Short- and Long-Term Effects of Maxillary Expander with Tongue Crib in Growing Open-Bite and Skeletal Class II Patients: A Retrospective Study
Abstract
1. Introduction
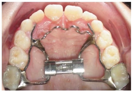
2. Materials and Methods
2.1. Study Design
2.2. Study Sample
2.3. Data Collection Method
2.4. Study Variables
2.5. Statistical Analysis
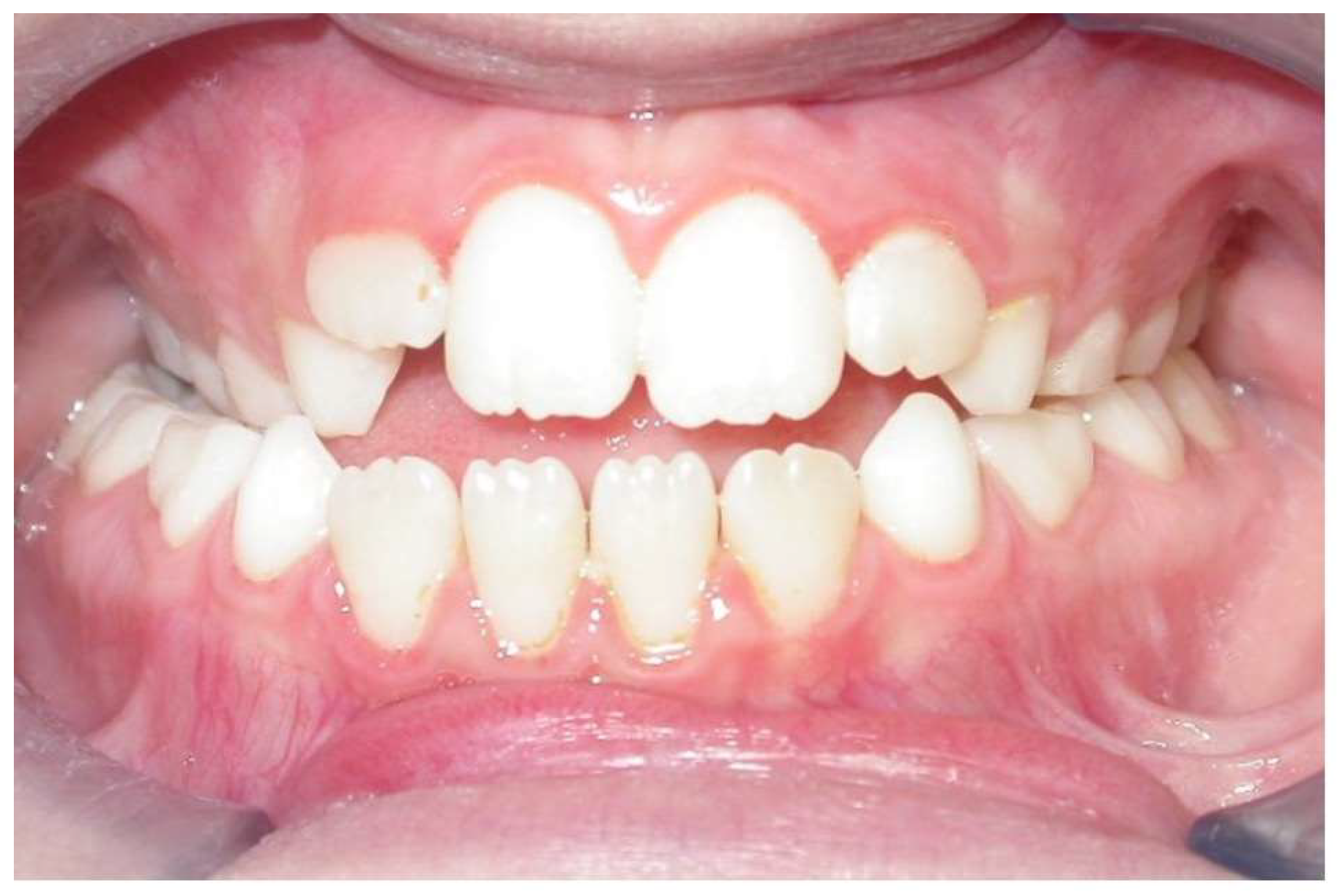
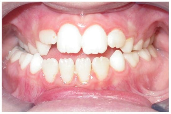
3. Results
3.1. Study Sample
3.2. Comparative Analysis
4. Discussion
5. Conclusions
Author Contributions
Funding
Institutional Review Board Statement
Informed Consent Statement
Data Availability Statement
Conflicts of Interest
References
- Cozza, P.; Mucedero, M.; Baccetti, T.; Franchi, L. Early orthodontic treatment of skeletal open-bite malocclusion: A systematic review. Angle Orthod. 2005, 75, 707–713. [Google Scholar] [CrossRef] [PubMed]
- Lin, L.H.; Huang, G.W.; Chen, C.S. Etiology and treatment modalities of anterior open bite malocclusion. J. Exp. Clin. Med. 2013, 5, 1–4. [Google Scholar] [CrossRef]
- Avrella, M.T.; Zimmermann, D.R.; Andriani JS, P.; Santos, P.S.; Barasuol, J.C. Prevalence of anterior open bite in children and adolescents: A systematic review and meta-analysis. Eur. Arch. Paediatr. Dent. 2021, 23, 355–364. [Google Scholar] [CrossRef] [PubMed]
- Matsumoto MA, N.; Romano, F.L.; Ferreira JT, L.; Valério, R.A. Open bite: Diagnosis, treatment and stability. Braz. Dent. J. 2012, 23, 768–778. [Google Scholar] [CrossRef]
- Wajid, M.A.; Chandra, P.; Kulshrestha, R.; Singh, K.; Rastogi, R.; Umale, V. Open bite malocclusion: An overview. J. Oral Health Craniofac. Sci. 2018, 3, 11–20. [Google Scholar]
- Leal, F.; Lemos, A.R.B.; Costa, G.F.; Cardoso, I.L. Genetic and environmental factors involved in the development of oral malformations such as cleft lip/palate in non-syndromic patients and open bite malocclusion. Eur. J. Med. Health Sci. 2020, 2, 1–11. [Google Scholar] [CrossRef]
- Huang, W.; Shan, B.; Ang, B.S.; Ko, J.; Bloomstein, R.D.; Cangialosi, T.J. Review of Etiology of Posterior Open Bite: Is There a Possible Genetic Cause? Clin. Cosmet. Investig. Dent. 2020, 12, 233. [Google Scholar] [CrossRef]
- Cozza, P.; Baccetti, T.; Franchi, L.; Mucedero, M.; Polimeni, A. Sucking habits and facial hyperdivergency as risk factors for anterior open bite in the mixed dentition. Am. J. Orthod. Dentofac. Orthop. 2005, 128, 517–519. [Google Scholar] [CrossRef]
