Venous Malformations in Childhood: Clinical, Histopathological and Genetics Update
Abstract
:1. Introduction
2. Common VM
2.1. Clinical Features
2.2. Genetics
2.3. Histopathology
2.4. Prognosis and Treatment
3. Familial Cutaneo-Mucosal Venous Malformation (OMIM 600195)
3.1. Clinical Features
3.2. Genetics
3.3. Histopathology
3.4. Prognosis and Treatment
4. Blue Rubber Bleb Nevus Syndrome (OMIM 112200)
4.1. Clinical Features
4.2. Genetics
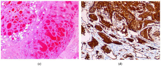
4.3. Histopathology
4.4. Prognosis and Treatment
5. Glomuvenous Malformation (OMIM 138000)
5.1. Clinical Features
5.2. Genetics
5.3. Histopathology
5.4. Prognosis and Treatment
6. Cerebral-Cavernous Malformation (OMIM 116860)
6.1. Clinical Features
6.2. Genetics
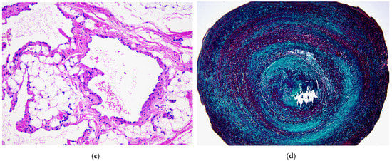
6.3. Histopathology
6.4. Prognosis and Treatment
7. Familial Intraosseous Vascular Malformation (OMIM 606893)
7.1. Clinical Features
7.2. Genetics
7.3. Histopathology
7.4. Prognosis and Treatment
8. Verrucous Venous Malformation (Formerly Verrucous Hemangioma)
8.1. Clinical Features
8.2. Genetics
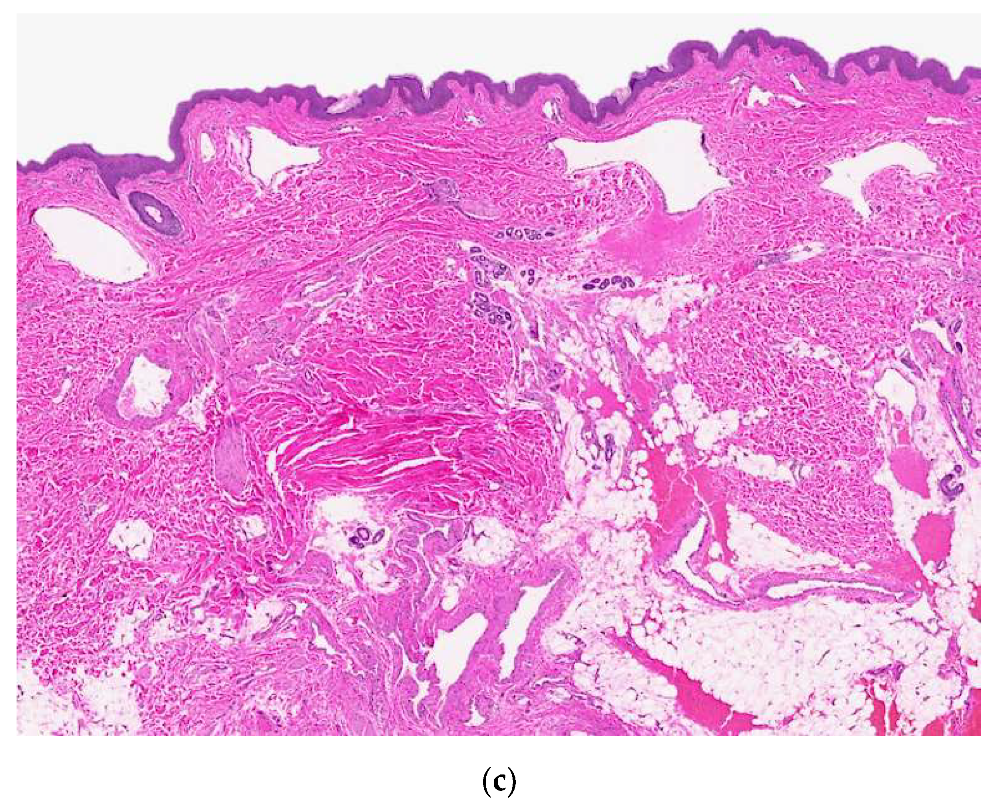
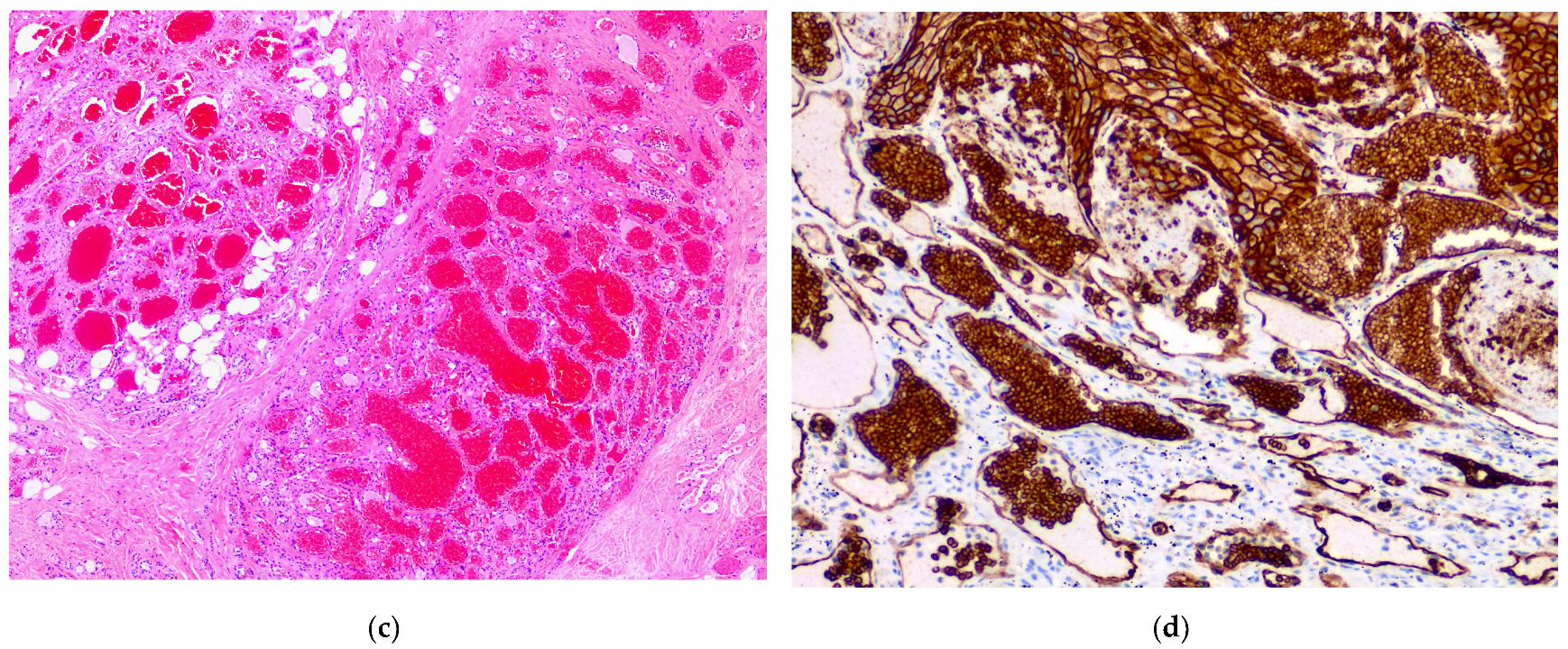
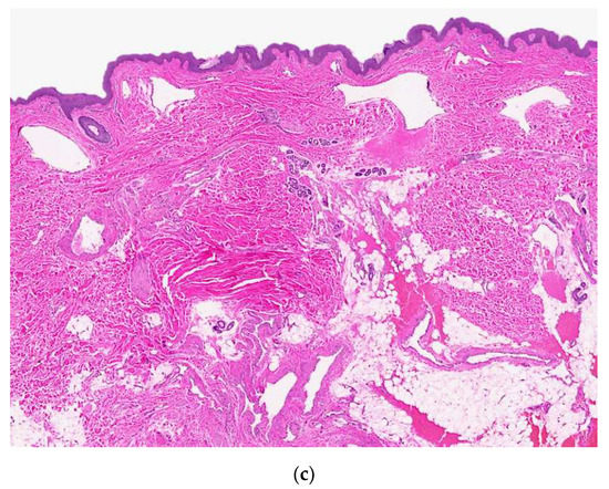
8.3. Histopathology
8.4. Prognosis and Treatment
9. Others
10. Conclusions
Author Contributions
Funding
Institutional Review Board Statement
Informed Consent Statement
Conflicts of Interest
References
- Dompmartin, A.; Vikkula, M.; Boon, L.M. Venous malformation: Update on aetiopathogenesis, diagnosis and management. Phlebol. J. Venous Dis. 2010, 25, 224–235. [Google Scholar] [CrossRef] [PubMed]
- Eifert, S.; Villavicencio, J.; Kao, T.-C.; Taute, B.M.; Rich, N.M. Prevalence of deep venous anomalies in congenital vascular malformations of venous predominance. J. Vasc. Surg. 2000, 31, 462–471. [Google Scholar] [CrossRef] [PubMed]
- Limaye, N.; Wouters, V.; Uebelhoer, M.; Tuominen, M.; Wirkkala, R.; Mulliken, J.B.; Eklund, L.; Boon, L.M.; Vikkula, M. Somatic mutations in angiopoietin receptor gene TEK cause solitary and multiple sporadic venous malformations. Nat. Genet. 2008, 41, 118–124. [Google Scholar] [CrossRef] [PubMed] [Green Version]
