A Rare Case of a Malignant Proliferating Trichilemmal Tumor: A Molecular Study Harboring Potential Therapeutic Significance and a Review of Literature
Abstract
1. Introduction
2. Case Report
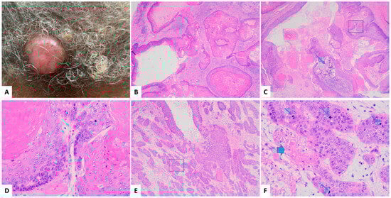
2.1. Clinical Presentation
2.2. Histopathologic Findings
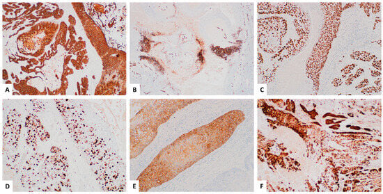
2.3. Molecular Study
3. Literature Review
4. Discussion
Author Contributions
Funding
Institutional Review Board Statement
Informed Consent Statement
Data Availability Statement
Conflicts of Interest
References
- Jones, E.W. Proliferating epidermoid cysts. Arch. Dermatol. 1966, 94, 11–19. [Google Scholar] [CrossRef] [PubMed]
- Osto, M.B.; Parry, N.B.; Rehman, R.B.; Ahmed, U.B.; Mehregan, D. Malignant Proliferating Trichilemmal Tumor of the Scalp: A Systematic Review. Am. J. Dermatopathol. 2021, 43, 851–866. [Google Scholar] [CrossRef] [PubMed]
- Kim, Y.C.; Vandersteen, D.P.; Park, H.J.; Cinn, Y.W. A case of giant proliferating trichilemmal tumor with malignant transformation. J. Dermatol. 2000, 27, 687–688. [Google Scholar] [CrossRef] [PubMed]
- Mathis, E.D.; Honningford, J.B.; Rodriguez, H.E.; Wind, K.P.; Connolly, M.M.; Podbielski, F.J. Malignant proliferating trichilemmal tumor. Am. J. Clin. Oncol. 2001, 24, 351–353. [Google Scholar] [CrossRef] [PubMed]
- Bae, S.B.; Lee, K.K.; Kim, J.S.; Lee, J.H.; Lee, N.S.; Lee, G.T.; Park, S.K.; Won, J.H.; Baick, S.H.; Hong, D.S.; et al. A case of malignant proliferating trichilemmoma of the scalp with multiple metastases. Korean J. Intern. Med. 2001, 16, 40–43. [Google Scholar] [CrossRef] [PubMed] [PubMed Central]
- Sethi, S.; Singh, U.R. Proliferating trichilemmal cyst: Report of two cases, one benign and the other malignant. J. Dermatol. 2002, 29, 214–220. [Google Scholar] [CrossRef] [PubMed]
- Jung, J.; Bin Cho, S.; Yun, M.; Lee, K.H.; Chung, K.Y. Metastatic malignant proliferating trichilemmal tumor detected by positron emission tomography. Dermatol. Surg. 2003, 29, 872–874. [Google Scholar] [CrossRef] [PubMed]
- Ye, J.; Nappi, O.; Swanson, P.E.; Patterson, J.W.; Wick, M.R. Proliferating pilar tumors: A clinicopathologic study of 76 cases with a proposal for definition of benign and malignant variants. Am. J. Clin. Pathol. 2004, 122, 566–574. [Google Scholar] [CrossRef] [PubMed]
- Tierney, E.; Ochoa, M.-T.; Rudkin, G.; Soriano, T.T. Mohs’ micrographic surgery of a proliferating trichilemmal tumor in a young black man. Dermatol. Surg. 2005, 31, 359–363. [Google Scholar] [CrossRef] [PubMed]
- Filippou, D.K.; Filippou, G.; Trigka, A.; Condilis, N.; Kiparidou, E.; Skandalakis, P.; Rizos, S. Malignant proliferating trichilemmal tumour of the scalp. Report of a case and a short review of the literature. Ann. Ital. Chir. 2006, 77, 179–181. [Google Scholar] [PubMed]
- Nyquist, G.G.; Mumm, C.; Grau, R.; Crowson, A.N.; Shurman, D.L.; Benedetto, P.; Allen, P.; Lovelace, K.; Smith, D.W.; Frieden, I.; et al. Malignant proliferating pilar tumors arising in KID syndrome: A report of two patients. Am. J. Med. Genet. Part A 2007, 143A, 734–741. [Google Scholar] [CrossRef] [PubMed]