- Heimer, M.V.; Tornisiello, K.C.R.; Rosenblatt, A. Non-nutritive sucking habits, dental malocclusions, and facial morphology in Brazilian children: A longitudinal study. Eur. J. Orthod. 2008, 30, 580–585. [Google Scholar] [CrossRef]
- Buschang, P.H.; Sankey, W.; English, J.P. Early treatment of hyperdivergent open-bitemalocclusions. In Seminars in Orthodontics; WB Saunders: Philadelphia, PA, USA, 2002; Volume 8, pp. 130–140. [Google Scholar] [CrossRef]
- Cozza, P.; Baccetti, T.; Franchi, L.; Mucedero, M.; Polimeni, A. Transverse features of subjects with sucking habits and facial hyperdivergency in the mixed dentition. Am. J. Orthod. Dentofac. Orthop. 2007, 132, 226–229. [Google Scholar] [CrossRef]
- Koletsi, D.; Makou, M.; Pandis, N. Effect of orthodontic management and orofacial muscle training protocols on the correction of myofunctional and myoskeletal problems in developing dentition. A systematic review and meta-analysis. Orthod. Craniofacial Res. 2018, 21, 202–215. [Google Scholar] [CrossRef] [PubMed]
- Isçan, H.N.; Akkaya, S.; Elçin, K. The effect of spring-loaded posterior bite block on the maxillo-facial morphology. Eur. J. Orthod. 1992, 14, 54–60. [Google Scholar] [CrossRef] [PubMed]
- Aznar, T.; Galan, A.F.; Marin, I.; Dominguez, A. Dental arch diameters and relationships to oral habits. Angle Orthod. 2006, 76, 441–445. [Google Scholar] [CrossRef] [PubMed]
- Rossato, P.H.; Fernandes, T.M.F.; Urnau, F.D.A.; de Castro, A.C.; Conti, F.; de Almeida, R.R.; Oltramari-Navarro, P.V.P. Dentoalveolar effects produced by different appliances on early treatment of anterior open bite: A randomized clinical trial. Angle Orthod. 2018, 88, 684–691. [Google Scholar] [CrossRef] [PubMed]
- Mucedero, M.; Fusaroli, D.; Franchi, L.; Pavoni, C.; Cozza, P.; Lione, R. Long-term evaluation of rapid maxillary expansion and bite-block therapy in open bite growing subjects. Angle Orthod. 2018, 88, 523–529. [Google Scholar] [CrossRef]
- Haryett, R.D.; Hansen, F.C.; Davidson, P.O.; Sandilands, M.L. Chronic thumb-sucking: The psychologic effects and the relative effectiveness of various methods of treatment. Am. J. Orthod. 1967, 53, 569–585. [Google Scholar] [CrossRef] [PubMed]
- Lagravere, M.O.; Major, P.W.; Flores-Mir, C. Long-term skeletal changes with rapid maxillary expansion: A systematic review. Angle Orthod. 2005, 75, 1046–1052. [Google Scholar] [CrossRef]
