Spitz Nevus with Features of Clark Nevus, So-Called SPARK Nevus: Case Series Presentation with Emphasis on Cytological and Histological Features
Abstract
:1. Introduction
2. Materials and Methods
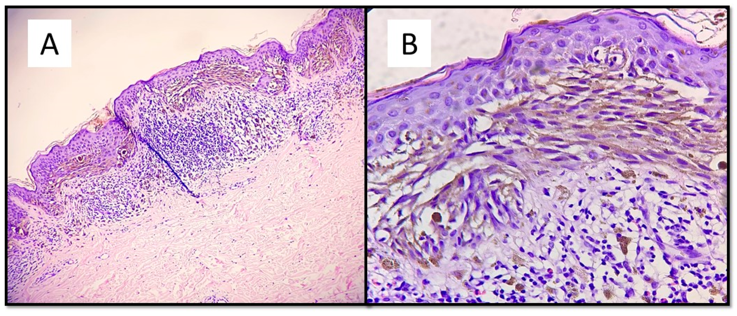
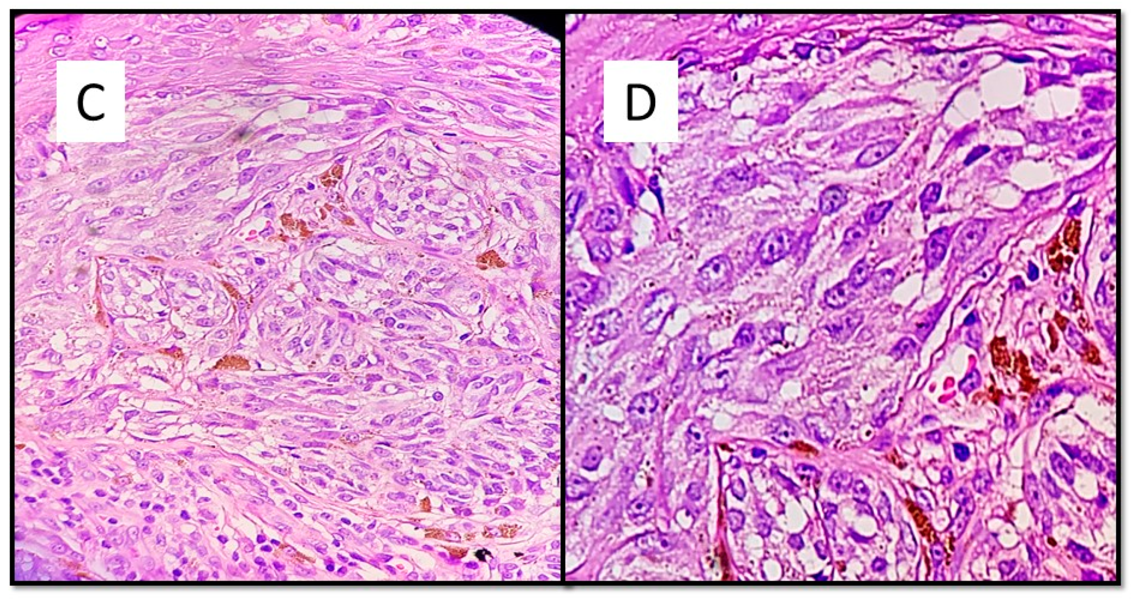
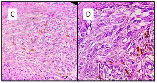
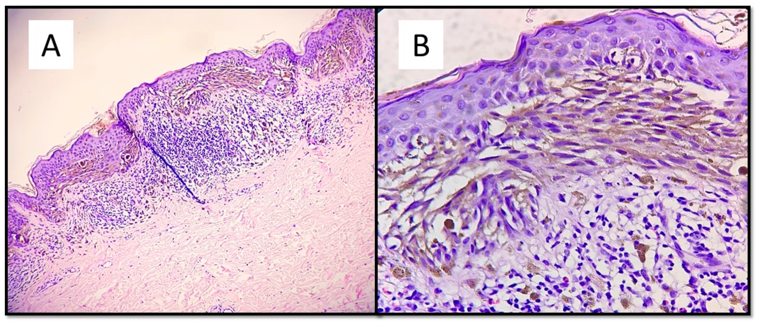
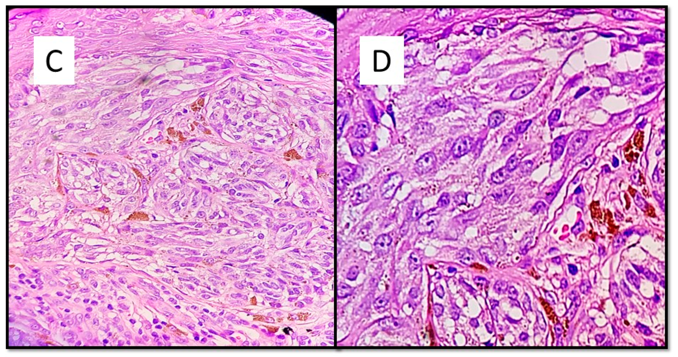
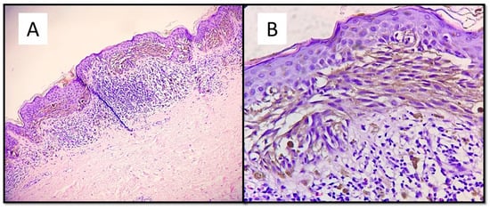
3. Results
4. Discussion
5. Conclusions
Author Contributions
Funding
Institutional Review Board Statement
Informed Consent Statement
Data Availability Statement
Conflicts of Interest
References
- Massi, G.; LeBoit, P. Spitz Nevus. In Histological Diagnosis of Nevi and Melanoma, 2nd ed.; Spinger: Heildelberg, Germany, 2014; Volume 1, pp. 168–184. [Google Scholar]
- LeBoit, P.E. A testable hypothesis in a “borderline” neoplasm. Am. J. Dermatopathol. 2002, 24, 89–91. [Google Scholar] [CrossRef]
- Rosendahl, C.O.; Grant-Kels, J.M.; Que, S.K. Dysplastic nevus: Fact and fiction. J. Am. Acad. Dermatol. 2015, 73, 507–512. [Google Scholar] [CrossRef] [PubMed]
- Ko, C.J.; McNiff, J.M.; Glusac, E.J. Melanocytic nevi with features of Spitz nevi and Clark’s/dysplastic nevi (“Spark’s” nevi). J. Cutan. Pathol. 2009, 36, 1063–1068. [Google Scholar] [CrossRef] [PubMed]
- de la Fouchardiere, A.; Blokx, W.; van Kempen, L.C.; Luzar, B.; Piperno-Neumann, S.; Puig, S.; Also, L.; Calonje, E.; Massi, D.; ESP Dermatopathology Working Group; et al. ESP, EORTC, and EURACAN Expert Opinion: Practical recommendations for the pathological diagnosis and clinical management of intermediate melanocytic tumors and rare related melanoma variants. Virchows Arch. 2021, 479, 3–11. [Google Scholar] [CrossRef]
- Oxford Centre for Evidence-Based Medicine 2011 Levels of Evidence. Available online: http://www.cebm.net/wp-content/uploads/2014/06/CEBM-Levels-of-Evidence-2.1.pdf (accessed on 20 October 2021).
- Toussaint, S.; Kamino, H. Dysplastic changes in different types of melanocytic nevi. A unifying concept. J. Cutan. Pathol. 1999, 26, 84–90. [Google Scholar] [CrossRef] [PubMed]
