Interleukin-36 Is Highly Expressed in Skin Biopsies from Two Patients with Netherton Syndrome
Abstract
1. Introduction
2. Case Descriptions
2.1. Case 1
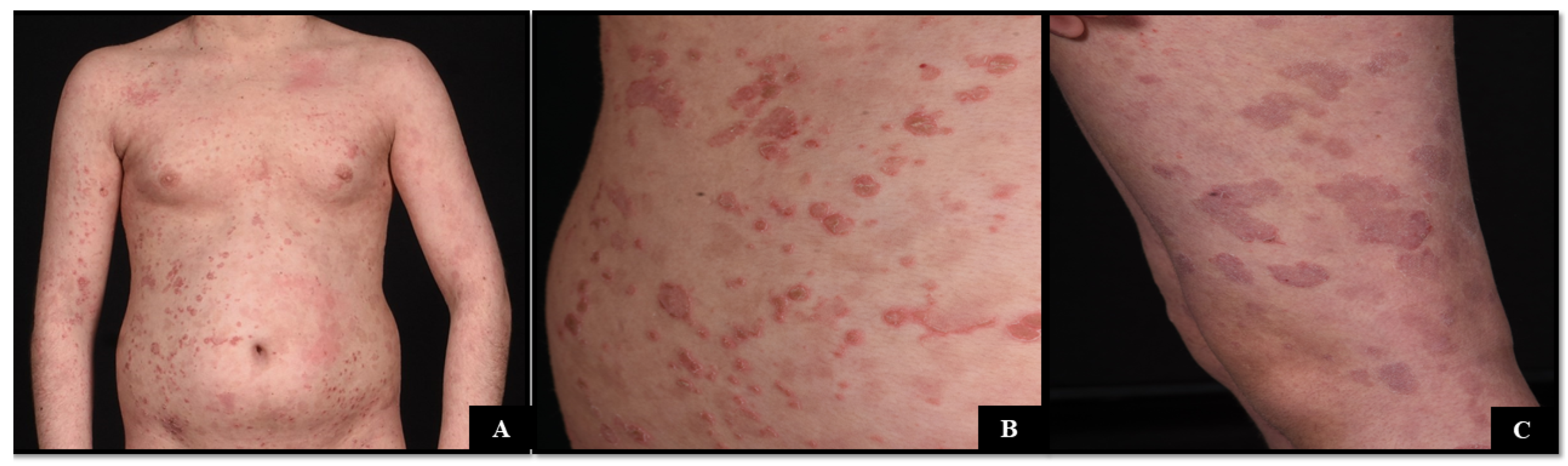
2.2. Case 2
3. Discussion
4. Conclusions
Author Contributions
Funding
Institutional Review Board Statement
Informed Consent Statement
Data Availability Statement
Acknowledgments
Conflicts of Interest
References
- Sprecher, E.; Amin, S.; Nielsen, K.; Pfendner, E.; Uitto, J.; Richard, G.; Chavanas, S.; DiGiovanna, J.J.; Prendiville, J.S.; Silverman, R.; et al. The spectrum of pathogenic mutations in SPINK5 in 19 families with Netherton syndrome: Implications for mutation detection and first case of prenatal diagnosis. J. Investig. Dermatol. 2001, 117, 179–187. [Google Scholar] [CrossRef] [PubMed]
- Greene, S.L.; Muller, S.A. Netherton’s syndrome. Report of a case and review of the literature. J. Am. Acad. Dermatol. 1985, 13 Pt 2, 329–337. [Google Scholar] [CrossRef] [PubMed]
- Barbieux, C.; Claustres, M.B.D.; Fahrner, M.; Petrova, E.; Tsoi, L.C.; Gouin, O.; Leturcq, F.; Nicaise-Roland, P.; Bole, C.; Béziat, V.; et al. Netherton syndrome subtypes share IL-17/IL-36 signature with distinct IFN-α and allergic responses. J. Allergy Clin. Immunol. 2022, 149, 1358–1372. [Google Scholar] [CrossRef] [PubMed]
- Bellon, N.; Hadj-Rabia, S.; Moulin, F.; Lambe, C.; Lezmi, G.; Charbit-Henrion, F.; Alby, C.; Peufeilhoux, L.L.S.; Leclerc-Mercier, S.; Hadchouel, A.; et al. The challenging management of a series of 43 infants with Netherton syndrome: Unexpected complications and novel mutations. Br. J. Dermatol. 2021, 184, 532–537. [Google Scholar] [CrossRef] [PubMed]
- Leclerc-Mercier, S.; Bodemer, C.; Furio, L.; Hadj-Rabia, S.; de Peufeilhoux, L.; Weibel, L.; Bursztejn, A.-C.; Bourrat, E.; Ortonne, N.; Molina, T.J.; et al. Skin Biopsy in Netherton Syndrome: A Histological Review of a Large Series and New Findings. Am. J. Dermatopathol. 2016, 38, 83–91. [Google Scholar] [CrossRef] [PubMed]
- Cohen, J.N.; Bowman, S.; Laszik, Z.G.; North, J.P. Clinicopathologic overlap of psoriasis, eczema, and psoriasiform dermatoses: A retrospective study of T helper type 2 and 17 subsets, interleukin 36, and β-defensin 2 in spongiotic psoriasiform dermatitis, sebopsoriasis, and tumor necrosis factor α inhibitor-associated dermatitis. J. Am. Acad. Dermatol. 2020, 82, 430–439. [Google Scholar] [CrossRef]
- Aquino, T.M.; Calvarido, M.G.; North, J.P. Interleukin 36 expression in psoriasis variants and other dermatologic diseases with psoriasis-like histopathologic features. J. Cutan. Pathol. 2022, 49, 123–132. [Google Scholar] [CrossRef]
- Ibraheim, M.K.; North, J.P. Utility of IL-36 immunostaining in distinguishing psoriasis from pityriasis rosea and pityriasis lichenoides. J. Cutan. Pathol. 2024, 51, 618–623. [Google Scholar] [CrossRef]