- Artese, F.; Fernandes, L.Q.P.; de Oliveira Caetano, S.R.; Miguel, J.A.M. Early treatment for anterior open bite: Choosing adequate treatment approaches. In Seminars in Orthodontics; WB Saunders: Philadelphia, PA, USA, 2023; Volume 29. [Google Scholar] [CrossRef]
- Asiry, M.A. Anterior open bite treated with myofunctional therapy and palatal crib. J. Contemp. Dent. Pract. 2015, 16, 243–247. [Google Scholar] [CrossRef]
- Baccetti, T.; Franchi, L.; McNamara, J.A., Jr. The cervical vertebral maturation (CVM) method for the assessment of optimal treatment timing in dentofacial orthopedics. In Seminars in Orthodontics; WB Saunders: Philadelphia, PA, USA, 2005; Volume 11, pp. 119–129. [Google Scholar] [CrossRef]
- Galdi, M.; Di Spirito, F.; Amato, A.; Cannatà, D.; Rongo, R.; Martina, S. Lower Incisor—Pg: A New Cephalometric Parameter to Evaluate the Anterior Limit of Dentition. Dent. J. 2023, 11, 264. [Google Scholar] [CrossRef]
- Subtelny, J.D.; Sakuda, M. Open-bite: Diagnosis and treatment. Am. J. Orthod. 1964, 50, 337–358. [Google Scholar] [CrossRef]
- Richardson, A. Skeletal factors in anterior open-bite and deep overbite. Am. J. Orthod. 1969, 56, 114e27. [Google Scholar] [CrossRef] [PubMed]
- Sassouni, V.; Nanda, S. Analysis of dentofacial vertical proportions. Am. J. Orthod. 1964, 50, 801e23. [Google Scholar] [CrossRef]
- Barone, S.; Cosentini, G.; Bennardo, F.; Antonelli, A.; Giudice, A. Incidence and management of condylar resorption after orthognathic surgery: An overview. Korean J. Orthod. 2022, 52, 29–41. [Google Scholar] [CrossRef] [PubMed]
- Nahoum, H.I.; Horowitz, S.L.; Benedicto, E.A. Varieties of anterior open-bite. Am. J. Orthod. 1972, 61, 486e92. [Google Scholar] [CrossRef] [PubMed]
- Mucedero, M.; Franchi, L.; Giuntini, V.; Vangelisti, A.; McNamara, J.A., Jr.; Cozza, P. Stability of quad-helix/crib therapy in dentoskeletal open bite: A long-term controlled study. Am. J. Orthod. Dentofac. Orthop. 2013, 143, 695–703. [Google Scholar] [CrossRef] [PubMed][Green Version]
- English, J.D. Early treatment of skeletal open bite malocclusions. Am. J. Orthod. Dentofac. Orthop. 2002, 121, 563–565. [Google Scholar] [CrossRef][Green Version]
- Torres, F.; Almeida, R.R.; De Almeida, M.R.; Almeida-Pedrin, R.R.; Pedrin, F.; Henriques, J.F. Anterior open bite treated with a palatal crib and high-pull chin cup therapy. A prospective randomized study. Eur. J. Orthod. 2006, 28, 610–617. [Google Scholar] [CrossRef] [PubMed]
