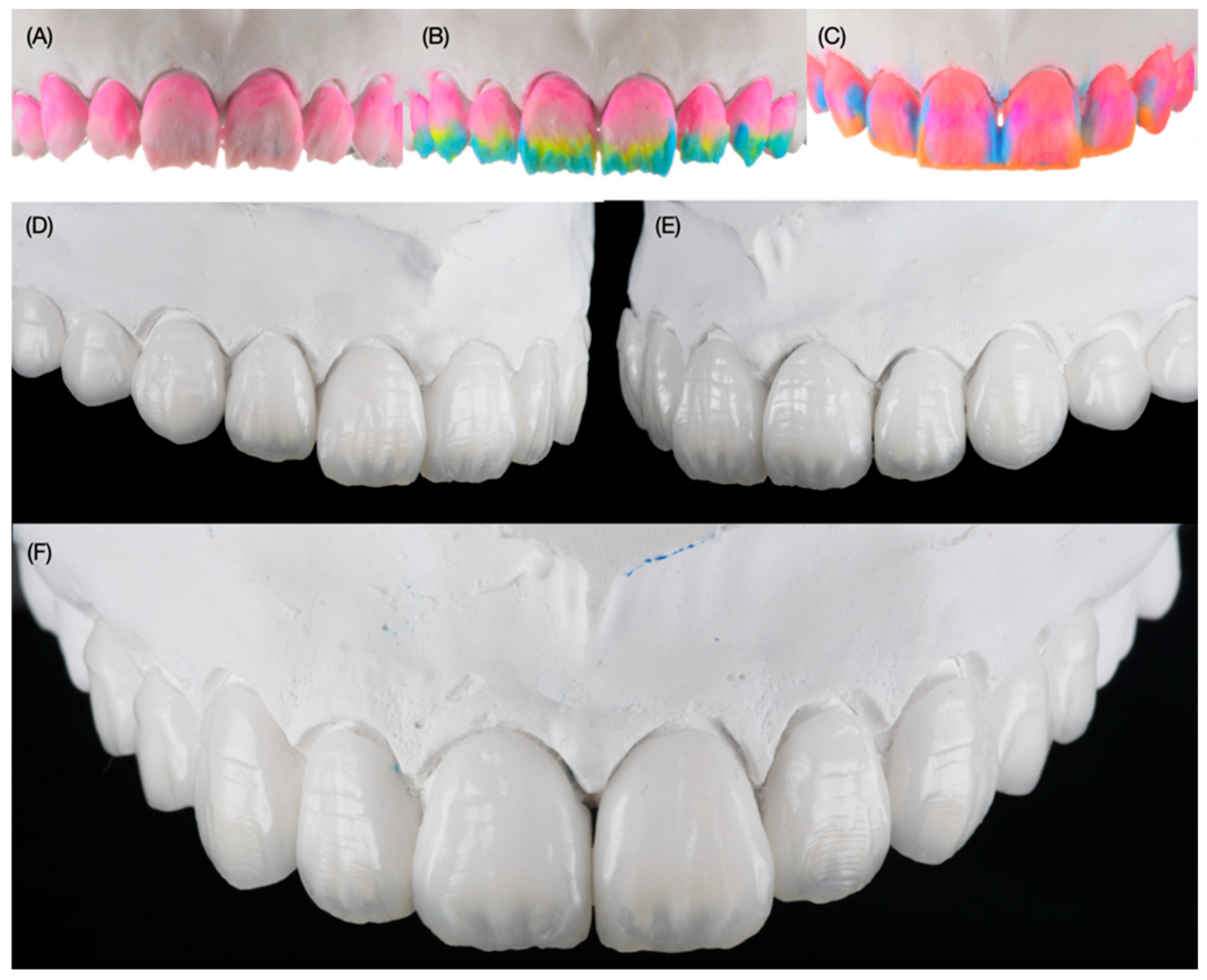
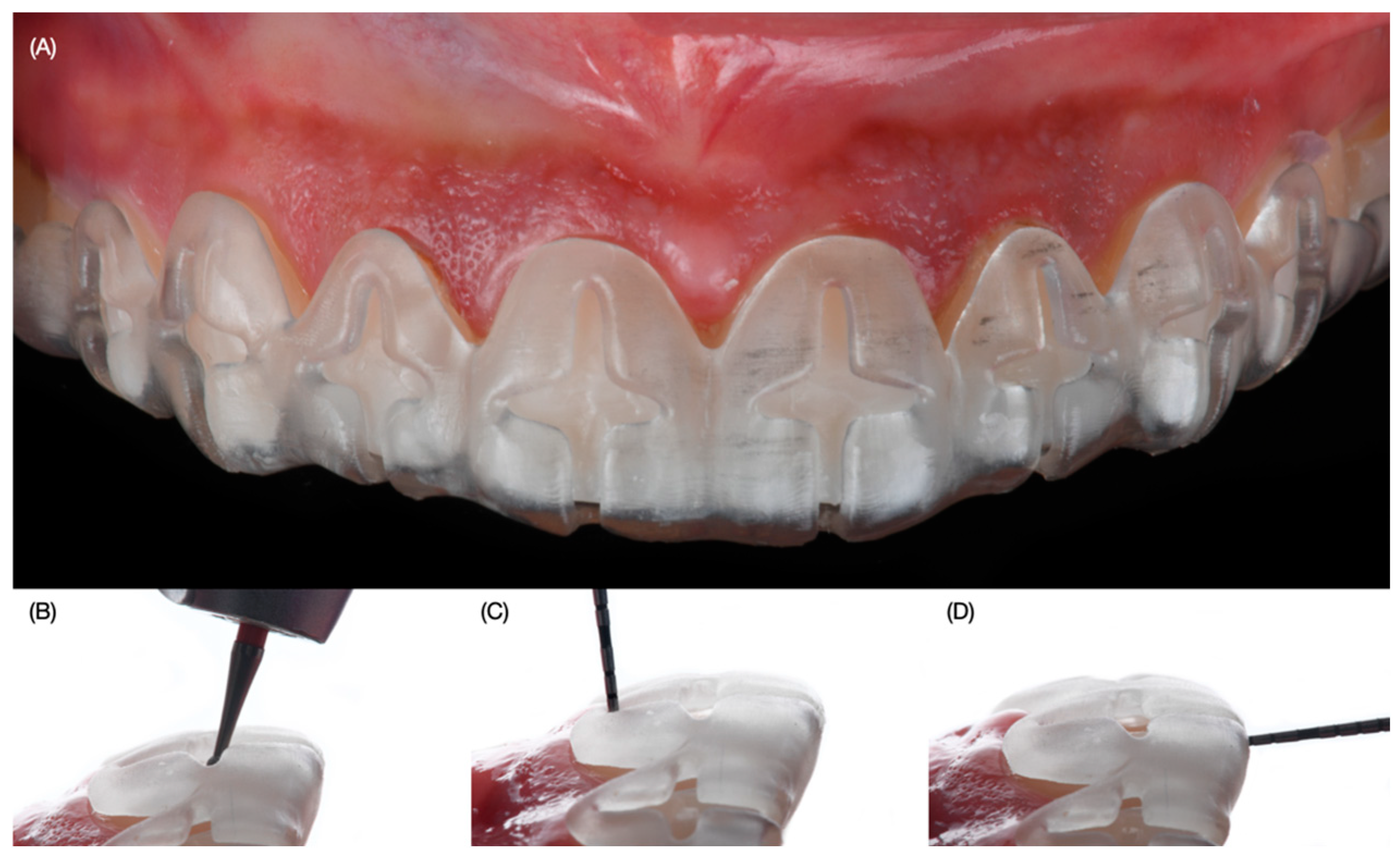
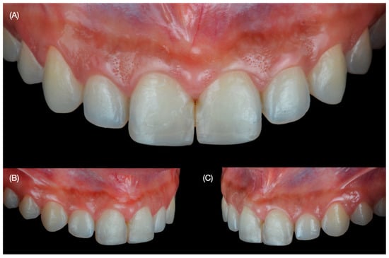
3. Results
4. Discussion
5. Conclusions
Author Contributions
Funding
Institutional Review Board Statement
Informed Consent Statement
Data Availability Statement
Conflicts of Interest
References
- Blatz, M.B.; Chiche, G.; Bahat, O.; Roblee, R.; Coachman, C.; Heymann, H.O. Evolution of Aesthetic Dentistry. J. Dent. Res. 2019, 98, 1294–1304. [Google Scholar] [CrossRef] [PubMed]
- Trushkowsky, R.D.; Alsadah, Z.; Brea, L.M.; Oquendo, A. The Interplay of Orthodontics, Periodontics, and Restorative Dentistry to Achieve Aesthetic and Functional Success. Dent. Clin. N. Am. 2015, 59, 689–702. [Google Scholar] [CrossRef] [PubMed]
- Davis, L.G.; Ashworth, P.D.; Spriggs, L.S. Psychological effects of aesthetic dental treatment. J. Dent. 1998, 26, 547–554. [Google Scholar] [CrossRef] [PubMed]
- Abbasi, M.S.; Lal, A.; Das, G.; Salman, F.; Akram, A.; Ahmed, A.R.; Maqsood, A.; Ahmed, N. Impact of Social Media on Aesthetic Dentistry: General Practitioners’ Perspectives. Healthcare 2022, 10, 2055. [Google Scholar] [CrossRef] [PubMed] [PubMed Central]
- Revilla-León, M.; Raney, L.; Piedra-Cascón, W.; Barrington, J.; Zandinejad, A.; Özcan, M. Digital workflow for an esthetic rehabilitation using a facial and intraoral scanner and an additive manufactured silicone index: A dental technique. J. Prosthet. Dent. 2020, 123, 564–570. [Google Scholar] [CrossRef] [PubMed]
- Jurado, C.A.; Villalobos-Tinoco, J.; Mekled, S.; Sanchez, R.; Afrashtehfar, K.I. Printed Digital Wax-up Model as a Blueprint for Layered Pressed-ceramic Laminate Veneers: Technique Description and Case Report. Oper. Dent. 2023, 48, 618–626. [Google Scholar] [CrossRef] [PubMed]
- Sailer, I.; Benic, G.I.; Fehmer, V.; Hämmerle, C.H.F.; Mühlemann, S. Randomized controlled within-subject evaluation of digital and conventional workflows for the fabrication of lithium disilicate single crowns. Part II: CAD-CAM versus conventional laboratory procedures. J. Prosthet. Dent. 2017, 118, 43–48. [Google Scholar] [CrossRef] [PubMed]