- Barnhill, R.L.; Barnhill, M.A.; Berwick, M.; Mihm, M.C. The histologic spectrum of pigmented spindle cell nevus: A review of 120 cases with emphasis on atypical variants. Hum. Pathol. 1991, 22, 52–58. [Google Scholar] [CrossRef]
- James, W.D.; Berger, T.G.; Elston, D.M. Melanocytic nevi and neoplasms. In Andrews’ Diseases of the Skin: Clinical Dermatology, 12th ed.; James, W.D., Berger, T.G., Elston, D.M., Eds.; Elsevier: Philadelphia, PA, USA, 2016; pp. 688–689. [Google Scholar]
- De Giorgi, V.; Massi, D.; Salvini, C.; Trez, E.; Mannone, F.; Carli, P. Dermoscopic features of combined melanocytic nevi. J. Cutan. Pathol. 2004, 31, 600–604. [Google Scholar] [CrossRef] [PubMed]
- Fernandez-Flores, A. Eponyms, morphology, and pathogenesis of some less mentioned types of melanocytic nevi. Am. J. Dermatopathol. 2012, 34, 607–618. [Google Scholar] [CrossRef] [PubMed]
- Biondo, G.; Gnone, M.; Sola, S.; Pastorino, C.; Massone, C. Dermoscopy of a Spark’s nevus. Dermatol. Pract. Concept. 2018, 8, 126–128. [Google Scholar] [CrossRef] [PubMed] [Green Version]
- Park, J.B.; Seong, S.H.; Jang, J.Y.; Yang, M.H.; Suh, K.S.; Jang, M.S. A Case Report on the Dermoscopic Features of Spark’s Nevus. Ann. Dermatol. 2020, 32, 233–236. [Google Scholar] [CrossRef] [PubMed]
- Cheung, W.L.; Smoller, B.R. Dermatopathology updates on melanocytic lesions. Dermatol. Clin. 2012, 30, 617–622. [Google Scholar] [CrossRef] [PubMed]
- Donati, M.; Nosek, D.; Waldenbäck, P.; Martinek, P.; Jonsson, B.A.; Galgonkova, P.; Hawawrehova, M.; Berouskova, P.; Kastnerova, L.; Persichetti, P.; et al. MAP2K1-Mutated Melanocytic Neoplasms With a SPARK-Like Morphology. Am. J. Dermatopathol. 2021, 43, 412–417. [Google Scholar] [CrossRef] [PubMed]




| Number of Patient | Gender | Years | Location | Maximum Diameter | Time to Diagnosis |
|---|---|---|---|---|---|
| 1 | F | 41 | Back | 8 mm | 12 months |
| 2 | F | 26 | Right thigh | 5 mm | 8 months |
| 3 | M | 12 | Left back foot | 10 mm | 7 months |
| 4 | M | 36 | Right forearm | 5 mm | 12 months |