- Soblet, J.; Limaye, N.; Uebelhoer, M.; Boon, L.; Vikkula, M. Variable SomaticTIE2Mutations in Half of Sporadic Venous Malformations. Mol. Syndr. 2013, 4, 179–183. [Google Scholar] [CrossRef] [Green Version]
- Limaye, N.; Kangas, J.; Mendola, A.; Godfraind, C.; Schlögel, M.J.; Helaers, R.; Eklund, L.; Boon, L.M.; Vikkula, M. Somatic Activating PIK3CA Mutations Cause Venous Malformation. Am. J. Hum. Genet. 2015, 97, 914–921. [Google Scholar] [CrossRef] [Green Version]
- Soblet, J.; Kangas, J.; Nätynki, M.; Mendola, A.; Helaers, R.; Uebelhoer, M.; Kaakinen, M.; Cordisco, M.; Dompmartin, A.; Enjolras, O.; et al. Blue Rubber Bleb Nevus (BRBN) Syndrome Is Caused by Somatic TEK (TIE2) Mutations. J. Investig. Dermatol. 2017, 137, 207–216. [Google Scholar] [CrossRef] [Green Version]
- Couto, J.A.; Vivero, M.P.; Kozakewich, H.P.; Taghinia, A.H.; Mulliken, J.B.; Warman, M.L.; Greene, A.K. A Somatic MAP3K3 Mutation Is Associated with Verrucous Venous Malformation. Am. J. Hum. Genet. 2015, 96, 480–486. [Google Scholar] [CrossRef] [Green Version]
- Vikkula, M.; Boon, L.M.; Mulliken, J.B. Molecular genetics of vascular malformations. Matrix Biol. 2001, 20, 327–335. [Google Scholar] [CrossRef]
- Erickson, R.P.; Wynshaw-Boris, A.J. (Eds.) Epstein’s Inborn Errors of Development; Oxford University Press: New York, NY, USA, 2016. [Google Scholar] [CrossRef]
- Nguyen, H.-L.; Boon, L.M.; Vikkula, M. Genetics of Vascular Anomalies. Semin. Pediatr. Surg. 2020, 29, 150967. [Google Scholar] [CrossRef]
- Seront, E.; Van Damme, A.; Boon, L.M.; Vikkula, M. Rapamycin and treatment of venous malformations. Curr. Opin. Hematol. 2019, 26, 185–192. [Google Scholar] [CrossRef]
- Dekeuleneer, V.; Seront, E.; Van Damme, A.; Boon, L.M.; Vikkula, M. Theranostic Advances in Vascular Malformations. J. Investig. Dermatol. 2020, 140, 756–763. [Google Scholar] [CrossRef]
- Wassef, M. Tumeurs et pseudotumeurs vasculaires. Cas no6. Malformation veineuse commune. Ann. de Pathol. 2011, 31, 281–286. [Google Scholar] [CrossRef]
- Miller, D.D.; Gupta, A. Histopathology of vascular anomalies: Update based on the revised 2014 ISSVA classification. Semin. Cutan. Med. Surg. 2016, 35, 137–146. [Google Scholar] [CrossRef]