- Jurado, C.A.; Azpiazu-Flores, F.X.; Fu, C.C.; Rojas-Rueda, S.; Guzman-Perez, G.; Floriani, F. Expediting the Rehabilitation of Severely Resorbed Ridges Using a Combination of CAD-CAM and Analog Techniques: A Case Report. Medicina 2024, 60, 260. [Google Scholar] [CrossRef] [PubMed] [PubMed Central]
- De Paris Matos, T.; Wambier, L.M.; Favoreto, M.W.; Rezende, C.E.E.; Reis, A.; Loguercio, A.D.; Gonzaga, C.C. Patient-related outcomes of conventional impression making versus intraoral scanning for prosthetic rehabilitation: A systematic review and meta-analysis. J. Prosthet. Dent. 2023, 130, 19–27. [Google Scholar] [CrossRef] [PubMed]
- Alharbi, N.; Wismeijer, D.; Osman, R.B. Additive Manufacturing Techniques in Prosthodontics: Where Do We Currently Stand? A Critical Review. Int. J. Prosthodont. 2017, 30, 474–484. [Google Scholar] [CrossRef] [PubMed]
- Abdeen, L.; Chen, Y.W.; Kostagianni, A.; Finkelman, M.; Papathanasiou, A.; Chochlidakis, K.; Papaspyridakos, P. Prosthesis accuracy of fit on 3D-printed casts versus stone casts: A comparative study in the anterior maxilla. J. Esthet. Restor. Dent. 2022, 34, 1238–1246. [Google Scholar] [CrossRef] [PubMed]
- Parize, H.; Dias Corpa Tardelli, J.; Bohner, L.; Sesma, N.; Muglia, V.A.; Cândido Dos Reis, A. Digital versus conventional workflow for the fabrication of physical casts for fixed prosthodontics: A systematic review of accuracy. J. Prosthet. Dent. 2022, 128, 25–32. [Google Scholar] [CrossRef] [PubMed]
- Tsujimoto, A.; Jurado, C.A.; Villalobos-Tinoco, J.; Fischer, N.G.; Alresayes, S.; Sanchez-Hernandez, R.A.; Watanabe, H.; Garcia-Godoy, F. Minimally Invasive Multidisciplinary Restorative Approach to the Esthetic Zone Including a Single Discolored Tooth. Oper. Dent. 2021, 46, 477–483. [Google Scholar] [CrossRef] [PubMed]
- Alberton, S.B.; Alberton, V.; de Carvalho, R.V. Providing a harmonious smile with laminate veneers for a patient with peg-shaped lateral incisors. J. Conserv. Dent. 2017, 20, 210–213. [Google Scholar]