- Budrukkar, A.; Siddha, M.; Shet, T.; Deshpande, M.; Basu, A.; Patil, N.; Bhalavat, R. Malignant pilar tumor of the scalp: A case report and review of literature. J. Cancer Res. Ther. 2007, 3, 240–243. [Google Scholar] [CrossRef] [PubMed]
- Cecchi, R.; Rapicano, V.; De Gaudio, C. Malignant proliferating trichilemmal tumour of the scalp managed with micrographic surgery and sentinel lymph node biopsy. J. Eur. Acad. Dermatol. Venereol. 2008, 22, 1258–1259. [Google Scholar] [CrossRef] [PubMed]
- Nakai, N.; Takenaka, H.; Hamada, S.; Kishimoto, S. Identical p53 gene mutation in malignant proliferating trichilemmal tumour of the scalp and small cell carcinoma of the common bile duct: The necessity for therapeutic caution? Br. J. Dermatol. 2008, 159, 482–485. [Google Scholar] [CrossRef]
- Trabelsi, A.; Stita, W.; Gharbi, O.; Kanani, N.; Sriha, B.; Korbi, S. Malignant proliferating trichilemmal tumor of the scalp: A case report. Dermatol. Online J. 2008, 14, 11. [Google Scholar] [CrossRef] [PubMed]
- Garg, P.K.; Dangi, A.; Khurana, N.; Hadke, N.S. Malignant proliferating trichilemmal cyst: A case report with review of literature. Malays. J. Pathol. 2009, 31, 71–76. [Google Scholar] [PubMed]
- Kini, J.R.; Kini, H. Fine-needle aspiration cytology in the diagnosis of malignant proliferating trichilemmal tumor: Report of a case and review of the literature. Diagn. Cytopathol. 2009, 37, 744–747. [Google Scholar] [CrossRef] [PubMed]
- Chaichamnan, K.; Satayasoontorn, K.; Puttanupaab, S.; Attainsee, A. Malignant proliferating trichilemmal tumors with CD34 expression. J. Med. Assoc. Thai. 2010, 93 (Suppl. S6), S28–S34. [Google Scholar] [PubMed]
- Makiese, O.; Chibbaro, S.; Hamdi, S.; Mirone, G.; George, B. Huge proliferating trichilemmal tumors of the scalp: Report of six cases. Plast. Reconstr. Surg. 2010, 126, 18e–19e. [Google Scholar] [CrossRef] [PubMed]
- Gulati, H.K.; Deshmukh, S.; Anand, M.; Morale, V.; Pande, D.P.; Jadhav, S.E. Low-grade malignant proliferating pilar tumor simulating a squamous-cell carcinoma in an elderly female: A case report and immunohistochemical study. Int. J. Trichol. 2011, 3, 98–101. [Google Scholar] [CrossRef] [PubMed] [PubMed Central]
- Khaled, A.; Kourda, M.; Fazaa, B.; Kourda, J.; Ben Jilani, S.; Kamoun, M.R.; Zermani, R. Malignant proliferating trichilemmal cyst of the scalp: Histological aspects and nosology. Pathologica 2011, 103, 73–76. [Google Scholar] [PubMed]
- Goyal, S.; Jain, B.B.; Jana, S.; Bhattacharya, S.K. Malignant proliferating trichilemmal tumor. Indian J. Dermatol. 2012, 57, 50–52. [Google Scholar] [CrossRef] [PubMed] [PubMed Central]
- Sharma, R.; Verma, P.; Yadav, P.; Sharma, S. Proliferating trichilemmal tumor of scalp: Benign or malignant, A dilemma. J. Cutan. Aesthetic Surg. 2012, 5, 213–215. [Google Scholar] [CrossRef] [PubMed] [PubMed Central]