- Pedrin, F.; de Almeida, M.R.; de Almeida, R.R.; de Almeida-Pedrin, R.R.; Torres, F. A prospective study of the treatment effects of a removable appliance with palatal crib combined with high-pull chincup therapy in anterior open-bite patients. Am. J. Orthod. Dentofac. Orthop. 2006, 129, 418–423. [Google Scholar] [CrossRef]
- Da Silva Filho, O.G.; Gomes Gonc¸alves, R.J.; Maia, F.A. Sucking habits: Clinical management in dentistry. Pediatr. Dent. 1991, 15, 137–156. [Google Scholar] [CrossRef]
- Mousa, M.R.; Hajeer, M.Y.; Farah, H. Evaluation of the open-bite Bionator versus the removable posterior bite plane with a tongue crib in the early treatment of skeletal anterior open bite: A randomized controlled trial. J. World Fed. Orthod. 2021, 10, 163–171. [Google Scholar] [CrossRef]
- Chung, C.H.; Font, B. Skeletal and dental changes in the sagittal, vertical, and transverse dimensions after rapid palatal expansion. Am. J. Orthod. Dentofac. Orthop. 2004, 126, 569–575. [Google Scholar] [CrossRef] [PubMed]
- Cozza, P.; Baccetti, T.; Franchi, L.; McNamara, J.A., Jr. Treatment effects of a modified quad-helix in patients with dentoskeletal open bites. Am. J. Orthod. Dentofac. Orthop. 2006, 129, 734–739. [Google Scholar] [CrossRef] [PubMed]
- Cozza, P.; Baccetti, T.; Franchi, L.; Mucedero, M. Comparison of 2 early treatment protocols for open-bite malocclusions. Am. J. Orthod. Dentofac. Orthop. 2007, 132, 743–747. [Google Scholar] [CrossRef] [PubMed]
- Defraia, E.; Marinelli, A.; Baroni, G.; Franchi, L.; Baccetti, T. Early orthodontic treatment of skeletal open-bite malocclusion with the open-bite bionator: A cephalometric study. Am. J. Orthod. Dentofac. Orthop. 2007, 132, 595–598. [Google Scholar] [CrossRef] [PubMed]
- Gunyuz Toklu, M.; Germec-Cakan, D.; Tozlu, M. Periodontal, dentoalveolar, and skeletal effects of tooth-borne and tooth-bone-borne expansion appliances. Am. J. Orthod. Dentofac. Orthop. 2015, 148, 97–109. [Google Scholar] [CrossRef]
- Roy, D.S.; Walia, D.C. Evaluation of treatment changes with rapid maxillary expansion using computed tomography scan: A comprehensive review. Int. J. Appl. Dent. Sci. 2021, 7, 36–43. [Google Scholar] [CrossRef]