- Cho, S.H.; Nagy, W.W. Labial reduction guide for laminate veneer preparation. J. Prosthet. Dent. 2015, 114, 490–492. [Google Scholar] [CrossRef] [PubMed]
- Caponi, L.; Raslan, F.; Roig, M. Fabrication of a facially generated tooth reduction guide for minimally invasive preparations: A dental technique. J. Prosthet. Dent. 2022, 127, 689–694. [Google Scholar] [CrossRef]
- Jurado, C.A.; AlResayes, S.; Sayed, M.E.; Villalobos-Tinoco, J.; Llanes-Urias, N.; Tsujimoto, A. A customized metal guide for controllable modification of anterior teeth contour prior to minimally invasive preparation. Saudi Dent. J. 2021, 33, 518–523. [Google Scholar] [CrossRef] [PubMed] [PubMed Central]
- Heymann, H.O. Conservative concepts for achieving anterior esthetics. J. Calif. Dent. Assoc. 1997, 25, 437–443. [Google Scholar] [CrossRef]
- Chen, Y.; Raigrodski, A. A conservative approach for treating young adult patients with porcelain laminate veneers. J. Esthet. Restor. Dent. 2008, 20, 223–236. [Google Scholar] [CrossRef] [PubMed]
- Magne, P.; Belser, U.C. Novel porcelain laminate preparation approach driven by a diagnostic mock-up. J. Esthet. Restor. Dent. 2004, 16, 7–16, discussion 17–18. [Google Scholar] [CrossRef] [PubMed]
- Gao, J.; He, J.; Fan, L.; Lu, J.; Xie, C.; Yu, H. Accuracy of Reduction Depths of Tooth Preparation for Porcelain Laminate Veneers Assisted by Different Tooth Preparation Guides: An In Vitro Study. J. Prosthodont. 2022, 31, 593–600. [Google Scholar] [CrossRef] [PubMed]
- Robles, M.; Jurado, C.A.; Azpiazu-Flores, F.X.; Villalobos-Tinoco, J.; Afrashtehfar, K.I.; Fischer, N.G. An Innovative 3D Printed Tooth Reduction Guide for Precise Dental Ceramic Veneers. J. Funct. Biomater. 2023, 14, 216. [Google Scholar] [CrossRef] [PubMed] [PubMed Central]
- Sartori, N.; Ghishan, T.; O’Neill, E.; Hosney, S.; Zoidis, P. Digitally designed and additively manufactured tooth reduction guides for porcelain laminate veneer preparations: A clinical report. J. Prosthet. Dent. 2022, 131, 768–773. [Google Scholar] [CrossRef] [PubMed]
- Araujo, E.; Perdigão, J. Anterior Veneer Restorations—An Evidence-based Minimal-Intervention Perspective. J. Adhes. Dent. 2021, 23, 91–110. [Google Scholar] [CrossRef] [PubMed]