- Trindade, F.; Tellechea, O.; Torrelo, A.; Requena, L.; Colmenero, I. Wilms Tumor 1 Expression in Vascular Neoplasms and Vascular Malformations. Am. J. Dermatopathol. 2011, 33, 569–572. [Google Scholar] [CrossRef]
- Ohlms, L.A.; Forsen, J.; Burrows, P.E. Venous malformation of the pediatric airway. Int. J. Pediatr. Otorhinolaryngol. 1996, 37, 99–114. [Google Scholar] [CrossRef]
- Boon, L.M.; Mulliken, J.B.; Enjolras, O.; Vikkula, M. Glomuvenous Malformation (Glomangioma) and Venous Malformation. Arch. Dermatol. 2004, 140, 971–976. [Google Scholar] [CrossRef] [PubMed]
- Wouters, V.; Limaye, N.; Uebelhoer, M.; Irrthum, A.; Boon, L.M.; Mulliken, J.B.; Enjolras, O.; Baselga, E.; Berg, J.; Dompmartin, A.; et al. Hereditary cutaneomucosal venous malformations are caused by TIE2 mutations with widely variable hyper-phosphorylating effects. Eur. J. Hum. Genet. 2009, 18, 414–420. [Google Scholar] [CrossRef] [PubMed]
- Nätynki, M.; Kangas, J.; Miinalainen, I.; Sormunen, R.; Pietilä, R.; Soblet, J.; Boon, L.M.; Vikkula, M.; Limaye, N.; Eklund, L. Common and specific effects of TIE2 mutations causing venous malformations. Hum. Mol. Genet. 2015, 24, 6374–6389. [Google Scholar] [CrossRef] [Green Version]
- Vikkula, M.; Boon, L.M.; Iii, K.L.; Calvert, J.T.; Diamonti, A.; Goumnerov, B.; Pasyk, K.A.; Marchuk, D.; Warman, M.L.; Cantley, L.; et al. Vascular Dysmorphogenesis Caused by an Activating Mutation in the Receptor Tyrosine Kinase TIE2. Cell 1996, 87, 1181–1190. [Google Scholar] [CrossRef] [Green Version]
- Bean, B.W. Blue Rubber Bleb Nevi of the Skin and Gastrointestinal Tract. In Vascular Spiders and Related Lesions of the Skin; Bean, W.B., Ed.; Charles C Thomas: Springfield, IL, USA, 1958; pp. 178–185. [Google Scholar]
- Ivars, M.; Martin-Santiago, A.; Baselga, E.; Guibaud, L.; Lopez-Gutierrez, J.C. Fern-shaped patch as a hallmark of blue rubber bleb nevus syndrome in neonatal venous malformations. Eur. J. Pediatr. 2018, 177, 1395–1398. [Google Scholar] [CrossRef] [PubMed]
- Mulliken, J.B.; Fishman, S.J.; Burrows, P.E. Vascular anomalies. Curr. Probl. Surg. 2000, 37, 517–584. [Google Scholar] [CrossRef]