- Giuntini, V.; Franchi, L.; Baccetti, T.; Mucedero, M.; Cozza, P. Dentoskeletal changes associated with fixed and removable appliances with a crib in open-bite patients in the mixed dentition. Am. J. Orthod. Dentofac. Orthop. 2008, 133, 77–80. [Google Scholar] [CrossRef]
- Teixeira, R.A.N.; Ferrari Junior, F.M.; Garib, D. Influence of rapid maxillary expansion in the stability of anterior open bite treatment. Clin. Oral Investig. 2022, 26, 6371–6378. [Google Scholar] [CrossRef]


| Cephalometric Measurement (Unit of Measurement) | Calculation Method | Abbreviation |
|---|---|---|
| Sagittal analysis | ||
| Position of the maxilla (°) | Angle: sella–nasion–point A | SNA |
| Position of the mandible (°) | Angle: sella–nasion–point B | SNB |
| Intermaxillary relationship (°) | Angle: point A–nasion–point B | ANB |
| Vertical analysis | ||
| Vertical intermaxillary relationship (°) | Angle between palatal plane and mandibular plane | AnsPns.GoGn |
| Divergence of the maxilla (°) | Angle between sella–nasion plane and palatal plane | SN.AnsPns |
| Divergence of the mandible (°) | Angle between sella–nasion plane and mandibular plane | SN.GoGn |
| Gonial angle (°) | Angle: condylion–gonion–gnathion | CoGoMe |
| Dentobasal analysis | ||
| Inclination of the lower incisors (°) | Angle between lower incisor axis and mandibular plane | L1.GoGn |
| Inclination of the upper incisors (°) | Angle between upper incisor axis and palatal plane | U1.AnsPns |
| Anteroposterior position of the lower incisor (mm) | Distance between pogonion and the projection of the lower incisor axis perpendicular to the Frankfurt plane | L1-Pg |
| Anteroposterior position of the upper incisor (mm) | Distance between anterior nasal spine and the projection of the upper incisor axis perpendicular to the Frankfurt plane | U1 |
| Molar relationship (mm) | Relationship between upper and lower first molar | U6^L6 |
| Overbite (mm) | Vertical distance between the margins of upper and lower incisors | OVB |
| Overjet (mm) | Horizontal distance between the margins of upper and lower incisors | OVJ |
| T0 | p-Value | T1 | p-Value | T1-T0 | p-Value | T2 | p-Value | T2-T1 | p-Value | T2-T0 | p-Value | |||||||
|---|---|---|---|---|---|---|---|---|---|---|---|---|---|---|---|---|---|---|
| TG | CG | TG | CG | TG | CG | TG | CG | TG | CG | TG | CG | |||||||
| Sagittal analysis | ||||||||||||||||||
| SNA | 82.6 ± 3.4 | 83.9 ± 5.8 | NS | 82.6 ± 2.9 | 84.5 ± 6.1 | NS | 0.09 ± 1.80 | 0.57 ± 2.30 | NS | 83.1 ± 3.2 | 84.3 ± 5.3 | NS | 0.49 ± 1.17 | −0.17 ± 3.18 | NS | 0.58 ± 2.88 | 0.40 ± 3.83 | NS |