- Katrancioglu, O.; Akkas, Y.; Akkas, E.A.; Cevit, R.; Kilickap, S. Metastasis to pleura of malignant trichilemmal tumor. Respir. Case Rep. 2013, 2, 150–153. [Google Scholar] [CrossRef]
- Deshmukh, B.; Kulkarni, M.; Momin, Y.; Sulhyan, K. Malignant proliferating trichilemmal tumor: A case report and review of literature. J. Cancer Res. Ther. 2014, 10, 767–769. [Google Scholar] [CrossRef] [PubMed]
- Shetty, P.K.; Jagirdar, S.; Balaiah, K.; Shetty, D. Malignant proliferating trichilemmal tumor in young male. Indian J. Surg. Oncol. 2014, 5, 43–45. [Google Scholar] [CrossRef] [PubMed] [PubMed Central]
- Dubhashi, S.; Jadhav, S.; Parasnis, A.; Patil, C. Recurrent malignant proliferating trichilemmal tumor with lymph node metastasis in a young woman. J. Postgrad. Med. 2014, 60, 400–402. [Google Scholar] [CrossRef] [PubMed]
- Fieleke, D.R.; Goldstein, G.D. Malignant proliferating trichilemmal tumor treated with Mohs surgery: Proposed protocol for diagnostic work-up and treatment. Dermatol. Surg. 2015, 41, 292–294. [Google Scholar] [CrossRef] [PubMed]
- Reddy, L.G.; Jayakumar, V.; Rajan, S.; Bilimagga, R.S.; Priyadarshini, V.; Anbumani, S. Recurrent malignant proliferating trichilemmal tumour of the scalp: A case report. J. Radiother. Pract. 2015, 14, 307–310. [Google Scholar] [CrossRef]
- Trikudanathan, G.; Shaukat, A.; Bakman, Y. Proliferating Pilar Tumor of Scalp Metastasizing to Pancreas: Diagnosis with Endoscopic Ultrasound-guided Fine-needle Aspiration. Clin. Gastroenterol. Hepatol. 2015, 13, e164–e165. [Google Scholar] [CrossRef] [PubMed]
- Morgado, B.; Agostini, P.; Rivero, A.; Silva, N. Extensive and ulcerated malignant proliferating trichilemmal (pilar) tumour, arising from multiple, large, degenerated trichilemmal (pilar) cysts. BMJ Case Rep. 2016, 2016, bcr2015209785. [Google Scholar] [CrossRef] [PubMed] [PubMed Central]
- Lobo, L.; Amonkar, A.D.; Dontamsetty, V.V. Malignant Proliferating Trichilemmal Tumour of the Scalp with Intra-Cranial Extension and Lung Metastasis-a Case Report. Indian J. Surg. 2016, 78, 493–495. [Google Scholar] [CrossRef] [PubMed] [PubMed Central]
- Liu, X.; Li, W.; Yuan, H.; Gu, W.; Chen, D. Surgical treatment of rare giant malignant tumors of the scalp: A report of 3 cases with different tumor types. Oncol. Lett. 2016, 12, 3411–3416. [Google Scholar] [CrossRef] [PubMed] [PubMed Central][Green Version]
- Naciri, I.; Hassam, B. Une tumeur exophytique du cuir chevelu [Exophytic tumor of the scalp]. Pan Afr. Med. J. 2017, 28, 45. [Google Scholar] [CrossRef] [PubMed] [PubMed Central]
- Singh, P.; Usman, A.; Motta, L.; Khan, I. Malignant proliferating trichilemmal tumour. BMJ Case Rep. 2018, 2018. [Google Scholar] [CrossRef] [PubMed]
- Demirdag, H.; Serel, S.; Akay, B.; Kirmizi, A.; Heper, A.O. Malignant proliferating trichilemmal tumour arising on a trichilemmal cyst with dermoscopic and histopathologic findings. J. Eur. Acad. Dermatol. Venereol. 2019, 33, e322–e324. [Google Scholar] [CrossRef] [PubMed]