- Isoldi, S.; Belsha, D.; Yeop, I.; Uc, A.; Zevit, N.; Mamula, P.; Loizides, A.M.; Tabbers, M.; Cameron, D.; Day, A.S.; et al. Diagnosis and management of children with Blue Rubber Bleb Nevus Syndrome: A multi-center case series. Dig. Liver Dis. 2019, 51, 1537–1546. [Google Scholar] [CrossRef] [PubMed]
- Yuksekkaya, H.; Ozbek, O.; Keser, M.; Toy, H. Blue Rubber Bleb Nevus Syndrome: Successful Treatment With Sirolimus. Pediatrics 2012, 129, e1080–e1084. [Google Scholar] [CrossRef] [PubMed] [Green Version]
- Wong, X.L.; Phan, K.; Bandera, A.I.R.; Sebaratnam, D.F. Sirolimus in blue rubber bleb naevus syndrome: A systematic review. J. Paediatr. Child. Health 2019, 55, 152–155. [Google Scholar] [CrossRef]
- Ferrés-Ramis, L.; Knöpfel, N.; Salinas-Sanz, J.; Martín-Santiago, A. Rapamicina para el tratamiento del síndrome del nevus azul en tetina de goma. Actas Dermo-Sifiliogr. 2015, 106, 137–138. [Google Scholar] [CrossRef]
- Brouillard, P.; Boon, L.M.; Mulliken, J.B.; Enjolras, O.; Ghassibe-Sabbagh, M.; Warman, M.L.; Tan, O.; Olsen, B.R.; Vikkula, M. Mutations in a Novel Factor, Glomulin, Are Responsible for Glomuvenous Malformations (“Glomangiomas”). Am. J. Hum. Genet. 2002, 70, 866–874. [Google Scholar] [CrossRef] [PubMed] [Green Version]
- Brouillard, P.; Boon, L.; Revencu, N.; Berg, J.; Dompmartin, A.; Dubois, J.; Garzon, M.; Holden, S.; Kangesu, L.; Labreze, C.; et al. Genotypes and Phenotypes of 162 Families with a Glomulin Mutation. Mol. Syndr. 2013, 4, 157–164. [Google Scholar] [CrossRef] [Green Version]
- Amyere, M.; Aerts, V.; Brouillard, P.; McIntyre, B.A.; Duhoux, F.; Wassef, M.; Enjolras, O.; Mulliken, J.B.; Devuyst, O.; Antoine-Poirel, H.; et al. Somatic Uniparental Isodisomy Explains Multifocality of Glomuvenous Malformations. Am. J. Hum. Genet. 2013, 92, 188–196. [Google Scholar] [CrossRef] [Green Version]
- Mallory, S.B.; Enjolras, O.; Boon, L.M.; Rogers, E.; Berk, D.R.; Blei, F.; Baselga, E.; Ros, A.-M.; Vikkula, M. Congenital Plaque-Type Glomuvenous Malformations Presenting in Childhood. Arch. Dermatol. 2006, 142, 892–896. [Google Scholar] [CrossRef] [Green Version]
- Calduch, L.; Monteagudo, C.; Martínez-Ruiz, E.; Ramón, D.; Pinazo, I.; Cardá, C.; Jordá, E. Familial Generalized Multiple Glomangiomyoma: Report of a New Family, with Immunohistochemical and Ultrastructural Studies and Review of the Literature. Pediatr. Dermatol. 2002, 19, 402–408. [Google Scholar] [CrossRef]