- Trushkowsky, R.; Arias, D.M.; David, S. Digital Smile Design concept delineates the final potential result of crown lengthening and porcelain veneers to correct a gummy smile. Int. J. Esthet. Dent. 2016, 11, 338–354. [Google Scholar] [PubMed]
- Magne, P.; Douglas, W.H. Rationalization of esthetic restorative dentistry based on biomimetics. J. Esthet. Dent. 1999, 11, 5–15. [Google Scholar] [CrossRef] [PubMed]
- McLaren, E.A.; Terry, D.A. Photography in dentistry. J. Calif. Dent. Assoc. 2001, 29, 735–742. [Google Scholar] [CrossRef] [PubMed]
- Christensen, G.J. Important clinical uses for digital photography. J. Am. Dent. Assoc. 2005, 136, 77–79. [Google Scholar] [CrossRef] [PubMed]
- Large, A. Managing patient expectations. BDJ Team 2020, 7, 31. [Google Scholar] [CrossRef] [PubMed Central]
- Garcia, L.T.; Bohnenkamp, D.M. The use of diagnostic wax-ups in treatment planning. Compend. Contin. Educ. Dent. 2003, 24, 210–212, 214. [Google Scholar] [PubMed]
- Magne P, Magne M: Use of additive waxup and direct intraoral mock-up for enamel preservation with porcelain laminate veneers. Eur. J. Esthet. Dent. 2006, 1, 10–19.
- Fabbri G, Cannistraro G, Pulcini C, Sorrentino R: The full-mouth mock-up: A dynamic diagnostic approach (DDA) to test function and esthetics in complex rehabilitations with increased vertical dimension of occlusion. Int. J. Esthet. Dent. 2018, 13, 460–474.
- Gao, J.; Luo, T.; Zhao, Y.; Xie, C.; Yu, H. Accuracy of the preparation depth in mixed targeted restorative space type veneers assisted by different guides: An in vitro study. J. Prosthodont. Res. 2023, 67, 556–561. [Google Scholar] [CrossRef] [PubMed]
- Ahmed, W.M.; Azhari, A.A.; Sedayo, L.; Alhaid, A.; Alhandar, R.; Almalki, A.; Jahlan, A.; Almutairi, A.; Kheder, W. Mapping the Landscape of the Digital Workflow of Esthetic Veneers from Design to Cementation: A Systematic Review. Dent. J. 2024, 12, 28. [Google Scholar] [CrossRef] [PubMed] [PubMed Central]