- Rajbhar, R.; Anvikar, A.; Sulhyan, K. Clinicopathological correlation of malignant skin tumors: A retrospective study of 5 years. Int. J. Health Sci. 2020, 14, 18–25. [Google Scholar] [PubMed] [PubMed Central]
- Joshi, T.P.; Marchand, S.; Tschen, J. Malignant Proliferating Trichilemmal Tumor: A Subtle Presentation in an African American Woman and Review of Immunohistochemical Markers for This Rare Condition. Cureus 2021, 13, e17289. [Google Scholar] [CrossRef] [PubMed] [PubMed Central]
- Kemaloğlu, C.A.; Öztürk, M.; Aydın, B.; Canöz, Ö.; Eğilmez, O. Malignant proliferating trichilemmal tumor of the scalp: Report of 4 cases and a short review of the literature. Case Rep. Plast. Surg. Hand Surg. 2022, 9, 158–164. [Google Scholar] [CrossRef] [PubMed] [PubMed Central]
- Kamal, I.B.; Hali, F.; Marnissi, F.; Chiheb, S. The Proliferating and Malignant Proliferating Trichilemmal Cyst: An Anatomo-Clinical Study of Three Cases. Ski. Appendage Disord. 2022, 8, 161–164. [Google Scholar] [CrossRef] [PubMed] [PubMed Central]
- Wu, M.; Liao, C.; Zhao, Z.; Zhou, Z.; Liu, Y.; Wang, X.; Zhang, G. Local narrow margin excision sequential with modified ALA-PDT for successful treatment of an 86-year-old patient with malignant proliferating trichilemmal tumor. Photodiagn. Photodyn. Ther. 2023, 42, 103524. [Google Scholar] [CrossRef] [PubMed]
- Jia, K.; Feng, L.; Qian, L.-L. Malignant proliferating trichilemmal tumor successfully treated with integrated traditional Chinese and Western medicine: A case report. Asian J. Surg. 2024, 47, 2399–2400. [Google Scholar] [CrossRef] [PubMed]
- WHO Classification of Tumor online, Skin Tumors (5th Edition, Online Version). Available online: https://tumourclassification.iarc.who.int/chaptercontent/64/143 (accessed on 5 November 2024).
- Herrero, J.; Monteagudo, C.; Ruiz, A.; Bosch, L. Malignant proliferating trichilemmal tumours: An histopathological and immunohistochemical study of three cases with DNA ploidy and morphometric evaluation. Histopathology 1998, 33, 542–546. [Google Scholar] [CrossRef] [PubMed]
- Yongprayoon, V.; Wattanakul, N.; Khomate, W.; Apithanangsiri, N.; Kasitipradit, T.; Nantajit, D.; Tavassoli, M. Targeting BRD4: Potential therapeutic strategy for head and neck squamous cell carcinoma (Review). Oncol. Rep. 2024, 51, 74. [Google Scholar] [CrossRef] [PubMed] [PubMed Central]
- Lima, A.; Azevedo, R.; Sousa, H.; Seabra, V.; Medeiros, R. Current Approaches for TYMS Polymorphisms and their Importance in Molecular Epidemiology and Pharmacogenetics. Pharmacogenomics 2013, 14, 1337–1351. [Google Scholar] [CrossRef] [PubMed]
- Chang, D.; Shain, A.H. The landscape of driver mutations in cutaneous squamous cell carcinoma. NPJ Genom. Med. 2021, 6, 61. [Google Scholar] [CrossRef] [PubMed] [PubMed Central]


| Antibody (Monoclonal) | CK17 | P53 | CD34 | Ki-67 | HER2 | P16 |
|---|---|---|---|---|---|---|
| Clone | SP95 | Bp53-11 | QBEnd/10 | 30-9 | 4B5 | E6H4 |
| Vender | Ventana /Roche | Ventana /Roche | Cell Marque | Ventana /Roche | Ventana /Roche | Ventana /Roche |