- Moreno-Arrones, O.M.; Jimenez, N.; Alegre-Sánchez, A.; Fonda, P.; Boixeda, P. Glomuvenous malformations: Dual PDL-Nd:YAG laser approach. Lasers Med. Sci. 2018, 33, 2007–2010. [Google Scholar] [CrossRef]
- Murthy, A.S.; Dawson, A.; Gupta, D.; Spring, S.; Cordoro, K.M. Utility and tolerability of the long-pulsed 1064-nm neodymium:yttrium-aluminum-garnet (LP Nd:YAG) laser for treatment of symptomatic or disfiguring vascular malformations in children and adolescents. J. Am. Acad. Dermatol. 2017, 77, 473–479. [Google Scholar] [CrossRef] [PubMed]
- Phillips, C.; Guerrero, C.; Theos, A. Nd:YAG laser offers promising treatment option for familial glomuvenous malformation. Dermatol. Online J. 2015, 21. [Google Scholar] [CrossRef]
- Khunger, N.; Jha, A.; Malarvizhi, K.; Ramesh, V.; Singh, A. Familial disseminated cutaneous glomuvenous malformation: Treatment with polidocanol sclerotherapy. J. Cutan. Aesthetic Surg. 2016, 9, 266–269. [Google Scholar] [CrossRef] [PubMed]
- Weng, J.; Yang, Y.; Song, D.; Huo, R.; Li, H.; Chen, Y.; Nam, Y.; Zhou, Q.; Jiao, Y.; Fu, W.; et al. Somatic MAP3K3 mutation defines a subclass of cerebral cavernous malformation. Am. J. Hum. Genet. 2021, 108, 942–950. [Google Scholar] [CrossRef] [PubMed]
- Del Curling, O.; Kelly, D.L.; Elster, A.D.; Craven, T.E. An analysis of the natural history of cavernous angiomas. J. Neurosurg. 1991, 75, 702–708. [Google Scholar] [CrossRef] [PubMed] [Green Version]
- Scimone, C.; Donato, L.; Katsarou, Z.; Bostantjopoulou, S.; D’Angelo, R.; Sidoti, A. Two Novel KRIT1 and CCM2 Mutations in Patients Affected by Cerebral Cavernous Malformations: New Information on CCM2 Penetrance. Front. Neurol. 2018, 9, 953. [Google Scholar] [CrossRef]
- Feldmeyer, L.; Baumann-Vogel, H.; Tournier-Lasserve, E.; Riant, F.; Jung, H.H.; French, L.; Kamarashev, J. Hyperkeratotic cutaneous vascular malformation associated with familial cerebral cavernous malformations (FCCM) with KRIT1/CCM1 mutation. Eur. J. Dermatol. EJD 2014, 24, 255–257. [Google Scholar] [CrossRef] [Green Version]