- Guo, J.; Zhang, H.; Lin, W.; Lu, L.; Su, J.; Chen, X. Signaling pathways and targeted therapies for psoriasis. Signal Transduct. Target. Ther. 2023, 8, 437. [Google Scholar] [CrossRef]
- D’Erme, A.M.; Wilsmann-Theis, D.; Wagenpfeil, J.; Hölzel, M.; Ferring-Schmitt, S.; Sternberg, S.; Wittmann, M.; Peters, B.; Bosio, A.; Bieber, T.; et al. IL-36γ (IL-1F9) Is a Biomarker for Psoriasis Skin Lesions. J. Investig. Dermatol. 2015, 135, 1025–1032. [Google Scholar] [CrossRef]
- Paller, A.S.; Renert-Yuval, Y.; Suprun, M.; Esaki, H.; Oliva, M.; Huynh, T.N.; Ungar, B.; Kunjravia, N.; Friedland, R.; Peng, X.; et al. An IL-17-dominant immune profile is shared across the major orphan forms of ichthyosis. J. Allergy Clin. Immunol. 2017, 139, 152–165. [Google Scholar] [CrossRef]
- Chao, S.C.; Richard, G.; Lee, J.Y.Y. Netherton syndrome: Report of two Taiwanese siblings with staphylococcal scalded skin syndrome and mutation of SPINK5. Br. J. Dermatol. 2005, 152, 159–165. [Google Scholar] [CrossRef] [PubMed]
- Bitoun, E.; Micheloni, A.; Lamant, L.; Bonnart, C.; Tartaglia-Polcini, A.; Cobbold, C.; Al Saati, T.; Mariotti, F.; Mazereeuw-Hautier, J.; Boralevi, F.; et al. LEKTI proteolytic processing in human primary keratinocytes, tissue distribution and defective expression in Netherton syndrome. Hum. Mol. Genet. 2003, 12, 2417–2430. [Google Scholar] [CrossRef] [PubMed]
- Ishida-Yamamoto, A.; Deraison, C.; Bonnart, C.; Bitoun, E.; Robinson, R.; O’Brien, T.J.; Wakamatsu, K.; Ohtsubo, S.; Takahashi, H.; Hashimoto, Y.; et al. LEKTI is localized in lamellar granules, separated from KLK5 and KLK7, and is secreted in the extracellular spaces of the superficial stratum granulosum. J. Investig. Dermatol. 2005, 124, 360–366. [Google Scholar] [CrossRef] [PubMed]
- Petrova, E.; López-Gay, J.M.; Fahrner, M.; Leturcq, F.; de Villartay, J.-P.; Barbieux, C.; Gonschorek, P.; Tsoi, L.C.; Gudjonsson, J.E.; Schilling, O.; et al. Comparative analyses of Netherton syndrome patients and Spink5 conditional knock-out mice uncover disease-relevant pathways. Commun. Biol. 2024, 7, 152. [Google Scholar] [CrossRef]
- Bonnart, C.; Deraison, C.; Lacroix, M.; Uchida, Y.; Besson, C.; Robin, A.; Briot, A.; Gonthier, M.; Lamant, L.; Dubus, P.; et al. Elastase 2 is expressed in human and mouse epidermis and impairs skin barrier function in Netherton syndrome through filaggrin and lipid misprocessing. J. Clin. Investig. 2010, 120, 871–882. [Google Scholar] [CrossRef] [PubMed]
- Descargues, P.; Deraison, C.; Prost, C.; Fraitag, S.; Mazereeuw-Hautier, J.; D’Alessio, M.; Ishida-Yamamoto, A.; Bodemer, C.; Zambruno, G.; Hovnanian, A. Corneodesmosomal cadherins are preferential targets of stratum corneum trypsin- and chymotrypsin-like hyperactivity in Netherton syndrome. J. Investig. Dermatol. 2006, 126, 1622–1632. [Google Scholar] [CrossRef] [PubMed]