| SNB | 78.2 ± 2.1 | 78.8 ± 5.3 | NS | 79.1 ± 2.3 | 80.4 ± 5.3 | NS | 0.99 ± 1.55 | 1.62 ± 1.96 | NS | 79.6 ± 2.3 | 80.7 ± 5.5 | NS | 0.47 ± 1.35 | 0.27 ± 2.85 | NS | 1.46 ± 1.91 | 1.89 ± 3.84 | NS |
| ANB | 4.6 ± 2.9 | 5.01 ± 2.3 | NS | 3.72 ± 1.7 | 4.16 ± 1.6 | NS | −0.88 ± 1.45 | −0.84 ± 1.75 | NS | 4.03 ± 1.9 | 3.9 ± 1.5 | NS | 0.31 ± 0.77 | −0.26 ± 1.80 | NS | −0.56 ± 1.25 | −1.11 ± 1.98 | NS |
| Vertical analysis | ||||||||||||||||||
| AnsPns.GoGn | 28.3 ± 3.2 | 27.2 ± 4.9 | NS | 26.7 ± 3.3 | 28.9 ± 4.6 | NS | −1.62 ± 0.52 | 1.71 ± 1.80 | * | 25.2 ± 3.1 | 30.2 ± 4.5 | * | −1.46 ± 0.43 | 1.29 ± 0.76 | * | −3.08 ± 0.63 | 2.99 ± 2.22 | * |
| SN.AnsPns | 6.6 ± 2.1 | 7.3 ± 3.2 | NS | 6.1 ± 0.8 | 8.2 ± 2.9 | * | −0.51 ± 1.84 | 0.83 ± 0.74 | * | 5.5 ± 1.7 | 9.2 ± 2.8 | * | −0.62 ± 1.46 | 1.05 ± 1.14 | * | −1.14 ± 2.82 | 1.88 ± 1.45 | * |
| SN.GoGn | 34.6 ± 4.9 | 34.8 ± 6.2 | NS | 32.6 ± 5.1 | 35.3 ± 5.9 | * | −1.93 ± 1.39 | 0.52 ± 0.98 | * | 29.9 ± 4.5 | 36.1 ± 5.6 | * | −2.69 ± 2.99 | 0.79 ± 1.31 | * | −4.63 ± 3.49 | 0.88 ± 1.93 | * |
| CoGoMe | 128.1 ± 4.7 | 126.7 ± 6.9 | NS | 126.6 ± 3.5 | 126.4 ± 5.8 | NS | −1.45 ± 1.50 | −0.37 ± 3.61 | NS | 124.4 ± 2.6 | 127.4 ± 5.6 | NS | −2.20 ± 2.15 | 1.07 ± 1.72 | * | −3.65 ± 3.01 | 0.71 ± 4.82 | NS |
| Dentobasal analysis | ||||||||||||||||||
| L1.GoGn | 100.2 ± 7.7 | 97.3 ± 7.7 | NS | 99.5 ± 5.9 | 97.7 ± 5.8 | NS | −0.69 ± 3.09 | 0.44 ± 5.22 | NS | 97.8 ± 5.8 | 97.2 ± 4.9 | NS | −1.63 ± 5.85 | −0.49 ± 4.93 | NS | −2.33 ± 8.88 | −0.06 ± 7.06 | NS |
| U1.AnsPns | 115.3 ± 7.0 | 117.4 ± 7.7 | NS | 114.4 ± 6.6 | 117.4 ± 6.4 | NS | −0.89 ± 7.24 | 0.06 ± 6.75 | NS | 109.9 ± 7.0 | 116.4 ± 5.9 | * | −4.50 ± 5.92 | −1.03 ± 5.67 | NS | −5.39 ± 11.24 | −0.98 ± 6.61 | NS |
| L1 | 2.8 ± 3.5 | 5.4 ± 2.8 | NS | 3 ± 2.3 | 5.6 ± 2.8 | * | 0.17 ± 1.49 | 0.24 ± 0.89 | NS | 2.9 ± 1.8 | 5.7 ± 2.6 | * | −0.14 ± 0.73 | 0.11 ± 0.77 | NS | 0.03 ± 2.03 | 0.34 ± 1.34 | NS |
| U1 | 0.4 ± 2.3 | −2.6 ± 2.1 | NS | 1 ± 1.0 | −2.2 ± 2.0 | * | 0.61 ± 1.58 | 0.44 ± 1.28 | NS | 1.6 ± 1.1 | −1.1 ± 2.4 | * | 0.54 ± 1.00 | 1.15 ± 1.88 | NS | 1.15 ± 2.40 | 1.59 ± 2.22 | NS |
| U6^L6 | 0.7 ± 0.2 | 0.8 ± 0.2 | NS | 0.7 ± 0.2 | 0.9 ± 0.1 | * | 0.02 ± 0.10 | 0.08 ± 0.19 | NS | 0.8 ± 0.2 | 1 ± 0.1 | * | 0.07 ± 0.10 | 0.16 ± 0.13 | * | 0.10 ± 0.13 | 0.23 ± 0.20 | * |