- Gault, J.; Sain, S.; Hu, L.-J.; Awad, I.A. Spectrum of Genotype and Clinical Manifestations in Cerebral Cavernous Malformations. Neurosurgery 2006, 59, 1278–1285. [Google Scholar] [CrossRef]
- Faurobert, E.; Albiges-Rizo, C. Recent insights into cerebral cavernous malformations: A complex jigsaw puzzle under construction. FEBS J. 2010, 277, 1084–1096. [Google Scholar] [CrossRef] [Green Version]
- Sirvente, J.; Enjolras, O.; Wassef, M.; Tournier-Lasserve, E.; Labauge, P. Frequency and phenotypes of cutaneous vascular malformations in a consecutive series of 417 patients with familial cerebral cavernous malformations. J. Eur. Acad. Dermatol. Venereol. 2009, 23, 1066–1072. [Google Scholar] [CrossRef] [PubMed]
- Riolo, G.; Ricci, C.; Battistini, S. Molecular Genetic Features of Cerebral Cavernous Malformations (CCM) Patients: An Overall View from Genes to Endothelial Cells. Cells 2021, 10, 704. [Google Scholar] [CrossRef] [PubMed]
- Tomlinson, F.H.; Houser, O.W.; Scheithauer, B.W.; Sundt, T.M.; Okazaki, H.; Parisi, J.E. Angiographically Occult Vascular Malformations. Neurosurgery 1994, 34, 792–800. [Google Scholar] [CrossRef] [PubMed]
- Denier, C.; Labauge, P.; Bergametti, F.; Marchelli, F.; Riant, F.; Arnoult, M.; Maciazek, J.; Vicaut, E.; Brunereau, L.; Tournier-Lasserve, E.; et al. Genotype-phenotype correlations in cerebral cavernous malformations patients. Ann. Neurol. 2006, 60, 550–556. [Google Scholar] [CrossRef]
- Cetinkaya, A.; Xiong, J.R.; Vargel, I.; Kösemehmetoğlu, K.; Canter, H.I.; Gerdan, F.; Longo, N.; Alzahrani, A.; Camps, M.P.; Taskiran, E.Z.; et al. Loss-of-Function Mutations in ELMO2 Cause Intraosseous Vascular Malformation by Impeding RAC1 Signaling. Am. J. Hum. Genet. 2016, 99, 299–317. [Google Scholar] [CrossRef] [Green Version]
- Vargel, I.; Cil, B.E.; Er, N.; Ruacan, S.; Akarsu, A.N.; Erk, Y. Hereditary intraosseous vascular malformation of the craniofacial region: An apparently novel disorder. Am. J. Med. Genet. 2002, 109, 22–35. [Google Scholar] [CrossRef]
- Lee, Y.-H.; Gallant, C.; Guo, H.; Li, Y.; Wang, C.-L.A.; Morgan, K.G. Regulation of Vascular Smooth Muscle Tone by N-terminal Region of Caldesmon. J. Biol. Chem. 2000, 275, 3213–3220. [Google Scholar] [CrossRef] [Green Version]