- Savi, A.; Turillazzi, O.; Crescini, A.; Manfredi, M. Esthetic treatment of a diffuse amelogenesis imperfecta using pressed lithium disilicate and feldspathic ceramic restorations: 5-year follow up. J. Esthet. Restor. Dent. 2014, 26, 363–373. [Google Scholar] [CrossRef] [PubMed]
- Patroi, D.N.; Andreescu, C.F.; Ghergic, D.L. Esthetic rehabilitation of anterior teeth with enamel hypoplasia using porcelain laminate veneers. AMT 2018, 23, 72–74. [Google Scholar]
- Villalobos-Tinoco, J.; Jurado, C.A.; Sanchez-Hernandez, R.A.; Elgreatly, A.; Alshabib, A.; Tsujimoto, A. Injectable Flowable Resin-based Composite Veneers Prior to Ceramic Veneers. Oper. Dent. 2023, 48, 351–357. [Google Scholar] [CrossRef] [PubMed]
- McLaren, E.A.; LeSage, B. Feldspathic veneers: What are their indications? Compend. Contin. Educ. Dent. 2011, 32, 44–49. [Google Scholar] [PubMed]
- Garcia-Baeza, D.; Saavedra, C.; Garcia-Adámez, R. Indirect porcelain veneers in periodontally compromised teeth. The hybrid technique: A case report. Int. J. Esthet. Dent. 2015, 10, 414–426. [Google Scholar] [PubMed]
- Layton, D.M.; Walton, T.R. The up to 21-year clinical outcome and survival of feldspathic porcelain veneers: Accounting for clustering. Int. J. Prosthodont. 2012, 25, 604–612. [Google Scholar] [PubMed]
- Alenezi, A.; Alsweed, M.; Alsidrani, S.; Chrcanovic, B.R. Long-Term Survival and Complication Rates of Porcelain Laminate Veneers in Clinical Studies: A Systematic Review. J. Clin. Med. 2021, 10, 1074. [Google Scholar] [CrossRef] [PubMed] [PubMed Central]
- Barros de Campos, P.R.; Maia, R.R.; Rodrigues de Menezes, L.; Barbosa, I.F.; Carneiro da Cunha, A.; da Silveira Pereira, G.D. Rubber dam isolation--key to success in diastema closure technique with direct composite resin. Int. J. Esthet. Dent. 2015, 10, 564–574. [Google Scholar] [PubMed]
- Nasser, A. Rubber Dam Isolation—When and Why to Use it? Part 1. BDJ Stud. 2021, 28, 40–41. [Google Scholar] [CrossRef] [PubMed Central]
- Jurado, C.A.; Fischer, N.G.; Sayed, M.E.; Villalobos-Tinoco, J.; Tsujimoto, A. Rubber Dam Isolation for Bonding Ceramic Veneers: A Five-Year Post-Insertion Clinical Report. Cureus 2021, 13, e20748. [Google Scholar] [CrossRef] [PubMed] [PubMed Central]