| Catalog # | 790-4560 | 760-2542 | 134M-18 | 790-4286 | 790-7167 | 805-4713 |
| Species | Rabbit | Mouse | Mouse | Rabbit | Rabbit | Mouse |
| Clinical Summary | Gene | Alteration/Mutation Effect |
|---|---|---|
| Potentially Actionable | ERBB2 (HER2) | Copy number gain |
| Biologically Relevant | TP53 | c.527G > T p.C176F NM_000546 Missense variant—loss of funcgtion (LOF) |
| BRD4 | Copy number gain | |
| TYMS | Copy number gain | |
| Unknown Significance | HSPH1 | c.2348G > T p.R783L Missense variant NM_001286504 |
| ATM | c.8938C > G p.L2980V Missense variant NM_000051 | |
| PDCD1 (PD-1) | c.715G > A p.V239M Missense variant NM_005018 | |
| BARD1 | c.1339C > A p.L447I Missense variant NM_000465 | |
| MSH3 | c.177_178ins(18) p.A59_A60insPPAPPA Inframe insertion NM_002439 | |
| LRP1B | c.10414G > A p.D3472N Splice region variant NM_018557 | |
| KMT2C (MLL3) c | c.7443-2dup Splice region variant NM_170606 | |
| GNA11 | c.735+1_736-1del Splice region variant NM_002067 | |
| RUNX1 | c.1265A > C p.E422A Missense variant NM_001754 |
| Year [Ref #] | Age | Case # /Sex (F/M) | Duration (mo, y) | Size (cm) | Local Recur (#) | Metastasis /Site (#) | F-U (mo, y) (#) |
|---|---|---|---|---|---|---|---|
| 2000 [3] | 61 | 1/F | 20 y | 16.0 | NA | Brain | 12 mo/died |
| 2001 [4,5] | 51 | 1/F | 6 y | 1.2 | NA | None | NA |
| 32 | 1/M | 1 y | 8.0 | None | LN, Brain | 6 mo | |
| 2002 [6] | 60 | 1/F | 4 y | 5.0 | NA | None | L to F-U |
| 2003 [7] | 69 | 1/F | 2 y | 2.0 | Recur | LN | 8 mo |
| 2004 [8] | 41–87 | 11/F, 3/M | 1 mo–20 y | 1.0–9.0 | Recur (3) | LN (1) | 3 mo–8.5 y Died (2) Ϯ |
| 2005 [9] | 33 | 1/M | 1 y | 10.0 | None | None | ~1.5 y |
| 2006 [10] | 54 | 1/F | 3 y | 3.0 | None | None | 2 y |
| 2007 [11,12] | 32 | 1/F | NA | 12 | Recur | LN | 4 mo |
| 19 | 1/M | NA | 5.0 | Recur | BOS, CS, Lung | 5 y/died | |
| 50 | 1F | 3 mo | 6.7 | NA | LN | NA | |
| 2008 [13,14,15] | 72 | 1F | 10 y | 2.0 (recur) | Recur | None | 32 mo |
| 32 | 1M | 1 y | 2.5 | None | LN | 9 mo/died Ϯ | |
| 76 | 1F | Recent | 2.0 | None | None | 11 mo | |
| 2009 [16,17] | 85 | 1F | 1 y | 15.0 | None | None | 14 mo |
| 58 | 1F | 2 mo | 5.5 | NA | None | L to F-U | |
| 2010 [18,19] | 58 | 1F | 1 y | 3.2 | NA | None | NA |
| 41 | 1F | 1 y | NA | NA | None | NA | |
| 51 | 1F | NA | 16 | Recur | None | 54 mo | |
| 53 | 1M | Rapid | 20 | Recur | Brain | 9 mo/died | |
| 2011 [20,21] | 65 | 1F | 9 y | 2.0 | None | None | 6 mo |
| 57 | 1F | Many y | 7.0 | NA | None | L to F-U | |
| 2012 [22,23] | 73 | 1F | 3 y | 6.0 | NA | None | L to F-U |
| 25 | 1F | 1 y | 4.0 | None | None | 1 y | |
| 2013 [24] | 62 | 1F | NA | NA | None | Left pleura | 3 y |
| 2014 [25,26,27] | 65 | 1F | 4 mo | 3.0 | NA | None | NA |
| 32 | 1M | 8 mo | 15.0 | NA | None | F-U | |
| 26 | 1F | 1 y | 6.0 | Recur | LN | 1 mo | |
| 2015 [28,29,30] | 67 | 1M | 3 mo | 3.0 | None | None | 6 mo |
| 48 | 1F | NA | 4.0 (recur) | Recur | None | ~2 y | |
| 65 | 1M | 40 y | NA | None | LN, Pancreas | 15 mo | |