- Vargel, I.; Calis, M.; Canter, H.I.; Cil, B.E. Clinical and Molecular Study of ELMO-2–Related Massive Intraosseous Vascular Malformations. Ann. Plast. Surg. 2019, 83, 293–299. [Google Scholar] [CrossRef]
- Imperial, R.; Helwig, E.B. Verrucous Hemangioma. Arch. Dermatol. 1967, 96, 247–253. [Google Scholar] [CrossRef]
- Trindade, F.; Torrelo, A.; Requena, L.; Tellechea, Ó.; Del Pozo, J.; Sacristán, F.; Esteve-Martínez, A.; De Unamuno, B.; De Miquel, V.A.; Colmenero, I. An immunohistochemical study of verrucous hemangiomas. J. Cutan. Pathol. 2013, 40, 472–476. [Google Scholar] [CrossRef]
- Laing, E.; Brasch, H.D.; Steel, R.; Jia, J.; Itinteang, T.; Tan, S.T.; Day, D.J. Verrucous hemangioma expresses primitive markers. J. Cutan. Pathol. 2013, 40, 391–396. [Google Scholar] [CrossRef]
- Lara-Corrales, I.; Somers, G.R.; Ho, N. Verrucous Hemangioma: A Challenging Vascular Lesion. J. Cutan. Med. Surg. 2010, 14, 144–146. [Google Scholar] [CrossRef]
- Koc, M.; Kavala, M.; Kocatürk, E.; Zemheri, E.; Zindanci, I.; Sudogan, S.; Kural, E. An unusual vascular tumor: Verrucous hemangioma. Dermatol. Online J. 2009, 15. [Google Scholar] [CrossRef]
- Tennant, L.B.; Mulliken, J.B.; Perez-Atayde, A.R.; Kozakewich, H.P.W. Verrucous Hemangioma Revisited. Pediatr. Dermatol. 2006, 23, 208–215. [Google Scholar] [CrossRef] [PubMed]
- Schmidt, B.A.; El Zein, S.; Cuoto, J.; Al-Ibraheemi, A.; Liang, M.G.; Paltiel, H.J.; Anderson, M.E.; Labow, B.I.; Upton, J.; Fishman, S.J.; et al. Verrucous Venous Malformation—Subcutaneous Variant. Am. J. Dermatopathol. 2021. [Google Scholar] [CrossRef] [PubMed]
- Boccara, O.; Ariche-Maman, S.; Hadj-Rabia, S.; Chrétien-Marquet, B.; Frassati-Biaggi, A.; Zazurca, F.; Brunelle, F.; Soupre, V.; Bodemer, C.; Fraitag, S. Verrucous hemangioma (also known as verrucous venous malformation): A vascular anomaly frequently misdiagnosed as a lymphatic malformation. Pediatr. Dermatol. 2018, 35, e378–e381. [Google Scholar] [CrossRef] [PubMed]
- Palacios, J.M.S.; Boixeda, P.; Rocha, J.; González, J.A.; Castro, L.A.; Rodríguez, C.D.D. Laser treatment for verrucous hemangioma. Lasers Med. Sci. 2011, 27, 681–684. [Google Scholar] [CrossRef] [PubMed]