- Kapitan, M.; Hodacova, L.; Jagelska, J.; Kaplan, J.; Ivancakova, R.; Sustova, Z. The attitude of Czech dental patients to the use of rubber dam. Health Expect. 2015, 18, 1282–1290. [Google Scholar] [CrossRef] [PubMed] [PubMed Central]













Disclaimer/Publisher’s Note: The statements, opinions and data contained in all publications are solely those of the individual author(s) and contributor(s) and not of MDPI and/or the editor(s). MDPI and/or the editor(s) disclaim responsibility for any injury to people or property resulting from any ideas, methods, instructions or products referred to in the content. |
© 2024 by the authors. Licensee MDPI, Basel, Switzerland. This article is an open access article distributed under the terms and conditions of the Creative Commons Attribution (CC BY) license (https://creativecommons.org/licenses/by/4.0/).
Share and Cite
Jurado, C.A.; Villalobos-Tinoco, J.; Lackey, M.A.; Rojas-Rueda, S.; Robles, M.; Tsujimoto, A. Three Dimensional-Printed Gingivectomy and Tooth Reduction Guides Prior Ceramic Restorations: A Case Report. Dent. J. 2024, 12, 245. https://doi.org/10.3390/dj12080245
Jurado CA, Villalobos-Tinoco J, Lackey MA, Rojas-Rueda S, Robles M, Tsujimoto A. Three Dimensional-Printed Gingivectomy and Tooth Reduction Guides Prior Ceramic Restorations: A Case Report. Dentistry Journal. 2024; 12(8):245. https://doi.org/10.3390/dj12080245
Chicago/Turabian StyleJurado, Carlos A., Jose Villalobos-Tinoco, Mark A. Lackey, Silvia Rojas-Rueda, Manuel Robles, and Akimasa Tsujimoto. 2024. "Three Dimensional-Printed Gingivectomy and Tooth Reduction Guides Prior Ceramic Restorations: A Case Report" Dentistry Journal 12, no. 8: 245. https://doi.org/10.3390/dj12080245
APA StyleJurado, C. A., Villalobos-Tinoco, J., Lackey, M. A., Rojas-Rueda, S., Robles, M., & Tsujimoto, A. (2024). Three Dimensional-Printed Gingivectomy and Tooth Reduction Guides Prior Ceramic Restorations: A Case Report. Dentistry Journal, 12(8), 245. https://doi.org/10.3390/dj12080245