- Deraison, C.; Bonnart, C.; Lopez, F.; Besson, C.; Robinson, R.; Jayakumar, A.; Wagberg, F.; Brattsand, M.; Hachem, J.P.; Leonardsson, G.; et al. LEKTI fragments specifically inhibit KLK5, KLK7, and KLK14 and control desquamation through a pH-dependent interaction. Mol. Biol. Cell 2007, 18, 3607–3619. [Google Scholar] [CrossRef]
- Schechter, N.M.; Choi, E.-J.; Wang, Z.-M.; Hanakawa, Y.; Stanley, J.R.; Kang, Y.; Clayman, G.L.; Jayakumar, A. Inhibition of human kallikreins 5 and 7 by the serine protease inhibitor lympho-epithelial Kazal-type inhibitor (LEKTI). Biol. Chem. 2005, 386, 1173–1184. [Google Scholar] [CrossRef]
- Fortugno, P.; Bresciani, A.; Paolini, C.; Pazzagli, C.; El Hachem, M.; D’Alessio, M.; Zambruno, G. Proteolytic activation cascade of the Netherton syndrome-defective protein, LEKTI, in the epidermis: Implications for skin homeostasis. J. Investig. Dermatol. 2011, 131, 2223–2232. [Google Scholar] [CrossRef]
- Briot, A.; Deraison, C.; Lacroix, M.; Bonnart, C.; Robin, A.; Besson, C.; Dubus, P.; Hovnanian, A. Kallikrein 5 induces atopic dermatitis-like lesions through PAR2-mediated thymic stromal lymphopoietin expression in Netherton syndrome. J. Exp. Med. 2009, 206, 1135–1147. [Google Scholar] [CrossRef] [PubMed]
- Briot, A.; Lacroix, M.; Robin, A.; Steinhoff, M.; Deraison, C.; Hovnanian, A. Par2 inactivation inhibits early production of TSLP, but not cutaneous inflammation, in Netherton syndrome adult mouse model. J. Investig. Dermatol. 2010, 130, 2736–2742. [Google Scholar] [CrossRef]
- Oikonomopoulou, K.; Hansen, K.K.; Saifeddine, M.; Tea, I.; Blaber, M.; Blaber, S.I.; Scarisbrick, I.; Andrade-Gordon, P.; Cottrell, G.S.; Bunnett, N.W.; et al. Proteinase-activated receptors, targets for kallikrein signaling. J. Biol. Chem. 2006, 281, 32095–32112. [Google Scholar] [CrossRef] [PubMed]
- Stefansson, K.; Brattsand, M.; Roosterman, D.; Kempkes, C.; Bocheva, G.; Steinhoff, M.; Egelrud, T. Activation of proteinase-activated receptor-2 by human kallikrein-related peptidases. J. Investig. Dermatol. 2008, 128, 18–25. [Google Scholar] [CrossRef] [PubMed]
- Malik, K.; He, H.; Huynh, T.N.; Tran, G.; Mueller, K.; Doytcheva, K.; Renert-Yuval, Y.; Czarnowicki, T.; Magidi, S.; Chou, M.; et al. Ichthyosis molecular fingerprinting shows profound TH17 skewing and a unique barrier genomic signature. J. Allergy Clin. Immunol. 2019, 143, 604–618. [Google Scholar] [CrossRef] [PubMed]
- Pontone, M.; Giovannini, M.; Filippeschi, C.; Oranges, T.; Pedaci, F.A.; Mori, F.; Barni, S.; Barbati, F.; Consonni, F.; Indolfi, G.; et al. Biological treatments for pediatric Netherton syndrome. Front. Pediatr. 2022, 10, 1074243. [Google Scholar] [CrossRef] [PubMed]
- Yan, S.; Wu, X.; Jiang, J.; Yu, S.; Fang, X.; Yang, H.; Bai, X.; Wang, H.; Luo, X. Dupilumab improves clinical symptoms in children with Netherton syndrome by suppressing Th2-mediated inflammation. Front. Immunol. 2022, 13, 1054422. [Google Scholar] [CrossRef] [PubMed]