| OVB | −2.9 ± 1.1 | −4.4 ± 1.9 | NS | 1.5 ± 0.6 | −3.3 ± 1.3 | * | 4.49 ± 0.92 | 1.04 ± 1.13 | * | 1.8 ± 0.6 | −2.1 ± 1.3 | * | 0.32 ± 0.20 | 0.32 ± 0.20 | * | 4.81 ± 0.96 | 2.30 ± 1.65 | * |
| OVJ | 2.7 ± 1.3 | 2.6 ± 2.8 | NS | 2.6 ± 1.0 | 3 ± 2.3 | NS | −0.06 ± 0.43 | 0.43 (1.02) | NS | 2.6 ± 0.7 | 3.7 ± 2.1 | NS | 0.00 ± 0.62 | 0.65 ± 0.58 | * | -0.06 ± 0.98 | 1.08 ± 1.48 | *- |
Disclaimer/Publisher’s Note: The statements, opinions and data contained in all publications are solely those of the individual author(s) and contributor(s) and not of MDPI and/or the editor(s). MDPI and/or the editor(s) disclaim responsibility for any injury to people or property resulting from any ideas, methods, instructions or products referred to in the content. |
© 2024 by the authors. Licensee MDPI, Basel, Switzerland. This article is an open access article distributed under the terms and conditions of the Creative Commons Attribution (CC BY) license (https://creativecommons.org/licenses/by/4.0/).
Share and Cite
Barone, S.; Bennardo, F.; Diodati, F.; Salviati, M.; Calabria, E.; Colangeli, W.; Antonelli, A.; Giudice, C.; Giudice, A. Short- and Long-Term Effects of Maxillary Expander with Tongue Crib in Growing Open-Bite and Skeletal Class II Patients: A Retrospective Study. Dent. J. 2024, 12, 22. https://doi.org/10.3390/dj12020022
Barone S, Bennardo F, Diodati F, Salviati M, Calabria E, Colangeli W, Antonelli A, Giudice C, Giudice A. Short- and Long-Term Effects of Maxillary Expander with Tongue Crib in Growing Open-Bite and Skeletal Class II Patients: A Retrospective Study. Dentistry Journal. 2024; 12(2):22. https://doi.org/10.3390/dj12020022
Chicago/Turabian StyleBarone, Selene, Francesco Bennardo, Federica Diodati, Marianna Salviati, Elena Calabria, Walter Colangeli, Alessandro Antonelli, Carmen Giudice, and Amerigo Giudice. 2024. "Short- and Long-Term Effects of Maxillary Expander with Tongue Crib in Growing Open-Bite and Skeletal Class II Patients: A Retrospective Study" Dentistry Journal 12, no. 2: 22. https://doi.org/10.3390/dj12020022
APA StyleBarone, S., Bennardo, F., Diodati, F., Salviati, M., Calabria, E., Colangeli, W., Antonelli, A., Giudice, C., & Giudice, A. (2024). Short- and Long-Term Effects of Maxillary Expander with Tongue Crib in Growing Open-Bite and Skeletal Class II Patients: A Retrospective Study. Dentistry Journal, 12(2), 22. https://doi.org/10.3390/dj12020022