| 5 | M | 35 | Right thigh | 4 mm | 18 months |
| 6 | F | 51 | Left thigh | 6 mm | nd |
| 7 | F | 43 | Back | 5 mm | nd |
| 8 | M | 31 | Back | 6 mm | nd |
| 9 | F | 28 | Left thigh | 5 mm | 7 months |
| 10 | F | 40 | Left auricle | 5 mm | nd |
| 11 | M | 31 | Left leg | 9 mm | 8 months |
| 12 | M | 48 | Right arm | 3 mm | 12 months |
Publisher’s Note: MDPI stays neutral with regard to jurisdictional claims in published maps and institutional affiliations. |
© 2021 by the authors. Licensee MDPI, Basel, Switzerland. This article is an open access article distributed under the terms and conditions of the Creative Commons Attribution (CC BY) license (https://creativecommons.org/licenses/by/4.0/).
Share and Cite
Cimmino, A.; Cazzato, G.; Colagrande, A.; Maiorano, E.; Lospalluti, L.; Ingravallo, G.; Resta, L. Spitz Nevus with Features of Clark Nevus, So-Called SPARK Nevus: Case Series Presentation with Emphasis on Cytological and Histological Features. Dermatopathology 2021, 8, 525-530. https://doi.org/10.3390/dermatopathology8040055
Cimmino A, Cazzato G, Colagrande A, Maiorano E, Lospalluti L, Ingravallo G, Resta L. Spitz Nevus with Features of Clark Nevus, So-Called SPARK Nevus: Case Series Presentation with Emphasis on Cytological and Histological Features. Dermatopathology. 2021; 8(4):525-530. https://doi.org/10.3390/dermatopathology8040055
Chicago/Turabian StyleCimmino, Antonietta, Gerardo Cazzato, Anna Colagrande, Eugenio Maiorano, Lucia Lospalluti, Giuseppe Ingravallo, and Leonardo Resta. 2021. "Spitz Nevus with Features of Clark Nevus, So-Called SPARK Nevus: Case Series Presentation with Emphasis on Cytological and Histological Features" Dermatopathology 8, no. 4: 525-530. https://doi.org/10.3390/dermatopathology8040055
APA StyleCimmino, A., Cazzato, G., Colagrande, A., Maiorano, E., Lospalluti, L., Ingravallo, G., & Resta, L. (2021). Spitz Nevus with Features of Clark Nevus, So-Called SPARK Nevus: Case Series Presentation with Emphasis on Cytological and Histological Features. Dermatopathology, 8(4), 525-530. https://doi.org/10.3390/dermatopathology8040055