- Carrier, Y.; Ma, H.-L.; Ramon, H.E.; Napierata, L.; Small, C.; O’Toole, M.; Young, D.A.; Fouser, L.A.; Nickerson-Nutter, C.; Collins, M.; et al. Inter-regulation of Th17 cytokines and the IL-36 cytokines in vitro and in vivo: Implications in psoriasis pathogenesis. J. Investig. Dermatol. 2011, 131, 2428–2437. [Google Scholar] [CrossRef]
- Wu, L.; Chen, X.; Zhao, J.; Martin, B.; Zepp, J.A.; Ko, J.S.; Gu, C.; Cai, G.; Ouyang, W.; Sen, G.; et al. A novel IL-17 signaling pathway controlling keratinocyte proliferation and tumorigenesis via the TRAF4-ERK5 axis. J. Exp. Med. 2015, 212, 1571–1587. [Google Scholar] [CrossRef]
- Jiang, Z.; Liu, Y.; Li, C.; Chang, L.; Wang, W.; Wang, Z.; Gao, X.; Ryffel, B.; Wu, Y.; Lai, Y. IL-36γ Induced by the TLR3-SLUG-VDR Axis Promotes Wound Healing via REG3A. J. Investig. Dermatol. 2017, 137, 2620–2629. [Google Scholar] [CrossRef]
- Wang, W.; Yu, X.; Wu, C.; Jin, H. IL-36γ inhibits differentiation and induces inflammation of keratinocyte via Wnt signaling pathway in psoriasis. Int. J. Med. Sci. 2017, 14, 1002–1007. [Google Scholar] [CrossRef] [PubMed]
- Pfaff, C.M.; Marquardt, Y.; Fietkau, K.; Baron, J.M.; Lüscher, B. The psoriasis-associated IL-17A induces and cooperates with IL-36 cytokines to control keratinocyte differentiation and function. Sci. Rep. 2017, 7, 15631. [Google Scholar] [CrossRef] [PubMed]
- Swindell, W.R.; Beamer, M.A.; Sarkar, M.K.; Loftus, S.; Fullmer, J.; Xing, X.; Ward, N.L.; Tsoi, L.C.; Kahlenberg, M.J.; Liang, Y.; et al. RNA-Seq Analysis of IL-1B and IL-36 Responses in Epidermal Keratinocytes Identifies a Shared MyD88-Dependent Gene Signature. Front. Immunol. 2018, 9, 80. [Google Scholar] [CrossRef]
- Müller, A.; Hennig, A.; Lorscheid, S.; Grondona, P.; Schulze-Osthoff, K.; Hailfinger, S.; Kramer, D. IκBζ is a key transcriptional regulator of IL-36-driven psoriasis-related gene expression in keratinocytes. Proc. Natl. Acad. Sci. USA 2018, 115, 10088–10093. [Google Scholar] [CrossRef]
- Leclerc-Mercier, S.; Bodemer, C.; Bourdon-Lanoy, E.; Larousserie, F.; Hovnanian, A.; Brousse, N.; Fraitag, S. Early skin biopsy is helpful for the diagnosis and management of neonatal and infantile erythrodermas. J. Cutan. Pathol. 2010, 37, 249–255. [Google Scholar] [CrossRef] [PubMed]
- Aktas, M.; Salman, A.; Sengun, O.A.; Ozer, E.C.; Tekin, S.H.; Cakici, O.A.; Demir, G.; Ergun, T. Netherton syndrome: Temporary response to dupilumab. Pediatr. Dermatol. 2020, 37, 1210–1211. [Google Scholar] [CrossRef] [PubMed]
- Süßmuth, K.; Traupe, H.; Loser, K.; Ständer, S.; Kessel, C.; Wittkowski, H.; Oji, V. Response to dupilumab in two children with Netherton syndrome: Improvement of pruritus and scaling. J. Eur. Acad. Dermatol. Venereol. 2021, 35, e152–e155. [Google Scholar] [CrossRef]
