Violaceous Nodules on the Left Forearm of an Immunosuppressed Patient Following Heart Transplantation for Cardiac Amyloidosis
Abstract
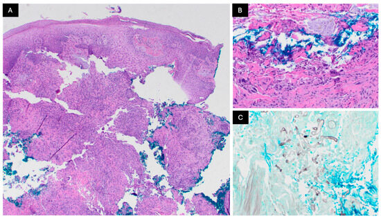
1. Case Presentation
2. What Is the Diagnosis?
- Cutaneous Squamous Cell Carcinoma
- Primary Cutaneous Amyloidosis
- Cutaneous Mucormycosis
- Aspergillus
- Blastomycosis
3. Diagnosis
- C.
- Cutaneous Mucormycosis
4. Discussion
Author Contributions
Funding
Institutional Review Board Statement
Informed Consent Statement
Data Availability Statement
Conflicts of Interest
Abbreviations
| GMS | Grocott’s methenamine silver |
References
- Cornely, O.A.; Alastruey-Izquierdo, A.; Arenz, D.; Chen, S.C.A.; Dannaoui, E.; Hochhegger, B.; Hoenigl, M.; Jensen, H.E.; Lagrou, K.; Lewis, R.E.; et al. Global guideline for the diagnosis and management of mucormycosis: An initiative of the European Confederation of Medical Mycology in cooperation with the Mycoses Study Group Education and Research Consortium. Lancet Infect. Dis. 2019, 19, e405–e421. [Google Scholar] [CrossRef] [PubMed]
- Skiada, A.; Pagano, L.; Groll, A.; Zimmerli, S.; Dupont, B.; Lagrou, K.; Lass-Florl, C.; Bouza, E.; Klimko, N.; Gaustad, P.; et al. Zygomycosis in Europe: Analysis of 230 cases accrued by the registry of the European Confederation of Medical Mycology (ECMM) Working Group on Zygomycosis between 2005 and 2007. Clin. Microbiol. Infect. 2011, 17, 1859–1867. [Google Scholar] [CrossRef] [PubMed]
- Alqarihi, A.; Kontoyiannis, D.P.; Ibrahim, A.S. Mucormycosis in 2023: An update on pathogenesis and management. Front. Cell. Infect. Microbiol. 2023, 13, 1254919. [Google Scholar] [CrossRef] [PubMed]
- Vulsteke, J.B.; Deeren, D. Cutaneous mucormycosis. Transpl. Infect. Dis. 2019, 21, e13039. [Google Scholar] [CrossRef] [PubMed]
- Spellberg, B.; Edwards, J., Jr.; Ibrahim, A. Novel perspectives on mucormycosis: Pathophysiology, presentation, and management. Clin. Microbiol. Rev. 2005, 18, 556–569. [Google Scholar] [CrossRef] [PubMed]
- Petrikkos, G.; Skiada, A.; Lortholary, O.; Roilides, E.; Walsh, T.J.; Kontoyiannis, D.P. Epidemiology and clinical manifestations of mucormycosis. Clin. Infect. Dis. 2012, 54 (Suppl. S1), S23–S34. [Google Scholar] [CrossRef] [PubMed]
- Waldman, A.; Schmults, C. Cutaneous Squamous Cell Carcinoma. Hematol. Oncol. Clin. N. Am. 2019, 33, 1–12. [Google Scholar] [CrossRef] [PubMed]
- Guillet, C.; Steinmann, S.; Maul, J.T.; Kolm, I. Primary Localized Cutaneous Amyloidosis: A Retrospective Study of an Uncommon Skin Disease in the Largest Tertiary Care Center in Switzerland. Dermatology 2022, 238, 579–586. [Google Scholar] [CrossRef] [PubMed]
- Mazi, P.B.; Rauseo, A.M.; Spec, A. Blastomycosis. Infect. Dis. Clin. N. Am. 2021, 35, 515–530. [Google Scholar] [CrossRef] [PubMed]


| Cutaneous Fungal Infection | Clinical Presentation | Histomorphology |
|---|---|---|
| Mucormycosis | Immunocompromised patient with a necrotic eschar or, less commonly, cellulitis that evolves into a necrotic ulcer. | Broad, non-septate hyphae with an irregular branching pattern and an angle of branching close to 90° |
| Aspergillus | Immunocompromised patient with erythematous-violaceous plaque or nodule at the site of skin trauma (e.g., venipuncture site) with a central necrotic eschar. | Thin, septate hyphae with a regular branching pattern and angle of branching close to 45° |
| Blastomycosis | Immunocompromised patient with subcutaneous nodules or papules that progress over weeks to months into ulcers and crusted sores. | Round, yeast cells with broad based budding with a thick, double-refractile wall |
Disclaimer/Publisher’s Note: The statements, opinions and data contained in all publications are solely those of the individual author(s) and contributor(s) and not of MDPI and/or the editor(s). MDPI and/or the editor(s) disclaim responsibility for any injury to people or property resulting from any ideas, methods, instructions or products referred to in the content. |
© 2025 by the authors. Published by MDPI on behalf of the European Society of Dermatopathology. Licensee MDPI, Basel, Switzerland. This article is an open access article distributed under the terms and conditions of the Creative Commons Attribution (CC BY) license (https://creativecommons.org/licenses/by/4.0/).
Share and Cite
Corey, Z.; Luu, L.A.; Newman, S.; Raghavan, S.S. Violaceous Nodules on the Left Forearm of an Immunosuppressed Patient Following Heart Transplantation for Cardiac Amyloidosis. Dermatopathology 2025, 12, 2. https://doi.org/10.3390/dermatopathology12010002
Corey Z, Luu LA, Newman S, Raghavan SS. Violaceous Nodules on the Left Forearm of an Immunosuppressed Patient Following Heart Transplantation for Cardiac Amyloidosis. Dermatopathology. 2025; 12(1):2. https://doi.org/10.3390/dermatopathology12010002
Chicago/Turabian StyleCorey, Zachary, Lydia A. Luu, Sabrina Newman, and Shyam S. Raghavan. 2025. "Violaceous Nodules on the Left Forearm of an Immunosuppressed Patient Following Heart Transplantation for Cardiac Amyloidosis" Dermatopathology 12, no. 1: 2. https://doi.org/10.3390/dermatopathology12010002
APA StyleCorey, Z., Luu, L. A., Newman, S., & Raghavan, S. S. (2025). Violaceous Nodules on the Left Forearm of an Immunosuppressed Patient Following Heart Transplantation for Cardiac Amyloidosis. Dermatopathology, 12(1), 2. https://doi.org/10.3390/dermatopathology12010002