| 2016 [31,32,33] | 61 | 1M | 15 y | 15.0 | NA | None | L to F-U |
| 29 | 1M | 7 y | 30.0 | NA | Lung | 2 mo/died | |
| 42 | 1M | 11 y | 22.0 | Recur | None | 28 mo | |
| 2017 [34] | 64 | 1F | 18 mo | 12.0 | None | None | 3 mo |
| 2018 [35] | 56 | 1F | 1 y | 1.8 | Recur | None | 6 mo |
| 2019 [36] | 68 | 1F | 20 y | ~15.0 | NA | None | NA |
| 2020 [37] | Old | 2F | NA | NA | None | None | 2 y |
| 2021 [38] | 46 | 1F | Many y | 1.5 | NA | None | F-U |
| 2022 [39,40] | 85 | 1M | 2 y | 6.8 | None | None | 7 mo |
| 69 | 1M | 1 y | 2.0 | Recur | LN, Lung | 26 mo/died | |
| 55 | 1F | 1.5 y | 11.0 | None | None | 10 mo | |
| NA | 1 (NA) | NA | 10.0 | Recur | None | 2 mo/died | |
| 2023 [41] | 86 | 1F | Several y | 4.0 | None | None | 2 y |
| 2024 [42] | 87 | 1M | NA | 6.0 | None | None | 6 mo |
| Current c | 64 | 1F | 1 y | 2.0 | None | None | 10 mo |
Disclaimer/Publisher’s Note: The statements, opinions and data contained in all publications are solely those of the individual author(s) and contributor(s) and not of MDPI and/or the editor(s). MDPI and/or the editor(s) disclaim responsibility for any injury to people or property resulting from any ideas, methods, instructions or products referred to in the content. |
© 2024 by the authors. Published by MDPI on behalf of the European Society of Dermatopathology. Licensee MDPI, Basel, Switzerland. This article is an open access article distributed under the terms and conditions of the Creative Commons Attribution (CC BY) license (https://creativecommons.org/licenses/by/4.0/).
Share and Cite
Abdelhammed, M.H.; Siatecka, H.; Diwan, A.H.; Finch, C.J.; Haskins, A.D.; Hernandez, D.J.; Xu, Y. A Rare Case of a Malignant Proliferating Trichilemmal Tumor: A Molecular Study Harboring Potential Therapeutic Significance and a Review of Literature. Dermatopathology 2024, 11, 354-363. https://doi.org/10.3390/dermatopathology11040038
Abdelhammed MH, Siatecka H, Diwan AH, Finch CJ, Haskins AD, Hernandez DJ, Xu Y. A Rare Case of a Malignant Proliferating Trichilemmal Tumor: A Molecular Study Harboring Potential Therapeutic Significance and a Review of Literature. Dermatopathology. 2024; 11(4):354-363. https://doi.org/10.3390/dermatopathology11040038
Chicago/Turabian StyleAbdelhammed, Mokhtar H., Hanna Siatecka, A. Hafeez Diwan, Christie J. Finch, Angela D. Haskins, David J. Hernandez, and Ya Xu. 2024. "A Rare Case of a Malignant Proliferating Trichilemmal Tumor: A Molecular Study Harboring Potential Therapeutic Significance and a Review of Literature" Dermatopathology 11, no. 4: 354-363. https://doi.org/10.3390/dermatopathology11040038
APA StyleAbdelhammed, M. H., Siatecka, H., Diwan, A. H., Finch, C. J., Haskins, A. D., Hernandez, D. J., & Xu, Y. (2024). A Rare Case of a Malignant Proliferating Trichilemmal Tumor: A Molecular Study Harboring Potential Therapeutic Significance and a Review of Literature. Dermatopathology, 11(4), 354-363. https://doi.org/10.3390/dermatopathology11040038