- Murase, C.; Takeichi, T.; Taki, T.; Yoshikawa, T.; Suzuki, A.; Ogi, T.; Suga, Y.; Akiyama, M. Successful dupilumab treatment for ichthyotic and atopic features of Netherton syndrome. J. Dermatol. Sci. 2021, 102, 126–129. [Google Scholar] [CrossRef] [PubMed]
- Volc, S.; Maier, L.; Gritsch, A.; Aichelburg, M.; Volc-Platzer, B. Successful treatment of Netherton syndrome with ustekinumab in a 15-year-old girl. Br. J. Dermatol. 2020, 183, 165–167. [Google Scholar] [CrossRef]
- Luchsinger, I.; Knöpfel, N.; Theiler, M.; Bonnet des Claustres, M.; Barbieux, C.; Schwieger-Briel, A.; Brunner, C.; Donghi, D.; Buettcher, M.; Meier-Schiesser, B.; et al. Secukinumab Therapy for Netherton Syndrome. JAMA Dermatol. 2020, 156, 907–911. [Google Scholar] [CrossRef]
- Gan, C.; King, E.; Orchard, D. Secukinumab use in the treatment of Netherton’s syndrome. Australas. J. Dermatol. 2022, 63, 365–367. [Google Scholar] [CrossRef] [PubMed]
- Blanchard, S.K.; Prose, N.S. Successful use of secukinumab in Netherton syndrome. JAAD Case Rep. 2020, 6, 577–578. [Google Scholar] [CrossRef] [PubMed]




Disclaimer/Publisher’s Note: The statements, opinions and data contained in all publications are solely those of the individual author(s) and contributor(s) and not of MDPI and/or the editor(s). MDPI and/or the editor(s) disclaim responsibility for any injury to people or property resulting from any ideas, methods, instructions or products referred to in the content. |
© 2024 by the authors. Licensee MDPI, Basel, Switzerland. This article is an open access article distributed under the terms and conditions of the Creative Commons Attribution (CC BY) license (https://creativecommons.org/licenses/by/4.0/).
Share and Cite
Pawlowski, J.; Pukhalskaya, T.; Cordoro, K.; Ibraheim, M.K.; North, J.P. Interleukin-36 Is Highly Expressed in Skin Biopsies from Two Patients with Netherton Syndrome. Dermatopathology 2024, 11, 230-237. https://doi.org/10.3390/dermatopathology11030024
Pawlowski J, Pukhalskaya T, Cordoro K, Ibraheim MK, North JP. Interleukin-36 Is Highly Expressed in Skin Biopsies from Two Patients with Netherton Syndrome. Dermatopathology. 2024; 11(3):230-237. https://doi.org/10.3390/dermatopathology11030024
Chicago/Turabian StylePawlowski, Johannes, Tatsiana Pukhalskaya, Kelly Cordoro, Marina Kristy Ibraheim, and Jeffrey P. North. 2024. "Interleukin-36 Is Highly Expressed in Skin Biopsies from Two Patients with Netherton Syndrome" Dermatopathology 11, no. 3: 230-237. https://doi.org/10.3390/dermatopathology11030024
APA StylePawlowski, J., Pukhalskaya, T., Cordoro, K., Ibraheim, M. K., & North, J. P. (2024). Interleukin-36 Is Highly Expressed in Skin Biopsies from Two Patients with Netherton Syndrome. Dermatopathology, 11(3), 230-237. https://doi.org/10.3390/dermatopathology11030024