| Venous Malformations (VMs) | Genetics |
|---|---|
| Common VM | TEK (TIE2)/PIK3CA |
| Familial VM cutaneo-mucosal (VMCM) | TEK (TIE2) |
| Blue rubber bleb nevus (Bean) syndrome | TEK (TIE2) |
| Glomuvenous malformation (GVM) | Glomulin |
| Cerebral cavernous malformation (CCM) | CCM1—KRIT1, CCM2—Malcavernin, CCM3—PDCD10 |
| Familial intraosseous vascular malformation (VMOS) | ELMO2 |
| Verrucous venous malformation (formerly verrucous hemangioma) | MAP3K3 |
| Others |
| Associated Anomalies | Genetics | |
|---|---|---|
| Klippel–Trenaunay syndrome | CM + VM +/− LM + limb overgrowth | PIK3CA |
| Servelle–Martorell syndrome | Limb VM + bone undergrowth | |
| Maffucci syndrome | VM +/− spindle-cell hemangioma + enchondroma | IDH1 /IDH2 |
| CLOVES syndrome | LM + VM + CM +/− AVM + lipomatous overgrowth | PIK3CA |
| Proteus syndrome | CM, VM and/or LM + asymmetric somatic overgrowth | AKT1 |
| Bannayan–Riley–Ruvalcaba syndrome | AVM + VM + macrocephaly, lipomatous overgrowth | PTEN |
Publisher’s Note: MDPI stays neutral with regard to jurisdictional claims in published maps and institutional affiliations. |
© 2021 by the authors. Licensee MDPI, Basel, Switzerland. This article is an open access article distributed under the terms and conditions of the Creative Commons Attribution (CC BY) license (https://creativecommons.org/licenses/by/4.0/).
Share and Cite
Colmenero, I.; Knöpfel, N. Venous Malformations in Childhood: Clinical, Histopathological and Genetics Update. Dermatopathology 2021, 8, 477-493. https://doi.org/10.3390/dermatopathology8040050
Colmenero I, Knöpfel N. Venous Malformations in Childhood: Clinical, Histopathological and Genetics Update. Dermatopathology. 2021; 8(4):477-493. https://doi.org/10.3390/dermatopathology8040050
Chicago/Turabian StyleColmenero, Isabel, and Nicole Knöpfel. 2021. "Venous Malformations in Childhood: Clinical, Histopathological and Genetics Update" Dermatopathology 8, no. 4: 477-493. https://doi.org/10.3390/dermatopathology8040050
APA StyleColmenero, I., & Knöpfel, N. (2021). Venous Malformations in Childhood: Clinical, Histopathological and Genetics Update. Dermatopathology, 8(4), 477-493. https://doi.org/10.3390/dermatopathology8040050

